A Multidisciplinary Approach to the Management of Eales Disease: A Case Report and Review of the Literature
Abstract
1. Introduction
2. Clinical Case Description
2.1. Patient Anamnesis
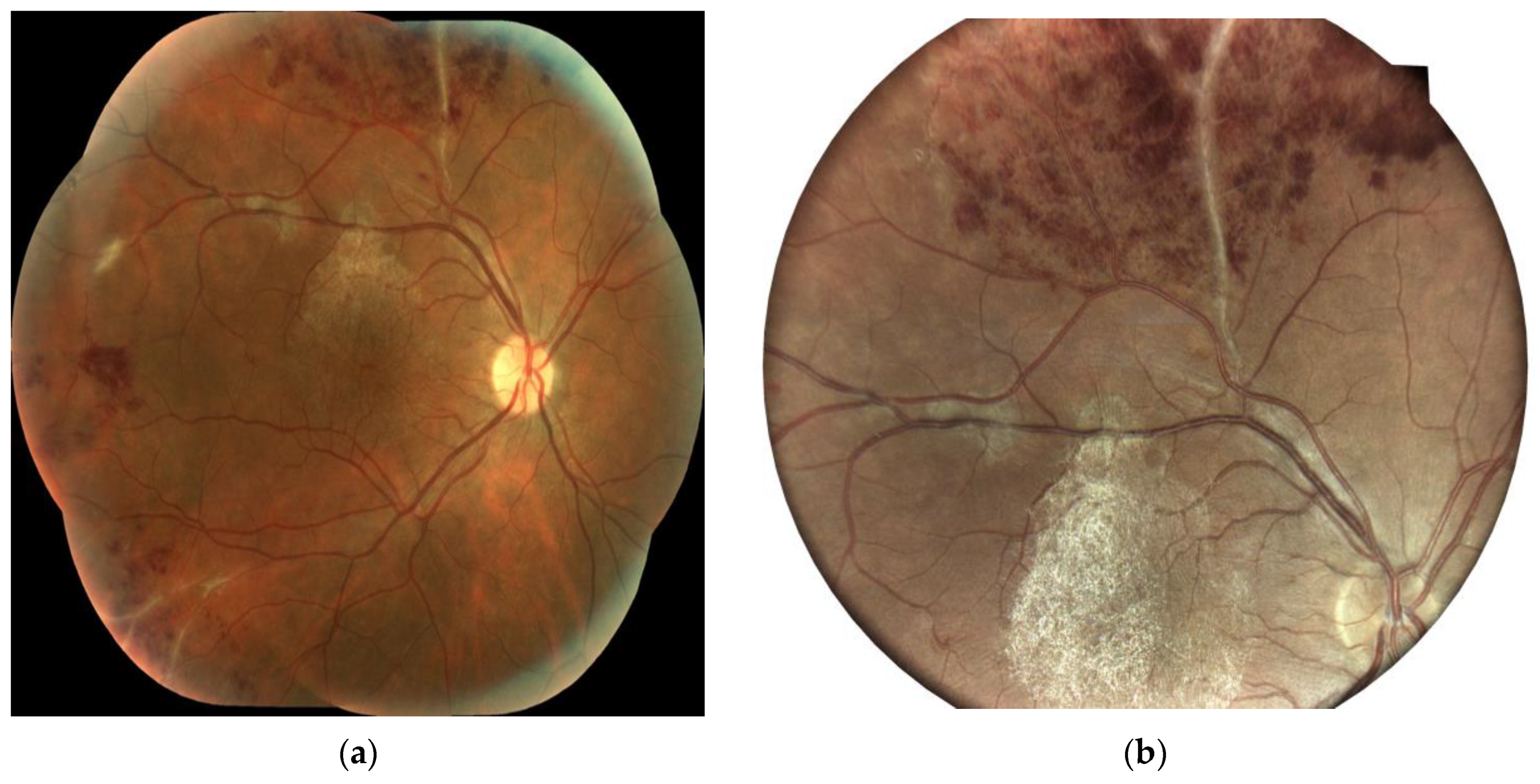
2.2. Results of Clinical and Laboratory Examinations
3. Discussion
4. Conclusions
Author Contributions
Funding
Institutional Review Board Statement
Informed Consent Statement
Data Availability Statement
Conflicts of Interest
References
- Raizada, K.; Tripathy, K. Eales Disease. In StatPearls Internet; StatPearls Publishing: Treasure Island, FL, USA, 2023. [Google Scholar]
- Nebbioso, M.; Franzone, F.; Lambiase, A.; Bonfiglio, V.; Limoli, P.; Artico, M.; Taurone, S.; Vingolo, E.; Greco, A.; Polimeni, A. Oxidative Stress Implication in Retinal Diseases—A Review. Antioxidants 2022, 11, 1790. [Google Scholar] [CrossRef]
- Murugeswari, P.; Kim, S.D.R.; Stitt, N.P.A.; Muthukkaruppan, V. Angiogenic potential of vitreous from Proliferative Diabetic Retinopathy and Eales’ Disease patients. PLoS ONE 2014, 9, e107551. [Google Scholar] [CrossRef][Green Version]
- Rossino, M.; Lulli, M.; Amato, R.; Cammalleri, M.; Monte, M.; Casini, G. Oxidative Stress Induces a VEGF Autocrine Loop in the Retina: Relevance for Diabetic Retinopathy. Cells 2020, 9, 1452. [Google Scholar] [CrossRef]
- Madhavan, H.; Therese, K.; Gunisha, P.; Jayanthi, U.; Biswas, J. Polymerase chain reaction for detection of Mycobacterium tuberculosis in epiretinal membrane in Eales’ disease. Investig. Ophthalmol. Vis. Sci. 2000, 41, 822–825. [Google Scholar]
- Whitcup, S.M.; Sen, H.N. Whitcup and Nussenblatt’s Uveitis, 5th ed.; Elsevier: Amsterdam, The Netherlands, 2022; pp. 351–353. [Google Scholar]
- Zhao, X.; Cheng, S.; Zhang, W.; Meng, L.; Chen, Y. Clinical Characteristics of Eales Disease and the Efficacy of Different Interventions for Neovascular Complications. Retina 2022, 42, 1975–1988. [Google Scholar] [CrossRef] [PubMed]
- Das, T.; Biswas, J.; Tyagi, M. Eales’ Disease. In Albert and Jakobiec’s Principles and Practice of Ophthalmology; Springer: Berlin/Heidelberg, Germany, 2022. [Google Scholar]
- Bleidele, S.; Solomatins, I.; Macijevska, A. Rare case report: A 26-year-old man with Eales’ disease. Rom. J. Ophthalmol. 2023, 67, 195–199. [Google Scholar] [PubMed]
- Călugăru, D.; Călugăru, M.; El Ghali, C. Eales disease in a young adult man Case report. Rom. J. Ophthalmol. 2017, 61, 306–309. [Google Scholar] [CrossRef] [PubMed]
- Lopes, B.; Brízido, M.; Reis, A.; Miranda, M.; Pina, S. Eales’ Disease: When the Rare Sounds Frequent. Case Rep. Ophthalmol. Med. 2021, 2021, 1056659. [Google Scholar] [CrossRef] [PubMed]
- Nicolcescu, A.; Mocanu, C.; Dinu, L.; Olaru, A.; Ionete, M.; Stefanescu, D. Unilateral Eales’ disease a case report. Rom. J. Ophthalmol. 2017, 61, 144–149. [Google Scholar] [CrossRef] [PubMed]
