Three Autochthonous Cases of Amoebic Liver Abscess Clustered in a Small Village of Tuscany (Central Italy), a Non-Endemic Area
Abstract
1. Introduction
2. Case Report 1
3. Case Report 2
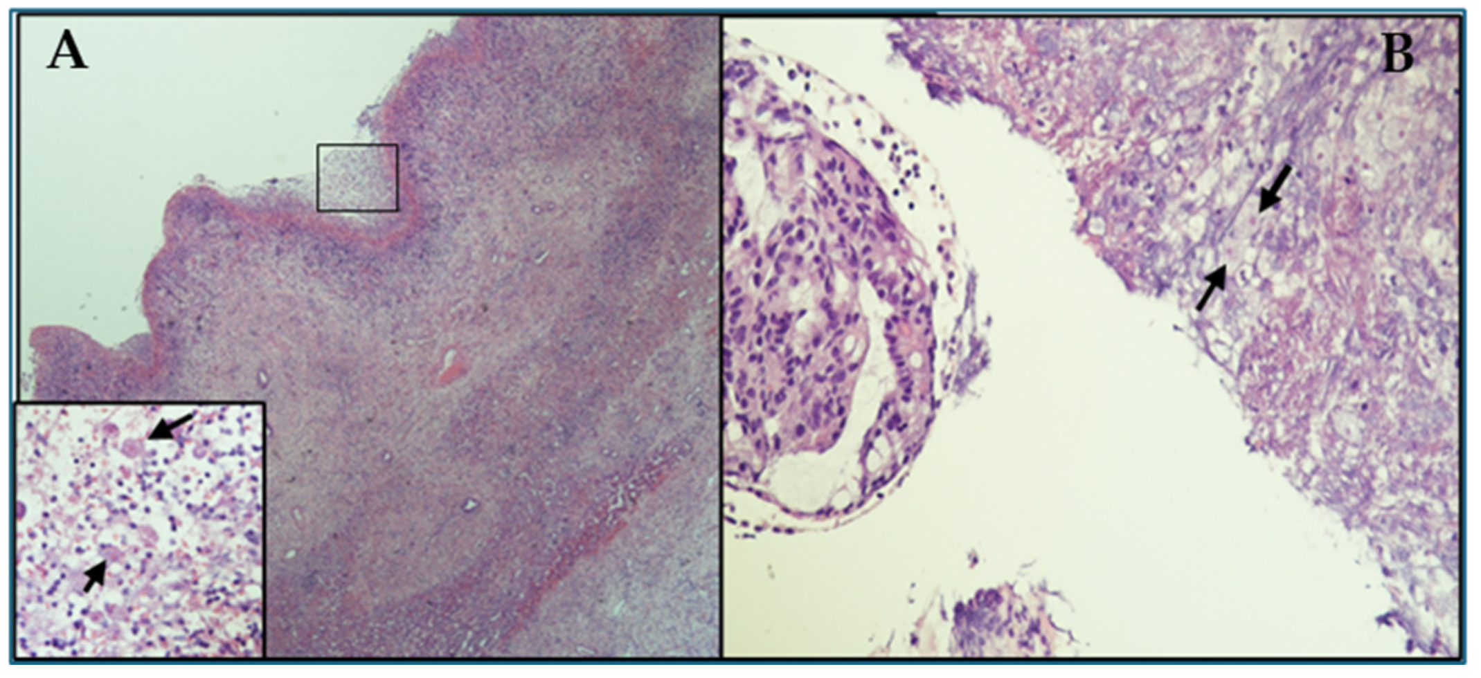
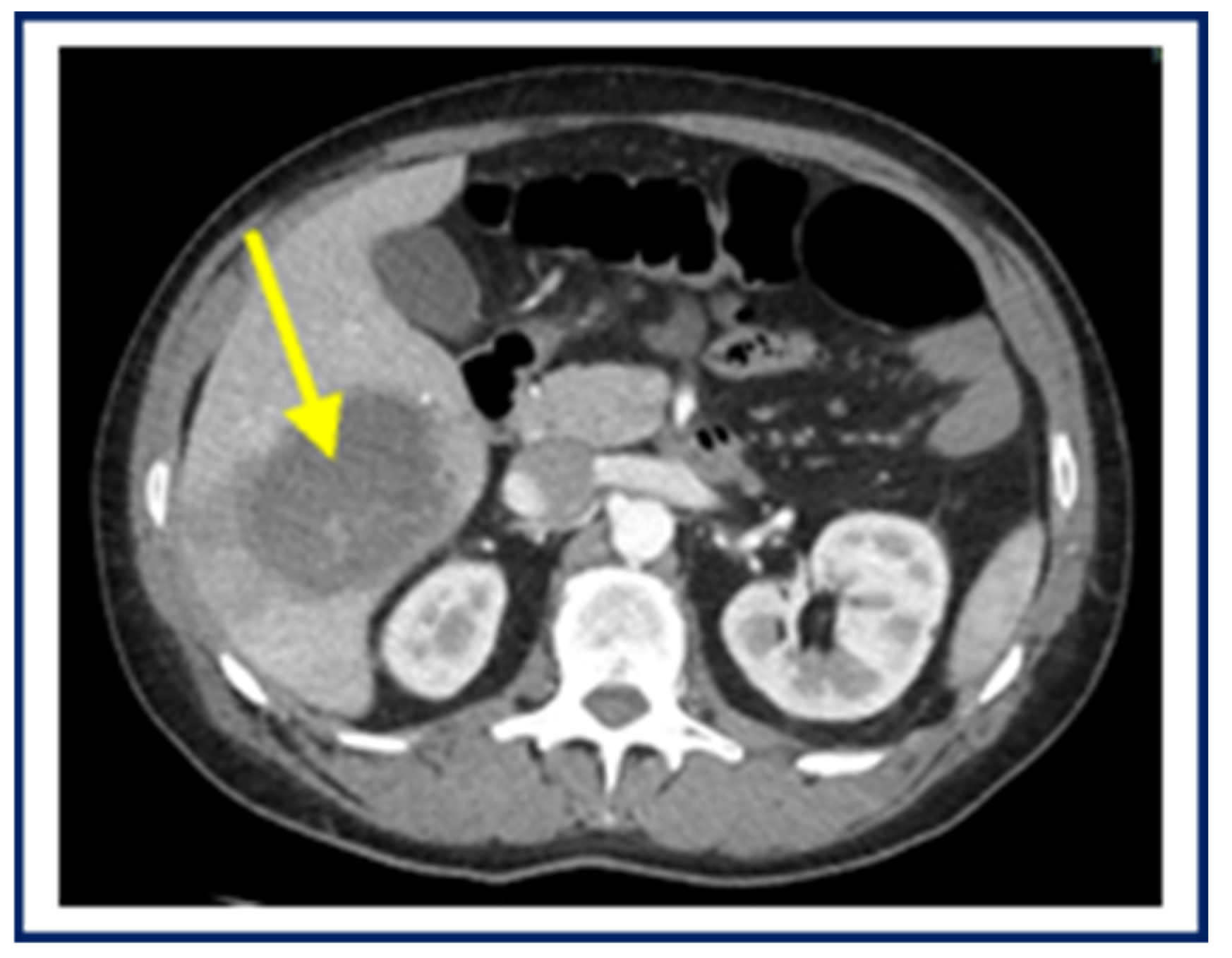
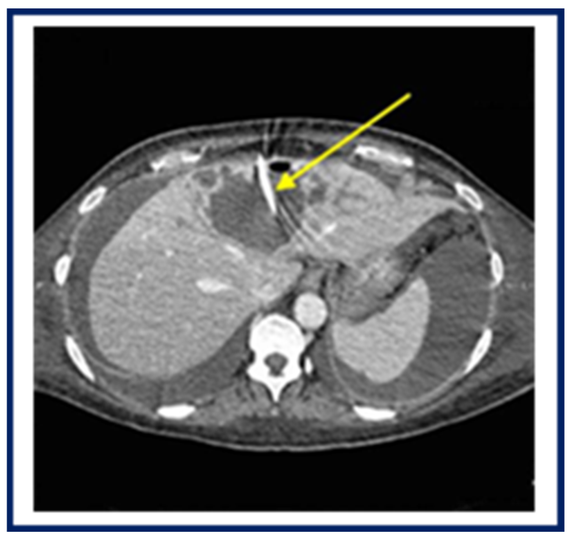
4. Case Report 3
5. Conclusions
Supplementary Materials
Author Contributions
Funding
Institutional Review Board Statement
Informed Consent Statement
Data Availability Statement
Conflicts of Interest
References
- Cobo, E.R.; Chadee, K. Entamoeba hystolytica and other pathogenic intestinal amoeba. Frontiers in Parasitology. In Waterborne Protozoa in Humans; Bruschi, F., Ed.; Bentham Science Publishers: Sharjah, United Arab Emirates, 2017; Volume II, pp. 103–123. [Google Scholar]
- Morán, P.; Serrano-Vázquez, A.; Rojas-Velázquez, L.; González, E.; Pérez-Juárez, H.; Hernández, E.G.; Padilla, M.L.A.; Zaragoza, M.E.; Portillo-Bobadilla, T.; Ramiro, M.; et al. Amoebiasis: Advances in Diagnosis, Treatment, Immunology Features and the Interaction with the Intestinal Ecosystem. Int. J. Mol. Sci. 2023, 24, 11755. [Google Scholar] [CrossRef] [PubMed] [PubMed Central]
- Nasrallah, J.; Akhoundi, M.; Haouchine, D.; Marteau, A.; Mantelet, S.; Wind, P.; Benamouzig, R.; Bouchaud, O.; Dhote, R.; Izri, A. Updates on the worldwide burden of amoebiasis: A case series and literature review. J. Infect. Public Health 2022, 15, 1134–1141. [Google Scholar] [CrossRef] [PubMed]
