Immunisation with Transgenic L. tarentolae Expressing Gamma Glutamyl Cysteine Synthetase from Pathogenic Leishmania Species Protected against L. major and L. donovani Infection in a Murine Model
Abstract
1. Introduction
2. Materials and Methods
2.1. Materials
2.2. Animals and Parasites
2.3. Production of Transgenic L. tarentolae Promastigotes Expressing Gamma Glutamyl Cysteine Synthetase (γGCS)
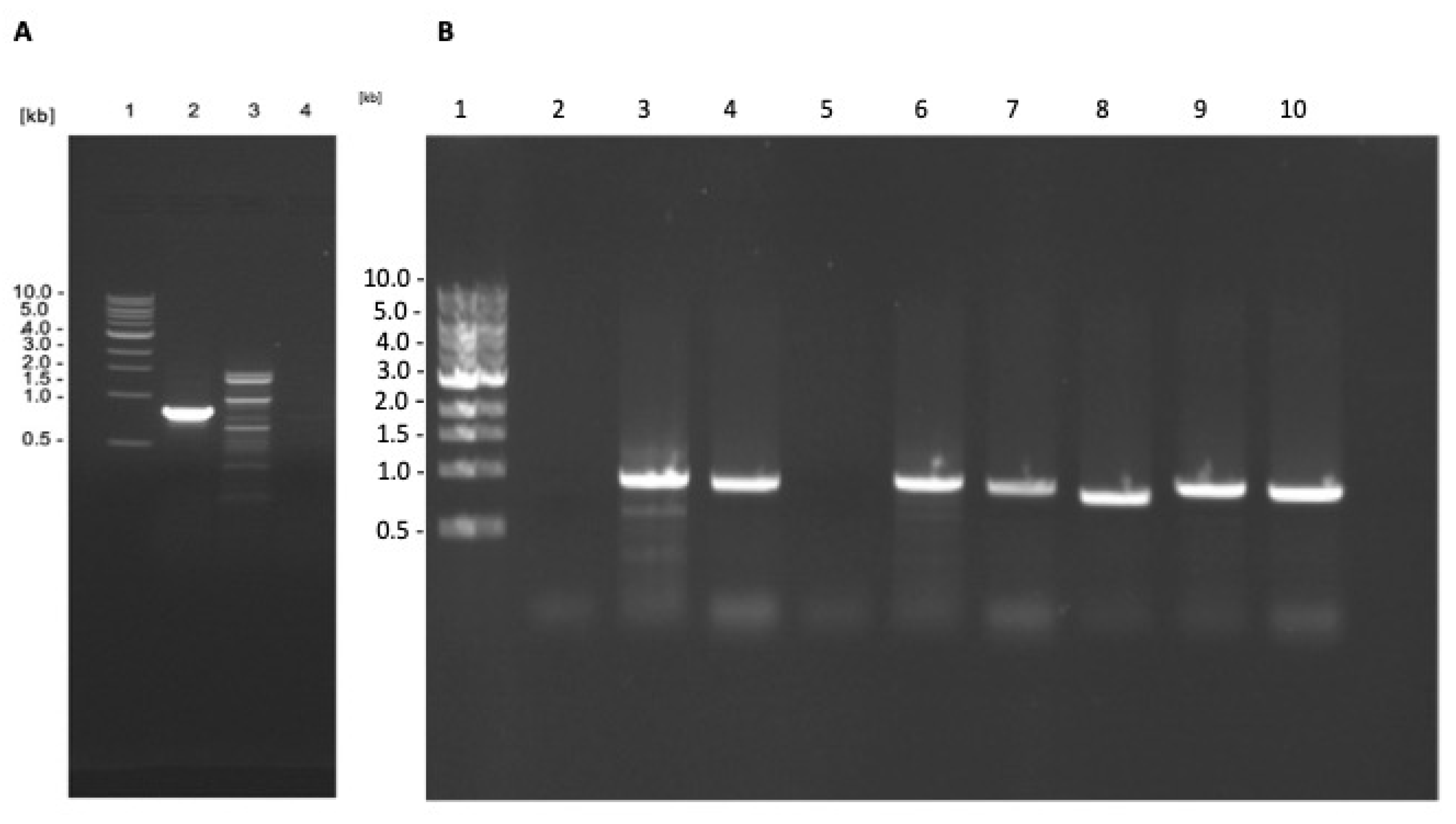
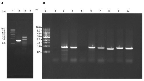
2.4. Polymerase Chain Reaction (PCR) to Confirm Integration of Heterologous γGCS and Deletion of Native γGCS in L. tarentolae
2.5. Promastigote Imaging Studies
2.6. Immunoblot Analysis
2.7. L. major Vaccination Studies
2.8. L. donovani Vaccination Studies
2.9. Production of Soluble Antigen for Immunological Assays
2.10. Specific IgG1 and IgG2a Responses
2.11. Lymphocyte Proliferation
2.12. Cytokine Determination
2.13. Nitrite Determination
2.14. Statistical Analysis
3. Results
3.1. Transgenic L. tarentolae Parasites Produced γGCS Protein
3.2. Deletion of Wild Type γGCS from Transfected Promastigotes
3.3. Vaccination with Transgenic L. tarentolae Parasites Protected against L. major Infection, with the Triple Vaccine Being Most Effective
3.4. Vaccination with the Triple Vaccine Was the Most Effective Vaccine against L. donovani
3.5. PODS-IL-2 Can Boost Immune Responses but Did Not Increase the Protective Immunity against L. donovani Induced by Vaccination with Transgenic L. tarentolae Expressing L. donovani γGCS
4. Discussion
Supplementary Materials
Author Contributions
Funding
Data Availability Statement
Acknowledgments
Conflicts of Interest
References
- Kumari, D.; Perveen, S.; Sharma, R.; Singh, K. Advancement in leishmaniasis diagnosis and therapeutics: An update. Eur. J. Pharmacssology 2021, 910, 174436–174456. [Google Scholar] [CrossRef] [PubMed]
- Garlapati, R.; Iniguez, E.; Serafim, T.D.; Mishra, P.K.; Rooj, B.; Sinha, B.; Valenzuela, J.G.; Srikantiah, S.; Bern, C.; Kamhawi, S. Towards a sustainable vector-control strategy in the post kala-azar elimination era. Front. Cell. Infect. Microbiol. 2021, 11, 641632–641642. [Google Scholar] [CrossRef] [PubMed]
- Le Rutte, E.A.; Coffeng, L.E.; Muñoz, J.; De Vlas, S.J. Modelling the impact of COVID-19-related programme interruptions on visceral leishmaniasis in India. Trans. R. Soc. Trop. Med. Hyg. 2021, 115, 229–235. [Google Scholar] [CrossRef] [PubMed]
