A Nomogram Based on Preoperative Lipiodol Deposition after Sequential Retreatment with Transarterial Chemoembolization to Predict Prognoses for Intermediate-Stage Hepatocellular Carcinoma
Abstract
:1. Introduction
2. Methods
2.1. Patients and Tumor Selection
2.2. cTACE Protocol
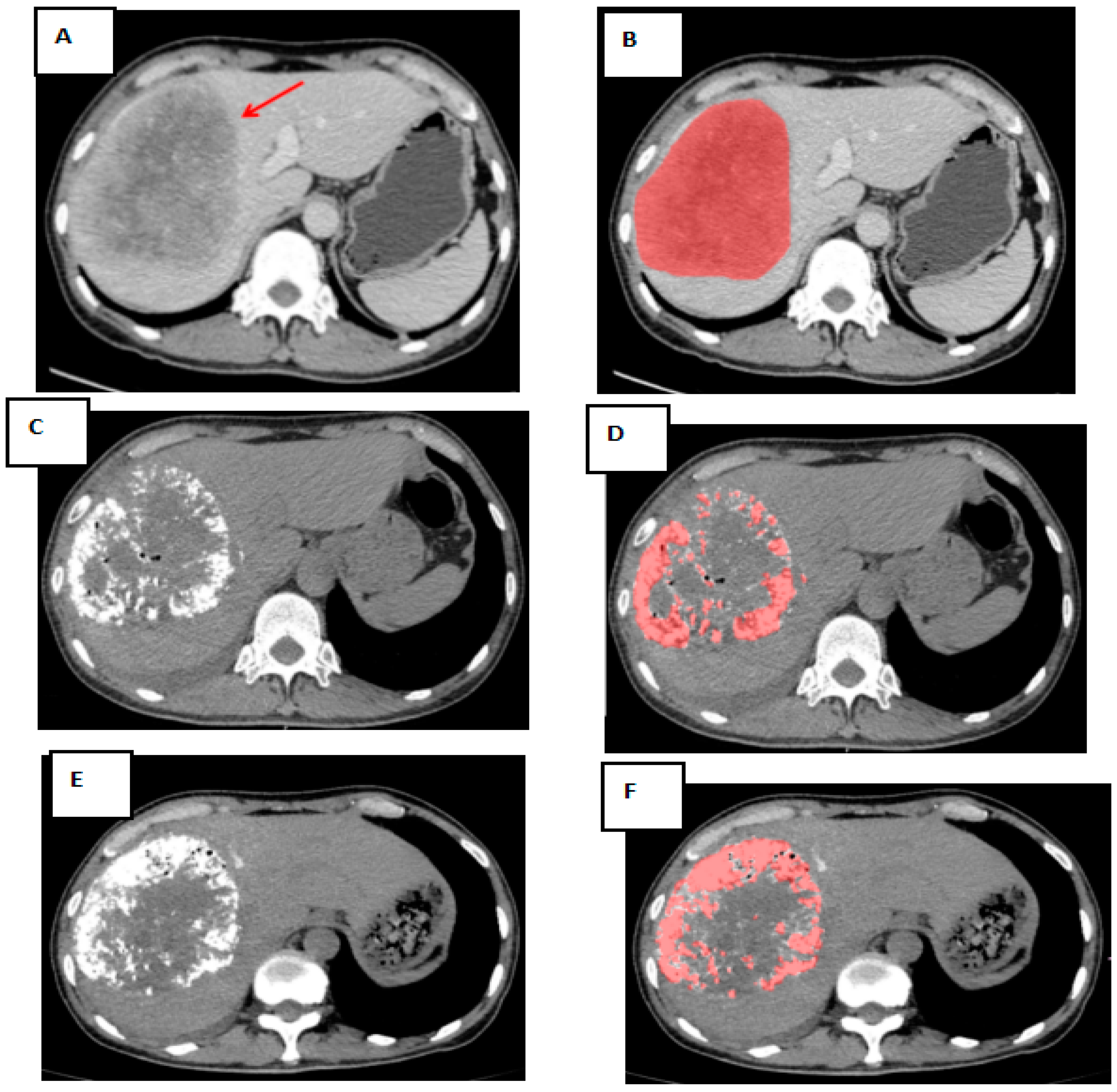
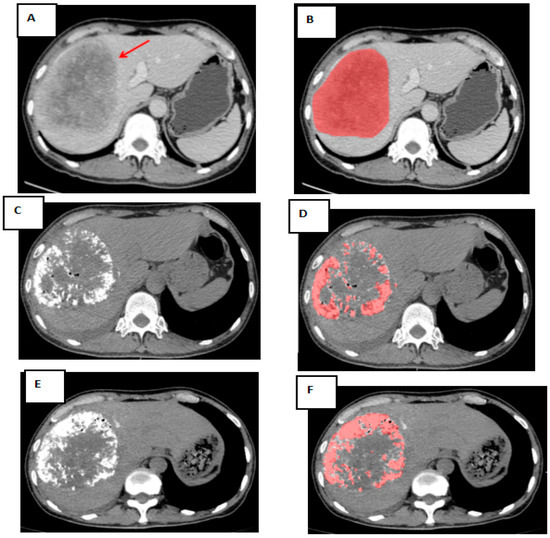
2.3. Quantification of Volumetric Oil Deposition
2.4. Statistical Analysis
3. Results
3.1. Baseline Characteristics
3.2. Interobserver Agreement
3.3. Consecutive Oil Deposition
3.4. Model Building and Evaluation
3.5. Validation
3.6. Survival Stratification
4. Discussion
5. Conclusions
Supplementary Materials
Author Contributions
Funding
Institutional Review Board Statement
Informed Consent Statement
Data Availability Statement
Acknowledgments
Conflicts of Interest
References
- Bray, F.; Ferlay, J.; Soerjomataram, I.; Siegel, R.L.; Torre, L.A.; Jemal, A. Global cancer statistics 2018: GLOBOCAN estimates of incidence and mortality worldwide for 36 cancers in 185 countries. CA Cancer J. Clin. 2018, 68, 394–424. [Google Scholar] [CrossRef] [PubMed]
- Cabibbo, G.; Enea, M.; Attanasio, M.; Bruix, J.; Craxi, A.; Cammà, C. A meta-analysis of survival rates of untreated patients in randomized clinical trials of hepatocellular carcinoma. Hepatology 2010, 51, 1274–1283. [Google Scholar] [CrossRef] [PubMed]
- Llovet, J.M.; Bruix, J. Systematic review of randomized trials for unresectable hepatocellular carcinoma: Chemoembolization improves survival. Hepatology 2003, 37, 429–442. [Google Scholar] [CrossRef] [PubMed]
- Salem, R.; Lewandowski, R.J. Chemoembolization and radioembolization for hepatocellular carcinoma. Clin. Gastroenterol. Hepatol. 2013, 11, 604–611. [Google Scholar] [CrossRef] [PubMed]
- Burroughs, A.; Dufour, J.-F.; Galle, P.R.; Mazzaferro, V.; Piscaglia, F.; Raoul, J.L.; Sangro, B.; Bolondi, L. Heterogeneity of patients with intermediate (BCLC B) Hepatocellular Carcinoma: Proposal for a subclassification to facilitate treatment decisions. Semin. Liver Dis. 2012, 32, 348–359. [Google Scholar] [CrossRef]
- Ha, Y.; Shim, J.H.; Kim, S.-O.; Kim, K.M.; Lim, Y.-S.; Lee, H.C. Clinical appraisal of the recently proposed Barcelona Clinic Liver Cancer stage B subclassification by survival analysis. J. Gastroenterol. Hepatol. 2014, 29, 787–793. [Google Scholar] [CrossRef]
- Johnson, P.J.; Berhane, S.; Kagebayashi, C.; Satomura, S.; Teng, M.; Reeves, H.L.; O’Beirne, J.; Fox, R.; Skowronska, A.; Palmer, D.; et al. Assessment of liver function in patients with hepatocellular carcinoma: A new evidence-based approach-the ALBI grade. J. Clin. Oncol. 2015, 33, 550–558. [Google Scholar] [CrossRef] [PubMed]
