Inhibitory Effect of Lactococcus and Enterococcus faecalis on Citrobacter Colitis in Mice
Abstract
1. Introduction
2. Materials and Methods
2.1. Test Strain
2.2. Animals and Ethics Statement
2.3. Optimum Compound Ratio of the Strains
2.4. Bacteriostatic Test
2.5. Grouping of Experimental Animals
2.6. Effects of Compound Strains on the Average Daily Feed Intake of Mice
2.7. Effects of Compound Strains on the Feed/Gain Ratio
2.8. The Total Antioxidant Capacity of Serum Determined by ELISA
2.9. Inhibition Testing of Lactobacillus Combination Preparation against C. rodentium In Vivo
2.10. Changes in IFN-γ IL-10 Levels Detected by ELISA
2.11. Histomorphology
2.12. Flow Cytometry
2.13. Intestinal Microbiota Sequencing
2.14. Statistical Analysis
3. Results
3.1. Acid Production and Bacteriostatic Activity of Lactobacillus Combination Preparation
3.2. Effects of the Lactobacillus Combination on the Body Weight of Mice
3.3. Effects of the Lactobacillus Combination on Feed Intake in Mice
3.4. The Ratio of Feed to Gain
3.5. Serum Total Antioxidant Capacity Detected by ELISA
3.6. In Vivo Bacteriostatic Activity Experiment
3.6.1. Effects of the Lactobacillus Combination on the Body Weight of Mice after Challenge
3.6.2. Changes in the Number of C. rodentium in Mouse Faeces
3.6.3. Changes in the Levels of the Cytokines IFN-γ and IL-10 Were Detected by ELISA
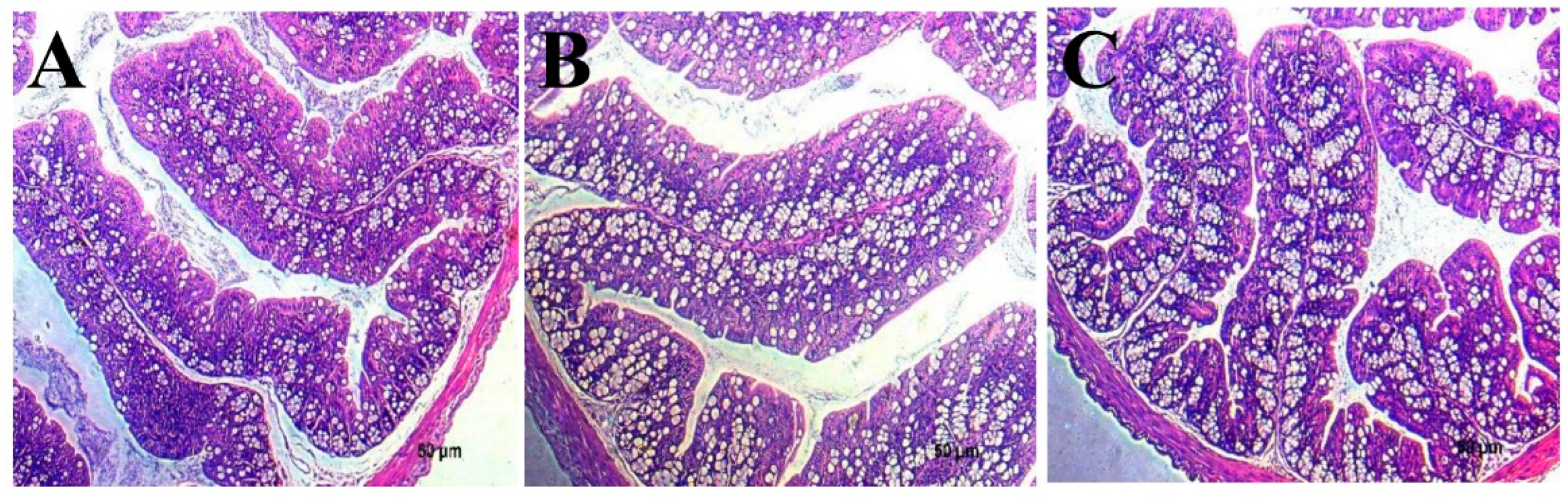
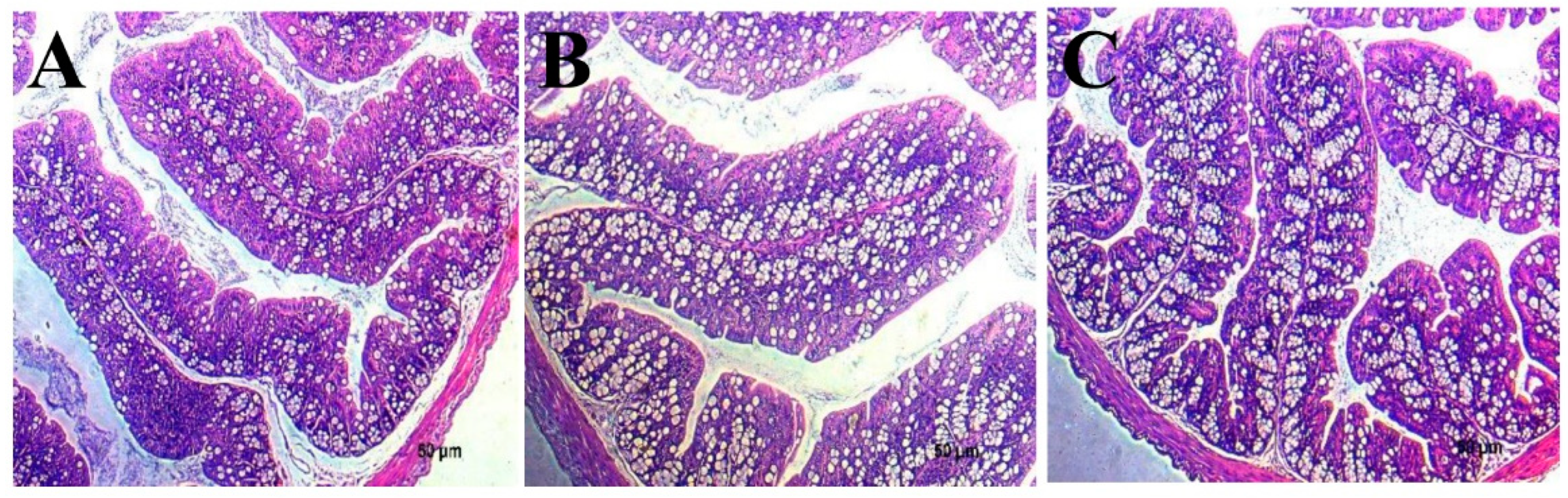
3.6.4. Histomorphological Changes in the Mouse Colon and Duodenum
3.6.5. Changes of T Lymphocyte Number in Mice
3.6.6. Effects of Compound Lactic Acid Bacteria on Intestinal Microbiota of Mice
4. Discussion
Author Contributions
Funding
Institutional Review Board Statement
Data Availability Statement
Acknowledgments
Conflicts of Interest
References
- Santacroce, L.; Charitos, I.A.; Bottalico, L. A successful history: Probiotics and their potential as antimicrobials. Expert. Rev. Anti Infect. Ther. 2019, 17, 635–645. [Google Scholar] [CrossRef] [PubMed]
- Dowarah, R.; Verma, A.K.; Agarwal, N.; Singh, P.; Singh, B.R. Selection and characterization of probiotic lactic acid bacteria and its impact on growth, nutrient digestibility, health and antioxidant status in weaned piglets. PLoS ONE 2018, 13, e0192978. [Google Scholar] [CrossRef] [PubMed]
- Collins, J.W.; Keeney, K.M.; Crepin, V.F.; Rathinam, V.A.; Fitzgerald, K.A.; Finlay, B.B.; Frankel, G. Citrobacter rodentium: Infection, inflammation and the microbiota. Nat. Rev. Microbiol. 2014, 12, 612–623. [Google Scholar] [CrossRef] [PubMed]
