Echinococcus multilocularis Calreticulin Inhibits Lectin Pathway of Complement Activation by Directly Binding to Mannose-Binding Lectin
Abstract
1. Introduction
2. Materials and Methods
2.1. Serum
2.2. Expression of Recombinant Proteins of Full-Length EmCRT and Different Fragments
2.3. EmCRT Binding to MBL
2.4. Molecular Docking
2.5. Calcium-Binding Staining
2.6. Effect of rEmCRT on the Binding of MBL to Mannan
2.7. C3b/C4b Deposition Experiments
2.8. Data Analysis
3. Results
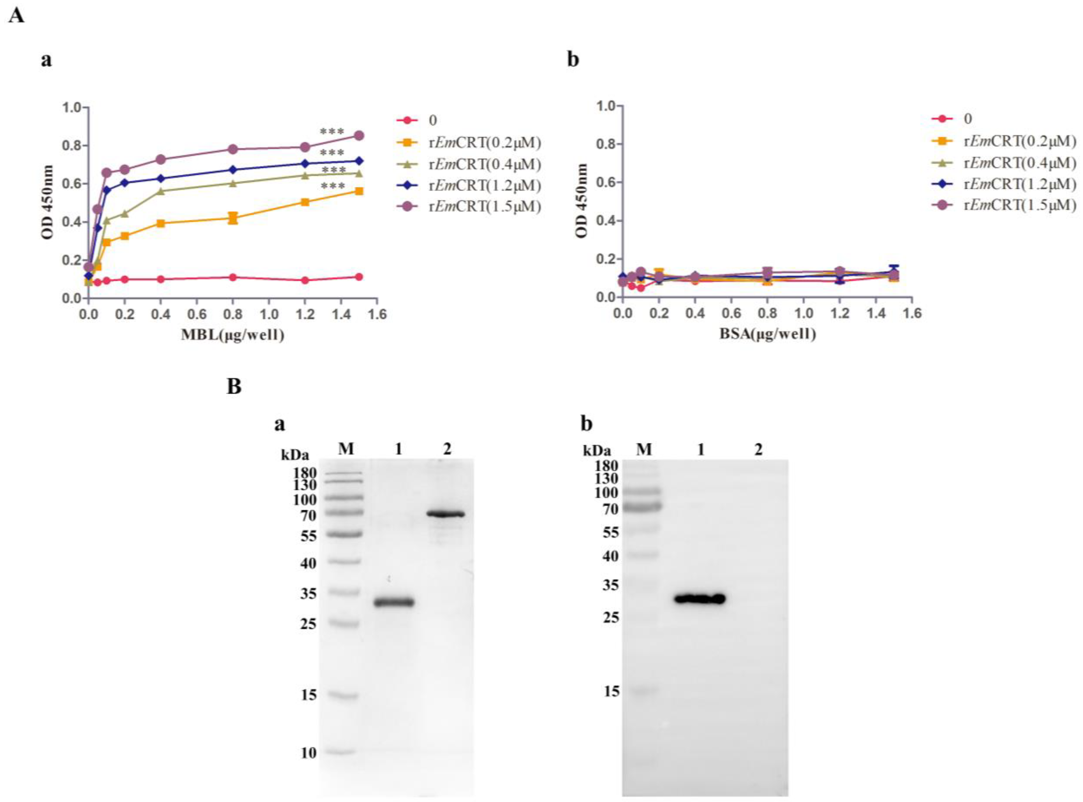
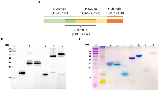
3.1. Expression and Characterization of Recombinant EmCRT and Its Fragments
3.2. Binding of rEmCRT to Human MBL
3.3. Predicted Structure and MBL Binding Region of EmCRT
3.4. Mapping of MBL Binding Region in EmCRT
3.5. Inhibition of MBL Binding to Mannan by rEmCRT and Its Binding Regions
3.6. Inhibition of Lectin Pathway of Complement Activation by rEmCRT and Its MBL Binding Regions
4. Discussion
Supplementary Materials
Author Contributions
Funding
Institutional Review Board Statement
Informed Consent Statement
Data Availability Statement
Acknowledgments
Conflicts of Interest
References
- Stojkovic, M.; Junghanss, T. Cystic and alveolar echinococcosis. Neuroparasitol. Trop. Neurol. 2013, 114, 327–334. [Google Scholar]
- Yan, W.-L.; Meng, J.-X.; Li, X.-M.; Zhao, J.-P.; Zhang, M.; Wang, X.-Y.; Sun, Y.-Z.; Ni, H.-B.; Ma, H. Global Prevalence of Echinococcosis in Goats: A Systematic Review and Meta-Analysis. Foodborne Pathog. Dis. 2022, 19, 675–685. [Google Scholar] [CrossRef] [PubMed]
- Wang, Z.; Wang, X.; Liu, X. Echinococcosis in China, a Review of the Epidemiology of Echinococcus spp. EcoHealth 2008, 5, 115–126. [Google Scholar] [PubMed]
- Eckert, J.; Deplazes, P. Biological, Epidemiological, and Clinical Aspects of Echinococcosis, a Zoonosis of Increasing Concern. Clin. Microbiol. Rev. 2004, 17, 107–135. [Google Scholar] [CrossRef]
- Giraudoux, P.; Raoul, F.; Afonso, E.V.E.; Ziadinov, I.; Yang, Y.; Li, L.I.; Li, T.; Quéré, J.-P.; Feng, X.; Wang, Q.; et al. Transmission ecosystems of Echinococcus multilocularisin China and Central Asia. Parasitology 2013, 140, 1655–1666. [Google Scholar] [CrossRef]
- McSorley, H.J.; Hewitson, J.P.; Maizels, R.M. Immunomodulation by helminth parasites: Defining mechanisms and mediators. Int. J. Parasitol. 2013, 43, 301–310. [Google Scholar] [CrossRef]
- Heggi, M.T.; Nour El-Din, H.T.; Morsy, D.I.; Abdelaziz, N.I.; Attia, A.S. Microbial evasion of the complement system: A continuous and evolving story. Front. Immunol. 2024, 14, 1281096. [Google Scholar] [CrossRef]
