Effects of Post Heat Treatments on Microstructures and Mechanical Properties of Selective Laser Melted Ti6Al4V Alloy
Abstract
:1. Introduction
2. Materials and Methods
3. Results
3.1. Tensile Properties
3.2. Microstructure Characterization
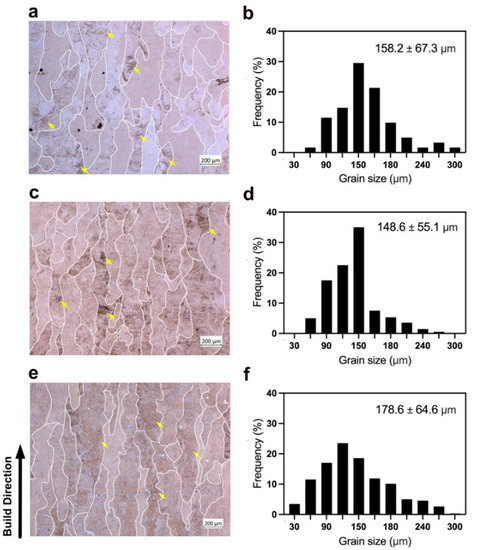
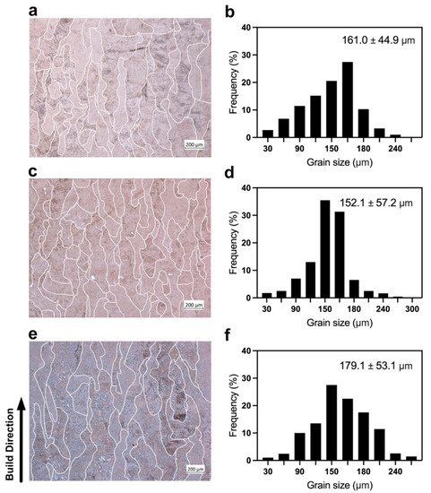
3.2.1. Prior β Microstructure Characterization with Different Heat Treatment
3.2.2. α Microstructure Characterization with Different Heat Treatments
3.3. Fracture Surface Characterization
4. Discussion
5. Conclusions
- The as-fabricated sample showed the columnar prior β grains. After sub-transus annealing, columnar prior β grains remain visible. With increased HT temperature, the width of prior β grains increased while the aspect ratio decreased. Additionally, the cooling rates had negligible influences on prior β grain growth.
- As-fabricated Ti-64 showed the fully α’ martensite with the presence of GB-α hardly noticed at the prior β grain boundaries. With heat treatments used, α’ martensite could be decomposed into α + β phase, along with the formation of GB-α. The thickness of the α lath after sub-transus heat treatment (HT) is primarily dependent on the maximum HT temperature and the cooling rate. The morphology of GB-α is mainly dependent on the HT temperature, the GB-α exhibit the discontinuous morphology when HT temperatures increase to near the β transus (950 °C).
- Tensile performances are very much dependent on HT temperature. With the increase of HT temperature, tensile strength declines and the total elongation rises because of acicular α’ martensite transformation to the coarser α lath. However, the WQ samples present different trends, which is attributed to the fact that the high cooling rate leads to the high-temperature β phase being transformed to α’ martensite again.
- The anisotropic ductility and the discontinuous ratio of GB-α could be correlated. With the discontinuous ratio of GB-α larger than 0.6, the anisotropic ductility of SLMed Ti-64 could be eliminated. The discontinuous GB-α results in the same failure mode in both directions which reduced their anisotropic ductility.
