First Complete Genome of Reticuloendotheliosis Virus in a Mallard Duck from Brazil: Phylogenetic Insights and Evolutionary Analysis
Abstract
1. Introduction
2. Materials and Methods
2.1. Clinical Case
2.2. Molecular Detection of Oncogenic Viruses and Histopathology
2.3. Complete Genome Sequencing of Reticuloendotheliosis Virus
2.4. Sequence and Phylogenetic Analysis
2.5. Selective Pressure
3. Results
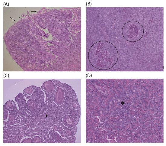
3.1. Necropsy, Molecular Detection of Oncogenic Viruses and Histopathology
3.2. Complete Genome Sequencing and Phylogenetic Analysis
3.3. Selective Pressure
4. Discussion
5. Conclusions
Supplementary Materials
Author Contributions
Funding
Institutional Review Board Statement
Informed Consent Statement
Data Availability Statement
Conflicts of Interest
References
- Nair, V.; Gimeno, I.; Dunn, J.; Zavala, G.; Williams, S.M.; Reece, R.L.; Hafner, S. Neoplastic Diseases. In Diseases of Poultry, 14th ed.; John Wiley & Sons Ltd.: Hoboken, NJ, USA, 2020; pp. 548–715. [Google Scholar]
- Isfort, R.J.; Witter, R.; Kung, H.J. Retrovirus Insertion into Herpesviruses. Trends Microbiol. 1994, 2, 174–177. [Google Scholar] [CrossRef]
- Hertig, C.; Coupar, B.E.; Gould, A.R.; Boyle, D.B. Field and Vaccine Strains of Fowlpox Virus Carry Integrated Sequences from the Avian Retrovirus, Reticuloendotheliosis Virus. Virology 1997, 235, 367–376. [Google Scholar] [CrossRef] [PubMed]
- Zhao, K.; He, W.; Xie, S.; Song, D.; Lu, H.; Pan, W.; Zhou, P.; Liu, W.; Lu, R.; Zhou, J.; et al. Highly Pathogenic Fowlpox Virus in Cutaneously Infected Chickens, China. Emerg. Infect. Dis. 2014, 20, 1208–1210. [Google Scholar] [CrossRef] [PubMed]
- Chacón, R.D.; Astolfi-Ferreira, C.S.; De la Torre, D.I.; de Sá, L.R.M.; Piantino Ferreira, A.J. An Atypical Clinicopathological Manifestation of Fowlpox Virus Associated with Reticuloendotheliosis Virus in Commercial Laying Hen Flocks in Brazil. Transbound. Emerg. Dis. 2020, 67, 2923–2935. [Google Scholar] [CrossRef] [PubMed]
- Wang, J.; Meers, J.; Spradbrow, P.B.; Robinson, W.F. Evaluation of Immune Effects of Fowlpox Vaccine Strains and Field Isolates. Vet. Microbiol. 2006, 116, 106–119. [Google Scholar] [CrossRef] [PubMed]
- Sun, G.-R.; Zhang, Y.-P.; Zhou, L.-Y.; Lv, H.-C.; Zhang, F.; Li, K.; Gao, Y.-L.; Qi, X.-L.; Cui, H.-Y.; Wang, Y.-Q.; et al. Co-Infection with Marek’s Disease Virus and Reticuloendotheliosis Virus Increases Illness Severity and Reduces Marek’s Disease Vaccine Efficacy. Viruses 2017, 9, 158. [Google Scholar] [CrossRef] [PubMed]
- Motha, M.X.; Egerton, J.R.; Sweeney, A.W. Some Evidence of Mechanical Transmission of Reticuloendotheliosis Virus by Mosquitoes. Avian Dis. 1984, 28, 858–867. [Google Scholar] [CrossRef]
- Davidson, I.; Braverman, Y. Insect Contribution to Horizontal Transmission of Reticuloendotheliosis Virus. J. Med. Entomol. 2005, 42, 128–133. [Google Scholar] [CrossRef] [PubMed]
- Joshi, L.R.; Bauermann, F.V.; Hain, K.S.; Kutish, G.F.; Armién, A.G.; Lehman, C.P.; Neiger, R.; Afonso, C.L.; Tripathy, D.N.; Diel, D.G. Detection of Fowlpox Virus Carrying Distinct Genome Segments of Reticuloendotheliosis Virus. Virus Res. 2019, 260, 53–59. [Google Scholar] [CrossRef] [PubMed]