- West, E.E.; Kemper, C. Complosome—The intracellular complement system. Nat. Rev. Nephrol. 2023, 19, 426–439. [Google Scholar] [CrossRef]
- Zhao, L.; Shao, S.; Chen, Y.; Sun, X.; Sun, R.; Huang, J.; Zhan, B.; Zhu, X. Trichinella spiralis Calreticulin Binds Human Complement C1q As an Immune Evasion Strategy. Front. Immunol 2017, 8, 636. [Google Scholar] [CrossRef]
- Shao, S.; Hao, C.; Zhan, B.; Zhuang, Q.; Zhao, L.; Chen, Y.; Huang, J.; Zhu, X. Trichinella spiralis Calreticulin S-Domain Binds to Human Complement C1q to Interfere with C1q-Mediated Immune Functions. Front. Immunol. 2020, 11, 572326. [Google Scholar] [CrossRef]
- Rothschild-Rodrigueza, D.; Causerb, A.J.; Brown, F.F.; Collier-Bain, H.D.; Moore, S.; Murray, J.; Turner, J.E.; Campbell, J.P. The effects of exercise on complement system proteins in humans a systematic scoping review. Exerc. Immunol. Rev. 2022, 28, 1–35. [Google Scholar]
- Lambris, J.D.; Ricklin, D.; Geisbrecht, B.V. Complement evasion by human pathogens. Nat. Rev. Nephrol. 2008, 6, 132–142. [Google Scholar] [CrossRef]
- Wallis, R.; Mitchell, D.A.; Schmid, R.; Schwaeble, W.J.; Keeble, A.H. Paths reunited: Initiation of the classical and lectin pathways of complement activation. Immunobiology 2010, 215, 1–11. [Google Scholar] [PubMed]
- Noris, M.; Remuzzi, G. Overview of Complement Activation and Regulation. Semin. Nephrol. 2013, 33, 479–492. [Google Scholar] [PubMed]
- Kalia, N.; Singh, J.; Kaur, M. The ambiguous role of mannose-binding lectin (MBL) in human immunity. Open Med. 2021, 16, 299–310. [Google Scholar] [CrossRef]
- Dobó, J.; Kocsis, A.; Farkas, B.; Demeter, F.; Cervenak, L.; Gál, P. The Lectin Pathway of the Complement System—Activation, Regulation, Disease Connections and Interplay with Other (Proteolytic) Systems. Int. J. Mol. Sci. 2024, 25, 1566. [Google Scholar] [CrossRef]
- Michalak, M.; Corbett, E.F.; Mesaeli, N.; Nakamura, K.; Opas, M. Calreticulin: One protein, one gene, many functions. Biochem. J. 1999, 344 Pt 2, 281–292. [Google Scholar] [CrossRef]
- Michalak, M.; Groenendyk, J.; Szabo, E.; Gold, L.I.; Opas, M. Calreticulin, a multi-process calcium-buffering chaperone of the endoplasmic reticulum. Biochem. J. 2009, 417, 651–666. [Google Scholar]
- Esperante, D.; Flisser, A.; Mendlovic, F. The many faces of parasite calreticulin. Front. Immunol. 2023, 14, 1101390. [Google Scholar]
- Naresha, S.; Suryawanshi, A.; Agarwal, M.; Singh, B.P.; Joshi, P. Mapping the complement C1q binding site in Haemonchus contortus calreticulin. Mol. Biochem. Parasitol. 2009, 166, 42–46. [Google Scholar]
