Acute Retinal Necrosis Associated with Epstein–Barr Virus Successfully Treated with Antiviral Treatment: A Case Report
Abstract
1. Introduction
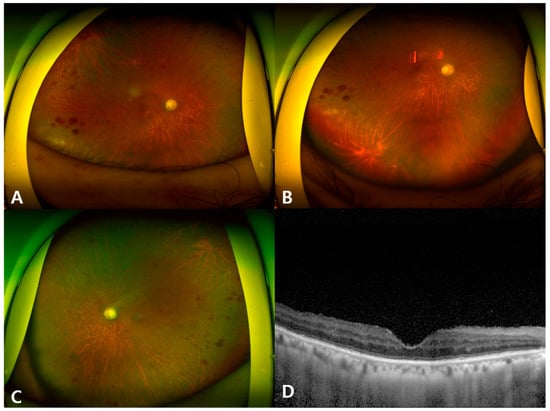
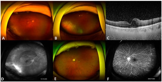
2. Case Report
3. Discussion and Conclusions
Author Contributions
Funding
Data Availability Statement
Conflicts of Interest
References
- Cochrane, T.F.; Silvestri, G.; McDowell, C.; Foot, B.; McAvoy, C.E. Acute retinal necrosis in the United Kingdom: Results of a prospective surveillance study. Eye 2012, 26, 370–378. [Google Scholar] [CrossRef] [PubMed]
- Lau, C.H.; Missotten, T.; Salzmann, J.; Lightman, S.L. Acute Retinal Necrosis: Features, Management, and Outcomes. Ophthalmology 2007, 114, 756–762.e1. [Google Scholar] [CrossRef] [PubMed]
- Ganatra, J.B.; Chandler, D.; Santos, C.; Kuppermann, B.; Margolis, T.P. Viral causes of the acute retinal necrosis syndrome. Am. J. Ophthalmol. 2000, 129, 166–172. [Google Scholar] [CrossRef] [PubMed]
- Schallhorn, C.S.; Wisniewski, P.; Goodfellow-Hyder, A.; Allen, R.; Tilley, D.H.; Propes, B. An atypical case of viral panuveitis and retinal vasculitis with retrograde extension associated with human herpesvirus-6. Am. J. Ophthalmol. Case Rep. 2022, 28, 101712. [Google Scholar] [CrossRef] [PubMed]
- Suzuki, K.; Namba, K.; Hase, K.; Mizuuchi, K.; Iwata, D.; Ito, T.; Kitaichi, N.; Takase, H.; Ishida, S. A case of Epstein-Barr virus acute retinal necrosis successfully treated with foscarnet. Am. J. Ophthalmol. Case Rep. 2022, 25, 101363. [Google Scholar] [CrossRef] [PubMed]
- Oe, C.; Hiraoka, M.; Tanaka, S.; Ohguro, H. Acute Retinal Necrosis Associated with Epstein-Barr Virus in a Patient Undergoing Immunosuppressive Therapy. Case Rep. Ophthalmol. 2016, 7, 195–201. [Google Scholar] [CrossRef] [PubMed]
- Schaal, S.; Kagan, A.; Wang, Y.; Chan, C.-C.; Kaplan, H.J. Acute Retinal Necrosis Associated with Epstein-Barr Virus: Immunohistopathologic Confirmation. JAMA Ophthalmol. 2014, 132, 881–882. [Google Scholar] [CrossRef] [PubMed]
- Mushiga, Y.; Komoto, T.; Nagai, N.; Ozawa, Y. Effects of intraocular treatments for Epstein-Barr virus (EBV) retinitis: A case report. Medicine 2021, 100, e28101. [Google Scholar] [CrossRef] [PubMed]
- Chan, E.W.; Sun, V.; Eldeeb, M.; Kapusta, M.A. Epstein–Barr virus acute retinal necrosis in an immunocompetent host. Retin. Cases Brief. Rep. 2021, 15, 412–416. [Google Scholar] [CrossRef] [PubMed]
- Gallego-Pinazo, R.; Harto, M.; Garcia-Medina, J.J.; Serra, I.; España, E.; Pinazo-Duran, M.D. Epstein-Barr virus and acute retinal necrosis in a 5-year-old immunocompetent child. Clin. Ophthalmol. 2008, 2, 451–455. [Google Scholar] [CrossRef] [PubMed]
- Kramer, S.; Brummer, C.; Zierhut, M. Epstein-Barr virus associated acute retinal necrosis. Br. J. Ophthalmol. 2001, 85, 114. [Google Scholar] [CrossRef] [PubMed]
- Hamam, R.N.; Mansour, A.; El Mollayess, G. Positive Epstein-Barr virus polymerase chain reaction in a case of acute retinal necrosis. Can. J. Ophthalmol. 2012, 47, e61–e62. [Google Scholar] [CrossRef] [PubMed]
- Grossniklaus, H.E.; Aaberg, T.M.; Purnell, E.W.; Luka, J.; Seemayer, T.A. Retinal necrosis in X-linked lymphoproliferative disease. Ophthalmology 1994, 101, 705–709. [Google Scholar] [CrossRef] [PubMed]
