High vs. Low Initial Steroid Dose in Autoimmune Pancreatitis: Multicenter Cohort Study on Efficacy and Diabetes Worsening
Abstract
1. Background
2. Patients and Methods
2.1. Study Design
2.2. Steroid Treatment
2.3. Study Outcomes, Definitions, and Statistical Analysis
3. Results
3.1. Basic Characteristics
3.2. Treatment Details for High Starting Dose Group and Low Starting Dose Group
3.3. Risk Factors of Worsening of Diabetes Mellitus
4. Discussion
4.1. Strengths
4.2. Limitations
5. Conclusions
Author Contributions
Funding
Institutional Review Board Statement
Informed Consent Statement
Data Availability Statement
Conflicts of Interest
Abbreviations
References
- Yoshida, K.; Toki, F.; Takeuchi, T.; Watanabe, S.; Shiratori, K.; Hayashi, N. Chronic pancreatitis caused by an autoimmune abnormality. Proposal of the concept of autoimmune pancreatitis. Dig. Dis. Sci. 1995, 40, 1561–1568. [Google Scholar] [CrossRef]
- Masamune, A.; Kikuta, K.; Hamada, S.; Tsuji, I.; Takeyama, Y.; Shimosegawa, T.; Okazaki, K. Nationwide epidemiological survey of autoimmune pancreatitis in Japan in 2016. J. Gastroenterol. 2020, 55, 462–470. [Google Scholar] [CrossRef]
- Irie, H.; Honda, H.; Baba, S.; Kuroiwa, T.; Yoshimitsu, K.; Tajima, T.; Jimi, M.; Sumii, T.; Masuda, K. Autoimmune pancreatitis: CT and MR characteristics. AJR Am. J. Roentgenol. 1998, 170, 1323–1327. [Google Scholar] [CrossRef] [PubMed]
- Okazaki, K.; Kawa, S.; Kamisawa, T.; Ikeura, T.; Itoi, T.; Ito, T.; Inui, K.; Irisawa, A.; Uchida, K.; Ohara, H.; et al. Amendment of the Japanese consensus guidelines for autoimmune pancreatitis, 2020. J. Gastroenterol. 2022, 57, 225–245. [Google Scholar] [CrossRef] [PubMed]
- Okazaki, K.; Chiba, T. Autoimmune related pancreatitis. Gut 2002, 51, 1–4. [Google Scholar] [CrossRef]
- Okazaki, K.; Chari, S.T.; Frulloni, L.; Lerch, M.M.; Kamisawa, T.; Kawa, S.; Kim, M.H.; Lévy, P.; Masamune, A.; Webster, G.; et al. International consensus for the treatment of autoimmune pancreatitis. Pancreatology 2017, 17, 1–6. [Google Scholar] [CrossRef]