- Ivanescu, R.; Ivanescu, C.; Januschowski, K.; Ivanescu, A. Progression of Eales’ disease post-partum and long-term follow-up: A case report. J. Med. Case Rep. 2018, 12, 310. [Google Scholar] [CrossRef] [PubMed]
- Biswas, J.; Ravi, R.; Naryanasamy, A.; Kulandai, L.; Madhavan, H. Eales’ disease–Current concepts in diagnosis and management. J. Ophthalmic Inflamm. Infect. 2013, 3, 11. [Google Scholar] [CrossRef]
- Rajpal; Singh, U.; Mohapatra, S.; Wagh, V.; Porwal, C.; Kaushik, A. Association of Mycobacterium tubercu-losis in the causation of Eales’ disease: An institutional experience. Indian. J. Med. Microbiol. 2015, 33, 43–45. [Google Scholar] [CrossRef]
- Gupta, P.; Biswas, J. Further evidence of the association of latent Mycobacterium tuberculosis in Eales’ disease. Int. Ophthalmol. 2021, 41, 901–906. [Google Scholar] [CrossRef] [PubMed]
- López, S.M.; Medina, S.M.; López, F.M. Eales’ disease: Epidemiology, diagnostic and therapeutic concepts. Int. J. Retin. Vitr. 2022, 8, 3. [Google Scholar] [CrossRef] [PubMed]
- Nakamura, K.; Akiyama, H.; Tokui, S.; Saito, K.; Nitta, K. A Case of Eales Disease Observed by Widefield Optical Coherence Tomography Angiography. Retin. Cases Brief. Rep. 2024, 18, 116–119. [Google Scholar] [CrossRef] [PubMed]
- Rajurkar, K.; Thakar, M.; Gupta, P.; Rastogi, A. Comparison of fundus fluorescein angiography, optical coherence tomography and optical coherence tomography angiography features of macular changes in Eales disease: A case series. J. Ophthalmic Inflamm. Infect. 2020, 10, 34. [Google Scholar] [CrossRef] [PubMed]
- Sánchez-Vicente, J.; Moruno-Rodríguez, A.; de Las Morenas-Iglesias, J.; Muñoz-Morales, A.; Rueda-Rueda, T.; López-Herrero, F. Diagnosis of Eales disease from a macular epiretinal membrane. Arch. Soc. Esp. Oftalmol. 2019, 94, 556–560. [Google Scholar] [CrossRef]
- Ştefănescu-Dima, A.; Corîci, C.; Mănescu, M.; Sas, T.; Iancău, M.; Mocanu, C. Posterior vitreous de-tachment and macular anatomical changes–A tomographic-electroretinographic study. Rom. J. Morphol. Embryol. 2016, 57, 751–758. [Google Scholar] [PubMed]
- Goel, N.; Kumar, V.; Arora, S.; Jain, P.; Ghosh, B. Spectral domain optical coherence tomography evaluation of macular changes in Eales disease. Indian. J. Ophthalmol. 2018, 66, 433–438. [Google Scholar] [CrossRef] [PubMed]
- Saurabh, K.; Roy, R. Macular changes in retinal vasculitis. Indian. J. Ophthalmol. 2018, 66, 439. [Google Scholar] [CrossRef]
- Errera, M.H.; Pratas, A.; Goldschmidt, P.; Sedira, N.; Sahel, J.A.; Benesty, J. Eales’ disease. J. Français D’ophtalmol. 2016, 39, 474–482. [Google Scholar] [CrossRef]
- Biswas, J.P.; Gondhale, H.; Sitaula, R.K. Long-Term Outcomes of a Large Cohort of Patients with Eales’ Disease. Ocul. Immunol. Inflamm. 2018, 26, 870–876. [Google Scholar] [CrossRef]
- Das, T.; Pathengay, A.; Hussain, N.; Biswas, J. Eales’ disease: Diagnosis and management. Eye 2010, 24, 472–482. [Google Scholar] [CrossRef]
