Sign in to use this feature.

Years

Between: -

Subjects

remove_circle_outline
remove_circle_outline
remove_circle_outline
remove_circle_outline
remove_circle_outline

Journals

Article Types

Countries / Regions

Search Results (42)

Search Parameters:
Keywords = post-traumatic arthritis

Order results
Result details
Results per page
Select all
Export citation of selected articles as:
14 pages, 913 KB  
Review
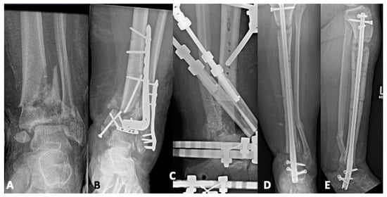
Management Strategies for Failed Pilon Fractures: A Personalized Approach to Revision Reconstruction
by Lauren Luther, Richard S. Moore III, Sriranjani Darbha, Bethany Gallagher and Daniel J. Stinner
J. Pers. Med. 2025, 15(12), 602; https://doi.org/10.3390/jpm15120602 - 5 Dec 2025
Abstract
Despite advances in staged protocols and fixation techniques, treatment of pilon fractures remains a significant challenge in orthopedic trauma, with up to 21% of patients requiring revision surgery. Management of a pilon fracture that has failed initial treatment involves navigating a myriad of [...] Read more.
Despite advances in staged protocols and fixation techniques, treatment of pilon fractures remains a significant challenge in orthopedic trauma, with up to 21% of patients requiring revision surgery. Management of a pilon fracture that has failed initial treatment involves navigating a myriad of complicating variables, including infection, bone loss, malalignment, and nonunion. Although no single surgical approach can be aptly applied to the broad range of pathology and severity spanned by these patients, this narrative review provides a systematic framework for developing a revision pilon reconstruction plan. We present a protocol for pre-operative assessment and review current techniques for infection eradication, bone defect management, deformity correction, and joint-preserving versus joint-sparing surgery. These fundamental strategies form the foundation of a successful salvage plan and can be personalized to address specific fracture morphology, host factors, and goals of care. Full article
(This article belongs to the Special Issue Orthopedic Diseases: Advances in Limb Reconstruction)
Show Figures

Figure 1

13 pages, 1591 KB  
Article
Comparative Outcomes of Single- Versus Dual-Incision Approaches for Open Reduction and Internal Fixation of Complex Tibial Plateau Fractures
by Efstratios D. Athanaselis, Theodoros Mylonas, Alexandros Koskiniotis, Alexandros A. Saridis, George Komnos, Nikolaos Stefanou, Michael Hantes, Theofilos Karachalios and Sokratis Varitimidis
J. Clin. Med. 2025, 14(23), 8281; https://doi.org/10.3390/jcm14238281 - 21 Nov 2025
Viewed by 221
Abstract
Background/Objectives: Open reduction and internal fixation with plates and screws is the treatment of choice for bicondylar tibial plateau fractures. The use of a surgical approach remains a topic of debate regarding the site and number of incisions that ensure best access [...] Read more.
Background/Objectives: Open reduction and internal fixation with plates and screws is the treatment of choice for bicondylar tibial plateau fractures. The use of a surgical approach remains a topic of debate regarding the site and number of incisions that ensure best access for reduction with minimum additional soft tissue damage. This retrospective cohort study compared clinical, radiological, and functional outcomes of single- (anterior) versus dual-incision (anterolateral and medial) approaches that are widely used in the operative treatment of Schatzker V–VI tibial plateau fractures. Methods: Eighty-two patients treated between 2005 and 2020 were retrospectively analyzed. Fifty-two underwent a single-incision (SI) approach and 30 a dual-incision (DI) approach. Operative parameters, complications, reduction quality, Knee Society Score (KSS), Oxford Knee Score (OKS), and post-traumatic arthritis incidence were assessed. Results: Mean patient age was 50.6 years, with a mean follow-up of 8.5 years. Operative time was shorter in the SI group, though fluoroscopy time was longer. No significant difference was observed in reduction quality or wound complications. Post-traumatic arthritis occurred in 57.6% of SI and 53.3% of DI patients, with severe arthritis more frequent in SI (30% vs. 12.5%, p < 0.05). Seven patients required conversion to total knee arthroplasty (five SI, two DI). Functional recovery was similar: mean KSS 68.6% (SI) vs. 70.5% (DI) and OKS 36.1 vs. 40.8 (p > 0.05) at 5 years. Conclusions: Both single- and dual-incision approaches for complex tibial plateau fractures provide satisfactory long-term outcomes. While differences in complications and arthritis rates were minor, surgical choice should be guided by the fracture morphology, patient characteristics, and surgeon’s experience to balance reduction quality with soft tissue preservation. Full article
(This article belongs to the Special Issue Trauma Surgery: Strategies, Challenges and Vision of the Future)
Show Figures