- Park, D.H.; Kim, M.H.; Oh, H.B.; Kwon, O.J.; Choi, Y.J.; Lee, S.S.; Lee, T.Y.; Seo, D.W.; Lee, S.K. Substitution of aspartic acid at position 57 of the DQbeta1 affects relapse of autoimmune pancreatitis. Gastroenterology 2008, 134, 440–446. [Google Scholar] [CrossRef] [PubMed]
- Overbeek, K.A.; Poulsen, J.L.; Lanzillotta, M.; Vinge-Holmquist, O.; Macinga, P.; Demirci, A.F.; Sindhunata, D.P.; Backhus, J.; Algul, H.; Buijs, J.; et al. Type 1 Autoimmune Pancreatitis in Europe: Clinical Profile and Response to Treatment. Clin. Gastroenterol. Hepatol. 2024, 22, 994–1004. [Google Scholar] [CrossRef]
- Harai, N.; Nishimura, A.; Matsumura, K.; Suzuki, Y.; Kikuno, S.; Kobayashi, T.; Nagasawa, K.; Mori, Y. Factors affecting glycemic control in diabetes mellitus complicated by autoimmune pancreatitis. J. Diabetes Investig. 2022, 13, 1387–1395. [Google Scholar] [CrossRef] [PubMed]
- Suzuki, D.; Shimizu, K.; Tokushige, K. Relative Rise of Serum IgG4 Levels After Steroid Therapy for Autoimmune Pancreatitis Predicts the Likelihood of Relapse. Pancreas 2018, 47, 412–417. [Google Scholar] [CrossRef]
- Zhou, G.Z.; Zeng, J.Q.; Wang, L.; Liu, M.; Meng, K.; Wang, Z.K.; Zhang, X.L.; Peng, L.H.; Yan, B.; Pan, F. Clinical characteristics and outcome of autoimmune pancreatitis based on serum immunoglobulin G4 level: A single-center, retrospective cohort study. World J. Gastroenterol. 2023, 29, 5125–5137. [Google Scholar] [CrossRef]
- Kamisawa, T.; Shimosegawa, T.; Okazaki, K.; Nishino, T.; Watanabe, H.; Kanno, A.; Okumura, F.; Nishikawa, T.; Kobayashi, K.; Ichiya, T.; et al. Standard steroid treatment for autoimmune pancreatitis. Gut 2009, 58, 1504–1507. [Google Scholar] [CrossRef] [PubMed]
- Ito, T.; Nishimori, I.; Inoue, N.; Kawabe, K.; Gibo, J.; Arita, Y.; Okazaki, K.; Takayanagi, R.; Otsuki, M. Treatment for autoimmune pancreatitis: Consensus on the treatment for patients with autoimmune pancreatitis in Japan. J. Gastroenterol. 2007, 42 (Suppl. 18), 50–58. [Google Scholar] [CrossRef]
