The Effect of the swnR Gene on Swainsonine Biosynthesis in Alternaria oxytropis OW7.8, an Endophytic Fungus of Oxytropis glabra
Abstract
1. Introduction
2. Materials and Methods
2.1. Strain Cultivation
2.2. Genomic DNA Extraction and swnR Gene Cloning from A. oxytropis OW7.8
2.3. Total RNA Extraction and swnR cDNA Cloning from A. oxytropis OW7.8
2.4. Vectors Construction
2.4.1. Construction of the swnR Gene Knockout Vector
2.4.2. Construction of the swnR Gene Overexpression Vector
2.5. Hygromycin Sensitivity Assay of A. oxytropis OW7.8
2.6. Protoplast Preparation and Transformation of A. oxytropis OW7.8
2.7. Screening and Verification of Gene Knockout Transformants
2.8. Transformation of A. oxytropis OW7.8 Protoplasts with swnR Overexpression Vector
2.9. Screening and Verification of Overexpression Transformants
2.10. Colony and Hyphal Morphology
2.11. Extraction and Detection of SW in Mycelia of A. oxytropis OW 7.8, ΔswnR, and swnR-OE Mycelia
2.12. Transcriptomic and Metabolomic Sample Processing and Data Analysis
2.13. RT-qPCR Analysis of SW Biosynthesis-Associated Genes in OW7.8, ΔswnR, and swnR-OE
3. Results
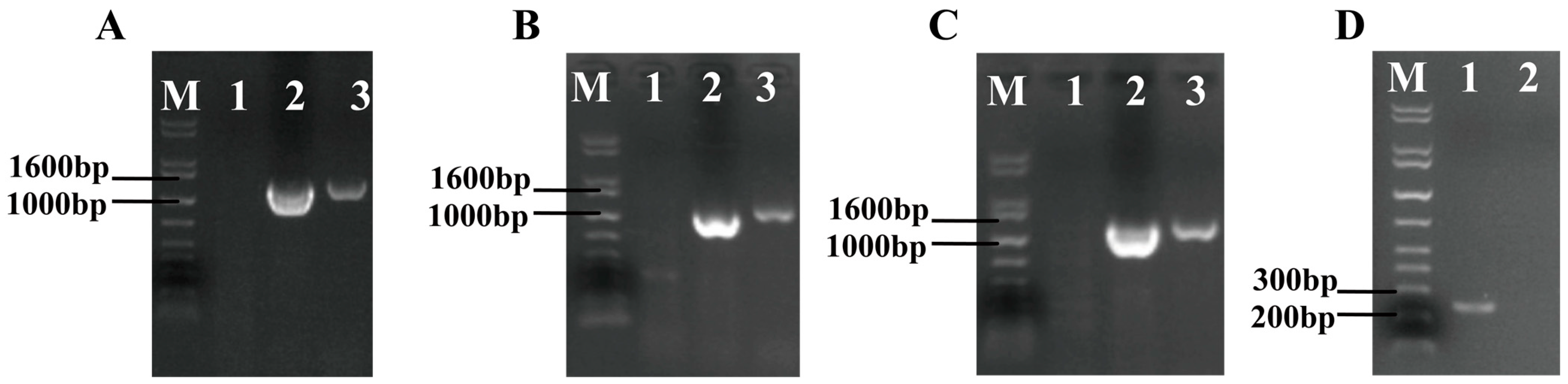
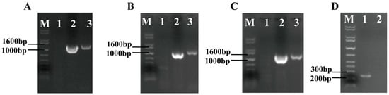
3.1. Cloning and Bioinformatics Analysis of swnR Gene in A. oxytropis OW7.8
3.2. Hygromycin B Sensitivity of A. oxytropis OW7.8
3.3. Screening and Verification of ΔswnR Mutants
3.4. Screening and Identification of swnR-OE Transformants
3.5. Colony and Hyphal Morphology
3.6. SW Levels in A. oxytropis OW 7.8, ΔswnR and swnR-OE Mycelia
3.7. Transcriptome Sequencing Analysis of A. oxytropis OW7.8 and ΔswnR
3.8. Metabolomic Profiling of A. oxytropis OW7.8 and ΔswnR
3.9. Expression of sac, P5CR, and SWN Cluster Genes in A. oxytropis OW 7.8 and ΔswnR
4. Discussion
4.1. Functional Role of SwnR Reductase and swnR Gene in SW Biosynthesis in A. oxytropis OW7.8
4.2. Colony Morphology and SW Extraction and Purification
4.3. Transcriptomic and Metabolomic Profiling of A. oxytropis OW7.8 and ΔswnR
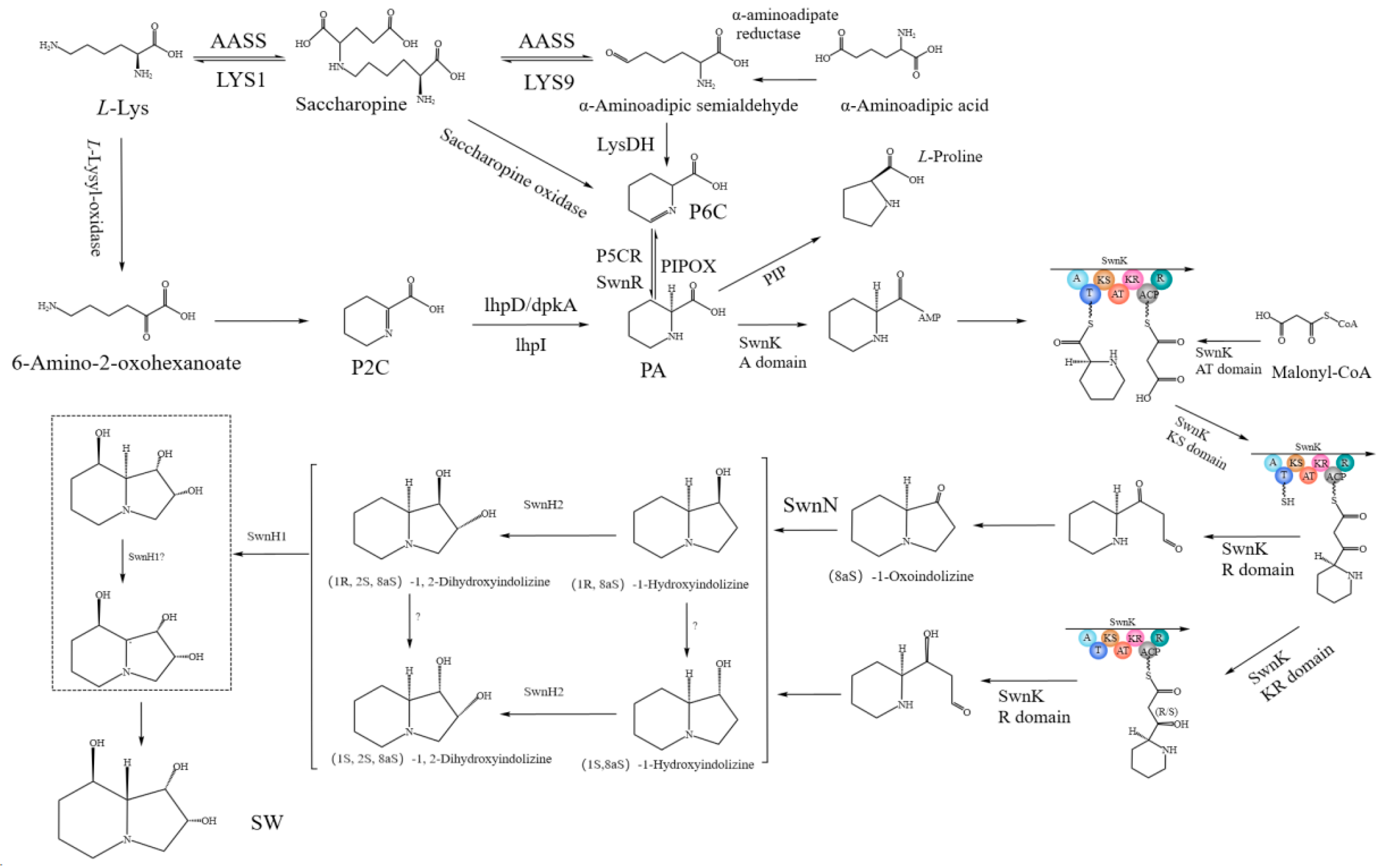
4.4. SW Biosynthetic Pathway
5. Conclusions
Author Contributions
Funding
Institutional Review Board Statement
Informed Consent Statement
Data Availability Statement
Conflicts of Interest
