Management Strategies for Failed Pilon Fractures: A Personalized Approach to Revision Reconstruction
Abstract
1. Introduction
2. Methods
Search Strategy and Selection Criteria
3. Pre-Operative Assessment of Failed Pilon
4. Strategies to Address Common Challenges in Revision Pilon Reconstruction
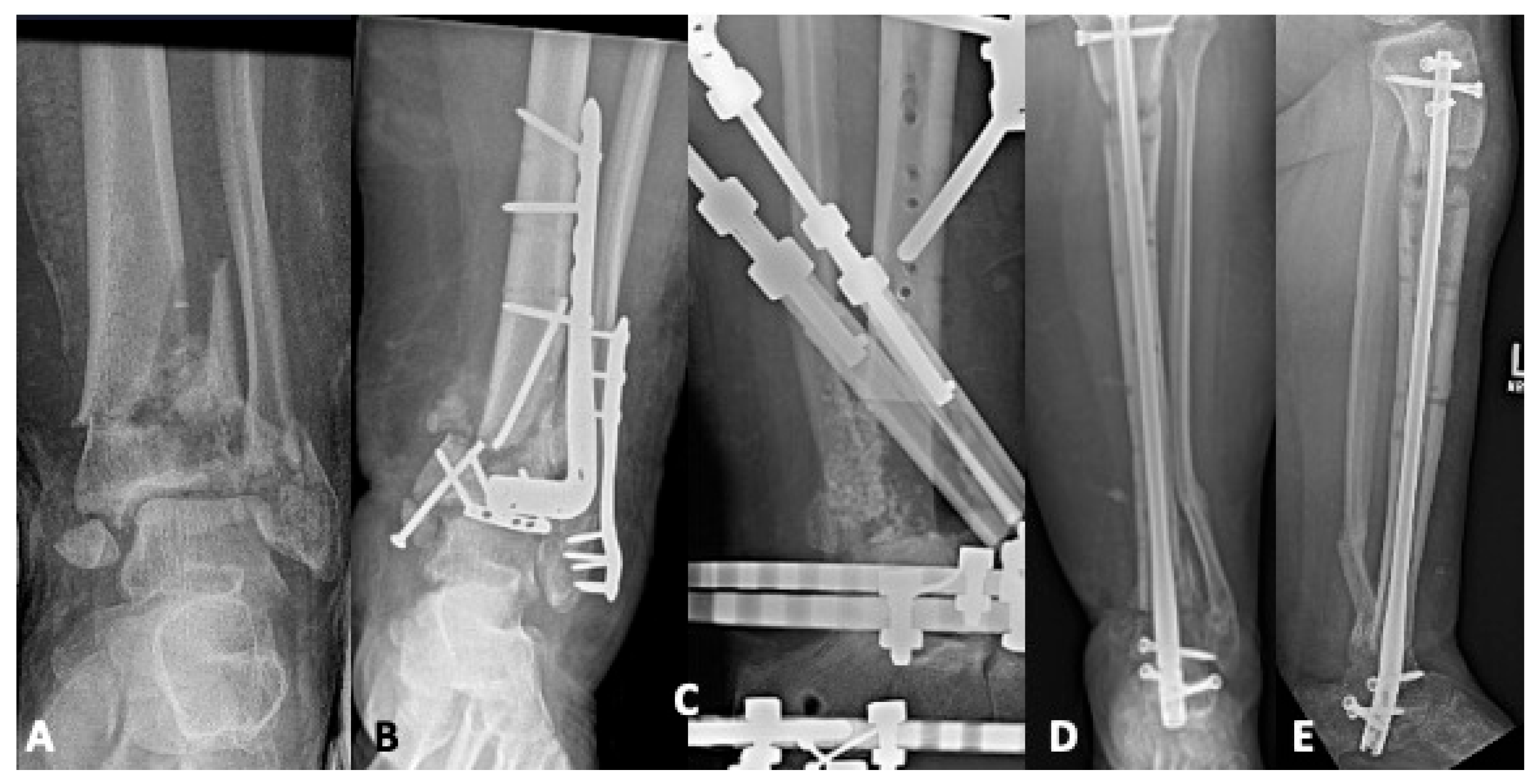
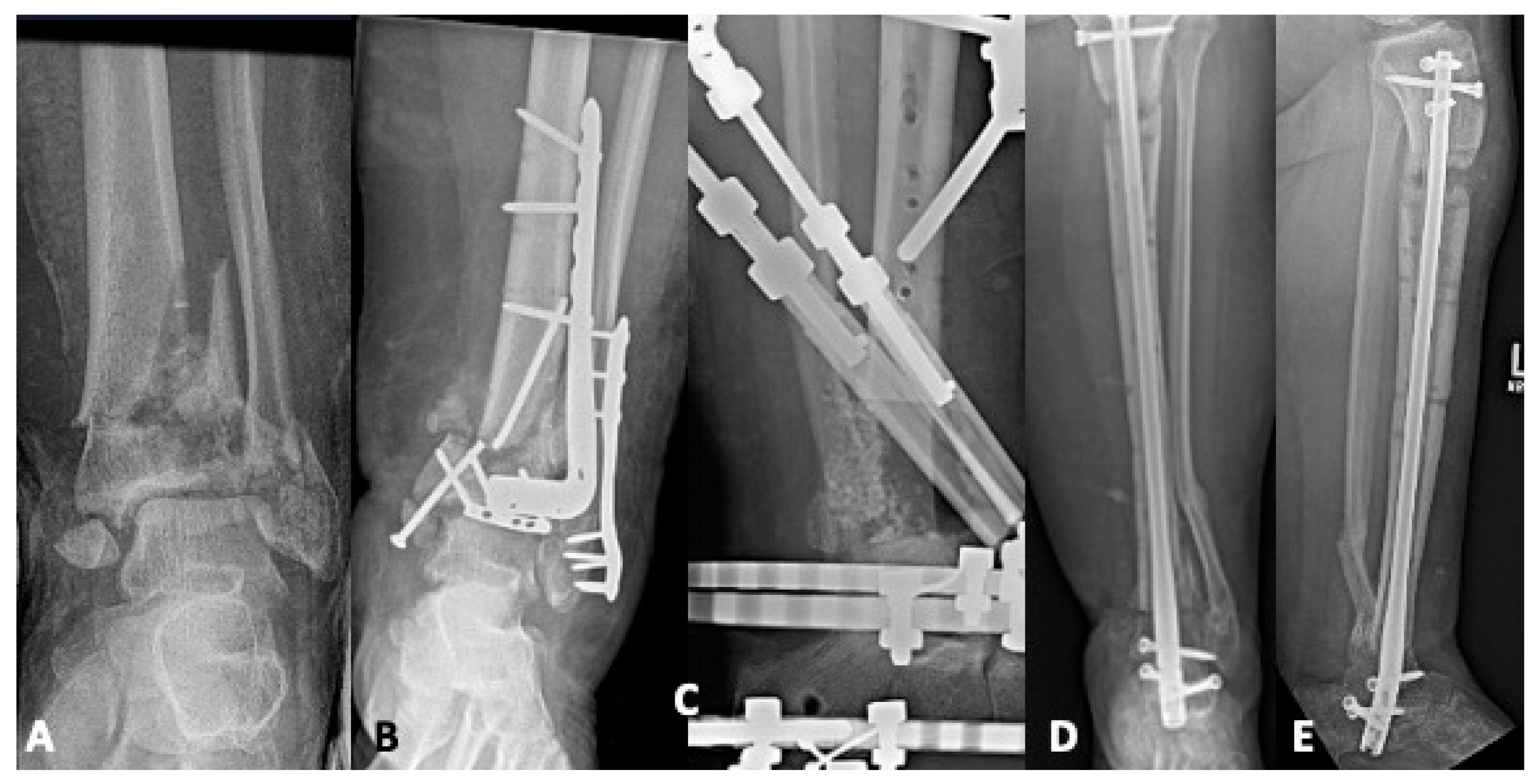
4.1. Infection
4.2. Bone Defects
4.3. Malunion
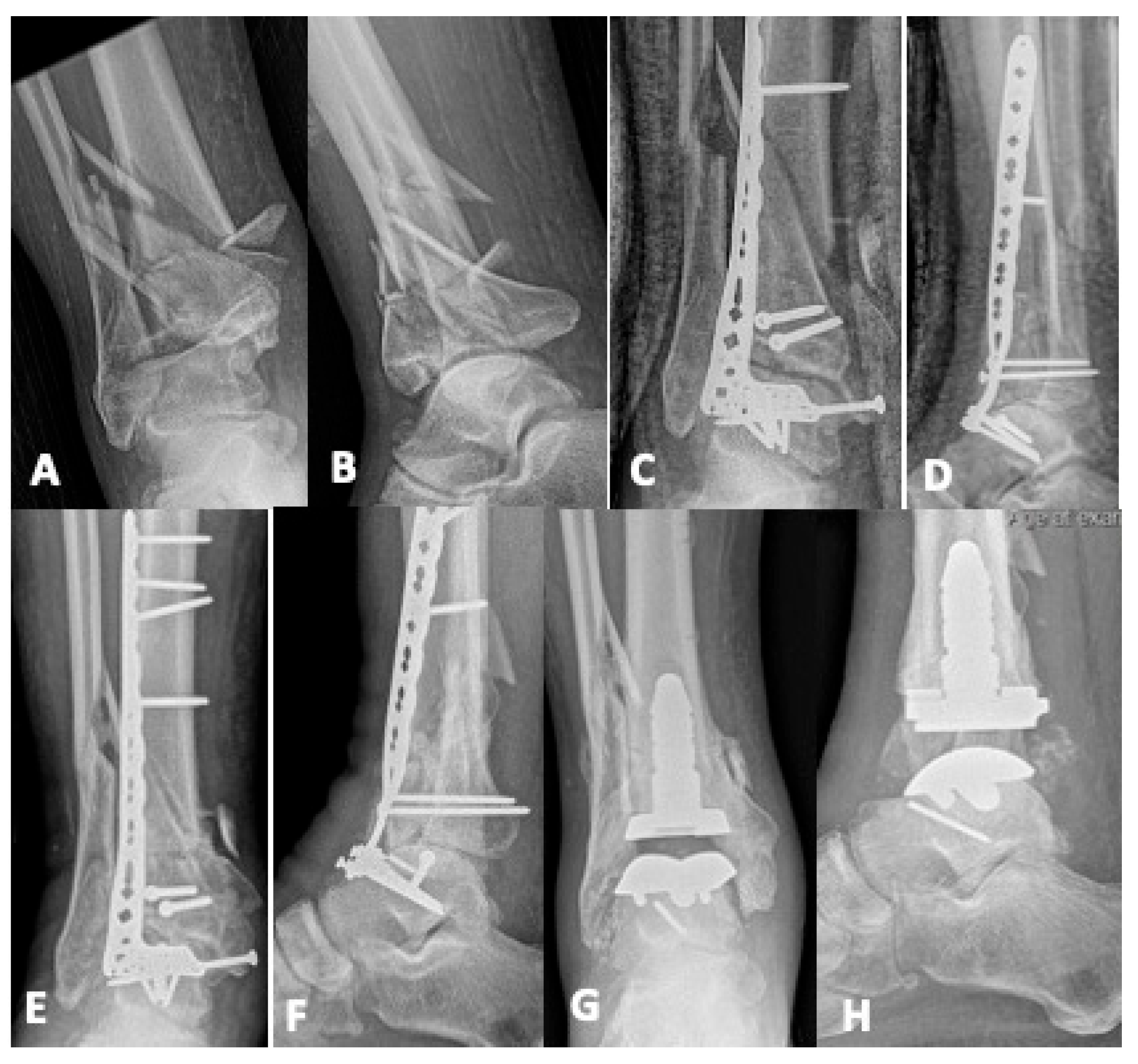
5. Revision Surgical Options
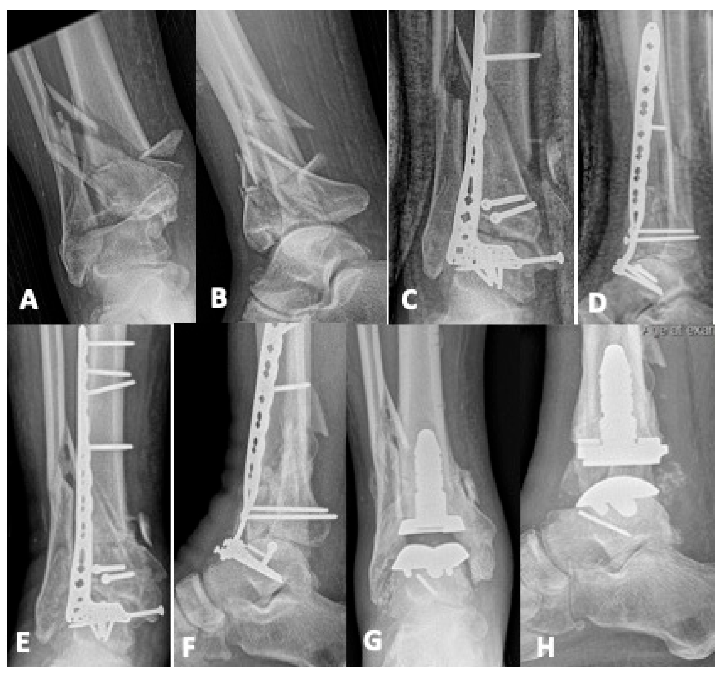
5.1. Revision Operative Fixation
5.2. Joint-Sacrificing Reconstruction
5.2.1. Total Ankle Arthroplasty
5.2.2. Tibiotalar Arthrodesis
5.3. Amputation
6. Conclusions
Author Contributions
Funding
Institutional Review Board Statement
Informed Consent Statement
Data Availability Statement
Conflicts of Interest
References
- Kottmeier, S.A.; Madison, R.D.; Divaris, N. Pilon Fracture: Preventing Complications. J. Am. Acad. Orthop. Surg. 2018, 26, 640–651. [Google Scholar] [CrossRef] [PubMed]
- Abebe, E.; Farrell, D.J.; Zelle, B.; Gruen, G. Primary Posterior Blade Plate Tibiotalar Arthrodesis: A Salvage Procedure for Complex Nonreconstructable Pilon Fractures. J. Orthop. Trauma 2017, 31, S30–S33. [Google Scholar] [CrossRef] [PubMed]
- Olson, J.J.; Anand, K.; Esposito, J.G.; von Keudell, A.G.; Rodriguez, E.K.; Smith, R.M.; Weaver, M.J. Complications and Soft-Tissue Coverage after Complete Articular, Open Tibial Plafond Fractures. J. Orthop. Trauma 2021, 35, e371–e376. [Google Scholar] [CrossRef]
- Gardner, M.J.; Mehta, S.; Barei, D.P.; Nork, S.E. Treatment Protocol for Open AO/OTA Type C3 Pilon Fractures with Segmental Bone Loss. J. Orthop. Trauma 2008, 22, 451–457. [Google Scholar] [CrossRef]
- Frisvoll, C.; Clarke-Jenssen, J.; Madsen, J.E.; Flugsrud, G.; Frihagen, F.; Andreassen, G.S.; Bere, T. Long-Term Outcomes after High-Energy Open Tibial Fractures: Is A Salvaged Limb Superior to Prosthesis in Terms of Physical Function and Quality of Life? Eur. J. Orthop. Surg. Traumatol. 2019, 29, 899–906. [Google Scholar] [CrossRef]
