Microbiological and Histological Analysis for the Evaluation of Farmed Mussels (Mytilus galloprovincialis) Health Status, in Coastal Areas of Italy
Abstract
1. Introduction
2. Results
2.1. Microbiological Analysis
2.2. Histological Evaluations
2.2.1. Gonadal Stages and Sex Determination
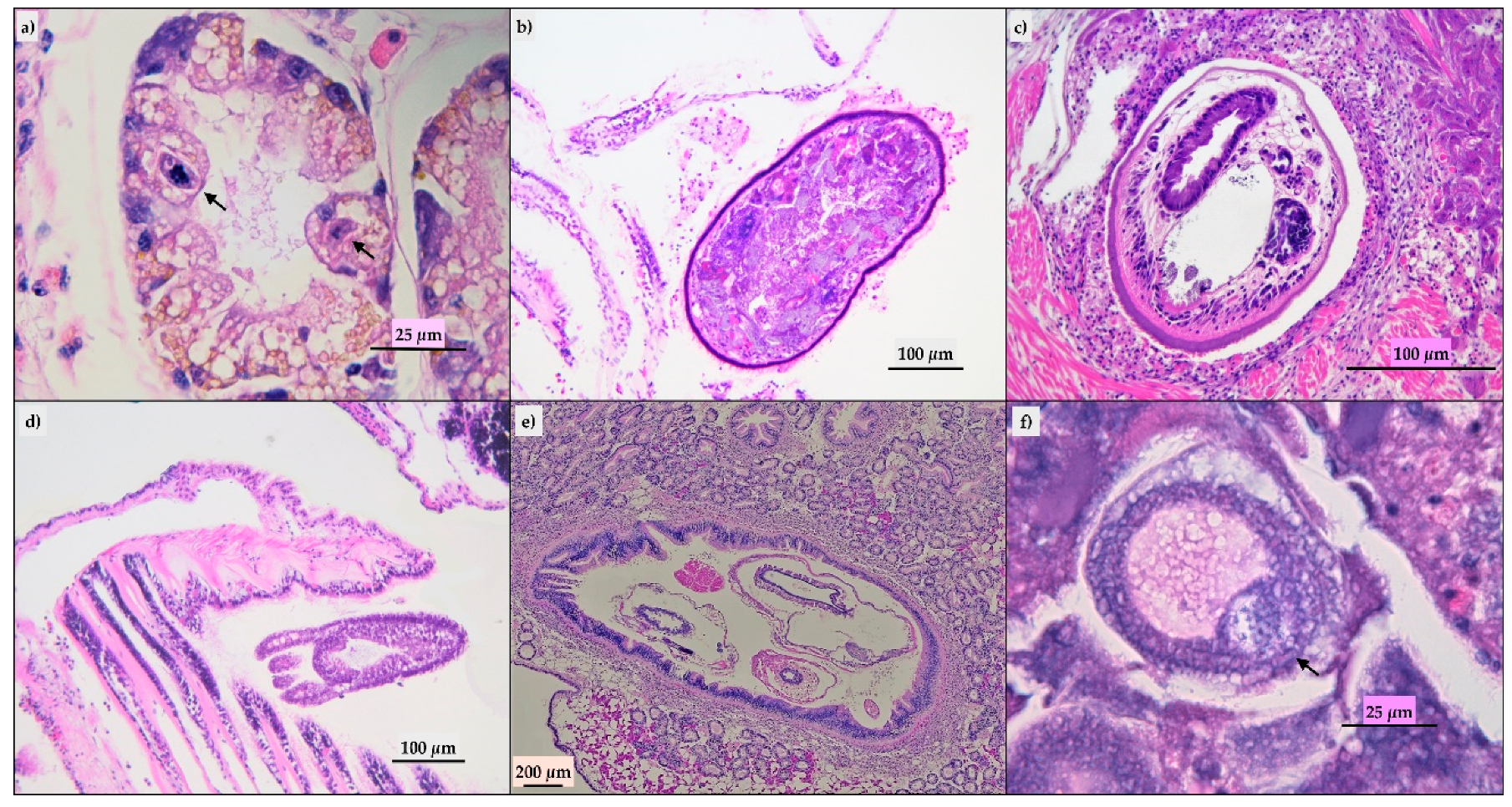
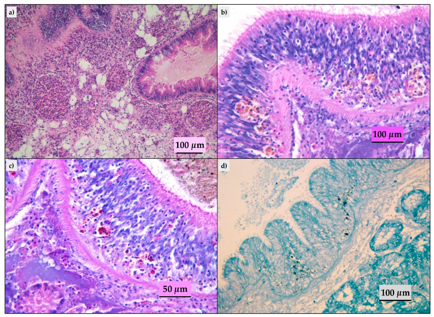
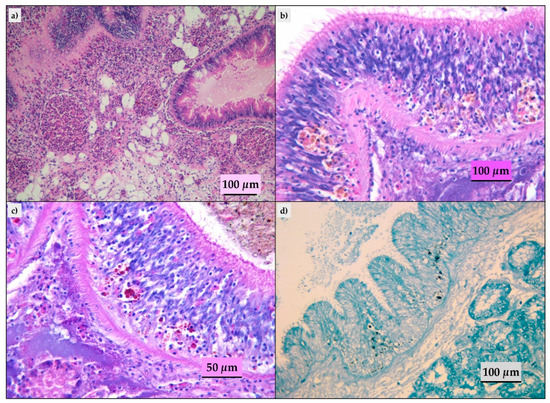
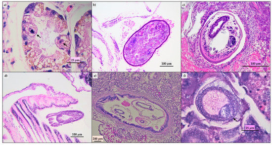
2.2.2. Histopathological Features
3. Discussion
4. Materials and Methods
4.1. Bivalve Mollusc Samples
4.2. Microbiological Analyses
4.2.1. Vibrio splendidus clade, V. aestuarianus, and V. harveyi
4.2.2. MALDI-TOF Analysis
4.2.3. Ostreid Herpesvirus-1
4.3. Parasitological Analysis
Marteilia spp.
4.4. Histological Analyses
- stage I: early gametogenesis (Sex category is difficult to distinguish at this stage).
- stage II: advanced gametogenesis.
- stage III: mature gonad.
- stage IV: spawned gonad.
- stage V: resting gonad.
5. Conclusions
Author Contributions
Funding
Conflicts of Interest
References
- Boscolo Papo, M.; Bertotto, D.; Pascoli, F.; Locatello, L.; Vascellari, M.; Poltronieri, C.; Quaglio, F.; Radaelli, G. Induction of brown cells in Venerupis philippinarum exposed to benzo(a)pyrene. Fish Shellfish Immunol. 2014, 40, 233–238. [Google Scholar] [CrossRef] [PubMed]