- Hiraoka, A.; Kumada, T.; Kudo, M.; Hirooka, M.; Koizumi, Y.; Hiasa, Y.; Tajiri, K.; Toyoda, H.; Tada, T.; Ochi, H.; et al. Hepatic Function during Repeated TACE Procedures and Prognosis after Introducing Sorafenib in Patients with Unresectable Hepatocellular Carcinoma: Multicenter Analysis. Dig. Dis. 2017, 35, 602–610. [Google Scholar] [CrossRef] [PubMed]
- Loffroy, R.; Lin, M.; Yenokyan, G.; Rao, P.P.; Bhagat, N.; Noordhoek, N.; Radaelli, A.; Blijd, J.; Liapi, E.; Geschwind, J.-F. Intraprocedural C-arm dual-phase cone-beam CT: Can it be used to predict short-term response to TACE with drug-eluting beads in patients with hepatocellular carcinoma? Radiology 2013, 266, 636–648. [Google Scholar] [CrossRef]
- Monsky, W.L.; Kim, I.; Loh, S.; Li, C.-S.; Greasby, T.A.; Deutsch, L.-S.; Badawi, R.D. Semiautomated segmentation for volumetric analysis of intratumoral ethiodol uptake and subsequent tumor necrosis after chemoembolization. Am. J. Roentgenol. 2010, 195, 1220–1230. [Google Scholar] [CrossRef]
- Suk, O.J.; Jong, C.H.; Gil, C.B.; Giu, L.H. Transarterial chemoembolization with drug-eluting beads in hepatocellular carcinoma: Usefulness of contrast saturation features on cone-beam computed tomography imaging for predicting short-term tumor response. J. Vasc. Interv. Radiol. 2013, 24, 483–489. [Google Scholar] [CrossRef] [PubMed]
- Letzen, B.S.; Malpani, R.; Miszczuk, M.; de Ruiter, Q.M.; Petty, C.W.; Rexha, I.; Nezami, N.; Laage-Gaupp, F.; Lin, M.; Schlachter, T.R.; et al. Lipiodol as an intra-procedural imaging biomarker for liver tumor response to transarterial chemoembolization: Post-hoc analysis of a prospective clinical trial. Clin. Imaging 2021, 78, 194–200. [Google Scholar] [CrossRef] [PubMed]
- Wang, Z.; Chen, R.; Duran, R.; Zhao, Y.; Yenokyan, G.; Chapiro, J.; Schernthaner, R.; Radaelli, A.; Lin, M.; Geschwind, J.F. Intraprocedural 3D Quantification of Lipiodol Deposition on Cone-Beam CT Predicts Tumor Response after Transarterial Chemoembolization in Patients with Hepatocellular Carcinoma. Cardiovasc. Interv. Radiol. 2015, 38, 1548–1556. [Google Scholar] [CrossRef] [PubMed]
- Chen, R.; Geschwind, J.F.; Wang, Z.; Tacher, V.; Lin, M. Quantitative assessment of lipiodol deposition after chemoembolization: Comparison between cone-beam CT and multidetector CT. J. Vasc. Interv. Radiol. 2013, 24, 1837–1844. [Google Scholar] [CrossRef]
- Bruix, J.; Sherman, M.; Llovet, J.M.; Beaugrand, M.; Lencioni, R.; Burroughs, A.K.; Christensen, E.; Pagliaro, L.; Colombo, M.; Rodés, J. Clinical management of hepatocellular carcinoma. Conclusions of the Barcelona-2000 EASL conference. European Association for the Study of the Liver. J. Hepatol. 2001, 35, 421–430. [Google Scholar] [CrossRef]
- Bruix, J.; Sherman, M. American Association for the Study of Liver Diseases. Management of hepatocellular carcinoma: An update. Hepatology 2011, 53, 1020–1022. [Google Scholar] [CrossRef]