References
- James, L.F.; Foote, W. Estrogenic Properties of Locoweed (Astragalus lentiginosus). Can. J. Comp. Med. 1972, 36, 360–365. [Google Scholar] [PubMed]
- Molyneux, R.J.; McKenzie, R.A.; O’Sullivan, B.M.; Elbein, A.D. Identification of the Glycosidase Inhibitors Swainsonine and Calystegine B2 in Weir Vine (Ipomoea Sp. Q6 {aff. Calobra}) and Correlation with Toxicity. J. Nat. Prod. 1995, 58, 878–886. [Google Scholar] [CrossRef] [PubMed]
- Guan, H.; Liu, X.; Mur, L.A.J.; Fu, Y.; Wei, Y.; Wang, J.; He, W. Rethinking of the Roles of Endophyte Symbiosis and Mycotoxin in Oxytropis Plants. J. Fungi 2021, 7, 400. [Google Scholar] [CrossRef] [PubMed]
- Chen, J.; Ma, Y.; Lu, H.; Wang, Z.; Zao, B. Progress on Locoweed-Fungal Endophyte. Prog. Vet. Med. 2011, 32, 77–81. [Google Scholar]
- Chen, X.; Peng, L.-H.; Li, N.; Li, Q.-M.; Li, P.; Fung, K.-P.; Leung, P.-C.; Gao, J.-Q. The Healing and Anti-Scar Effects of Astragaloside IV on the Wound Repair in Vitro and in Vivo. J. Ethnopharmacol. 2012, 139, 721–727. [Google Scholar] [CrossRef]
- Wu, C.; Wang, W.; Liu, X.; Ma, F.; Cao, D.; Yang, X.; Wang, S.; Geng, P.; Lu, H.; Zhao, B. Pathogenesis and Preventive Treatment for Animal Disease Due to Locoweed Poisoning. Environ. Toxicol. Pharmacol. 2014, 37, 336–347. [Google Scholar]
- Zhao, M.; Gao, X.; Wang, J.; He, X.; Han, B. A Review of the Most Economically Important Poisonous Plants to the Livestock Industry on Temperate Grasslands of China. J. Appl. Toxicol. 2013, 33, 9–17. [Google Scholar] [CrossRef]
- Gao, X.; Cook, D.; Ralphs, M.H.; Yao, L.; Gardner, D.; Lee, S.; Panter, K.; Han, B.; Zhao, M. Detection of Swainsonine and Isolation of the Endophyte Undifilum from the Major Locoweeds in Inner Mongolia. Biochem. Syst. Ecol. 2012, 45, 79–85. [Google Scholar] [CrossRef]
- Kino, T.; Inamura, N.; Nakahara, K.; Kiyoto, S.; Goto, T.; Terano, H.; Kohsaka, M.; Aoki, H.; Imanaka, H. Studies of an Immunomodulator, Swainsonine. II. Effect of Swainsonine on Mouse Immunodeficient System and Experimental Murine Tumor. J. Antibiot. 1985, 38, 936–940. [Google Scholar] [CrossRef]