- Stewart, C.C.; Reider, L.; Soifer, R.; Namiri, N.K.; O’TOole, R.V.; Karunakar, M.A.; Potter, B.K.; Bosse, M.; Morshed, S.; Metrc. What is the Surgical Burden of Treatment for High-Energy Lower Extremity Trauma? A Secondary Analysis of the OUTLET Study. J. Orthop. Trauma 2025, 39, 237–244. [Google Scholar] [CrossRef]
- Green, S.A.; Roesler, S. Salvage of the infected pilon fracture. Tech. Orthop. 1987, 2, 37–41. [Google Scholar] [CrossRef]
- Foster, B.D.; Kang, H.P.; Buser, Z.; Carney, J.; Wang, J.C.; Marecek, G.S. Effect of Mental Health Conditions on Complications, Revision Rates, and Readmission Rates Following Femoral Shaft, Tibial Shaft, and Pilon Fracture. J. Orthop. Trauma 2019, 33, e210–e214. [Google Scholar] [CrossRef]
- Hutson, J.J. Salvage of Pilon Fracture Nonunion and Infection with Circular Tensioned Wire Fixation. Foot Ankle Clin. 2008, 13, 29–68. [Google Scholar] [CrossRef]
- Zalavras, C.G.; Patzakis, M.J.; Thordarson, D.B.; Shah, S.; Sherman, R.; Holtom, P. Infected Fractures of The Distal Tibial Metaphysis and Plafond: Achievement of Limb Salvage with Free Muscle Flaps, Bone Grafting, and Ankle Fusion. Clin. Orthop. Relat. Res. 2004, 427, 57–62. [Google Scholar] [CrossRef]
- Fischer, B.; Mason, L.W. Reconstruction of Severe Ankle and Pilon Fracture Malunions. Foot Ankle Clin. 2020, 25, 221–237. [Google Scholar] [CrossRef]
- Megerian, M.F.; Schimizzi, G.V.; Barth, K.A.; LaValva, S.M.; Klinger, C.E.; Dziadosz, D.R.; Ricci, W.M.; Campbell, S.T. Distal Tibia Apex Posterior Angulation: A Normal Anatomic Variant Related to Hindfoot Alignment with Side-to-Side Symmetry. JAAOS Glob. Res. Rev. 2023, 7, e23. [Google Scholar] [CrossRef]
- Liu, J.; Zhang, Z.; Qu, J.; Piao, C. Progress of Fracture Mapping Technology Based on CT Three-Dimensional Reconstruction. Front. Bioeng. Biotechnol. 2024, 12, 1471470. [Google Scholar] [CrossRef] [PubMed]
- Liu, P.; Hewitt, N.; Shadid, W.; Willis, A. A System for 3D Reconstruction of Comminuted Tibial Plafond Bone Fractures. Comput. Med Imaging Graph. 2021, 89, 101884. [Google Scholar] [CrossRef]
- Zhang, Y.; Li, Y.; Zhou, M.; Yang, L. The Role and Regulatory Mechanism of Mir-122-5p in the Process of Pilon Fracture Healing. J. Orthop. Surg. Res. 2025, 20, 710. [Google Scholar] [CrossRef]
