Tricuspid Valve Infective Endocarditis in a Chronic Haemodialysis Patient with a Hickman Catheter: A Case Report
Abstract
1. Introduction
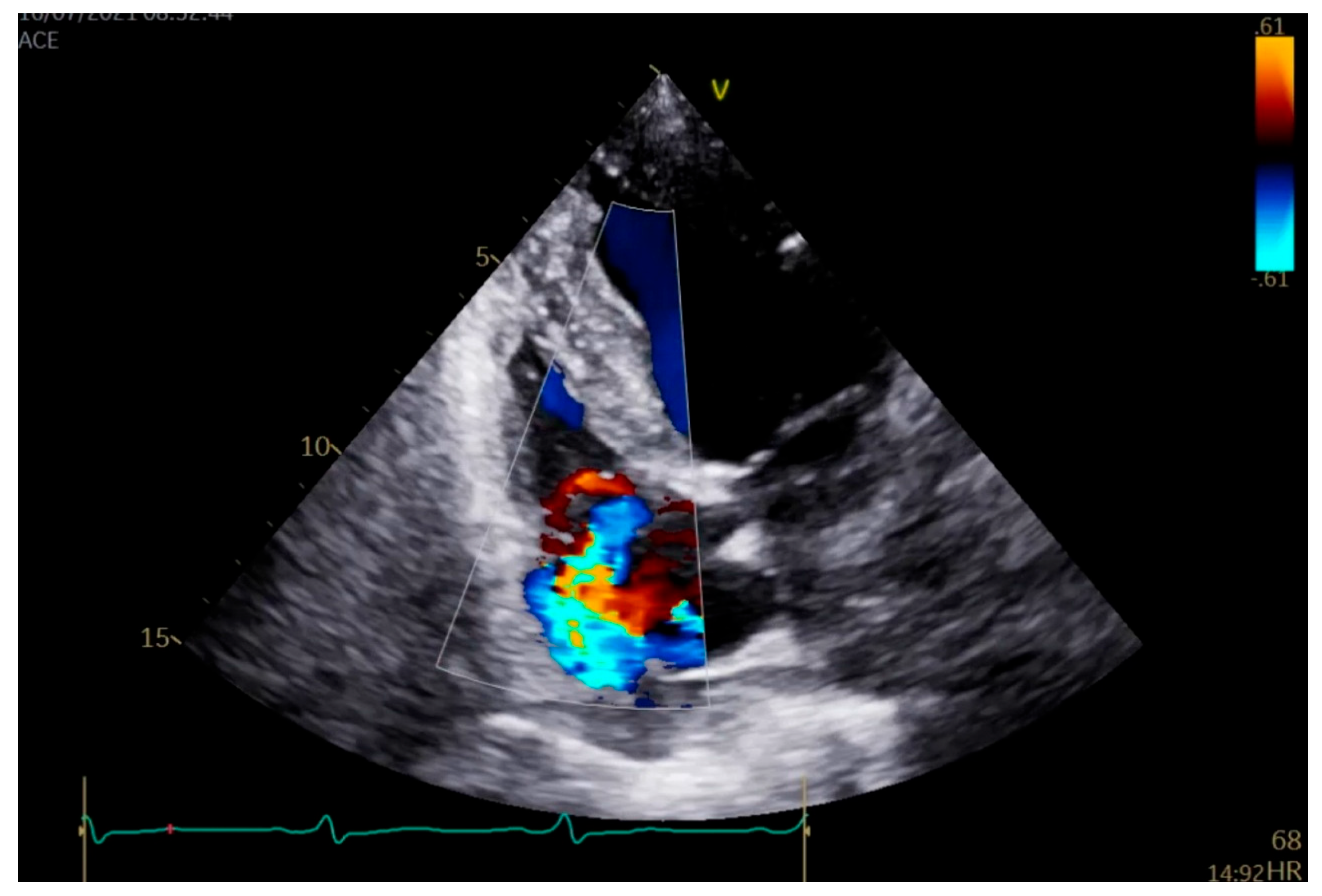
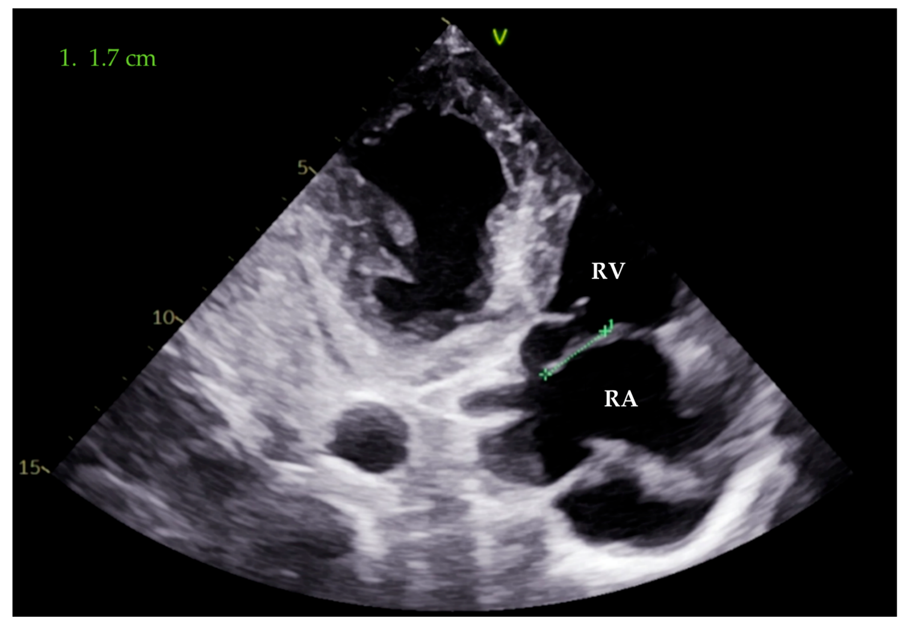
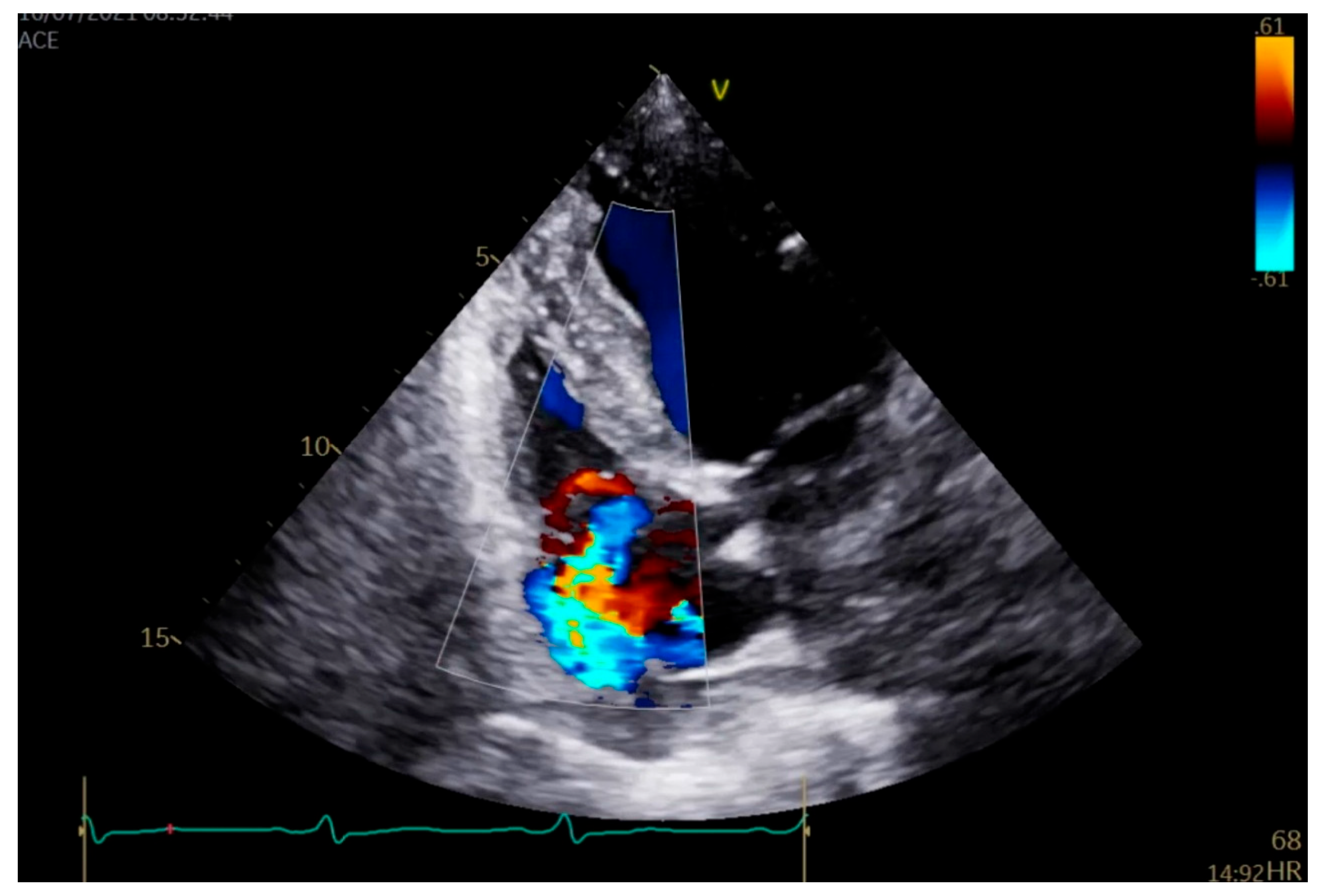
2. Case Presentation
3. Discussion
4. Conclusions
Author Contributions
Funding
Institutional Review Board Statement
Informed Consent Statement
Data Availability Statement
Conflicts of Interest
References
- Li, M.; Kim, J.B.; Sastry, B.K.S.; Chen, M. Infective endocarditis. Lancet 2024, 404, 377–392. [Google Scholar] [CrossRef] [PubMed]
- Rajani, R.; Klein, J.L. Infective endocarditis: A contemporary update. Clin. Med. 2020, 20, 31–35. [Google Scholar] [CrossRef] [PubMed]
- Sangiorgio, G.; Calvo, M.; Migliorisi, G.; Campanile, F.; Stefani, S. The Impact of Enterococcus spp. in the Immunocompromised Host: A Comprehensive Review. Pathogens 2024, 13, 409. [Google Scholar] [CrossRef]
- Codelia-Anjum, A.; Lerner, L.B.; Elterman, D.; Zorn, K.C.; Bhojani, N.; Chughtai, B. Enterococcal Urinary Tract Infections: A Review of the Pathogenicity, Epidemiology, and Treatment. Antibiotics 2023, 12, 778. [Google Scholar] [CrossRef]
- Herrera-Hidalgo, L.; Fernández-Rubio, B.; Luque-Márquez, R.; López-Cortés, L.E.; Gil-Navarro, M.V.; de Alarcón, A. Treatment of Enterococcus faecalis Infective Endocarditis: A Continuing Challenge. Antibiotics 2023, 12, 704. [Google Scholar] [CrossRef]
- Akinosoglou, K.; Apostolakis, E.; Marangos, M.; Pasvol, G. Native valve right sided infective endocarditis. Eur. J. Intern. Med. 2013, 24, 510–519. [Google Scholar] [CrossRef]
- Yanagawa, B.; Bahji, A.; Lamba, W.; Tan, D.H.; Cheema, A.; Syed, I.; Verma, S. Endocarditis in the setting of IDU: Multidisciplinary management. Curr. Opin. Cardiol. 2018, 33, 140–147. [Google Scholar] [CrossRef] [PubMed]