- Noguchi, K.; Nakai, Y.; Mizuno, S.; Isayama, H.; Hirano, K.; Kanai, S.; Nakamura, T.; Uchino, R.; Takahara, N.; Kogure, H.; et al. Insulin secretion improvement during steroid therapy for autoimmune pancreatitis according to the onset of diabetes mellitus. J. Gastroenterol. 2020, 55, 198–204. [Google Scholar] [CrossRef]
- Nishimori, I.; Tamakoshi, A.; Kawa, S.; Tanaka, S.; Takeuchi, K.; Kamisawa, T.; Saisho, H.; Hirano, K.; Okamura, K.; Yanagawa, N.; et al. Influence of steroid therapy on the course of diabetes mellitus in patients with autoimmune pancreatitis: Findings from a nationwide survey in Japan. Pancreas 2006, 32, 244–248. [Google Scholar] [CrossRef]
- Kamisawa, T.; Egawa, N.; Inokuma, S.; Tsuruta, K.; Okamoto, A.; Kamata, N.; Nakamura, T.; Matsukawa, M. Pancreatic endocrine and exocrine function and salivary gland function in autoimmune pancreatitis before and after steroid therapy. Pancreas 2003, 27, 235–238. [Google Scholar] [CrossRef] [PubMed]
- Nishino, T.; Toki, F.; Oyama, H.; Shimizu, K.; Shiratori, K. Long-term outcome of autoimmune pancreatitis after oral prednisolone therapy. Intern. Med. 2006, 45, 497–501. [Google Scholar] [CrossRef] [PubMed]
- Matsumoto, K.; Yamasaki, H.; Akazawa, S.; Sakamaki, H.; Ishibashi, M.; Abiru, N.; Uotani, S.; Matsuo, H.; Yamaguchi, Y.; Tokuyama, K.; et al. High-dose but not low-dose dexamethasone impairs glucose tolerance by inducing compensatory failure of pancreatic beta-cells in normal men. J. Clin. Endocrinol. Metab. 1996, 81, 2621–2626. [Google Scholar] [CrossRef]
- Buijs, J.; van Heerde, M.J.; Rauws, E.A.; de Buy Wenniger, L.J.; Hansen, B.E.; Biermann, K.; Verheij, J.; Vleggaar, F.P.; Brink, M.A.; Beuers, U.H.; et al. Comparable efficacy of low- versus high-dose induction corticosteroid treatment in autoimmune pancreatitis. Pancreas 2014, 43, 261–267. [Google Scholar] [CrossRef]
- Kubota, K.; Kamisawa, T.; Okazaki, K.; Kawa, S.; Hirano, K.; Hirooka, Y.; Uchida, K.; Shiomi, H.; Ohara, H.; Shimizu, K.; et al. Low-dose maintenance steroid treatment could reduce the relapse rate in patients with type 1 autoimmune pancreatitis: A long-term Japanese multicenter analysis of 510 patients. J. Gastroenterol. 2017, 52, 955–964. [Google Scholar] [CrossRef]