Figure 1

26 pages, 7445 KB  
Article
Amelioration of Post-traumatic Osteoarthritis by Iontophoretic Liposomal Strontium Ranelate Collaborated with Low-Intensity Pulsed Ultrasound in Rats
by Chung-Hwan Chen, Syu-Lun Lin, Shyh Ming Kuo, Jyh-Mirn Lai, Wen-Ling Shih, Po-Chih Shen, Yi-Wen Kuo and Han Hsiang Huang
Int. J. Mol. Sci. 2025, 26(18), 8815; https://doi.org/10.3390/ijms26188815 - 10 Sep 2025
Viewed by 538
Abstract
Osteoarthritis (OA), the most common form of arthritis, affects the whole synovial joint. Post-traumatic osteoarthritis (PTOA) is an important subtype of OA which develops after joint injury. The anti-PTOA effects of iontophoretic liposome-encapsulated strontium ranelate (L-SR) combined with low-intensity pulsed ultrasound (LIPUS) were [...] Read more.
Osteoarthritis (OA), the most common form of arthritis, affects the whole synovial joint. Post-traumatic osteoarthritis (PTOA) is an important subtype of OA which develops after joint injury. The anti-PTOA effects of iontophoretic liposome-encapsulated strontium ranelate (L-SR) combined with low-intensity pulsed ultrasound (LIPUS) were examined by a culture of human OA chondrocytes (HOACs) in alginate beads and verified on an anterior cruciate ligament transection PTOA rat model. The aim of this study is to evaluate and establish an anti-PTOA therapy combined with L-SR, transdermal iontophoresis, and LIPUS. Treatment with 10−4 M L-SR with LIPUS-enhanced type II collagen and glycosaminoglycans (GAGs) as L-SR with LIPUS reduced the MMP-13, IL-1β, and TNF-α in HOACs. Iontophoretic L-SR at 15 mg with LIPUS increased the weight bearing, exercise endurance, GAG density, and type II collagen intensity, while L-SR with or without LIPUS further decreased MMP13 and proinflammatory cytokines in vivo. The RBC, WBC, and serum biochemistry values were not significantly affected by the treatments. Liposome encapsulation and iontophoresis reinforce the anti-PTOA effects of SR and the addictive LIPUS further improves weight-bearing and endurance performance in the rats with PTOA. Thus, iontophoretic L-SR with LIPUS could be a potential therapy for PTOA. Full article
(This article belongs to the Section Molecular Pathology, Diagnostics, and Therapeutics)
Show Figures

Figure 1

12 pages, 451 KB  
Article
Medical Post-Traumatic Stress Disorder Symptoms in Children and Adolescents with Chronic Inflammatory Arthritis: Prevalence and Associated Factors
by Leah Medrano, Brenda Bursch, Jennifer E. Weiss, Nicholas Jackson, Deborah McCurdy and Alice Hoftman
Children 2025, 12(8), 1004; https://doi.org/10.3390/children12081004 - 30 Jul 2025
Viewed by 797
Abstract
Background: Youth with chronic rheumatologic diseases undergo medical experiences that can lead to post-traumatic stress disorder (PTSD). Understudied in pediatric rheumatology, medical PTSD can be significantly distressing and impairing. Objective: This study explored the prevalence of medical PTSD symptoms in youth with chronic [...] Read more.
Background: Youth with chronic rheumatologic diseases undergo medical experiences that can lead to post-traumatic stress disorder (PTSD). Understudied in pediatric rheumatology, medical PTSD can be significantly distressing and impairing. Objective: This study explored the prevalence of medical PTSD symptoms in youth with chronic inflammatory arthritis and associated factors, including pain, disease activity, mental health history, and anxiety sensitivity. Methods: A cross-sectional study of 50 youth (ages 8–18) with juvenile idiopathic arthritis (JIA) and childhood-onset systemic lupus erythematous (cSLE) was conducted at a pediatric rheumatology clinic. Participants completed self-report measures assessing post-traumatic stress symptoms (CPSS-V), pain, anxiety sensitivity (CASI), pain-related self-efficacy (CSES), adverse childhood experiences (ACEs), and fibromyalgia symptoms (PSAT). Clinical data included diagnoses, disease activity, treatment history, and demographics. Results: Forty percent had trauma symptoms in the moderate or more severe range. The 14% likely meeting criteria for probable medical PTSD were older (median 17 vs. 15 years, p = 0.005), had higher pain scores (median 4 vs. 3, p = 0.008), more ACEs (median 3 vs. 1, p = 0.005), higher anxiety sensitivity scores (median 39 vs. 29, p = 0.008), and higher JIA disease activity scores (median cJADAS-10 11.5 vs. 7.5, p = 0.032). They were also more likely to report a history of depression (71 vs. 23%, p = 0.020). No associations were found with hospitalization or injected/IV medication use. Conclusions: Medical trauma symptoms are prevalent in youth with chronic inflammatory arthritis. Probable PTSD was associated with pain and psychological distress. These findings support the need for trauma-informed care in pediatric rheumatology. Full article
Show Figures