- Ramírez, G.; Valck, C.; Molina, M.C.; Ribeiro, C.H.; López, N.; Sánchez, G.; Ferreira, V.P.; Billetta, R.; Aguilar, L.; Maldonado, I.; et al. Trypanosoma cruzi calreticulin: A novel virulence factor that binds complement C1 on the parasite surface and promotes infectivity. Immunobiology 2011, 216, 265–273. [Google Scholar] [CrossRef] [PubMed]
- Kasper, G.; Brown, A.; Eberl, M.; Vallar, L.; Kieffer, N.; Berry, C.; Girdwood, K.; Eggleton, P.; Quinnell, R.; Pritchard, D.I. Pritchard, A calreticulin-like molecule from the human hookworm Necator americanus interacts with C1q and the cytoplasmic signalling domains of some integrins. Parasite Immunol. 2001, 23, 141–152. [Google Scholar] [PubMed]
- Kaveri, S.V.; Yadav, S.; Gupta, S.; Selvaraj, C.; Doharey, P.K.; Verma, A.; Singh, S.K.; Saxena, J.K. In Silico and In Vitro Studies on the Protein-Protein Interactions between Brugia malayi Immunomodulatory Protein Calreticulin and Human C1q. PLoS ONE 2014, 9, e106413. [Google Scholar]
- Xian, S.; Chen, L.; Yan, Y.; Chen, J.; Yu, G.; Shao, Y.; Zhan, B.; Wang, Y.; Zhao, L. Echinococcus multilocularis Calreticulin Interferes with C1q-mediated Complement Activation. Trop. Med. Infect. Dis. 2023, 8, 47. [Google Scholar] [CrossRef]
- Sosoniuk, E.; Vallejos, G.; Kenawy, H.; Gaboriaud, C.; Thielens, N.; Fujita, T.; Schwaeble, W.; Ferreira, A.; Valck, C. Trypanosoma cruzi calreticulin inhibits the complement lectin pathway activation by direct interaction with L-Ficolin. Mol. Immunol. 2014, 60, 80–85. [Google Scholar]
- Yi, C.; Shuai, S.; Jingjing, H.; Limei, Z.; Xinping, Z. Effect of Trichinella spiralis calreticulin on complement activation via the mannose-binding lectin pathway. Acta Parasitol. Med. Entomol. Sin. 2019, 26, 1–6. [Google Scholar]
- Chen, L.; Cheng, Z.; Xian, S.; Zhan, B.; Xu, Z.; Yan, Y.; Chen, J.; Wang, Y.; Zhao, L. Immunization with EmCRT-Induced Protective Immunity against Echinococcus multilocularis Infection in BALB/c Mice. Trop. Med. Infect. Dis. 2022, 7, 279. [Google Scholar] [CrossRef]
- Gazzinelli-Guimaraes, P.H.; Nutman, T.B. Helminth parasites and immune regulation. F1000Research 2018, 7, F1000. [Google Scholar]
- Hewitson, J.P.; Grainger, J.R.; Maizels, R.M. Helminth immunoregulation: The role of parasite secreted proteins in modulating host immunity. Mol. Bioche. Parasitol. 2009, 167, 1–11. [Google Scholar]
- Imai, S.; Fujita, K. Molecules of parasites as immunomodulatory drugs. Curr. Top. Med. Chem. 2004, 4, 539–552. [Google Scholar]