- Li, Y.; Cui, S.; Cui, Z.; Chang, S.; Zhao, P. Genome Analysis and Pathogenicity of Reticuloendotheliosis Virus Isolated from a Contaminated Vaccine Seed against Infectious Bursal Disease Virus: First Report in China. J. Gen. Virol. 2016, 97, 2809–2815. [Google Scholar] [CrossRef] [PubMed]
- Barbosa, T.; Zavala, G.; Cheng, S.; Villegas, P. Full Genome Sequence and Some Biological Properties of Reticuloendotheliosis Virus Strain APC-566 Isolated from Endangered Attwater’s Prairie Chickens. Virus Res. 2007, 124, 68–77. [Google Scholar] [CrossRef] [PubMed]
- Zhai, S.-L.; Chen, S.-N.; Lin, T.; Wen, X.-H.; Wei, W.-K.; Lv, D.-H.; Chen, R.-A. Emergence of Reticuloendotheliosis Virus in Pigeons in Guangdong Province, Southern China. Arch. Virol. 2016, 161, 2007–2011. [Google Scholar] [CrossRef] [PubMed]
- Work, T.M.; Breeden, R.; Dagenais, J.; Rameyer, R.A.; Sellers, H.; Ip, H.S.; Casey, J.W. Morbidity and mortality of hawaiian geese (branta sandvicensis) and laysan albatross (phoebastria immutabilis) associated with reticuloendotheliosis virus. J. Wildl. Dis. 2022, 58, 756–768. [Google Scholar] [CrossRef] [PubMed]
- Thontiravong, A.; Wannaratana, S.; Sasipreeyajan, J. Genetic Characterization of Reticuloendotheliosis Virus in Chickens in Thailand. Poult. Sci. 2019, 98, 2432–2438. [Google Scholar] [CrossRef] [PubMed]
- Li, M.; Wang, P.; Li, Q.; Deng, Q.; Shi, M.; Mo, M.; Wei, T.; Huang, T.; Wei, P. Reemergence of Reticuloendotheliosis Virus and Marek’s Disease Virus Co-Infection in Yellow-Chickens in Southern China. Poult. Sci. 2021, 100, 101099. [Google Scholar] [CrossRef] [PubMed]
- Chacón, R.D.; Sedano-Herrera, B.; Alfaro-Espinoza, E.R.; Quispe, W.U.; Liñan-Torres, A.; De la Torre, D.; de Oliveira, A.; Astolfi-Ferreira, C.S.; Ferreira, A.J.P. Complete Genome Characterization of Reticuloendotheliosis Virus Detected in Chickens with Multiple Viral Coinfections. Viruses 2022, 14, 798. [Google Scholar] [CrossRef]
- Lin, C.-Y.; Chen, C.-L.; Wang, C.-C.; Wang, C.-H. Isolation, Identification, and Complete Genome Sequence of an Avian Reticuloendotheliosis Virus Isolated from Geese. Vet. Microbiol. 2009, 136, 246–249. [Google Scholar] [CrossRef] [PubMed]
- Liu, J.; Li, H.; Liu, B.; Zhao, B.; Zhang, P.; Yu, X.; Ning, Z. Emergence of Spontaneously Occurring Neoplastic Disease Caused by Reticuloendotheliosis Virus in Breeding Muscovy Ducks in China, 2019. Transbound Emerg. Dis. 2020, 67, 1442–1446. [Google Scholar] [CrossRef] [PubMed]
- Asif, K.; O’Rourke, D.; Legione, A.R.; Shil, P.; Marenda, M.S.; Noormohammadi, A.H. Whole-Genome Based Strain Identification of Fowlpox Virus Directly from Cutaneous Tissue and Propagated Virus. PLoS ONE 2021, 16, e0261122. [Google Scholar] [CrossRef] [PubMed]
- Matos, M.; Bilic, I.; Palmieri, N.; Mitsch, P.; Sommer, F.; Tvarogová, J.; Liebhart, D.; Hess, M. Epidemic of Cutaneous Fowlpox in a Naïve Population of Chickens and Turkeys in Austria: Detailed Phylogenetic Analysis Indicates Co-Evolution of Fowlpox Virus with Reticuloendotheliosis Virus. Transbound. Emerg. Dis. 2022, 69, 2913–2923. [Google Scholar] [CrossRef] [PubMed]