- Uribe-Querol, E.; Rosales, C. Immune Response to the Enteric Parasite Entamoeba histolytica. Physiology 2020, 35, 244–260. [Google Scholar] [CrossRef] [PubMed]
- Singh, A.; Banerjee, T. Host-parasite interactions in infections due to Entamoeba histolytica: A tale of known and unknown. Trop. Parasitol. 2022, 12, 69–77. [Google Scholar] [CrossRef] [PubMed]
- Kantor, M.; Abrantes, A.; Estevez, A.; Schiller, A.; Torrent, J.; Gascon, J.; Hernandez, R.; Ochner, C. Entamoeba histolytica: Updates in Clinical Manifestation, Pathogenesis, and Vaccine Development. Can. J. Gastroenterol. Hepatol. 2018, 2018, 4601420. [Google Scholar] [CrossRef] [PubMed]
- Kumar, R.; Patel, R.; Priyadarshi, R.N.; Narayan, R.; Maji, T.; Anand, U.; Soni, J.R. Amebic liver abscess: An update. World J. Hepatol. 2024, 16, 316–330. [Google Scholar] [CrossRef] [PubMed]
- Usuda, D.; Tsuge, S.; Sakurai, R.; Kawai, K.; Matsubara, S.; Tanaka, R.; Suzuki, M.; Takano, H.; Shimozawa, S.; Hotchi, Y.; et al. Amebic liver abscess by Entamoeba histolytica. World J. Clin. Cases 2022, 10, 13157–13166. [Google Scholar] [CrossRef] [PubMed]
- Saidin, S.; Othman, N.; Noordin, R. Update on laboratory diagnosis of amoebiasis. Eur. J. Clin. Microbiol. Infect. Dis. 2019, 38, 15–38. [Google Scholar] [CrossRef] [PubMed]
- Borro, M.; Murdaca, G.; Greco, M.; Negrini, S.; Setti, M. A rare hepatic mass in an Italian resident. BMC Gastroenterol. 2020, 20, 295. [Google Scholar] [CrossRef] [PubMed]