- Tulsiani, D.R.P.; Broquist, H.P.; James, L.F.; Touster, O. The Similar Effects of Swainsonine and Locoweed on Tissue Glycosidases and Oligosaccharides of the Pig Indicate That the Alkaloid Is the Principal Toxin Responsible for the Induction of Locoism. Arch. Biochem. Biophys. 1984, 232, 76–85. [Google Scholar] [CrossRef]
- Stegelmeier, B.L.; James, L.F.; Panter, K.E.; Ralphs, M.H.; Gardner, D.R.; Molyneux, R.J.; Pfister, J.A. The Pathogenesis and Toxicokinetics of Locoweed (Astragalus and Oxytropis spp.) Poisoning in Livestock. J. Nat. Toxins 1999, 8, 35–45. [Google Scholar] [PubMed]
- Dennis, J.W. Effects of Swainsonine and Polyinosinic:Polycytidylic Acid on Murine Tumor Cell Growth and Metastasis. Cancer Res. 1986, 46, 5131–5136. [Google Scholar] [PubMed]
- Guo, C.; Zhang, L.; Zhao, Q.; Beckmann, M.; Phillips, H.; Meng, H.; Mo, C.; Mur, L.A.J.; He, W. Host-Species Variation and Environment Influence Endophyte Symbiosis and Mycotoxin Levels in Chinese Oxytropis Species. Toxins 2022, 14, 181. [Google Scholar] [CrossRef] [PubMed]
- Molyneux, R.J.; James, L.F. Loco Intoxication: Indolizidine Alkaloids of Spotted Locoweed (Astragalus lentiginosus). Science 1982, 216, 190–191. [Google Scholar] [CrossRef]
- Braun, K.; Romero, J.; Liddell, C.; Creamer, R. Production of Swainsonine by Fungal Endophytes of Locoweed. Mycol. Res. 2003, 107, 980–988. [Google Scholar] [CrossRef]
- Pryor, B.M.; Creamer, R.; Shoemaker, R.A.; McLain-Romero, J.; Hambleton, S. Undifilum, a New Genus for Endophytic Embellisia oxytropis and Parasitic Helminthosporium bornmuelleri on Legumes. Botany 2009, 87, 178–194. [Google Scholar] [CrossRef]
- Woudenberg, J.H.C.; Groenewald, J.Z.; Binder, M.; Crous, P.W. Alternaria Redefined. Stud. Mycol. 2013, 75, 171–212. [Google Scholar] [CrossRef]
- Baucom, D.L.; Romero, M.; Belfon, R.; Creamer, R. Two New Species of Undifilum, Fungal Endophytes of Astragalus (Locoweeds) in the United States. Botany 2012, 90, 866–875. [Google Scholar] [CrossRef]
- Alhawatema, M.S.; Sanogo, S.; Baucom, D.L.; Creamer, R. A search for the phylogenetic relationship of the ascomycete Rhizoctonia leguminicola using genetic analysis. Mycopathologia 2015, 179, 381–389. [Google Scholar] [CrossRef]
- Patrick, M.; Adlard, M.W.; Keshavarz, T. Production of an Indolizidine Alkaloid, Swainsonine by the Filamentous Fungus, Metarhizium Anisopliae. Biotechnol. Lett. 1993, 15, 997–1000. [Google Scholar] [CrossRef]