- Kwan, T.N.; Bolch, C.J. Genetic diversity of culturable Vibrio in an Australian blue mussel Mytilus galloprovincialis hatchery. Dis Aquat Organ. 2015, 116, 37–46. [Google Scholar] [CrossRef]
- Travers, M.A.; Boettcher Miller, K.; Roque, A.; Friedman, C.S. Bacterial diseases in marine bivalves. J. Invertebr. Pathol. 2015, 131, 11–31. [Google Scholar] [CrossRef]
- Oden, E.; Burioli, E.A.V.; Trancart, S.; Pitel, P.H.; Houssin, M. Multilocus sequence analysis of Vibrio splendidus related-strains isolated from blue mussel Mytilus sp. during mortality events. Aquaculture 2016, 464, 420–427. [Google Scholar] [CrossRef]
- OIE. Listed Diseases, Infections and Infestations in Force in 2020. Available online: https://www.oie.int/en/animal-health-in-the-world/the-world-animal-health-information-system/old-classification-of-diseases-notifiable-to-the-oie-list-b/ (accessed on 31 March 2020).
- OIE. Manual of Diagnostic Tests for Aquatic animals. Part 2, Section 2.4, Chapter 2.4.4- Infection with Marteilia Refringens. Available online: https://www.oie.int/fileadmin/Home/eng/Health_standards/aahm/current/chapitre_marteilia_refringens.pdf (accessed on 3 February 2020).