- Johnston, M.J.G.; MacDonald, J.A.; McKay, D.M. Parasitic helminths: A pharmacopeia of anti-inflammatory molecules. Parasitology 2008, 136, 125–147. [Google Scholar] [CrossRef] [PubMed]
- Taylor, M.D.; van der Werf, N.; Maizels, R.M. T cells in helminth infection: The regulators and the regulated. Trends Immunol. 2012, 33, 181–189. [Google Scholar] [CrossRef] [PubMed]
- Wu, Y.; Gao, H.; Yu, H.; Wang, X.; Li, H.; Jin, Q.; Zhu, X.; Li, Q.; Kong, N.; Tang, Y.; et al. Schistosoma japonicum cystatin alleviates paraquat poisoning caused acute lung injury in mice through activating regulatory macrophages. Ecotoxicol. Environ. Saf. 2024, 281, 116615. [Google Scholar] [CrossRef] [PubMed]
- Sawaya, A.P.; Vecin, N.M.; Burgess, J.L.; Ojeh, N.; DiBartolomeo, G.; Stone, R.C.; Pastar, I.; Tomic-Canic, M. Calreticulin: A multifunctional protein with potential therapeutic applications for chronic wounds. Front. Med. 2023, 10, 1207538. [Google Scholar] [CrossRef]
- Ramírez-Toloza, G.; Aguilar-Guzmán, L.; Valck, C.; Ferreira, V.P.; Ferreira, A. The Interactions of Parasite Calreticulin With Initial Complement Components: Consequences in Immunity and Virulence. Front. Immunol. 2020, 11, 1561. [Google Scholar] [CrossRef]
- Kjaer, T.R.; Le, L.T.M.; Pedersen, J.S.; Sander, B.; Golas, M.M.; Jensenius, J.C.; Andersen, G.R.; Thiel, S. Structural Insights into the Initiating Complex of the Lectin Pathway of Complement Activation. Structure 2015, 23, 342–351. [Google Scholar] [CrossRef]
- Chiaki Sato, K.F. Isolation and Characterization of a Diagnostic Polysaccharide Antigen from Larval Echinococcus multilocularis. Jpn. J. Med. Sci. Biol. 1994, 47, 65–71. [Google Scholar] [CrossRef][Green Version]
- Thiemmeca, S.; Tamdet, C.; Punyadee, N.; Prommool, T.; Songjaeng, A.; Noisakran, S.; Puttikhunt, C.; Atkinson, J.P.; Diamond, M.S.; Ponlawat, A.; et al. Secreted NS1 Protects Dengue Virus from Mannose-Binding Lectin–Mediated Neutralization. J. Immunol. 2016, 197, 4053–4065. [Google Scholar] [CrossRef]
- Valand, N.; Brunt, E.; Gazioglu, O.; Yesilkaya, H.; Mitchell, D.; Horley, N.; Arroo, R.; Kishore, U.; Wallis, R.; Venkatraman Girija, U. Inactivation of the Complement Lectin Pathway by Candida tropicalis Secreted Aspartyl Protease-1. Immunobiology 2022, 227, 152263. [Google Scholar] [CrossRef]
- Sahly, H.; Keisari, Y.; Ofek, I. Manno(Rhamno)Biose-Containing Capsular Polysaccharides of Klebsiella pneumoniae Enhance Opsono-Stimulation of Human Polymorphonuclear Leukocytes. J. Innate. Immun. 2009, 1, 136–144. [Google Scholar] [CrossRef]
