Current Role of Surgery in the Treatment of Neurocysticercosis
Abstract
1. Introduction
2. Recent Evidence Regarding Epidemiological Trends in NCC
3. Pathophysiology of NCC
4. Treatment of Hydrocephalus in NCC
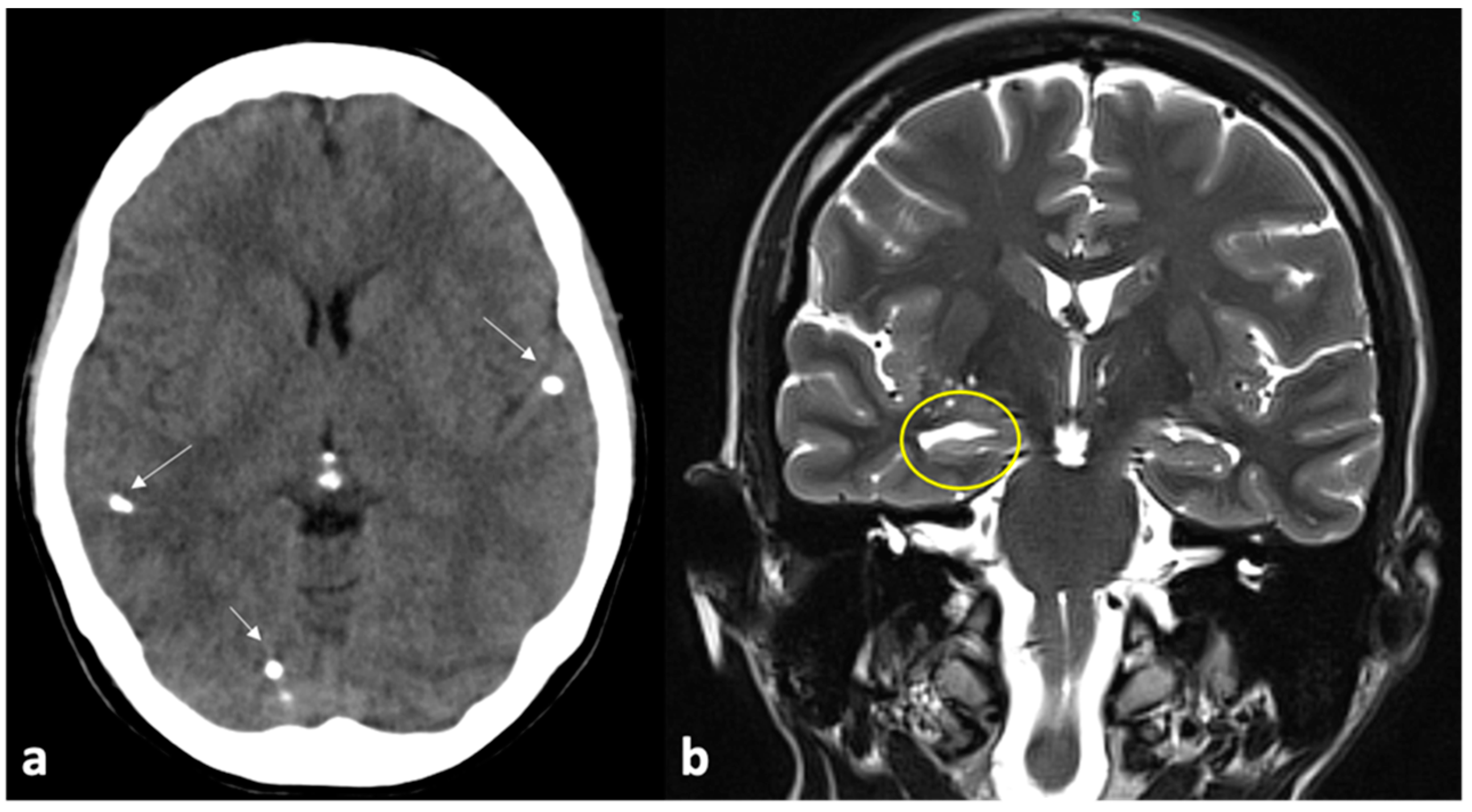
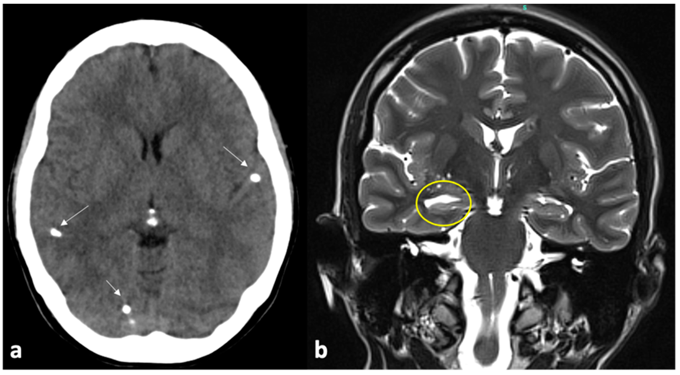
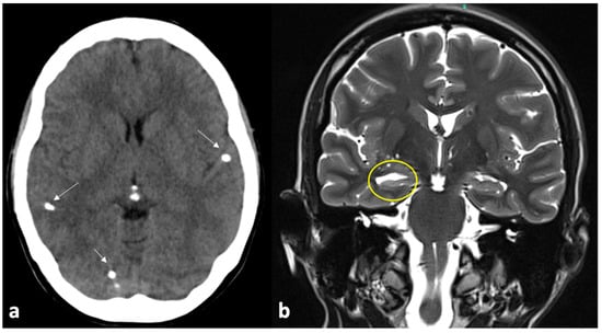
5. Surgical Removal of Cysts
6. Surgical Treatment of NCC-Related Epilepsy
7. Concluding Remarks
Author Contributions
Funding
Institutional Review Board Statement
Informed Consent Statement
Data Availability Statement
Conflicts of Interest
References
- Carpio, A.; Romo, M.L.; Parkhouse, R.M.; Short, B.; Dua, T. Parasitic Diseases of the Central Nervous System: Lessons for Clinicians and Policy Makers. Expert Rev. Neurother. 2016, 16, 401–414. [Google Scholar] [CrossRef]
- Ta, R.; Blond, B.N. The Prevalence of and Contributors to Neurocysticercosis in Endemic Regions. J. Neurol. Sci. 2022, 441, 120393. [Google Scholar] [CrossRef]
- Rodríguez-Rivas, R.; Flisser, A.; Norcia, L.F.; Hamamoto Filho, P.T.; Bonilla-Aldana, D.K.; Rodriguez-Morales, A.J.; Carpio, A.; Romo, M.L.; Fleury, A. Neurocysticercosis in Latin America: Current Epidemiological Situation Based on Official Statistics from Four Countries. PLoS Negl. Trop. Dis. 2022, 16, e0010652. [Google Scholar] [CrossRef] [PubMed]
- Abraham, A.; Schmidt, V.; Kaminski, M.; Stelzle, D.; De Meijere, R.; Bustos, J.; Sahu, P.S.; Garcia, H.H.; Bobić, B.; Cretu, C.; et al. Epidemiology and Surveillance of Human (Neuro)Cysticercosis in Europe: Is Enhanced Surveillance Required? Trop. Med. Int. Health 2020, 25, 566–578. [Google Scholar] [CrossRef] [PubMed]
- O’Neal, S.E.; Flecker, R.H. Hospitalization Frequency and Charges for Neurocysticercosis, United States, 2003–2012. Emerg. Infect. Dis. 2015, 21, 969–976. [Google Scholar] [CrossRef] [PubMed]
- Stelzle, D.; Abraham, A.; Kaminski, M.; Schmidt, V.; De Meijere, R.; Bustos, J.A.; Garcia, H.H.; Sahu, P.S.; Bobić, B.; Cretu, C.; et al. Clinical Characteristics and Management of Neurocysticercosis Patients: A Retrospective Assessment of Case Reports from Europe. J. Travel Med. 2023, 30, taac102. [Google Scholar] [CrossRef] [PubMed]
- Gonzales, I.; Rivera, J.T.; Garcia, H.H.; Cysticercosis Working Group in Peru. Pathogenesis of Taenia solium Taeniasis and Cysticercosis. Parasite Immunol. 2016, 38, 136–146. [Google Scholar] [CrossRef] [PubMed]
- Carpio, A.; Fleury, A.; Romo, M.L.; Abraham, R. Neurocysticercosis: The Good, the Bad, and the Missing. Expert Rev. Neurother. 2018, 18, 289–301. [Google Scholar] [CrossRef]
- Fleury, A.; Carrillo-Mezo, R.; Flisser, A.; Sciutto, E.; Corona, T. Subarachnoid Basal Neurocysticercosis: A Focus on the Most Severe Form of the Disease. Expert Rev. Anti. Infect. Ther. 2011, 9, 123–133. [Google Scholar] [CrossRef]
- Abanto, J.; Blanco, D.; Saavedra, H.; Gonzales, I.; Siu, D.; Pretell, E.J.; Bustos, J.A.; Garcia, H.H.; Cysticercosis Working Group in Peru. Mortality in Parenchymal and Subarachnoid Neurocysticercosis. Am. J. Trop. Med. Hyg. 2021, 105, 176–180. [Google Scholar] [CrossRef]
- Marcin Sierra, M.; Arroyo, M.; Cadena Torres, M.; Ramírez Cruz, N.; García Hernández, F.; Taboada, D.; Galicia Martínez, Á.; Govezensky, T.; Sciutto, E.; Toledo, A.; et al. Extraparenchymal Neurocysticercosis: Demographic, Clinicoradiological, and Inflammatory Features. PLoS Negl. Trop. Dis. 2017, 11, e0005646. [Google Scholar] [CrossRef] [PubMed]
- Osorio, R.; Carrillo-Mezo, R.; Romo, M.L.; Toledo, A.; Matus, C.; González-Hernández, I.; Jung, H.; Fleury, A. Factors Associated with Cysticidal Treatment Response in Extraparenchymal Neurocysticercosis. J. Clin. Pharmacol. 2019, 59, 548–556. [Google Scholar] [CrossRef] [PubMed]
- Takayanagui, O.M. Therapy for Neurocysticercosis. Expert Rev. Neurother. 2004, 4, 129–139. [Google Scholar] [CrossRef] [PubMed]