- Molina, C.S.; Stinner, D.J.; Fras, A.R.; Evans, J.M. Course of Treatment and Rate of Successful Salvage Following the Diagnosis of Deep Infection in Patients Treated for Pilon Fractures (AO/OTA: 43). J. Orthop. 2015, 12, S18–S24. [Google Scholar] [CrossRef]
- Oladeji, L.O.; Platt, B.B.; Crist, B.D. Diabetic Pilon Factures: Are They as Bad as We Think? J. Orthop. Trauma 2020, 35, 149–153. [Google Scholar] [CrossRef]
- Patel, S.; Baker, L.; Perez, J.; Vulcano, E.; Kaplan, J.; Aiyer, A. Risk Factors for Nonunion Following Ankle Arthrodesis: A Systematic Review and Meta-analysis. Foot Ankle Spéc. 2021, 16, 60–77. [Google Scholar] [CrossRef]
- Wang, J.; Cambre, B.N.; Cho, D.H.; Dugan, A.L.M.; Panchbhavi, V.; Wang, A.S.; Panchbhavi, V.K. Impact of Nicotine Dependence on Postoperative Outcomes in Pilon Fracture Open Reduction and Internal Fixation: A Comparative Cohort Analysis. J. Orthop. Trauma 2025. [Google Scholar] [CrossRef] [PubMed]
- Chowdary, A.R.B.; Ravi, V.B.; Wukich, D.K.; Sambandam, S. Outcomes of Surgically Treated Pilon Fractures: A Comparison of Patients with and Without Diabetes. J. Orthop. Trauma 2023, 37, 650–657. [Google Scholar] [CrossRef] [PubMed]
- Elliott, J.T.; Henderson, E.; Streeter, S.S.; Demidov, V.; Han, X.; Tang, Y.; Sottosanti, J.S.; Bateman, L.; Brůža, P.; Jiang, S.; et al. Fluorescence-Guided and Molecularly-Guided Debridement: Identifying Devitalized and Infected Tissue in Orthopaedic Trauma. In Proceedings of the Molecular-Guided Surgery: Molecules, Devices, and Applications IX, San Francisco, CA, USA, 28–29 January 2023; pp. 34–43. [Google Scholar]
- Ordas-Bayon, A.; Logan, K.; Garg, P.; Peat, F.; Krkovic, M. Ankle Arthrodesis Using the Taylor Spatial Frame for the Treatment of Infection, Extruded Talus and Complex Pilon Fractures. Injury 2021, 52, 1028–1037. [Google Scholar] [CrossRef]
- Hieda, Y.; Choe, H.; Ike, H.; Abe, K.; Kumagai, K.; Takeyama, M.; Kawabata, Y.; Kobayashi, N.; Inaba, Y. Bead-Beating Assay During Synovial Fluid DNA Extraction Improves Real-Time PCR Accuracy for Periprosthetic Joint Infection. J. Orthop. Res. 2024, 42, 2123–2130. [Google Scholar] [CrossRef]
