Future Perspectives on Radiomics in Acute Liver Injury and Liver Trauma
Abstract
1. Introduction
2. Methods
3. Results
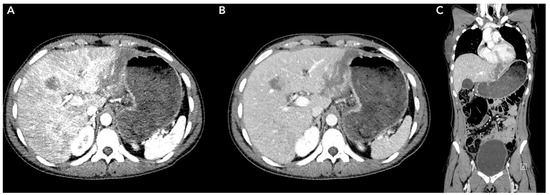
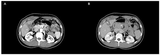
3.1. Automated Diagnosis of Liver Trauma
3.2. Sepsis-Induced Liver Injury
3.3. Drug-Induced Liver Injury
4. Discussion
5. Conclusions
Author Contributions
Funding
Institutional Review Board Statement
Informed Consent Statement
Data Availability Statement
Conflicts of Interest
References
- Koch, D.G.; Speiser, J.L.; Durkalski, V.; Fontana, R.J.; Davern, T.; McGuire, B.; Stravitz, R.T.; Larson, A.M.; Liou, I.; Fix, O.; et al. The Natural History of Severe Acute Liver Injury. Am. J. Gastroenterol. 2017, 112, 1389–1396. [Google Scholar] [CrossRef]
- Renzi, F.; Reitano, E.; Franca, D.; Chiara, O.; Cimbanassi, S. Trauma, alcohol and drugs misuse in car and motorcycle drivers: A prevalence study in a level one trauma center. Updates Surg. 2022, 74, 1129–1136. [Google Scholar] [CrossRef] [PubMed]
- Russo, M.W.; Galanko, J.A.; Shrestha, R.; Fried, M.W.; Watkins, P. Liver transplantation for acute liver failure from drug induced liver injury in the United States. Liver Transplant. 2004, 10, 1018–1023. [Google Scholar] [CrossRef] [PubMed]
- Reitano, E.; Bini, R.; Difino, M.; Chiara, O.; Cimbanassi, S. Nine year in-hospital mortality trends in a high-flow level one trauma center in Italy. Updates Surg. 2022, 74, 1445–1451. [Google Scholar] [CrossRef] [PubMed]
- Coccolini, F.; Coimbra, R.; Ordonez, C.; Kluger, Y.; Vega, F.; Moore, E.E.; Biffl, W.; Peitzman, A.; Horer, T.; Abu-Zidan, F.M.; et al. Liver trauma: WSES 2020 guidelines. World J. Emerg. Surg. 2020, 15, 24. [Google Scholar] [CrossRef] [PubMed]
- Özpek, A.; Yıldırak, M.K.; Ezberci, F. Hollow viscus injury due to blunt abdominal trauma: A tertiary trauma center experience. Ulus. Travma Acil Cerrahi Derg. 2024, 30, 123–128. (In English) [Google Scholar] [CrossRef] [PubMed]
- McGill, M.R.; Jaeschke, H. Biomarkers of drug-induced liver injury. Adv. Pharmacol. 2019, 85, 221–239. [Google Scholar] [CrossRef] [PubMed]
- Senior, J.R. Alanine aminotransferase: A clinical and regulatory tool for detecting liver injury-past, present, and future. Clin. Pharmacol. Ther. 2012, 92, 332–339. [Google Scholar] [CrossRef] [PubMed]
- Reitano, E.; Granieri, S.; Sammartano, F.; Cimbanassi, S.; Galati, M.; Gupta, S.; Vanzulli, A.; Chiara, O. Avoiding immediate whole-body trauma CT: A prospective observational study in stable trauma patients. Updates Surg. 2022, 74, 343–353. [Google Scholar] [CrossRef] [PubMed]
- van Vugt, R.; Kool, D.R.; Deunk, J.; Edwards, M.J. Effects on mortality, treatment, and time management as a result of routine use of total body computed tomography in blunt high-energy trauma patients. J. Trauma Acute Care Surg. 2012, 72, 553–559. [Google Scholar] [CrossRef]
- Jiang, L.; Ma, Y.; Jiang, S.; Ye, L.; Zheng, Z.; Xu, Y.; Zhang, M. Comparison of whole-body computed tomography vs selective radiological imaging on outcomes in major trauma patients: A meta-analysis. Scand. J. Trauma Resusc. Emerg. Med. 2014, 22, 54. [Google Scholar] [CrossRef]
- Rubin, G.D. Computed tomography: Revolutionizing the practice of medicine for 40 years. Radiology 2014, 273 (Suppl. S2), S45–S74. [Google Scholar] [CrossRef] [PubMed]
- Rocca, A.; Komici, K.; Brunese, M.C.; Pacella, G.; Avella, P.; Di Benedetto, C.; Caiazzo, C.; Zappia, M.; Brunese, L.; Vallone, G. Quantitative ultrasound (QUS) in the evaluation of liver steatosis: Data reliability in different respiratory phases and body positions. Radiol. Med. 2024, 129, 549–557. [Google Scholar] [CrossRef] [PubMed] [PubMed Central]
- Caputo, N.D.; Stahmer, C.; Lim, G.; Shah, K. Whole-body computed tomographic scanning leads to better survival as opposed to selective scanning in trauma patients: A systematic review and meta-analysis. J. Trauma Acute Care Surg. 2014, 77, 534–539. [Google Scholar] [CrossRef]
- Bagnato, C.; Ranzato, K.; Giarraca, A.; Restelli, P.; Saronni, S.; Gadda, G.; Chiara, O.; Cimbanassi, S. A prospective study comparing two methods of pre-hospital triage for trauma. Updates Surg. 2022, 74, 1739–1747. [Google Scholar] [CrossRef] [PubMed]
- James, M.K.; Clarke, L.A.; Simpson, R.M.; Noto, A.J.; Sclair, J.R.; Doughlin, G.K.; Lee, S.W. Accuracy of pre-hospital trauma notification calls. Am. J. Emerg. Med. 2019, 37, 620–626. [Google Scholar] [CrossRef]
- Lampi, M.; Junker, J.; Berggren, P.; Jonson, C.O.; Vikström, T. Pre-hospital triage performance after standardized trauma courses. Scand. J. Trauma Resusc. Emerg. Med. 2017, 25, 53. [Google Scholar] [CrossRef] [PubMed]
- Segalini, E.; Morello, A.; Leati, G.; Di Saverio, S.; Aseni, P. Primary angioembolization in liver trauma: Major hepatic necrosis as a severe complication of a minimally invasive treatment—A narrative review. Updates Surg. 2022, 74, 1511–1519. [Google Scholar] [CrossRef]
- Rouy, M.; Julien, C.; Hamouda, I.; Massalou, D.; Bege, T.; Leone, M.; Berdah, S.; Barbois, S.; Girard, E.; Arvieux, C.; et al. Predictive factors of non-operative management failure in 494 blunt liver injuries: A multicenter retrospective study. Updates Surg. 2022, 74, 1901–1913. [Google Scholar] [CrossRef]
- Cheng, C.T.; Lin, H.H.; Hsu, C.P.; Chen, H.W.; Huang, J.F.; Hsieh, C.H.; Fu, C.Y.; Chung, I.F.; Liao, C.H. Deep Learning for Automated Detection and Localization of Traumatic Abdominal Solid Organ Injuries on CT Scans. J. Imaging Inf. Med. 2024; Epub ahead of print. [Google Scholar] [CrossRef] [PubMed]
- Parenteau, C.S.; Ehrlich, P.; Ma, L.; Su, G.L.; Holcombe, S.; Wang, S.C. The quantification of liver anatomical changes and assessment of occupant liver injury patterns. SAE Tech. Pap. 2013, 57, 267–283. [Google Scholar] [CrossRef] [PubMed]