- Wiles, S.; Clare, S.; Harker, J.; Huett, A.; Young, D.; Dougan, G.; Frankel, G. Organ specificity, colonization and clearance dynamics in vivo following oral challenges with the murine pathogen Citrobacter rodentium. Cell Microbiol. 2004, 6, 963–972. [Google Scholar] [CrossRef] [PubMed]
- Giannakopoulou, N.; Mendis, N.; Zhu, L.; Gruenheid, S.; Faucher, S.P.; Le Moual, H. The Virulence Effect of CpxRA in Citrobacter rodentium Is Independent of the Auxiliary Proteins NlpE and CpxP. Front. Cell Infect. Microbiol. 2018, 8, 320. [Google Scholar] [CrossRef] [PubMed]
- Seo, K.H.; Lee, H.G.; Eor, J.Y.; Jeon, H.J.; Yokoyama, W.; Kim, H. Effects of kefir lactic acid bacteria-derived postbiotic components on high fat diet-induced gut microbiota and obesity. Food Res. International. 2022, 157, 111445. [Google Scholar] [CrossRef] [PubMed]
- Zhang, L.; Gui, S.; Liang, Z.; Liu, A.; Chen, Z.; Tang, Y.; Xiao, M.; Chu, F.; Liu, W.; Jin, X.; et al. Musca domestica Cecropin (Mdc) Alleviates Salmonella typhimurium-Induced Colonic Mucosal Barrier Impairment: Associating with Inflammatory and Oxidative Stress Response, Tight Junction as Well as Intestinal Flora. Front. Microbiol. 2019, 10, 522. [Google Scholar] [CrossRef]
- Kiti, A.A.; Jamilah, I.; Rusmarilin, H. Antagonistic Activity of Isolated Lactic Acid Bacteria from Pliek U against Gram-Negative Bacteria Escherichia coli Atcc 25922. AIP Conf. Proc. 2017, 1885, 020021. [Google Scholar]
- Safwat, S.M.; Rozaik, E. Growth Inhibition of Various Pathogenic Microorganisms Using Effective Microorganisms (Em). Inter. J. Res. Eng. 2018, 4, 283–286. [Google Scholar]
- Zahid, M. Antimicrobial Activity of Bacteriocins Isolated from Lactic Acid Bacteria against Resistant Pathogenic Strains. Int. J. Nutr. Food Sci. 2015, 4, 326. [Google Scholar] [CrossRef]
- Dutta, P.R.; Phukan, A.; Rajkhowa, S. Epidemiology of Piglet Diarrhoea Caused by Rotavirus and Escherichia coli Ingreater Guwahati. Indian Vet. J. 2016, 93, 41–43. [Google Scholar]
- Pittman, J.S. Enteritis in Grower-Finisher Pigs Caused by F18-Positive Escherichia coli. J. Swine Health Prod. 2010, 18, 81–86. [Google Scholar]
- Crofts, A.A.; Giovanetti, S.M.; Rubin, E.J.; Poly, F.M.; Gutiérrez, R.L.; Talaat, K.R.; Porter, C.K.; Riddle, M.S.; DeNearing, B.; Brubaker, J.; et al. Enterotoxigenic E. coli virulence gene regulation in human infections. Proc. Natl. Acad. Sci. USA 2018, 115, E8968–E8976. [Google Scholar] [CrossRef] [PubMed]
