Transformation of Dunaliella salina by Agrobacterium tumefaciens for the Expression of the Hemagglutinin of Avian Influenza Virus H5
Abstract
:1. Introduction
2. Materials and Methods
2.1. Synthetic Design of the H5rD Gene
2.2. D. salina Strain and Culture Conditions
2.3. DNA Cloning Vector pH5HPDS
2.4. D. salina UTEX-1644 Strain Transformation
2.5. DNA Extraction and PCR Analysis
2.6. SDS-PAGE of Total Soluble Protein
2.7. Western Blot (WB) Analysis of H5rD Protein
2.8. Hemagglutination Assay (HA)
3. Results
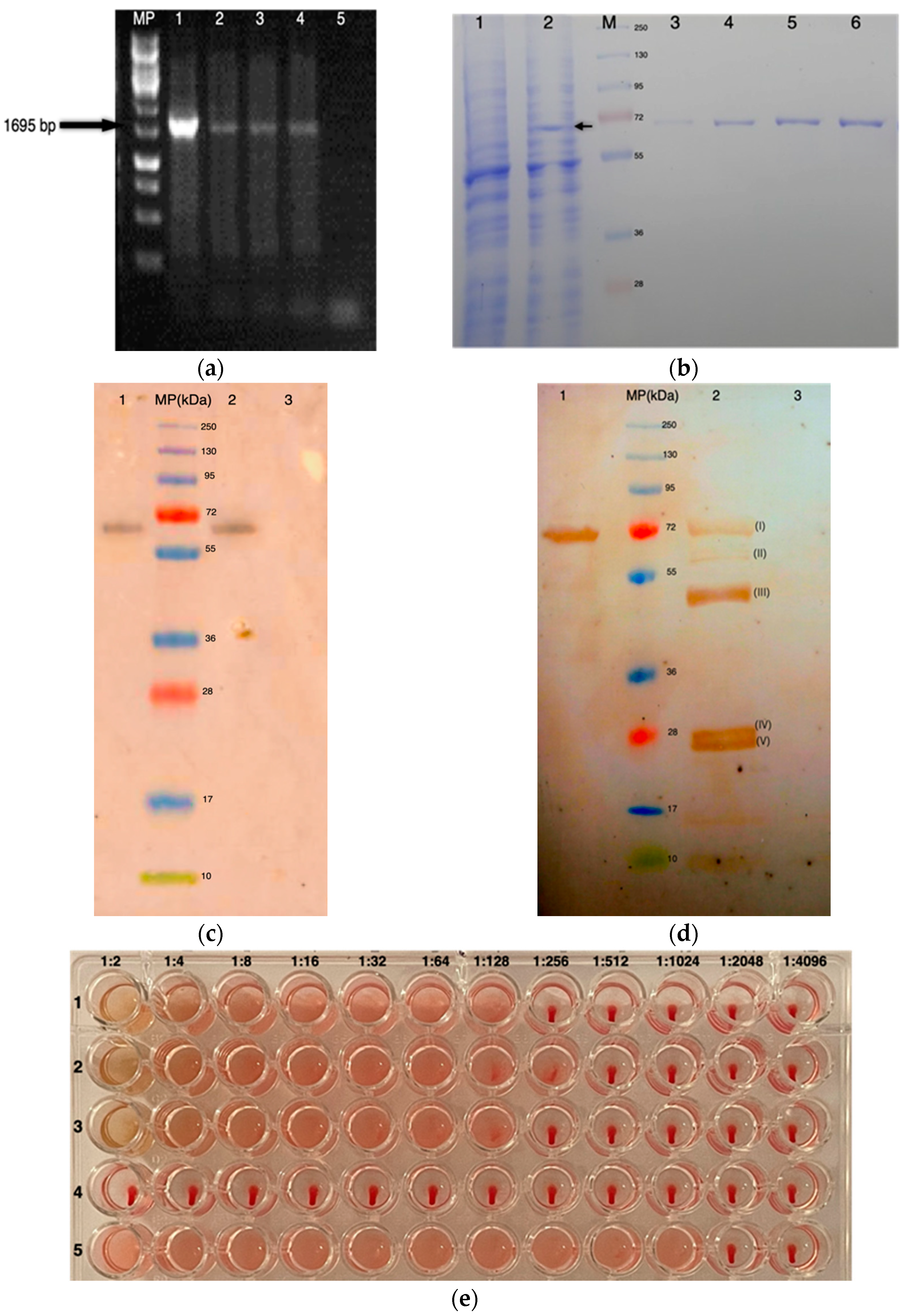
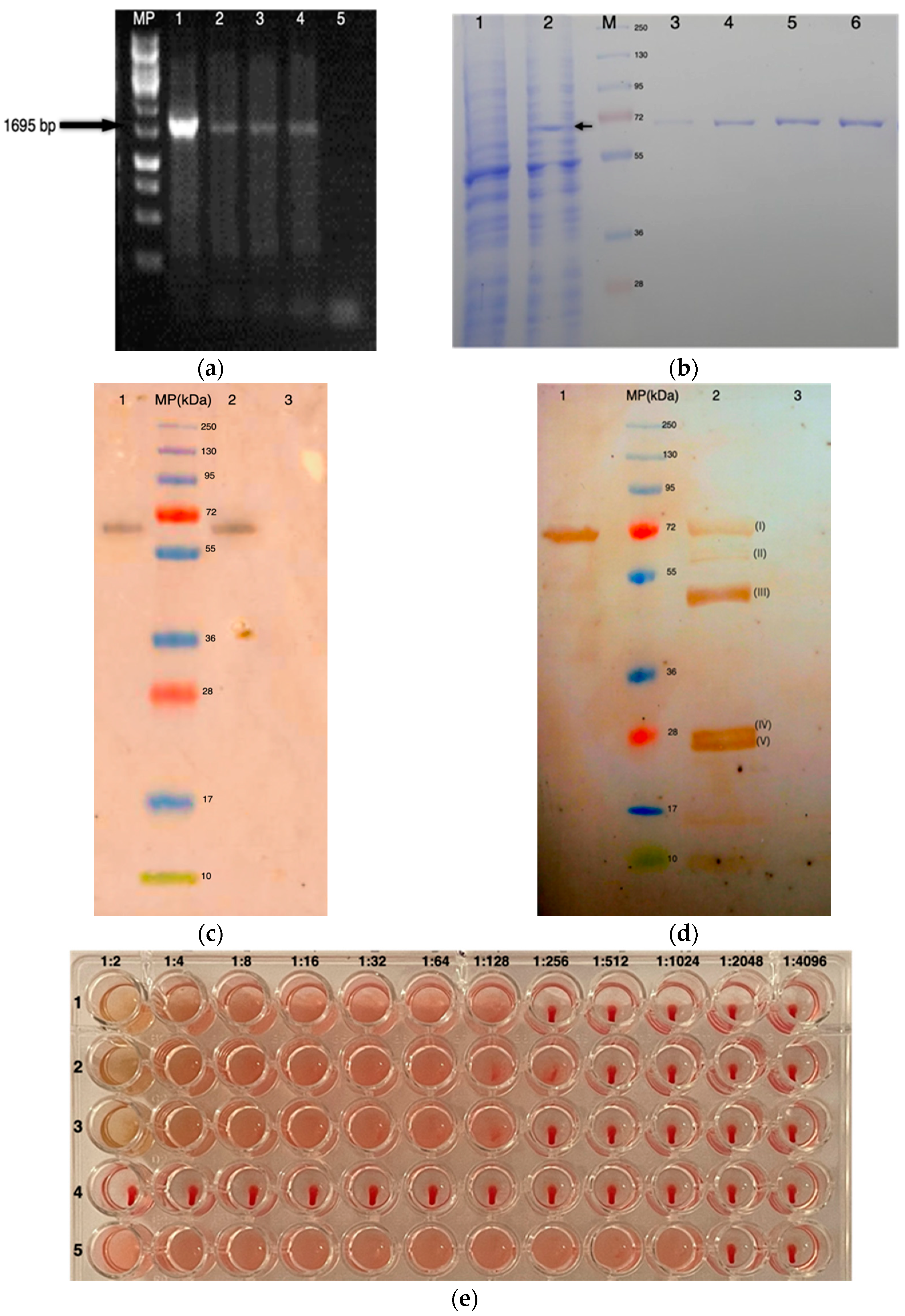
3.1. Cloning of H5HA and Expression of Recombinant Protein H5rD in D. salina
3.2. Bioactivity Analysis
4. Discussion
5. Conclusions
Author Contributions
Funding
Institutional Review Board Statement
Informed Consent Statement
Data Availability Statement
Conflicts of Interest
References
- Saif, Y. Disease of Poultry, 11th ed.; Lowa State Press: Ames, IA, USA, 2003. [Google Scholar]
- Swayne, D.; Pantin-Jackwood, M. Pathogenicity of Avian Influenza Viruses in Poultry. Dev. Biol. 2006, 124, 61–67. [Google Scholar] [PubMed]
- Sendor, A.B.; Weerasuriya, D.; Sapra, A. Avian Influenza; StatPearls Publishing: Treasure Island, FL, USA, 2020. [Google Scholar]
- Lamb, R.A. Genes and Proteins of the Influenza Viruses. In The Influenza Viruses; Springer: Berlin/Heidelberg, Germany, 1989; pp. 1–87. [Google Scholar]
- Wright, P.; Neumann, G.; Kawaoka, Y. Orthomyxoviruses. In Fields Virology; Lippincott Williams & Wilkins: Philadelphia, PA, USA, 2007; pp. 1691–1740. [Google Scholar]
- Bosch, F.; Orlich, M.; Klenk, H.-D.; Rott, R. The Structure of the Hemagglutinin, a Determinant for the Pathogenicity of Influenza Viruses. Virology 1979, 95, 197–207. [Google Scholar] [CrossRef]
- Chen, J.; Lee, K.H.; Steinhauer, D.A.; Stevens, D.J.; Skehel, J.J.; Wiley, D.C. Structure of the Hemagglutinin Precursor Cleavage Site, a Determinant of Influenza Pathogenicity and the Origin of the Labile Conformation. Cell 1998, 95, 409–417. [Google Scholar] [CrossRef] [Green Version]
