High-Risk Human Papillomaviruses and Epstein–Barr Virus in Colorectal Cancer and Their Association with Clinicopathological Status
Abstract
1. Introduction
2. Results
2.1. Clinicopathological Characteristics of the Cohort
2.2. The Status of High-Risk HPV Subtypes and EBV by PCR
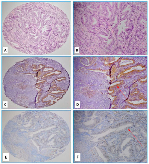
2.3. Immunohistochemical Expression of E6 (HPVs) and LMP1 (EBV)
3. Discussion
4. Materials and Methods
4.1. Sample Collection and DNA Extraction
4.2. EBV and HPV Detection by PCR
4.3. Tissue Microarray (TMA)
4.4. Immunohistochemistry (IHC)
4.5. Statistical Analysis
5. Conclusions
Supplementary Materials
Author Contributions
Funding
Acknowledgments
Conflicts of Interest
References
- Ferlay, J.; Colombet, M.; Soerjomataram, I.; Mathers, C.; Parkin, D.M.; Piñeros, M.; Znaor, A.; Bray, F. Estimating the global cancer incidence and mortality in 2018: GLOBOCAN sources and methods. Int. J. Cancer 2019, 144, 1941–1953. [Google Scholar] [CrossRef] [PubMed]
- Granados-Romero, J.J.; Valderrama-Treviño, A.I.; Contreras-Flores, E.H.; Barrera-Mera, B.; Herrera Enríquez, M.; Uriarte-Ruíz, K.; Ceballos-Villalba, J.C.; Estrada-Mata, A.G.; Alvarado Rodríguez, C.; Arauz-Peña, G. Colorectal cancer: A review. Int. J. Res. Med. Sci. 2017, 5, 10. [Google Scholar] [CrossRef]
- Johnson, C.M.; Wei, C.; Ensor, J.E.; Smolenski, D.J.; Amos, C.I.; Levin, B.; Berry, D.A. Meta-analyses of colorectal cancer risk factors. Cancer Causes Control 2013, 24, 1207–1222. [Google Scholar] [CrossRef] [PubMed]
- Daling, J.R.; Madeleine, M.M.; Johnson, L.G.; Schwartz, S.M.; Shera, K.A.; Wurscher, M.A.; Carter, J.J.; Porter, P.L.; Galloway, D.A.; McDougall, J.K. Human papillomavirus, smoking, and sexual practices in the etiology of anal cancer. Cancer 2004, 101, 270–280. [Google Scholar] [CrossRef]
- Shi, Y.; Peng, S.-L.; Yang, L.-F.; Chen, X.; Tao, Y.-G.; Cao, Y. Co-infection of Epstein-Barr virus and human papillomavirus in human tumorigenesis. Chin. J. Cancer 2016, 35, 16. [Google Scholar] [CrossRef]
- Fernandes, Q.; Gupta, I.; Vranic, S.; Al Moustafa, A.E. Human Papillomaviruses and Epstein-Barr Virus Interactions in Colorectal Cancer: A Brief Review. Pathogens 2020, 9, 300. [Google Scholar] [CrossRef]
- Tulay, P.; Serakinci, N. The Route to HPV-Associated Neoplastic Transformation: A Review of the Literature. Crit. Rev. Eukaryot. Gene Expr. 2016, 26, 27–39. [Google Scholar] [CrossRef]
- Ferreira, A.R.; Ramalho, A.C.; Marques, M.; Ribeiro, D. The Interplay between Antiviral Signalling and Carcinogenesis in Human Papillomavirus Infections. Cancers 2020, 12, 646. [Google Scholar] [CrossRef]
- Antonic, V.; Stojadinovic, A.; Kester, K.E.; Weina, P.J.; Brücher, B.L.; Protic, M.; Avital, I.; Izadjoo, M. Significance of Infectious Agents in Colorectal Cancer Development. J. Cancer 2013, 4, 227–240. [Google Scholar] [CrossRef]
