Pitfalls in Ultrasound Diagnosis of Vascular Malformations: A Retrospective Review of 14 Nonvascular Tumors Treated as Vascular Malformations
Abstract
1. Introduction
1.1. Classification of Vascular Malformations
1.1.1. VMs
1.1.2. LMs
1.1.3. AVMs
1.2. Diagnostic Tools to Differentiate Vascular Malformations from Nonvascular Tumors
2. Materials and Methods
3. Results
3.1. Clinical Features
3.2. Case 1
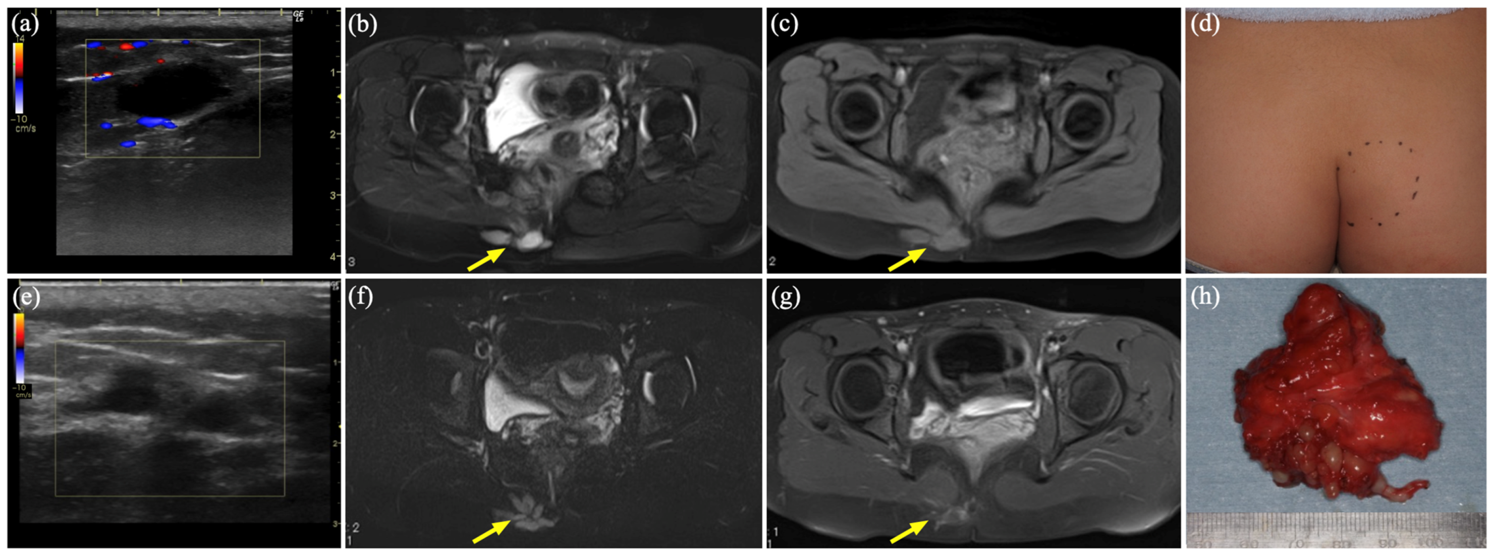
3.3. Case 2
3.4. Case 3
3.5. Case 4
3.6. Case 7
3.7. Case 9
4. Discussion
4.1. US, MR, and CT Findings of Vascular Malformations
4.1.1. VMs
4.1.2. LMs
4.1.3. AVMs
4.2. Mimickers of Vascular Malformations
4.2.1. Schwannoma (Neurinoma, Neurilemmoma)
4.2.2. Epidermal Cyst
4.2.3. Angiomyoma (Vascular Leiomyoma, Angioleiomyoma)
4.3. Lessons from Our Cases
5. Conclusions
Supplementary Materials
Author Contributions
Funding
Institutional Review Board Statement
Informed Consent Statement
Data Availability Statement
Conflicts of Interest
Abbreviations
| AVM | arteriovenous malformation |
| CT | computed tomography |
| DSA | digital subtraction angiography |
| Gd | gadolinium |
| LM | lymphatic malformation |
| MR | magnetic resonance |
| STIR | short τ inversion recovery |
| TAE | transcatheter arterial embolization |
| US | ultrasound |
| VM | venous malformation |
| WI | weighted imaging |
References
- Mulliken, J.B.; Glowacki, J. Hemangiomas and vascular malformations in infants and children: A classification based on endothelial characteristics. Plast. Reconstr. Surg. 1982, 69, 412–422. [Google Scholar] [CrossRef] [PubMed]
- ISSVA Classification of Vascular Anomalies©. International Society for the Study of Vascular Anomalies. 2018. Available online: https://www.issva.org/classification (accessed on 31 August 2024).