- Castellanos-Huerta, I.; Bañuelos-Hernández, B.; Téllez, G.; Rosales-Mendoza, S.; Brieba, L.G.; Esquivel-Ramos, E.; Beltrán-López, J.I.; Velazquez, G.; Fernandez-Siurob, I. Recombinant Hemagglutinin of Avian Influenza Virus H5 Expressed in the Chloroplast of Chlamydomonas Reinhardtii and Evaluation of Its Immunogenicity in Chickens. Avian Dis. 2016, 60, 784–791. [Google Scholar] [CrossRef]
- DuBois, R.M.; Aguilar-Yañez, J.M.; Mendoza-Ochoa, G.I.; Oropeza-Almazán, Y.; Schultz-Cherry, S.; Alvarez, M.M.; White, S.W.; Russell, C.J. The Receptor-Binding Domain of Influenza Virus Hemagglutinin Produced in Escherichia Coli Folds into Its Native, Immunogenic Structure. J. Virol. 2011, 85, 865–872. [Google Scholar] [CrossRef] [Green Version]
- Bertran, K.; Thomas, C.; Guo, X.; Bublot, M.; Pritchard, N.; Regan, J.T.; Cox, K.M.; Gasdaska, J.R.; Dickey, L.F.; Kapczynski, D.R.; et al. Expression of H5 Hemagglutinin Vaccine Antigen in Common Duckweed (Lemna Minor) Protects against H5N1 High Pathogenicity Avian Influenza Virus Challenge in Immunized Chickens. Vaccine 2015, 33, 3456–3462. [Google Scholar] [CrossRef]
- Landry, N.; Ward, B.J.; Trépanier, S.; Montomoli, E.; Dargis, M.; Lapini, G.; Vézina, L.-P. Preclinical and Clinical Development of Plant-Made Virus-like Particle Vaccine against Avian H5N1 Influenza. PLoS ONE 2010, 5, e15559. [Google Scholar] [CrossRef] [Green Version]
- Kuroda, K.; Hauser, C.; Rott, R.; Klenk, H.; Doerfler, W. Expression of the Influenza Virus Haemagglutinin in Insect Cells by a Baculovirus Vector. EMBO J. 1986, 5, 1359–1365. [Google Scholar] [CrossRef]
- Potvin, G.; Zhang, Z. Strategies for High-Level Recombinant Protein Expression in Transgenic Microalgae: A Review. Biotechnol. Adv. 2010, 28, 910–918. [Google Scholar] [CrossRef]
- Hosseini Tafreshi, A.; Shariati, M. Dunaliella Biotechnology: Methods and Applications. J. Appl. Microbiol. 2009, 107, 14–35. [Google Scholar] [CrossRef]
- Oren, A. A Hundred Years of Dunaliella Research: 1905–2005. Saline Syst. 2005, 1, 2. [Google Scholar] [CrossRef] [Green Version]
- Teodoresco, E. Organisation et Développement Du Dunaliella, Nouveau Genre de Volvocacée-Polyblepharidée. Beih. Z. Bot. Cent. 1905, XVIII, 215–232. [Google Scholar]