Figure 1

12 pages, 2786 KB  
Article
Congruent-Arc Latarjet Using Subscapularis Split Approach in the Treatment of Anterior Shoulder Instability with Significant Bone Loss: A Case Series
by Ahmed Farid Mekky, Chiara Fossati, Alessandra Menon, Paolo Fici, Pietro Simone Randelli and Tarek Aly
Healthcare 2025, 13(14), 1768; https://doi.org/10.3390/healthcare13141768 - 21 Jul 2025
Cited by 1 | Viewed by 851
Abstract
Background: Recurrent anterior shoulder instability is a common problem and may be associated with glenoid bone defects. Surgical procedures, including Latarjet, are the usual treatment for anterior shoulder instability, associated with significant glenoid bone defects. The aim of this study was to evaluate [...] Read more.
Background: Recurrent anterior shoulder instability is a common problem and may be associated with glenoid bone defects. Surgical procedures, including Latarjet, are the usual treatment for anterior shoulder instability, associated with significant glenoid bone defects. The aim of this study was to evaluate the clinical outcome and glenohumeral arthritis progression in patients with recurrent anterior shoulder instability and significant bone loss treated by a modified Latarjet procedure. Methods: From July 2018 to November 2021, a prospective observational case series was carried out on 21 patients with recurrent anterior shoulder instability associated with significant bone defects treated by a modified Latarjet procedure in which the coracoid process was rotated 90° on its longitudinal axis and the subscapularis muscle was horizontally split. Patients with a glenoid defect of more than 21% were included. Post-operatively, the patients were clinically assessed using modified Rowe scoring. Glenohumeral arthritis, graft position, union, and resorption were radiologically evaluated. Results: The mean age at the time of surgery was 28.52 ± 8.0 (range: 19–45) years. The mean number of dislocations was 18.33 ± 8.67 (range: 6–35) times. The mean glenoid defect size was 26.19 ± 4.85 (range: 21–37) % and Hill–Sachs lesions were off-track in 19 cases. The mean follow-up period was 30.67 ± 7.53 (range: 16–40) months. Eighteen patients (85.7%) showed good to excellent results. The mean modified Rowe score was 85.00 ± 18.77 (range: 30–100) points. The mean external rotation loss was 8.09 ± 5.11° (range: 0–20°). No cases of recurrent instability were observed, and there was no progression of glenohumeral arthritis. Conclusions: The modified Latarjet is an effective and reliable surgical option to treat traumatic anterior shoulder instability with significant bone loss. Most of the reported complications associated with this procedure did not affect the functional outcome. Full article
(This article belongs to the Special Issue Sports Trauma: From Prevention to Surgery and Return to Sport)
Show Figures

