Prospective Evaluation of Intraorbital Soft Tissue Atrophy after Posttraumatic Bone Reconstruction: A Risk Factor for Enophthalmos
Abstract
:1. Introduction
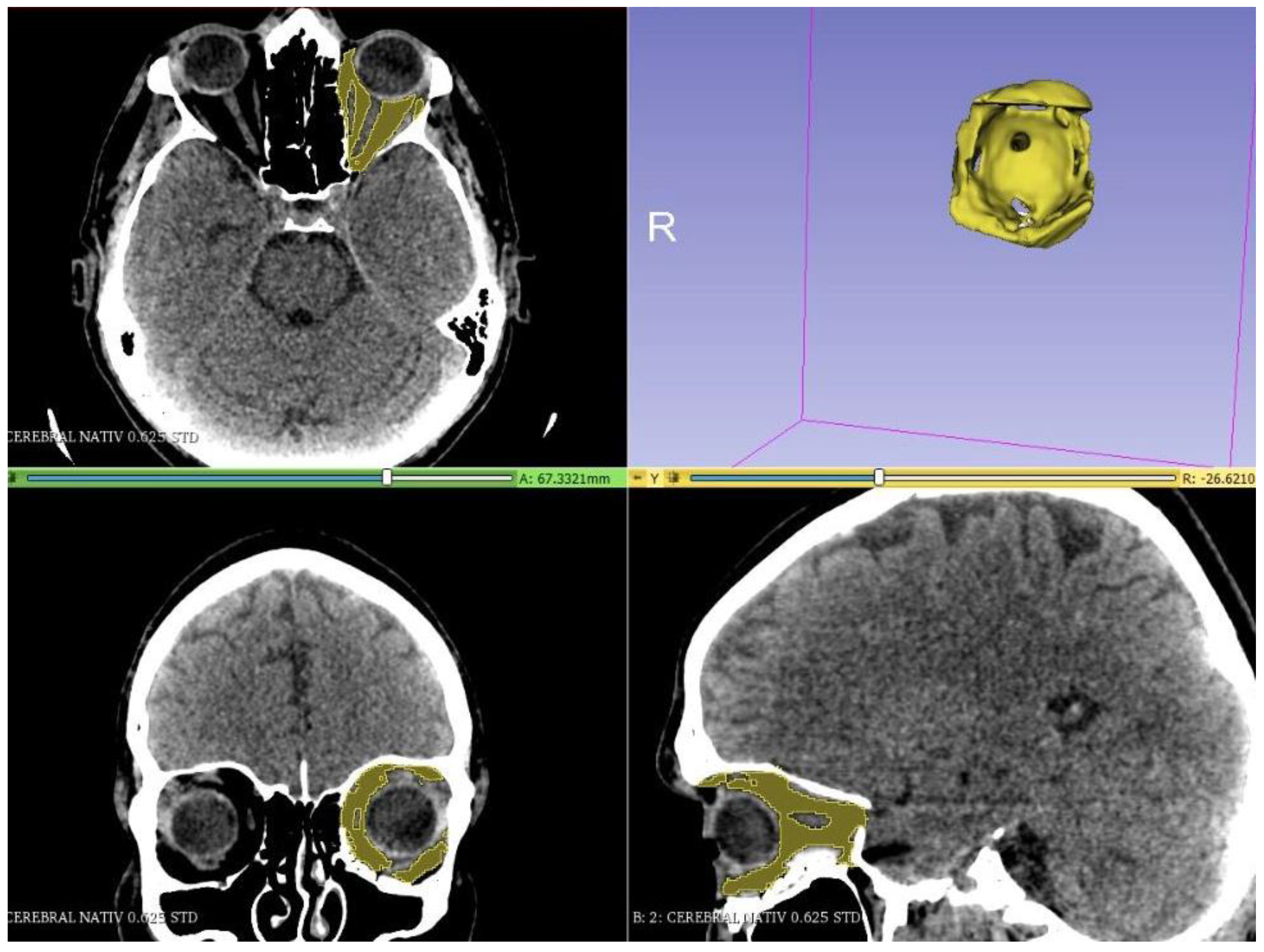
2. Materials and Methods
3. Results
4. Discussion
5. Conclusions
Author Contributions
Funding
Institutional Review Board Statement
Informed Consent Statement
Data Availability Statement
Conflicts of Interest
References
- Lemke, B.N.; Kikkawa, D.O. Repair of orbital floor fractures with hydroxyapatite block scaffolding. Ophthal. Plast. Reconstr. Surg. 1999, 15, 161–165. [Google Scholar] [CrossRef] [PubMed]
- Hwang, K.; You, S.H.; Sohn, I.A. Analysis of orbital bone fractures: A 12-year study of 391 patients. J. Craniofac. Surg. 2009, 20, 1218–1223. [Google Scholar] [CrossRef] [PubMed]
- Hwang, K.; Huan, F.; Hwang, P.J. Diplopia and enophthalmos in blowout fractures. J. Craniofac. Surg. 2012, 23, 1077–1082. [Google Scholar] [CrossRef] [PubMed]
- Ko, M.J.; Morris, C.K.; Kim, J.W.; Lad, S.P.; Arrigo, R.T.; Lad, E.M. Orbital fractures: National inpatient trends and complications. Ophthalmic Plast. Reconstr. Surg. 2013, 29, 298–303. [Google Scholar] [CrossRef] [Green Version]
- Biesman, B.S.; Hornblass, A.; Lisman, R.; Kazlas, M. Diplopia after surgical repair of orbital floor fractures. Ophthalmic Plast. Reconstr. Surg. 1996, 12, 9–17. [Google Scholar] [CrossRef]
- Hoşal, B.M.; Beatty, R.L. Diplopia and enophthalmos after surgical repair of blowout fracture. Orbit 2002, 21, 27–33. [Google Scholar] [CrossRef]
- Chi, M.J.; Ku, M.; Shin, K.H.; Baek, S. An analysis of 733 surgically treated blowout fractures. Ophthalmologica 2010, 224, 167–175. [Google Scholar] [CrossRef]
- Shin, J.W.; Lim, J.S.; Yoo, G.; Byeon, J.H. An analysis of pure blowout fractures and associated ocular symptoms. J. Craniofacial Surg. 2013, 24, 703–707. [Google Scholar] [CrossRef]
- Metzger, M.C.; Schön, R.; Zizelmann, C.; Weyer, N.; Gutwald, R.; Schmelzeisen, R. Semiautomatic procedure for individual preforming of titanium meshes for orbital fractures. Plast. Reconstr. Surg. 2007, 119, 969–976. [Google Scholar] [CrossRef]
- Baumann, A.; Sinko, K.; Dorner, G. Late Reconstruction of the Orbit with Patient-Specific Implants Using Computer-Aided Planning and Navigation. J. Oral Maxillofac. Surg. 2015, 73, S101–S106. [Google Scholar] [CrossRef]
- Ellis, E., III. Surgical approaches to the orbit in primary and secondary reconstruction. Facial Plast. Surg. FPS 2014, 30, 537–544. [Google Scholar] [CrossRef] [PubMed]
