Dose-Dependent Effect of Cordycepin on Viability, Proliferation, Cell Cycle, and Migration in Dental Pulp Stem Cells
Abstract
:Simple Summary
Abstract
1. Introduction
2. Materials and Methods
2.1. Sample Collection
2.2. Culture and Expansion of Human DPSCs
2.3. Characterization of DPSCs by Flow Cytometry
2.4. Osteogenic Differentiation
2.5. Adipogenic Differentiation
2.6. Chondrogenic Differentiation
2.7. MTT Assay of DPSC following Treatment
2.8. Growth Curve Plotting
2.9. Cell Cycle Analysis by Flow Cytometry
2.10. Analysis of Migration by Wound Scratch Assay
2.11. ROS Assay
2.12. Real-Time Quantitative PCR for Analysis of Gene Expression
2.13. Statistical Analysis
3. Results
3.1. DPSCs Show Characteristic Marker Expression for MSC-Specific Markers and Trilineage Differentiation
3.2. Cordycepin at Lower Concentrations Does Not Affect the Viability of DPSCs
3.3. Growth Curve
3.4. Cell Cycle Analysis by PI Staining in DPSCs Treated with Various Concentrations of Cpn
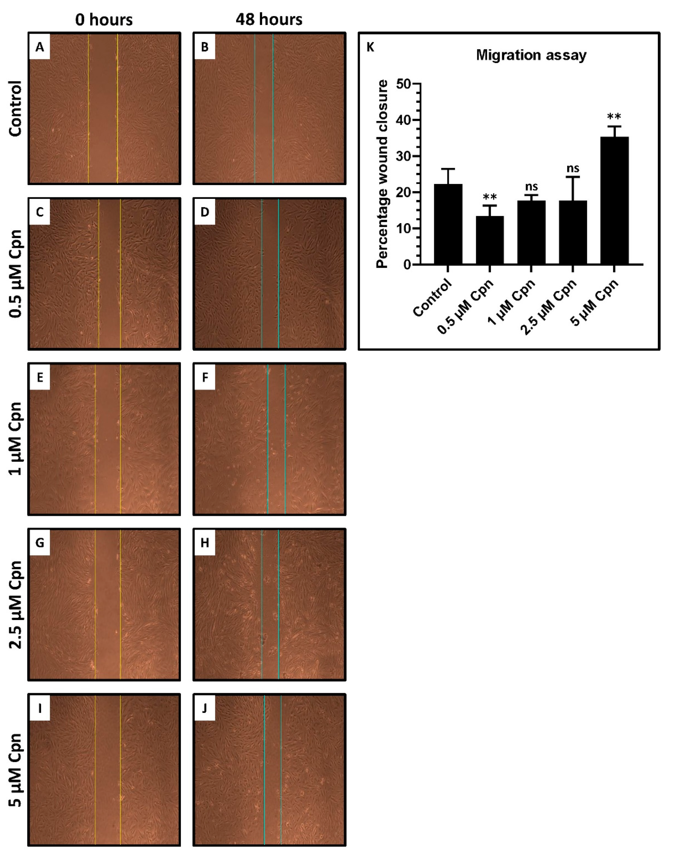
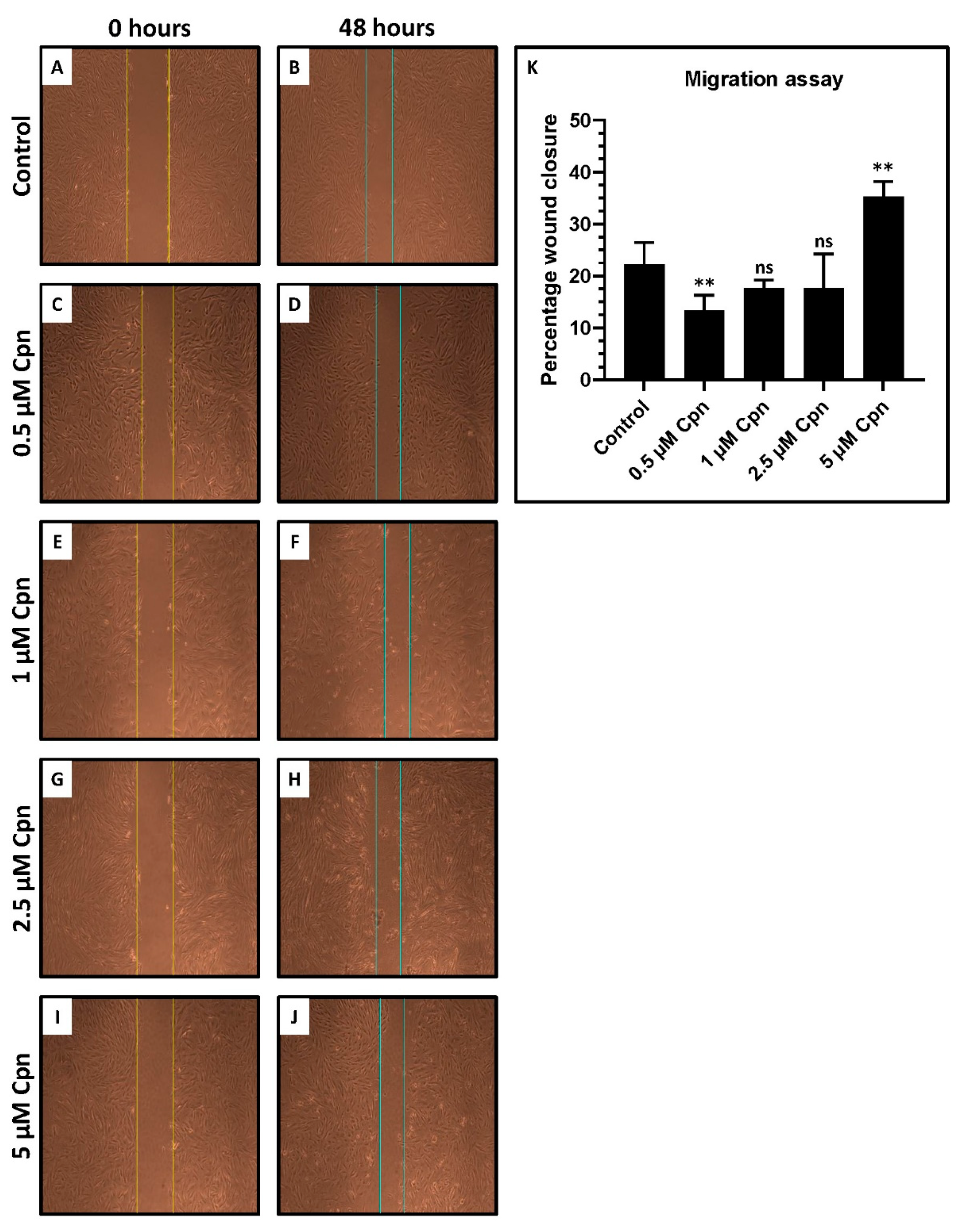
3.5. Cordycepin Treatment Affects the Migratory Ability in DPSCs in a Concentration-Dependent Manner
3.6. Cordycepin Treatment Reduces Reactive Oxygen Species Generation in DPSCs at Higher Concentration
3.7. Cordycepin Treatment for a Longer Period of 7 Days Changes the Morphology of DPSCs, Downregulates Gene Expression of Adipogenesis and Chondrogenesis Master Regulator Genes, Upregulates Gene Expression of Osteogenesis Master Regulator, and Shows Differential Effects on the Gene Expression of Stemness Related Transcription Factors
4. Discussion
5. Conclusions
Author Contributions
Funding
Institutional Review Board Statement
Informed Consent Statement
Conflicts of Interest
References
- Goyal, S.; Ramawat, K.G.; Mérillon, J.-M. Different Shades of Fungal Metabolites: An Overview. In Fungal Metabolites; Springer International Publishing: Cham, Switzerland, 2017; pp. 1–29. ISBN 978-3-319-25000-7. [Google Scholar]
- Tuli, H.S.; Sandhu, S.S.; Sharma, A.K. Pharmacological and therapeutic potential of Cordyceps with special reference to Cordycepin. 3 Biotech 2014, 4, 1–12. [Google Scholar] [CrossRef] [PubMed] [Green Version]