- Loose, D.A. Surgical management of venous malformations. Phlebology 2007, 22, 276–282. [Google Scholar] [CrossRef] [PubMed]
- Gimeno Aranguez, M.; Colomar Palmer, P.; González Mediero, I.; Ollero Caprani, J.M. The clinical and morphological aspects of childhood lymphangiomas: A review of 145 cases. An. Esp. Pediatr. 1996, 45, 25–28. [Google Scholar]
- White, C.L.; Olivieri, B.; Restrepo, R.; McKeon, B.; Karakas, S.P.; Lee, E.Y. Low-flow vascular malformation pitfalls: From clinical examination to practical imaging evaluation—Part 1, lymphatic malformation mimickers. AJR Am. J. Roentgenol. 2016, 206, 940–951. [Google Scholar] [CrossRef]
- Enjolras, O.; Logeart, I.; Gelbert, F.; Lemarchand-Venencie, F.; Reizine, D.; Guichard, J.P.; Merland, J.J. Arteriovenous malformations: A study of 200 cases. Ann. Dermatol. Venereol. 2000, 127, 17–22. [Google Scholar]
- Rosenberg, T.L.; Suen, J.Y.; Richter, G.T. Arteriovenous malformations of the head and neck. Otolaryngol. Clin. N. Am. 2018, 51, 185–195. [Google Scholar] [CrossRef]
- Eivazi, B.; Werner, J.A. Management of vascular malformations and hemangiomas of the head and neck-An update. Curr. Opin. Otolaryngol. Head Neck Surg. 2013, 21, 157–163. [Google Scholar] [CrossRef]
- Mulliken, J.B.; Burrows, P.E.; Fishman, S.J. (Eds.) Mulliken and Young’s Vascular Anomalies: Hemangiomas and Malformations; Oxford University Press: New York, NY, USA, 2013; pp. 394–426. [Google Scholar]
- Olivieri, B.; White, C.L.; Restrepo, R.; McKeon, B.; Karakas, S.P.; Lee, E.Y. Low-flow vascular malformation pitfalls: From clinical examination to practical imaging evaluation—Part 2, venous malformation mimickers. AJR Am. J. Roentgenol. 2016, 206, 952–962. [Google Scholar] [CrossRef]
- Altuwaijri, T.A. Soft tissue sarcoma mimicking an arteriovenous malformation–A case report and review of literature. Int. J. Surg. Case Rep. 2024, 119, 109727. [Google Scholar] [CrossRef]
- Armstrong, D.; Owens, R.; Carlson, T.; Ching, B. Retained foreign body misdiagnosed as a low flow vascular malformation: A case report. Radiol. Case Rep. 2024, 19, 164–171. [Google Scholar] [CrossRef]
- Liu, H.; Rao, Y.; Gu, H.; Yang, X.; Hu, L.; Sun, Y.; Chen, H.; Lin, X. Characteristic appearance of spindle cell hemangiomatosis, often misdiagnosed as venous malformation: A retrospective study of 11 cases. J. Dermatol. 2020, 47, 1424–1431. [Google Scholar] [CrossRef] [PubMed]
- Torresetti, M.; Brancorsini, D.; Goteri, G.; Di Benedetto, G. An unusual case of dermatofibrosarcoma protuberans misdiagnosed as vascular malformation for over 30 years: A case report. Int. J. Surg. Case Rep. 2024, 116, 109407. [Google Scholar] [CrossRef] [PubMed]
- Ng Hung Shin, P.B.; Tie, B.; Kanagarajah, V.; Tan, A. Nodulocystic basal cell carcinoma on the limb masquerading as vascular malformation on imaging. J. Surg. Case Rep. 2023, 2023, rjac618. [Google Scholar] [CrossRef] [PubMed]
- Lee, H.N.; Hyun, D.; Do, Y.S.; Park, K.B.; Bae, S.H. Soft-tissue tumors mimicking arteriovenous malformations. J. Vasc. Interv. Radiol. 2019, 30, 1660–1664.e1667. [Google Scholar] [CrossRef]
- Sasaki, Y.; Ishikawa, K.; Sasaki, S. Vascular malformations and vascular tumors. PEPARS 2022, 181, 20–33. (In Japanese) [Google Scholar]