- Scheggi, V.; Merilli, I.; Marcucci, R.; Del Pace, S.; Olivotto, I.; Zoppetti, N.; Ceschia, N.; Andrei, V.; Alterini, B.; Stefàno, P.L.; et al. Predictors of mortality and adverse events in patients with infective endocarditis: A retrospective real world study in a surgical centre. BMC Cardiovasc. Disord. 2021, 21, 28. [Google Scholar] [CrossRef]
- Sheppard, N.M. Infective endocarditis. Diagn. Histopathol. 2022, 28, 199–208. [Google Scholar] [CrossRef]
- Pant, S.; Patel, N.; Deshmukh, A.; Golwala, H.; Patel, N.; Badheka, A.; Hirsch, G.A.; Mehta, J.L. Trends in infective endocarditis incidence, microbiology, and valve replacement in the United States from 2000 to 2011. J. Am. Coll. Cardiol. 2015, 65, 2070–2076. [Google Scholar] [CrossRef]
- Pierce, D.; Calkins, B.C.; Thornton, K. Infectious endocarditis: Diagnosis and treatment. Am. Fam. Physician 2012, 85, 981–986. [Google Scholar] [PubMed]
- Minasyan, H. Sepsis: Mechanisms of bacterial injury to the patient. Scand. J. Trauma. Resusc. Emerg. Med. 2019, 27, 19. [Google Scholar] [CrossRef] [PubMed]
- Wilson, W.; Taubert, K.A.; Gewitz, M.; Lockhart, P.B.; Baddour, L.M.; Levison, M.; Bolger, A.; Cabell, C.H.; Takahashi, M.; Baltimore, R.S.; et al. Prevention of infective endocarditis: Guidelines from the American Heart Association: A guideline from the American Heart Association Rheumatic Fever, Endocarditis, and Kawasaki Disease Committee, Council on Cardiovascular Disease in the Young, and the Council on Clinical Cardiology, Council on Cardiovascular Surgery and Anesthesia, and the Quality of Care and Outcomes Research Interdisciplinary Working Group. Circulation 2007, 116, 1736–1754. [Google Scholar] [CrossRef] [PubMed]
- Yip, C.; Rotstein, C. Hickman catheter-related infections in patients with cancer. Int. J. Antimicrob. Agents 1998, 10, 181–189. [Google Scholar] [CrossRef]
- Ball, J.B.; Gopaluni, S.; Mathavakkannan, S.; Brian, M.; Farrington, K. An immunocompromised dialysis patient with skin and bone lesions. NDT Plus 2010, 3, 257–259. [Google Scholar] [CrossRef][Green Version]