- O’Toole, R.V.; Joshi, M.; Carlini, A.R.; Murray, C.K.; Allen, L.E.; Huang, Y.; Scharfstein, D.O.; O’Hara, N.N.; Gary, J.L.; Bosse, M.J.; et al. Effect of Intrawound Vancomycin Powder in Operatively Treated High-risk Tibia Fractures: A Randomized Clinical Trial. JAMA Surg. 2021, 156, e207259. [Google Scholar] [CrossRef]
- Stasikelis, P.J.; Calhoun, J.H.; Ledbetter, B.R.; Anger, D.M.; Mader, J.T. Treatment of Infected Pilon Nonunions with Small Pin Fixators. Foot Ankle 1993, 14, 373–379. [Google Scholar] [CrossRef] [PubMed]
- Santolini, E.; Giordano, V.; Giannoudis, P.V. Effect of Mechanical Stability of Osteosynthesis on Infection Rates: Timing of Temporary and Definitive Fixation. Injury 2024, 55, 111845. [Google Scholar] [CrossRef] [PubMed]
- Wadehra, A.; Douthett, S.; Fallat, L.M. Single-Stage Tibiotalocalcaneal Arthrodesis with Use of an Antibiotic-Coated Intramedullary Nail for Limb Salvage Following an Open Pilon Fracture Complicated by Osteomyelitis: A Case Report. J. Foot Ankle Surg. 2019, 58, 984–988. [Google Scholar] [CrossRef]
- Stahl, A.; Yang, Y.P. Regenerative Approaches for the Treatment of Large Bone Defects. Tissue Eng. Part B Rev. 2021, 27, 539–547. [Google Scholar] [CrossRef]
- Marsh, J.; Rattay, R.E.; Dulaney, T. Results of Ankle Arthrodesis for Treatment of Supramalleolar Nonunion and Ankle Arthrosis. Foot Ankle Int. 1997, 18, 136–143. [Google Scholar] [CrossRef] [PubMed]
- Kim, W.-Y.; Ji, J.-H.; Park, S.-E.; Kim, Y.-Y.; Jeong, J.J.; Kang, H.-T. Surgical Management of Pilon Fractures with Large Segmental Bone Defects Using Fibular Strut Allografts: A Report of Two Cases. Eur. J. Orthop. Surg. Traumatol. 2011, 21, 439–444. [Google Scholar] [CrossRef]
- Gan, T.-J.; Ma, X.-K.; Li, Y.-X.; Chen, Y.; Liu, X.; Li, J.; Zhang, H. Osteoperiosteal Iliac Autograft Transplantation for Unreconstructable Tibial Plafond After Malunions of Pilon Fractures in Young Patients. Foot Ankle Int. 2023, 45, 33–43. [Google Scholar] [CrossRef]
- Masquelet, A.C.; Begue, T. The Concept of Induced Membrane for Reconstruction of Long Bone Defects. Orthop. Clin. N. Am. 2010, 41, 27–37. [Google Scholar] [CrossRef]