- Dunal, M. Note Sur Les Algues Qui Colourent En Rouge Certaines Eaux Des Marais Salants Méditerranéens. C. R. Hebd. Seances Acad. Sci. 1837, 15, 585–587. [Google Scholar]
- Geng, D.-G.; Han, Y.; Wang, Y.-Q.; Wang, P.; Zhang, L.-M.; Li, W.-B.; Sun, Y.-R. Construction of a System for the Stable Expression of Foreign Genes in Dunaliella salina. Acta Bot. Sin. 2004, 46, 342–346. [Google Scholar]
- Tan, C.; Qin, S.; Zhang, Q.; Jiang, P.; Zhao, F. Establishment of a Micro-Particle Bombardment Transformation System for Dunaliella salina. J. Microbiol. 2005, 43, 361–365. [Google Scholar]
- Feng, S.; Xue, L.; Liu, H.; Lu, P. Improvement of Efficiency of Genetic Transformation for Dunaliella salina by Glass Beads Method. Mol. Biol. Rep. 2009, 36, 1433. [Google Scholar] [CrossRef]
- Chai, X.-J.; Chen, H.-X.; Xu, W.-Q.; Xu, Y.-W. Expression of Soybean Kunitz Trypsin Inhibitor Gene SKTI in Dunaliella salina. J. Appl. Phycol. 2013, 25, 139–144. [Google Scholar] [CrossRef]
- Anila, N.; Chandrashekar, A.; Ravishankar, G.A.; Sarada, R. Establishment of Agrobacterium tumefaciens-Mediated Genetic Transformation in Dunaliella bardawil. Eur. J. Phycol. 2011, 46, 36–44. [Google Scholar] [CrossRef] [Green Version]
- Simon, D.P.; Narayanan, A.; Gouda, K.M.; Sarada, R. Vir Gene Inducers in Dunaliella salina; an Insight in to the Agrobacterium-Mediated Genetic Transformation of Microalgae. Algal Res. 2015, 11, 121–124. [Google Scholar] [CrossRef]
- Feng, S.; Li, X.; Xu, Z.; Qi, J. Dunaliella salina as a Novel Host for the Production of Recombinant Proteins. Appl. Microbiol. Biotechnol. 2014, 98, 4293–4300. [Google Scholar] [CrossRef]
- Zhang, X.; Henriques, R.; Lin, S.-S.; Niu, Q.-W.; Chua, N.-H. Agrobacterium-Mediated Transformation of Arabidopsis Thaliana Using the Floral Dip Method. Nat. Protoc. 2006, 1, 641–646. [Google Scholar] [CrossRef] [PubMed]
- Dehghani, J.; Movafeghi, A.; Barzegari, A.; Barar, J. Efficient and Stable Transformation of Dunaliella pseudosalina by 3 Strains of Agrobacterium tumefaciens. BioImpacts BI 2017, 7, 247. [Google Scholar] [CrossRef] [PubMed] [Green Version]
- Gelvin, S.B.; Habeck, L.L. Vir Genes Influence Conjugal Transfer of the Ti Plasmid of Agrobacterium tumefaciens. J. Bacteriol. 1990, 172, 1600–1608. [Google Scholar] [CrossRef] [Green Version]