- Kirkpatrick, A.W.; Vis, C.; Dubé, M.; Biesbroek, S.; Ball, C.G.; Laberge, J.; Shultz, J.; Rea, K.; Sadler, D.; Holcomb, J.B.; et al. The evolution of a purpose designed hybrid trauma operating room from the trauma service perspective: The RAPTOR (Resuscitation with Angiography Percutaneous Treatments and Operative Resuscitations). Injury 2014, 45, 1413–1421. [Google Scholar] [CrossRef] [PubMed]
- Loftus, T.J.; Croft, C.A.; Rosenthal, M.D.; Mohr, A.M.; Efron, P.A.; Moore, F.A.; Upchurch, G.R., Jr.; Smith, R.S. Clinical Impact of a Dedicated Trauma Hybrid Operating Room. J. Am. Coll. Surg. 2021, 232, 560–570. [Google Scholar] [CrossRef]
- Jin, H.; Lu, L.; Liu, J.; Cui, M. A systematic review on the application of the hybrid operating room in surgery: Experiences and challenges. Updates Surg. 2022, 74, 403–415. [Google Scholar] [CrossRef] [PubMed]
- Balch, J.A.; Loftus, T.J.; Ruppert, M.M.; Rosenthal, M.D.; Mohr, A.M.; Efron, P.A.; Upchurch, G.R., Jr.; Smith, R.S. Retrospective value assessment of a dedicated, trauma hybrid operating room. J. Trauma Acute Care Surg. 2023, 94, 814–822. [Google Scholar] [CrossRef] [PubMed]
- Prichayudh, S.; Rajruangrabin, J.; Sriussadaporn, S.; Pak-Art, R.; Kritayakirana, K.; Samorn, P.; Narueponjirakul, N.; Uthaipaisanwong, A.; Aimsupanimitr, P.; Chaisiriprasert, P.; et al. Trauma Hybrid Operating Room (THOR) shortened procedure time in abdominopelvic trauma patients requiring surgery and interventional radiology procedures. Injury 2023, 54, 513–518. [Google Scholar] [CrossRef] [PubMed]
- Machado Lessa, C.L.; Branchini, G.; Moreira Delfino, I.; Ramos Voos, M.H.; Teixeira, C.; Hoher, J.A.; Nunes, F.B. Comparison of Sepsis-1, 2 and 3 for Predicting Mortality in Septic Patients of a Middle-Income Country: A Retrospective Observational Cohort Study. J. Intensive Care Med. 2024, 39, 349–357. [Google Scholar] [CrossRef] [PubMed]
- Croce, M.A.; Fabian, T.C.; Kudsk, K.A.; Baum, S.L.; Payne, L.W.; Mangiante, E.C.; Britt, L.G. AAST organ injury scale: Correlation of CT-graded liver injuries and operative findings. J. Trauma 1991, 31, 806–812. [Google Scholar] [CrossRef] [PubMed]
- Rocca, A.; Andolfi, E.; Zamboli, A.G.I.; Surfaro, G.; Tafuri, D.; Costa, G.; Frezza, B.; Scricciolo, M.; Amato, M.; Bianco, P.; et al. Management of Complications of First Instance of Hepatic Trauma in a Liver Surgery Unit: Portal Vein Ligation as a Conservative Therapeutic Strategy. Open Med. 2019, 14, 376–383. [Google Scholar] [CrossRef]
- Roberts, R.; Sheth, R.A. Hepatic trauma. Ann. Transl. Med. 2021, 9, 1195. [Google Scholar] [CrossRef]
- Campbell, B.R.; Rooney, A.S.; Krzyzaniak, A.; Lee, J.J.; Carroll, A.N.; Calvo, R.Y.; Peck, K.A.; Martin, M.J.; Bansal, V.; Sise, M.J.; et al. To the point: Utility of laparoscopy for operative management of stabbing abdominal trauma. Am. J. Surg. 2024; Epub ahead of print. [Google Scholar] [CrossRef] [PubMed]
- Leung-Tack, M.; Ong, E.G.P.; McGuirk, S. Interventional radiology and open surgery: An effective partnership for solid organ trauma. J. Pediatr. Surg. 2022, 57, 266–270. [Google Scholar] [CrossRef] [PubMed]
- Redmond, E.J.; Kiddoo, D.A.; Metcalfe, P.D. Contemporary management of pediatric high grade renal trauma: 10 year experience at a level 1 trauma centre. J. Pediatr. Urol. 2020, 16, 656.e1–656.e5. [Google Scholar] [CrossRef] [PubMed]
- Mahran, A.; Fernstrum, A.; Swindle, M.; Mishra, K.; Bukavina, L.; Raina, R.; Narayanamurthy, V.; Ross, J.; Woo, L. Impact of trauma center designation in pediatric renal trauma: National Trauma Data Bank analysis. J. Pediatr. Urol. 2020, 16, 658.e1–658.e9. [Google Scholar] [CrossRef] [PubMed]
- Jung, H.S.; Jeon, C.H.; Seo, S.H. Clinical Role of Interventional Radiology in Abdominal Solid Organ Trauma. J. Korean Soc. Radiol. 2023, 84, 824–834. [Google Scholar] [CrossRef] [PubMed]
- Lombardo, C.; Lopez-Ben, S.; Boggi, U.; Gutowski, P.; Hrbac, T.; Krska, L.; Marquez-Rivas, J.; Russello, D.; York, E.; Zacharias, M. Hemopatch® is effective and safe to use: Real-world data from a prospective European registry study. Updates Surg. 2022, 74, 1521–1531. [Google Scholar] [CrossRef] [PubMed]
- Ghasemi-Rad, M.; Shastri, R.; Amaresh, A.; Wynne, D.; Whigham, C. Trans-Arterial Balloon-Assisted Embolization of Traumatic Giant Hepatic Pseudoaneurysm with Thrombin. Vasc. Endovasc. Surg. 2023, 57, 764–767. [Google Scholar] [CrossRef] [PubMed]
- Huang, M.; Cai, S.; Su, J. The Pathogenesis of Sepsis and Potential Therapeutic Targets. Int. J. Mol. Sci. 2019, 20, 5376. [Google Scholar] [CrossRef]
- Strnad, P.; Tacke, F.; Koch, A.; Trautwein, C. Liver-guardian, modifier and target of sepsis. Nat. Rev. Gastroenterol. Hepatol. 2017, 14, 55–66. [Google Scholar] [CrossRef]
- Brunese, L.; Mercaldo, F.; Reginelli, A.; Santone, A. Formal methods for prostate cancer Gleason score and treatment prediction using radiomic biomarkers. Magn. Reson. Imaging 2020, 66, 165–175. [Google Scholar] [CrossRef] [PubMed]
- Nainamalai, V.; Prasad, P.J.R.; Pelanis, E.; Edwin, B.; Albregtsen, F.; Elle, O.J.; Kumar, R.P. Evaluation of clinical applicability of automated liver parenchyma segmentation of multi-center magnetic resonance images. Eur. J. Radiol. Open 2022, 9, 100448. [Google Scholar] [CrossRef]
- Alirr, O.I. Deep learning and level set approach for liver and tumor segmentation from CT scans. J. Appl. Clin. Med. Phys. 2020, 21, 200–209. [Google Scholar] [CrossRef] [PubMed]