- Nenoff, P.; Uhrlaß, S.; Krüger, C.; Erhard, M.; Hipler, U.C.; Seyfarth, F.; Herrmann, J.; Wetzig, T.; Schroedl, W.; Gräser, Y. Trichophyton species of Arthroderma benhamiae - a new infectious agent in dermatology. J. Dtsch. Dermatol. Ges. 2014, 12, 571–581. [Google Scholar] [CrossRef] [PubMed]
- Yu, J.; Chang, P.; Ehrlich, K.C.; Cary, J.W.; Bhatnagar, D.; Cleveland, T.E.; Payne, G.A.; Linz, J.E.; Woloshuk, C.P.; Bennett, J.W. Clustered pathway genes in aflatoxin biosynthesis. Appl. Environ. Microbiol. 2004, 70, 1253–1262. [Google Scholar] [CrossRef] [PubMed]
- McCormick, S.P.; Stanley, A.M.; Stover, N.A.; Alexander, N.J. Trichothecenes: From Simple to Complex Mycotoxins. Toxins 2011, 3, 802–814. [Google Scholar] [CrossRef]
- Kim, Y.T.; Lee, Y.R.; Jin, J.; Han, K.H.; Kim, H.; Kim, J.C.; Lee, T.; Yun, S.H.; Lee, Y.W. Two different polyketide synthase genes are required for synthesis of zearalenone in Gibberella zeae. Mol. Microbiol. 2005, 58, 1102–1113. [Google Scholar] [CrossRef]
- Keller, N.P. Fungal secondary metabolism: Regulation, function and drug discovery. Nat. Rev. Microbiol. 2019, 17, 167–180. [Google Scholar] [CrossRef]
- Huo, H.; Lu, P.; Niu, Y.; Lv, G.; Li, S.; Gao, J.; Qian, Y. Isolation, culture and identification the 11 endophytic fungi form Oxytropis glabra DC. J. Inn. Mong. Univ. 2010, 41, 206–211. [Google Scholar]
- Wang, W.; Qian, Y.; Lu, P.; He, S.; Du, L.; Li, Y.; Gao, F. The Relationship between Swainsonine and Endophytic Fungi in Different Populations of Oxytropis glabra from Inner Mongolia Chin. J. Anim. Vet. Sci. 2022, 53, 304–314. [Google Scholar]
- Lu, P.; Child, D.; Zhao, M.; Gardener, D.R.; Lv, G.; Han, G. Culture and Identification of Endophytic Fungi from Oxytropis glabra DC. Acta Ecol. Sin. 2009, 29, 53–58. [Google Scholar]
- Lu, P.; Li, X.; Wang, S. Saccharopine Reductase Influences Production of Swainsonine in Alternaria oxytropis. Sydowia 2021, 73, 69–74. [Google Scholar]
- Wang, Y.; Lu, P.; Sarula; Xi, L.; Yang, B.; Du, L. Construction and Identification of sac Functional Complementary Strain in Alternaria oxytropis. Mol. Plant Breed. 2020, 18, 7777–7783. [Google Scholar]