- Duthie, M.S.; Van Hoeven, N.; MacMillen, Z.; Picone, A.; Mohamath, R.; Erasmus, J.; Hsu, F.-C.; Stinchcomb, D.T.; Reed, S.G. Heterologous immunization with defined RNA and subunit vaccines enhances T cell responses that protect against Leishmania donovani. Front. Immunol. 2018, 9, 2420–2428. [Google Scholar] [CrossRef] [PubMed]
- Volpedo, G.; Huston, R.H.; Holcomb, E.A.; Pacheco-Fernandez, T.; Gannavaram, S.; Bhattacharya, P.; Nakhasi, H.L.; Satoskar, A.R. From infection to vaccination: Reviewing the global burden, history of vaccine development, and recurring challenges in global leishmaniasis protection. Expert Rev. Vaccines 2021, 20, 1431–1446. [Google Scholar] [CrossRef]
- Saljoughian, N.; Taheri, T.; Rafati, S. Live vaccination tactics: Possible approaches for controlling visceral leishmaniasis. Front. Immunol. 2014, 5, 134–144. [Google Scholar] [CrossRef]
- Legastelois, I.; Buffin, S.; Peubez, I.; Mignon, C.; Sodoyer, R.; Werle, B. Non-conventional expression systems for the production of vaccine proteins and immunotherapeutic molecules. Hum. Vaccines Immunother. 2017, 13, 947–961. [Google Scholar] [CrossRef]
- Lee, W.; Suresh, M. Vaccine adjuvants to engage the cross-presentation pathway. Front. Immunol. 2022, 13, 940047–940066. [Google Scholar] [CrossRef]
- Carter, K.; Henriquez, F.; Campbell, S.; Roberts, C.; Nok, A.; Mullen, A.; McFarlane, E. DNA vaccination against the parasite enzyme gamma-glutamylcysteine synthetase confers protection against Leishmania donovani infection. Vaccine 2007, 25, 4502–4509. [Google Scholar] [CrossRef]
- Henriquez, F.; Campbell, S.; Roberts, C.; Mullen, A.; Burchmore, R.; Carter, K. Vaccination with recombinant Leishmania donovani gamma-glutamylcysteine synthetase fusion protein protects against L. donovani infection. J. Parasitol. 2010, 96, 929–936. [Google Scholar] [CrossRef]
- Campbell, S.; Alawa, J.; Doro, B.; Henriquez, F.; Roberts, C.; Nok, A.; Alawa, C.; Alsaadi, M.; Mullen, A.; Carter, K. Comparative assessment of a DNA and protein Leishmania donovani gamma glutamyl cysteine synthetase vaccine to cross-protect against murine cutaneous leishmaniasis caused by L. major or L. mexicana infection. Vaccine 2012, 30, 1357–1363. [Google Scholar] [CrossRef] [PubMed]
- Wendler, A.; James, N.; Jones, M.H.; Pernstich, C. Phagocytosed Polyhedrin-cytokine Cocrystal nanoparticles provide sustained secretion of bioactive cytokines from macrophages. BioDes. Res. 2021, 2021, 9816485–9816497. [Google Scholar] [CrossRef]
- Bendickova, K.; Fric, J. Roles of IL-2 in bridging adaptive and innate immunity, and as a tool for cellular immunotherapy. J. Leucoc. Biol. 2020, 108, 427–437. [Google Scholar] [CrossRef] [PubMed]