- Grados, T.M.; Icochea, D.E.; Gonzáles, V.R.; Manchego, S.A. Determinación de Anticuerpos Contra El Virus de La Reticuloendoteliosis Aviar En Gallinas Ponedoras Mediante La Prueba de ELISA. Rev. Investig. Vet. Perú 2009, 20, 102–107. [Google Scholar] [CrossRef][Green Version]
- Buscaglia, C. Mixed Infections of Marek’s Disease and Reticuloendotheliosis Viruses in Layer Flocks in Argentina. Avian Dis. 2013, 57, 569–571. [Google Scholar] [CrossRef]
- Chacón, R.D.; Astolfi-Ferreira, C.S.; Guimarães, M.B.; Torres, L.N.; De la Torre, D.I.; de Sá, L.R.M.; Piantino Ferreira, A.J. Detection and Molecular Characterization of a Natural Coinfection of Marek’s Disease Virus and Reticuloendotheliosis Virus in Brazilian Backyard Chicken Flock. Vet. Sci. 2019, 6, 92. [Google Scholar] [CrossRef] [PubMed]
- Caleiro, G.S.; Nunes, C.F.; Urbano, P.R.; Kirchgatter, K.; de Araujo, J.; Durigon, E.L.; Thomazelli, L.M.; Stewart, B.M.; Edwards, D.C.; Romano, C.M. Detection of Reticuloendotheliosis Virus in Muscovy Ducks, Wild Turkeys, and Chickens in Brazil. J. Wildl. Dis. 2020, 56, 631–635. [Google Scholar] [CrossRef] [PubMed]
- Gopal, S.; Manoharan, P.; Kathaperumal, K.; Chidambaram, B.; Divya, K.C. Differential Detection of Avian Oncogenic Viruses in Poultry Layer Farms and Turkeys by Use of Multiplex PCR. J. Clin. Microbiol. 2012, 50, 2668–2673. [Google Scholar] [CrossRef] [PubMed]
- Katoh, K.; Rozewicki, J.; Yamada, K.D. MAFFT Online Service: Multiple Sequence Alignment, Interactive Sequence Choice and Visualization. Brief. Bioinform. 2019, 20, 1160–1166. [Google Scholar] [CrossRef] [PubMed]
- Darriba, D.; Posada, D.; Kozlov, A.M.; Stamatakis, A.; Morel, B.; Flouri, T. ModelTest-NG: A New and Scalable Tool for the Selection of DNA and Protein Evolutionary Models. Mol. Biol. Evol. 2020, 37, 291–294. [Google Scholar] [CrossRef] [PubMed]
- Kozlov, A.M.; Darriba, D.; Flouri, T.; Morel, B.; Stamatakis, A. RAxML-NG: A Fast, Scalable and User-Friendly Tool for Maximum Likelihood Phylogenetic Inference. Bioinformatics 2019, 35, 4453–4455. [Google Scholar] [CrossRef]
- Letunic, I.; Bork, P. Interactive Tree of Life (iTOL) v6: Recent Updates to the Phylogenetic Tree Display and Annotation Tool. Nucleic Acids Res. 2024, 52, W78–W82. [Google Scholar] [CrossRef] [PubMed]
- Weaver, S.; Shank, S.D.; Spielman, S.J.; Li, M.; Muse, S.V.; Kosakovsky Pond, S.L. Datamonkey 2.0: A Modern Web Application for Characterizing Selective and Other Evolutionary Processes. Mol. Biol. Evol. 2018, 35, 773–777. [Google Scholar] [CrossRef] [PubMed]
- Liu, W.; Xie, Y.; Ma, J.; Luo, X.; Nie, P.; Zuo, Z.; Lahrmann, U.; Zhao, Q.; Zheng, Y.; Zhao, Y.; et al. IBS: An Illustrator for the Presentation and Visualization of Biological Sequences. Bioinformatics 2015, 31, 3359–3361. [Google Scholar] [CrossRef] [PubMed]
- Paul, P.S.; Werdin, R.E.; Pomeroy, B.S. Spontaneously Occurring Lymphoproliferative Disease in Ducks. Avian Dis. 1978, 22, 191–195. [Google Scholar] [CrossRef] [PubMed]