- Ersöz, M.; Hocaoğlu, M.; Muslubaş, I.S.; Arf, S.; Karaçorlu, M. Vitrectomy Due to Vitreous Hemorrhage and Tractional Retinal Detachment Secondary to Eales’ Disease. Turk. J. Ophthalmol. 2021, 51, 102–106. [Google Scholar] [CrossRef]
- Shukla, D.; Kanungo, S.; Prasad, N.; Kim, R. Surgical outcomes for vitrectomy in Eales’ disease. Eye 2008, 22, 900–904. [Google Scholar] [CrossRef]
- Li, J.; Liu, S.; Dong, W.; Li, F.; Zhou, C.; Xu, X.; Zhong, J. Outcomes of transconjunctival sutureless 27-gauge vitrectomy for vitreoretinal diseases. Int. J. Ophthalmol. 2018, 11, 408–415. [Google Scholar] [PubMed]
- Bansal, R.; Moharana, B.; Katoch, D.; Gupta, V.; Dogra, M.; Gupta, A. Outcome of pars plana vitrectomy in patients with retinal detachments secondary to retinal vasculitis. Indian J. Ophthalmol. 2020, 68, 1905–1911. [Google Scholar] [CrossRef] [PubMed]
- Danielescu, C.; Moraru, A.D.; Anton, N.; Bilha, M.I.; Donica, V.C.; Darabus, D.M.; Munteanu, M.; Stefanescu-Dima, A.S. The Learning Curve of Surgery of Diabetic Tractional Retinal Detachment—A Retrospective, Comparative Study. Medicina 2022, 59, 73. [Google Scholar] [CrossRef]
- Alfayyadh, M.; Alabdulhadi, H.; Almubarak, M. Advanced Eales’ Disease with Neovascular Glaucoma at First Presentation. Cureus 2021, 13, e18302. [Google Scholar] [CrossRef] [PubMed]
- Hatano, M.; Mimura, T.; Shimada, A.; Noda, M.; Katayama, S. Hepatitis B virus reactivation with corticosteroid therapy in patients with adrenal insufficiency. Endocrinol. Diabetes Metab. 2019, 2, e00071. [Google Scholar] [CrossRef] [PubMed]





| Laboratory Test (Units) | Results | Reference Range |
|---|---|---|
| Herpes simplex virus 1 IgG | 94.86 | 0.0–0.6 |
| Cytomegalovirus IgG (AU/mL) | 143.50 | 0.0–6 |
| Borrelia IgG | Positive | Negative |
| Borrelia IgM | Positive | Negative |
| Cytomegalovirus DNA (UI/mL) | Undetectable | Undetectable |
| HSV1 DNA (UI/mL) | Undetectable | Undetectable |
| Hepatitis virus B DNA (UI/mL) | 835 | Undetectable |
| Toxoplasma Gondii IgG (UI/mL) | 0.10 | 0.0–1.6 |
| Toxoplasma Gondii IgM | 0.05 | 0.0–0.5 |
| Anti-HIV1/2 antibodies | Absent | Absent |
| RPR carbon | Negative | Negative |
| Syphilis test treponemic Ag | Negative | Negative |
| Study | Population | Treatment | Results |
|---|---|---|---|
| 1. Bleidele et al. [9] | A 26-year-old male patient with bilateral Eales disease | Corticosteroids, azathioprine, mycophenolate mofetil, 12 anti-VEGF injections, and laser treatment. | Total blindness in the left eye and legal blindness in the right eye. |
| 2. Călugăru et al. [10] | A 39-year-old male patient with bilateral Eales disease | Pars plana vitrectomy and endolaser treatment (LE), laser scatter photocoagulation (RE). | 20/20 visual acuity in both eyes. |