- Niu, X.K.; He, X.F. Development of a computed tomography-based radiomics nomogram for prediction of transarterial chemoembolization refractoriness in hepatocellular carcinoma. World J. Gastroenterol. 2021, 27, 189–207. [Google Scholar] [CrossRef]
- Peck-Radosavljevic, M.; Sieghart, W.; Kölblinger, C.; Reiter, M.; Schindl, M.; Ulbrich, G.; Steininger, R.; Müller, C.; Stauber, R.; Schöniger-Hekele, M.; et al. Austrian Joint ÖGGH-ÖGIR-ÖGHO-ASSO position statement on the use of transarterial chemoembolization (TACE) in hepatocellular carcinoma. Wien. Klin. Wochenschr. 2012, 124, 104–110. [Google Scholar] [CrossRef]
- Riaz, A.; Miller, F.H.; Kulik, L.M.; Nikolaidis, P.; Yaghmai, V.; Lewandowski, R.J.; Mulcahy, M.F.; Ryu, R.K.; Sato, K.T.; Gupta, R.; et al. Imaging response in the primary index lesion and clinical outcomes following transarterial locoregional therapy for hepatocellular carcinoma. JAMA 2010, 303, 1062–1069. [Google Scholar] [CrossRef]
- Llovet, J.M.; Di Bisceglie, A.M.; Bruix, J.; Kramer, B.S.; Lencioni, R.; Zhu, A.X.; Sherman, M.; Schwartz, M.; Lotze, M.; Talwalkar, J.; et al. Design and endpoints of clinical trials in hepatocellular carcinoma. J. Natl. Cancer Inst. 2008, 100, 698–711. [Google Scholar] [CrossRef] [Green Version]
- Lencioni, R.; Llovet, J.M. Modified RECIST (mRECIST) assessment for hepatocellular carcinoma. Semin. Liver Dis. 2010, 30, 52–60. [Google Scholar] [CrossRef]
- European Association for the Study of the Liver. EASL Clinical Practice Guidelines: Management of hepatocellular carcinoma. J. Hepatol. 2018, 69, 182–236. [Google Scholar] [CrossRef]
- Terzi, E.; Golfieri, R.; Piscaglia, F.; Galassi, M.; Dazzi, A.; Leoni, S.; Giampalma, E.; Renzulli, M.; Bolondi, L. Response rate and clinical outcome of HCC after first and repeated cTACE performed “on demand”. J. Hepatol. 2012, 57, 1258–1267. [Google Scholar] [CrossRef]
- Georgiades, C.; Geschwind, J.-F.; Harrison, N.; Hines-Peralta, A.; Liapi, E.; Hong, K.; Wu, Z.; Kamel, I.; Frangakis, C. Lack of response after initial chemoembolization for hepatocellular carcinoma: Does it predict failure of subsequent treatment? Radiology 2012, 265, 115–123. [Google Scholar] [CrossRef] [PubMed]
- Wang, Z.; Chapiro, J.; Schernthaner, R.; Duran, R.; Chen, R.; Geschwind, J.-F.; Lin, M. Multimodality 3D Tumor Segmentation in HCC Patients Treated with TACE. Acad. Radiol. 2015, 22, 840–845. [Google Scholar] [CrossRef]
- Miyayama, S.; Yamashiro, M.; Nagai, K.; Tohyama, J.; Kawamura, K.; Yoshida, M.; Sakuragawa, N. Evaluation of tumor recurrence after superselective conventional transcatheter arterial chemoembolization for hepatocellular carcinoma: Comparison of computed tomography and gadoxetate disodium-enhanced magnetic resonance imaging. Hepatol. Res. 2016, 46, 890–898. [Google Scholar] [CrossRef]