- Vorontsov, E.; Cerny, M.; Régnier, P.; Di Jorio, L.; Pal, C.J.; Lapointe, R.; Vandenbroucke-Menu, F.; Turcotte, S.; Kadoury, S.; Tang, A. Deep Learning for Automated Segmentation of Liver Lesions at CT in Patients with Colorectal Cancer Liver Metastases. Radiol. Artif. Intell. 2019, 1, 180014. [Google Scholar] [CrossRef] [PubMed]
- Brunese, M.C.; Fantozzi, M.R.; Fusco, R.; De Muzio, F.; Gabelloni, M.; Danti, G.; Borgheresi, A.; Palumbo, P.; Bruno, F.; Gandolfo, N.; et al. Update on the Applications of Radiomics in Diagnosis, Staging, and Recurrence of Intrahepatic Cholangiocarcinoma. Diagnostics 2023, 13, 1488. [Google Scholar] [CrossRef] [PubMed]
- Rocca, A.; Brunese, M.C.; Santone, A.; Avella, P.; Bianco, P.; Scacchi, A.; Scaglione, M.; Bellifemine, F.; Danzi, R.; Varriano, G.; et al. Early Diagnosis of Liver Metastases from Colorectal Cancer through CT Radiomics and Formal Methods: A Pilot Study. J. Clin. Med. 2021, 11, 31. [Google Scholar] [CrossRef] [PubMed]
- Reginelli, A.; Vanzulli, A.; Sgrazzutti, C.; Caschera, L.; Serra, N.; Raucci, A.; Urraro, F.; Cappabianca, S. Vascular microinvasion from hepatocellular carcinoma: CT findings and pathologic correlation for the best therapeutic strategies. Med. Oncol. 2017, 34, 93. [Google Scholar] [CrossRef] [PubMed]
- Grassi, R.; Belfiore, M.P.; Montanelli, A.; Patelli, G.; Urraro, F.; Giacobbe, G.; Fusco, R.; Granata, V.; Petrillo, A.; Sacco, P.; et al. COVID-19 pneumonia: Computer-aided quantification of healthy lung parenchyma, emphysema, ground glass and consolidation on chest computed tomography (CT). Radiol. Med. 2021, 126, 553–560. [Google Scholar] [CrossRef] [PubMed] [PubMed Central]
- Kapetanou, E.; Malamas, S.; Leventis, D.; Karantanas, A.H.; Klontzas, M.E. Developing a Radiomics Atlas Dataset of normal Abdominal and Pelvic computed Tomography (RADAPT). J. Imaging Inf. Med. 2024; Epub ahead of print. [Google Scholar] [CrossRef] [PubMed]
- Yamada, A.; Kamagata, K.; Hirata, K.; Ito, R.; Nakaura, T.; Ueda, D.; Fujita, S.; Fushimi, Y.; Fujima, N.; Matsui, Y.; et al. Clinical applications of artificial intelligence in liver imaging. Radiol. Med. 2023, 128, 655–667. [Google Scholar] [CrossRef] [PubMed]
- Schlanger, D.; Graur, F.; Popa, C.; Moiș, E.; Al Hajjar, N. The role of artificial intelligence in pancreatic surgery: A systematic review. Updates Surg. 2022, 74, 417–429. [Google Scholar] [CrossRef]
- Boggi, U. Precision surgery. Updates Surg. 2023, 75, 3–5. [Google Scholar] [CrossRef] [PubMed]
- Granata, V.; Fusco, R.; De Muzio, F.; Cutolo, C.; Setola, S.V.; Grassi, R.; Grassi, F.; Ottaiano, A.; Nasti, G.; Tatangelo, F.; et al. Radiomics textural features by MR imaging to assess clinical outcomes following liver resection in colorectal liver metastases. Radiol. Med. 2022, 127, 461–470. [Google Scholar] [CrossRef] [PubMed]
- Brunese, L.; Brunese, M.C.; Carbone, M.; Ciccone, V.; Mercaldo, F.; Santone, A. Automatic PI-RADS assignment by means of formal methods. Radiol. Med. 2022, 127, 83–89. [Google Scholar] [CrossRef] [PubMed]
- Granata, V.; Fusco, R.; Setola, S.V.; Galdiero, R.; Maggialetti, N.; Silvestro, L.; De Bellis, M.; Di Girolamo, E.; Grazzini, G.; Chiti, G.; et al. Risk Assessment and Pancreatic Cancer: Diagnostic Management and Artificial Intelligence. Cancers 2023, 15, 351. [Google Scholar] [CrossRef] [PubMed]
- Laino, M.E.; Fiz, F.; Morandini, P.; Costa, G.; Maffia, F.; Giuffrida, M.; Pecorella, I.; Gionso, M.; Wheeler, D.R.; Cambiaghi, M.; et al. A virtual biopsy of liver parenchyma to predict the outcome of liver resection. Updates Surg. 2023, 75, 1519–1531. [Google Scholar] [CrossRef] [PubMed]
- Newhook, T.E.; Tsai, S.; Meric-Bernstam, F. Precision Oncology in Hepatopancreatobiliary Cancer Surgery. Surg. Oncol. Clin. N. Am. 2024, 33, 343–367. [Google Scholar] [CrossRef] [PubMed]
- Brunese, L.; Martinelli, F.; Mercaldo, F.; Santone, A. Machine learning for coronavirus COVID-19 detection from chest X-rays. Procedia Comput. Sci. 2020, 176, 2212–2221. [Google Scholar] [CrossRef] [PubMed]
- Mori, M.; Palumbo, D.; De Cobelli, F.; Fiorino, C. Does radiomics play a role in the diagnosis, staging and re-staging of gastroesophageal junction adenocarcinoma? Updates Surg. 2023, 75, 273–279. [Google Scholar] [CrossRef] [PubMed]
- Viganò, L.; Ammirabile, A.; Zwanenburg, A. Radiomics in liver surgery: Defining the path toward clinical application. Updates Surg. 2023, 75, 1387–1390. [Google Scholar] [CrossRef]
- Durso, A.M.; Paes, F.M.; Caban, K.; Danton, G.; Braga, T.A.; Sanchez, A.; Munera, F. Evaluation of penetrating abdominal and pelvic trauma. Eur. J. Radiol. 2020, 130, 109187. [Google Scholar] [CrossRef]
- Zeng, Y.; Yang, F.; Hu, X.; Zhu, F.; Chen, W.; Lin, W. Radiological predictive factors of transmural intestinal necrosis in acute mesenteric ischemia: Systematic review and meta-analysis. Eur. Radiol. 2023, 33, 2792–2799. [Google Scholar] [CrossRef] [PubMed]
- Charalambous, S.; Klontzas, M.E.; Kontopodis, N.; Ioannou, C.V.; Perisinakis, K.; Maris, T.G.; Damilakis, J.; Karantanas, A.; Tsetis, D. Radiomics and machine learning to predict aggressive type 2 endoleaks after endovascular aneurysm repair: A proof of concept. Acta Radiol. 2022, 63, 1293–1299. [Google Scholar] [CrossRef] [PubMed]
- Rezaeitaleshmahalleh, M.; Mu, N.; Lyu, Z.; Zhou, W.; Zhang, X.; Rasmussen, T.E.; McBane, R.D., 2nd; Jiang, J. Radiomic-based Textural Analysis of Intraluminal Thrombus in Aortic Abdominal Aneurysms: A Demonstration of Automated Workflow. J. Cardiovasc. Transl. Res. 2023, 16, 1123–1134. [Google Scholar] [CrossRef] [PubMed]
- Farzaneh, N.; Stein, E.B.; Soroushmehr, R.; Gryak, J.; Najarian, K. A deep learning framework for automated detection and quantitative assessment of liver trauma. BMC Med. Imaging 2022, 22, 39. [Google Scholar] [CrossRef] [PubMed]