- de Lorgeril, J.; Lucasson, A.; Petton, B.; Toulza, E.; Montagnani, C.; Clerissi, C.; Vidal-Dupiol, J.; Chaparro, C.; Galinier, R.; Escoubas, J.M.; et al. Immune-suppression by OsHV-1 viral infection causes fatal bacteraemia in Pacific oysters. Nat. Commun. 2018, 9, 4215. [Google Scholar] [CrossRef] [PubMed]
- Domeneghetti, S.; Varotto, L.; Civettini, M.; Rosani, U.; Stauder, M.; Pretto, T.; Pezzati, E.; Arcangeli, G.; Turolla, E.; Pallavicini, A.; et al. Mortality occurrence and pathogen detection in Crassostrea gigas and Mytilus galloprovincialis close-growing in shallow waters (Goro Lagoon, Italy). Fish Shellfish Immun. 2014, 41, 37–44. [Google Scholar] [CrossRef] [PubMed]
- O’ Reilly, A.J.; Laide, C.; Maloy, A.; Hutton, S.; Bookelaar, B.; O’ Sullivan, K.; Lynch, S.A.; Culloty, S.C. The role of the mussel Mytilus spp. in the transmission of ostreid herpesvirus-1 microVar. Parasitology 2018, 145, 1095–1104. [Google Scholar] [CrossRef]
- Matozzo, V.; Ercolini, C.; Serracca, L.; Battistini, R.; Rossini, I.; Granato, G.; Quaglieri, E.; Perolo, A.; Finos, L.; Arcangeli, G.; et al. Assessing the health status of farmed mussels (Mytilus galloprovincialis) through histological, microbiological and biomarker analyses. J. Invertebr. Pathol. 2018, 153, 165–179. [Google Scholar] [CrossRef]
- Serracca, L.; Rossini, I.; Battistini, R.; Travers, M.A.; Tomei, L.; Godfrin, Y.; Arcangeli, G.; Zambon, M.; Zaltum, O.; Ercolini, C. Mortality outbreak of Mytilus galloprovincialis in north-west Italy. Ittiopatologia 2017, 14, 95–103. [Google Scholar]
- Serracca, L.; Prearo, M.; Rossini, I.; Battistini, R.; Corsi, M.; Ercolini, C. Four-year surveillance of Marteilia refringens in shellfish farms in the Gulf of La Spezia (Liguria, Italy). Turk. J. Fish Aquat. Sci. 2014, 14, 893–896. [Google Scholar]
- Nasfi, H.; Travers, M.A.; de Lorgeril, J.; Habib, C.; Sannie, T.; Sorieul, L.; Gerard, J.; Avarre, J.C.; Haffner, P.; Tourbiez, D.; et al. A European epidemiological survey of Vibrio splendidus clade shows unexplored diversity and massive exchange of virulence factors. World J. Microbiol. Biotechnol. 2015, 31, 461–475. [Google Scholar] [CrossRef] [PubMed]
- Duperthuy, M.; Binesse, J.; Le Roux, F.; Romestand, B.; Caro, A.; Got, P.; Givaudan, A.; Mazel, D.; Bachère, E.; Destoumieux-Garzón, D. The major outer membrane protein OmpU of Vibrio splendidus contributes to host antimicrobial peptide resistance and is required for virulence in the oyster Crassostrea gigas. Environ. Microbiol. 2010, 12, 951–963. [Google Scholar] [CrossRef] [PubMed]
- Balbi, T.; Fabbri, R.; Cortese, K.; Smerilli, A.; Ciacci, C.; Grande, C.; Vezzulli, L.; Pruzzo, C.; Caneli, L. Interactions between Mytilus galloprovincialis hemocytes and the bivalve pathogens Vibrio aestuarianus 01/032 and Vibrio splendidus LGP32. Fish shellfish Immunol. 2013, 35, 1906–1915. [Google Scholar] [CrossRef] [PubMed]
- Rojas, R.; Miranda, C.D.; Opazo, R.; Romero, J. Characterization and pathogenicity of Vibrio splendidus strains associated with massive mortalities of commercial hatchery-reared larvae of scallop Argopecten purpuratus (Lamarck,1819). J. Invertebr. Pathol. 2015, 124, 61–69. [Google Scholar] [CrossRef]
- Tall, A.; Hervio-Heath, D.; Teillon, A.; Boisset-Helbert, C.; Delesmont, R.; Bodilis, J.; Touron-Bodilis, A. Diversity of Vibrio spp. isolated at ambient environmental temperature in the Eastern English Channel as determined by pyrH sequencing. J. Appl. Microbiol. 2013, 114, 1713–1724. [Google Scholar] [CrossRef][Green Version]
- Arzul, I.; Renault, T.; Thébault, A.; Gérard, A. Detection of oyster herpesvirus DNA and proteins in asymptomatic Crassostrea gigas adults. Virus Res. 2002, 84, 151–160. [Google Scholar] [CrossRef]