- Skelly, P.J.; De Marco Verissimo, C.; Jewhurst, H.L.; Dobó, J.; Gál, P.; Dalton, J.P.; Cwiklinski, K. Fasciola hepatica is refractory to complement killing by preventing attachment of mannose binding lectin (MBL) and inhibiting MBL-associated serine proteases (MASPs) with serpins. PLoS Pathog. 2022, 18, e1010226. [Google Scholar]
- Ribeiro, J.M.C.; Reynolds, S.L.; Pike, R.N.; Mika, A.; Blom, A.M.; Hofmann, A.; Wijeyewickrema, L.C.; Kemp, D.; Fischer, K. Scabies Mite Inactive Serine Proteases Are Potent Inhibitors of the Human Complement Lectin Pathway. PLoS Negl. Trop. Dis. 2014, 8, e2872. [Google Scholar]






Disclaimer/Publisher’s Note: The statements, opinions and data contained in all publications are solely those of the individual author(s) and contributor(s) and not of MDPI and/or the editor(s). MDPI and/or the editor(s) disclaim responsibility for any injury to people or property resulting from any ideas, methods, instructions or products referred to in the content. |
© 2025 by the authors. Licensee MDPI, Basel, Switzerland. This article is an open access article distributed under the terms and conditions of the Creative Commons Attribution (CC BY) license (https://creativecommons.org/licenses/by/4.0/).
Share and Cite
Shao, Y.; Xia, M.; Song, Y.; Yan, Y.; Dong, X.; Zong, H.; Zhan, B.; Wang, Y.; Zhao, L. Echinococcus multilocularis Calreticulin Inhibits Lectin Pathway of Complement Activation by Directly Binding to Mannose-Binding Lectin. Pathogens 2025, 14, 354. https://doi.org/10.3390/pathogens14040354
Shao Y, Xia M, Song Y, Yan Y, Dong X, Zong H, Zhan B, Wang Y, Zhao L. Echinococcus multilocularis Calreticulin Inhibits Lectin Pathway of Complement Activation by Directly Binding to Mannose-Binding Lectin. Pathogens. 2025; 14(4):354. https://doi.org/10.3390/pathogens14040354
Chicago/Turabian StyleShao, Yuxiao, Meng Xia, Yinghui Song, Yan Yan, Xiaofang Dong, Haoran Zong, Bin Zhan, Yanhai Wang, and Limei Zhao. 2025. "Echinococcus multilocularis Calreticulin Inhibits Lectin Pathway of Complement Activation by Directly Binding to Mannose-Binding Lectin" Pathogens 14, no. 4: 354. https://doi.org/10.3390/pathogens14040354
APA StyleShao, Y., Xia, M., Song, Y., Yan, Y., Dong, X., Zong, H., Zhan, B., Wang, Y., & Zhao, L. (2025). Echinococcus multilocularis Calreticulin Inhibits Lectin Pathway of Complement Activation by Directly Binding to Mannose-Binding Lectin. Pathogens, 14(4), 354. https://doi.org/10.3390/pathogens14040354