- Devkota, S. Yarsagumba [Cordyceps sinensis (Berk.) Sacc.]; Traditional Utilization in Dolpa District, Western Nepal. Our Nat. 2007, 4, 48–52. [Google Scholar]
- Yoon, S.Y.; Park, S.J.; Park, Y.J. The Anticancer Properties of Cordycepin and Their Underlying Mechanisms. Int. J. Mol. Sci. 2018, 19, 3027. [Google Scholar] [CrossRef] [PubMed] [Green Version]
- Potdar, P.D.; Jethmalani, Y.D. Human dental pulp stem cells: Applications in future regenerative medicine. World J. Stem Cells 2015, 7, 839–851. [Google Scholar] [CrossRef]
- Patil, V.R.; Kharat, A.H.; Kulkarni, D.G.; Kheur, S.M.; Bhonde, R.R. Long term explant culture for harvesting homogeneous population of human dental pulp stem cells. Cell Biol. Int. 2018, 42, 1602–1610. [Google Scholar] [CrossRef] [PubMed]
- Horowitz, B.; Goldfinger, B.A.; Marmur, J. Effect of cordycepin triphosphate on the nuclear DNA-dependent RNA polymerases and poly(A) polymerase from the yeast, Saccharomyces cerevisiae. Arch. Biochem. Biophys. 1976, 172, 143–148. [Google Scholar] [CrossRef]
- Müller, W.E.; Seibert, G.; Beyer, R.; Breter, H.J.; Maidhof, A.; Zahn, R.K. Effect of cordycepin on nucleic acid metabolism in L5178Y cells and on nucleic acid-synthesizing enzyme systems. Cancer Res. 1977, 37, 3824–3833. [Google Scholar]
- Li, Z.; Gu, Y.; Lin, Z.; Ma, H.; Zhang, S. Cordycepin promotes osteogenesis of bone marrow-derived mesenchymal stem cells and accelerates fracture healing via hypoxia in a rat model of closed femur fracture. Biomed. Pharmacother. 2020, 125, 109991. [Google Scholar] [CrossRef] [PubMed]
- Yu, S.-B.; Kim, H.-J.; Kang, H.-M.; Park, B.-S.; Lee, J.-H.; Kim, I.-R. Cordycepin Accelerates Osteoblast Mineralization and Attenuates Osteoclast Differentiation In Vitro. Evid. Based Complement. Alternat. Med. 2018, 2018, 5892957. [Google Scholar] [CrossRef] [PubMed]
- Wang, F.; Yin, P.; Lu, Y.; Zhou, Z.; Jiang, C.; Liu, Y.; Yu, X. Cordycepin prevents oxidative stress-induced inhibition of osteogenesis. Oncotarget 2015, 6, 35496–35508. [Google Scholar] [CrossRef] [PubMed]