Figure 1

16 pages, 4039 KB  
Review
Management of Acetabular Fractures with Total Hip Replacement: A Narrative Literature Review
by Domenico Tigani, Luigigiuseppe Lamattina, Andrea Assenza, Giuseppe Melucci, Alex Pizzo and Cesare Donadono
J. Pers. Med. 2025, 15(7), 282; https://doi.org/10.3390/jpm15070282 - 1 Jul 2025
Viewed by 2553
Abstract
Open reduction and internal fixation (ORIF) is widely regarded as the primary treatment for acetabular fractures, but limitations arise in complex cases, leading to non-anatomical reductions and increased risk of post-traumatic osteoarthritis. Given the high incidence of secondary arthritis (12–57%) following ORIF, total [...] Read more.
Open reduction and internal fixation (ORIF) is widely regarded as the primary treatment for acetabular fractures, but limitations arise in complex cases, leading to non-anatomical reductions and increased risk of post-traumatic osteoarthritis. Given the high incidence of secondary arthritis (12–57%) following ORIF, total hip arthroplasty (THA) is often necessitated, particularly in scenarios unsuitable for ORIF, such as extensive comminution or combined femoral head and neck fractures. The surgical landscape has shifted from a traditional “fix or replace” to a more integrated “fix and replace” approach, especially beneficial in managing elderly patients with osteoporotic bones. THA is applied across various timelines, including acute (0–3 weeks), delayed (3 weeks to 3 months), and late (beyond 3 months), each presenting distinct challenges and requiring specific strategies to optimize outcomes. The importance of precise bone defect classifications and the role of dual mobility cups in reducing dislocation risks are highlighted, alongside the use of modern surgical and fixation techniques to improve stability and patient outcomes. Enhanced recovery protocols and meticulous postoperative management are critical to addressing complications, such as infections and hardware interference, tailoring treatment approaches to each patient’s needs, and advancing care for complex acetabular fractures. Full article
(This article belongs to the Special Issue Orthopedic Trauma: New Perspectives and Innovative Techniques)
Show Figures

Figure 1

9 pages, 395 KB  
Case Report
Diagnostic and Treatment Challenges in the Clinical Curing of MRSA Coxitis in a Tetraplegic Immunocompromised Patient: A Case Report and Literature Review
by Egle Burbaite, Julija Lebedeva, Donatas Senkanec, Meida Rimkeviciene and Danguole Vaznaisiene
J. Clin. Med. 2025, 14(11), 3887; https://doi.org/10.3390/jcm14113887 - 1 Jun 2025
Viewed by 1116
Abstract
Background/Objective: Coxitis is an inflammation of the hip joint, often resulting in pain and functional decline. It can be caused by various factors, including avascular necrosis, trauma, and infection. Methicillin-resistant Staphylococcus aureus (MRSA) poses a serious threat due to its resistance profile and [...] Read more.
Background/Objective: Coxitis is an inflammation of the hip joint, often resulting in pain and functional decline. It can be caused by various factors, including avascular necrosis, trauma, and infection. Methicillin-resistant Staphylococcus aureus (MRSA) poses a serious threat due to its resistance profile and destructive potential. To the best of our knowledge, there are limited studies on MRSA-induced purulent coxitis, specifically in patients with human immunodeficiency virus (HIV) and tetraplegia, making this case particularly valuable for expanding the understanding of this rare and complicated condition. The aim is to describe the clinical presentation, diagnostic workup, antimicrobial management, surgical intervention, and follow-up of a patient with an atypical hip joint infection. A brief literature review is also provided. Case Report: We report a case of suppurative coxitis caused by MRSA in a 38-year-old man with HIV disease and post-traumatic tetraplegia, which posed significant diagnostic and therapeutic challenges. The patient was diagnosed with MRSA bacteremia and suppurative coxitis after extensive work-up. Synovial fluid cultures were negative, likely due to previous antibiotic use. Targeted antimicrobial therapy was initiated based on blood culture and susceptibility testing. Surgical debridement and femoral head resection were performed. The patient showed progressive clinical and biochemical improvement with combined antimicrobial and surgical therapy. Conclusions: This case highlights the difficulty in diagnosing septic arthritis in patients with neurological disorders and immunosuppression, especially in the absence of classic symptoms. It emphasizes the importance of multidisciplinary care and early imaging in patients with persistent fever and unclear source of infection. Full article
(This article belongs to the Section Orthopedics)
Show Figures