- Nappi, F. Native Infective Endocarditis: A State-of-the-Art-Review. Microorganisms 2024, 12, 1481. [Google Scholar] [CrossRef]
- Miao, H.; Zhang, Y.; Zhang, Y.; Zhang, J. Update on the epidemiology, diagnosis, and management of infective endocarditis: A review. Trends Cardiovasc. Med. 2024, 34, 499–506. [Google Scholar] [CrossRef]
- Pericás, J.M.; Zboromyrska, Y.; Cervera, C.; Castañeda, X.; Almela, M.; Garcia-de-la-Maria, C.; Mestres, C.; Falces, C.; Quintana, E.; Ninot, S.; et al. Enterococcal endocarditis revisited. Future Microbiol. 2015, 10, 1215–1240. [Google Scholar] [CrossRef]
- Delgado, V.; Ajmone-Marsan, N.; de Waha, S.; Bonaros, N.; Brida, M.; Burri, H.; Caselli, S.; Doenst, T.; Ederhy, S.; Erba, P.A.; et al. 2023 ESC Guidelines for the management of endocarditis. Eur. Heart J. 2023, 44, 3948–4042. [Google Scholar] [CrossRef]
- Wang, A.; Athan, E.; Pappas, P.A.; Fowler, V.G., Jr.; Olaison, L.; Paré, C.; Almirante, B.; Muñoz, P.; Rizzi, M.; Naber, C.; et al. Contemporary clinical profile and outcome of prosthetic valve endocarditis. JAMA 2007, 297, 1354–1361. [Google Scholar] [CrossRef]
- Habib, G.; Lancellotti, P.; Antunes, M.J.; Bongiorni, M.G.; Casalta, J.-P.; Del Zotti, F.; Dulgheru, R.; El Khoury, G.; Erba, P.A.; Iung, B.; et al. 2015 ESC Guidelines for the management of infective endocarditis: The Task Force for the Management of Infective Endocarditis of the European Society of Cardiology (ESC). Endorsed by: European Association for Cardio-Thoracic Surgery (EACTS), the European Association of Nuclear Medicine (EANM). Eur. Heart J. 2015, 36, 3075–3128. [Google Scholar] [CrossRef] [PubMed]
- Lin, T.I.; Huang, Y.F.; Liu, P.Y.; Chou, C.A.; Chen, Y.S.; Chen, Y.Y.; Hsieh, K.S.; Chen, Y.S. Pseudomonas aeruginosa infective endocarditis in patients who do not use intravenous drugs: Analysis of risk factors and treatment outcomes. J. Microbiol. Immunol. Infect. 2016, 49, 516–522. [Google Scholar] [CrossRef] [PubMed]
