Double Primary Cancer of the Prostate and Urothelial Cancer: A Single Institution Experience
Abstract
1. Introduction
2. Case Presentation
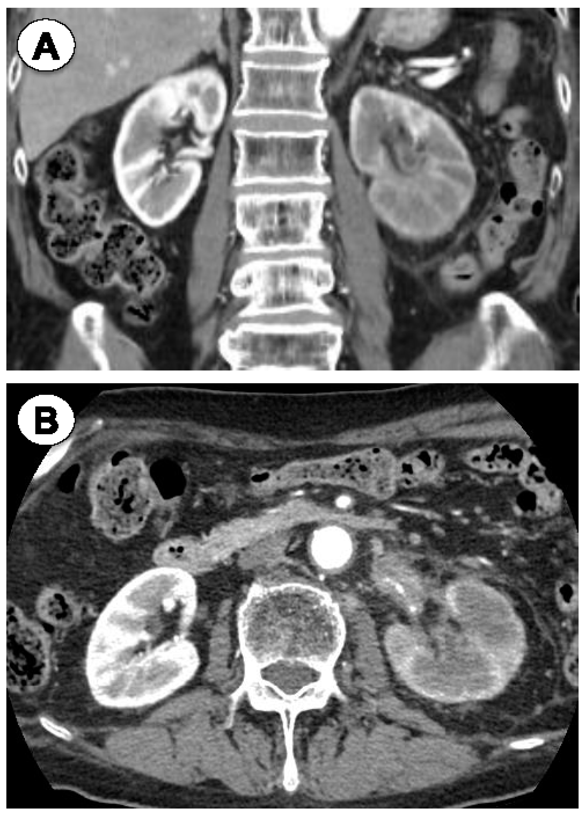
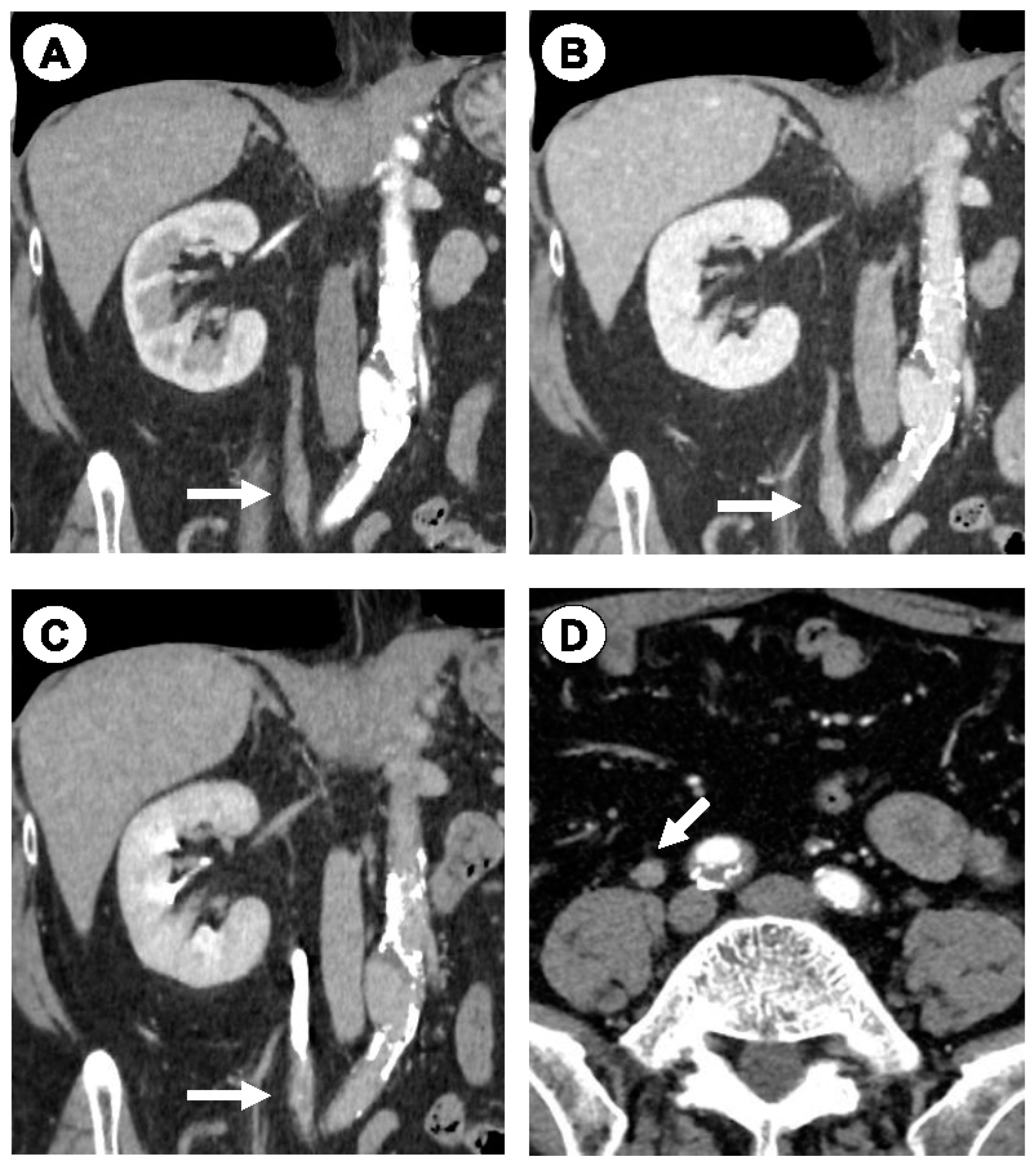
2.1. Case 1
2.2. Case 2
2.3. Case 3
3. Discussion
4. Conclusions
Author Contributions
Funding
Institutional Review Board Statement
Informed Consent Statement
Data Availability Statement
Conflicts of Interest
Abbreviations
| BC | bladder cancer | 
| CRPC | castration-resistant prostate cancer | 
| GS | Gleason score | 
| iPSA | initial PSA | 
| MAB | maximal androgen blockade | 
| PCa | prostate cancer | 
| PSA | prostate-specific antigen | 
| TUR | transurethral resection | 
| UC | urothelial cancer | 
| UUT | upper urinary tract | 
References
- Coyte, A.; Morrison, D.S.; McLoone, P. Second Primary Cancer Risk—The Impact of Applying Different Definitions of Multiple Primaries: Results from A Retrospective Population-Based Cancer Registry Study. BMC Cancer 2014, 14, 272. [Google Scholar] [CrossRef] [PubMed]
- Wang, X.; Zeng, M.; Ju, X.; Lin, A.; Zhou, C.; Shen, J.; Liu, Z.; Tang, B.; Cheng, Q.; Wang, Y.; et al. Correlation between Second and First Primary Cancer: Systematic Review and Meta-Analysis of 9 Million Cancer Patients. Br. J. Surg. 2024, 111, znad377. [Google Scholar] [CrossRef] [PubMed]
- Borzillo, V.; Scipilliti, E.; Pezzulla, D.; Serra, M.; Ametrano, G.; Quarto, G.; Perdona, S.; Rossetti, S.; Pignata, S.; Crispo, A.; et al. Stereotactic Body Radiotherapy with Cyberknife System for Low- and Intermediate-Risk Prostate Cancer: Clinical Outcomes and Toxicities Of CyPro Trial. Front. Oncol. 2023, 13, 1270498. [Google Scholar] [CrossRef] [PubMed]
- Clarke, N.; Wiechno, P.; Alekseev, B.; Sala, N.; Jones, R.; Kocak, I.; Chiuri, V.E.; Jassem, J.; Fléchon, A.; Redfern, C.; et al. Olaparib Combined with Abiraterone in Patients with Metastatic Castration-Resistant Prostate Cancer: A Randomised, Double-Blind, Placebo-Controlled, Phase 2 Trial. Lancet Oncol. 2018, 19, 975–986. [Google Scholar] [CrossRef] [PubMed]
- Christopher, J.D.W.; Alyson, L.M.; Richard, C.; Sender, H.; Ronald, T.K.; Prakesh, S.S.; Cyril, D.; Steven, A.N.; Robert, K.N. Second Malignancies after Radiotherapy for Prostate Cancer: Systematic Review and Meta-Analysis. BMJ 2016, 352, i851. [Google Scholar]