- Serracca, L.; Rossini, I.; Battistini, R.; Ercolini, C. Mortality and ostreid herpesvirus1 infection in the Pacific oyster Crassostrea gigas in the Gulf of La Spezia. Aquacult. Int. 2016, 24, 199–209. [Google Scholar] [CrossRef]
- Burge, C.A.; Friedman, C.S. Quantifying Ostreid Herpesvirus (OsHV-1) genome copies and expression during transmission. Microb. Ecol. 2012, 63, 596–604. [Google Scholar] [CrossRef]
- Green, T.J.; Montagnani, C.; Benkendorff, K.; Robinson, N.; Speck, P. Ontogeny and water temperature influences the antiviral response of the Pacific oyster, Crassostrea gigas. Fish Shellfish Immunol. 2014, 36, 151–157. [Google Scholar] [CrossRef]
- Fuentes, J.; López, J.L.; Mosquera, E.; Vázquez, J.; Villalba, A.; Álvarez, G. Growth, mortality, pathological condi-tions and protein expression of Mytilus edulis and M. galloprovincialis crosses cultured in the Ria de Arousa (NW of Spain). Aquaculture 2002, 213, 233–251. [Google Scholar] [CrossRef]
- Berthe, F.C.J.; Le Roux, F.; Adlard, R.D.; Figueras, A.J. Marteiliosis in molluscs: A review. Aquat. Living Resour. 2004, 17, 433–448. [Google Scholar] [CrossRef]
- Balseiro, P.; Montes, A.; Ceschia, G.; Gestal, C.; Novoa, B.; Figueras, A. Molecular epizootiology of the European Marteilia spp., infecting mussels (Mytilus galloprovincialis and M. edulis) and oysters (Ostrea edulis): An update. Bull. Eur. Assoc. Fish Pathol. 2007, 27, 148–156. [Google Scholar]
- Charles, M.; Bernard, I.; Villalba, A.; Oden, E.; Burioli, E.A.V.; Allaing, G.; Trancart, S.; Bouchart, V.; Houssin, M. High mortality of mussels in northern Brittany-Evaluation of the involvement of pathogens, pathological conditions and pollutants [published online ahead of print, 2019 Dec 16]. J. Invertebr. Pathol. 2019, 170, 107308. [Google Scholar] [CrossRef] [PubMed]
- Ceschia, G. Principali agenti eziologici di mitili e vongole. In Appunti di Istologia; Istituto Zooprofilattico Sperimentale delle Venezie, Ed.; Istituto Zooprofilattico Sperimentale delle Venezie: Legnaro, Padova, Italy, 2008; pp. 29–45. [Google Scholar]
- De Vico, G.; Carella, F. Argomenti di patologia comparata dei molluschi. In Aspetti ecologici e sanitari; Loffredo Editore; Loffredo Editore: Naples, Italy, 2012; pp. 253–279. [Google Scholar]
- Darriba Couñago, S. Histopathological Atlas: Marine Bivalve Molluscs. In Intecmar; Xunta de Galicia (Consellería do Mar): Santiago de Compostela, Spain, 2017; pp. 43–123. [Google Scholar]
- Villalba, A.S.G.; Carballal, M.M.J.; Lopez, C. Symbionts and diseases of farmed mussels Mytilus galloprovincialis throughout the culture process in the Rias of Galicia (NW Spain). Dis. Aquat. Org. 1997, 31, 127–139. [Google Scholar] [CrossRef]
- Kim, Y.; Ashton-Alcox, A.; Powell, E.N. Histological techniques for marine bivalve molluscs: Update NOAA technical memorandum NOS NCCOS 27, 76 pp Status and Trends ‘Mussel Watch’. Program. Mar. Environ. Res. 2006, 65, 101–127. [Google Scholar] [CrossRef] [PubMed]
- Marigomez, I.; Baybay-Villacorta, L. Pollutant-specific and general lysosomal responses in digestive cells of mussels exposed to model organic chemicals. Aquat. Toxicol. 2003, 64, 235–257. [Google Scholar] [CrossRef]
- Zorita, I.; Ortiz-Zarragoitia, M.; Soto, M.; Cajaraville, M.P. Biomarkers in mussels from a copper site gradient (Visnes, Norway): An integrated biochemical, histochemical and histological study. Aquat. Toxicol. 2006, 78, 109–116. [Google Scholar] [CrossRef]
- Cheng, T.C.; Burton, R.W. Relationships between Bucephalus sp. and Crassostrea virginica: Histopathology and sites of infection. Chesapeake Sci. 1965, 6, 3–16. [Google Scholar] [CrossRef]
- Arpal Data. Available online: http://www.cartografiarl.regione.liguria.it/SiraQualMare/script/PubRetePuntoParam.asp?_ga=1.84762330.237291058.1481558988 (accessed on 2 April 2020).