Figure 1

10 pages, 2258 KB  
Article
Venous Malformations as a Rare Cause of Knee Joint Pain in Children and Young Adults: Clinical and Radiological Manifestations
by Adam Dobek, Marcin Strzelczyk, Ludomir Stefańczyk, Dobromiła Barańska, Jan Sokal and Przemysław Przewratil
Children 2025, 12(4), 514; https://doi.org/10.3390/children12040514 - 16 Apr 2025
Viewed by 1565
Abstract
Background: Venous malformations (VMs) are congenital vascular abnormalities characterized by tortuosity, slow blood flow, and gradual growth. Intra-articular venous malformations (IAVMs) of the knee are rare and often present with symptoms similar to juvenile idiopathic arthritis (JIA) or late sequelae of trauma. [...] Read more.
Background: Venous malformations (VMs) are congenital vascular abnormalities characterized by tortuosity, slow blood flow, and gradual growth. Intra-articular venous malformations (IAVMs) of the knee are rare and often present with symptoms similar to juvenile idiopathic arthritis (JIA) or late sequelae of trauma. VM in children is commonly misdiagnosed as hemangioma. This study aims to analyze the clinical and MRI features of IAVM in the knee joint. Methods: This retrospective study analyzed patients from a reference unit for the treatment of vascular malformations in the Pediatric Surgery Department. The group was collected starting from the year 2014 until the 100th patient was identified in the year 2018, all with MRI-confirmed VM based on a predefined protocol. From this group, 19 patients with lower limb symptoms were identified, and 9 patients with VM involving the knee joint were selected for further analysis. Results: The most common symptoms in IAVM patients were pain and swelling, chronic in five (55%) and intermittent in four (45%). Four (45%) reported worsening pain during or after physical activity. A history of intra-articular bleeding was noted in five (55%), leading to mild knee contracture (10° reduction in extension) and decreased mobility. Limb deformities were observed in eight (89%). Diffuse VMs, affecting both intra- and extra-articular tissues, were present in eight (89%), involving the thigh in seven (78%), crus in five (56%), gluteal muscles in three (33%), and foot tissues in one (11%). The suprapatellar recess and Hoffa’s fat pad were involved in all patients (100%). Conclusions: IAVMs are rare causes of knee dysfunction in children and young adults, particularly in cases of unexplained pain, swelling, or instability. They should be considered in the differential diagnosis of hemophilic arthropathy, JIA, or late post-traumatic sequelae. Untreated IAVMs can lead to intra-articular bleeding, cartilage degeneration, and disability. Early diagnosis via MRI and ultrasound is crucial to identifying IAVMs and preventing joint degeneration. Timely treatment helps avoid further damage and long-term disability. Full article
(This article belongs to the Section Pediatric Surgery)
Show Figures

Figure 1

11 pages, 578 KB  
Review
Radiological and Clinical Outcome Differences Between Standard and Short Stem in Reverse Total Shoulder Arthroplasty: A Systematic Review
by Mauro Ciuffreda, Antongiulio Lentini, Giuseppe Francesco Papalia, Domenico Grasso, Pierangelo Za, Rocco Papalia and Giacomo Rizzello
Med. Sci. 2025, 13(1), 16; https://doi.org/10.3390/medsci13010016 - 9 Feb 2025
Cited by 1 | Viewed by 2628
Abstract
Background: In recent years, the use of short cementless humeral components in reverse total shoulder arthroplasty (RTSA) has increased. This systematic review aimed to compare the radiological and clinical outcomes of uncemented RTSA using short versus standard humeral stems and assess the impact [...] Read more.
Background: In recent years, the use of short cementless humeral components in reverse total shoulder arthroplasty (RTSA) has increased. This systematic review aimed to compare the radiological and clinical outcomes of uncemented RTSA using short versus standard humeral stems and assess the impact of these radiological changes on clinical outcomes. Methods: A systematic electronic search was performed by two independent reviewers using PubMed, Scopus, and Cochrane Library databases on 10 December 2024. Inclusion criteria involved studies that assessed the radiological and clinical outcomes and overall complication rates of cementless RTSA with short or standard stems in patients with osteoarthritis, cuff tear arthropathy, post-traumatic, and rheumatoid arthritis with a follow-up of at least 1 year. The following data were extracted: radiological parameters of stems including implant subsidence, humeral loosening, and humeral osteolysis and clinical outcomes as Visual Analog Scale pain, American Shoulder and Elbow Surgeons score, Constant Score and Single Assessment Numeric Evaluation score. Results: A total of 13 studies including 1485 shoulders in 1460 patients were analyzed with a median age at surgery of 74.5 years. The short stem group recorded worse radiological outcomes examined such as humeral loosening, lucencies around the implants, and osteolysis. No significant differences were observed in the clinical outcomes and overall complications between the two types of stems. Conclusions: Both short and standard stems are valid options in cementless RTSA. Minimal differences in radiological outcomes were found in favor of RTSA implanted with short stems, while postoperative clinical outcomes were similar between the two types of implants. Full article
Show Figures