- Moody, C.A.; Laimins, L.A. Human papillomavirus oncoproteins: Pathways to transformation. Nat. Rev. Cancer 2010, 10, 550. [Google Scholar] [CrossRef]
- Al Moustafa, A.-E. E5 and E6/E7 of high-risk HPVs cooperate to enhance cancer progression through EMT initiation. Cell Adhes. Migr. 2015, 9, 392–393. [Google Scholar] [CrossRef]
- Chen, X.; Bode, A.M.; Dong, Z.; Cao, Y. The epithelial–mesenchymal transition (EMT) is regulated by oncoviruses in cancer. FASEB J. 2016, 30, 3001–3010. [Google Scholar] [CrossRef] [PubMed]
- Bodaghi, S.; Wood, L.V.; Roby, G.; Ryder, C.; Steinberg, S.M.; Zheng, Z.-M. Could human papillomaviruses be spread through blood? J. Clin. Microbiol. 2005, 43, 5428–5434. [Google Scholar] [CrossRef] [PubMed]
- Cyprian, F.S.; Al-Farsi, H.F.; Vranic, S.; Akhtar, S.; Al Moustafa, A.E. Epstein-Barr Virus and Human Papillomaviruses Interactions and Their Roles in the Initiation of Epithelial-Mesenchymal Transition and Cancer Progression. Front. Oncol. 2018, 8, 111. [Google Scholar] [CrossRef] [PubMed]
- Schiffman, M.; Castle, P.E.; Jeronimo, J.; Rodriguez, A.C.; Wacholder, S. Human papillomavirus and cervical cancer. Lancet 2007, 370, 890–907. [Google Scholar] [CrossRef]
- Al-Thawadi, H.; Gupta, I.; Jabeen, A.; Skenderi, F.; Aboulkassim, T.; Yasmeen, A.; Malki, M.I.; Batist, G.; Vranic, S.; Al Moustafa, A.-E. Co-Presence of Human Papillomaviruses and Epstein–Barr Virus is Linked with Advanced Tumor Stage: A Tissue Microarray Study in Head and Neck Cancer Patients. Cancer Cell Int. 2020, in press. [Google Scholar]
- Akil, N.; Yasmeen, A.; Kassab, A.; Ghabreau, L.; Darnel, A.D.; Al Moustafa, A.E. High-risk human papillomavirus infections in breast cancer in Syrian women and their association with Id-1 expression: A tissue microarray study. Br. J. Cancer 2008, 99, 404–407. [Google Scholar] [CrossRef]
- Li, N.; Yang, L.; Zhang, Y.; Zhao, P.; Zheng, T.; Dai, M. Human papillomavirus infection and bladder cancer risk: A meta-analysis. J. Infect. Dis. 2011, 204, 217–223. [Google Scholar] [CrossRef]
- Bedri, S.; Sultan, A.A.; Alkhalaf, M.; Al Moustafa, A.-E.; Vranic, S. Epstein-Barr virus (EBV) status in colorectal cancer: A mini review. Hum. Vaccines Immunother. 2019, 15, 603–610. [Google Scholar] [CrossRef]
- Mehrabani-Khasraghi, S.; Ghane, M.; Ameli, M. Detection of Epstein-Barr virus in colorectal cancer and Polyp by using PCR technique. J. Paramed. Sci. 2014, 5, 96–101. [Google Scholar]
- Shimakage, M.; Horii, K.; Tempaku, A.; Kakudo, K.; Shirasaka, T.; Sasagawa, T. Association of Epstein-Barr virus with oral cancers. Hum. Pathol. 2002, 33, 608–614. [Google Scholar] [CrossRef]