- Scorletti, F.; Hammill, A.; Patel, M.; Ricci, K.; Dasgupta, R. Malignant tumors misdiagnosed as benign vascular anomalies. Pediatr. Blood Cancer 2018, 65, e27051. [Google Scholar] [CrossRef]
- Dubois, J.; Soulez, G.; Oliva, V.L.; Berthiaume, M.J.; Lapierre, C.; Therasse, E. Soft-tissue venous malformations in adult patients: Imaging and therapeutic issues. Radiographics 2001, 21, 1519–1531. [Google Scholar] [CrossRef]
- Trop, I.; Dubois, J.; Guibaud, L.; Grignon, A.; Patriquin, H.; McCuaig, C.; Garel, L.A. Soft-tissue venous malformations in pediatric and young adult patients: Diagnosis with Doppler US. Radiology 1999, 212, 841–845. [Google Scholar] [CrossRef]
- Dubois, J.M.; Sebag, G.H.; De Prost, Y.; Teillac, D.; Chretien, B.; Brunelle, F.O. Soft-tissue venous malformations in children: Percutaneous sclerotherapy with Ethibloc. Radiology 1991, 180, 195–198. [Google Scholar] [CrossRef]
- Puig, S.; Casati, B.; Staudenherz, A.; Paya, K. Vascular low-flow malformations in children: Current concepts for classification, diagnosis and therapy. Eur. J. Radiol. 2005, 53, 35–45. [Google Scholar] [CrossRef]
- Flors, L.; Leiva-Salinas, C.; Maged, I.M.; Norton, P.T.; Matsumoto, A.H.; Angle, J.F.; Hugo Bonatti, M.; Park, A.W.; Ahmad, E.A.; Bozlar, U.; et al. MR imaging of soft-tissue vascular malformations: Diagnosis, classification, and therapy follow-up. Radiographics 2011, 31, 1321–1340. [Google Scholar] [CrossRef] [PubMed]
- Hyodoh, H.; Hori, M.; Akiba, H.; Tamakawa, M.; Hyodoh, K.; Hareyama, M. Peripheral vascular malformations: Imaging, treatment approaches, and therapeutic issues. Radiographics 2005, 25 (Suppl. S1), S159–S171. [Google Scholar] [CrossRef] [PubMed]
- Legiehn, G.M.; Heran, M.K. Classification, diagnosis, and interventional radiologic management of vascular malformations. Orthop. Clin. N. Am. 2006, 37, 435–474. [Google Scholar] [CrossRef]
- Paltiel, H.J.; Burrows, P.E.; Kozakewich, H.P.; Zurakowski, D.; Mulliken, J.B. Soft-tissue vascular anomalies: Utility of US for diagnosis. Radiology 2000, 214, 747–754. [Google Scholar] [CrossRef] [PubMed]
- Restrepo, R. Multimodality imaging of vascular anomalies. Pediatr. Radiol. 2013, 43, S141–S154. [Google Scholar] [CrossRef]
- Eivazi, B.; Fasunla, A.J.; Hundt, W.; Wiegand, S.; Teymoortash, A. Low flow vascular malformations of the head and neck: A study on brightness mode, color coded duplex and spectral Doppler sonography. Eur. Arch. Otorhinolaryngol. 2011, 268, 1505–1511. [Google Scholar] [CrossRef]
- Dubois, J.; Alison, M. Vascular anomalies: What a radiologist needs to know. Pediatr. Radiol. 2010, 40, 895–905. [Google Scholar] [CrossRef]
- Chiou, H.J.; Chou, Y.H.; Chiu, S.Y.; Wang, H.K.; Chen, W.M.; Chen, T.H.; Chang, C.Y. Differentiation of benign and malignant superficial soft-tissue masses using grayscale and color Doppler ultrasonography. J. Chin. Med. Assoc. 2009, 72, 307–315. [Google Scholar] [CrossRef]
- Mimura, H.; Akita, S.; Fujino, A.; Jinnin, M.; Ozaki, M.; Osuga, K.; Nakaoka, H.; Morii, E.; Kuramochi, A.; Aoki, Y.; et al. Japanese clinical practice guidelines for vascular anomalies 2017. Jpn. J. Radiol. 2020, 38, 287–342. [Google Scholar] [CrossRef]
- Yang, F.; Chen, X.X.; Wu, H.L.; Zhu, J.F.; Chen, Y.; Yu, L.F.; Huang, X.J. Sonographic features and diagnosis of peripheral schwannomas. J. Clin. Ultrasound 2017, 45, 127–133. [Google Scholar] [CrossRef]