Figure 1

16 pages, 705 KB  
Review
Pantalar Intact Dislocation: A Systematic Review
by Eleonora Dell’Agli, Marco Sapienza, Mirko Domenico Castiglione, Maria Agata Musumeci, Sebiano Pitronaci, Andrea Sodano, Vito Pavone and Gianluca Testa
J. Funct. Morphol. Kinesiol. 2025, 10(1), 55; https://doi.org/10.3390/jfmk10010055 - 3 Feb 2025
Viewed by 1243
Abstract
Background: This scoping review analyzes the available literature on pure total talar dislocation, focusing on its epidemiology, clinical presentation, imaging techniques, surgical options, rehabilitation protocols, and complications. Methods: Following the PRISMA-ScR guidelines, a comprehensive search was conducted across the PubMed, Web of Science, [...] Read more.
Background: This scoping review analyzes the available literature on pure total talar dislocation, focusing on its epidemiology, clinical presentation, imaging techniques, surgical options, rehabilitation protocols, and complications. Methods: Following the PRISMA-ScR guidelines, a comprehensive search was conducted across the PubMed, Web of Science, and Scopus databases. The search yielded 185 articles, of which 30 satisfied the inclusion criteria and focused on pure total talar dislocation without fractures. Data from each study were extracted, including patient demographics, injury characteristics, treatment methods, and outcomes. Results: The studies included case reports, case series, and reviews. Despite the heterogeneity of the studies, the key findings suggest that early reduction, careful wound management, and soft tissue preservation are crucial in minimizing complications such as avascular necrosis (AVN), post-traumatic arthritis, and infection. The long-term outcomes varied, and the risk of AVN remained high, particularly in cases with compromised blood supply to the talus. Conclusions: Pure total talar dislocation is a rare and challenging condition with no established management protocol. While talar reimplantation and joint fixation offer promising outcomes in preserving function, the risk of complications, particularly AVN, remains significant. Additional research is necessary to standardize treatment protocols and improve clinical outcomes for this rare but severe injury. Full article
(This article belongs to the Section Functional Anatomy and Musculoskeletal System)
Show Figures

Figure 1

17 pages, 2814 KB  
Article
A Safety and Efficacy Study of a Synthetic Biolubricant in an Equine Model of Post-Traumatic Osteoarthritis
by Lauren K. Luedke, Kathryn A. Seabaugh, Benjamin G. Cooper, Brian D. Snyder, Markus A. Wimmer, C. Wayne McIlwraith, Myra F. Barrett, Christopher E. Kawcak, Mark W. Grinstaff and Laurie R. Goodrich
Animals 2025, 15(3), 404; https://doi.org/10.3390/ani15030404 - 1 Feb 2025
Viewed by 1555
Abstract
Post-traumatic osteoarthritis (PTOA) is a common cause of lameness in the horse. There is no cure, therefore treatments are aimed at reducing pain and improving the joint environment by modifying inflammatory pathways or by viscosupplementation. Here, we report the safety and efficacy of [...] Read more.
Post-traumatic osteoarthritis (PTOA) is a common cause of lameness in the horse. There is no cure, therefore treatments are aimed at reducing pain and improving the joint environment by modifying inflammatory pathways or by viscosupplementation. Here, we report the safety and efficacy of the biolubricant (poly(2-methacryloyloxyethyl phosphorylcholine; pMPC) to mitigate the physical, gross, histological, and biochemical effects of arthritis. We created an osteochondral fragment in the middle carpal joint of one limb in 16 horses to induce PTOA; the contralateral limb served as a sham-operated joint. Two weeks postoperative, half (n = 8) of the horses received a single injection of pMPC in the PTOA joint, while the other half received saline. All sham-operated joints (n = 16) received saline. We conducted clinical evaluations weekly while synovial fluid biomarkers were measured biweekly during the 70-day study period. Subsequently, we performed postmortem gross and histologic analyses. Horses in which PTOA joints were treated with pMPC exhibited mild increases in clinical data, including lameness, effusion, and flexion scores. Similarly, synovial cell count, total protein, and prostaglandin E2 values were higher for pMPC-treated joints. Radiographic changes included significantly higher osteophyte scores in pMPC-treated joints at the terminal timepoint. The biolubricant may demonstrate some chondroprotective effects with lower total erosion scores and higher cartilage glycosaminoglycan content. In summary, when pMPC is administered to PTOA joints, the biolubricant induces a mild inflammatory response but may offer some chondroprotective effects in horses. Full article
(This article belongs to the Special Issue Recent Advances in Equine Surgery and Sports Medicine)
Show Figures