- Jiang, T.; Lu, X.; Yuan, Y.; Zheng, L.; Shi, J.; Zhang, D. Complete Genomic Sequence of a Muscovy Duck-Origin Reticuloendotheliosis Virus from China. J. Virol. 2012, 86, 13140–13141. [Google Scholar] [CrossRef] [PubMed][Green Version]
- Xu, A.; Huo, C.; Zhong, Q.; Xu, M.; Yang, Y.; Tian, H.; Zhang, G.; Hu, Y. Isolation and Pathogenicity Testing of Avian Reticuloendotheliosis Virus from Layer Chickens in China. J. Vet. Diagn. Investig. 2020, 32, 389–393. [Google Scholar] [CrossRef] [PubMed]
- Wang, Y.; Cui, Z.; Jiang, S. Sequence Analysis for the Complete Proviral Genome of Reticuloendotheliosis Virus Chinese Strain HA9901. Sci. China C Life Sci. 2006, 49, 149–157. [Google Scholar] [CrossRef] [PubMed]
- Niewiadomska, A.M.; Gifford, R.J. The Extraordinary Evolutionary History of the Reticuloendotheliosis Viruses. PLoS Biol. 2013, 11, e1001642. [Google Scholar] [CrossRef] [PubMed]
- Singh, P.; Kim, T.J.; Tripathy, D.N. Re-Emerging Fowlpox: Evaluation of Isolates from Vaccinated Flocks. Avian Pathol. 2000, 29, 449–455. [Google Scholar] [CrossRef] [PubMed]
- Bao, K.; Zhang, Y.; Zheng, H.; Lv, H.; Gao, Y.; Wang, J.; Gao, H.; Qi, X.; Cui, H.; Wang, Y.; et al. Isolation and Full-Genome Sequence of Two Reticuloendotheliosis Virus Strains from Mixed Infections with Marek’s Disease Virus in China. Virus Genes 2015, 50, 418–424. [Google Scholar] [CrossRef] [PubMed]
- Bülow, V.V. Immunological Effects of Reticuloendotheliosis Virus as Potential Contaminant of Marek’s Disease Vaccines. Avian Pathol. 1977, 6, 383–393. [Google Scholar] [CrossRef] [PubMed]
- Sarker, S.; Athukorala, A.; Bowden, T.R.; Boyle, D.B. Characterisation of an Australian Fowlpox Virus Carrying a Near-Full-Length Provirus of Reticuloendotheliosis Virus. Arch. Virol. 2021, 166, 1485–1488. [Google Scholar] [CrossRef] [PubMed]
- Kim, H.-R.; Jang, I.; Song, H.-S.; Kim, S.-H.; Kim, H.-S.; Kwon, Y.-K. Genetic Diversity of Fowlpox Virus and Putative Genes Involved in Its Pathogenicity. Microbiol. Spectr. 2022, 10, e0141522. [Google Scholar] [CrossRef] [PubMed]
- Liu, H.; Li, T.; Tang, J.; Ding, S.; Wang, D. Complete Genome Sequence Analysis of Reticuloendotheliosis Virus Integrated in Nonhomologous Avipoxvirus. Microb. Pathog. 2024, 194, 106827. [Google Scholar] [CrossRef] [PubMed]
- Singh, P.; Schnitzlein, W.M.; Tripathy, D.N. Reticuloendotheliosis Virus Sequences within the Genomes of Field Strains of Fowlpox Virus Display Variability. J. Virol. 2003, 77, 5855–5862. [Google Scholar] [CrossRef] [PubMed]
- Willis, B.; Trautman, C.; Cox, F.; Lujan, T.; Hardin, J.; Dittmar, R.; Romano, C.; Brady, J.; Edwards, D. Genome Sequence of Fowlpox Virus-Integrated Reticuloendotheliosis Virus from a Rio Grande Wild Turkey (Meleagris Gallopavo Intermedia). Microbiol. Resour. Announc. 2022, 11, e0017422. [Google Scholar] [CrossRef] [PubMed]
- Wang, Z.; Cui, Z. Evolution of Gp85 Gene of Subgroup J Avian Leukosis Virus under the Selective Pressure of Antibodies. Sci. China C Life Sci. 2006, 49, 227–234. [Google Scholar] [CrossRef] [PubMed]
- Padhi, A.; Parcells, M.S. Positive Selection Drives Rapid Evolution of the Meq Oncogene of Marek’s Disease Virus. PLoS ONE 2016, 11, e0162180. [Google Scholar] [CrossRef]