- IFREMER. V. splendidus et V. aestuarianus Detection by Real Time Polymerase Chain Reaction, Edition 1 European Union Diseases Reference Laboratory for Molluscs. 2013. Available online: http://www.eurl-mollusc.eu/content/download/72924/948279/version/2/file/Vsplendidus%26aestuarianus+_RealTimePCR.pdf (accessed on 3 February 2020).
- Haldar, S.; Neogi, S.B.; Kogure, K.; Chatterjee, S.; Chowdhury, N.; Hinenoya, A.; Asakura, M.; Yamasaki, S. Development of a haemolysin gene-based multiplex PCR for simultaneous detection of Vibrio campbellii, Vibrio harveyi and Vibrio parahaemolyticus. Lett. Appl. Microbiol. 2010, 50, 146–152. [Google Scholar] [CrossRef]
- Calderaro, A.; Piccolo, G.; Montecchini, S.; Buttrini, M.; Gorrini, C.; Rossi, S.; Arcangeletti, M.C.; De Conto, F.; Medici, M.C.; Chezzi, C. MALDI-TOF MS analysis of human and animal Brachyspira species and benefits of database extension. J. Proteomics. 2013, 78, 273–280. [Google Scholar] [CrossRef]
- IFREMER. OsHV-1 Detection and Quantification by Real Time Polymerase Chain Reaction, Edition 1 European Union Diseases Reference Laboratory for Molluscs. 2011. Available online: http://www.eurl-mollusc.eu/content/download/42545/578238/file/OsHV-1%20RTPCR_1.pdf (accessed on 3 February 2020).




| Site | Month | V. splendidus Clade (vsm and/or ompU) | V. harveyi Clade | V. aestuarianus | OsHV-1 | Marteilia spp. |
|---|---|---|---|---|---|---|
| IWS | Nov-16 | 1/1 (1 vsm) | 0/0 | 0/1 | 0/1 | n.d. |
| Dec-16 | 10/10 (10 vsm) | 0/0 | 0/10 | 0/1 | n.d. | |
| Jan-17 | 1/1 (1 vsm) | 0/0 | 0/1 | 0/1 | n.d. | |
| Feb-17 | 0/0 | 0/0 | 0/0 | 1/1 | n.d. | |
| Mar-17 | 1/1 (1 vsm) | 0/0 | 0/1 | 1/1 | n.d. | |
| Apr-17 | 1/2 (1 vsm) | 0/1 | 0/2 | 1/1 | n.d. | |
| May-17 | 0/0 | 0/0 | 0/0 | 0/1 | n.d. | |
| June-17 | 1/2 (1 vsm) | 0/1 | 0/2 | 0/1 | 0/150 | |
| July-17 | 0/0 | 0/0 | 0/0 | 0/1 | n.d. | |
| Aug- 17 | 0/7 | 2/7 | 0/7 | 0/1 | n.d. | |
| Sep-17 | 1/1 (1 vsm) | 0/0 | 0/1 | 0/1 | n.d. | |
| Oct-17 | 0/4 | 0/4 | 0/4 | 0/1 | 1/150 | |
| Total | 16/29 (16 vsm) | 2/13 | 0/29 | 3/12 | 1/300 | |
| IES | Nov-16 | 7/7 ((5 vsm and 2 (vsm+ompU)) | 0/0 | 0/7 | 0/1 | n.d. |
| Dec-16 | 5/5 (5 vsm) | 0/0 | 0/5 | 0/1 | n.d. | |
| Jan-17 | 2/2 (1 vsm and 1 ompU) | 0/0 | 0/2 | 0/1 | n.d. | |
| Feb-17 | 2/2 (2 vsm) | 0/0 | 0/2 | 0/1 | n.d. | |
| Mar-17 | 1/1 (1 vsm) | 0/0 | 0/1 | 0/1 | n.d. | |
| Apr-17 | 1/1 (1 vsm) | 0/0 | 0/1 | 0/1 | n.d. | |
| May-17 | 1/1 (0) | 0/0 | 0/1 | 0/1 | n.d. | |