Figure 1

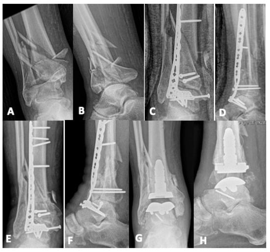
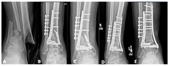
10 pages, 203 KB  
Article
The Impact of Fibular Fixation Method on Pilon Fracture Healing
by Anthony Perugini, Scott Hyland, James Iandoli, Zachary Hill, John Peabody, Daniel DeGenova, Mallory Faherty and Benjamin Taylor
J. Clin. Med. 2025, 14(2), 358; https://doi.org/10.3390/jcm14020358 - 9 Jan 2025
Cited by 2 | Viewed by 1563
Abstract
Background: Pilon fractures are associated with high-energy injuries, and there is presently much debate as to optimal fixation strategies and timing of intervention. There is little evidence comparing the type of fibular fixation during pilon fracture fixation. The purpose of this study was [...] Read more.
Background: Pilon fractures are associated with high-energy injuries, and there is presently much debate as to optimal fixation strategies and timing of intervention. There is little evidence comparing the type of fibular fixation during pilon fracture fixation. The purpose of this study was to compare fibular fixation methods in complex pilon injuries as it relates to pilon union rates and development of post-traumatic arthritis. Methods: This was a retrospective review from an urban Level 1 trauma center from January 2009 to May 2019, including patients age ≥ 18 who sustained a pilon fracture with an associated fibula fracture. Patients were allocated into one of three groups based on fibular fracture treated with plating, intramedullary device, or no fixation. Radiographic analysis was performed postoperatively and at final follow up to evaluate for tibial or fibular nonunion, malunion, talocrural angle, and ankle Kellgren–Lawrence grade. Results: Of the 107 patients in this study, 42 underwent surgical fixation of their fibular fracture. There were no differences with respect to tibial or fibular union rates amongst the three groups. Furthermore, there were no differences in the presence of radiographic ankle arthritis at final follow up. However, Kellgren–Lawrence arthritis grading did appear to be a more severe grade in patients who did not undergo fibular fixation (p = 0.001). Conclusions: Fibular intramedullary fixation does not appear to influence tibial or fibular nonunion rates as compared to plating in complex pilon injuries. Full article
(This article belongs to the Special Issue Clinical Perspectives on Foot and Ankle Surgery)
7 pages, 1646 KB  
Case Report
Osteochondral Allograft Transplant in a Young Patient with a Traumatic Hip Fracture Dislocation: A Case Report
by Morgan Turnow, Trent Davis, Thomas Seebacher, Grant Chudik, Taylor Manes, Hunter Pharis, Daniel Degenova and Sanjay Mehta
Surg. Tech. Dev. 2024, 13(4), 402-408; https://doi.org/10.3390/std13040032 - 13 Dec 2024
Viewed by 1364
Abstract
Background: Femoral head fractures with osteochondral defects are rare injuries often resulting from traumatic hip dislocations. These injuries create a significant risk for post-traumatic osteoarthritis. Various surgical methods for repair have been utilized to restore these osteochondral defects, including mosaicplasty, autologous cartilage implantation, [...] Read more.
Background: Femoral head fractures with osteochondral defects are rare injuries often resulting from traumatic hip dislocations. These injuries create a significant risk for post-traumatic osteoarthritis. Various surgical methods for repair have been utilized to restore these osteochondral defects, including mosaicplasty, autologous cartilage implantation, osteochondral allograft transplant (OAT), and demineralized bone matrix (DBM). Methods: We present a case of a 21-year-old male who sustained a fracture-dislocation of the left femoral head with impaction of the weight-bearing surface due to a motor vehicle collision. Due to the patient’s relatively young age, OAT plugs from a fresh-frozen proximal humerus with DBM supplementation during fracture fragment fixation were chosen to reduce the likelihood of post-traumatic arthritis. Results: The patient regained subjective function and full strength on exam with no pain at 2 years postoperatively. Conclusions: We propose that a proximal humerus allograft is a suitable alternative in an urgent setting when a femoral head allograft is not available. Full article
Show Figures