- Mashima, A.; Usui, Y.; Umazume, K.; Muramatsu, D.; Goto, H. Successful Treatment of Necrotizing Retinitis with Epstein-Barr Virus-Positive Ocular Fluid by Intravitreal Methotrexate Injection. Ocul. Immunol. Inflamm. 2020, 28, 552–555. [Google Scholar] [CrossRef] [PubMed]
- Smatti, M.K.; Al-Sadeq, D.W.; Ali, N.H.; Pintus, G.; Abou-Saleh, H.; Nasrallah, G.K. Epstein-Barr Virus Epidemiology, Serology, and Genetic Variability of LMP-1 Oncogene Among Healthy Population: An Update. Front. Oncol. 2018, 8, 211. [Google Scholar] [CrossRef] [PubMed]
- Schoenberger, S.D.; Kim, S.J.; Thorne, J.E.; Mruthyunjaya, P.; Yeh, S.; Bakri, S.J.; Ehlers, J.P. Diagnosis and Treatment of Acute Retinal Necrosis: A Report by the American Academy of Ophthalmology. Ophthalmology 2017, 124, 382–392. [Google Scholar] [CrossRef] [PubMed]
- Powell, B.; Wang, D.; Llop, S.; Rosen, R.B. Management Strategies of Acute Retinal Necrosis: Current Perspectives. Clin. Ophthalmol. 2020, 14, 1931–1943. [Google Scholar] [CrossRef] [PubMed]
- Wong, R.; Pavesio, C.E.; Laidlaw, D.A.H.; Williamson, T.H.; Graham, E.M.; Stanford, M.R. Acute Retinal Necrosis: The Effects of Intravitreal Foscarnet and Virus Type on Outcome. Ophthalmology 2010, 117, 556–560. [Google Scholar] [CrossRef] [PubMed]
- Yeh, S.; Suhler, E.B.; Smith, J.R.; Bruce, B.; Fahle, G.; Bailey, S.T.; Hwang, T.S.; Stout, J.T.; Lauer, A.K.; Wilson, D.J.; et al. Combination systemic and intravitreal antiviral therapy in the management of acute retinal necrosis syndrome. Ophthalmic Surg. Lasers Imaging Retina 2014, 45, 399–407. [Google Scholar] [CrossRef] [PubMed]



Disclaimer/Publisher’s Note: The statements, opinions and data contained in all publications are solely those of the individual author(s) and contributor(s) and not of MDPI and/or the editor(s). MDPI and/or the editor(s) disclaim responsibility for any injury to people or property resulting from any ideas, methods, instructions or products referred to in the content. |
© 2024 by the authors. Licensee MDPI, Basel, Switzerland. This article is an open access article distributed under the terms and conditions of the Creative Commons Attribution (CC BY) license (https://creativecommons.org/licenses/by/4.0/).
Share and Cite
You, H.; Kim, J. Acute Retinal Necrosis Associated with Epstein–Barr Virus Successfully Treated with Antiviral Treatment: A Case Report. Microorganisms 2024, 12, 2065. https://doi.org/10.3390/microorganisms12102065
You H, Kim J. Acute Retinal Necrosis Associated with Epstein–Barr Virus Successfully Treated with Antiviral Treatment: A Case Report. Microorganisms. 2024; 12(10):2065. https://doi.org/10.3390/microorganisms12102065
Chicago/Turabian StyleYou, Heejeong, and Joonhyung Kim. 2024. "Acute Retinal Necrosis Associated with Epstein–Barr Virus Successfully Treated with Antiviral Treatment: A Case Report" Microorganisms 12, no. 10: 2065. https://doi.org/10.3390/microorganisms12102065
APA StyleYou, H., & Kim, J. (2024). Acute Retinal Necrosis Associated with Epstein–Barr Virus Successfully Treated with Antiviral Treatment: A Case Report. Microorganisms, 12(10), 2065. https://doi.org/10.3390/microorganisms12102065

