Left Atrial Appendage Morphology Predicts Atrial Fibrillation Recurrence: The Hidden Risks of Windsock Anatomy
Abstract
1. Introduction
2. Materials and Methods
2.1. Study Design and Population
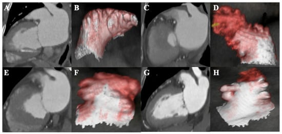
2.2. LAA Morphology and Imaging Analysis
2.3. Catheter Ablation Procedure
2.4. Follow-Up and Outcome Measures
2.5. Statistical Analysis
3. Results
3.1. Patient Characteristics
3.2. Recurrent Rate Among the Four Groups
3.3. Univariable Analysis and Multiple Logistic Regression Analysis for Arrhythmia-Free in 12 Months
4. Discussion
5. Limitations
6. Conclusions
Author Contributions
Funding
Institutional Review Board Statement
Informed Consent Statement
Data Availability Statement
Conflicts of Interest
Abbreviations
References
- Di Biase, L.; Burkhardt, J.D.; Mohanty, P.; Sanchez, J.; Mohanty, S.; Horton, R.; Gallinghouse, G.J.; Bailey, S.M.; Zagrodzky, J.D.; Santangeli, P.; et al. Left atrial appendage: An underrecognized trigger site of atrial fibrillation. Circulation 2010, 122, 109–118. [Google Scholar] [CrossRef]
- Di Biase, L.; Burkhardt, J.D.; Mohanty, P.; Mohanty, S.; Sanchez, J.E.; Trivedi, C.; Güneş, M.; Gökoğlan, Y.; Gianni, C.; Horton, R.P.; et al. Left Atrial Appendage Isolation in Patients With Longstanding Persistent AF Undergoing Catheter Ablation: BELIEF Trial. J. Am. Coll. Cardiol. 2016, 68, 1929–1940. [Google Scholar] [CrossRef]
- Di Biase, L.; Mohanty, S.; Trivedi, C.; Romero, J.; Natale, V.; Briceno, D.; Gadiyaram, V.; Couts, L.; Gianni, C.; Al-Ahmad, A.; et al. Stroke Risk in Patients With Atrial Fibrillation Undergoing Electrical Isolation of the Left Atrial Appendage. J. Am. Coll. Cardiol. 2019, 74, 1019–1028. [Google Scholar] [CrossRef]
- Safavi-Naeini, P.; Rasekh, A. Left Atrial Appendage Closure and Pulmonary Vein Isolation. Tex. Heart Inst. J. 2020, 47, 60–62. [Google Scholar] [CrossRef]
- Potpara, T.; Grygier, M.; Häusler, K.G.; Nielsen-Kudsk, J.E.; Berti, S.; Genovesi, S.; Marijon, E.; Boveda, S.; Tzikas, A.; Boriani, G.; et al. Practical guide on left atrial appendage closure for the non-implanting physician: An international consensus paper. EP Eur. 2024, 26, euae035. [Google Scholar] [CrossRef]
- Ghannam, M.; Jongnarangsin, K.; Emami, H.; Yokokawa, M.; Liang, J.J.; Saeed, M.; Oral, H.; Morady, F.; Chugh, A. Incidental left atrial appendage isolation after catheter ablation of persistent atrial fibrillation: Mechanisms and long-term risk of thromboembolism. J. Cardiovasc. Electrophysiol. 2023, 34, 1152–1161. [Google Scholar] [CrossRef]
- Kawamura, M.; Scheinman, M.M.; Lee, R.J.; Badhwar, N. Left atrial appendage ligation in patients with atrial fibrillation leads to a decrease in atrial dispersion. J. Am. Heart Assoc. 2015, 4, e001581. [Google Scholar] [CrossRef]
- Cunha, P.S.; Laranjo, S.; Heijman, J.; Oliveira, M.M. The Atrium in Atrial Fibrillation—A Clinical Review on How to Manage Atrial Fibrotic Substrates. Front. Cardiovasc. Med. 2022, 9, 879984. [Google Scholar] [CrossRef]
- Papathanasiou, K.A.; Vrachatis, D.A.; Kazantzis, D.; Kossyvakis, C.; Giotaki, S.G.; Deftereos, G.; Raisakis, K.; Kaoukis, A.; Avramides, D.; Lambadiari, V.; et al. Left atrial appendage morphofunctional indices could be predictive of arrhythmia recurrence post-atrial fibrillation ablation: A meta-analysis. Egypt. Heart J. 2023, 75, 29. [Google Scholar] [CrossRef]
- Simon, J.; El Mahdiui, M.; Smit, J.M.; Száraz, L.; van Rosendael, A.R.; Herczeg, S.; Zsarnóczay, E.; Nagy, A.I.; Kolossváry, M.; Szilveszter, B.; et al. Left atrial appendage size is a marker of atrial fibrillation recurrence after radiofrequency catheter ablation in patients with persistent atrial fibrillation. Clin. Cardiol. 2022, 45, 273–281. [Google Scholar] [CrossRef]
- Gong, S.; Zhou, J.; Li, B.; Kang, S.; Ma, X.; Cai, Y.; Guo, Y.; Hu, R.; Zhang, X. The Association of Left Atrial Appendage Morphology to Atrial Fibrillation Recurrence After Radiofrequency Ablation. Front. Cardiovasc. Med. 2021, 8, 677885. [Google Scholar] [CrossRef]
- Wang, Y.; Di Biase, L.; Horton, R.P.; Nguyen, T.; Morhanty, P.; Natale, A. Left atrial appendage studied by computed tomography to help planning for appendage closure device placement. J. Cardiovasc. Electrophysiol. 2010, 21, 973–982. [Google Scholar] [CrossRef]