- Tomoaia, R.; Oprea, A.; Sandu, I.; Danu, V.; Pop, D.; Zdrenghea, D.; Dădârlat-Pop, A.; Minciună, I.A.; Chețan, I.M.; Hada, N.C.; et al. A Rare Case of Successfully Treated Double Valve Infective Endocarditis Caused by Pseudomonas aeruginosa. Int. J. Mol. Sci. 2022, 23, 11127. [Google Scholar] [CrossRef] [PubMed]
- Bentata, Y.; Haddiya, I.; Ismailli, N.; Benzirare, A.; Elmahi, O.; Azzouzi, A. Severe tricuspid valve endocarditis related to tunneled catheters in chronic hemodialysis patients: When should the catheter be removed? Arab J. Nephrol. Transplant. 2013, 6, 115–118. [Google Scholar]
- Marques, A.; Cruz, I.; Caldeira, D.; Alegria, S.; Gomes, A.C.; Broa, A.L.; João, I.; Pereira, H. Risk Factors for In-Hospital Mortality in Infective Endocarditis. Arq. Bras. Cardiol. 2020, 114, 1–8. [Google Scholar]
- Leblebicioglu, H.; Yilmaz, H.; Tasova, Y.; Alp, E.; Saba, R.; Caylan, R.; Bakir, M.; Akbulut, A.; Arda, B.; Esen, S. Characteristics and analysis of risk factors for mortality in infective endocarditis. Eur. J. Epidemiol. 2006, 21, 25–31. [Google Scholar] [CrossRef]





| Laboratory Values | Hospital Admission | Reference Range |
|---|---|---|
| CRP, mg/L | 112 | 0.0–5.0 |
| Pct, ng/mL | 0.45 | <0.05 |
| Ferritin, ug/L | 1704 | 13.0–150 |
| Fibrinogen, g/L | 3.5 | 2.0–4.0 |
| ESR, mm/h | 48 | <30 |
| Leucocytes, 109/L | 5.0 | 3.4–9.7 |
| Erythrocytes, 1012/L | 3.71 | 4.34–5.72 |
| Hemoglobin, g/L | 104 | 122–157 |
| Platelets, 109/L | 153 | 150–450 |
| Glucose, mmol/L | 4.4 | 3.9–6.1 |
| Serum urea, mmol/L | 8.4 | 2.5–7.5 |
| Serum creatinine, μmol/L | 506 | 45–84 |
| Uric acid, μmol/L | 370 | 150–400 |
| Sodium, mmol/L | 137 | 135–148 |
| Potassium, mmol/L | 3.6 | 3.5–5.1 |
| LDH, U/L | 339 | 220–460 |
| iPTH, ng/L | 21 | 15–65 |