- Huang, S.; Zhou, Z.; Qian, X.; Li, D.; Guo, W.; Dai, Y. Automated quantitative assessment of pediatric blunt hepatic trauma by deep learning-based CT volumetry. Eur. J. Med. Res. 2022, 27, 305. [Google Scholar] [CrossRef]
- Dreizin, D.; Chen, T.; Liang, Y.; Zhou, Y.; Paes, F.; Wang, Y.; Yuille, A.L.; Roth, P.; Champ, K.; Li, G.; et al. Added value of deep learning-based liver parenchymal CT volumetry for predicting major arterial injury after blunt hepatic trauma: A decision tree analysis. Abdom. Radiol. 2021, 46, 2556–2566. [Google Scholar] [CrossRef] [PubMed]
- Levy, B.E.; Castle, J.T.; Virodov, A.; Wilt, W.S.; Bumgardner, C.; Brim, T.; McAtee, E.; Schellenberg, M.; Inaba, K.; Warriner, Z. Artificial Intelligence Evaluation of Focused Assessment with Sonography in Trauma. J. Trauma Acute Care Surg. 2023, 95, 706–712. [Google Scholar] [CrossRef] [PubMed]
- Wang, H.; Bao, Q.; Cao, D.; Dong, S.; Wu, L. Characteristics of Computed Tomography Images for Patients with Acute Liver Injury Caused by Sepsis under Deep Learning Algorithm. Contrast Media Mol. Imaging 2022, 2022, 9322196. [Google Scholar] [CrossRef]
- Alessandrino, F.; Qin, L.; Cruz, G.; Sahu, S.; Rosenthal, M.H.; Meyerhardt, J.A.; Shinagare, A.B. 5-Fluorouracil induced liver toxicity in patients with colorectal cancer: Role of computed tomography texture analysis as a potential biomarker. Abdom. Radiol. 2019, 44, 3099–3106. [Google Scholar] [CrossRef]
- Tinkoff, G.; Esposito, T.J.; Reed, J.; Kilgo, P.; Fildes, J.; Pasquale, M.; Meredith, J.W. American Association for the Surgery of Trauma Organ Injury Scale I: Spleen, liver, and kidney, validation based on the National Trauma Data Bank. J. Am. Coll. Surg. 2008, 207, 646–655. [Google Scholar] [CrossRef]
- Kobashi, H.; Toshimori, J.; Yamamoto, K. Sepsis-associated liver injury: Incidence, classification and the clinical significance. Hepatol. Res. 2013, 43, 255–266. [Google Scholar] [CrossRef] [PubMed]
- Dong, V.; Nanchal, R.; Karvellas, C.J. Pathophysiology of Acute Liver Failure. Nutr. Clin. Pract. 2020, 35, 24–29. [Google Scholar] [CrossRef] [PubMed]
- Lelubre, C.; Vincent, J.L. Mechanisms and treatment of organ failure in sepsis. Nat. Rev. Nephrol. 2018, 14, 417–427. [Google Scholar] [CrossRef] [PubMed]
- Woźnica, E.A.; Inglot, M.; Woźnica, R.K.; Łysenko, L. Liver dysfunction in sepsis. Adv. Clin. Exp. Med. 2018, 27, 547–551. [Google Scholar] [CrossRef]
- Vall, A.; Sabnis, Y.; Shi, J.; Class, R.; Hochreiter, S.; Klambauer, G. The Promise of AI for DILI Prediction. Front. Artif. Intell. 2021, 4, 638410. [Google Scholar] [CrossRef]
- Williams, D.P.; Lazic, S.E.; Foster, A.J.; Semenova, E.; Morgan, P. Predicting Drug-Induced Liver Injury with Bayesian Machine Learning. Chem. Res. Toxicol. 2020, 33, 239–248. [Google Scholar] [CrossRef]
- Minerali, E.; Foil, D.H.; Zorn, K.M.; Lane, T.R.; Ekins, S. Comparing Machine Learning Algorithms for Predicting Drug-Induced Liver Injury (DILI). Mol. Pharm. 2020, 17, 2628–2637. [Google Scholar] [CrossRef] [PubMed]
- Costa, G.; Cavinato, L.; Masci, C.; Fiz, F.; Sollini, M.; Politi, L.S.; Chiti, A.; Balzarini, L.; Aghemo, A.; di Tommaso, L.; et al. Virtual Biopsy for Diagnosis of Chemotherapy-Associated Liver Injuries and Steatohepatitis: A Combined Radiomic and Clinical Model in Patients with Colorectal Liver Metastases. Cancers 2021, 13, 3077. [Google Scholar] [CrossRef]
- Asai, Y.; Ooi, H.; Sato, Y. Risk evaluation of carbapenem-induced liver injury based on machine learning analysis. J. Infect. Chemother. 2023, 29, 660–666. [Google Scholar] [CrossRef]
- Lai, N.H.; Shen, W.C.; Lee, C.N.; Chang, J.C.; Hsu, M.C.; Kuo, L.N.; Yu, M.C.; Chen, H.Y. Comparison of the predictive outcomes for anti-tuberculosis drug-induced hepatotoxicity by different machine learning techniques. Comput. Methods Programs Biomed. 2020, 188, 105307. [Google Scholar] [CrossRef]
- Puri, M. Automated Machine Learning Diagnostic Support System as a Computational Biomarker for Detecting Drug-Induced Liver Injury Patterns in Whole Slide Liver Pathology Images. Assay Drug Dev. Technol. 2020, 18, 1–10. [Google Scholar] [CrossRef] [PubMed]
- Wong, Y.C.; Wang, L.J.; Wu, C.H.; Chen, H.W.; Yuan, K.C.; Hsu, Y.P.; Lin, B.C.; Kang, S.C. Differences of liver CT perfusion of blunt trauma treated with therapeutic embolization and observation management. Sci. Rep. 2020, 10, 19612. [Google Scholar] [CrossRef] [PubMed]
- Yoon, W.; Jeong, Y.Y.; Kim, J.K.; Seo, J.J.; Lim, H.S.; Shin, S.S.; Kim, J.C.; Jeong, S.W.; Park, J.G.; Kang, H.K. CT in blunt liver trauma. Radiographics 2005, 25, 87–104. [Google Scholar] [CrossRef] [PubMed]
- Goodman, D.A.; Tiruchelvam, V.; Tabb, D.R.; Agarwal, N.; Rhoads, J.E., Jr. 3D CT reconstruction in the surgical management of hepatic injuries. Ann. R. Coll. Surg. Engl. 1995, 77, 7–11. [Google Scholar] [PubMed]
- Kozar, R.A.; Crandall, M.; Shanmuganathan, K.; Zarzaur, B.L.; Coburn, M.; Cribari, C.; Kaups, K.; Schuster, K.; Tominaga, G.T. Organ injury scaling 2018 update: Spleen, liver, and kidney. J. Trauma Acute Care Surg. 2018, 85, 1119–1122. [Google Scholar] [CrossRef] [PubMed]
- Homann, G.; Toschke, C.; Gassmann, P.; Vieth, V. Accuracy of the AAST organ injury scale for CT evaluation of traumatic liver and spleen injuries. Chin. J. Traumatol. 2014, 17, 25–30. [Google Scholar] [PubMed]
- Morell-Hofert, D.; Primavesi, F.; Fodor, M.; Gassner, E.; Kranebitter, V.; Braunwarth, E.; Haselbacher, M.; Nitsche, U.P.; Schmid, S.; Blauth, M.; et al. Validation of the revised 2018 AAST-OIS classification and the CT severity index for prediction of operative management and survival in patients with blunt spleen and liver injuries. Eur. Radiol. 2020, 30, 6570–6581. [Google Scholar] [CrossRef]