- Yang, J.; Cao, Y.; Lv, Z.; Jiang, T.; Wang, L.; Li, Z. Cordycepin protected against the TNF-α-induced inhibition of osteogenic differentiation of human adipose-derived mesenchymal stem cells. Int. J. Immunopathol. Pharmacol. 2015, 28, 296–307. [Google Scholar] [CrossRef] [PubMed] [Green Version]
- Woo, J.T.; Yonezawa, T.; Nagai, K. Phytochemicals That Stimulate Osteoblastic Differentiation and Bone Formation. J. Biosci. 2010, 52, 15–21. [Google Scholar] [CrossRef]
- Wang, C.-H.; Chang, C.-H.; Lin, T.-L.; Fu, R.-H.; Huang, Y.-C.; Chen, S.-Y.; Shyu, W.-C.; Liu, S.-P. The novel application of cordycepin in maintaining stem cell pluripotency and increasing iPS cell generation efficiency. Sci. Rep. 2020, 10, 2187. [Google Scholar] [CrossRef] [PubMed] [Green Version]
- Guo, Z.; Chen, W.; Dai, G.; Huang, Y. Cordycepin suppresses the migration and invasion of human liver cancer cells by downregulating the expression of CXCR4. Int. J. Mol. Med. 2020, 45, 141–150. [Google Scholar] [CrossRef] [PubMed] [Green Version]
- Tao, X.; Ning, Y.; Zhao, X.; Pan, T. The effects of cordycepin on the cell proliferation, migration and apoptosis in human lung cancer cell lines A549 and NCI-H460. J. Pharm. Pharmacol. 2016, 68, 901–911. [Google Scholar] [CrossRef] [PubMed]
- Raghavan, R.N.; Vignesh, G.; Kumar, B.S.; Selvaraj, R.; Dare, B.J. Phytochemicals: Do they hold the future in stem cell differentiation. Int. J. Res. Pharma 2015, 6, 379–381. [Google Scholar] [CrossRef]
- Raghavan, R.N.; Somanathan, N.; Sastry, T.P. Evaluation of phytochemical-incorporated porous polymeric sponges for bone tissue engineering: A novel perspective. Proc. Inst. Mech. Eng. H 2013, 227, 859–865. [Google Scholar] [CrossRef] [PubMed]






| Gene | Forward Primer | Reverse Primer |
|---|---|---|
| PPARG | 5′-AGC CTG CGA AAG CCT TTT GGT G-3′ | 5′-GGC TTC ACA TTC AGC AAA CCT GG-3′ |
| SOX9 | 5′-GCC GAA AGC GGG CTC GAA AC-3′ | 5′-AAA AGT GGG GGC GCT TGC ACC-3′ |
| RUNX2 | 5′-GTG CCT AGG CGC ATT TCA-3′ | 5′-GCT CTT CTT ACT GAG AGT GGA AGG-3′ |
| SOX2 | 5′-GCT ACA GCA TGA TGC AGG ACC A-3′ | 5′-TCT GCG AGC TGG TCA TGG AGT T-3′ |