- González-Hernández, I.; Ruiz-Olmedo, M.I.; Cárdenas, G.; Jung-Cook, H. A Simple LC-MS/MS Method to Determine Plasma and Cerebrospinal Fluid Levels of Albendazole Metabolites (Albendazole Sulfoxide and Albendazole Sulfone) in Patients with Neurocysticercosis. Biomed. Chromatogr. 2012, 26, 267–272. [Google Scholar] [CrossRef] [PubMed]
- White, A.C., Jr.; Coyle, C.M.; Rajshekhar, V.; Singh, G.; Hauser, W.A.; Mohanty, A.; Garcia, H.H.; Nash, T.E. Diagnosis and Treatment of Neurocysticercosis: 2017 Clinical Practice Guidelines by the Infectious Diseases Society of America (IDSA) and the American Society of Tropical Medicine and Hygiene (ASTMH). Clin. Infect. Dis. 2018, 66, 1159–1163. [Google Scholar] [CrossRef] [PubMed]
- Fleury, A.; Escobar, A.; Fragoso, G.; Sciutto, E.; Larralde, C. Clinical Heterogeneity of Human Neurocysticercosis Results from Complex Interactions Among Parasite, Host and Environmental Factors. Trans. R. Soc. Trop. Med. Hyg. 2010, 104, 243–250. [Google Scholar] [CrossRef] [PubMed]
- Ito, A.; Budke, C.M. Genetic Diversity of Taenia solium and Its Relation to Clinical Presentation of Cysticercosis. Yale J. Biol. Med. 2021, 94, 343–349. [Google Scholar] [PubMed]
- Hamamoto Filho, P.T.; Singh, G.; Winkler, A.S.; Carpio, A.; Fleury, A. Could Differences in Infection Pressure Be Involved in Cysticercosis Heterogeneity? Trends Parasitol. 2020, 36, 826–834. [Google Scholar] [CrossRef]
- Serpa, J.A.; Graviss, E.A.; Kass, J.S.; White, A.C., Jr. Neurocysticercosis in Houston, Texas: An Update. Medicine 2011, 90, 81–86. [Google Scholar] [CrossRef]
- Singh, G.; Sander, J.W. Historical Perspective: The British Contribution to the Understanding of Neurocysticercosis. J. Hist. Neurosci. 2019, 28, 332–344. [Google Scholar] [CrossRef]
- Nash, T.E.; O’Connell, E.M. Subarachnoid Neurocysticercosis: Emerging Concepts and Treatment. Curr. Opin. Infect. Dis. 2020, 33, 339–346. [Google Scholar] [CrossRef]
- Nateros, F.; Saenz, E.; Saavedra, H.; Gonzales, I.; Pretell, E.J.; Perez, E.; Castillo, Y.; Bustos, J.A.; Garcia, H.H.; Cysticercosis Working Group in Peru. Older Age in Subarachnoid Neurocysticercosis Reflects a Long Prepatent Period. Am. J. Trop. Med. Hyg. 2023, 108, 1188–1191. [Google Scholar] [CrossRef]
- Tellez-Arellano, C.A.; Kuschick-Fehér, J.; Romero-Gonzalez, F.G.; Fleury, A. Neurocysticercosis: The Duration of Its Preclinical Phase Relies on the Parasite Location. Trop. Med. Int. Health 2024. ahead of print. [Google Scholar] [CrossRef]
- Takayanagui, O.M.; Haes, T.M. Update on the Diagnosis and Management of Neurocysticercosis. Arq. Neuropsiquiatr. 2022, 80 (Suppl. S1), 296–306. [Google Scholar] [CrossRef]
- Muldoon, L.L.; Alvarez, J.I.; Begley, D.J.; Boado, R.J.; Del Zoppo, G.J.; Doolittle, N.D.; Engelhardt, B.; Hallenbeck, J.M.; Lonser, R.R.; Ohlfest, J.R.; et al. Immunologic Privilege in the Central Nervous System and the Blood-Brain Barrier. J. Cereb. Blood Flow Metab. 2013, 33, 13–21. [Google Scholar] [CrossRef]
- Engelhardt, B.; Ransohoff, R.M. Capture, Crawl, Cross: The T Cell Code to Breach the Blood-Brain Barriers. Trends Immunol. 2012, 33, 579–589. [Google Scholar] [CrossRef] [PubMed]
- White, A.C., Jr. Neurocysticercosis: Updates on Epidemiology, Pathogenesis, Diagnosis, and Management. Annu. Rev. Med. 2000, 51, 187–206. [Google Scholar] [CrossRef] [PubMed]
- Hamamoto Filho, P.T.; Fragoso, G.; Sciutto, E.; Fleury, A. Inflammation in Neurocysticercosis: Clinical Relevance and Impact on Treatment Decisions. Expert Rev. Anti. Infect. Ther. 2021, 19, 1503–1518. [Google Scholar] [CrossRef] [PubMed]
- Prodjinotho, U.F.; Lema, J.; Lacorcia, M.; Schmidt, V.; Vejzagic, N.; Sikasunge, C.; Ngowi, B.; Winkler, A.S.; Prazeres da Costa, C. Hosts. Host Immune Responses during Taenia Solium Neurocysticercosis Infection and Treatment. PLoS Negl. Trop. Dis. 2020, 14, e0008005. [Google Scholar] [CrossRef] [PubMed]