- Johnson, L.G.; Kearney, M.M.; Allen, N.B.; Adams, S.B. Three-Year Follow-Up of a Traumatic Critical-Sized Tibial Bone Defect Treated with a 3D Printed Titanium Cage. J. Bone Jt. Surg. 2023, 13, e22. [Google Scholar] [CrossRef] [PubMed]
- Rosteius, T.; Lotzien, S.; Königshausen, M.; Rausch, V.; Cibura, C.; Behr, B.; Lehnhardt, M.; Schildhauer, T.A.; Geßmann, J. Analysis of Bone Transport for Ankle Arthrodesis as A Limb Salvage Procedure for The Treatment of Septic Pilon Fracture Nonunion. Sci. Rep. 2021, 11, 24472. [Google Scholar] [CrossRef]
- Saleh, M.; Rees, A. Bifocal Surgery for Deformity and Bone Loss after Lower-Limb Fractures. Comparison of Bone-Transport and Compression-Distraction Methods. J. Bone Jt. Surg. Br. Vol. 1995, 77, 429–434. [Google Scholar] [CrossRef]
- Olesen, U.K.; Nygaard, T.; Prince, D.E.; Gardner, M.P.; Singh, U.M.; McNally, M.A.; Green, C.J.; Herzenberg, J.E. Plate-assisted Bone Segment Transport with Motorized Lengthening Nails and Locking Plates: A Technique to Treat Femoral and Tibial Bone Defects. JAAOS Glob. Res. Rev. 2019, 3, e064. [Google Scholar] [CrossRef] [PubMed]
- Rozbruch, S.R.; Zhang, D.T.; Fragomen, A.T.; Dvorzhinskiy, A. Cost Comparison of Tibial Distraction Osteogenesis Using External Lengthening and Then Nailing vs Internal Magnetic Lengthening Nails. Strat. Trauma Limb Reconstr. 2021, 16, 14–19. [Google Scholar] [CrossRef]
- Wellings, E.P.; Blair, J.A.M. Regenerate Stabilization with A Photodynamic Bone Stabilization System after Acute Shortening and then Lengthening: A Case Report. OTA Int. Open Access J. Orthop. Trauma 2025, 8, e408. [Google Scholar] [CrossRef]
- Watson, J.; Karges, D.; Cramer, K. Analysis of Failure of Hybrid External Fixation Techniques for The Treatment of Distal Tibial Pilon Fractures. In Proceedings of the 16th Annual Meeting of The Orthopaedic Trauma Association, San Antonio, TX, USA, 16 October 2000; Session IX. p. 60. [Google Scholar]
- Scheidegger, P.; Lang, T.H.; Schweizer, C.; Zwicky, L.; Hintermann, B. A Flexion Osteotomy for Correction of A Distal Tibial Recurvatum Deformity. Bone Jt. J. 2019, 101-B, 682–690. [Google Scholar] [CrossRef]