- Ha, Y.; Lee, K.H.; Jung, S.; Lee, S.W.; Lee, S.K.; Park, Y.B. Glucocorticoid-induced diabetes mellitus in patients with systemic lupus erythematosus treated with high-dose glucocorticoid therapy. Lupus 2011, 20, 1027–1034. [Google Scholar] [CrossRef] [PubMed]
- Katsuyama, T.; Sada, K.E.; Namba, S.; Watanabe, H.; Katsuyama, E.; Yamanari, T.; Wada, J.; Makino, H. Risk factors for the development of glucocorticoid-induced diabetes mellitus. Diabetes Res. Clin. Pract. 2015, 108, 273–279. [Google Scholar] [CrossRef]
- Jeong, Y.; Han, H.S.; Lee, H.D.; Yang, J.; Jeong, J.; Choi, M.K.; Kwon, J.; Jeon, H.J.; Oh, T.K.; Lee, K.H.; et al. A Pilot Study Evaluating Steroid-Induced Diabetes after Antiemetic Dexamethasone Therapy in Chemotherapy-Treated Cancer Patients. Cancer Res. Treat. 2016, 48, 1429–1437. [Google Scholar] [CrossRef]
- Dixon, W.G.; Abrahamowicz, M.; Beauchamp, M.E.; Ray, D.W.; Bernatsky, S.; Suissa, S.; Sylvestre, M.P. Immediate and delayed impact of oral glucocorticoid therapy on risk of serious infection in older patients with rheumatoid arthritis: A nested case-control analysis. Ann. Rheum. Dis. 2012, 71, 1128–1133. [Google Scholar] [CrossRef] [PubMed]
- Mont, M.A.; Pivec, R.; Banerjee, S.; Issa, K.; Elmallah, R.K.; Jones, L.C. High-Dose Corticosteroid Use and Risk of Hip Osteonecrosis: Meta-Analysis and Systematic Literature Review. J. Arthroplast. 2015, 30, 1506–1512. [Google Scholar] [CrossRef] [PubMed]


| Total | PSL > 0.4 mg/kg | PSL ≤ 0.4 mg/kg | p Value | SMD | |
|---|---|---|---|---|---|
| Total, n | 81 | 58 | 23 | - | - |
| Age, years, median (range) | 70 (27–84) | 72 (27–83) | 67 (49–84) | 0.28 | 0.12 |
| sex (male/female), n | 66/15 | 45/13 | 21/2 | 0.21 | 0.48 |
| BMI, kg/m2, median (range) | 21.8 (16.3–32.9) | 21.4 (16.3–28.8) | 22.6 (16.7–32.9) | 0.09 | 0.17 |