- Cook, D.; Donzelli, B.G.G.; Creamer, R.; Baucom, D.L.; Gardner, D.R.; Pan, J.; Moore, N.; Krasnoff, S.B.; Jaromczyk, J.W.; Schardl, C.L. Swainsonine Biosynthesis Genes in Diverse Symbiotic and Pathogenic Fungi. G3 (Bethesda) 2017, 7, 1791–1797. [Google Scholar] [CrossRef] [PubMed]
- Neyaz, M.; Das, S.; Cook, D.; Creamer, R. Phylogenetic Comparison of Swainsonine Biosynthetic Gene Clusters among Fungi. J. Fungi 2022, 8, 359. [Google Scholar] [CrossRef] [PubMed]
- Luo, F.; Hong, S.; Chen, B.; Yin, Y.; Tang, G.; Hu, F.; Zhang, H.; Wang, C. Unveiling of Swainsonine Biosynthesis via a Multibranched Pathway in Fungi. ACS Chem. Biol. 2020, 15, 2476–2484. [Google Scholar] [CrossRef] [PubMed]
- Liu, C.; Ding, N.; Lu, P.; Yuan, B.; Li, Y.; Jiang, K. The Effects of swnN Gene Function of Endophytic Fungus Alternaria oxytropis OW 7.8 on Its Swainsonine Biosynthesis. Int. J. Mol. Sci. 2024, 25, 10310. [Google Scholar] [CrossRef]
- Li, D.; Zhao, X.; Lu, P.; Min, Y. The Effects of swnH1 Gene Function of Endophytic Fungus Alternaria oxytropis OW 7.8 on Its Swainsonine Biosynthesis. Microorganisms 2024, 12, 2081. [Google Scholar] [CrossRef]
- Wickwire, B.M.; Harris, C.M.; Harris, T.M.; Broquist, H.P. Pipecolic Acid Biosynthesis in Rhizoctonia Leguminicola. I. The Lysine Saccharopine, Delta 1-Piperideine-6-Carboxylic Acid Pathway. J. Biol. Chem. 1990, 265, 14742–14747. [Google Scholar] [CrossRef]
- Li, X.; Lu, P. Transcriptome Profiles of Alternaria oxytropis Provides Insights into Swainsonine Biosynthesis. Sci. Rep. 2019, 9, 6021. [Google Scholar] [CrossRef]
- Mo, Y.; Yang, Z.; Hao, B.; Cheng, F.; Song, X.; Shang, X.; Zhao, H.; Shang, R.; Wang, X.; Liang, J.; et al. Screening of Endophytic Fungi in Locoweed Induced by Heavy-Ion Irradiation and Study on Swainsonine Biosynthesis Pathway. J. Fungi 2022, 8, 951. [Google Scholar] [CrossRef]
- Harris, T.M.; Harris, C.M.; Hill, J.E.; Ungemach, F.S.; Broquist, H.P.; Wickwire, B.M. (1S,2R,8aS)-1,2-Dihydroxyindolizidine Formation by Rhizoctonia Leguminicola, the Fungus That Produces Slaframine and Swainsonine. J. Org. Chem. 1987, 52, 3094–3098. [Google Scholar] [CrossRef]
- Hu, J.; Lu, P.; Niu, Y. Preparation and Regeneration of Protoplasts Isolated from Embellisia Fungal Endophyte of Oxytropis glabra. Biotechnol. Bull. 2015, 31, 134–139. [Google Scholar]