- Kaushal, H.; Bras-Gonçalves, R.; Negi, N.S.; Lemesre, J.-L.; Papierok, G.; Salotra, P. Role of CD8+ T cells in protection against Leishmania donovani infection in healed Visceral Leishmaniasis individuals. BMC Infect. Dis. 2014, 14, 653. [Google Scholar] [CrossRef] [PubMed]
- Spolski, R.; Li, P.; Leonard, W.J. Biology and regulation of IL-2: From molecular mechanisms to human therapy. Nat. Rev. Immunol. 2018, 18, 648–659. [Google Scholar] [CrossRef]
- Overwijk, W.W.; Tagliaferri, M.A.; Zalevsky, J. Engineering IL-2 to give new life to T cell immunotherapy. Annu. Rev. Med. 2021, 72, 281–311. [Google Scholar] [CrossRef]
- Wiese, M.; Kuhn, D.; Grünfelder, C.G. Protein kinase involved in flagellar-length control. Eukaryot. Cell 2003, 2, 769–777. [Google Scholar] [CrossRef]
- Dubessay, P.; Blaineau, C.; Bastien, P.; Tasse, L.; Van Dijk, J.; Crobu, L.; Pagès, M. Cell cycle-dependent expression regulation by the proteasome pathway and characterization of the nuclear targeting signal of a Leishmania major Kin-13 kinesin. Mol. Microbiol. 2006, 59, 1162–1174. [Google Scholar] [CrossRef]
- Benzel, I.; Weise, F.; Wiese, M. Deletion of the gene for the membrane-bound acid phosphatase of Leishmania mexicana. Mol. Biochem. Parasitol. 2000, 111, 77–86. [Google Scholar] [CrossRef]
- Carter, K.; Baillie, A.; Alexander, J.; Dolan, T. The therapeutic effect of sodium stibogluconate in BALB/c mice infected with Leishmania donovani is organ-dependent. J. Pharm. Pharmacol. 1988, 40, 370–373. [Google Scholar] [CrossRef]
- Tseng, J.-C.; Kung, A.L. In vivo imaging of inflammatory phagocytes. Chem. Biol. 2012, 19, 1199–1209. [Google Scholar] [CrossRef] [PubMed]
- Carter, K.C.; Hutchison, S.; Boitelle, A.; Murray, H.W.; Sundar, S.; Mullen, A.B. Sodium stibogluconate resistance in Leishmania donovani correlates with greater tolerance to macrophage antileishmanial responses and trivalent antimony therapy. Parasitology 2005, 131 Pt 6, 747–757. [Google Scholar] [CrossRef] [PubMed]
- Park, C.; Raines, R.T. Dimer formation by a "monomeric" protein. Protein Sci. 2000, 9, 2026–2033. [Google Scholar] [CrossRef] [PubMed]
- Ghosh, S.; Roy, K.; Rajalingam, R.; Martin, S.; Pal, C. Cytokines in the generation and function of regulatory T cell subsets in leishmaniasis. Cytokine 2021, 147, 155266–155276. [Google Scholar] [CrossRef] [PubMed]
- Carneiro, M.; Vaz, L.; Afonso, L.; Horta, M.; Vieira, L. Regulation of macrophage subsets and cytokine production in leishmaniasis. Cytokine 2021, 147, 155309–155317. [Google Scholar] [CrossRef] [PubMed]