- Horiuchi, K.; Mishima, K.; Ichijima, K.; Sugimura, M.; Ishida, T.; Kirita, T. Epstein-Barr virus in the proliferative diseases of squamous epithelium in the oral cavity. Oral Surg. Oral Med. Oral Pathol. Oral Radiol. Endodontology 1995, 79, 57–63. [Google Scholar] [CrossRef]
- Frappier, L. The Epstein-Barr Virus EBNA1 Protein. Scientifica 2012, 2012, 438204. [Google Scholar] [CrossRef]
- Boudreault, S.; Armero, V.E.S.; Scott, M.S.; Perreault, J.-P.; Bisaillon, M. The Epstein-Barr virus EBNA1 protein modulates the alternative splicing of cellular genes. Virol. J. 2019, 16, 29. [Google Scholar] [CrossRef]
- Bodaghi, S.; Yamanegi, K.; Xiao, S.-Y.; Da Costa, M.; Palefsky, J.M.; Zheng, Z.-M. Colorectal papillomavirus infection in patients with colorectal cancer. Clin. Cancer Res. 2005, 11, 2862–2867. [Google Scholar] [CrossRef] [PubMed]
- Bernabe-Dones, R.D.; Gonzalez-Pons, M.; Villar-Prados, A.; Lacourt-Ventura, M.; Rodríguez-Arroyo, H.; Fonseca-Williams, S.; Velazquez, F.E.; Diaz-Algorri, Y.; Lopez-Diaz, S.M.; Rodríguez, N.; et al. High Prevalence of Human Papillomavirus in Colorectal Cancer in Hispanics: A Case-Control Study. Gastroenterol. Res. Pract. 2016, 2016, 7896716. [Google Scholar] [CrossRef]
- Damin, D.C.; Caetano, M.B.; Rosito, M.A.; Schwartsmann, G.; Damin, A.S.; Frazzon, A.P.; Ruppenthal, R.D.; Alexandre, C.O.P. Evidence for an association of human papillomavirus infection and colorectal cancer. Eur. J. Surg. Oncol. 2007, 33, 569–574. [Google Scholar] [CrossRef] [PubMed]
- Mehrabani-Khasraghi, S.; Ameli, M.; Khalily, F. Demonstration of Herpes Simplex Virus, Cytomegalovirus, and Epstein-Barr Virus in Colorectal Cancer. Iran Biomed. J. 2016, 20, 302–306. [Google Scholar] [CrossRef] [PubMed]
- Harper, D.M.; DeMars, L.R. HPV vaccines—A review of the first decade. Gynecol. Oncol. 2017, 146, 196–204. [Google Scholar] [CrossRef]
- De Sanjose, S.; Quint, W.G.V.; Alemany, L.; Geraets, D.T.; Klaustermeier, J.E.; Lloveras, B.; Tous, S.; Felix, A.; Bravo, L.E.; Shin, H.-R.; et al. Human papillomavirus genotype attribution in invasive cervical cancer: A retrospective cross-sectional worldwide study. Lancet Oncol. 2010, 11, 1048–1056. [Google Scholar] [CrossRef]
- Iljazović, E.; Mena, M.; Tous, S.; Alemany, L.; Omeragić, F.; Sadiković, A.; Clavero, O.; Vergara, M.; Bosch, F.X.; de Sanjosé, S. Human papillomavirus genotype distribution in invasive cervical cancer in Bosnia and Herzegovina. Cancer Epidemiol. 2014, 38, 504–510. [Google Scholar] [CrossRef]
- Guan, P.; Howell-Jones, R.; Li, N.; Bruni, L.; de Sanjosé, S.; Franceschi, S.; Clifford, G.M. Human papillomavirus types in 115,789 HPV-positive women: A meta-analysis from cervical infection to cancer. Int. J. Cancer 2012, 131, 2349–2359. [Google Scholar] [CrossRef] [PubMed]