- Hamamoto Filho, P.T.; Zanini, M.A.; Fleury, A. Hydrocephalus in Neurocysticercosis: Challenges for Clinical Practice and Basic Research Perspectives. World Neurosurg. 2019, 126, 264–271. [Google Scholar] [CrossRef] [PubMed]
- Jessen, N.A.; Munk, A.S.; Lundgaard, I.; Nedergaard, M. The Glymphatic System: A Beginner’s Guide. Neurochem. Res. 2015, 40, 2583–2599. [Google Scholar] [CrossRef]
- Møllgård, K.; Beinlich, F.R.M.; Kusk, P.; Miyakoshi, L.M.; Delle, C.; Plá, V.; Hauglund, N.L.; Esmail, T.; Rasmussen, M.K.; Gomolka, R.S.; et al. A Mesothelium Divides the Subarachnoid Space into Functional Compartments. Science 2023, 379, 84–88. [Google Scholar] [CrossRef]
- Sotelo, J.; Rubalcava, M.A.; Gomez-Llata, S. A New Shunt for Hydrocephalus That Relies on CSF Production Rather Than on Ventricular Pressure: Initial Clinical Experiences. Surg. Neurol. 1995, 43, 324–331; discussion 331. [Google Scholar] [CrossRef] [PubMed]
- Bazan, R.; Hamamoto Filho, P.T.; Luvizutto, G.J.; Nunes, H.R.C.; Odashima, N.S.; Dos Santos, A.C.; Elias Júnior, J.; Zanini, M.A.; Fleury, A.; Takayanagui, O.M. Clinical Symptoms, Imaging Features and Cyst Distribution in the Cerebrospinal Fluid Compartments in Patients with Extraparenchymal Neurocysticercosis. PLoS Negl. Trop. Dis. 2016, 10, e0005115. [Google Scholar] [CrossRef] [PubMed]
- Monteiro, L.; Almeida-Pinto, J.; Stocker, A.; Sampaio-Silva, M. Active Neurocysticercosis, Parenchymal and Extraparenchymal: A Study of 38 Patients. J. Neurol. 1993, 241, 15–21. [Google Scholar] [CrossRef] [PubMed]
- Colli, B.O.; Carlotti, C.G., Jr.; Assirati, J.A., Jr.; Machado, H.R.; Valença, M.; Amato, M.C. Surgical Treatment of Cerebral Cysticercosis: Long-Term Results and Prognostic Factors. Neurosurg. Focus 2002, 12, e3. [Google Scholar] [CrossRef]
- Agapejev, S.; Pouza, A.F.; Bazan, R.; Faleiros, A.T. Clinical and Evolutive Aspects of Hydrocephalus in Neurocysticercosis. Arq. Neuropsiquiatr. 2007, 65, 674–680. [Google Scholar] [CrossRef] [PubMed][Green Version]
- Carrillo Mezo, R.; Lara García, J.; Arroyo, M.; Fleury, A. Relevance of 3D Magnetic Resonance Imaging Sequences in Diagnosing Basal Subarachnoid Neurocysticercosis. Acta Trop. 2015, 152, 60–65. [Google Scholar] [CrossRef] [PubMed]
- Citow, J.S.; Johnson, J.P.; McBride, D.Q.; Ammirati, M. Imaging Features and Surgery-Related Outcomes in Intraventricular Neurocysticercosis. Neurosurg. Focus 2002, 12, e6. [Google Scholar] [CrossRef] [PubMed]
- Cruz, L.; Pacheco, E.; Soto, W.; Cong, R.; Suastegui, R.; Moreno-Jimenez, S.; Fleury, A. Neurocysticercosis and Hydrocephalus: The Value of Ventriculoperitoneal Shunting in Its Management. Trans. R. Soc. Trop. Med. Hyg. 2023, 117, 773–779. [Google Scholar] [CrossRef]
- Kelley, R.; Duong, D.H.; Locke, G.E. Characteristics of Ventricular Shunt Malfunctions Among Patients with Neurocysticercosis. Neurosurgery 2002, 50, 757–761; discussion 761. [Google Scholar] [CrossRef]
- Husain, M.; Jha, D.K.; Rastogi, M.; Husain, N.; Gupta, R.K. Neuro-endoscopic Management of Intraventricular Neurocysticercosis (NCC). Acta Neurochir. 2007, 149, 341–346. [Google Scholar] [CrossRef]
- Torres-Corzo, J.G.; Tapia-Pérez, J.H.; Vecchia, R.R.; Chalita-Williams, J.C.; Sánchez-Aguilar, M.; Sánchez-Rodríguez, J.J. Endoscopic Management of Hydrocephalus Due to Neurocysticercosis. Clin. Neurol. Neurosurg. 2010, 112, 11–16. [Google Scholar] [CrossRef] [PubMed]
- Proaño, J.V.; Torres-Corzo, J.; Rodríguez-Della Vecchia, R.; Guizar-Sahagun, G.; Rangel-Castilla, L. Intraventricular and Subarachnoid Basal Cisterns Neurocysticercosis: A Comparative Study Between Traditional Treatment Versus Neuroendoscopic Surgery. Child’s Nerv. Syst. 2009, 25, 1467–1475. [Google Scholar] [CrossRef] [PubMed]