| June-17 | 0/2 | 0/2 | 0/2 | 0/1 | 0/150 | |
| July-17 | 0/3 | 1/3 | 0/3 | 0/1 | n.d. | |
| Aug- 17 | 1/4 (1 vsm) | 0/3 | 0/4 | 0/1 | n.d. | |
| Sep-17 | 0/7 | 4/7 | 0/7 | 0/1 | n.d. | |
| Oct-17 | 1/3 (1 vsm) | 0/2 | 0/3 | 0/1 | 1/150 | |
| Total | 21/38 (17 vsm, 1 ompU and 2 (vsm+ompU)) | 5/17 | 0/38 | 0/12 | 1/300 | |
| EWS | Nov-16 | 6/9 (5 vsm) | 0/3 | 0/9 | 0/1 | n.d. |
| Dec-16 | 10/10 (10 vsm) | 0/0 | 0/10 | 0/1 | n.d. | |
| Jan-17 | 0/0 | 0/0 | 0/0 | 0/1 | n.d. | |
| Feb-17 | 0/0 | 0/0 | 0/0 | 0/1 | n.d. | |
| Mar-17 | 1/1 (1 vsm) | 0/0 | 0/1 | 0/1 | n.d. | |
| Apr-17 | 1/1 (1 vsm) | 0/0 | 0/1 | 0/1 | n.d. | |
| May-17 | 1/1 (1 vsm) | 0/0 | 0/1 | 0/1 | n.d. | |
| June-17 | 0/2 | 0/2 | 0/2 | 0/1 | 1/150 | |
| July-17 | 0/0 | 0/0 | 0/0 | 0/1 | n.d. | |
| Aug- 17 | 0/1 | 0/1 | 0/1 | 0/1 | n.d. | |
| Sep-17 | 0/2 | 1/2 | 0/2 | 0/1 | 0/150 | |
| Oct-17 | 1/7 (1 vsm) | 3/6 | 0/7 | 0/1 | n.d. | |
| Total | 20/34 (19 vsm) | 4/14 | 0/34 | 0/12 | 1/300 | |
| PV | Nov-16 | 3/4 (3 (vsm+ompU)) | 0/1 | 0/4 | 0/1 | n.d. |
| Dec-16 | 10/10 (10 vsm) | 0/0 | 0/10 | 1/1 | n.d. | |
| Jan-17 | 0/0 | 0/0 | 0/0 | 0/1 | n.d. | |
| Feb-17 | 0/0 | 0/0 | 0/0 | 1/1 | n.d. | |
| Mar-17 | 0/0 | 0/0 | 0/0 | 1/1 | n.d. | |
| Apr-17 | 0/0 | 0/0 | 0/0 | 1/1 | n.d. | |
| May-17 | 0/0 | 0/0 | 0/0 | 1/1 | n.d. | |
| June-17 | 0/0 | 0/0 | 0/0 | 0/1 | 0/150 | |
| July-17 | 0/0 | 0/0 | 0/0 | 0/1 | n.d. | |
| Aug- 17 | 0/16 | 15/16 | 0/16 | 0/1 | n.d. | |
| Sep-17 | 0/3 | 0/3 | 0/3 | 0/1 | 0/150 | |
| Oct-17 | 0/1 | 0/1 | 0/1 | 0/1 | n.d. | |
| Total | 13/34 (10 vsm and 3 (vsm+ompU)) | 15/21 | 0/34 | 5/12 | 0/300 |
| Num Colony | 1st Species Identified | Score | 2nd Species Identified | Score |
|---|---|---|---|---|
| 1 | V. atlanticus | 2318 | V.splendidus | 2187 |
| 2 | V. splendidus | 2382 | V. atlanticus | 2373 |
| 3 | V. atlanticus | 2482 | V. splendidus | 2253 |
| 4 | V. pomeroyi | 2476 | V. gigantis | 2441 |
| 5 | V. pomeroyi | 2504 | V. celticus | 2405 |
| 6 | V. pomeroyi | 2446 | V. chagasii | 2218 |
| 7 | V. pomeroyi | 2456 | V. chagasii | 2336 |
| 8 | V. pomeroyi | 2473 | V. celticus | 2419 |
| 9 | V. atlanticus | 2511 | V. splendidus | 2505 |
| 10 | V. tasmaniensis | 2232 | V. atlanticus | 2194 |
| 11 | V. pomeroyi | 2525 | V. celticus | 2480 |
| 12 | V. pomeroyi | 2530 | V. celticus | 2389 |
| 13 | V. pomeroyi | 2503 | V. celticus | 2329 |
| 14 | V. pomeroyi | 2631 | V. celticus | 2549 |