- Paydar, S.; Mahmoodi, M.; Jamshidi, M.; Niakan, H.; Keshavarz, M.; Moeenvaziri, N.; Ghorbaninejad, M.E.; Farrokhnia, F.; Izadi Fard, F.; Jaafari, Z.; et al. Perihepatic Packing versus Primary Surgical Repair in Patients with Blunt Liver Trauma; an 8-year Experience. Bull. Emerg. Trauma 2014, 2, 103–109. [Google Scholar] [PubMed]
- Schullian, P.; Weiss, H.; Klaus, A.; Widmann, G.; Kranewitter, C.; Mittermair, C.; Margreiter, R.; Bale, R. Laparoscopic liver packing to protect surrounding organs during thermal ablation. Minim. Invasive Ther. Allied Technol. 2014, 23, 294–301. [Google Scholar] [CrossRef]
- Küçükaslan, H.; Tayar, S.; Oğuz, Ş.; Topaloglu, S.; Geze Saatci, S.; Şenel, A.C.; Calik, A. The role of liver resection in the management of severe blunt liver trauma. Ulus. Travma Acil Cerrahi Derg. 2022, 29, 122–129. [Google Scholar] [CrossRef]
- Kaptanoglu, L.; Kurt, N.; Sikar, H.E. Current approach to liver traumas. Int. J. Surg. 2017, 39, 255–259. [Google Scholar] [CrossRef] [PubMed]
- Reginelli, A.; Mandato, Y.; Solazzo, A.; Berritto, D.; Iacobellis, F.; Grassi, R. Errors in the radiological evaluation of the alimentary tract: Part II. Semin. Ultrasound CT MRI 2012, 33, 308–317. [Google Scholar] [CrossRef] [PubMed]
- Pang, Q.; Zhou, S.; Liu, S.; Liu, H.; Lu, Z. Prognostic role of preoperative albumin-bilirubin score in posthepatectomy liver failure and mortality: A systematic review and meta-analysis. Updates Surg. 2022, 74, 821–831. [Google Scholar] [CrossRef] [PubMed]
- Gerardo, R.G.; Ponsky, T.A. Diagnostic Laparoscopy for Abdominal Trauma in Infants and Children: How We Do It. J. Laparoendosc. Adv. Surg. Tech. A 2021, 31, 1224–1226. [Google Scholar] [CrossRef] [PubMed]
- Ceccarelli, G.; Pasculli, A.; Bugiantella, W.; De Rosa, M.; Catena, F.; Rondelli, F.; Costa, G.; Rocca, A.; Longaroni, M.; Testini, M. Minimally invasive laparoscopic and robot-assisted emergency treatment of strangulated giant hiatal hernias: Report of five cases and literature review. World J. Emerg. Surg. 2020, 15, 37. [Google Scholar] [CrossRef] [PubMed]
- Beltzer, C.; Bachmann, R.; Strohäker, J.; Axt, S.; Schmidt, R.; Küper, M.; Königsrainer, A. Value of laparoscopy in blunt and penetrating abdominal trauma—A systematic review. Chirurg 2020, 91, 567–575. [Google Scholar] [CrossRef] [PubMed]
- Green, M.H.; Duell, R.M.; Johnson, C.D.; Jamieson, N.V. Haemobilia. Br. J. Surg. 2001, 88, 773–786. [Google Scholar] [CrossRef] [PubMed]
- Murugesan, S.D.; Sathyanesan, J.; Lakshmanan, A.; Ramaswami, S.; Perumal, S.; Perumal, S.U.; Ramasamy, R.; Palaniappan, R. Massive hemobilia: A diagnostic and therapeutic challenge. World J. Surg. 2014, 38, 1755–1762. [Google Scholar] [CrossRef] [PubMed]
- Wang, H.-W.; Jin, K.-M.; Li, J.; Wang, K.; Xing, B.-C. Postoperative complications predict poor outcomes only in patients with a low modified clinical score after resection of colorectal liver metastases: A retrospective cohort study. Updat. Surg. 2022, 74, 1601–1610. [Google Scholar] [CrossRef]
- Amato, B.; Compagna, R.; Rocca, A.; Bianco, T.; Milone, M.; Sivero, L.; Vigliotti, G.; Amato, M.; Danzi, M.; Aprea, G.; et al. Fondaparinux vs warfarin for the treatment of unsuspected pulmonary embolism in cancer patients. Drug Des. Dev. Ther. 2016, 10, 2041–2046. [Google Scholar] [CrossRef]
- Cazauran, J.B.; Muller, A.; Hengy, B.; Valette, P.J.; Gruner, L.; Monneuse, O. Preliminary Report of Percutaneous Cholecystostomy as Diagnosis and Treatment of Biliary Tract Trauma. World J. Surg. 2018, 42, 3705–3714. [Google Scholar] [CrossRef]
- Calamia, S.; Barbara, M.; Cipolla, C.; Grassi, N.; Pantuso, G.; Li Petri, S.; Pagano, D.; Gruttadauria, S. Risk factors for bile leakage after liver resection for neoplastic disease. Updates Surg. 2022, 74, 1581–1587. [Google Scholar] [CrossRef]
- Gachabayov, M.; Kubachev, K.; Mityushin, S.; Zarkua, N. Recurrent Hemobilia Due to Right Hepatic Artery Pseudoaneurysm. Clin. Med. Res. 2017, 15, 96–99. [Google Scholar] [CrossRef]
- Nicol, A.J.; Hommes, M.; Primrose, R.; Navsaria, P.H.; Krige, J.E. Packing for control of hemorrhage in major liver trauma. World J. Surg. 2007, 31, 569–574. [Google Scholar] [CrossRef]
- Perrella, A.; Giuliani, A.; De Palma, M.; Castriconi, M.; Molino, C.; Vennarecci, G.; Antropoli, C.; Esposito, C.; Calise, F.; Frangiosa, A. C-reactive protein but not procalcitonin may predict antibiotic response and outcome in infections following major abdominal surgery. Updates Surg. 2022, 74, 765–771. [Google Scholar] [CrossRef]
- Guglielmo, N.; Melandro, F.; Improta, L.; Mennini, G.; Rossi, D.; Assenza, M.; Rossi, M.; Berloco, P.B. Early right hepatectomy for severe liver trauma: A case report. Clin. Ter. 2015, 166, e108–e110. [Google Scholar]
- Chen, Y.L.; Kuo, S.J.; Yang, L.H.; Chen, S.T.; Tsai, J.H.; Chang, H.C. Extrahepatic division of the right hepatic vein in right hepatectomy for blunt liver trauma. Int. Surg. 2003, 88, 15–20. [Google Scholar]
- Guglielmi, A.; Tripepi, M.; Salmaso, L.; Fedeli, U.; Ruzzenente, A.; Saia, M. Trends in hospital volume and operative mortality in hepato-biliary surgery in Veneto region, Italy. Updates Surg. 2023, 75, 1949–1959. [Google Scholar] [CrossRef]
- Calise, F.; Giuliani, A.; Sodano, L.; Crolla, E.; Bianco, P.; Rocca, A.; Ceriello, A. Segmentectomy: Is minimally invasive surgery going to change a liver dogma? Updates Surg. 2015, 67, 111–115. [Google Scholar] [CrossRef] [PubMed]