- Goel, R.K.; Ahmad, F.U.; Vellimana, A.K.; Suri, A.; Chandra, P.S.; Kumar, R.; Sharma, B.S.; Mahapatra, A.K. Endoscopic Management of Intraventricular Neurocysticercosis. J. Clin. Neurosci. 2008, 15, 1096–1101. [Google Scholar] [CrossRef] [PubMed]
- Zhenye, L.; Chuzhong, L.; Xuyi, Z.; Songbai, G.; Peng, Z.; Jiwei, B.; Lei, C.; Xinsheng, W. Ventriculoscopic Approach for Intraventricular Neurocysticercosis: A Single Neurosurgical Center’s Experience. World Neurosurg. 2017, 107, 853–859. [Google Scholar] [CrossRef]
- do Amaral, L.L.; Ferreira, R.M.; da Rocha, A.J.; Ferreira, N.P. Neurocysticercosis: Evaluation with Advanced Magnetic Resonance Techniques and Atypical Forms. Top. Magn. Reson. Imaging 2005, 16, 127–144. [Google Scholar] [CrossRef] [PubMed]
- Enslin, J.M.N.; Thango, N.S.; Figaji, A.; Fieggen, G.A. Hydrocephalus in Low and Middle-Income Countries—Progress and Challenges. Neurol. India 2021, 69, S292–S297. [Google Scholar] [CrossRef] [PubMed]
- Cárdenas, G.; Carrillo-Mezo, R.; Jung, H.; Sciutto, E.; Hernandez, J.L.; Fleury, A. Subarachnoidal Neurocysticercosis Non-responsive to Cysticidal Drugs: A Case Series. BMC Neurol. 2010, 10, 16. [Google Scholar] [CrossRef] [PubMed]
- Hamamoto Filho, P.T.; Rodríguez-Rivas, R.; Fleury, A. Neurocysticercosis: A Review into Treatment Options, Indications, and Their Efficacy. Res. Rep. Trop. Med. 2022, 13, 67–79. [Google Scholar] [CrossRef]
- Toledo, A.; Osorio, R.; Matus, C.; Martinez Lopez, Y.; Ramirez Cruz, N.; Sciutto, E.; Fragoso, G.; Arauz, A.; Carrillo-Mezo, R.; Fleury, A. Human Extraparenchymal Neurocysticercosis: The Control of Inflammation Favors the Host…But Also the Parasite. Front. Immunol. 2018, 9, 2652. [Google Scholar] [CrossRef]
- Adalid-Peralta, L.; Rosas, G.; Arce-Sillas, A.; Bobes, R.J.; Cárdenas, G.; Hernández, M.; Trejo, C.; Meneses, G.; Hernández, B.; Estrada, K.; et al. Effect of Transforming Growth Factor-β upon Taenia solium and Taenia crassiceps Cysticerci. Sci. Rep. 2017, 7, 12345. [Google Scholar] [CrossRef]
- Romano, M.C.; Jiménez, P.; Miranda-Brito, C.; Valdez, R.A. Parasites and Steroid Hormones: Corticosteroid and Sex Steroid Synthesis, Their Role in the Parasite Physiology and Development. Front. Neurosci. 2015, 9, 224. [Google Scholar] [CrossRef] [PubMed]
- Nash, T.E.; O’Connell, E.M.; Hammoud, D.A.; Wetzler, L.; Ware, J.M.; Mahanty, S. Natural History of Treated Subarachnoid Neurocysticercosis. Am. J. Trop. Med. Hyg. 2020, 102, 78–89. [Google Scholar] [CrossRef]
- Cuellar-Hernandez, J.J.; Valadez-Rodriguez, A.; Olivas-Campos, R.; Tabera-Tarello, P.; Juan-Orta, D.S.; Segura-López, R.; Fleury, A. Intrasellar Cysticercosis Cyst Treated with a Transciliary Supraorbital Keyhole Approach—A Case Report. Surg. Neurol. Int. 2020, 11, 436. [Google Scholar] [CrossRef]
- Burgos-Sosa, E.; Bergna-Vazquez, P.; Mendizabal-Guerra, R.; Ayala-Arcipreste, A. Microsurgical and Endoscopic-Assisted Supraorbital Keyhole Approach for Intra-suprasellar Cysticercosis. Surg. Neurol. Int. 2023, 14, 328. [Google Scholar] [CrossRef] [PubMed]
- Hamamoto Filho, P.T.; Poliseli, G.B.; Oliveira, V.A.; Vital, R.B.; Ferreira Lima, M.M.; Bazan, R.; Zanini, M.A. Unusual Painful Trigeminal Neuropathy Caused by Racemose Neurocysticercosis. Pain Med. 2016, 17, 992–994. [Google Scholar] [CrossRef][Green Version]
- Yang, S.Y.; Vásquez, C.M.; Cysticercosis Working Group in Peru. Hemifacial Spasm Secondary to Arachnoiditis Due to Neurocysticercosis: Clinical Image. World Neurosurg. 2020, 143, 180–182. [Google Scholar] [CrossRef] [PubMed]
- Cárdenas, G.; Guevara-Silva, E.; Romero, F.; Ugalde, Y.; Bonnet, C.; Fleury, A.; Sciutto, E.; Nunes, C.M.; Soto-Hernández, J.L.; Shankar, S.K.; et al. Spinal Taenia solium Cysticercosis in Mexican and Indian Patients: A Comparison of 30-Year Experience in Two Neurological Referral Centers and Review of Literature. Eur. Spine J. 2016, 25, 1073–1081. [Google Scholar] [CrossRef]