- Gellrich, N.C.; Schramm, A.; Hammer, B.; Rojas, S.; Cufi, D.; Lagrèze, W.; Schmelzeisen, R. Computer-assisted secondary reconstruction of unilateral posttraumatic orbital deformity. Plast. Reconstr. Surg. 2002, 110, 1417–1429. [Google Scholar] [CrossRef] [PubMed]
- Metzger, M.C.; Schön, R.; Weyer, N.; Rafii, A.; Gellrich, N.C.; Schmelzeisen, R.; Strong, B.E. Anatomical 3-dimensional pre-bent titanium implant for orbital floor fractures. Ophthalmology 2006, 113, 1863–1868. [Google Scholar] [CrossRef] [PubMed]
- Zimmerer, R.M.; Gellrich, N.C.; von Bülow, S.; Strong, E.B.; Ellis, E., III; Wagner, M.; Sanchez Aniceto, G.; Schramm, A.; Grant, M.P.; Thiam Chye, L.; et al. Is there more to the clinical outcome in posttraumatic reconstruction of the inferior and medial orbital walls than accuracy of implant placement and implant surface contouring? A prospective multicenter study to identify predictors of clinical outcome. J. Cranio-Maxillo-Facial Surg. 2018, 46, 578–587. [Google Scholar] [CrossRef]
- Zimmerer, R.M.; Ellis, E., III; Aniceto, G.S.; Schramm, A.; Wagner, M.E.; Grant, M.P.; Cornelius, C.P.; Strong, E.B.; Rana, M.; Chye, L.T.; et al. A prospective multicenter study to compare the precision of posttraumatic internal orbital reconstruction with standard preformed and individualized orbital implants. J. Cranio-Maxillo-Facial Surg. 2016, 44, 1485–1497. [Google Scholar] [CrossRef] [PubMed]
- Rana, M.; Gellrich, M.M.; Gellrich, N.C. Customised reconstruction of the orbital wall and engineering of selective laser melting (SLM) core implants. Br. J. Oral Maxillofac. Surg. 2015, 53, 208–209. [Google Scholar] [CrossRef] [PubMed]
- Rana, M.; Chui, C.H.; Wagner, M.; Zimmerer, R.; Rana, M.; Gellrich, N.C. Increasing the accuracy of orbital reconstruction with selective laser-melted patient-specific implants combined with intraoperative navigation. J. Oral Maxillofac. Surg. 2015, 73, 1113–1118. [Google Scholar] [CrossRef] [Green Version]
- Strong, E.B.; Fuller, S.C.; Wiley, D.F.; Zumbansen, J.; Wilson, M.D.; Metzger, M.C. Preformed vs. intraoperative bending of titanium mesh for orbital reconstruction. Otolaryngol.-Head Neck Surg. 2013, 149, 60–66. [Google Scholar] [CrossRef] [PubMed]
- Du, Y.; Lu, B.Y.; Chen, J.; He, J.F. Measurement of the Orbital Soft Tissue Volume in Chinese Adults Based on Three-Dimensional CT Reconstruction. J. Ophthalmol. 2019, 2019, 9721085. [Google Scholar] [CrossRef] [PubMed] [Green Version]