| 3. Lopes et al. [11] | A 27-year-old male patient with unilateral Eales disease A 48-year-old male patient with bilateral Eales disease A 58-year-old male patient with bilateral Eales disease | Topical and systemic corticotherapy, quadruple anti-tuberculosis treatment, and methotrexate. Oral corticotherapy, quadruple anti-tuberculosis treatment, oral methotrexate, 11 anti-VEGF injections, and laser photocoagulation. Oral corticotherapy, quadruple anti-tuberculosis treatment, 3 anti-VEGF injections, and laser photocoagulation. | Clinically stable; no signs of active vasculitis after 2 years. 10/10 visual acuity in both eyes with oral methotrexate (20 mg/week) associated with prednisolone (2.5 mg/day). Clinically stable; BCVA was 10/10 (RE) and 8/10 (LE) after 4 years with no need for treatment. |
| 4. Nicolcescu et al. [12] | A 48-year-old female patient with unilateral Eales disease | Laser photocoagulation. | Clinically stable; VA was 20/20 (RE) with no need for treatment. |
| 5. Ivanescu et al. [13] | A 40-year-old female patient with bilateral Eales disease | Oral corticotherapy, azathioprine, mycophenolate mofetil, intravitreal dexamethasone implants (Ozurdex®, Allergan; Bucharest; Romania) in RE and LE, and vitrectomy with silicone oil tamponade. | VA was 20/20 (RE); light perception (LE). |
Disclaimer/Publisher’s Note: The statements, opinions and data contained in all publications are solely those of the individual author(s) and contributor(s) and not of MDPI and/or the editor(s). MDPI and/or the editor(s) disclaim responsibility for any injury to people or property resulting from any ideas, methods, instructions or products referred to in the content. |
© 2024 by the authors. Licensee MDPI, Basel, Switzerland. This article is an open access article distributed under the terms and conditions of the Creative Commons Attribution (CC BY) license (https://creativecommons.org/licenses/by/4.0/).
Share and Cite
Mercuț, M.F.; Ică, O.M.; Tănasie, C.A.; Mercuț, R.; Mocanu, C.L.; Nicolcescu, A.M.; Danielescu, C. A Multidisciplinary Approach to the Management of Eales Disease: A Case Report and Review of the Literature. J. Pers. Med. 2024, 14, 235. https://doi.org/10.3390/jpm14030235
Mercuț MF, Ică OM, Tănasie CA, Mercuț R, Mocanu CL, Nicolcescu AM, Danielescu C. A Multidisciplinary Approach to the Management of Eales Disease: A Case Report and Review of the Literature. Journal of Personalized Medicine. 2024; 14(3):235. https://doi.org/10.3390/jpm14030235
Chicago/Turabian StyleMercuț, Maria Filoftea, Oana Maria Ică, Cornelia Andreea Tănasie, Răzvan Mercuț, Carmen Luminița Mocanu, Andreea Mihaela Nicolcescu, and Ciprian Danielescu. 2024. "A Multidisciplinary Approach to the Management of Eales Disease: A Case Report and Review of the Literature" Journal of Personalized Medicine 14, no. 3: 235. https://doi.org/10.3390/jpm14030235
APA StyleMercuț, M. F., Ică, O. M., Tănasie, C. A., Mercuț, R., Mocanu, C. L., Nicolcescu, A. M., & Danielescu, C. (2024). A Multidisciplinary Approach to the Management of Eales Disease: A Case Report and Review of the Literature. Journal of Personalized Medicine, 14(3), 235. https://doi.org/10.3390/jpm14030235