- Mendoza-Roldan, J.A.; Votýpka, J.; Bandi, C.; Epis, S.; Modrý, D.; Tichá, L.; Volf, P.; Otranto, D. Leishmania tarentolae: A new frontier in the epidemiology and control of the leishmaniases. Transbound. Emerg. Dis. 2022, 69, e1326–e1337. [Google Scholar] [CrossRef]
- Breton, M.; Tremblay, M.J.; Ouellette, M.; Papadopoulou, B. Live nonpathogenic parasitic vector as a candidate vaccine against visceral leishmaniasis. Infect. Immun. 2005, 73, 6372–6382. [Google Scholar] [CrossRef]
- Fan, J.; Jin, S.; Gilmartin, L.; Toth, I.; Hussein, W.M.; Stephenson, R.J. Advances in Infectious Disease Vaccine Adjuvants. Vaccines 2022, 10, 1120. [Google Scholar] [CrossRef]
- Miralles, G.D.; Stoeckle, M.; McDermott, D.; Finkelman, F.; Murray, H. Th1 and Th2 cell-associated cytokines in experimental visceral leishmaniasis. Infect. Immun. 1994, 62, 1058–1063. [Google Scholar] [CrossRef]
- Kirchner, G.; Franzke, A.; Buer, J.; Beil, W.; Probst-Kepper, M.; Wittke, F.; Övermann, K.; Lassmann, S.; Hoffmann, R.; Kirchner, H. Pharmacokinetics of recombinant human interleukin-2 in advanced renal cell carcinoma patients following subcutaneous application. Br. J. Clin. Pharmacol. 1998, 46, 5–10. [Google Scholar] [CrossRef]
- MacDonald, A.; Wu, T.-C.; Hung, C.-F. Interleukin 2-based fusion proteins for the treatment of cancer. J. Immunol. Res. 2021, 2021, 7855808. [Google Scholar] [CrossRef] [PubMed]








| Primer Name | Primer Sequence | Use |
| LeishSSU.for | Forward 5′-GATCTGGTTGATTCTGCCAGTAG-3′ | Primer to determine integration of GFPGCS constructs into the ribosomal RNA gene locus of Leishmania |
| GFP2.rev | ACATGTTGGACTTGTACAGCTCGTCCAT | Primer to determine integration of GFPGCS constructs into the ribosomal RNA gene locus of Leishmania |
| LtUPStr-F-4 | 5′-TTCGTTGGACCTGGTTCTCA-3′ | L. tarentolae γGCS upstream region-specific primer to determine presence of antibiotic resistance gene or wild type γGCS |
| LtWTGCS-R-5 | Reverse 5′-CTCCTCGCCCCAAAGAAATG-3′ | L. tarentolae γGCS specific primer to determine presence of native γGCS in LtaP18 |
| Hygint.rev | Reverse 5′-GCAATAGGTCAGGCTCTCGC-3′ | Hygromycin phosphotransferase specific primer to determine replacement of native γGCS by the resistance marker gene in LtaP18 |
| Blasticidin-int.rev | Reverse 5’-ATCGCGACGATACAAGTCAGG-3′ | Blasticidin S-deaminase specific primer to determine replacement of native γGCS by the resistance marker gene in LtaP18 |
| Mean Parasite Number/mL ± SE | Mean Parasite Number/mL ± SE × 106 (% Reduction ± SE Compared to Control) | |
|---|---|---|
| L. major Luc parasites at infection | 26 ± 0.5 | N/A |