- Tsai, W.C.; Chiou, H.J.; Chou, Y.H.; Wang, H.K.; Chiou, S.Y.; Chang, C.Y. Differentiation between schwannomas and neurofibromas in the extremities and superficial body: The role of high-resolution and color Doppler ultrasonography. J. Ultrasound Med. 2008, 27, 161–166. [Google Scholar] [CrossRef] [PubMed]
- Crist, J.; Hodge, J.R.; Frick, M.; Leung, F.P.; Hsu, E.; Gi, M.T.; Venkatesh, S.K. Magnetic resonance imaging appearance of schwannomas from head to toe: A pictorial review. J. Clin. Imaging Sci. 2017, 7, 38. [Google Scholar] [CrossRef] [PubMed]
- Park, J.S.; Moon, J.; Cho, S.I.; Mun, J.H. Schwannoma presenting as a scalp mass: A case report with magnetic resonance imaging findings. Ann. Dermatol. 2020, 32, 64–68. [Google Scholar] [CrossRef]
- Golden, B.A.; Zide, M.F. Cutaneous cysts of the head and neck. J. Oral Maxillofac. Surg. 2005, 63, 1613–1619. [Google Scholar] [CrossRef]
- Clarke, R.; Suresh, P.; Thomas, R.; Freeman, S. Twinkle artefact in the ultrasound diagnosis of superficial epidermoid cysts. Ultrasound 2016, 24, 147–153. [Google Scholar] [CrossRef]
- De Iruarrizaga Gana, M.; Bueno Horcajadas, Á.L.; Quílez Caballero, E.; López-Vidaur Franco, I.; Martel Villagrán, J. Ultrasound and magnetic resonance imaging (MRI) features of angioleiomyoma. Quant. Imaging Med. Surg. 2024, 14, 7817–7824. [Google Scholar] [CrossRef]
- Koga, M.; Nishio, J.; Koga, T.; Koga, K.; Nakayama, S.; Yamamoto, T. An update on clinicopathological, imaging, and genetic features of angioleiomyoma. Cancer Diagn. Progn. 2023, 3, 145–150. [Google Scholar] [CrossRef]
- Zhang, J.Z.; Zhou, J.; Zhang, Z.C. Subcutaneous angioleiomyoma: Clinical and sonographic features with histopathologic correlation. J. Ultrasound Med. 2016, 35, 1669–1673. [Google Scholar] [CrossRef]
- Gupte, C.; Butt, S.H.; Tirabosco, R.; Saifuddin, A. Angioleiomyoma: Magnetic resonance imaging features in ten cases. Skeletal Radiol. 2008, 37, 1003–1009. [Google Scholar] [CrossRef]
- Lee, M.H.; Kim, N.R.; Ryu, J.A. Cyst-like solid tumors of the musculoskeletal system: An analysis of ultrasound findings. Skeletal Radiol. 2010, 39, 981–986. [Google Scholar] [CrossRef]






| Case No. | Age, Years * | Sex | Tumor Location | Initial Clinical Diagnosis | Imaging Modalities | Treatment Before Tumor Resection | Final Histopathological Diagnosis | Days to Final Diagnosis |
|---|---|---|---|---|---|---|---|---|
| 1 | 2 | F | Rt hand, forearm | VM | US, MR | Sc, 4 times | Schwannoma | 1893 |
| 2 | 15 | F | Rt buttock | VM | US, MR, CT | Sc, 2 times | Schwannoma | 1186 |
| 3 | 25 | F | Lt head | VM | US, MR | Biopsy | Schwannoma | 37 |
| 4 | 39 | F | Rt upper arm | VM | US, MR, 3D-CTA | Sc, 1 time 2 biopsies | Schwannoma | 788 |
| 5 | 52 | F | Rt forearm | VM | US, MR | Biopsy | Schwannoma | 55 |
| 6 | 31 | F | Rt lower leg | VM | US, MR | None | Schwannoma | 343 |
| 7 | 35 | F | Rt thigh | LM | US, MR, CT | Sc, 2 times | Epidermal cyst | 440 |
| 8 | 29 | F | Lt lower leg | VM | US, MR | None | Epidermal cyst | 74 |
| 9 | 66 | M | Rt hand | AVM | US, MR, 3D-CTA | None | Angiomyoma | 19 |
| 10 | 82 | M | Lt lower leg | VM | US, MR, 3D-CTA | None | Angiomyoma | 75 |
| 11 | 50 | F | Rt foot | VM | US, MR, CT | None | Angiofibroma of soft tissue | 14 |