Supplementary Materials
Author Contributions
Funding
Institutional Review Board Statement
Informed Consent Statement
Data Availability Statement
Conflicts of Interest
References
- Gu, D.; Shi, X.; Poprawe, R.; Bourell, D.L.; Rossitza Setchi, J.Z. Material-structure-performance integrated laser-metal additive manufacturing. Science 2021, 372. [Google Scholar] [CrossRef]
- DebRoy, T.; Wei, H.L.; Zuback, J.S.; Mukherjee, T.; Elmer, J.W.; Milewski, J.O.; Beese, A.M.; Wilson-Heid, A.; De, A.; Zhang, W. Additive manufacturing of metallic components—Process, structure and properties. Prog. Mater. Sci. 2018, 92, 112–224. [Google Scholar] [CrossRef]
- Herzog, D.; Seyda, V.; Wycisk, E.; Emmelmann, C. Additive manufacturing of metals. Acta Mater. 2016, 117, 371–392. [Google Scholar] [CrossRef]
- Gibbons, D.W.; Serfontein, J.P.L.; van der Merwe, A.F. Mapping the path to certification of metal laser powder bed fusion for aerospace applications. Rapid Prototyp. J. 2021, 27, 355–361. [Google Scholar] [CrossRef]
- Sanaei, N.; Fatemi, A. Defects in additive manufactured metals and their effect on fatigue performance: A state-of-the-art review. Prog. Mater. Sci. 2020, 117, 100724. [Google Scholar] [CrossRef]
- Foehring, D.; Chew, H.B.; Lambros, J. Characterizing the tensile behavior of additively manufactured Ti-6Al-4V using multiscale digital image correlation. Mater. Sci. Eng. A 2018, 724, 536–546. [Google Scholar] [CrossRef] [Green Version]
- Gong, H.; Rafi, K.; Gu, H.; Janaki Ram, G.D.; Starr, T.; Stucker, B. Influence of defects on mechanical properties of Ti-6Al-4V components produced by selective laser melting and electron beam melting. Mater. Des. 2015, 86, 545–554. [Google Scholar] [CrossRef]
- Zhang, R.; Liu, Z.; Huang, J.; Zhu, Q.; Xiao, Z. Effect of Heat Treatment on Microstructure and Mechanical Properties of Inconel 718 Alloy Fabricated by Selective Laser Melting. Rare Met. Mater. Eng. 2021, 50, 255–262. [Google Scholar]
- Murray, S.P.; Pusch, K.M.; Polonsky, A.T.; Torbet, C.J.; Seward, G.G.E.; Zhou, N.; Forsik, S.A.J.; Nandwana, P.; Kirka, M.M.; Dehoff, R.R.; et al. A defect-resistant Co–Ni superalloy for 3D printing. Nat. Commun. 2020, 11, 1–11. [Google Scholar] [CrossRef]
- Chen, W.; Voisin, T.; Zhang, Y.; Florien, J.B.; Spadaccini, C.M.; McDowell, D.L.; Zhu, T.; Wang, Y.M. Microscale residual stresses in additively manufactured stainless steel. Nat. Commun. 2019, 10, 1–12. [Google Scholar] [CrossRef] [Green Version]
- Wang, Y.M.; Voisin, T.; McKeown, J.T.; Ye, J.; Calta, N.P.; Li, Z.; Zeng, Z.; Zhang, Y.; Chen, W.; Roehling, T.T.; et al. Additively manufactured hierarchical stainless steels with high strength and ductility. Nat. Mater. 2018, 17, 63–70. [Google Scholar] [CrossRef] [Green Version]
- Zhang, B.; Han, X.; Chen, C.; Zhang, W.; Liao, H.; Chen, B. Effect of the strut size and tilt angle on the geometric characteristics of selective laser melting AlSi10Mg. Rapid Prototyp. J. 2021, 27, 879–889. [Google Scholar] [CrossRef]
- Guan, J.; Wang, Q.; Chen, C.; Xiao, J. Forming feasibility and interface microstructure of Al/Cu bimetallic structure fabricated by laser powder bed fusion. Rapid Prototyp. J. 2021, 27, 1337–1345. [Google Scholar] [CrossRef]
- González, J.E.; de Armas, G.; Negrin, J.; Beltrán, A.M.; Trueba, P.; Gotor, F.J.; Peón, E.; Torres, Y. Influence of successive chemical and thermochemical treatments on surface features of Ti6Al4V samples manufactured by SLM. Metals 2021, 11, 313. [Google Scholar] [CrossRef]