- Bruni, L.; Albero, G.; Serrano, B.; Mena, M.; Gómez, D.; Muñoz, J.; Bosch, F.X.; de Sanjosé, S. Human Papillomavirus and Related Diseases in Bosnia & Herzegovina; ICO/IARC Information Centre on HPV and Cancer (HPV Information Centre): Barcelona, Spain, 2019; pp. 1–73. [Google Scholar]
- Jarzyński, A.; Zając, P.; Żebrowski, R.; Boguszewska, A.; Polz-Dacewicz, M. Occurrence of BK Virus and Human Papilloma Virus in colorectal cancer. Ann. Agric. Environ. Med. 2017, 24, 440–445. [Google Scholar] [CrossRef] [PubMed]
- Giuliani, L.; Ronci, C.; Bonifacio, D.; Di Bonito, L.; Favalli, C.; Perno, C.F.; Syrjänen, K.; Ciotti, M. Detection of oncogenic DNA viruses in colorectal cancer. Anticancer Res. 2008, 28, 1405–1410. [Google Scholar] [PubMed]
- Damin, D.C.; Ziegelmann, P.K.; Damin, A.P. Human papillomavirus infection and colorectal cancer risk: A meta-analysis. Colorectal Dis. 2013, 15, e420–e428. [Google Scholar] [CrossRef] [PubMed]
- Pajtler, M.; Audy-Jurković, S.; Kardum-Skelin, I.; Mahovlić, V.; Mozetic-Vrdoljak, D.; Ovanin-Rakić, A. Organisation of cervical cytology screening in Croatia: Past, present and future. Coll. Antropol. 2007, 31 (Suppl. 2), 47–54. [Google Scholar]
- Kovacevic, G.; Milosevic, V.; Knezevic, P.; Knezevic, A.; Knezevic, I.; Radovanov, J.; Nikolic, N.; Patic, A.; Petrovic, V.; Hrnjakovic Cvjetkovic, I.; et al. Prevalence of oncogenic Human papillomavirus and genetic diversity in the L1 gene of HPV16 HPV 18 HPV31 and HPV33 found in women from Vojvodina Province Serbia. Biologicals 2019, 58, 57–63. [Google Scholar] [CrossRef]
- Malekpour Afshar, R.; Deldar, Z.; Mollaei, H.R.; Arabzadeh, S.A.; Iranpour, M. Evaluation of HPV DNA positivity in colorectal cancer patients in Kerman, Southeast Iran. Asian Pac. J. Cancer Prev. APJCP 2018, 19, 193–198. [Google Scholar] [CrossRef]
- Pérez, L.O.; Abba, M.C.; Laguens, R.M.; Golijow, C.D. Analysis of adenocarcinoma of the colon and rectum: Detection of human papillomavirus (HPV) DNA by polymerase chain reaction. Colorectal Dis. 2005, 7, 492–495. [Google Scholar] [CrossRef]
- Al-Antary, N.; Farghaly, H.; Aboulkassim, T.; Yasmeen, A.; Akil, N.; Al Moustafa, A.-E. Epstein-Barr virus and its association with Fascin expression in colorectal cancers in the Syrian population: A tissue microarray study. Hum. Vaccines Immunother. 2017, 13, 1573–1578. [Google Scholar] [CrossRef]
- Sole, C.V.; Calvo, F.A.; Ferrer, C.; Alvarez, E.; Carreras, J.L.; Ochoa, E. Human cytomegalovirus and Epstein-Barr virus infection impact on 18F-FDG PET/CT SUVmax, CT volumetric and KRAS-based parameters of patients with locally advanced rectal cancer treated with neoadjuvant therapy. Eur. J. Nucl. Med. Mol. Imaging 2015, 42. [Google Scholar] [CrossRef] [PubMed]
- Neves, M.; Marinho-Dias, J.; Ribeiro, J.; Sousa, H. Epstein–Barr virus strains and variations: Geographic or disease-specific variants? J. Med. Virol. 2017, 89, 373–387. [Google Scholar] [CrossRef] [PubMed]