- Gangl, D.; Zedler, J.A.; Rajakumar, P.D.; Martinez, E.M.R.; Riseley, A.; Włodarczyk, A.; Purton, S.; Sakuragi, Y.; Howe, C.J.; Jensen, P.E.; et al. Biotechnological Exploitation of Microalgae. J. Exp. Bot. 2015, 66, 6975–6990. [Google Scholar] [CrossRef] [Green Version]
- Alexander, D.J. A Review of Avian Influenza in Different Bird Species. Vet. Microbiol. 2000, 74, 3–13. [Google Scholar] [CrossRef]
- Orset, S.; Young, A.J. Low-Temperature-Induced Synthesis of α-Carotene in the Microalga Dunaliella salina (Chlorophyta). J. Phycol. 1999, 35, 520–527. [Google Scholar] [CrossRef]
- López-Paz, C.; Liu, D.; Geng, S.; Umen, J.G. Identification of Chlamydomonas Reinhardtii Endogenous Genic Flanking Sequences for Improved Transgene Expression. Plant J. 2017, 92, 1232–1244. [Google Scholar] [CrossRef] [Green Version]
- Sambrook, J.; Fritsch, E.F.; Maniatis, T. Molecular Cloning: A Laboratory Manual; Cold Spring Harbor Laboratory Press: Cold Spring Harbor, NY, USA, 1989. [Google Scholar]
- Weigel, D.; Glazebrook, J. Transformation of Agrobacterium Using Electroporation. CSH Protoc. 2006, 2006. [Google Scholar] [CrossRef]
- Bañuelos-Hernández, B.; Monreal-Escalante, E.; González-Ortega, O.; Angulo, C.; Rosales-Mendoza, S. Algevir: An Expression System for Microalgae Based on Viral Vectors. Front. Microbiol. 2017, 8, 1100. [Google Scholar] [CrossRef] [Green Version]
- Peach, M.; Marsh, N.; Miskiewicz, E.I.; MacPhee, D.J. Solubilization of Proteins: The Importance of Lysis Buffer Choice. In Western Blotting; Springer: Berlin/Heidelberg, Germany, 2015; pp. 49–60. [Google Scholar] [CrossRef]
- Killian, M.L. Hemagglutination Assay for the Avian Influenza Virus. In Avian Influenza Virus; Springer: Berlin/Heidelberg, Germany, 2008; pp. 47–52. [Google Scholar] [CrossRef]
- Swayne, D.E. Laboratory Manual for the Isolation and Identification of Avian Pathogens; American Association of Avian Pathologists, University of Pennsylvania: Philadelphia, PA, USA, 1998. [Google Scholar]
- Walsh, G. Biopharmaceutical benchmarks 2010. Nat. Biotechnol. 2010, 28, 917–924. [Google Scholar] [CrossRef]