- Portunato, F.; Bartalucci, C.; Vena, A.; Giacobbe, D.R.; Porcile, E.; Montanelli, P.; Piol, N.; Centanaro, M.; Andorno, E.; Bassetti, M. Amoebic Liver Abscess: Potential Application of New Diagnostic Techniques for an Old Pathogen. Infect. Dis. Ther. 2024, 13, 625–632. [Google Scholar] [CrossRef] [PubMed]
- De Francesco, M.A.; Villanacci, V.; Pasini, M.; Ciccarone, A.; Bertoni, F.; Gottardi, F.; Tomason, L.R. Amoebic colitis and liver abscess: A rare case of autochthonous invasive infection due to Entamoeba histolytica. J. Infect. Public Health 2024, 17, 464–466. [Google Scholar] [CrossRef] [PubMed]
- Weitzel, T.; Cabrera, J.; Rosas, R.; Noriega, L.M.; Schiappacasse, G.; Vollrath, V.; Porte, L. Enteric multiplex PCR panels: A new diagnostic tool for amoebic liver abscess? New Microbes New Infect. 2017, 18, 50–53. [Google Scholar] [CrossRef] [PubMed]




Disclaimer/Publisher’s Note: The statements, opinions and data contained in all publications are solely those of the individual author(s) and contributor(s) and not of MDPI and/or the editor(s). MDPI and/or the editor(s) disclaim responsibility for any injury to people or property resulting from any ideas, methods, instructions or products referred to in the content. |
© 2025 by the authors. Licensee MDPI, Basel, Switzerland. This article is an open access article distributed under the terms and conditions of the Creative Commons Attribution (CC BY) license (https://creativecommons.org/licenses/by/4.0/).