| IgG4 level before treatment, mg/dL, median (range) | 355 (32–1702) | 285 (32–1702) | 451 (71.1–1340) | 0.28 | 0.23 |
| HbA1c level before treatment, %, median (range) | 7.0 (4.5–12.2) | 7.0 (4.5–12.2) | 6.8 (5.3–11.1) | 0.46 | 0.37 |
| Diagnosed as DM before treatment, n (%) | 46 (57) | 34 (59) | 12 (52) | 0.62 | 0.19 |
| Diffuse type, n (%) | 34 (42) | 26 (45) | 8 (35) | 0.46 | 0.20 |
| Existence of IgG4 sclerotic cholangitis, n (%) | 25 (31) | 21 (36) | 4 (17) | 0.11 | 0.57 |
| Existence of extrapancreatic lesion, n (%) | 35 (43) | 28 (48) | 7 (30) | 0.23 | 0.36 |
| Obstructive jaundice, n (%) | 20 (25) | 16 (28) | 4 (17) | 0.50 | 0.24 |
| Follow-up duration, days (range) | 2019 (369–6319) | - | - | - | - |
| Total | PSL > 0.4 mg/kg | PSL ≤ 0.4 mg/kg | p Value | |
|---|---|---|---|---|
| Total, n | 81 | 58 | 23 | - |
| Treatment response, yes, n (%) | 81 (100) | 58 (100) | 23 (100) | 1 |
| Complete remission/partial remission | 80/1 | 57/1 | 23/0 | 1 |
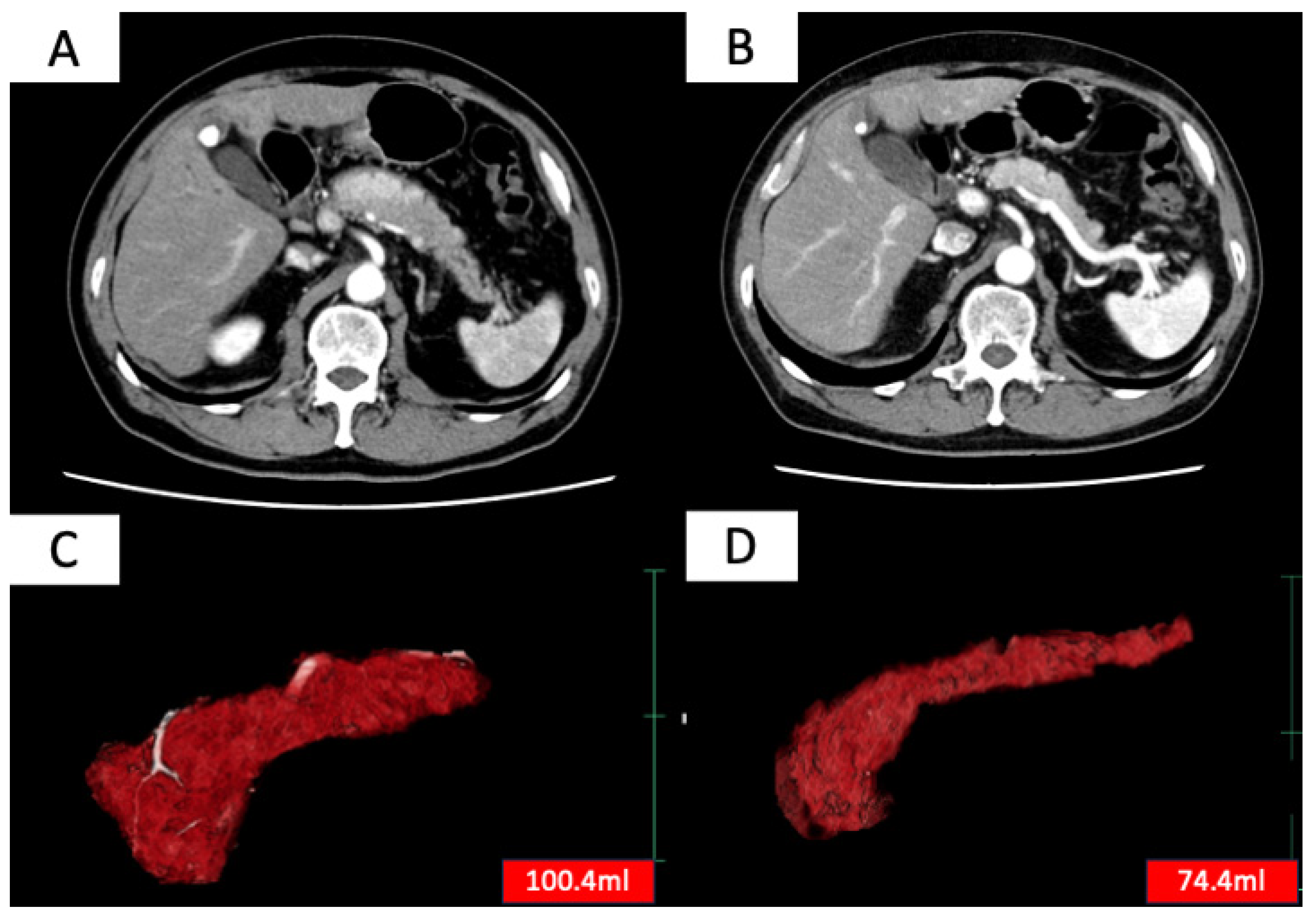
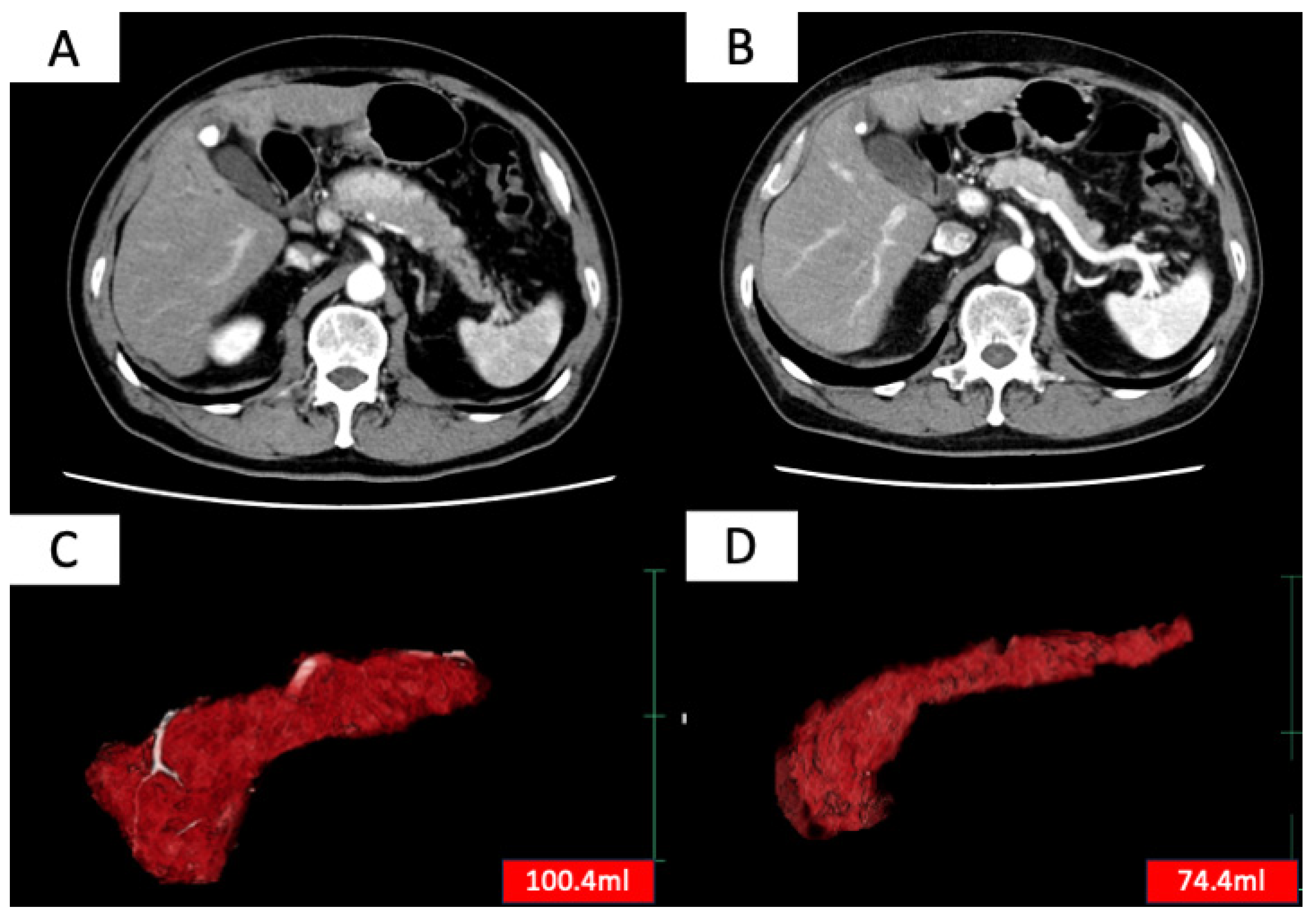
| Pancreas volume before start of treatment, mL (range) | 76.1 (26.1–194) | 76.8 (26.1–129.3) | 72.5 (32.3–194) | 0.71 |
| Pancreas volume 0.5–1 year after start of treatment, mL (range) | 33.9 (9–118) | 29.0 (9.0–84.8) | 37.3 (14.2–118) | 0.13 |
| Reduction rate of pancreas volume, % | 54.5 (0.4–85.9) | 58.0 (0.4–86.9) | 49.5 (10.6–80.5) | 0.31 |
| Initial steroid dosage, mg/kg, median (range) | 0.49 (0.25–0.95) | - | - | - |
| Tapering duration, week, median (range) | 12.9 (5.0–133) | 14 (5–110) | 12 (5–133) | 0.19 |
| Maintenance dose, n | ||||
| 5 mg/2.5 mg−1 mg/0 mg | 65/13/3 | 49/8/1 | 16/5/2 | 0.30 |
| Cumulative dose at 1 year after start of treatment, mg (range) | 2875 (700–3925) | 2875 (2175–3925) | 2245 (700–2875) | <0.01 |
| Relapse, n (%) | 23 (28) | 17 (29) | 6 (26) | 0.79 |
| Relapse within 1 year from starting treatment, n (%) | 10 (12) | 8 (14) | 2 (9) | 0.71 |
| Worsening of diabetes after treatment, n (%) | 28 (39) | 25 (50) | 3 (14) | 0.007 |
| New onset of diabetes mellitus, n | 7 | 7 | 0 | - |