| 12 | 13 | F | Rt thumb | VM | US, MR | None | Traumatic neuroma | 33 |
| 13 | 78 | F | Rt lower leg | VM | US, MR | None | Extraskeletal myxoid chondrosarcoma | 26 |
| 14 | 70 | M | Rt thigh | AVM | US, MR, 3D-CTA, DSA | TAE, 2 times | Solitary fibrous tumor | 199 |
| Vascular Malformations | Mimicking Nonvascular Tumors | |||||||
|---|---|---|---|---|---|---|---|---|
| VM | LM | AVM | Schwannoma | Epidermal Cyst | Angiomyoma | |||
| Macrocystic | Microcystic | |||||||
| Clinical findings | Skin color | Blue ~ purple * | Normal | Yellow ~ red vesicles * | Red ~ purple * | Normal | Normal | Normal ~ brown |
| Tenderness | − ~ + | − ~ + | − ~ + | + | − | + | ||
| Boundary | Clear ~ unclear | Clear | Unclear | Clear ~ unclear | Clear | Clear | Clear | |
| Pulsation | − | − | + | − | − | + | ||
| Needle aspiration | ± | + | − | ± | − | − | − | |
| US | Form | Polycystic | Cystic | Polycystic | Dilated and tortuous blood vessels | Solid | Cystic | Solid |
| Flow | Low-flow | No-flow | High-flow | Hypervascular | No-flow | Hypervascular | ||
| Compression deformation | + | − | − | − | − | − | ||
| MR | T1WI | Low ~ iso | Low | Flow void | Low | Iso | Iso | |
| T2WI | High | High | Flow void | Iso at center, high at margin | High | High | ||
| Contrast effect | + | − | ++ | ++ at center, + at margin | + at margin | ++ | ||
| Other features | Phleboliths | Fluid–fluid level due to hemorrhage or infection | Low apparent diffusion coefficient on DWI | |||||
Disclaimer/Publisher’s Note: The statements, opinions and data contained in all publications are solely those of the individual author(s) and contributor(s) and not of MDPI and/or the editor(s). MDPI and/or the editor(s) disclaim responsibility for any injury to people or property resulting from any ideas, methods, instructions or products referred to in the content. |
© 2025 by the authors. Licensee MDPI, Basel, Switzerland. This article is an open access article distributed under the terms and conditions of the Creative Commons Attribution (CC BY) license (https://creativecommons.org/licenses/by/4.0/).
Share and Cite
Mitamura, S.; Ishikawa, K.; Sasaki, Y.; Murao, N.; Sasaki, S. Pitfalls in Ultrasound Diagnosis of Vascular Malformations: A Retrospective Review of 14 Nonvascular Tumors Treated as Vascular Malformations. Diagnostics 2025, 15, 506. https://doi.org/10.3390/diagnostics15040506
Mitamura S, Ishikawa K, Sasaki Y, Murao N, Sasaki S. Pitfalls in Ultrasound Diagnosis of Vascular Malformations: A Retrospective Review of 14 Nonvascular Tumors Treated as Vascular Malformations. Diagnostics. 2025; 15(4):506. https://doi.org/10.3390/diagnostics15040506
Chicago/Turabian StyleMitamura, Shintaro, Kosuke Ishikawa, Yuki Sasaki, Naoki Murao, and Satoru Sasaki. 2025. "Pitfalls in Ultrasound Diagnosis of Vascular Malformations: A Retrospective Review of 14 Nonvascular Tumors Treated as Vascular Malformations" Diagnostics 15, no. 4: 506. https://doi.org/10.3390/diagnostics15040506
APA StyleMitamura, S., Ishikawa, K., Sasaki, Y., Murao, N., & Sasaki, S. (2025). Pitfalls in Ultrasound Diagnosis of Vascular Malformations: A Retrospective Review of 14 Nonvascular Tumors Treated as Vascular Malformations. Diagnostics, 15(4), 506. https://doi.org/10.3390/diagnostics15040506