- Assenberg, R.; Wan, P.T.; Geisse, S.; Mayr, L.M. Advances in Recombinant Protein Expression for Use in Pharmaceutical Research. Curr. Opin. Struct. Biol. 2013, 23, 393–402. [Google Scholar] [CrossRef] [PubMed]
- Harvey, R.; Guilfoyle, K.A.; Roseby, S.; Robertson, J.S.; Engelhardt, O.G. Improved Antigen Yield in Pandemic H1N1 (2009) Candidate Vaccine Viruses with Chimeric Hemagglutinin Molecules. J. Virol. 2011, 85, 6086–6090. [Google Scholar] [CrossRef] [PubMed] [Green Version]
- Swayne, D.E. Avian Influenza Vaccines and Therapies for Poultry. Comp. Immunol. Microbiol. Infect. Dis. 2009, 32, 351–363. [Google Scholar] [CrossRef]
- Robertson, J.S.; Nicolson, C.; Harvey, R.; Johnson, R.; Major, D.; Guilfoyle, K.; Roseby, S.; Newman, R.; Collin, R.; Wallis, C.; et al. The Development of Vaccine Viruses against Pandemic A (H1N1) Influenza. Vaccine 2011, 29, 1836–1843. [Google Scholar] [CrossRef]
- Nayak, D.; Davis, A.; McQueen, N.; Bos, T.; Jabbar, M.; Sivasubramanian, N.; Lionelli, G. Biological and Immunological Properties of Haemagglutinin and Neuraminidase Expressed from Cloned CDNAs in Prokaryotic and Eukaryotic Cells. Vaccine 1985, 3, 165–171. [Google Scholar] [CrossRef]
- Jenkins, N.; Curling, E.M. Glycosylation of Recombinant Proteins: Problems and Prospects. Enzyme Microb. Technol. 1994, 16, 354–364. [Google Scholar] [CrossRef]
- Specht, E.; Miyake-Stoner, S.; Mayfield, S. Micro-Algae Come of Age as a Platform for Recombinant Protein Production. Biotechnol. Lett. 2010, 32, 1373–1383. [Google Scholar] [CrossRef] [Green Version]
- Gong, Y.; Hu, H.; Gao, Y.; Xu, X.; Gao, H. Microalgae as Platforms for Production of Recombinant Proteins and Valuable Compounds: Progress and Prospects. J. Ind. Microbiol. Biotechnol. 2011, 38, 1879–1890. [Google Scholar] [CrossRef]
- Schillberg, S.; Raven, N.; Fischer, R.; M Twyman, R.; Schiermeyer, A. Molecular Farming of Pharmaceutical Proteins Using Plant Suspension Cell and Tissue Cultures. Curr. Pharm. Des. 2013, 19, 5531–5542. [Google Scholar] [CrossRef]
- Matthews, J.T. Egg-Based Production of Influenza Vaccine: 30 Years of Commercial Experience. BRIDGE-Wash.-Natl. Acad. Eng. 2006, 36, 17. [Google Scholar]