- Colli, B.O.; Valença, M.M.; Carlotti, C.G., Jr.; Machado, H.R.; Assirati, J.A., Jr. Spinal Cord Cysticercosis: Neurosurgical Aspects. Neurosurg. Focus 2002, 12, e9. [Google Scholar] [CrossRef]
- Alsina, G.A.; Johnson, J.P.; McBride, D.Q.; Rhoten, P.R.; Mehringer, C.M.; Stokes, J.K. Spinal Neurocysticercosis. Neurosurg. Focus 2002, 12, e8. [Google Scholar] [CrossRef]
- Kaif, M.; Husain, M.; Ojha, B.K. Endoscopic Management of Intraventricular Neurocysticercosis. Turk. Neurosurg. 2019, 29, 59–65. [Google Scholar]
- Zymberg, S.T. Neurocysticercosis. World Neurosurg. 2013, 79, S24.e5–S24.e8. [Google Scholar] [CrossRef]
- Sharma, B.S.; Sawarkar, D.P.; Verma, S.K. Endoscopic Management of Fourth Ventricle Neurocysticercosis: Description of the New Technique in a Case Series of 5 Cases and Review of the Literature. World Neurosurg. 2019, 122, e647–e654. [Google Scholar] [CrossRef]
- Singh, S.; Marutirao, R.; Deora, H.; Das, K.K.; Bhaisora, K.S.; Sardhara, J.; Parab, A.; Mehrotra, A.; Srivastava, A.K.; Jaiswal, S.; et al. Endoscopic Route for Excision of Intraventricular Neurocysticercosis: Light At the End of the Tunnel. World Neurosurg. 2019, 125, e74–e81. [Google Scholar] [CrossRef] [PubMed]
- Nash, T.E.; Ware, J.M.; Mahanty, S. Intraventricular Neurocysticercosis: Experience and Long-Term Outcome from a Tertiary Referral Center in The United States. Am. J. Trop. Med. Hyg. 2018, 98, 1755–1762. [Google Scholar] [CrossRef]
- Ribas, G.C. The Cerebral Sulci and Gyri. Neurosurg. Focus 2010, 28, E2. [Google Scholar] [CrossRef] [PubMed]
- Tayebi Meybodi, A.; Borba Moreira, L.; Gandhi, S.; Preul, M.C.; Lawton, M.T. Sylvian Fissure Splitting Revisited: Applied Arachnoidal Anatomy and Proposition of a Live Practice Model. J. Clin. Neurosci. 2019, 61, 235–242. [Google Scholar] [CrossRef]
- Ribas, E.C.; da Róz, L.M.; Wen, H.T. Sylvian Fissure: Anatomical and a Clinical Correlations. In Brain Anatomy and Neurosurgical Approaches; Figueiredo, E.G., Rabelo, N.N., Welling, L.C., Eds.; Springer: Cham, Switzerland, 2023. [Google Scholar]
- Lines-Aguilar, W.W.; García, H.H.; Medina, J.E.; Saavedra, L.J.; Vela, E.; Lozano, M.; Vargas, J.; Cuya, C.; Heredia, D.; Apaza-Tintaya, A.; et al. Multimodal Minimally Invasive Surgery in the Treatment of Neurocysticercosis. Interdiscip. Neurosurg. Adv. Tech. Case Manag. 2024, 36, 101872. [Google Scholar] [CrossRef]
- Paiva, A.L.C.; Araujo, J.L.V.; Ferraz, V.R.; Lovato, R.M.; Pedrozo, C.A.G.; Aguiar, G.B.; Veiga, J.C.E. Surgical Treatment of Neurocysticercosis. Retrospective Cohort Study and an Illustrative Case Report. Sao Paulo Med. J. 2017, 135, 146–149. [Google Scholar] [CrossRef] [PubMed]
- Madrazo, I.; García-Rentería, J.A.; Sandoval, M.; López Vega, F.J. Intraventricular Cysticercosis. Neurosurgery 1983, 12, 148–152. [Google Scholar] [CrossRef]
- Colli, B.O.; Martelli, N.; Assirati, J.A., Jr.; Machado, H.R.; de Vergueiro Forjaz, S. Results of Surgical Treatment of Neurocysticercosis in 69 Cases. J. Neurosurg. 1986, 65, 309–315. [Google Scholar] [CrossRef]
- Gravori, T.; Steineke, T.; Bergsneider, M. Endoscopic Removal of Cisternal Neurocysticercal Cysts. Technical Note. Technical note. Neurosurg. Focus 2002, 12, e7. [Google Scholar] [CrossRef] [PubMed]
- Rangel-Castilla, L.; Serpa, J.A.; Gopinath, S.P.; Graviss, E.A.; Diaz-Marchan, P.; White, A.C., Jr. Contemporary Neurosurgical Approaches to Neurocysticercosis. Am. J. Trop. Med. Hyg. 2009, 80, 373–378. [Google Scholar] [CrossRef]
- Rajshekhar, V. Surgical Management of Neurocysticercosis. Int. J. Surg. 2010, 8, 100–104. [Google Scholar] [CrossRef] [PubMed]
- Agarwal, P.P.; Gaikwad, S.B.; Garg, A.; Gupta, V.; Mishra, N.K.; Mehta, V.S. Giant Intraparenchymal Neurocysticercosis: Unusual MRI Findings. Neurol. India 2004, 52, 259–260. [Google Scholar]