- Berardi, G.; Guglielmo, N.; Colasanti, M.; Meniconi, R.L.; Ferretti, S.; Mariano, G.; Usai, S.; Angrisani, M.; Pecoraro, A.; Lucarini, A.; et al. Associating liver partition and portal vein ligation for staged hepatectomy (ALPPS) for advanced hepatocellular carcinoma with macrovascular invasion. Updates Surg. 2022, 74, 927–936. [Google Scholar] [CrossRef] [PubMed]
- Carver, D.; Kirkpatrick, A.W.; D’Amours, S.; Hameed, S.M.; Beveridge, J.; Ball, C.G. A Prospective Evaluation of the Utility of a Hybrid Operating Suite for Severely Injured Patients: Overstated or Underutilized? Ann. Surg. 2020, 271, 958–961. [Google Scholar] [CrossRef] [PubMed]
- Di Benedetto, F.; Magistri, P.; Guerrini, G.P.; Di Sandro, S. Robotic liver partition and portal vein embolization for staged hepatectomy for perihilar cholangiocarcinoma. Updates Surg. 2022, 74, 773–777. [Google Scholar] [CrossRef] [PubMed]
- Pillai, A.S.; Kumar, G.; Pillai, A.K. Hepatic Trauma Interventions. Semin. Interv. Radiol. 2021, 38, 96–104. [Google Scholar] [CrossRef] [PubMed]
- Avella, P.; Vaschetti, R.; Cappuccio, M.; Gambale, F.; DE Meis, L.; Rafanelli, F.; Brunese, M.C.; Guerra, G.; Scacchi, A.; Rocca, A. The role of liver surgery in simultaneous synchronous colorectal liver metastases and colorectal cancer resections: A literature review of 1730 patients underwent open and minimally invasive surgery. Minerva Surg. 2022, 77, 582–590. [Google Scholar] [CrossRef] [PubMed]
- Rocca, A.; Cipriani, F.; Belli, G.; Berti, S.; Boggi, U.; Bottino, V.; Cillo, U.; Cescon, M.; Cimino, M.; Corcione, F.; et al. The Italian Consensus on minimally invasive simultaneous resections for synchronous liver metastasis and primary colorectal cancer: A Delphi methodology. Updates Surg. 2021, 73, 1247–1265. [Google Scholar] [CrossRef]
- Chiow, A.K.; Lee, S.Y.; Chan, C.Y.; Tan, S.S. Learning curve in laparoscopic liver surgery: A fellow’s perspective. Hepatobiliary Surg. Nutr. 2015, 4, 411–416. [Google Scholar] [CrossRef] [PubMed]
- Mascarenhas, A.; Marques, H.P.; Coutinho, J.; Martins, A.; Nolasco, F. Liver cirrhosis requiring transplantation in the context of hepaticojejunostomy stricture after a traumatic bile duct injury. Radiol. Case Rep. 2023, 19, 835–838. [Google Scholar] [CrossRef] [PubMed] [PubMed Central]
- Dogeas, E.; Tohme, S.; Geller, D.A. Laparoscopic liver resection: Global diffusion and learning curve. Ann. Acad. Med. Singap. 2021, 50, 736–738. [Google Scholar] [CrossRef]
- Ceccarelli, G.; Valeri, M.; Amato, L.; De Rosa, M.; Rondelli, F.; Cappuccio, M.; Gambale, F.E.; Fantozzi, M.; Sciaudone, G.; Avella, P.; et al. Robotic revision surgery after failed Nissen anti-reflux surgery: A single center experience and a literature review. J. Robot. Surg. 2023, 17, 1517–1524. [Google Scholar] [CrossRef]
- Nti, B.K.; Laniewicz, M.; Skaggs, T.; Cross, K.; Fallat, M.E.; Rominger, A. A novel streamlined trauma response team training improves imaging efficiency for pediatric blunt abdominal trauma patients. J. Pediatr. Surg. 2019, 54, 1854–1860. [Google Scholar] [CrossRef]
- Matsevych, O.Y.; Koto, M.Z.; Aldous, C. Trauma laparoscopy: A prospect of skills training (cohort study). Int. J. Surg. 2018, 55, 117–123. [Google Scholar] [CrossRef] [PubMed]
- Buondonno, A.; Avella, P.; Cappuccio, M.; Scacchi, A.; Vaschetti, R.; Di Marzo, G.; Maida, P.; Luciani, C.; Amato, B.; Brunese, M.C.; et al. A Hub and Spoke Learning Program in Bariatric Surgery in a Small Region of Italy. Front. Surg. 2022, 9, 855527. [Google Scholar] [CrossRef] [PubMed]
- Saviano, A.; Ojetti, V.; Zanza, C.; Franceschi, F.; Longhitano, Y.; Martuscelli, E.; Maiese, A.; Volonnino, G.; Bertozzi, G.; Ferrara, M.; et al. Liver Trauma: Management in the Emergency Setting and Medico-Legal Implications. Diagnostics 2022, 12, 1456. [Google Scholar] [CrossRef] [PubMed]
- Giuliani, A.; Avella, P.; Segreto, A.L.; Izzo, M.L.; Buondonno, A.; Coluzzi, M.; Cappuccio, M.; Brunese, M.C.; Vaschetti, R.; Scacchi, A.; et al. Postoperative Outcomes Analysis after Pancreatic Duct Occlusion: A Safe Option to Treat the Pancreatic Stump After Pancreaticoduodenectomy in Low-Volume Centers. Front. Surg. 2021, 8, 804675. [Google Scholar] [CrossRef] [PubMed]
- Kosola, J.; Brinck, T.; Leppäniemi, A.; Handolin, L. Blunt Abdominal Trauma in a European Trauma Setting: Need for Complex or Non-Complex Skills in Emergency Laparotomy. Scand. J. Surg. 2020, 109, 89–95. [Google Scholar] [CrossRef] [PubMed]
- Peris, A.; Mangini, M.; Spina, R.; Franci, A.; Ognibene, A.; Zagli, G. Application of emergency trauma score in a hub-and-spoke regional system. Br. J. Anaesth. 2013, 111, 507–508. [Google Scholar] [CrossRef] [PubMed]
- Pang, C.; Chen, Z.D.; Wei, B.; Xu, W.T.; Xi, H.Q. Military training-related abdominal injuries and diseases: Common types, prevention and treatment. Chin. J. Traumatol. 2022, 25, 187–192. [Google Scholar] [CrossRef]
- Raum, M.R.; Nijsten, M.W.; Vogelzang, M.; Schuring, F.; Lefering, R.; Bouillon, B.; Rixen, D.; Neugebauer, E.A.; Ten Duis, H.J.; Polytrauma Study Group of the German Trauma Society. Emergency trauma score: An instrument for early estimation of trauma severity. Crit. Care Med. 2009, 37, 1972–1977. [Google Scholar] [CrossRef] [PubMed]
- Bhan, C.; Forshaw, M.J.; Bew, D.P.; Kapadia, Y.K. Diagnostic peritoneal lavage and ultrasonography for blunt abdominal trauma: Attitudes and training of current general surgical trainees. Eur. J. Emerg. Med. 2007, 14, 212–215. [Google Scholar] [CrossRef]
- Loffredo, D.; Marvaso, A.; Ceraso, S.; Cinelli, N.; Rocca, A.; Vitale, M.; Rossi, M.; Genovese, E.; Amato, B.; Cinelli, M. Minimal invasive surgery in treatment of liver metastases from colorectal carcinomas: Case studies and survival rates. BMC Surg. 2013, 13 (Suppl. S2), S45. [Google Scholar] [CrossRef]