- Fan, W.; Tan, H.; Zhang, F.; Feng, Z.; Wang, Y.; Zhang, L.-C.; Lin, X.; Huang, W. Overcoming the limitation of in-situ microstructural control in laser additive manufactured Ti-6Al-4V alloy to enhanced mechanical performance by integration of synchronous induction heating. J. Mater. Sci. Technol. 2021, 94, 32–46. [Google Scholar] [CrossRef]
- Lütjering, G.; Williams, J.C. Titanium; Springer: New York, NY, USA, 2003. [Google Scholar]
- Bermingham, M.J.; StJohn, D.H.; Krynen, J.; Tedman-Jones, S.; Dargusch, M.S. Promoting the columnar to equiaxed transition and grain refinement of titanium alloys during additive manufacturing. Acta Mater. 2019, 168, 261–274. [Google Scholar] [CrossRef]
- Yang, K.V.; Shi, Y.; Palm, F.; Wu, X.; Rometsch, P. Columnar to equiaxed transition in Al-Mg(-Sc)-Zr alloys produced by selective laser melting. Scr. Mater. 2018, 145, 113–117. [Google Scholar] [CrossRef]
- Carroll, B.E.; Palmer, T.A.; Beese, A.M. Anisotropic tensile behavior of Ti-6Al-4V components fabricated with directed energy deposition additive manufacturing. Acta Mater. 2015, 87, 309–320. [Google Scholar] [CrossRef]
- Bermingham, M.J.; McDonald, S.D.; Dargusch, M.S.; StJohn, D.H. The mechanism of grain refinement of titanium by silicon. Scr. Mater. 2008, 58, 1050–1053. [Google Scholar] [CrossRef]
- Zhang, D.; Qiu, D.; Gibson, M.A.; Zheng, Y.; Fraser, H.L.; StJohn, D.H.; Easton, M.A. Additive manufacturing of ultrafine-grained high-strength titanium alloys. Nature 2019, 576, 91–95. [Google Scholar] [CrossRef]
- Bermingham, M.J.; McDonald, S.D.; Dargusch, M.S. Effect of trace lanthanum hexaboride and boron additions on microstructure, tensile properties and anisotropy of Ti-6Al-4V produced by additive manufacturing. Mater. Sci. Eng. A 2018, 719, 1–11. [Google Scholar] [CrossRef]
- Zhang, K.; Tian, X.; Bermingham, M.; Rao, J.; Jia, Q.; Zhu, Y.; Wu, X.; Cao, S.; Huang, A. Effects of boron addition on microstructures and mechanical properties of Ti-6Al-4V manufactured by direct laser deposition. Mater. Des. 2019, 184, 108191. [Google Scholar] [CrossRef]
- Vrancken, B.; Thijs, L.; Kruth, J.P.; Van Humbeeck, J. Heat treatment of Ti6Al4V produced by Selective Laser Melting: Microstructure and mechanical properties. J. Alloy. Compd. 2012, 541, 177–185. [Google Scholar] [CrossRef] [Green Version]
- Cao, S.; Chu, R.; Zhou, X.; Yang, K.; Jia, Q.; Lim, C.V.S.; Huang, A.; Wu, X. Role of martensite decomposition in tensile properties of selective laser melted Ti-6Al-4V. J. Alloy. Compd. 2018, 744, 357–363. [Google Scholar] [CrossRef]
- Deng, H.; Qiu, W.; Cao, S.; Chen, L.; Hu, Z.; Wei, Y.; Xia, Z.; Zhou, L.; Cui, X.; Tang, J. Heat-treatment induced microstructural evolution and enhanced mechanical property of selective laser melted near β Ti-5Al-5Mo-5 V-3Cr-1Zr alloy. J. Alloy. Compd. 2021, 858, 158351. [Google Scholar] [CrossRef]
- Zhao, Z.; Chen, J.; Tan, H.; Zhang, G.; Lin, X.; Huang, W. Achieving superior ductility for laser solid formed extra low interstitial Ti-6Al-4V titanium alloy through equiaxial alpha microstructure. Scr. Mater. 2018, 146, 187–191. [Google Scholar] [CrossRef]
- Jiang, X.J.; Zhao, H.T.; Yu, G.; Wu, H.Y.; Tan, C.L.; Zhang, X.Y.; Ma, M.Z.; Liu, R.P. Structural evolution and mechanical properties of Ti-41Zr-7.3Al alloy during continuous cooling process. J. Alloy. Compd. 2017, 725, 750–756. [Google Scholar] [CrossRef]
- Liu, C.; Lu, Y.; Tian, X.; Liu, D. Influence of continuous grain boundary α on ductility of laser melting deposited titanium alloys. Mater. Sci. Eng. A 2016, 661, 145–151. [Google Scholar] [CrossRef]