- Tezuka, M.; Hayashi, K.; Kubota, K.; Sekine, S.; Okada, Y.; Ina, H.; Irie, T. Growth rate of locally recurrent hepatocellular carcinoma after transcatheter arterial chemoembolization: Comparing the growth rate of locally recurrent tumor with that of primary hepatocellular carcinoma. Dig. Dis. Sci. 2007, 52, 783–788. [Google Scholar] [CrossRef]
- Varzaneh, F.N.; Pandey, A.; Ghasabeh, M.A.; Shao, N.; Khoshpouri, P.; Pandey, P.; Zarghampour, M.; Fouladi, D.; Liddell, R.; Anders, R.A.; et al. Prediction of post-TACE necrosis of hepatocellular carcinoma usingvolumetric enhancement on MRI and volumetric oil deposition on CT, with pathological correlation. Eur. Radiol. 2018, 28, 3032–3040. [Google Scholar] [CrossRef]
- Jung, E.S.; Kim, J.H.; Yoon, E.L.; Lee, H.J.; Lee, S.J.; Suh, S.J.; Lee, B.J.; Seo, Y.S.; Yim, H.J.; Seo, T.-S.; et al. Comparison of the methods for tumor response assessment in patients with hepatocellular carcinoma undergoing transarterial chemoembolization. J. Hepatol. 2013, 58, 1181–1187. [Google Scholar] [CrossRef]
- Kudo, M.; Matsui, O.; Izumi, N.; Kadoya, M.; Okusaka, T.; Miyayama, S.; Yamakado, K.; Tsuchiya, K.; Ueshima, K.; Hiraoka, A.; et al. Transarterial chemoembolization failure/refractoriness: JSH-LCSGJ criteria 2014 update. Oncology 2014, 87, 22–31. [Google Scholar] [CrossRef]
- Lee, J.S.; Kim, B.K.; Kim, S.U.; Park, J.Y.; Ahn, S.H.; Seong, J.S.; Han, K.-H.; Kim, D.Y. A survey on transarterial chemoembolization refractoriness and a real-world treatment pattern for hepatocellular carcinoma in Korea. Clin. Mol. Hepatol. 2020, 26, 24–32. [Google Scholar] [CrossRef] [PubMed]
- Zhong, B.-Y.; Wang, W.-S.; Zhang, S.; Zhu, H.-D.; Zhang, L.; Shen, J.; Zhu, X.-L.; Teng, G.-J.; Ni, C.-F. Re-evaluating Transarterial Chemoembolization Failure/Refractoriness: A Survey by Chinese College of Interventionalists. J. Clin. Transl. Hepatol. 2021, 9, 521–527. [Google Scholar] [CrossRef] [PubMed]
- Lu, J.; Zhao, M.; Arai, Y.; Zhong, B.Y.; Zhu, H.D.; Qi, X.L.; de Baere, T.; Pua, U.; Yoon, H.K.; Madoff, D.C.; et al. Clinical practice of transarterial chemoembolization for hepatocellular carcinoma: Consensus statement from an international expert panel of International Society of Multidisciplinary Interventional Oncology (ISMIO). Hepatobiliary Surg. Nutr. 2021, 10, 661–671. [Google Scholar] [CrossRef] [PubMed]
- Ni, J.-Y.; Fang, Z.-T.; Sun, H.-L.; An, C.; Huang, Z.-M.; Zhang, T.-Q.; Jiang, X.-Y.; Chen, Y.-T.; Xu, L.-F.; Huang, J.-H. A nomogram to predict survival of patients with intermediate-stage hepatocellular carcinoma after transarterial chemoembolization combined with microwave ablation. Eur. Radiol. 2020, 30, 2377–2390. [Google Scholar] [CrossRef]
- Ni, J.Y.; Sun, H.L.; Chen, Y.T.; Luo, J.H.; Chen, D.; Jiang, X.Y.; Xu, L.F. Prognostic factors for survival after transarterial chemoembolization combined with microwave ablation for hepatocellular carcinoma. World J. Gastroenterol. 2014, 20, 17483–17490. [Google Scholar] [CrossRef]