- Butler, J.J.; Azam, M.T.; Weiss, M.B.; Kennedy, J.G.; Walls, R.J. Supramalleolar Osteotomy for The Treatment of Ankle Osteoarthritis Leads to Favourable Outcomes and Low Complication Rates at Mid-Term Follow-Up: A Systematic Review. Knee Surg. Sports Traumatol. Arthrosc. 2022, 31, 701–715. [Google Scholar] [CrossRef]
- Colin, F.; Gaudot, F.; Odri, G.; Judet, T. Supramalleolar Osteotomy: Techniques, Indications and Outcomes in A Series of 83 Cases. Orthop. Traumatol. Surg. Res. 2014, 100, 413–418. [Google Scholar] [CrossRef]
- Chatterton, B.; Bing, A. A Novel Technique for Supramalleolar Osteotomy of The Tibia Using A Circular Frame. Ind. Mark. Manag. 2019, 101, 373–374. [Google Scholar] [CrossRef]
- Dujardin, F.H.; Hossenbaccus, M.; Duparc, F.; Biga, N.; Thomine, J.M. Long-Term Functional Prognosis of Posterior Injuries in High-Energy Pelvic Disruption. J. Orthop. Trauma 1998, 12, 145–150. [Google Scholar] [CrossRef]
- Rammelt, S.; Zwipp, H. Intra-articular Osteotomy for Correction of Malunions and Nonunions of the Tibial Pilon. Foot Ankle Clin. 2016, 21, 63–76. [Google Scholar] [CrossRef]
- Li, Y.-X.; Gan, T.-J.; Ma, X.-K.; Chen, Y.; Liu, X.; Zhang, H. Corrective Intra-articular Osteotomy for Malreductions of Tibial Pilon Fractures in Patients Less Than 55 Years Old. Foot Ankle Int. 2024, 45, 1330–1340. [Google Scholar] [CrossRef]
- Ewalefo, S.O.; Dombrowski, M.; Hirase, T.; Rocha, J.L.; Weaver, M.; Kline, A.; Carney, D.; Hogan, M.V. Management of Posttraumatic Ankle Arthritis: Literature Review. Curr. Rev. Musculoskelet. Med. 2018, 11, 546–557. [Google Scholar] [CrossRef]
- Harris, T.G.; Lee, D. Arthroscopic Ankle Arthrodesis After Tibial Pilon Open Reduction Internal Fixation. Foot Ankle Spéc. 2011, 4, 188–193. [Google Scholar] [CrossRef]
- Bennett, A.; Ramaskandhan, J.; Siddique, M. Total Ankle Replacement for Osteoarthritis Following Pilon Fracture of the Tibia. Foot Ankle Int. 2018, 39, 1008–1018. [Google Scholar] [CrossRef]
- Flavin, R.; Coleman, S.C.; Tenenbaum, S.; Brodsky, J.W. Comparison of Gait After Total Ankle Arthroplasty and Ankle Arthrodesis. Foot Ankle Int. 2013, 34, 1340–1348. [Google Scholar] [CrossRef] [PubMed]
- Liu, J.; Cho, T.; Arefi, I.A.; Lawrence, A.; Jayasuriya, A.C. Total Ankle Arthroplasty Versus Ankle Arthrodesis in End-Stage Osteoarthritis: A Meta-Analysis of Comparative Outcomes. J. Orthop. 2025, 63, 157–164. [Google Scholar] [CrossRef] [PubMed]