- Fan, C.-Y.; Huang, W.-Y.; Lin, C.-S.; Su, Y.-F.; Lo, C.-H.; Tsao, C.-C.; Liu, M.-Y.; Lin, C.-L.; Kao, C.-H. Risk of Second Primary Malignancies among Patients with Prostate Cancer: A Population-Based Cohort Study. PLoS ONE 2017, 12, e0175217. [Google Scholar] [CrossRef] [PubMed]
- Davis, E.J.; Beebe-Dimmer, J.L.; Yee, C.L.; Cooney, K.A. Risk of Second Primary Tumors in Men Diagnosed with Prostate Cancer: A Population-Based Cohort Study. Cancer 2014, 120, 2735–2741. [Google Scholar] [CrossRef] [PubMed]
- Burger, M.; Catto, J.W.; Dalbagni, G.; Grossman, H.B.; Herr, H.; Karakiewicz, P.; Kassouf, W.; Kiemeney, L.A.; La Vecchia, C.; Shariat, S.; et al. Epidemiology and Risk Factors of Urothelial Bladder Cancer. Eur. Urol. 2013, 63, 234–241. [Google Scholar] [CrossRef] [PubMed]
- Yin, M.; Bastacky, S.; Chandran, U.; Becich, M.J.; Dhir, R. Prevalence of Incidental Prostate Cancer in the General Population: A Study of Healthy Organ Donors. J. Urol. 2008, 179, 892–895. [Google Scholar] [CrossRef]
- Lu, Y.; Su, H.; Wang, Y.; Li, H. Micronutrients and Risks of Three Main Urologic Cancers: A Mendelian Randomization Study. Front. Nutr. 2023, 10, 1016243. [Google Scholar] [CrossRef] [PubMed]
- Li, Y.Z.; Yang, Z.Y.; Gong, T.T.; Liu, Y.S.; Liu, F.H.; Wen, Z.Y.; Li, X.Y.; Gao, C.; Luan, M.; Zhao, Y.H.; et al. Cruciferous Vegetable Consumption and Multiple Health Outcomes: An Umbrella Review of 41 Systematic Reviews and META-analyses of 303 Observational Studies. Food Funct. 2022, 13, 4247–4259. [Google Scholar] [CrossRef] [PubMed]
- Pedroso, T.M.A.; Benvindo-Souza, M.; de Araújo Nascimento, F.; Woch, J.; Dos Reis, F.G.; de Melo, E.; Silva, D. Cancer and Occupational Exposure to Pesticides: A Bibliometric Study of the Past 10 Years. Environ. Sci. Pollut. Res. Int. 2022, 29, 17464–17475. [Google Scholar] [CrossRef] [PubMed]
- Mishra, P.; Jiongming, L.; Jianhe, L.; Kewei, F.; Yongming, J.; Wang, G.; Pei, L.; Tongxing, Y. Prostate Cancer among Patients Undergoing Radical Cystoprostatectomy for Bladder Cancer in the Department of Urology in a Tertiary Care Centre. JNMA J. Nepal Med. Assoc. 2023, 61, 782–786. [Google Scholar] [CrossRef] [PubMed]
- Winkler, M.H.; Livni, N.; Mannion, E.M.; Hrouda, D.; Christmas, T. Characteristics of Incidental Prostatic Adenocarcinoma in Contemporary Radical Cystoprostatectomy Specimens. BJU Int. 2007, 99, 554–558. [Google Scholar] [CrossRef] [PubMed]