| 15 | V. celticus | 2416 | V. pomeroyi | 2376 |
| 16 | V. pomeroyi | 2432 | V. celticus | 2411 |
| 17 | V. pomeroyi | 2613 | V. celticus | 2432 |
| 18 | V. pomeroyi | 2496 | V. celticus | 2434 |
| 19 | V. atlanticus | 2320 | V. splendidus | 2315 |
| 20 | V. chagasii | 2435 | V. chagasii | 2318 |
| 21 | V. pomeroyi | 2416 | V. gigantis | 2381 |
| 22 | V. atlanticus | 2045 | n.i.1 | - |
| 23 | V. pomeroyi | 2498 | V. celticus | 2482 |
| 24 | V. pomeroyi | 2458 | V. celticus | 2437 |
| 25 | V. atlanticus | 2456 | V. tasmaniensis | 2352 |
| 26 | V. pomeroyi | 2537 | V. celticus | 2470 |
| 27 | V. atlanticus | 2331 | V. splendidus | 2174 |
| 28 | V. pomeroyi | 2565 | V. celticus | 2433 |
| 29 | V. pomeroyi | 2513 | V. gigantis | 2508 |
| 30 | V. atlanticus | 2610 | V. splendidus | 2494 |
| 31 | V. pomeroyi | 2521 | V. celticus | 2405 |
| 32 | V. pomeroyi | 2417 | n.i. | - |
| 33 | V. celticus | 2429 | V. pomeroyi | 2393 |
| 34 | V. pomeroyi | 2412 | V. celticus | 2310 |
| 35 | V. splendidus | 2483 | V. atlanticus | 2415 |
| 36 | V. pomeroyi | 2438 | V. celticus | 2333 |
| 37 | V. pomeroyi | 2434 | V. celticus | 2403 |
| 38 | V. pomeroyi | 2477 | V. celticus | 2430 |
| 39 | V. pomeroyi | 2361 | V. celticus | 2324 |
| 40 | V. pomeroyi | 2269 | V. chagasii | 2088 |
| 41 | V. pomeroyi | 2461 | V. celticus | 2358 |
| 42 | V. pomeroyi | 2449 | V. celticus | 2346 |
| 43 | V. pomeroyi | 2558 | V. chagasii | 2454 |
| 44 | V. pomeroyi | 2503 | V. celticus | 2391 |
| 45 | V. pomeroyi | 2427 | V. celticus | 2355 |
| 46 | V. atlanticus | 2545 | V. splendidus | 2296 |
| 47 | V. atlanticus | 2489 | V. tasmaniensis | 2338 |
| 48 | V. atlanticus | 2598 | V. splendidus | 2570 |
| 49 | V. atlanticus | 2418 | V. tasmaniensis | 2356 |
| 50 | V. atlanticus | 2318 | V. splendidus | 2187 |
| 51 | V. atlanticus | 2482 | V. splendidus | 2254 |
| 52 | V. atlanticus | 2416 | V. splendidus | 2199 |
| 53 | V. atlanticus | 2353 | V. splendidus | 2211 |
| 54 | V. atlanticus | 2513 | V. splendidus | 2311 |
| 55 | V. atlanticus | 2462 | V. splendidus | 2352 |
| 56 | V. atlanticus | 2437 | V. splendidus | 2231 |
| 57 | V. atlanticus | 2482 | V. splendidus | 2281 |
| 58 | V. pomeroyi | 2368 | V. chagasii | 2254 |
| 59 | V. atlanticus | 2619 | V. splendidus | 2386 |
| 60 | V. chagasii | 2448 | V. pomeroyi | 2282 |
| 61 | V. chagasii | 2389 | V. celticus | 2231 |
| 62 | V. pomeroyi | 2334 | V. kanaloae | 2092 |
| 63 | V. chagasii | 2452 | V. pomeroyi | 2253 |