- Chacón, R.D.; Sánchez-Llatas, C.J.; Pajuelo, S.L.; Diaz Forero, A.J.; Jimenez-Vasquez, V.; Médico, J.A.; Soto-Ugaldi, L.F.; Astolfi-Ferreira, C.S.; Piantino Ferreira, A.J. Molecular Characterization of the Meq Oncogene of Marek’s Disease Virus in Vaccinated Brazilian Poultry Farms Reveals Selective Pressure on Prevalent Strains. Vet. Q. 2024, 44, 1–13. [Google Scholar] [CrossRef]
- Chacón, R.D.; Sánchez-Llatas, C.J.; Astolfi-Ferreira, C.S.; Raso, T.F.; Piantino Ferreira, A.J. Diversity of Marek’s Disease Virus Strains in Infections in Backyard and Ornamental Birds. Animals 2024, 14, 2867. [Google Scholar] [CrossRef]
- Riffel, N.; Harlos, K.; Iourin, O.; Rao, Z.; Kingsman, A.; Stuart, D.; Fry, E. Atomic Resolution Structure of Moloney Murine Leukemia Virus Matrix Protein and Its Relationship to Other Retroviral Matrix Proteins. Structure 2002, 10, 1627–1636. [Google Scholar] [CrossRef] [PubMed]
- Segura-Morales, C.; Pescia, C.; Chatellard-Causse, C.; Sadoul, R.; Bertrand, E.; Basyuk, E. Tsg101 and Alix Interact with Murine Leukemia Virus Gag and Cooperate with Nedd4 Ubiquitin Ligases during Budding. J. Biol. Chem. 2005, 280, 27004–27012. [Google Scholar] [CrossRef] [PubMed]
- Svarovskaia, E.S.; Cheslock, S.R.; Zhang, W.-H.; Hu, W.-S.; Pathak, V.K. Retroviral Mutation Rates and Reverse Transcriptase Fidelity. Front. Biosci. 2003, 8, d117-134. [Google Scholar] [CrossRef] [PubMed]
- Xue, M.; Shi, X.; Zhang, J.; Zhao, Y.; Cui, H.; Hu, S.; Gao, H.; Cui, X.; Wang, Y.-F. Identification of a Conserved B-Cell Epitope on Reticuloendotheliosis Virus Envelope Protein by Screening a Phage-Displayed Random Peptide Library. PLoS ONE 2012, 7, e49842. [Google Scholar] [CrossRef] [PubMed]
- Albritton, L.M. Chapter 1—Retrovirus Receptor Interactions and Entry. In Retrovirus-Cell Interactions; Parent, L.J., Ed.; Academic Press: Cambridge, MA, USA, 2018; pp. 1–49. ISBN 978-0-12-811185-7. [Google Scholar]
- Craigie, R.; Bushman, F.D. HIV DNA Integration. Cold Spring Harb. Perspect. Med. 2012, 2, a006890. [Google Scholar] [CrossRef] [PubMed]
- Shin, H.-J.; Nagaraja, K.V.; McComb, B.; Halvorson, D.A.; Jirjis, F.F.; Shaw, D.P.; Seal, B.S.; Njenga, M.K. Isolation of Avian Pneumovirus from Mallard Ducks That Is Genetically Similar to Viruses Isolated from Neighboring Commercial Turkeys. Virus Res. 2002, 83, 207–212. [Google Scholar] [CrossRef]
- Onishchenko, G.G. Incidence of avian flu worldwide and in the Russian Federation. Improvement of surveillance and control of influenza during preparation for potential pandemic. Zhurnal Mikrobiol. Epidemiol. I Immunobiol. 2006, 5, 4–17. [Google Scholar]
- Erfan, A.M.; Selim, A.A.; Helmy, S.A.; Eriksson, P.; Naguib, M.M. Chicken Anaemia Virus Enhances and Prolongs Subsequent Avian Influenza (H9N2) and Infectious Bronchitis Viral Infections. Vet. Microbiol. 2019, 230, 123–129. [Google Scholar] [CrossRef] [PubMed]




| Gene | Codon Position | FUBAR 1 Probability α < β | FEL 2 p-Value | MEME 2 p-Value |
|---|---|---|---|---|
| gag | 28 | – 3 | – | 0.085 |
| 45 | 0.987 | 0.0458 | 0.064 | |
| 48 | – | – | 0.08 | |
| 51 | – | – | 0.038 | |