- Wang, X.; Gao, X.; Hardwidge, P.R. Heat-labile enterotoxin-induced activation of NF-κB and MAPK pathways in intestinal epithelial cells impacts enterotoxigenic Escherichia coli (ETEC) adherence. Cell Microbiol. 2012, 14, 1231–1241. [Google Scholar] [CrossRef] [PubMed]
- Rudishin, O.Y.; Simoshina, Y.N.; Funkner, V.M.; Luchkin, K.Y.; Laduna, O. The Effect of Biovestin-Lakto Probiotic on Growth Rate and Slaughter Parameters of Young Pigs. Svinovodstvo. 2010, 7, 44–45. [Google Scholar]
- Cui, L.; Guo, W.G. Antibacterial Substances Produced by Lactic Acid Bacteria and their Mechanism. J. Food Saf. Qual. 2018, 9, 2578–2584. [Google Scholar]
- Nuryana, I.; Andriani, A.; Lisdiyanti, P.; Yopi. Analysis of Organic Acids Produced by Lactic Acid Bacteria. IOP Conf. Ser. Earth Environ. Sci. 2019, 251, 012054. [Google Scholar] [CrossRef]
- Xu, J.J.; She, N. Effects of Feeding Probiotics Addition on Growth Performance, Antioxidant Capacity and Immune Function of Newborn Piglets. Vet. Sci. 2018, 12, 22–24. [Google Scholar]
- Wen, B.; Tokar, T.; Taibi, A.; Chen, J.; Jurisica, I.; Comelli, E.M. Citrobacter rodentium alters the mouse colonic miRNome. Genes. Immun. 2019, 20, 207–213. [Google Scholar] [CrossRef] [PubMed]
- Bhinder, G.; Sham, H.P.; Chan, J.M.; Morampudi, V.; Jacobson, K.; Vallance, B.A. The Citrobacter rodentium mouse model: Studying pathogen and host contributions to infectious colitis. J. Vis. Exp. JoVE 2013, 72, e50222. [Google Scholar]
- Reyes-Díaz, A.; Mata-Haro, V.; Hernández, J.; González-Córdova, A.F.; Hernández-Mendoza, A.; Reyes-Díaz, R.; Torres-Llanez, M.J.; Beltrán-Barrientos, L.M.; Vallejo-Cordoba, B. Milk Fermented by Specific Lactobacillus Strains Regulates the Serum Levels of IL-6, TNF-α and IL-10 Cytokines in a LPS-Stimulated Murine Model. Nutrients 2018, 10, 691. [Google Scholar] [CrossRef] [PubMed]
- Maiti, A.K.; Sharba, S.; Navabi, N.; Forsman, H.; Fernandez, H.R.; Lindén, S.K. IL-4 Protects the Mitochondria against TNFα and IFNγ Induced Insult during Clearance of Infection with Citrobacter rodentium and Escherichia coli. Sci. Rep. 2015, 5, 15434. [Google Scholar] [CrossRef] [PubMed]
- Ornellas, R.M.S.; Santos, T.T.; Arcucio, L.B.; Sandes, S.H.C.; Oliveira, M.M.; Dias, C.V.; de Carvalho Silva, S.; Uetanabaro, A.P.T.; Vinderola, G.; Nicoli, J.R. Selection of Lactic Acid Bacteria with Probiotic Potential Isolated from the Fermentation Process of “Cupuaçu” (Theobroma grandiflorum). Adv. Exp. Med. Biol. 2017, 973, 1–16. [Google Scholar] [PubMed]