- Osovski, S.; Srivastava, A.; Williams, J.C.; Needleman, A. Grain boundary crack growth in metastable titanium β alloys. Acta Mater. 2015, 82, 167–178. [Google Scholar] [CrossRef]
- Liu, C.M.; Wang, H.M.; Tian, X.J.; Liu, D. Development of a pre-heat treatment for obtaining discontinuous grain boundary α in laser melting deposited Ti-5Al-5Mo-5V-1Cr-1Fe alloy. Mater. Sci. Eng. A 2014, 604, 176–182. [Google Scholar] [CrossRef]
- Chen, Z.; Wu, X.; Tomus, D.; Davies, C.H.J. Surface roughness of Selective Laser Melted Ti-6Al-4V alloy components. Addit. Manuf. 2018, 21, 91–103. [Google Scholar] [CrossRef]
- Chen, Z.; Wu, X.; Davies, C.H.J. Process variation in Laser Powder Bed Fusion of Ti-6Al-4V. Addit. Manuf. 2021, 41, 101987. [Google Scholar] [CrossRef]
- Zhao, Z.; Chen, J.; Lu, X.; Tan, H.; Lin, X.; Huang, W. Formation mechanism of the α variant and its influence on the tensile properties of laser solid formed Ti-6Al-4V titanium alloy. Mater. Sci. Eng. A 2017, 691, 16–24. [Google Scholar] [CrossRef]
- Xu, J.; Zeng, W.; Zhao, Y.; Sun, X.; Du, Z. Influence of cooling rate following heat treatment on microstructure and phase transformation for a two-phase alloy. J. Alloy. Compd. 2016, 688, 301–309. [Google Scholar] [CrossRef]
- Liu, F.; He, C.; Chen, Y.; Zhang, H.; Wang, Q.; Liu, Y. Effects of defects on tensile and fatigue behaviors of selective laser melted titanium alloy in very high cycle regime. Int. J. Fatigue 2020, 140, 105795. [Google Scholar] [CrossRef]
- Pederson, R.; Babushkin, O.; Skystedt, F.; Warren, R. Use of high temperature X-ray diffractometry to study phase transitions and thermal expansion properties in Ti-6Al-4V. Mater. Sci. Technol. 2003, 19, 1533–1538. [Google Scholar] [CrossRef]
- Zhang, Y.; Xin, R.; Guo, B.; Wang, K.; Liu, Q. Influence of alternate grain boundary α on the development of Widmanstätten microstructure in TC21 Ti alloy. Mater. Charact. 2021, 177, 111162. [Google Scholar] [CrossRef]
- Shao, H.; Zhao, Y.; Ge, P.; Zeng, W. Influence of Cooling Rate and Aging on the Lamellar Microstructure and Fractography of TC21 Titanium Alloy. Metallogr. Microstruct. Anal. 2013, 2, 35–41. [Google Scholar] [CrossRef] [Green Version]
- Wilson-Heid, A.E.; Wang, Z.; McCornac, B.; Beese, A.M. Quantitative relationship between anisotropic strain to failure and grain morphology in additively manufactured Ti-6Al-4V. Mater. Sci. Eng. A 2017, 706, 287–294. [Google Scholar] [CrossRef]
- Xu, Z.W.; Liu, A.; Wang, X.S. The influence of building direction on the fatigue crack propagation behavior of Ti6Al4V alloy produced by selective laser melting. Mater. Sci. Eng. A 2019, 767, 138409. [Google Scholar] [CrossRef]
- Tian, X.; Zhu, Y.; Lim, C.V.S.; Williams, J.; Boyer, R.; Wu, X.; Zhang, K.; Huang, A. Isotropic and Improved Tensile Properties of Ti-6Al-4V Achieved by In-situ Rolling in Direct Energy Deposition. Addit. Manuf. 2021, 46, 102151. [Google Scholar] [CrossRef]
- Sun, W.; Ma, Y.; Huang, W.; Zhang, W.; Qian, X. Effects of build direction on tensile and fatigue performance of selective laser melting Ti6Al4V titanium alloy. Int. J. Fatigue 2020, 130, 105260. [Google Scholar] [CrossRef]
- Simonelli, M.; Tse, Y.Y.; Tuck, C. Effect of the build orientation on the mechanical properties and fracture modes of SLM Ti-6Al-4V. Mater. Sci. Eng. A 2014, 616, 1–11. [Google Scholar] [CrossRef] [Green Version]
- Eylon, D. Fatigue crack initiation in hot isostatically pressed Ti-6Al-4V castings. J. Mater. Sci. 1979, 14, 1914–1922. [Google Scholar] [CrossRef]