- Peralta, I.; Ramírez, M.J.E.; Baldoncini, M.; Vicente, D.; Willingham, A.L.; Nurmukhametov, R.; Valdez, S.; Castillo, Y.; Encarnación, D.A.; Soler, I.J.R.; et al. Surgical Nuances of Giant Neurocysticercosis According to Intracranial Location in the Southwest Region of the Dominican Republic, Presentation of Cases, and Literature Review. Surg. Neurol. Int. 2023, 14, 242. [Google Scholar] [CrossRef] [PubMed]
- Carpio, A.; Romo, M.L. The Relationship Between Neurocysticercosis and Epilepsy: An Endless Debate. Arq. Neuropsiquiatr. 2014, 72, 383–390. [Google Scholar] [CrossRef]
- Tellez-Zenteno, J.F.; Hernandez-Ronquillo, L. Epidemiology of Neurocysticercosis and Epilepsy, Is Everything Described? Epilepsy Behav. 2017, 76, 146–150. [Google Scholar] [CrossRef]
- Carpio, A.; Salgado, C.; Di Capua, C.; Fleury, A.; Suastegui, R.; Giagante, B.; Aguilera, L.; Quijada, A.; Nunez, L.; Villanueva, M.; et al. Causes and Prognosis of Adults Experiencing a First Seizure in Adulthood: A Pilot Cohort Study Conducted in Five Countries in Latin America. Epilepsia Open 2024. ahead of print. [Google Scholar] [CrossRef]
- Carabin, H.; Ndimubanzi, P.C.; Budke, C.M.; Nguyen, H.; Qian, Y.; Cowan, L.D.; Stoner, J.A.; Rainwater, E.; Dickey, M. Clinical Manifestations Associated with Neurocysticercosis: A Systematic Review. PLoS Negl. Trop. Dis. 2011, 5, e1152. [Google Scholar] [CrossRef]
- Bruno, E.; Bartoloni, A.; Zammarchi, L.; Strohmeyer, M.; Bartalesi, F.; Bustos, J.A.; Santivañez, S.; García, H.H.; Nicoletti, A.; COHEMI Project Study Group. Epilepsy and Neurocysticercosis in Latin America: A Systematic Review and Meta-analysis. PLoS Negl. Trop. Dis. 2013, 7, e2480. [Google Scholar] [CrossRef]
- Nash, T.E.; Del Brutto, O.H.; Butman, J.A.; Corona, T.; Delgado-Escueta, A.; Duron, R.M.; Evans, C.A.; Gilman, R.H.; Gonzalez, A.E.; Loeb, J.A.; et al. Calcific Neurocysticercosis and Epileptogenesis. Neurology 2004, 62, 1934–1938. [Google Scholar] [CrossRef] [PubMed]
- Herrick, J.A.; Maharathi, B.; Kim, J.S.; Abundis, G.G.; Garg, A.; Gonzales, I.; Saavedra, H.; Bustos, J.A.; Garcia, H.H.; Loeb, J.A.; et al. Inflammation Is a Key Risk Factor for Persistent Seizures in Neurocysticercosis. Ann. Clin. Transl. Neurol. 2018, 5, 630–639. [Google Scholar] [CrossRef] [PubMed]
- de Souza, A.; Nalini, A.; Kovoor, J.M.; Yeshraj, G.; Siddalingaiah, H.S.; Thennarasu, K. Perilesional Gliosis Around Solitary Cerebral Parenchymal Cysticerci and Long-Term Seizure Outcome: A Prospective Study Using Serial Magnetization Transfer Imaging. Epilepsia 2011, 52, 1918–1927. [Google Scholar] [CrossRef] [PubMed]
- Mejia Maza, A.; Carmen-Orozco, R.P.; Carter, E.S.; Dávila-Villacorta, D.G.; Castillo, G.; Morales, J.D.; Mamani, J.; Gavídia, C.M.; Alroy, J.; Sterling, C.R.; et al. Axonal Swellings and Spheroids: A New Insight into the Pathology of Neurocysticercosis. Brain Pathol. 2019, 29, 425–436. [Google Scholar] [CrossRef] [PubMed]
- Nash, T. Edema Surrounding Calcified Intracranial Cysticerci: Clinical Manifestations, Natural History, and Treatment. Pathog. Glob. Health 2012, 106, 275–279. [Google Scholar] [CrossRef] [PubMed]
- Coyle, C.M. New Insights into Calcified Neurocysticercosis: Closing the Knowledge Gap. Clin. Infect. Dis. 2021, 73, e2601–e2603. [Google Scholar] [CrossRef]
- Rathore, C.; Thomas, B.; Kesavadas, C.; Abraham, M.; Radhakrishnan, K. Calcified Neurocysticercosis Lesions and Antiepileptic Drug-Resistant Epilepsy: A Surgically Remediable Syndrome? Epilepsia 2013, 54, 1815–1822. [Google Scholar] [CrossRef]
- Singh, G.; Chowdhary, A.K. Epilepsy Surgery in Context of Neurocysticercosis. Ann. Indian Acad. Neurol. 2014, 17 (Suppl. S1), S65–S68. [Google Scholar] [CrossRef]
- Stone, S.S.; Rutka, J.T. Utility of Neuronavigation and Neuromonitoring in Epilepsy Surgery. Neurosurg. Focus 2008, 25, E17. [Google Scholar] [CrossRef]