- Barbisan, F.; Mazzucchelli, R.; Scarpelli, M.; Lopez-Beltran, A.; Cheng, L.; Kirkali, Z.; Montironi, R. Urothelial and Incidental Prostate Carcinoma in Prostates from Cystoprostatectomies for Bladder Cancer: Is There a Relationship Between Urothelial and Prostate Cancer? BJU Int. 2009, 103, 1058–1063. [Google Scholar] [CrossRef] [PubMed]
- Packiam, V.T.; Tsivian, M.; Avulova, S.; Sharma, V.; Tarrell, R.; Cheville, J.C.; Frank, I.; Thompson, R.H.; Tollefson, M.K.; Gettman, M.T.; et al. Long-Term Outcomes of Incidental Prostate Cancer at Radical Cystectomy. Urol. Oncol. 2020, 38, 848.e17–848.e22. [Google Scholar] [CrossRef] [PubMed]
- Tulinius, H. Latent Malignancies at Autopsy: A Little Used Source of Information on Cancer Biology. IARC Sci. Publ. 1991, 112, 253–261. [Google Scholar]
- Mikhaylenko, D.S.; Tanas, A.S.; Zaletaev, D.V.; Nemtsova, M.V. Application Areas of Traditional Molecular Genetic Methods and Ngs in Relation to Hereditary Urological Cancer Diagnosis. J. Oncol. 2020, 2020, 7363102. [Google Scholar] [CrossRef] [PubMed]
- Ibrahim, M.; Yadav, S.; Ogunleye, F.; Zakalik, D. Male Brca Mutation Carriers: Clinical Characteristics and Cancer Spectrum. BMC Cancer 2018, 18, 179. [Google Scholar] [CrossRef] [PubMed]
- Jing, Y.; Zhang, R.; Ma, P.; Cai, M.C.; Zhuang, G.; Chen, H. Prevalence and Clonality of Synchronous Primary Carcinomas in the Bladder and Prostate. J. Pathol. 2018, 244, 5–10. [Google Scholar] [CrossRef]
- Hosseini, F.N.; Manoochehri, H.; Khoei, G.S.; Sheykhhasan, M. The Functional Role of Long Non-Coding RNA UCA1 in Human Multiple Cancers: A Review Study. Curr. Mol. Med. 2021, 21, 96. [Google Scholar] [CrossRef] [PubMed]
- Wen, J.; Liao, J.; Liang, J.; Chen, X.P.; Zhang, B.; Chu, L. Circular Rna Hipk3: A Key Circular RNA in a Variety of Human Cancers. Front. Oncol. 2020, 10, 773. [Google Scholar] [CrossRef] [PubMed]
- Masaki, S.; Keijiro, K.; Akira, Y.; Ario, T.; Eiji, K.; Takashi, D.; Ryosuke, T.; Junichi, I.; Katsunori, T.; Masatoshi, E. Suppressed Recurrent Bladder Cancer after Androgen Suppression with Androgen Deprivation Therapy or 5alpha-Reductase Inhibitor. J. Urol. 2017, 197, 308–313. [Google Scholar]
- Krabbe, L.-M.; Lotan, Y.; Bagrodia, A.; Gayed, B.A.; Darwish, O.M.; Youssef, R.F.; Bolenz, C.; Sagalowsky, A.I.; Raj, G.V.; Shariat, S.F.; et al. Prospective Comparison of Molecular Signatures in Urothelial Cancer of the Bladder and the Upper Urinary Trac—Is There Evidence for Discordant Biology? J. Urol. 2014, 191, 926. [Google Scholar] [CrossRef] [PubMed]