- Zekri, A.-R.N.; Bahnassy, A.A.; Mohamed, W.S.; El-Kassem, F.A.; El-Khalidi, S.J.; Hafez, M.M.; Hassan, Z.K. Epstein-Barr virus and breast cancer: Epidemiological and Molecular study on Egyptian and Iraqi women. J. Egypt. Natl. Cancer Inst. 2012, 24, 123–131. [Google Scholar] [CrossRef] [PubMed]
- Gahn, T.A.; Sugden, B. An EBNA-1-dependent enhancer acts from a distance of 10 kilobase pairs to increase expression of the Epstein-Barr virus LMP gene. J. Virol. 1995, 69, 2633–2636. [Google Scholar] [CrossRef]
- Thompson, M.P.; Kurzrock, R. Epstein-Barr Virus and Cancer. Clin. Cancer Res. 2004, 10, 803–821. [Google Scholar] [CrossRef]
- Rowe, D.T. Epstein-Barr virus immortalization and latency. Front. Biosci. 1999, 4, D346–D371. [Google Scholar] [CrossRef]
- Ayee, R.; Ofori, M.E.O.; Wright, E.; Quaye, O. Epstein Barr Virus Associated Lymphomas and Epithelia Cancers in Humans. J. Cancer 2020, 11, 1737–1750. [Google Scholar] [CrossRef]
- Kieff, E.D.; Rickinson, A. Epstein-Barr Virus and its replication. In Fields Virology, 5th ed.; Knipe, D.M., Howley, P., Eds.; Lippincott Williams & Wilkins: Philadelphia, PA, USA, 2007; pp. 2603–2654. [Google Scholar]
- Rickinson, A.B.; Kieff, E. Epstein-Barr Virus. In Fields Virology, 5th ed.; Knipe, D.M., Howley, P., Eds.; Lippincott Williams & Wilkins: Philadelphia, PA, USA, 2006; pp. 2655–2700. [Google Scholar]
- Yin, H.; Qu, J.; Peng, Q.; Gan, R. Molecular mechanisms of EBV-driven cell cycle progression and oncogenesis. Med. Microbiol. Immunol. 2019, 208, 573–583. [Google Scholar] [CrossRef]
- Chu, P.G.; Chang, K.L.; Chen, Y.Y.; Chen, W.G.; Weiss, L.M. No significant association of Epstein-Barr virus infection with invasive breast carcinoma. Am. J. Pathol. 2001, 159, 571–578. [Google Scholar] [CrossRef]
- Smatti, M.K.; Yassine, H.M.; AbuOdeh, R.; AlMarawani, A.; Taleb, S.A.; Althani, A.A.; Nasrallah, G.K. Prevalence and molecular profiling of Epstein Barr virus (EBV) among healthy blood donors from different nationalities in Qatar. PLoS ONE 2017, 12, e0189033. [Google Scholar] [CrossRef]
- Walling, D.M.; Brown, A.L.; Etienne, W.; Keitel, W.A.; Ling, P.D. Multiple Epstein-Barr virus infections in healthy individuals. J. Virol. 2003, 77, 6546–6550. [Google Scholar] [CrossRef] [PubMed]
- Saechan, V.; Mori, A.; Mitarnun, W.; Settheetham-Ishida, W.; Ishida, T. Analysis of LMP1 variants of EBV in Southern Thailand: Evidence for strain-associated T-cell tropism and pathogenicity. J. Clin. Virol. 2006, 36, 119–125. [Google Scholar] [CrossRef] [PubMed]
- Edwards, R.H.; Seillier-Moiseiwitsch, F.; Raab-Traub, N. Signature Amino Acid Changes in Latent Membrane Protein 1 Distinguish Epstein–Barr Virus Strains. Virology 1999, 261, 79–95. [Google Scholar] [CrossRef] [PubMed]