Share and Cite
Maisetta, G.; Moneta, S.; Tuvo, B.; Giordano, C.; Petrocelli, P.A.; Tincani, G.; Campani, D.; Ghinolfi, D.; Falcone, M.; Bruschi, F.; et al. Three Autochthonous Cases of Amoebic Liver Abscess Clustered in a Small Village of Tuscany (Central Italy), a Non-Endemic Area. Pathogens 2025, 14, 609. https://doi.org/10.3390/pathogens14070609
Maisetta G, Moneta S, Tuvo B, Giordano C, Petrocelli PA, Tincani G, Campani D, Ghinolfi D, Falcone M, Bruschi F, et al. Three Autochthonous Cases of Amoebic Liver Abscess Clustered in a Small Village of Tuscany (Central Italy), a Non-Endemic Area. Pathogens. 2025; 14(7):609. https://doi.org/10.3390/pathogens14070609
Chicago/Turabian StyleMaisetta, Giuseppantonio, Sara Moneta, Benedetta Tuvo, Cesira Giordano, Paola Alessandra Petrocelli, Giovanni Tincani, Daniela Campani, Davide Ghinolfi, Marco Falcone, Fabrizio Bruschi, and et al. 2025. "Three Autochthonous Cases of Amoebic Liver Abscess Clustered in a Small Village of Tuscany (Central Italy), a Non-Endemic Area" Pathogens 14, no. 7: 609. https://doi.org/10.3390/pathogens14070609
APA StyleMaisetta, G., Moneta, S., Tuvo, B., Giordano, C., Petrocelli, P. A., Tincani, G., Campani, D., Ghinolfi, D., Falcone, M., Bruschi, F., & Lupetti, A. (2025). Three Autochthonous Cases of Amoebic Liver Abscess Clustered in a Small Village of Tuscany (Central Italy), a Non-Endemic Area. Pathogens, 14(7), 609. https://doi.org/10.3390/pathogens14070609