| 64 | V. chagasii | 2318 | V. pomeroyi | 2213 |
| Num Colony | 1st Species Identified | Score | 2nd Species Identified | Score |
|---|---|---|---|---|
| 1 | V. harveyi | 2218 | V. campbellii | 2211 |
| 2 | V. harveyi | 2301 | n.i.1 | - |
| 3 | V. tubiashii | 2746 | V. orientalis | 2130 |
| 4 | V. harveyi | 2404 | n.i.1 | - |
| 5 | n.i. | - | n.i.1 | - |
| 6 | V. campbellii | 2264 | V. harveyi | 2256 |
| 7 | V. campbellii | 2327 | V. harveyi | 2299 |
| 8 | V. harveyi | 2264 | n.i.1 | - |
| 9 | V. harveyi | 2301 | V. campbellii | 2288 |
| 10 | V. harveyi | 2128 | n.i.1 | - |
| 11 | V. harveyi | 2361 | V. campbellii | 2333 |
| 12 | V. harveyi | 2301 | n.i.1 | - |
| 13 | V. campbellii | 2339 | V. harveyi | 2287 |
© 2020 by the authors. Licensee MDPI, Basel, Switzerland. This article is an open access article distributed under the terms and conditions of the Creative Commons Attribution (CC BY) license (http://creativecommons.org/licenses/by/4.0/).
Share and Cite
Battistini, R.; Varello, K.; Listorti, V.; Zambon, M.; Arcangeli, G.; Bozzetta, E.; Francese, D.R.; Ercolini, C.; Serracca, L. Microbiological and Histological Analysis for the Evaluation of Farmed Mussels (Mytilus galloprovincialis) Health Status, in Coastal Areas of Italy. Pathogens 2020, 9, 395. https://doi.org/10.3390/pathogens9050395
Battistini R, Varello K, Listorti V, Zambon M, Arcangeli G, Bozzetta E, Francese DR, Ercolini C, Serracca L. Microbiological and Histological Analysis for the Evaluation of Farmed Mussels (Mytilus galloprovincialis) Health Status, in Coastal Areas of Italy. Pathogens. 2020; 9(5):395. https://doi.org/10.3390/pathogens9050395
Chicago/Turabian StyleBattistini, Roberta, Katia Varello, Valeria Listorti, Michela Zambon, Giuseppe Arcangeli, Elena Bozzetta, Danila Raffaella Francese, Carlo Ercolini, and Laura Serracca. 2020. "Microbiological and Histological Analysis for the Evaluation of Farmed Mussels (Mytilus galloprovincialis) Health Status, in Coastal Areas of Italy" Pathogens 9, no. 5: 395. https://doi.org/10.3390/pathogens9050395
APA StyleBattistini, R., Varello, K., Listorti, V., Zambon, M., Arcangeli, G., Bozzetta, E., Francese, D. R., Ercolini, C., & Serracca, L. (2020). Microbiological and Histological Analysis for the Evaluation of Farmed Mussels (Mytilus galloprovincialis) Health Status, in Coastal Areas of Italy. Pathogens, 9(5), 395. https://doi.org/10.3390/pathogens9050395