- Jaruvongvanich, V.; Sempokuya, T.; Wong, L. Is there an optimal staging system or liver reserve model that can predict outcome in hepatocellular carcinoma? J. Gastrointest. Oncol. 2018, 9, 750–761. [Google Scholar] [CrossRef]
- Chi, C.-T.; Lee, I.-C.; Lee, R.-C.; Hung, Y.-W.; Su, C.-W.; Hou, M.-C.; Chao, Y.; Huang, Y.-H. Effect of Transarterial Chemoembolization on ALBI Grade in Intermediate-Stage Hepatocellular Carcinoma: Criteria for Unsuitable Cases Selection. Cancers 2021, 13, 4325. [Google Scholar] [CrossRef]
- Lin, P.-T.; Teng, W.; Jeng, W.-J.; Chen, W.-T.; Hsieh, Y.-C.; Huang, C.-H.; Lui, K.-W.; Hung, C.-F.; Wang, C.-T.; Chai, P.-M.; et al. Dynamic Change of Albumin-Bilirubin Score Is Good Predictive Parameter for Prognosis in Chronic Hepatitis C-hepatocellular Carcinoma Patients Receiving Transarterial Chemoembolization. Diagnostics 2022, 12, 665. [Google Scholar] [CrossRef]
- Adhoute, X.; Larrey, E.; Anty, R.; Chevallier, P.; Penaranda, G.; Tran, A.; Bronowicki, J.-P.; Raoul, J.-L.; Castellani, P.; Perrier, H.; et al. Expected outcomes and patients’ selection before chemoembolization-“Six-and-Twelve or Pre-TACE-Predict” scores may help clinicians: Real-life French cohorts results. World J. Clin. Cases 2021, 9, 4559–4572. [Google Scholar] [CrossRef]
- Wang, Z.-X.; Wang, E.-X.; Bai, W.; Xia, D.-D.; Mu, W.; Li, J.; Yang, Q.-Y.; Huang, M.; Xu, G.-H.; Sun, J.-H.; et al. Validation and evaluation of clinical prediction systems for first and repeated transarterial chemoembolization in unresectable hepatocellular carcinoma: A Chinese multicenter retrospective study. World J. Gastroenterol. 2020, 26, 657–669. [Google Scholar] [CrossRef]
- Reig, M.; Forner, A.; Rimola, J.; Ferrer-Fàbrega, J.; Burrel, M.; Garcia-Criado, Á.; Kelley, R.K.; Galle, P.R.; Mazzaferro, V.; Salem, R.; et al. BCLC strategy for prognosis prediction and treatment recommendation: The 2022 update. J. Hepatol. 2022, 76, 681–693. [Google Scholar] [CrossRef] [PubMed]
- Sieghart, W.; Hucke, F.; Pinter, M.; Graziadei, I.; Vogel, W.; Müller, C.; Heinzl, H.; Trauner, M.; Peck-Radosavljevic, M. The ART of decision making: Retreatment with transarterial chemoembolization in patients with hepatocellular carcinoma. Hepatology 2013, 57, 2261–2273. [Google Scholar] [CrossRef] [PubMed]
- Adhoute, X.; Penaranda, G.; Naude, S.; Raoul, J.L.; Perrier, H.; Bayle, O.; Monnet, O.; Beaurain, P.; Bazin, C.; Pol, B.; et al. Retreatment with TACE: The ABCR SCORE, an aid to the decision-making process. J. Hepatol. 2015, 62, 855–862. [Google Scholar] [CrossRef]
- Iezzi, R.; Casà, C.; Posa, A.; Cornacchione, P.; Carchesio, F.; Boldrini, L.; Tanzilli, A.; Cerrito, L.; Fionda, B.; Longo, V.; et al. Project for interventional Oncology LArge-database in liveR Hepatocellular carcinoma—Preliminary CT-based radiomic analysis (POLAR Liver 1.1). Eur. Rev. Med. Pharmacol. Sci. 2022, 26, 2891–2899. [Google Scholar] [CrossRef]