- Sung, N.S.; Edwards, R.H.; Seillier-Moiseiwitsch, F.; Perkins, A.G.; Zeng, Y.; Raab-Traub, N. Epstein-Barr virus strain variation in nasopharyngeal carcinoma from the endemic and non-endemic regions of China. Int. J. Cancer 1998, 76, 207–215. [Google Scholar] [CrossRef]
- Karpinski, P.; Myszka, A.; Ramsey, D.; Kielan, W.; Sasiadek, M.M. Detection of viral DNA sequences in sporadic colorectal cancers in relation to CpG island methylation and methylator phenotype. Tumor Biol. 2011, 32, 653–659. [Google Scholar] [CrossRef]
- Militello, V.; Trevisan, M.; Squarzon, L.; Biasolo, M.A.; Rugge, M.; Militello, C.; Palù, G.; Barzon, L. Investigation on the presence of polyomavirus, herpesvirus, and papillomavirus sequences in colorectal neoplasms and their association with cancer. Int. J. Cancer 2009, 124, 2501–2503. [Google Scholar] [CrossRef]
- Fiorina, L.; Ricotti, M.; Vanoli, A.; Luinetti, O.; Dallera, E.; Riboni, R.; Paolucci, S.; Brugnatelli, S.; Paulli, M.; Pedrazzoli, P.; et al. Systematic analysis of human oncogenic viruses in colon cancer revealed EBV latency in lymphoid infiltrates. Infect. Agents Cancer 2014, 9, 18. [Google Scholar] [CrossRef]
- Boguszakova, L.; Hirsch, I.; Brichacek, B.; Faltyn, J.; Fric, P.; Dvorakova, H.; Vonka, V. Absence of cytomegalovirus, Epstein-Barr virus, and papillomavirus DNA from adenoma and adenocarcinoma of the colon. Acta Virol. 1988, 32, 303–308. [Google Scholar]
- Song, L.-B.; Zhang, X.; Zhang, C.-Q.; Zhang, Y.; Pan, Z.-Z.; Liao, W.-T.; Li, M.-Z.; Zeng, M.-S. Infection of Epstein-Barr virus in colorectal cancer in Chinese. Chin. J. Cancer 2006, 25, 1356–1360. [Google Scholar]
- Guidry, J.T.; Scott, R.S. The interaction between human papillomavirus and other viruses. Virus Res. 2017, 231, 139–147. [Google Scholar] [CrossRef]
- Makielski, K.R.; Lee, D.; Lorenz, L.D.; Nawandar, D.M.; Chiu, Y.-F.; Kenney, S.C.; Lambert, P.F. Human papillomavirus promotes Epstein-Barr virus maintenance and lytic reactivation in immortalized oral keratinocytes. Virology 2016, 495, 52–62. [Google Scholar] [CrossRef] [PubMed]
- Ammatuna, P.; Giovannelli, L.; Giambelluca, D.; Mancuso, S.; Rubino, E.; Colletti, P.; Mazzola, G.; Belfiore, P.; Lima, R. Presence of human papillomavirus and Epstein-Barr virus in the cervix of women infected with the human immunodeficiency virus. J. Med. Virol. 2000, 62, 410–415. [Google Scholar] [CrossRef]
- Whitaker, N.J.; Glenn, W.K.; Sahrudin, A.; Orde, M.M.; Delprado, W.; Lawson, J.S. Human papillomavirus and Epstein Barr virus in prostate cancer: Koilocytes indicate potential oncogenic influences of human papillomavirus in prostate cancer. Prostate 2013, 73, 236–241. [Google Scholar] [CrossRef] [PubMed]