- Regensburg, N.I.; Wiersinga, W.M.; van Velthoven, M.E.; Berendschot, T.T.; Zonneveld, F.W.; Baldeschi, L.; Saeed, P.; Mourits, M.P. Age and gender-specific reference values of orbital fat and muscle volumes in Caucasians. Br. J. Ophthalmol. 2011, 95, 1660–1663. [Google Scholar] [CrossRef] [Green Version]
- Chazen, J.L.; Lantos, J.; Gupta, A.; Lelli, G.J., Jr.; Phillips, C.D. Orbital soft-tissue trauma. Neuroimaging Clin. N. Am. 2014, 24, 425–437. [Google Scholar] [CrossRef] [PubMed]
- Safi, A.F.; Richter, M.T.; Rothamel, D.; Nickenig, H.J.; Scheer, M.; Zöller, J.; Kreppel, M. Influence of the volume of soft tissue herniation on clinical symptoms of patients with orbital floor fractures. J. Cranio-Maxillo-Facial Surg. 2016, 44, 1929–1934. [Google Scholar] [CrossRef]
- Byun, J.S.; Moon, N.J.; Lee, J.K. Quantitative analysis of orbital soft tissues on computed tomography to assess the activity of thyroid-associated orbitopathy. Graefe’s Arch. Clin. Exp. Ophthalmol. 2017, 255, 413–420. [Google Scholar] [CrossRef] [PubMed]
- Bijlsma, W.R.; Mourits, M.P. Radiologic measurement of extraocular muscle volumes in patients with Graves’ orbitopathy: A review and guideline. Orbit 2006, 25, 83–91. [Google Scholar] [CrossRef]
- Ye, J.; Kook, K.H.; Lee, S.Y. Evaluation of computer-based volume measurement and porous polyethylene channel implants in reconstruction of large orbital wall fractures. Investig. Ophthalmol. Vis. Sci. 2006, 47, 509–513. [Google Scholar] [CrossRef] [Green Version]
- Pilanci, O.; Ceran, F.; Sagir, M.; Teken, A.; Kuvat, S.V. Evaluation of the Retro-Orbital Fatty Tissue Volume in Delayed Orbital Blow-Out Fractures. Ophthalmic Plast. Reconstr. Surg. 2016, 32, 207–210. [Google Scholar] [CrossRef]
- Hu, H.; Xu, X.Q.; Liu, H.; Hong, X.N.; Shi, H.B.; Wu, F.Y. Orbital benign and malignant lymphoproliferative disorders: Differentiation using semi-quantitative and quantitative analysis of dynamic contrast-enhanced magnetic resonance imaging. Eur. J. Radiol. 2017, 88, 88–94. [Google Scholar] [CrossRef]
- Kim, J.M.; Chang, M.H.; Kyung, S.E. The orbital volume measurement in patients with ventriculoperitoneal shunt. J. Craniofacial Surg. 2015, 26, 255–258. [Google Scholar] [CrossRef]