- Love, M.I.; Huber, W.; Anders, S. Moderated Estimation of Fold Change and Dispersion for RNA-Seq Data with DESeq2. Genome Biol. 2014, 15, 550. [Google Scholar] [CrossRef] [PubMed]
- Yu, G.; Wang, L.-G.; Han, Y.; He, Q.-Y. clusterProfiler: An R Package for Comparing Biological Themes among Gene Clusters. OMICS 2012, 16, 284–287. [Google Scholar] [CrossRef]
- Young, M.D.; Wakefield, M.J.; Smyth, G.K.; Oshlack, A. Gene Ontology Analysis for RNA-Seq: Accounting for Selection Bias. Genome Biol. 2010, 11, R14. [Google Scholar] [CrossRef] [PubMed]
- Cooper, B.; Yang, R. An Assessment of AcquireX and Compound Discoverer Software 3.3 for Non-Targeted Metabolomics. Sci. Rep. 2024, 14, 4841. [Google Scholar] [CrossRef]
- Sreekumar, A.; Poisson, L.M.; Rajendiran, T.M.; Khan, A.P.; Cao, Q.; Yu, J.; Laxman, B.; Mehra, R.; Lonigro, R.J.; Li, Y.; et al. Metabolomic Profiles Delineate Potential Role for Sarcosine in Prostate Cancer Progression. Nature 2009, 457, 910–914. [Google Scholar] [CrossRef]
- Haspel, J.A.; Chettimada, S.; Shaik, R.S.; Chu, J.-H.; Raby, B.A.; Cernadas, M.; Carey, V.; Process, V.; Hunninghake, G.M.; Ifedigbo, E.; et al. Circadian Rhythm Reprogramming during Lung Inflammation. Nat. Commun. 2014, 5, 4753. [Google Scholar] [CrossRef]
- Yang, F.; Li, Y.; Lu, P.; Wang, Y.; Gao, F.; Yuan, B.; Du, L.; Li, Y.; Jiang, K. The Effects of P5CR Gene Function of Endophytic Fungus Alternaria oxytropis OW7.8 on Swainsonine Biosynthesis. Biomolecules 2025, 15, 460. [Google Scholar] [CrossRef]
- Sun, L.; Song, R.; Lu, H.; Wang, J.; Mo, C.; Zhao, B. The Role of swnR Gene on the Biosynthetic Path Way of the Swainsonine in Meterhizium anisopliae. J. Anim. Vet. Sci. 2021, 52, 1439–1446. [Google Scholar]

















| Gene | Encoding Product | Function Prediction |
|---|---|---|
| swnA | Aminotransferase | Catalyzing the synthesis of Pyrroline-6-carboxylate (P6C) from L-Lysine |
| swnR | Dehydrogenase or reductase | Catalyzing the synthesis of L-PA from P6C |
| swnK | Multifunctional protein | Catalyzing the synthesis of 1-Oxoindolizidine (or 1-Hydroxyindolizine) from L-PA |
| swnN | Dehydrogenase or reductase | Catalyzing the synthesis of 1-Hydroxyindolizine from 1-Oxoindolizidine |