- Aprea, G.; De Rosa, D.; Milone, M.; Rocca, A.; Bianco, T.; Massa, G.; Compagna, R.; Johnson, L.B.; Sanguinetti, A.; Polistena, A.; et al. Laparoscopic distal pancreatectomy in elderly patients: Is it safe? Aging Clin. Exp. Res. 2017, 29, 41–45. [Google Scholar] [CrossRef]
- Rocca, A.; Scacchi, A.; Cappuccio, M.; Avella, P.; Bugiantella, W.; De Rosa, M.; Costa, G.; Polistena, A.; Codacci-Pisanelli, M.; Amato, B.; et al. Robotic surgery for colorectal liver metastases resection: A systematic review. Int. J. Med. Robot. 2021, 17, e2330. [Google Scholar] [CrossRef]
- Justin, V.; Fingerhut, A.; Uranues, S. Laparoscopy in Blunt Abdominal Trauma: For Whom? When?and Why? Curr. Trauma Rep. 2017, 3, 43–50. [Google Scholar] [CrossRef]
- Pau, L.; Navez, J.; Cawich, S.O.; Dapri, G. Laparoscopic Management of Blunt and Penetrating Abdominal Trauma: A Single-Center Experience and Review of the Literature. J. Laparoendosc. Adv. Surg. Tech. A 2021, 31, 1262–1268. [Google Scholar] [CrossRef] [PubMed]
- Famularo, S.; Berardi, G.; Pawlik, T.M.; Donadon, M.; Torzilli, G. Liver drains after surgery: What is the real practice? An international snapshot from the Li.DR.A.S. survey. Updates Surg. 2022, 74, 1317–1326. [Google Scholar] [CrossRef]
- Aboud, E.T.; Krisht, A.F.; O’Keeffe, T.; Nader, R.; Hassan, M.; Stevens, C.M.; Ali, F.; Luchette, F.A. Novel simulation for training trauma surgeons. J. Trauma 2011, 71, 1484–1490. [Google Scholar] [CrossRef]
- Aldrighetti, L.; Boggi, U.; Falconi, M.; Giuliante, F.; Cipriani, F.; Ratti, F.; Torzilli, G. Perspectives from Italy during the COVID-19 pandemic: Nationwide survey-based focus on minimally invasive HPB surgery. Updates Surg. 2020, 72, 241–247. [Google Scholar] [CrossRef]
- Ceccarelli, G.; Rocca, A.; De Rosa, M.; Fontani, A.; Ermili, F.; Andolfi, E.; Bugiantella, W.; Levi Sandri, G.B. Minimally invasive robotic-assisted combined colorectal and liver excision surgery: Feasibility, safety and surgical technique in a pilot series. Updates Surg. 2021, 73, 1015–1022. [Google Scholar] [CrossRef]
- Kaur, S.; Bagaria, D.; Kumar, A.; Priyadarshini, P.; Choudhary, N.; Sagar, S.; Gupta, A.; Mishra, B.; Joshi, M.; Kumar, A.; et al. Contrast-enhanced computed tomography abdomen versus diagnostic laparoscopy-based management in patients with penetrating abdominal trauma: A randomised controlled trial. Eur. J. Trauma Emerg. Surg. 2023, 49, 1–10. [Google Scholar] [CrossRef] [PubMed] [PubMed Central]
- Ceccarelli, G.; Costa, G.; De Rosa, M.; Codacci Pisanelli, M.; Frezza, B.; De Prizio, M.; Bravi, I.; Scacchi, A.; Gallo, G.; Amato, B.; et al. Minimally Invasive Approach to Gastric GISTs: Analysis of a Multicenter Robotic and Laparoscopic Experience with Literature Review. Cancers 2021, 13, 4351. [Google Scholar] [CrossRef]
- Marks, J.M.; Youngelman, D.F.; Berk, T. Cost analysis of diagnostic laparoscopy vs laparotomy in the evaluation of penetrating abdominal trauma. Surg. Endosc. 1997, 11, 272–276. [Google Scholar] [CrossRef] [PubMed]
- Katlic, M.R. Let It Rain: The American College of Surgeons Geriatric Surgery Verification Program. J. Am. Geriatr. Soc. 2021, 69, 616–617. [Google Scholar] [CrossRef]
- Rocca, A.; Brunese, M.C.; Cappuccio, M.; Scacchi, A.; Martucci, G.; Buondonno, A.; Perrotta, F.M.; Quarto, G.; Avella, P.; Amato, B. Impact of Physical Activity on Disability Risk in Elderly Patients Hospitalized for Mild Acute Diverticulitis and Diverticular Bleeding Undergone Conservative Management. Medicina 2021, 57, 360. [Google Scholar] [CrossRef]
- Zha, J.; Ni, J.; Chen, S.; Feng, H.; Che, T.; Qiao, S. Ultrasound Radiomics-Guided Iliac Fascia Block on Postoperative Cognitive Dysfunction in Elderly Patients Undergoing Hip Surgery. Comput. Math. Methods Med. 2022, 2022, 2492667. [Google Scholar] [CrossRef]
- Guerra, G.; Testa, D.; Montagnani, S.; Tafuri, D.; Salzano, F.A.; Rocca, A.; Amato, B.; Salzano, G.; Dell’Aversana Orabona, G.; Piombino, P.; et al. Surgical management of pleomorphic adenoma of parotid gland in elderly patients: Role of morphological features. Int. J. Surg. 2014, 12 (Suppl. S2), S12–S16. [Google Scholar] [CrossRef]
- Komici, K.; Dello Iacono, A.; De Luca, A.; Perrotta, F.; Bencivenga, L.; Rengo, G.; Rocca, A.; Guerra, G. Adiponectin and Sarcopenia: A Systematic Review with Meta-Analysis. Front. Endocrinol. 2021, 12, 576619. [Google Scholar] [CrossRef]
- Aprea, G.; Rocca, A.; Salzano, A.; Sivero, L.; Scarpaleggia, M.; Ocelli, P.; Amato, M.; Bianco, T.; Serra, R.; Amato, B. Laparoscopic single site (LESS) and classic video-laparoscopic cholecystectomy in the elderly: A single centre experience. Int. J. Surg. 2016, 33 (Suppl. S1), S1–S3. [Google Scholar] [CrossRef]
- Tamura, K.; Nakamori, M.; Matsuda, K.; Hotta, T.; Nakamura, M.; Yokoyama, S.; Iwahashi, M.; Yamade, N.; Yamaue, H. Elective colorectal cancer surgery in nonagenarians and postoperative outcomes. Updates Surg. 2023, 75, 837–845. [Google Scholar] [CrossRef]
- Rocca, A.; Porfidia, C.; Russo, R.; Tamburrino, A.; Avella, P.; Vaschetti, R.; Bianco, P.; Calise, F. Neuraxial anesthesia in hepato-pancreatic-bilio surgery: A first western pilot study of 46 patients. Updates Surg. 2023, 75, 481–491. [Google Scholar] [CrossRef]
- Komici, K.; Cappuccio, M.; Scacchi, A.; Vaschetti, R.; Delli Carpini, G.; Picerno, V.; Avella, P.; Brunese, M.C.; Rengo, G.; Guerra, G.; et al. The Prevalence and the Impact of Frailty in Hepato-Biliary Pancreatic Cancers: A Systematic Review and Meta-Analysis. J. Clin. Med. 2022, 11, 1116. [Google Scholar] [CrossRef]