- Glenn, W.K.; Heng, B.; Delprado, W.; Iacopetta, B.; Whitaker, N.J.; Lawson, J.S. Epstein-Barr virus, human papillomavirus and mouse mammary tumour virus as multiple viruses in breast cancer. PLoS ONE 2012, 7, e48788. [Google Scholar] [CrossRef] [PubMed]
- Darnel, A.D.; Wang, D.; Ghabreau, L.; Yasmeen, A.; Sami, S.; Akil, N.; Al Moustafa, A.E. Correlation between the presence of high-risk human papillomaviruses and Id gene expression in Syrian women with cervical cancer. Clin. Microbiol. Infect. 2010, 16, 262–266. [Google Scholar] [CrossRef]
- Al-Thawadi, H.; Ghabreau, L.; Aboulkassim, T.; Yasmeen, A.; Vranic, S.; Batist, G.; Al Moustafa, A.-E. Co-Incidence of Epstein-Barr Virus and High-Risk Human Papillomaviruses in Cervical Cancer of Syrian Women. Front. Oncol. 2018, 8, 250. [Google Scholar] [CrossRef]
- Malki, M.I.; Gupta, I.; Fernandes, Q.; Aboulkassim, T.; Yasmeen, A.; Vranic, S.; Al Moustafa, A.E.; Al-Thawadi, H.A. Co-presence of Epstein-Barr virus and high-risk human papillomaviruses in Syrian Colorectal Cancer Samples. Hum. Vaccines Immunother. 2020, 1–5. [Google Scholar] [CrossRef]



| Variable | Total (%) † n = 106 |
|---|---|
| Age (mean ± SD) 65 ± 8 yrs | |
| Tumor grade | |
| Grade 1 | 1 (1) |
| Grade 2 | 65 (62) |
| Grade 3 | 39 (37) |
| Tumor stage * | |
| Stage I | 22 (21) |
| Stage II | 23 (22) |
| Stage III | 54 (52) |
| Stage IV | 5 (5) |
| Sex | |
| Male | 64 (60) |
| Female | 42 (40) |
| Tumor origin | |
| Rectum | 102 (96) |
| Sigmoid colon | 2 (2) |
| Other parts of colon | 2 (2) |
| Variable | HPV (PCR) | EBV (PCR) | ||
|---|---|---|---|---|
| (−) n = 8 (%) | (+) n = 98 (%) | (−) n = 80 (%) | (+) n = 26 (%) | |
| Tumor grade | ||||
| Grade 1 | 0 (0) | 1 (1) | 1 (1) | 0 (0) |
| Grade 2 | 6 (75) | 59 (61) | 48 (61) | 17 (65) |
| Grade 3 | 2 (25) | 37 (38) | 30 (38) | 9 (35) |
| p-value | 0.72 | 0.80 | ||
| Tumor stage * | ||||
| Stage I | 1 (12) | 20 (21) | 15 (19) | 6 (23) |
| Stage II | 2 (25) | 22 (23) | 19 (24) | 5 (19) |
| Stage III | 4 (50) | 49 (51) | 40 (51) | 13 (50) |
| Stage IV | 1 (12) | 5 (5) | 4 (5) | 2 (8) |
| p-value | 0.81 | 0.83 | ||
| Sex | ||||
| Male | 4 (50) | 60 (61) | 46 (58) | 18 (69) |
| Female | 4 (50) | 38 (39) | 34 (42) | 8 (31) |
| p-value | 0.53 | 0.29 | ||
| Tumor origin | ||||
| Rectum | 0 (0) | 94 (96) | 77 (96) | 25 (96) |
| Sigmoid | 0 (0) | 2 (2) | 2 (3) | 0 (0) |
| Other parts of colon | 0 (0) | 2 (2) | 1 (1) | 1 (4) |
| p-value | 0.84 | 0.51 | ||
| HPV (+) | 25 (96) | |||
| p-value | 0.41 | |||
| Samples | No. of Cases | High-Risk HPV Types | ||||||||||
|---|---|---|---|---|---|---|---|---|---|---|---|---|
| 16 | 18 | 31 | 33 | 35 | 39 | 45 | 51 | 52 | 56 | 58 | ||
| EBV (+) | 26 | 18 | 17 | 15 | 0 | 11 | 0 | 7 | 16 | 7 | 6 | 0 |
| EBV (−) | 76 | 30 | 30 | 37 | 0 | 14 | 0 | 30 | 30 | 6 | 2 | 0 |