| swnH1 | Fe (II)/α-Ketoglutarate-dependent dioxygenase | Catalyzing the synthesis of SW from 1,2-Dihydroxyindolizine |
| swnH2 | Fe (II)/α-Ketoglutarate-dependent dioxygenase | Catalyzing the synthesis of 1,2-Dihydroxyindolizine form 1-Hydroxyindolizine |
| swnT | Transmembrane transporter | Transport of SW |
| Screening Mode | Total of Metabolites | Total of DEMs | Upregulated | Downregulated |
|---|---|---|---|---|
| Positive | 1878 | 984 | 566 | 418 |
| Negative | 1124 | 642 | 439 | 203 |
Disclaimer/Publisher’s Note: The statements, opinions and data contained in all publications are solely those of the individual author(s) and contributor(s) and not of MDPI and/or the editor(s). MDPI and/or the editor(s) disclaim responsibility for any injury to people or property resulting from any ideas, methods, instructions or products referred to in the content. |
© 2025 by the authors. Licensee MDPI, Basel, Switzerland. This article is an open access article distributed under the terms and conditions of the Creative Commons Attribution (CC BY) license (https://creativecommons.org/licenses/by/4.0/).
Share and Cite
Ding, N.; Liu, C.; Lu, P.; Bai, L.; Yuan, B. The Effect of the swnR Gene on Swainsonine Biosynthesis in Alternaria oxytropis OW7.8, an Endophytic Fungus of Oxytropis glabra. Microorganisms 2025, 13, 1326. https://doi.org/10.3390/microorganisms13061326
Ding N, Liu C, Lu P, Bai L, Yuan B. The Effect of the swnR Gene on Swainsonine Biosynthesis in Alternaria oxytropis OW7.8, an Endophytic Fungus of Oxytropis glabra. Microorganisms. 2025; 13(6):1326. https://doi.org/10.3390/microorganisms13061326
Chicago/Turabian StyleDing, Ning, Chang Liu, Ping Lu, Lu Bai, and Bo Yuan. 2025. "The Effect of the swnR Gene on Swainsonine Biosynthesis in Alternaria oxytropis OW7.8, an Endophytic Fungus of Oxytropis glabra" Microorganisms 13, no. 6: 1326. https://doi.org/10.3390/microorganisms13061326
APA StyleDing, N., Liu, C., Lu, P., Bai, L., & Yuan, B. (2025). The Effect of the swnR Gene on Swainsonine Biosynthesis in Alternaria oxytropis OW7.8, an Endophytic Fungus of Oxytropis glabra. Microorganisms, 13(6), 1326. https://doi.org/10.3390/microorganisms13061326