- Hempel, F.; Maier, U.G. Microalgae as Solar-Powered Protein Factories. Adv. Technol. Protein Complex Prod. Charact. 2016, 896, 241–262. [Google Scholar] [CrossRef]
- Kanagarajan, S.; Tolf, C.; Lundgren, A.; Waldenström, J.; Brodelius, P.E. Transient Expression of Hemagglutinin Antigen from Low Pathogenic Avian Influenza A (H7N7) in Nicotiana Benthamiana. PLoS ONE 2012, 7, e33010. [Google Scholar] [CrossRef] [PubMed] [Green Version]
- Bayne, A.-C.V.; Boltz, D.; Owen, C.; Betz, Y.; Maia, G.; Azadi, P.; Archer-Hartmann, S.; Zirkle, R.; Lippmeier, J.C. Vaccination against Influenza with Recombinant Hemagglutinin Expressed by Schizochytrium sp. Confers Protective Immunity. PLoS ONE 2013, 8, e61790. [Google Scholar] [CrossRef] [PubMed] [Green Version]
- Mathieu-Rivet, E.; Lerouge, P.; Bardor, M. Chlamydomonas Reinhardtii: Protein Glycosylation and Production of Biopharmaceuticals. In Chlamydomonas: Biotechnology and Biomedicine; Springer: Berlin/Heidelberg, Germany, 2017; pp. 45–72. [Google Scholar] [CrossRef]
- Wu, C.-Y.; Lin, C.-W.; Tsai, T.-I.; Lee, C.-C.D.; Chuang, H.-Y.; Chen, J.-B.; Tsai, M.-H.; Chen, B.-R.; Lo, P.-W.; Liu, C.-P.; et al. Influenza A Surface Glycosylation and Vaccine Design. Proc. Natl. Acad. Sci. USA 2017, 114, 280–285. [Google Scholar] [CrossRef] [Green Version]
- Mathieu-Rivet, E.; Mati-Baouche, N.; Walet-Balieu, M.-L.; Lerouge, P.; Bardor, M. N-and O-Glycosylation Pathways in the Microalgae Polyphyletic Group. Front. Plant Sci. 2020, 11, 2027. [Google Scholar] [CrossRef] [PubMed]
- Luo, M. Influenza Virus Entry. Viral Mol. Mach. 2012, 201–221. [Google Scholar] [CrossRef]
- Russell, C.J. Acid-Induced Membrane Fusion by the Hemagglutinin Protein and Its Role in Influenza Virus Biology. Influenza Pathog. Control 2014, 385, 93–116. [Google Scholar] [CrossRef]
- Deshpande, K.L.; Fried, V.A.; Ando, M.; Webster, R.G. Glycosylation Affects Cleavage of an H5N2 Influenza Virus Hemagglutinin and Regulates Virulence. Proc. Natl. Acad. Sci. USA 1987, 84, 36–40. [Google Scholar] [CrossRef] [Green Version]