| Characteristic | Training Cohort | Validation Cohort | p-Value | ||
|---|---|---|---|---|---|
| N = 142 | % | N = 87 | % | ||
| Age (yr) | 0.731 | ||||
| <60 | 90 | 63 | 52 | 60 | |
| ≥60 | 52 | 37 | 35 | 40 | |
| Sex | 0.329 | ||||
| Male | 95 | 67 | 49 | 56 | |
| Female | 47 | 33 | 38 | 44 | |
| HBsAg status | 0.941 | ||||
| Positive | 112 | 79 | 69 | 80 | |
| Negative | 30 | 21 | 18 | 20 | |
| Child–Pugh class | 0.881 | ||||
| A | 89 | 62 | 54 | 62 | |
| B | 53 | 38 | 33 | 38 | |
| Largest tumor size (cm) | 0.227 | ||||
| <5 mean ± SD | 96 | 67 | 47 | 54 | |
| ≥5 | 46 | 33 | 40 | 46 | |
| Tumor number | 0.258 | ||||
| ≤3 | 91 | 64 | 49 | 56 | |
| >3 | 51 | 36 | 38 | 44 | |
| AFP ((IU/mL) | 0.341 | ||||
| <200 | 40 | 28 | 27 | 31 | |
| ≥200 | 102 | 72 | 60 | 69 | |
| AST (U/L) | 0.319 | ||||
| <40 | 50 | 35 | 37 | 42 | |
| ≥40 | 92 | 65 | 50 | 58 | |
| ALT(U/L) | 0.431 | ||||
| <40 | 53 | 37 | 31 | 35 | |
| ≥40 | 89 | 63 | 56 | 65 | |
| ALB (g/L) | 0.351 | ||||
| <35 | 41 | 29 | 21 | 24 | |
| ≥35 | 101 | 71 | 66 | 76 | |
| Capsule | 0.239 | ||||
| Absent | 67 | 47 | 32 | 36 | |
| Present | 75 | 53 | 55 | 64 | |
| Up-to-seven criteria | |||||
| Within | 44 | 30 | 22 | 25 | 0.651 |
| Beyond | 98 | 70 | 65 | 75 | |
| Parameter | No. of Patients | Responders | Nonresponders |
|---|---|---|---|
| Response after Second Chemoembolization | |||
| Response after First Chemoembolization | |||
| Nonresponders | 66 | 34 (51.5) (47.8, 54.6) | 32 (48.5) (42.2, 52.3) |
| Response after Third Chemoembolization | |||
| Response after Second Chemoembolization | |||
| Nonresponders | 32 | 7 (21.8) (18.7, 23.7) | 25 (78.2) (71.3, 82.4) |
| Response after Third Chemoembolization | |||
| Response after Fourth Chemoembolization | |||
| Nonresponders | 25 | 3 (12.0) (9.1, 15.2) | 22 (88.0) (82.9, 91.4) |
| Parameter | Median OS (mo) | 1-Year OS | 2-Year OS | 3-Year OS | p-Value |
|---|---|---|---|---|---|
| Survival outcomes after cTACE-1 | p < 0.001 | ||||
| Responders | 39.2 ± 0.5 | 91.4 (82.6, 92.9) | 56.2 (47.2, 60.4) | 33.8 (28.2, 38.2) | |
| Nonresponders | 26.1 ± 1.2 | 88.4 (81.2, 91.3) | 26.1 (21.1, 30.2) | 13.4 (10.1, 18.8) | |
| Survival outcomes for nonresponders to cTACE-1 who underwent cTACE-2 | p < 0.001 | ||||
| Responders | 38.1 ± 0.9 | 90.2 (85.2, 94.1) | 60.1 (56.2, 68.1) | 36.2 (32.2, 40.1) | |
| Nonresponders | 24.2 ± 0.8 | 86.2 (81.3, 90.5) | 28.9 (22.1, 31.3) | 14.8 (11.2, 18.2) | |
| Survival outcomes for nonresponders to cTACE-2 who underwent cTACE-3 | p = 0.198 | ||||
| Responders | 31.2 ± 0.7 | 86.4 (81.2, 91.3) | 57.1 (48.1, 62.2) | 30.7 (26.4, 35.2) | |
| Nonresponders | 28.4 ± 0.9 | 85.2 (82.7, 90.2) | 54.3 (48.1, 61.2) | 26.5 (22.1, 30.4) | |
| Survival outcomes for nonresponders to cTACE-3 who underwent cTACE-4 | p = 0.268 | ||||