- Sanford, T.; Porten, S.; Meng, M.V. Molecular Analysis of Upper Tract and Bladder Urothelial Carcinoma: Results from a Microarray Comparison. PLoS ONE 2015, 10, e0137141. [Google Scholar] [CrossRef] [PubMed]




| Age at Presentation | iPSA | RRP GS | Time until Secondary Cancer | Time until UUT Cancer | Outcome | |
|---|---|---|---|---|---|---|
| 1 | 58 y | 6.8 ng/mL | 4+4 | 2 y | 22y | CRPC | 
| 2 | 75 y | 9.3 ng/mL | 3+4 | 9 y | 16y | Dead with UUT cancer | 
| 3 | 61 y | 5.8 ng/mL | 4+4 | 9 y | 10y | NED | 
| Disclaimer/Publisher’s Note: The statements, opinions and data contained in all publications are solely those of the individual author(s) and contributor(s) and not of MDPI and/or the editor(s). MDPI and/or the editor(s) disclaim responsibility for any injury to people or property resulting from any ideas, methods, instructions or products referred to in the content. | 
© 2024 by the authors. Licensee MDPI, Basel, Switzerland. This article is an open access article distributed under the terms and conditions of the Creative Commons Attribution (CC BY) license (https://creativecommons.org/licenses/by/4.0/).
Share and Cite
Hoshi, S.; Bilim, V.; Hoshi, K.; Ogawa, Y.; Kato, T.; Urano, K.; Yamada, T.; Sakagami, R.; Kudo, T.; Numahata, K.; et al. Double Primary Cancer of the Prostate and Urothelial Cancer: A Single Institution Experience. J. Pers. Med. 2024, 14, 510. https://doi.org/10.3390/jpm14050510
Hoshi S, Bilim V, Hoshi K, Ogawa Y, Kato T, Urano K, Yamada T, Sakagami R, Kudo T, Numahata K, et al. Double Primary Cancer of the Prostate and Urothelial Cancer: A Single Institution Experience. Journal of Personalized Medicine. 2024; 14(5):510. https://doi.org/10.3390/jpm14050510
Chicago/Turabian StyleHoshi, Senji, Vladimir Bilim, Kiyotsugu Hoshi, Yoshihiro Ogawa, Tomoyuki Kato, Kota Urano, Tomoya Yamada, Rie Sakagami, Takashi Kudo, Kenji Numahata, and et al. 2024. "Double Primary Cancer of the Prostate and Urothelial Cancer: A Single Institution Experience" Journal of Personalized Medicine 14, no. 5: 510. https://doi.org/10.3390/jpm14050510
APA StyleHoshi, S., Bilim, V., Hoshi, K., Ogawa, Y., Kato, T., Urano, K., Yamada, T., Sakagami, R., Kudo, T., Numahata, K., & Sasagawa, I. (2024). Double Primary Cancer of the Prostate and Urothelial Cancer: A Single Institution Experience. Journal of Personalized Medicine, 14(5), 510. https://doi.org/10.3390/jpm14050510
 
        


 
       