- Regensburg, N.I.; Kok, P.H.; Zonneveld, F.W.; Baldeschi, L.; Saeed, P.; Wiersinga, W.M.; Mourits, M.P. A new and validated CT-based method for the calculation of orbital soft tissue volumes. Investig. Ophthalmol. Vis. Sci. 2008, 49, 1758–1762. [Google Scholar] [CrossRef] [Green Version]
- Bangiyev, L.; Raz, E.; Block, T.K.; Hagiwara, M.; Wu, X.; Yu, E.; Fatterpekar, G.M. Evaluation of the orbit using contrast-enhanced radial 3D fat-suppressed T1 weighted gradient echo (Radial-VIBE) sequence. Br. J. Radiol. 2015, 88, 20140863. [Google Scholar] [CrossRef] [Green Version]
- Comerci, M.; Elefante, A.; Strianese, D.; Senese, R.; Bonavolontà, P.; Alfano, B.; Bonavolontà, B.; Brunetti, A. Semiautomatic regional segmentation to measure orbital fat volumes in thyroid-associated ophthalmopathy. A validation study. Neuroradiol. J. 2013, 26, 373–379. [Google Scholar] [CrossRef] [PubMed]
- Jansen, J.; Schreurs, R.; Dubois, L.; Maal, T.J.; Gooris, P.J.; Becking, A.G. Orbital volume analysis: Validation of a semi-automatic software segmentation method. Int. J. Comput. Assist. Radiol. Surg. 2016, 11, 11–18. [Google Scholar] [CrossRef] [PubMed] [Green Version]
- Lutzemberger, L.; Salvetti, O. Volumetric analysis of CT orbital images. Med. Biol. Eng. Comput. 1998, 36, 661–666. [Google Scholar] [CrossRef] [PubMed]
- Rana, M.; Essig, H.; Rücker, M.; Gellrich, N.C. Development and demonstration of a novel computer planning solution for predefined correction of enophthalmos in anophthalmic patients using prebended 3D titanium-meshes—A technical note. J. Oral Maxillofac. Surg. 2012, 70, e631–e638. [Google Scholar] [CrossRef] [PubMed]
- Mustafa, S.F.; Evans, P.L.; Bocca, A.; Patton, D.W.; Sugar, A.W.; Baxter, P.W. Customized titanium reconstruction of post-traumatic orbital wall defects: A review of 22 cases. Int. J. Oral Maxillofac. Surg. 2011, 40, 1357–1362. [Google Scholar] [CrossRef]
- Ramieri, G.; Spada, M.C.; Bianchi, S.D.; Berrone, S. Dimensions and volumes of the orbit and orbital fat in posttraumatic enophthalmos. Dento Maxillo Facial Radiol. 2000, 29, 302–311. [Google Scholar] [CrossRef]
- Manson, P.N.; Ruas, E.J.; Iliff, N.T. Deep orbital reconstruction for correction of post-traumatic enophthalmos. Clin. Plast. Surg. 1987, 14, 113–121. [Google Scholar] [CrossRef]
- Manson, P.N.; Grivas, A.; Rosenbaum, A.; Vannier, M.; Zinreich, J.; Iliff, N. Studies on enophthalmos: II. The measurement of orbital injuries and their treatment by quantitative computed tomography. Plast. Reconstr. Surg. 1986, 77, 203–214. [Google Scholar] [CrossRef]