- Luciani, C.; Scacchi, A.; Vaschetti, R.; Di Marzo, G.; Fatica, I.; Cappuccio, M.; Guerra, G.; Ceccarelli, G.; Avella, P.; Rocca, A. The uniportal VATS in the treatment of stage II pleural empyema: A safe and effective approach for adults and elderly patients-a single-center experience and literature review. World J. Emerg. Surg. 2022, 17, 46. [Google Scholar] [CrossRef]
- Triantafyllou, E.; Woollard, K.J.; McPhail, M.J.W.; Antoniades, C.G.; Possamai, L.A. The Role of Monocytes and Macrophages in Acute and Acute-on-Chronic Liver Failure. Front. Immunol. 2018, 9, 2948. [Google Scholar] [CrossRef]
- Surewaard, B.G.J.; Thanabalasuriar, A.; Zeng, Z.; Tkaczyk, C.; Cohen, T.S.; Bardoel, B.W.; Jorch, S.K.; Deppermann, C.; Bubeck Wardenburg, J.; Davis, R.P.; et al. α-Toxin Induces Platelet Aggregation and Liver Injury during Staphylococcus aureus Sepsis. Cell Host Microbe 2018, 24, 271–284.e273. [Google Scholar] [CrossRef]
- Ndomba, N.; Soldera, J. Management of sepsis in a cirrhotic patient admitted to the intensive care unit: A systematic literature review. World J. Hepatol. 2023, 15, 850–866. [Google Scholar] [CrossRef]
- Brillantino, A.; Iacobellis, F.; Brusciano, L.; Abu-Omar, A.; Muto, G.; Amadu, A.M.; Foroni, F.; Antropoli, M.; Antropoli, C.; Castriconi, M.; et al. Accuracy of computed tomography in staging acute appendicitis and its impact on surgical outcome and strategy: A multi-center retrospective case-control study. Radiol. Med. 2023, 128, 415–425. [Google Scholar] [CrossRef] [PubMed]
- Granata, V.; Fusco, R.; Cozzi, D.; Danti, G.; Faggioni, L.; Buccicardi, D.; Prost, R.; Ferrari, R.; Trinci, M.; Galluzzo, M.; et al. Structured reporting of computed tomography in the polytrauma patient assessment: A Delphi consensus proposal. Radiol. Med. 2023, 128, 222–233. [Google Scholar] [CrossRef] [PubMed] [PubMed Central]
- Tujios, S.; Stravitz, R.T.; Lee, W.M. Management of Acute Liver Failure: Update 2022. Semin. Liver Dis. 2022, 42, 362–378. [Google Scholar] [CrossRef]
- Boldingh, Q.J.; de Vries, F.E.; Boermeester, M.A. Abdominal sepsis. Curr. Opin. Crit. Care 2017, 23, 159–166. [Google Scholar] [CrossRef]
- Crouser, E.D.; Parrillo, J.E.; Seymour, C.; Angus, D.C.; Bicking, K.; Tejidor, L.; Magari, R.; Careaga, D.; Williams, J.; Closser, D.R.; et al. Improved Early Detection of Sepsis in the ED with a Novel Monocyte Distribution Width Biomarker. Chest 2017, 152, 518–526. [Google Scholar] [CrossRef]
- Carrigan, S.D.; Scott, G.; Tabrizian, M. Toward resolving the challenges of sepsis diagnosis. Clin. Chem. 2004, 50, 1301–1314. [Google Scholar] [CrossRef]
- Sarin, S.K.; Choudhury, A.; Sharma, M.K.; Maiwall, R.; Al Mahtab, M.; Rahman, S.; Saigal, S.; Saraf, N.; Soin, A.S.; Devarbhavi, H.; et al. Acute-on-chronic liver failure: Consensus recommendations of the Asian Pacific association for the study of the liver (APASL): An update. Hepatol. Int. 2019, 13, 353–390. [Google Scholar] [CrossRef]
- Wang, W.; Xu, C.; Ma, X.; Zhang, X.; Xie, P. Intensive Care Unit-Acquired Weakness: A Review of Recent Progress with a Look Toward the Future. Front. Med. 2020, 7, 559789. [Google Scholar] [CrossRef]
- Lee, C.C.; Ho, C.Y.; Chen, P.L.; Hsieh, C.C.; Wang, W.Y.C.; Lin, C.H.; Ko, W.C. Is qSOFA Suitable for Early Diagnosis of Sepsis Among Bacteremia Patients in Emergency Departments? Time for a Reappraisal of Sepsis-3 Criteria. Front. Med. 2021, 8, 743822. [Google Scholar] [CrossRef]



| Author(s) | Year | Population | No. of Patients | Liver Injury Types | Imaging | Aims | Results |
|---|---|---|---|---|---|---|---|
| Farzaneh et al. [64] | 2022 | Adults | 77 |
| CT |
|
|
| Huang et al. [65] | 2022 | Children | 170 |
| CT |
|
|
| Dreizin et al. [66] | 2021 | Adults | 73 |
| CT |
|
|
| Levy et al. [67] | 2023 | Adults | 109 |
| FAST-US |
|
|
| Wang et al. [68] | 2022 | Adults | 92 |
| CT |
|
|
| Alessandrino et al. [69] | 2019 | Adults | 43 |
| CT |
| NA |
Disclaimer/Publisher’s Note: The statements, opinions and data contained in all publications are solely those of the individual author(s) and contributor(s) and not of MDPI and/or the editor(s). MDPI and/or the editor(s) disclaim responsibility for any injury to people or property resulting from any ideas, methods, instructions or products referred to in the content. |
© 2024 by the authors. Licensee MDPI, Basel, Switzerland. This article is an open access article distributed under the terms and conditions of the Creative Commons Attribution (CC BY) license (https://creativecommons.org/licenses/by/4.0/).
Share and Cite
Brunese, M.C.; Avella, P.; Cappuccio, M.; Spiezia, S.; Pacella, G.; Bianco, P.; Greco, S.; Ricciardelli, L.; Lucarelli, N.M.; Caiazzo, C.; et al. Future Perspectives on Radiomics in Acute Liver Injury and Liver Trauma. J. Pers. Med. 2024, 14, 572. https://doi.org/10.3390/jpm14060572
Brunese MC, Avella P, Cappuccio M, Spiezia S, Pacella G, Bianco P, Greco S, Ricciardelli L, Lucarelli NM, Caiazzo C, et al. Future Perspectives on Radiomics in Acute Liver Injury and Liver Trauma. Journal of Personalized Medicine. 2024; 14(6):572. https://doi.org/10.3390/jpm14060572
Chicago/Turabian StyleBrunese, Maria Chiara, Pasquale Avella, Micaela Cappuccio, Salvatore Spiezia, Giulia Pacella, Paolo Bianco, Sara Greco, Luigi Ricciardelli, Nicola Maria Lucarelli, Corrado Caiazzo, and et al. 2024. "Future Perspectives on Radiomics in Acute Liver Injury and Liver Trauma" Journal of Personalized Medicine 14, no. 6: 572. https://doi.org/10.3390/jpm14060572
APA StyleBrunese, M. C., Avella, P., Cappuccio, M., Spiezia, S., Pacella, G., Bianco, P., Greco, S., Ricciardelli, L., Lucarelli, N. M., Caiazzo, C., & Vallone, G. (2024). Future Perspectives on Radiomics in Acute Liver Injury and Liver Trauma. Journal of Personalized Medicine, 14(6), 572. https://doi.org/10.3390/jpm14060572