Disclaimer/Publisher’s Note: The statements, opinions and data contained in all publications are solely those of the individual author(s) and contributor(s) and not of MDPI and/or the editor(s). MDPI and/or the editor(s) disclaim responsibility for any injury to people or property resulting from any ideas, methods, instructions or products referred to in the content. |
© 2025 by the authors. Licensee MDPI, Basel, Switzerland. This article is an open access article distributed under the terms and conditions of the Creative Commons Attribution (CC BY) license (https://creativecommons.org/licenses/by/4.0/).
Share and Cite
Šačić, D.; Shawamri, S.; Jovanović, I.; Boričić-Kostić, M.; Jegorović, B.; Mijalković, M.; Filić, K.; Juričić, S.; Karadžić-Ristanović, V.; Bjelić, D.; et al. Tricuspid Valve Infective Endocarditis in a Chronic Haemodialysis Patient with a Hickman Catheter: A Case Report. Pathogens 2025, 14, 539. https://doi.org/10.3390/pathogens14060539
Šačić D, Shawamri S, Jovanović I, Boričić-Kostić M, Jegorović B, Mijalković M, Filić K, Juričić S, Karadžić-Ristanović V, Bjelić D, et al. Tricuspid Valve Infective Endocarditis in a Chronic Haemodialysis Patient with a Hickman Catheter: A Case Report. Pathogens. 2025; 14(6):539. https://doi.org/10.3390/pathogens14060539
Chicago/Turabian StyleŠačić, Dalila, Saddam Shawamri, Ivana Jovanović, Marija Boričić-Kostić, Boris Jegorović, Miloš Mijalković, Kristina Filić, Stefan Juričić, Vidna Karadžić-Ristanović, Danka Bjelić, and et al. 2025. "Tricuspid Valve Infective Endocarditis in a Chronic Haemodialysis Patient with a Hickman Catheter: A Case Report" Pathogens 14, no. 6: 539. https://doi.org/10.3390/pathogens14060539
APA StyleŠačić, D., Shawamri, S., Jovanović, I., Boričić-Kostić, M., Jegorović, B., Mijalković, M., Filić, K., Juričić, S., Karadžić-Ristanović, V., Bjelić, D., Gajić, S., & Baralić, M. (2025). Tricuspid Valve Infective Endocarditis in a Chronic Haemodialysis Patient with a Hickman Catheter: A Case Report. Pathogens, 14(6), 539. https://doi.org/10.3390/pathogens14060539