- Kennedy, C.L.; Hartland, E.L. Citrobacter rodentium Infection Model for the Analysis of Bacterial Pathogenesis and Mucosal Immunology. Inflamm. Cancer Methods Protoc. 2018, 1725, 77–89. [Google Scholar]
- Elliott, D.E.; Urban, J.F.J.R.; Argo, C.K.; Weinstock, J.V. Does the failure to acquire helminthic parasites predispose to Crohn’s disease. FASEB J. Off. Publ. Fed. Am. Soc. Exp. Biol. 2000, 14, 1848–1855. [Google Scholar] [CrossRef] [PubMed]











| Observed | Shannon | Chao1 | |
|---|---|---|---|
| E0 | 679 | 6.028017 | 679.308 |
| E1 | 953.3333333 | 7.801402 | 953.3898 |
| H0 | 1070 | 7.999735 | 1070.657 |
| H1 | 808.6666667 | 7.533267 | 808.9767 |
| C0 | 996.3333333 | 7.852373 | 996.7747 |
| C1 | 1035.333333 | 8.070176 | 1035.864 |
Disclaimer/Publisher’s Note: The statements, opinions and data contained in all publications are solely those of the individual author(s) and contributor(s) and not of MDPI and/or the editor(s). MDPI and/or the editor(s) disclaim responsibility for any injury to people or property resulting from any ideas, methods, instructions or products referred to in the content. |
© 2024 by the authors. Licensee MDPI, Basel, Switzerland. This article is an open access article distributed under the terms and conditions of the Creative Commons Attribution (CC BY) license (https://creativecommons.org/licenses/by/4.0/).
Share and Cite
Naveed, U.; Jiang, C.; Yan, Q.; Wu, Y.; Zhao, J.; Zhang, B.; Xing, J.; Niu, T.; Shi, C.; Wang, C. Inhibitory Effect of Lactococcus and Enterococcus faecalis on Citrobacter Colitis in Mice. Microorganisms 2024, 12, 730. https://doi.org/10.3390/microorganisms12040730
Naveed U, Jiang C, Yan Q, Wu Y, Zhao J, Zhang B, Xing J, Niu T, Shi C, Wang C. Inhibitory Effect of Lactococcus and Enterococcus faecalis on Citrobacter Colitis in Mice. Microorganisms. 2024; 12(4):730. https://doi.org/10.3390/microorganisms12040730
Chicago/Turabian StyleNaveed, Ullah, Chenxi Jiang, Qingsong Yan, Yupeng Wu, Jinhui Zhao, Bowen Zhang, Junhong Xing, Tianming Niu, Chunwei Shi, and Chunfeng Wang. 2024. "Inhibitory Effect of Lactococcus and Enterococcus faecalis on Citrobacter Colitis in Mice" Microorganisms 12, no. 4: 730. https://doi.org/10.3390/microorganisms12040730
APA StyleNaveed, U., Jiang, C., Yan, Q., Wu, Y., Zhao, J., Zhang, B., Xing, J., Niu, T., Shi, C., & Wang, C. (2024). Inhibitory Effect of Lactococcus and Enterococcus faecalis on Citrobacter Colitis in Mice. Microorganisms, 12(4), 730. https://doi.org/10.3390/microorganisms12040730