- Megerian, M.F.; Harlow, E.R.; LaTulip, S.M.; Zhao, C.; Ina, J.G.; Sattar, A.; Feighan, J.E. Total Ankle Arthroplasty for Posttraumatic Fracture Versus Primary Osteoarthritis: An Analysis of Complications, Revisions, and Prosthesis Survival. J. Am. Acad. Orthop. Surg. 2023, 31, 727–737. [Google Scholar] [CrossRef] [PubMed]
- Wood, P.L.R.; Deakin, S. Total Ankle Replacement. J. Bone Jt. Surgery. Br. Vol. 2003, 85-B, 334–341. [Google Scholar] [CrossRef] [PubMed]
- Thiryayi, W.A.; Naqui, Z.; Khan, S.A. Use of the Taylor Spatial Frame in Compression Arthrodesis of the Ankle: A Study of 10 Cases. J. Foot Ankle Surg. 2010, 49, 182–187. [Google Scholar] [CrossRef] [PubMed]
- Salem, K.H.; Kinzl, L.; Schmelz, A. Ankle Arthrodesis Using Ilizarov Ring Fixators: A Review of 22 Cases. Foot Ankle Int. 2006, 27, 764–770. [Google Scholar] [CrossRef] [PubMed]
- Niikura, T.; Miwa, M.; Sakai, Y.; Lee, S.Y.; Oe, K.; Iwakura, T.; Koh, A.; Koga, T.; Kurosaka, M. Ankle Arthrodesis Using Antegrade Intramedullary Nail for Salvage of Nonreconstructable Tibial Pilon Fractures. Orthopedics 2009, 32, 611–614. [Google Scholar] [CrossRef]
- Ohlson, B.L.; Shatby, M.W.; Parks, B.G.; White, K.L.; Schon, L.C. Periarticular Locking Plate vs Intramedullary Nail for Tibiotalocalcaneal Arthrodesis: A Biomechanical Investigation. Am. J. Orthop. 2011, 40, 78–83. [Google Scholar]
- Chiodo, C.P.; Acevedo, J.I.; Sammarco, V.J.; Parks, B.G.; Boucher, H.R.; Myerson, M.S.; Schon, L.C. Intramedullary Rod Fixation Compared with Blade-Plate-And-Screw Fixation for Tibiotalocalcaneal Arthrodesis. J. Bone Jt. Surg. 2003, 85, 2425–2428. [Google Scholar] [CrossRef]
- Hsu, A.R.; Szatkowski, J.P. Early Tibiotalocalcaneal Arthrodesis Intramedullary Nail for Treatment of a Complex Tibial Pilon Fracture (AO/OTA 43-C). Foot Ankle Spéc. 2014, 8, 220–225. [Google Scholar] [CrossRef]
- Morris, H.D.; Hand, W.L.; Dunn, A.W. The Modified Blair Fusion for Fractures of the Talus. J. Bone Jt. Surg. 1971, 53, 1289–1297. [Google Scholar] [CrossRef]