| 77 | 0.968 | 0.0886 | 0.005 | |
| 102 | 0.945 | – | 0.047 | |
| 118 | 0.925 | – | 0.032 | |
| 144 | 0.914 | – | 0.047 | |
| 166 | 0.903 | – | 0.03 | |
| 168 | 0.943 | – | 0.075 | |
| 211 | – | – | 0.063 | |
| 306 | – | – | 0.1 | |
| 437 | 0.91 | – | – | |
| 483 | – | – | 0.094 | |
| pol | 15 | – | – | 0.077 |
| 180 | – | – | 0.085 | |
| 238 | – | – | 0.006 | |
| 295 | – | – | 0.083 | |
| 628 | – | – | 0.041 | |
| 691 | 0.926 | 0.0669 | 0.001 | |
| 692 | – | – | 0 | |
| 694 | – | – | 0.005 | |
| 695 | – | – | 0.018 | |
| 696 | – | – | 0.093 | |
| 697 | – | – | 0.004 | |
| 699 | – | – | 0.011 | |
| 700 | – | – | 0.001 | |
| 924 | – | – | 0.024 | |
| 1066 | – | – | 0.085 | |
| 1121 | – | – | 0.016 | |
| env | 18 | 0.902 | – | – |
| 51 | – | – | 0.003 | |
| 84 | 0.957 | – | – | |
| 118 | – | – | 0.076 | |
| 234 | – | – | 0.078 | |
| 250 | 0.910 | – | – | |
| 274 | – | – | 0.094 | |
| 385 | – | – | 0.058 | |
| 540 | – | – | 0.042 |
Disclaimer/Publisher’s Note: The statements, opinions and data contained in all publications are solely those of the individual author(s) and contributor(s) and not of MDPI and/or the editor(s). MDPI and/or the editor(s) disclaim responsibility for any injury to people or property resulting from any ideas, methods, instructions or products referred to in the content. |
© 2025 by the authors. Licensee MDPI, Basel, Switzerland. This article is an open access article distributed under the terms and conditions of the Creative Commons Attribution (CC BY) license (https://creativecommons.org/licenses/by/4.0/).
Share and Cite
Chacón, R.D.; Astolfi-Ferreira, C.S.; Valdeiglesias Ichillumpa, S.; Lage Hagemann, H.; Furlan Rocha, M.; Fernandes Magalhães, L.; Freitas Raso, T.; Ferreira, A.J.P. First Complete Genome of Reticuloendotheliosis Virus in a Mallard Duck from Brazil: Phylogenetic Insights and Evolutionary Analysis. Pathogens 2025, 14, 189. https://doi.org/10.3390/pathogens14020189
Chacón RD, Astolfi-Ferreira CS, Valdeiglesias Ichillumpa S, Lage Hagemann H, Furlan Rocha M, Fernandes Magalhães L, Freitas Raso T, Ferreira AJP. First Complete Genome of Reticuloendotheliosis Virus in a Mallard Duck from Brazil: Phylogenetic Insights and Evolutionary Analysis. Pathogens. 2025; 14(2):189. https://doi.org/10.3390/pathogens14020189
Chicago/Turabian StyleChacón, Ruy D., Claudete S. Astolfi-Ferreira, Stefhany Valdeiglesias Ichillumpa, Henrique Lage Hagemann, Maristela Furlan Rocha, Larissa Fernandes Magalhães, Tânia Freitas Raso, and Antonio J. Piantino Ferreira. 2025. "First Complete Genome of Reticuloendotheliosis Virus in a Mallard Duck from Brazil: Phylogenetic Insights and Evolutionary Analysis" Pathogens 14, no. 2: 189. https://doi.org/10.3390/pathogens14020189
APA StyleChacón, R. D., Astolfi-Ferreira, C. S., Valdeiglesias Ichillumpa, S., Lage Hagemann, H., Furlan Rocha, M., Fernandes Magalhães, L., Freitas Raso, T., & Ferreira, A. J. P. (2025). First Complete Genome of Reticuloendotheliosis Virus in a Mallard Duck from Brazil: Phylogenetic Insights and Evolutionary Analysis. Pathogens, 14(2), 189. https://doi.org/10.3390/pathogens14020189