| Responders | 19.1 ± 0.9 | 61.4 (55.2, 66.3) | 14.2 (10.9, 18.4) | 8.2 (5.2, 11.7) | |
| Nonresponders | 17.4 ± 1.6 | 59.2 (54.9, 65.7) | 10.8 (6.2, 14.3) | 6.1 (2.2, 10.8) |
| Variable | Univariate Analysis | Multivariate Analysis | ||||
|---|---|---|---|---|---|---|
| Before Second TACE | Hazard Ratio | 95% CI | p-Value | Hazard Ratio | 95% CI | p-Value |
| Age (yr) <60/≥60 | 0.68 | 0.32–1.03 | 0.171 | |||
| Sex male/female | 0.81 | 0.42–1.27 | 0.233 | |||
| HBsAg status positive/negative | 0.54 | 0.23–0.76 | 0.234 | |||
| Child–Pugh class A/B | 1.32 | 0.63–1.34 | 0.338 | |||
| Largest tumor size (cm) <5/≥5 | 1.34 | 1.17–3.04 | 0.007 | 1.56 | 0.45–2.43 | <0.001 |
| Tumor number ≤3/m>3 | 1.31 | 1.01–2.98 | 0.004 | 1.45 | 1.07–3.00 | <0.001 |
| AFP (IU/mL) <200/≥200 | 0.62 | 0.22–1.09 | 0.018 | 1.45 | 1.04–2.01 | 0.078 |
| AST (U/L) <40/≥40 | 0.54 | 0.27–0.94 | 0.081 | |||
| ALT(U/L) <40/≥40 | 0.53 | 0.12–0.78 | 0.079 | |||
| ALB (g/L) <35/≥35 | 1.34 | 0.82–2.34 | 0.043 | 1.45 | 1.01–1.71 | 0.073 |
| Capsule absent/present | 1.87 | 1.34–3.97 | 0.018 | 1.46 | 0.09–2.76 | 0.093 |
| Up-to-seven criteria within/beyond | 1.32 | 1.10–1.87 | 0.032 | 1.67 | 1.00–1.76 | 0.098 |
| Pre-TACE-2 lipiodol deposition responder/nonreponder | 1.89 | 0.71–2.87 | 0.038 | 1.98 | 0.87–2.89 | 0.032 |
| Cohort | Models | 1-yr AUROC (95% CI) | 2-yr AUROC (95% CI) | 3-yr AUROC (95% CI) | C-Index (95% CI) | p-Value |
|---|---|---|---|---|---|---|
| Training | Nomogram I | 0.70 (0.69–0.73) | 0.65 (0.63–0.67) | 0.61 (0.60–0.63) | 0.66 (0.64–0.68) | 0.032 |
| Nomogram II | 0.74 (0.71–0.77) | 0.71 (0.69–0.73) | 0.67 (0.65–0.69) | 0.72 (0.69–0.74) | Ref. | |
| Nomogram III | 0.61 (0.59–0.66) | 0.59 (0.53–0.63) | 0.53 (0.50–0.57) | 0.56 (0.52–0.62) | <0.01 | |
| Validation | Nomogram I | 0.67 (0.65–0.69) | 0.64 (0.61–0.67) | 0.61 (0.59–0.63) | 0.63 (0.60–0.65) | 0.028 |
| Nomogram II | 0.72 (0.69–0.74) | 0.70 (0.68–0.73) | 0.65 (0.63–0.67) | 0.71 (0.68–0.73) | Ref. | |
| Nomogram III | 0.59 (0.53–0.63) | 0.57 (0.53–0.61) | 0.52 (0.50–0.57) | 0.53 (0.51–0.57) | <0.01 |
| Cohort | Models | 1-yr AUROC (95% CI) | 2-yr AUROC (95% CI) | 3-yr AUROC (95% CI) | C-Index (95% CI) | p-Value |
|---|---|---|---|---|---|---|
| Training | Nomogram II | 0.74 (0.71–0.77) | 0.71 (0.69–0.73) | 0.67 (0.65–0.69) | 0.72 (0.69–0.74) | Ref. |
| Six-and-Twelve | 0.71 (0.69–0.73) | 0.66 (0.64–0.68) | 0.62 (0.60–0.65) | 0.67 (0.65–0.69) | 0.032 | |
| Seven-Eleven Criteria | 0.69 (0.67–0.71) | 0.63 (0.61–0.67) | 0.59 (0.55–0.62) | 0.63 (0.61–0.65) | 0.023 | |
| HAP | 0.55 (0.51–0.59) | 0.54 (0.52–0.57) | 0.53 (0.50–0.55) | 0.56 (0.53–0.59) | <0.01 | |
| mHAP 3 | 0.61 (0.59–0.63) | 0.59 (0.54–0.62) | 0.52 (0.50–0.55) | 0.61 (0.58–0.64) | <0.01 | |
| BCLC-B subclassification | 0.58 (0.56–0.63) | 0.54 (0.52–0.58) | 0.52 (0.50–0.56) | 0.57 (0.55–0.61) | <0.01 | |