- Roessler, K.; Hofmann, A.; Sommer, B.; Grummich, P.; Coras, R.; Kasper, B.S.; Hamer, H.M.; Blumcke, I.; Stefan, H.; Nimsky, C.; et al. Resective Surgery for Medically Refractory Epilepsy Using Intraoperative MRI and Functional Neuronavigation: The Erlangen Experience of 415 Patients. Neurosurg. Focus 2016, 40, E15. [Google Scholar] [CrossRef]
- Terra, V.C.; Volpon, M.; Machado, H.R. Intraoperative Monitoring in Epilepsy Surgery. In Intraoperative Monitoring; Verst, S.M., Barros, M.R., Maldaun, M.V.C., Eds.; Springer: Cham, Switzerland, 2022. [Google Scholar]
- Bianchin, M.M.; Velasco, T.R.; Santos, A.C.; Sakamoto, A.C. On the Relationship Between Neurocysticercosis and Mesial Temporal Lobe Epilepsy Associated with Hippocampal Sclerosis: Coincidence or a Pathogenic Relationship? Pathog. Glob. Health 2012, 106, 280–285. [Google Scholar] [CrossRef]
- Del Brutto, O.H.; Engel, J., Jr.; Eliashiv, D.S.; García, H.H. Update on Cysticercosis Epileptogenesis: The Role of the Hippocampus. Curr. Neurol. Neurosci. Rep. 2016, 16, 1. [Google Scholar] [CrossRef]
- Secchi, T.L.; Brondani, R.; Bragatti, J.A.; Bizzi, J.W.J.; Bianchin, M.M. Evaluating the Association of Calcified Neurocysticercosis and Mesial Temporal Lobe Epilepsy with Hippocampal Sclerosis in a Large Cohort of Patients with Epilepsy. Front. Neurol. 2021, 12, 769356. [Google Scholar] [CrossRef] [PubMed]
- Leite, J.P.; Terra-Bustamante, V.C.; Fernandes, R.M.; Santos, A.C.; Chimelli, L.; Sakamoto, A.C.; Assirati, J.A.; Takayanagui, O.M. Calcified Neurocysticercotic Lesions and Postsurgery Seizure Control in Temporal Lobe Epilepsy. Neurology 2000, 55, 1485–1491. [Google Scholar] [CrossRef] [PubMed]
- Bianchin, M.M.; Velasco, T.R.; Wichert-Ana, L.; Alexandre, V., Jr.; Araujo, D., Jr.; dos Santos, A.C.; Carlotti, C.G., Jr.; Takayanagui, O.M.; Sakamoto, A.C. Characteristics of Mesial Temporal Lobe Epilepsy Associated with Hippocampal Sclerosis plus Neurocysticercosis. Epilepsy Res. 2014, 108, 1889–1895. [Google Scholar] [CrossRef] [PubMed]
- Issa, N.P.; Sedler, M.J.; Del Brutto, V.J.; Darsan, E.; Milla, L.; Montes, J.; Zambrano, M.; Del Brutto, O.H. EEG Patterns in Patients with Calcified Neurocysticercosis with or Without Hippocampal Atrophy. J. Clin. Neurophysiol. 2018, 35, 332–338. [Google Scholar] [CrossRef]
- Espino, P.H.; Couper, R.G.; Burneo, J.G. An Update on Neurocysticercosis-Related Epilepsy. Clin. Neurol. Neurosurg. 2022, 213, 107139. [Google Scholar] [CrossRef]
- Bianchin, M.M.; Velasco, T.R.; Wichert-Ana, L.; Dos Santos, A.C.; Sakamoto, A.C. Understanding the Association of Neurocysticercosis and Mesial Temporal Lobe Epilepsy and Its Impact on the Surgical Treatment of Patients with Drug-Resistant Epilepsy. Epilepsy Behav. 2017, 76, 168–177. [Google Scholar] [CrossRef]
- Bianchin, M.M.; Velasco, T.R.; Coimbra, E.R.; Gargaro, A.C.; Escorsi-Rosset, S.R.; Wichert-Ana, L.; Terra, V.C.; Alexandre, V., Jr.; Araujo, D., Jr.; dos Santos, A.C.; et al. Cognitive and Surgical Outcome in Mesial Temporal Lobe Epilepsy Associated with Hippocampal Sclerosis plus Neurocysticercosis: A Cohort Study. PLoS ONE 2013, 8, e60949. [Google Scholar] [CrossRef]
- Singh, G.; Sander, J.W. Neurocysticercosis as a Probable Risk Factor for Hippocampal Sclerosis. Arq. Neuropsiquiatr. 2018, 76, 783–790. [Google Scholar] [CrossRef]
- Uda, H.; Uda, T.; Tanoue, Y.; Koh, S.; Kawashima, T.; Nakajo, K.; Ohata, K.; Goto, T. Comparison of the Keyhole Trans-middle Temporal Gyrus Approach and Transsylvian Approach for Selective Amygdalohippocampectomy: A Single-Center Experience. J. Clin. Neurosci. 2020, 81, 390–396. [Google Scholar] [CrossRef]