| Infected Control | 2.98 ± 0.98 | 26 ± 0.58 |
| WT vaccine | 1.66 ± 0.95 (44% ± 0.18) | 16 ± 0.84 (38% ± 0.11) |
| L.t L.don γGCS vaccine | 0.8 ± 0.55 * (74% ± 0.02) | 0.96 ± 0.14 * (96% ± 0.01) |
| L.t L.maj γGCS vaccine | 1.02 ± 0.09 * (86% ± 0.01) | 0.99 ± 0.2 * (94% ± 0.02) |
| L.t L.mex γGCS vaccine | 1.27 ± 0.72 (72% ± 0.19) | 1 ± 0.26 * (96% ± 0.01) |
| Triple vaccine | 0.2 ± 0.17 ***,a (92% ± 0.03) | 0.68 ± 0.28 *,a (98% ± 0.01) |
Disclaimer/Publisher’s Note: The statements, opinions and data contained in all publications are solely those of the individual author(s) and contributor(s) and not of MDPI and/or the editor(s). MDPI and/or the editor(s) disclaim responsibility for any injury to people or property resulting from any ideas, methods, instructions or products referred to in the content. |
© 2023 by the authors. Licensee MDPI, Basel, Switzerland. This article is an open access article distributed under the terms and conditions of the Creative Commons Attribution (CC BY) license (https://creativecommons.org/licenses/by/4.0/).
Share and Cite
Topuz Ata, D.; Hussain, M.; Jones, M.; Best, J.; Wiese, M.; Carter, K.C. Immunisation with Transgenic L. tarentolae Expressing Gamma Glutamyl Cysteine Synthetase from Pathogenic Leishmania Species Protected against L. major and L. donovani Infection in a Murine Model. Microorganisms 2023, 11, 1322. https://doi.org/10.3390/microorganisms11051322
Topuz Ata D, Hussain M, Jones M, Best J, Wiese M, Carter KC. Immunisation with Transgenic L. tarentolae Expressing Gamma Glutamyl Cysteine Synthetase from Pathogenic Leishmania Species Protected against L. major and L. donovani Infection in a Murine Model. Microorganisms. 2023; 11(5):1322. https://doi.org/10.3390/microorganisms11051322
Chicago/Turabian StyleTopuz Ata, Derya, Muattaz Hussain, Michael Jones, Jonathan Best, Martin Wiese, and Katharine Christine Carter. 2023. "Immunisation with Transgenic L. tarentolae Expressing Gamma Glutamyl Cysteine Synthetase from Pathogenic Leishmania Species Protected against L. major and L. donovani Infection in a Murine Model" Microorganisms 11, no. 5: 1322. https://doi.org/10.3390/microorganisms11051322
APA StyleTopuz Ata, D., Hussain, M., Jones, M., Best, J., Wiese, M., & Carter, K. C. (2023). Immunisation with Transgenic L. tarentolae Expressing Gamma Glutamyl Cysteine Synthetase from Pathogenic Leishmania Species Protected against L. major and L. donovani Infection in a Murine Model. Microorganisms, 11(5), 1322. https://doi.org/10.3390/microorganisms11051322