- Brucoli, M.; Arcuri, F.; Cavenaghi, R.; Benech, A. Analysis of complications after surgical repair of orbital fractures. J. Craniofacial Surg. 2011, 22, 1387–1390. [Google Scholar] [CrossRef] [Green Version]
- Koo, L.; Hatton, M.P.; Rubin, P.A. When is enophthalmos “significant”? Ophthalmic Plast. Reconstr. Surg. 2006, 22, 274–277. [Google Scholar] [CrossRef]
- Metzler, P.; Ezaldein, H.H.; Pfaff, M.J.; Parsaei, Y.; Steinbacher, D.M. Correction of severe enophthalmos by simultaneous fat grafting and anatomic orbital reconstruction. J. Craniofacial Surg. 2014, 25, 1829–1832. [Google Scholar] [CrossRef] [PubMed]
- Spalthoff, S.; Dittmann, J.; Zimmerer, R.; Jehn, P.; Tavassol, F.; Gellrich, N.C. Intraorbital volume augmentation with patient-specific titanium spacers. J. Stomatol. Oral Maxillofac. Surg. 2020, 121, 133–139. [Google Scholar] [CrossRef] [PubMed]







| Case No. | Affected Orbit | AOV | HOV | AFV | HFV | AMV | HMV | Number of Affected Walls | Gender |
|---|---|---|---|---|---|---|---|---|---|
| Case 1 | R | 27.15 | 27.01 | 13.91 | 14.64 | 3.48 | 4.21 | 1 | F |
| Case 2 | L | 24.45 | 24.49 | 11.96 | 13.27 | 3.01 | 3.59 | 2 | F |
| Case 3 | L | 25.15 | 25.14 | 7.93 | 10.16 | 3.79 | 3.95 | 1 | F |
| Case 4 | R | 25.62 | 25.66 | 10.85 | 13.04 | 3.86 | 4.12 | 1 | F |
| Case 5 | L | 30.52 | 30.54 | 14.36 | 17.49 | 4.20 | 4.39 | 2 | M |
| Case 6 | R | 27.60 | 27.63 | 12.02 | 15.62 | 3.42 | 3.99 | 3 | M |
| Case 7 | R | 28.03 | 28.02 | 14.42 | 15.19 | 4.40 | 4.67 | 3 | M |
| Case 8 | L | 31.19 | 31.24 | 16.10 | 18.67 | 4.33 | 4.57 | 1 | M |
| Case 9 | R | 30.47 | 30.46 | 13.41 | 16.68 | 4.43 | 4.70 | 2 | M |
| Case 10 | L | 28.29 | 28.27 | 13.00 | 15.50 | 4.46 | 4.68 | 2 | M |
| Case No. | HOV | AOV | Delta |
|---|---|---|---|
| Case 1 | 27.01 | 27.15 | −0.14 |
| Case 2 | 24.49 | 24.45 | 0.04 |
| Case 3 | 25.14 | 25.15 | −0.01 |
| Case 4 | 25.66 | 25.62 | 0.04 |
| Case 5 | 30.54 | 30.52 | 0.02 |
| Case 6 | 27.63 | 27.60 | 0.03 |
| Case 7 | 28.02 | 28.03 | −0.01 |
| Case 8 | 31.24 | 31.19 | 0.05 |
| Case 9 | 30.46 | 30.47 | −0.01 |
| Case 10 | 28.29 | 28.27 | 0.02 |
| Case No. | HFV | AFV | Delta |
|---|---|---|---|
| Case 1 | 14.64 | 13.91 | 0.73 |
| Case 2 | 13.27 | 11.96 | 1.31 |
| Case 3 | 10.16 | 7.93 | 2.23 |
| Case 4 | 13.04 | 10.85 | 2.19 |
| Case 5 | 17.49 | 14.36 | 3.12 |
| Case 6 | 15.62 | 12.02 | 3.60 |
| Case 7 | 15.19 | 14.42 | 0.77 |