- Hu, W.H.; Zhang, C.; Zhang, K.; Meng, F.G.; Chen, N.; Zhang, J.G. Selective Amygdalohippocampectomy Versus Anterior Temporal Lobectomy in the Management of Mesial Temporal Lobe Epilepsy: A Meta-analysis of Comparative Studies. J. Neurosurg. 2013, 119, 1089–1097. [Google Scholar] [CrossRef]
- Xu, K.; Wang, X.; Guan, Y.; Zhao, M.; Zhou, J.; Zhai, F.; Wang, M.; Li, T.; Luan, G. Comparisons of the Seizure-Free Outcome and Visual Field Deficits Between Anterior Temporal Lobectomy and Selective Amygdalohippocampectomy: A Systematic Review and Meta-analysis. Seizure 2020, 81, 228–235. [Google Scholar] [CrossRef] [PubMed]
- Almeida, L.C.A.; Lobato, V.A.; Santos, M.D.C.V.; Moraes, A.C.; Costa, B.S. Surgical Treatment of Temporal Lobe Epilepsy: Comparative Results of Selective Amygdalohippocampectomy Versus Anterior Temporal Lobectomy from a Referral Center in Brazil. Arq. Neuropsiquiatr. 2023, 81, 647–655. [Google Scholar] [CrossRef] [PubMed]
- Vakharia, V.N.; Diehl, B.; Tisdall, M. Visual Field Defects in Temporal Lobe Epilepsy Surgery. Curr. Opin. Neurol. 2021, 34, 188–196. [Google Scholar] [CrossRef] [PubMed]
- Bhattarai, R.; Budke, C.M.; Carabin, H.; Proaño, J.V.; Flores-Rivera, J.; Corona, T.; Ivanek, R.; Snowden, K.F.; Flisser, A. Estimating the Non-monetary Burden of Neurocysticercosis in Mexico. PLoS Negl. Trop. Dis. 2012, 6, e1521. [Google Scholar] [CrossRef] [PubMed]
- Singh, B.B.; Khatkar, M.S.; Gill, J.P.; Dhand, N.K. Estimation of the Health and Economic Burden of Neurocysticercosis in India. Acta Trop. 2017, 165, 161–169. [Google Scholar] [CrossRef] [PubMed]
- Dupont, F.; Trevisan, C.; Moriku Kaducu, J.; Ovuga, E.; Schmidt, V.; Winkler, A.S.; Devleesschauwer, B. Human Health and Economic Impact of Neurocysticercosis in Uganda. Trop. Med. Int. Health 2022, 27, 99–109. [Google Scholar] [CrossRef]
- Mosley, I.A.; Li, T.; Zhao, X.; Huang, L.; Chen, X.; Liu, Y.; Chen, Z.; Duan, M.; Budke, C.M. Monetary Burden of Neurocysticercosis on a Hospitalized Population in Muli County, China. Acta Trop. 2023, 246, 106984. [Google Scholar] [CrossRef] [PubMed]
- White, A.C. Calcifications and the Global Burden of Neurocysticercosis: Not Just Rocks in Your Head. Clin. Infect. Dis. 2021, 73, e2604–e2606. [Google Scholar] [CrossRef] [PubMed]
- Delgado-García, G.; Méndez-Zurita, V.A.; Bayliss, L.; Flores-Rivera, J.; Fleury, A. Neurocysticercosis: Mimics and Chameleons. Pract. Neurol. 2019, 19, 88–95. [Google Scholar] [CrossRef] [PubMed]







Disclaimer/Publisher’s Note: The statements, opinions and data contained in all publications are solely those of the individual author(s) and contributor(s) and not of MDPI and/or the editor(s). MDPI and/or the editor(s) disclaim responsibility for any injury to people or property resulting from any ideas, methods, instructions or products referred to in the content. |
© 2024 by the authors. Licensee MDPI, Basel, Switzerland. This article is an open access article distributed under the terms and conditions of the Creative Commons Attribution (CC BY) license (https://creativecommons.org/licenses/by/4.0/).
Share and Cite
Hamamoto Filho, P.T.; Norcia, L.F.; Fleury, A.; Zanini, M.A. Current Role of Surgery in the Treatment of Neurocysticercosis. Pathogens 2024, 13, 218. https://doi.org/10.3390/pathogens13030218
Hamamoto Filho PT, Norcia LF, Fleury A, Zanini MA. Current Role of Surgery in the Treatment of Neurocysticercosis. Pathogens. 2024; 13(3):218. https://doi.org/10.3390/pathogens13030218
Chicago/Turabian StyleHamamoto Filho, Pedro Tadao, Luiz Fernando Norcia, Agnès Fleury, and Marco Antônio Zanini. 2024. "Current Role of Surgery in the Treatment of Neurocysticercosis" Pathogens 13, no. 3: 218. https://doi.org/10.3390/pathogens13030218
APA StyleHamamoto Filho, P. T., Norcia, L. F., Fleury, A., & Zanini, M. A. (2024). Current Role of Surgery in the Treatment of Neurocysticercosis. Pathogens, 13(3), 218. https://doi.org/10.3390/pathogens13030218