- Bosse, M.J.; MacKenzie, E.J.; Kellam, J.F.; Burgess, A.R.; Webb, L.X.; Swiontkowski, M.F.; Sanders, R.W.; Jones, A.L.; McAndrew, M.P.; Patterson, B.M.; et al. An Analysis of Outcomes of Reconstruction or Amputation after Leg-Threatening Injuries. N. Engl. J. Med. 2002, 347, 1924–1931. [Google Scholar] [CrossRef]
- Bennett, P.M.; Stevenson, T.; Sargeant, I.D.; Mountain, A.; Penn-Barwell, J.G. Outcomes Following Limb Salvage after Combat Hindfoot Injury are Inferior to Delayed Amputation at Five Years. Bone Jt. Res. 2018, 7, 131–138. [Google Scholar] [CrossRef]






Disclaimer/Publisher’s Note: The statements, opinions and data contained in all publications are solely those of the individual author(s) and contributor(s) and not of MDPI and/or the editor(s). MDPI and/or the editor(s) disclaim responsibility for any injury to people or property resulting from any ideas, methods, instructions or products referred to in the content. |
© 2025 by the authors. Licensee MDPI, Basel, Switzerland. This article is an open access article distributed under the terms and conditions of the Creative Commons Attribution (CC BY) license (https://creativecommons.org/licenses/by/4.0/).
Share and Cite
Luther, L.; Moore III, R.S.; Darbha, S.; Gallagher, B.; Stinner, D.J. Management Strategies for Failed Pilon Fractures: A Personalized Approach to Revision Reconstruction. J. Pers. Med. 2025, 15, 602. https://doi.org/10.3390/jpm15120602
Luther L, Moore III RS, Darbha S, Gallagher B, Stinner DJ. Management Strategies for Failed Pilon Fractures: A Personalized Approach to Revision Reconstruction. Journal of Personalized Medicine. 2025; 15(12):602. https://doi.org/10.3390/jpm15120602
Chicago/Turabian StyleLuther, Lauren, Richard S. Moore III, Sriranjani Darbha, Bethany Gallagher, and Daniel J. Stinner. 2025. "Management Strategies for Failed Pilon Fractures: A Personalized Approach to Revision Reconstruction" Journal of Personalized Medicine 15, no. 12: 602. https://doi.org/10.3390/jpm15120602
APA StyleLuther, L., Moore III, R. S., Darbha, S., Gallagher, B., & Stinner, D. J. (2025). Management Strategies for Failed Pilon Fractures: A Personalized Approach to Revision Reconstruction. Journal of Personalized Medicine, 15(12), 602. https://doi.org/10.3390/jpm15120602