| NANOG | 5′-CTC CAA CAT CCT GAA CCT CAG C-3′ | 5′-CGT CAC ACC ATT GCT ATT CTT CG-3′ |
| OCT4 | 5′-CCT GAA GCA GAA GAG GAT CAC C-3′ | 5′-AAA GCG GCA GAT GGT CGT TTG G-3′ |
| GAPDH | 5′-GTC TCC TCT GAC TTC AAC AGC G-3′ | 5′-ACC ACC CTG TTG CTG TAG CCA A-3′ |
Publisher’s Note: MDPI stays neutral with regard to jurisdictional claims in published maps and institutional affiliations. |
© 2021 by the authors. Licensee MDPI, Basel, Switzerland. This article is an open access article distributed under the terms and conditions of the Creative Commons Attribution (CC BY) license (https://creativecommons.org/licenses/by/4.0/).
Share and Cite
Boreak, N.; Alkahtani, A.; Alzahrani, K.; Kenani, A.H.; Faqehi, W.H.; Faqehi, H.H.; Ageeli, R.E.; Moafa, W.N.; Baeshen, H.A.; Bhandi, S.; et al. Dose-Dependent Effect of Cordycepin on Viability, Proliferation, Cell Cycle, and Migration in Dental Pulp Stem Cells. J. Pers. Med. 2021, 11, 718. https://doi.org/10.3390/jpm11080718
Boreak N, Alkahtani A, Alzahrani K, Kenani AH, Faqehi WH, Faqehi HH, Ageeli RE, Moafa WN, Baeshen HA, Bhandi S, et al. Dose-Dependent Effect of Cordycepin on Viability, Proliferation, Cell Cycle, and Migration in Dental Pulp Stem Cells. Journal of Personalized Medicine. 2021; 11(8):718. https://doi.org/10.3390/jpm11080718
Chicago/Turabian StyleBoreak, Nezar, Ahmed Alkahtani, Khalid Alzahrani, Amani Hassan Kenani, Wafa Hussain Faqehi, Hadeel Hussain Faqehi, Raghad Essa Ageeli, Wafa Nasser Moafa, Hosam Ali Baeshen, Shilpa Bhandi, and et al. 2021. "Dose-Dependent Effect of Cordycepin on Viability, Proliferation, Cell Cycle, and Migration in Dental Pulp Stem Cells" Journal of Personalized Medicine 11, no. 8: 718. https://doi.org/10.3390/jpm11080718
APA StyleBoreak, N., Alkahtani, A., Alzahrani, K., Kenani, A. H., Faqehi, W. H., Faqehi, H. H., Ageeli, R. E., Moafa, W. N., Baeshen, H. A., Bhandi, S., Khurshid, Z., Patil, V. R., Testarelli, L., & Patil, S. (2021). Dose-Dependent Effect of Cordycepin on Viability, Proliferation, Cell Cycle, and Migration in Dental Pulp Stem Cells. Journal of Personalized Medicine, 11(8), 718. https://doi.org/10.3390/jpm11080718