Figure 1

15 pages, 2701 KB  
Review
When the Going Gets Tough: A Review of Total Hip Arthroplasty in Patients with Ipsilateral Above- and Below-Knee Amputation
by Alberto Di Martino, Enrico Capozzi, Matteo Brunello, Claudio D′Agostino, Laura Ramponi, Alessandro Panciera, Federico Ruta and Cesare Faldini
Medicina 2024, 60(9), 1551; https://doi.org/10.3390/medicina60091551 - 22 Sep 2024
Cited by 3 | Viewed by 4978
Abstract
Life expectancy and overall function of amputated patients have improved significantly over the last few decades; for this reason, amputees are more exposed to primary or secondary degenerative disease of the hip, requiring total hip arthroplasty (THA) surgery. However, during training, not all [...] Read more.
Life expectancy and overall function of amputated patients have improved significantly over the last few decades; for this reason, amputees are more exposed to primary or secondary degenerative disease of the hip, requiring total hip arthroplasty (THA) surgery. However, during training, not all the surgeons acquire adequate skills to manage these patients, and only a few studies and case reports describe technical pearls and outcomes of THA in patients with ipsilateral lower limb amputation, either above or below the knee. The objective of this narrative review is to present current evidence and surgical tips for performing THA in ipsilateral amputated patients, with a focus on the differences between patients with above- (AKA) and below-knee amputation (BKA). We reviewed manuscripts in major scientific databases, cross-referencing to retrieve adjunctive manuscripts, and summarized all relevant cases. We found 17 manuscripts, spanning 70 years of literature, collecting a total of 39 patients who underwent THA on an ipsilateral amputated limb: 13 AKA, 23 BKA, and 3 through-knee-amputation (TKA). The cohort primarily consists of patients with post-traumatic hip arthritis, often associated with sequelae such as fractures to other bones, soft tissue compromise and heterotopic calcifications. Managing with amputated patients requires careful planning, which includes the study of the residual bone, muscle anatomy, and the level of femoral amputation, as these factors present significant surgical challenges, especially in patients without a knee joint. In dealing with the post-traumatic and multi-comorbidity patients, rehabilitation goals should be considered prior to surgery and should drive the surgical strategy. We found that BKA patients typically have high functional demands, necessitating precise positioning of the components and an aggressive post-operative physiotherapy regimen to avoid unsatisfactory outcomes. AKA patients, on the other hand, often present with altered anatomy, and typically require more surgical instruments and expertise to achieve intraoperative dislocation of the hip joint. Full article
Show Figures

Figure 1

14 pages, 4742 KB  
Article
Radiological Landmarks for Joint Line Level in Challenging Total Ankle Arthroplasty
by Simone Ottavio Zielli, Antonio Mazzotti, Elena Artioli, Alberto Arceri, Federico Sgubbi, Laura Langone, Pejman Abdi and Cesare Faldini
J. Clin. Med. 2024, 13(15), 4451; https://doi.org/10.3390/jcm13154451 - 29 Jul 2024
Cited by 3 | Viewed by 1570
Abstract
Background: Although Total Ankle Arthroplasty (TAA) is primarily performed for post-traumatic ankle arthritis with joint disruption, anatomical landmarks for Joint Line (JL) level are typically preserved. However, severe Post-Traumatic Bone Loss (PTBL) or TAA revision may render some landmarks unidentifiable, challenging JL restoration. [...] Read more.
Background: Although Total Ankle Arthroplasty (TAA) is primarily performed for post-traumatic ankle arthritis with joint disruption, anatomical landmarks for Joint Line (JL) level are typically preserved. However, severe Post-Traumatic Bone Loss (PTBL) or TAA revision may render some landmarks unidentifiable, challenging JL restoration. Methods: Patients undergoing customized TAA for severe PTBL or revision were enrolled. Custom-made implants, based on 3D CT scans, were designed to address bone defects and provide adequate bone support. Evaluated parameters, measured on bilateral ankle weight-bearing radiographs taken preoperatively and 6–8 months postoperatively, included JL Height Ratio (JLHR) and the distances from JL to the Lateral Malleolus apex (LM-JL), the posterior colliculus of the Medial Malleolus (MM-JL), and the Gissane Calcaneal Sulcus (CS-JL). Reproducibility and variability were assessed, and comparisons were made between radiological parameters measured at TAA and those at the contralateral ankle. Results: Thirteen patients were included. Intra- and interobserver reliability demonstrated excellent values. The least variability was observed in the LM-JL distance. Statistically significant correlations were found between CS-JL and MM-JL distances in the operated limb and between the CS-JL of the operated limb and the contralateral ankle. While TAA parameters did not show statistically significant differences compared with the contralateral ankle, a trend toward proximalization of the JL was noted. Conclusions: This study demonstrated good reproducibility of the analyzed parameters for evaluating JL in TAA among patients with severe PTBL or undergoing revision surgery. However, these parameters cannot be deemed fully reliable. Given their potential weaknesses, it is crucial to identify more reproducible values, preferably ratios. Full article
(This article belongs to the Special Issue Ankle Osteoarthritis)
Show Figures

Figure 1

Back to TopTop