| Case 8 | 18.67 | 16.10 | 2.56 |
| Case 9 | 16.68 | 13.41 | 3.27 |
| Case 10 | 15.50 | 13.00 | 2.50 |
| Case No. | HMV | AMV | Delta |
|---|---|---|---|
| Case 1 | 4.21 | 3.48 | 0.73 |
| Case 2 | 3.59 | 3.01 | 0.58 |
| Case 3 | 3.95 | 3.79 | 0.16 |
| Case 4 | 4.12 | 3.86 | 0.26 |
| Case 5 | 4.39 | 4.20 | 0.19 |
| Case 6 | 3.99 | 3.42 | 0.57 |
| Case 7 | 4.67 | 4.40 | 0.27 |
| Case 8 | 4.57 | 4.33 | 0.25 |
| Case 9 | 4.70 | 4.43 | 0.27 |
| Case 10 | 4.68 | 4.46 | 0.2 |
| Gender | HOV | AOV | HFV | AFV | HMV | HMV |
|---|---|---|---|---|---|---|
| F | 25.57 ± 1.07 | 25.59 ± 1.14 | 12.78 ± 1.88 | 11.16 ± 2.50 | 3.97 ± 0.27 | 3.535 ± 0.39 |
| M | 29.38 ± 1.55 | 29.35 ± 1.55 | 16.53 ± 1.36 | 13.89 ± 1.41 | 4.50 ± 0.27 | 4.21 ± 0.4 |
Publisher’s Note: MDPI stays neutral with regard to jurisdictional claims in published maps and institutional affiliations. |
© 2022 by the authors. Licensee MDPI, Basel, Switzerland. This article is an open access article distributed under the terms and conditions of the Creative Commons Attribution (CC BY) license (https://creativecommons.org/licenses/by/4.0/).
Share and Cite
Dinu, C.; Tamas, T.; Agrigoroaei, G.; Stoia, S.; Opris, H.; Bran, S.; Armencea, G.; Manea, A. Prospective Evaluation of Intraorbital Soft Tissue Atrophy after Posttraumatic Bone Reconstruction: A Risk Factor for Enophthalmos. J. Pers. Med. 2022, 12, 1210. https://doi.org/10.3390/jpm12081210
Dinu C, Tamas T, Agrigoroaei G, Stoia S, Opris H, Bran S, Armencea G, Manea A. Prospective Evaluation of Intraorbital Soft Tissue Atrophy after Posttraumatic Bone Reconstruction: A Risk Factor for Enophthalmos. Journal of Personalized Medicine. 2022; 12(8):1210. https://doi.org/10.3390/jpm12081210
Chicago/Turabian StyleDinu, Cristian, Tiberiu Tamas, Gabriela Agrigoroaei, Sebastian Stoia, Horia Opris, Simion Bran, Gabriel Armencea, and Avram Manea. 2022. "Prospective Evaluation of Intraorbital Soft Tissue Atrophy after Posttraumatic Bone Reconstruction: A Risk Factor for Enophthalmos" Journal of Personalized Medicine 12, no. 8: 1210. https://doi.org/10.3390/jpm12081210
APA StyleDinu, C., Tamas, T., Agrigoroaei, G., Stoia, S., Opris, H., Bran, S., Armencea, G., & Manea, A. (2022). Prospective Evaluation of Intraorbital Soft Tissue Atrophy after Posttraumatic Bone Reconstruction: A Risk Factor for Enophthalmos. Journal of Personalized Medicine, 12(8), 1210. https://doi.org/10.3390/jpm12081210