| ALBI grade | 0.66 (0.64–0.69) | 0.61 (0.59–0.64) | 0.59 (0.55–0.65) | 0.63 (0.60–0.69) | 0.038 | |
| ART score | 0.61 (0.58–0.64) | 0.59 (0.56–0.63) | 0.57 (0.54–0.60) | 0.60 (0.56–0.64) | <0.01 | |
| ABCR score | 0.67 (0.63–0.70) | 0.65 (0.62–0.68) | 0.61 (0.57–0.65) | 0.65 (0.62–0.69) | 0.036 | |
| Validation | Nomogram II | 0.72 (0.69–0.74) | 0.70 (0.68–0.73) | 0.65 (0.63–0.67) | 0.71 (0.68–0.73) | Ref. |
| Six-and-Twelve | 0.70 (0.68–0.73) | 0.65 (0.62–0.68) | 0.61 (0.58–0.63) | 0.66 (0.64–0.69) | 0.048 | |
| Seven-Eleven Criteria | 0.68 (0.66–0.71) | 0.62 (0.59–0.65) | 0.57 (0.55–0.61) | 0.62 (0.60–0.64) | 0.041 | |
| HAP | 0.54 (0.51–0.56) | 0.52 (0.50–0.55) | 0.50 (0.49–0.53) | 0.54 (0.52–0.56) | <0.01 | |
| mHAP 3 | 0.60 (0.57–0.63) | 0.56 (0.52–0.61) | 0.51 (0.48–0.54) | 0.60 (0.58–0.63) | <0.01 | |
| BCLC-B subclassification | 0.56 (0.54–0.60) | 0.52 (0.50–0.55) | 0.50 (0.48–0.53) | 0.55 (0.53–0.60) | <0.01 | |
| ALBI grade | 0.65 (0.62–0.67) | 0.60 (0.58–0.63) | 0.56 (0.54–0.60) | 0.61 (0.58–0.64) | 0.039 | |
| ART score | 0.62 (0.57–0.66) | 0.56 (0.52–0.60) | 0.54 (0.51–0.58) | 0.59 (0.56–0.63) | <0.01 | |
| ABCR score | 0.68 (0.64–0.71) | 0.66 (0.62–0.70) | 0.63 (0.59–0.67) | 0.66 (0.62–0.70) | 0.041 |
Publisher’s Note: MDPI stays neutral with regard to jurisdictional claims in published maps and institutional affiliations. |
© 2022 by the authors. Licensee MDPI, Basel, Switzerland. This article is an open access article distributed under the terms and conditions of the Creative Commons Attribution (CC BY) license (https://creativecommons.org/licenses/by/4.0/).
Share and Cite
Niu, X.-K.; He, X.-F. A Nomogram Based on Preoperative Lipiodol Deposition after Sequential Retreatment with Transarterial Chemoembolization to Predict Prognoses for Intermediate-Stage Hepatocellular Carcinoma. J. Pers. Med. 2022, 12, 1375. https://doi.org/10.3390/jpm12091375
Niu X-K, He X-F. A Nomogram Based on Preoperative Lipiodol Deposition after Sequential Retreatment with Transarterial Chemoembolization to Predict Prognoses for Intermediate-Stage Hepatocellular Carcinoma. Journal of Personalized Medicine. 2022; 12(9):1375. https://doi.org/10.3390/jpm12091375
Chicago/Turabian StyleNiu, Xiang-Ke, and Xiao-Feng He. 2022. "A Nomogram Based on Preoperative Lipiodol Deposition after Sequential Retreatment with Transarterial Chemoembolization to Predict Prognoses for Intermediate-Stage Hepatocellular Carcinoma" Journal of Personalized Medicine 12, no. 9: 1375. https://doi.org/10.3390/jpm12091375
APA StyleNiu, X.-K., & He, X.-F. (2022). A Nomogram Based on Preoperative Lipiodol Deposition after Sequential Retreatment with Transarterial Chemoembolization to Predict Prognoses for Intermediate-Stage Hepatocellular Carcinoma. Journal of Personalized Medicine, 12(9), 1375. https://doi.org/10.3390/jpm12091375