| Total | 102 | 48 | 47 | 52 | 0 | 25 | 0 | 37 | 46 | 13 | 8 | 0 |
| p-value | 0.02 * | 0.03 * | 0.57 | N/A | 0.03 * | N/A | 0.36 | 0.08 | 0.03 * | 0.003 ** | N/A | |
| Variable | HPV (IHC) | EBV (IHC) | ||
|---|---|---|---|---|
| (−) n = 13 (%) | (+) n = 45 (%) | (−) n = 56 (%) | (+) n = 7 (%) | |
| Age (years) | ||||
| p-value | 0.44 | 0.76 | ||
| Tumor grade | ||||
| Grade 1 | 0 (0) | 0 (0) | 0 (0) | 0 (0) |
| Grade 2 | 8 (62) | 27 (61) | 33 (60) | 7(100) |
| Grade 3 | 5 (38) | 17 (39) | 22 (40) | 0 (0) |
| p-value | 0.92 | 0.035 | ||
| Tumor stage * | ||||
| Stage I | 3 (25) | 7 (16) | 10 (18) | 0 (0) |
| Stage II | 1 (8) | 6 (14) | 8 (15) | 1 (14) |
| Stage III | 6 (50) | 28 (64) | 32 (58) | 6 (86) |
| Stage IV | 2 (17) | 3 (6) | 5 (9) | 0 (0) |
| p-value | 0.31 | 0.38 | ||
| Sex | ||||
| Male | 6 (50) | 30 (68) | 34 (62) | 4 (57) |
| Female | 6 (50) | 14 (32) | 21 (38) | 3 (43) |
| p-value | 0.32 | 0.78 | ||
| Tumor origin | ||||
| Rectum | 10 (83) | 42 (95) | 52 (95) | 6 (86) |
| Sigmoid | 0 (0) | 2 (5) | 2 (3) | 0 (0) |
| Other parts of colon | 2 (17) | 0 (0) | 1 (2) | 1 (14) |
| p-value | 0.024 | 0.19 | ||
| HPV (+) | 4 (57) | |||
| p-value | 0.89 | |||
© 2020 by the authors. Licensee MDPI, Basel, Switzerland. This article is an open access article distributed under the terms and conditions of the Creative Commons Attribution (CC BY) license (http://creativecommons.org/licenses/by/4.0/).
Share and Cite
Gupta, I.; Al Farsi, H.; Jabeen, A.; Skenderi, F.; Al-Thawadi, H.; AlAhmad, Y.M.; Abdelhafez, I.; Al Moustafa, A.-E.; Vranic, S. High-Risk Human Papillomaviruses and Epstein–Barr Virus in Colorectal Cancer and Their Association with Clinicopathological Status. Pathogens 2020, 9, 452. https://doi.org/10.3390/pathogens9060452
Gupta I, Al Farsi H, Jabeen A, Skenderi F, Al-Thawadi H, AlAhmad YM, Abdelhafez I, Al Moustafa A-E, Vranic S. High-Risk Human Papillomaviruses and Epstein–Barr Virus in Colorectal Cancer and Their Association with Clinicopathological Status. Pathogens. 2020; 9(6):452. https://doi.org/10.3390/pathogens9060452
Chicago/Turabian StyleGupta, Ishita, Halema Al Farsi, Ayesha Jabeen, Faruk Skenderi, Hamda Al-Thawadi, Yaman M. AlAhmad, Ibrahim Abdelhafez, Ala-Eddin Al Moustafa, and Semir Vranic. 2020. "High-Risk Human Papillomaviruses and Epstein–Barr Virus in Colorectal Cancer and Their Association with Clinicopathological Status" Pathogens 9, no. 6: 452. https://doi.org/10.3390/pathogens9060452
APA StyleGupta, I., Al Farsi, H., Jabeen, A., Skenderi, F., Al-Thawadi, H., AlAhmad, Y. M., Abdelhafez, I., Al Moustafa, A.-E., & Vranic, S. (2020). High-Risk Human Papillomaviruses and Epstein–Barr Virus in Colorectal Cancer and Their Association with Clinicopathological Status. Pathogens, 9(6), 452. https://doi.org/10.3390/pathogens9060452