- Tate, M.D.; Job, E.R.; Deng, Y.-M.; Gunalan, V.; Maurer-Stroh, S.; Reading, P.C. Playing Hide and Seek: How Glycosylation of the Influenza Virus Hemagglutinin Can Modulate the Immune Response to Infection. Viruses 2014, 6, 1294–1316. [Google Scholar] [CrossRef] [Green Version]

Publisher’s Note: MDPI stays neutral with regard to jurisdictional claims in published maps and institutional affiliations. |
© 2022 by the authors. Licensee MDPI, Basel, Switzerland. This article is an open access article distributed under the terms and conditions of the Creative Commons Attribution (CC BY) license (https://creativecommons.org/licenses/by/4.0/).
Share and Cite
Castellanos-Huerta, I.; Gómez-Verduzco, G.; Tellez-Isaias, G.; Ayora-Talavera, G.; Bañuelos-Hernández, B.; Petrone-García, V.M.; Velázquez-Juárez, G.; Fernández-Siurob, I. Transformation of Dunaliella salina by Agrobacterium tumefaciens for the Expression of the Hemagglutinin of Avian Influenza Virus H5. Microorganisms 2022, 10, 361. https://doi.org/10.3390/microorganisms10020361
Castellanos-Huerta I, Gómez-Verduzco G, Tellez-Isaias G, Ayora-Talavera G, Bañuelos-Hernández B, Petrone-García VM, Velázquez-Juárez G, Fernández-Siurob I. Transformation of Dunaliella salina by Agrobacterium tumefaciens for the Expression of the Hemagglutinin of Avian Influenza Virus H5. Microorganisms. 2022; 10(2):361. https://doi.org/10.3390/microorganisms10020361
Chicago/Turabian StyleCastellanos-Huerta, Inkar, Gabriela Gómez-Verduzco, Guillermo Tellez-Isaias, Guadalupe Ayora-Talavera, Bernardo Bañuelos-Hernández, Víctor Manuel Petrone-García, Gilberto Velázquez-Juárez, and Isidro Fernández-Siurob. 2022. "Transformation of Dunaliella salina by Agrobacterium tumefaciens for the Expression of the Hemagglutinin of Avian Influenza Virus H5" Microorganisms 10, no. 2: 361. https://doi.org/10.3390/microorganisms10020361
APA StyleCastellanos-Huerta, I., Gómez-Verduzco, G., Tellez-Isaias, G., Ayora-Talavera, G., Bañuelos-Hernández, B., Petrone-García, V. M., Velázquez-Juárez, G., & Fernández-Siurob, I. (2022). Transformation of Dunaliella salina by Agrobacterium tumefaciens for the Expression of the Hemagglutinin of Avian Influenza Virus H5. Microorganisms, 10(2), 361. https://doi.org/10.3390/microorganisms10020361