- Xie, Y.; Gong, M.; Luo, Z.; Li, Q.; Gao, M.; Wang, F.; Zeng, X.; Wang, G. Effect of microstructure on short fatigue crack growth of wire arc additive manufactured Ti-6Al-4V. Mater. Charact. 2021, 177, 111183. [Google Scholar] [CrossRef]
- Liu, J.; Zhang, K.; Yang, Y.; Wang, H.; Zhu, Y.; Huang, A. Grain boundary α -phase precipitation and coarsening: Comparing laser powder b e d fusion with as-cast Ti-6Al-4V. Scr. Mater. 2022, 207, 114261. [Google Scholar] [CrossRef]
- Liu, Z.; Zhao, Z.B.; Liu, J.; Wang, Q.; Guo, Z.; Zeng, Y.; Yang, G.; Gong, S. Effects of the crystallographic and spatial orientation of α lamellae on the anisotropic in-situ tensile behaviors of additive manufactured Ti–6Al–4V. J. Alloy. Compd. 2021, 850, 156886. [Google Scholar] [CrossRef]
- Mine, Y.; Matsuzaki, Y.; Takashima, K. Anisotropy of strength and plasticity in single-colony lamellar structure of Ti‒6Al‒4V alloy. Scr. Mater. 2020, 177, 223–228. [Google Scholar] [CrossRef]
- Xie, Y.; Gong, M.; Zhang, R.; Gao, M.; Zeng, X.; Wang, F. Grain boundary discontinuity and performance improvement mechanism of wire arc additive manufactured Ti–6Al–4V. J. Alloy. Compd. 2021, 869, 159287. [Google Scholar] [CrossRef]
- Martina, F.; Colegrove, P.A.; Williams, S.W.; Meyer, J. Microstructure of Interpass Rolled Wire + Arc Additive Manufacturing Ti-6Al-4V Components. Metall. Mater. Trans. A 2015, 46, 6103–6118. [Google Scholar] [CrossRef] [Green Version]













| Alloy (wt.%) | Al | V | O | Fe | C | N | H | Ti |
|---|---|---|---|---|---|---|---|---|
| Powder | 6.18 | 3.94 | 0.0951 | 0.01 | 0.01 | 0.0133 | 0.0017 | Bal. |
| As-fabricated | 6.02 | 4.04 | 0.15 | 0.20 | 0.01 | 0.028 | 0.0043 | Bal. |
| ID | HT Temperature | Dwell Time | Cooling Mode |
|---|---|---|---|
| 750-WQ | 750 °C | 2 h | Water quenching |
| 750-AC | Air cooling | ||
| 750-FC | Furnace cooling | ||
| 850-WQ | 850 °C | 2 h | Water quenching |
| 850-AC | Air cooling | ||
| 850-FC | Furnace cooling | ||
| 950-WQ | 950 °C | 2 h | Water quenching |
| 950-AC | Air cooling | ||
| 950-FC | Furnace cooling |
Publisher’s Note: MDPI stays neutral with regard to jurisdictional claims in published maps and institutional affiliations. |
© 2021 by the authors. Licensee MDPI, Basel, Switzerland. This article is an open access article distributed under the terms and conditions of the Creative Commons Attribution (CC BY) license (https://creativecommons.org/licenses/by/4.0/).
Share and Cite
Liu, J.; Liu, J.; Li, Y.; Zhang, R.; Zeng, Z.; Zhu, Y.; Zhang, K.; Huang, A. Effects of Post Heat Treatments on Microstructures and Mechanical Properties of Selective Laser Melted Ti6Al4V Alloy. Metals 2021, 11, 1593. https://doi.org/10.3390/met11101593
Liu J, Liu J, Li Y, Zhang R, Zeng Z, Zhu Y, Zhang K, Huang A. Effects of Post Heat Treatments on Microstructures and Mechanical Properties of Selective Laser Melted Ti6Al4V Alloy. Metals. 2021; 11(10):1593. https://doi.org/10.3390/met11101593
Chicago/Turabian StyleLiu, Jianwen, Jie Liu, Yixin Li, Ruifeng Zhang, Zhuoran Zeng, Yuman Zhu, Kai Zhang, and Aijun Huang. 2021. "Effects of Post Heat Treatments on Microstructures and Mechanical Properties of Selective Laser Melted Ti6Al4V Alloy" Metals 11, no. 10: 1593. https://doi.org/10.3390/met11101593
APA StyleLiu, J., Liu, J., Li, Y., Zhang, R., Zeng, Z., Zhu, Y., Zhang, K., & Huang, A. (2021). Effects of Post Heat Treatments on Microstructures and Mechanical Properties of Selective Laser Melted Ti6Al4V Alloy. Metals, 11(10), 1593. https://doi.org/10.3390/met11101593