| DM Worsening | Non-DM Worsening | ||
|---|---|---|---|
| Total, n | 28 | 43 | |
| Age, years, median (range) | 74 (63–84) | 67 (37–84) | 0.002 |
| sex (male/female), n | 25/3 | 31/12 | 0.14 |
| BMI, kg/m2, median (range) | 21.4 (17,8–26.5) | 22.6 (16.3–32.9) | 0.14 |
| IgG4 level before treatment, mg/dL, median (range) | 394 (121–1099) | 287 (32–1702) | 0.29 |
| HbA1c level before treatment, %, median (range) | 7.0 (5.1–9.6) | 6.8 (4.5–12.2) | 0.60 |
| Diagnosed as DM before treatment, n (%) | 21 (75%) | 19 (44%) | 0.02 |
| Diffuse type, n (%) | 11 (39%) | 18 (42%) | 1 |
| Starting dose > 0.4 mg/kg, n (%) | 25 (89%) | 3 (7%) | 0.007 |
| Tapering duration, week, median (range) | 13 (6–110) | 13 (5–133) | 0.83 |
| Maintenance dose of 5 mg, n | 24 | 35 | 0.75 |
| Cumulative dose at 1 year after start of treatment, mg (range) | 2875 (2245–3925) | 2525 (700–3925) | 0.18 |
| Pancreas volume before treatment, mL (range) | 67.1 (26.1–194) | 79.2 (31.8–129.3) | 0.06 |
| Pancreas volume 1 year after treatment, mL (range) | 23.3 (9.0–54.7) | 38.0 (14.8–118) | 0.002 |
| Reduction rate of pancreas volume, % (range) | 60.2 (24.5–86.9) | 48.4 (0.4–80.5) | 0.04 |
| Univariate Analysis | Multivariate Analysis | |||
|---|---|---|---|---|
| OR (95%CI) | p value | OR (95%CI) | p value | |
| Age, years (Unit) | 1.12 (1.04–1.2) | 0.003 | 1.10 (1.01–1.19) | 0.03 |
| Male | 3.23 (0.81–12.7) | 0.09 | ||
| BMI, kg/m2 (Unit) | 0.89 (0.75–1.05) | 0.17 | ||
| IgG4 level before treatment (Unit) | 1.00 (0.99–1.00) | 0.51 | ||
| HbA1c level before treatment, % (Unit) | 0.98 (0.71–1.35) | 0.9 | ||
| Diagnosed as DM before treatment | 3.63 (1.27–10.4) | 0.02 | 2.64 (0.76–9.15) | 0.13 |
| Diffuse type | 0.89 (0.34–2.37) | 0.83 | ||
| Starting dose > 0.4 mg/kg | 6.0 (1.57–23) | 0.008 | 6.54 (1.42–30.1) | 0.01 |
| Tapering duration, week (Unit) | 0.99 (0.97–1.02) | 0.72 | ||
| Maintenance dose of 5 mg | 1.51 (0.94–2.42) | 0.08 | ||
| Cumulative dose at 1 year after start of treatment ≥ 2875 mg | 1.95 (0.74–5.14) | 0.17 | ||
| Pancreas volume before treatment, mL (Unit) | 0.99 (0.97–1.00) | 0.06 | 0.99 (0.97–1.01) | 0.16 |
Disclaimer/Publisher’s Note: The statements, opinions and data contained in all publications are solely those of the individual author(s) and contributor(s) and not of MDPI and/or the editor(s). MDPI and/or the editor(s) disclaim responsibility for any injury to people or property resulting from any ideas, methods, instructions or products referred to in the content. |
© 2025 by the authors. Licensee MDPI, Basel, Switzerland. This article is an open access article distributed under the terms and conditions of the Creative Commons Attribution (CC BY) license (https://creativecommons.org/licenses/by/4.0/).
Share and Cite
Iwasa, Y.; Iwashita, T.; Iwata, K.; Tezuka, R.; Uemura, S.; Maruta, A.; Iwata, S.; Ohashi, Y.; Yoshida, K.; Shimizu, M. High vs. Low Initial Steroid Dose in Autoimmune Pancreatitis: Multicenter Cohort Study on Efficacy and Diabetes Worsening. Diagnostics 2025, 15, 2719. https://doi.org/10.3390/diagnostics15212719
Iwasa Y, Iwashita T, Iwata K, Tezuka R, Uemura S, Maruta A, Iwata S, Ohashi Y, Yoshida K, Shimizu M. High vs. Low Initial Steroid Dose in Autoimmune Pancreatitis: Multicenter Cohort Study on Efficacy and Diabetes Worsening. Diagnostics. 2025; 15(21):2719. https://doi.org/10.3390/diagnostics15212719
Chicago/Turabian StyleIwasa, Yuhei, Takuji Iwashita, Keisuke Iwata, Ryuichi Tezuka, Shinya Uemura, Akinori Maruta, Shota Iwata, Yosuke Ohashi, Kensaku Yoshida, and Masahito Shimizu. 2025. "High vs. Low Initial Steroid Dose in Autoimmune Pancreatitis: Multicenter Cohort Study on Efficacy and Diabetes Worsening" Diagnostics 15, no. 21: 2719. https://doi.org/10.3390/diagnostics15212719
APA StyleIwasa, Y., Iwashita, T., Iwata, K., Tezuka, R., Uemura, S., Maruta, A., Iwata, S., Ohashi, Y., Yoshida, K., & Shimizu, M. (2025). High vs. Low Initial Steroid Dose in Autoimmune Pancreatitis: Multicenter Cohort Study on Efficacy and Diabetes Worsening. Diagnostics, 15(21), 2719. https://doi.org/10.3390/diagnostics15212719