- Beigel, R.; Wunderlich, N.C.; Ho, S.Y.; Arsanjani, R.; Siegel, R.J. The left atrial appendage: Anatomy, function, and noninvasive evaluation. JACC Cardiovasc. Imaging 2014, 7, 1251–1265. [Google Scholar] [CrossRef]
- Hocini, M.; Shah, A.J.; Nault, I.; Sanders, P.; Wright, M.; Narayan, S.M.; Takahashi, Y.; Jaïs, P.; Matsuo, S.; Knecht, S.; et al. Localized reentry within the left atrial appendage: Arrhythmogenic role in patients undergoing ablation of persistent atrial fibrillation. Heart Rhythm. 2011, 8, 1853–1861. [Google Scholar] [CrossRef]
- Naksuk, N.; Padmanabhan, D.; Yogeswaran, V.; Asirvatham, S.J. Left Atrial Appendage: Embryology, Anatomy, Physiology, Arrhythmia and Therapeutic Intervention. JACC Clin. Electrophysiol. 2016, 2, 403–412. [Google Scholar] [CrossRef] [PubMed]
- Di Biase, L.; Santangeli, P.; Anselmino, M.; Mohanty, P.; Salvetti, I.; Gili, S.; Horton, R.; Sanchez, J.E.; Bai, R.; Mohanty, S.; et al. Does the left atrial appendage morphology correlate with the risk of stroke in patients with atrial fibrillation? Results from a multicenter study. J. Am. Coll. Cardiol. 2012, 60, 531–538. [Google Scholar] [CrossRef] [PubMed]
- Anan, A.R.; Fareed, J.; Suhaib, J.; Rafat, R.; Murad, D.; Isam, B.; Tariq, M.; Patricia, E.; Alexander, E.; Vaidya, V.; et al. Left Atrial Appendage Morphology as a Determinant for Stroke Risk Assessment in Atrial Fibrillation Patients: Systematic Review and Meta-Analysis. J. Atr. Fibrillation 2019, 12, 2183. [Google Scholar] [CrossRef] [PubMed]
- Romanov, A.; Pokushalov, E.; Artemenko, S.; Yakubov, A.; Stenin, I.; Kretov, E.; Krestianinov, O.; Grazhdankin, I.; Risteski, D.; Karaskov, A.; et al. Does left atrial appendage closure improve the success of pulmonary vein isolation? Results of a randomized clinical trial. J. Interv. Card. Electrophysiol. 2015, 44, 9–16. [Google Scholar] [CrossRef]
- Al Rawahi, M.; Liang, J.J.; Kapa, S.; Lin, A.; Shirai, Y.; Kuo, L.; Zado, E.S.; Hyman, M.C.; Riley, M.P.; Nazarian, S.; et al. Incidence of Left Atrial Appendage Triggers in Patients With Atrial Fibrillation Undergoing Catheter Ablation. JACC Clin. Electrophysiol. 2020, 6, 21–30. [Google Scholar] [CrossRef]
- Kim, Y.G.; Shim, J.; Oh, S.K.; Lee, K.N.; Choi, J.I.; Kim, Y.H. Electrical isolation of the left atrial appendage increases the risk of ischemic stroke and transient ischemic attack regardless of postisolation flow velocity. Heart Rhythm. 2018, 15, 1746–1753. [Google Scholar] [CrossRef]
- Yorgun, H.; Şener, Y.Z.; Tanese, N.; Keresteci, A.; Sezenöz, B.; Çöteli, C.; Ateş, A.H.; Boveda, S.; Aytemir, K. Long-term outcomes of left atrial appendage isolation using cryoballoon in persistent atrial fibrillation. Europace 2023, 25, 366–373. [Google Scholar] [CrossRef] [PubMed]
- Pongratz, J.; Riess, L.; Hartl, S.; Brueck, B.; Tesche, C.; Ebersberger, U.; Helmberger, T.; Crispin, A.; Wankerl, M.; Dorwarth, U.; et al. Left atrial appendage volume is an independent predictor of atrial arrhythmia recurrence following cryoballoon pulmonary vein isolation in persistent atrial fibrillation. Front. Cardiovasc. Med. 2023, 10, 1190860. [Google Scholar] [CrossRef]
- Belley-Cote, E.P.; Connolly, S.J.; Whitlock, R.P. Left Atrial Appendage Occlusion during Cardiac Surgery to Prevent Stroke. Reply. N. Engl. J. Med. 2021, 385, 1053–1055. [Google Scholar] [CrossRef]
- Yamaguchi, T. Atrial structural remodeling and atrial fibrillation substrate: A histopathological perspective. J. Cardiol. 2025, 85, 47–55. [Google Scholar] [CrossRef] [PubMed]


| Variables | Chicken Wing (n = 326) | Windsock (n = 29) | Cauliflower (n = 53) | Cactus (n = 55) | p-Value |
|---|---|---|---|---|---|
| Age (years) | 59.9 ± 10.8 | 61.8 ± 11.8 | 62.5 ± 10.5 | 61.4 ± 9.6 | 0.316 |
| Men | 205 (62.9) | 16 (55.2) | 33 (62.3) | 34 (61.8) | 0.878 |
| Hypertension | 178 (54.6) | 17 (58.6) | 28 (52.8) | 27 (49.1) | 0.835 |
| Diabetes mellitus | 70 (21.5) | 3 (10.3) | 11 (20.8) | 15 (27.3) | 0.355 |
| CHF | 39 (12.0) a | 3 (10.3) ab | 7 (13.2) ab | 15 (27.3) b | 0.022 |
| Stroke | 32 (9.8) | 6 (20.7) | 4 (7.5) | 6 (10.9) | 0.272 |
| AF type | 0.186 | ||||
| Paroxysmal | 228 (69.9) | 15 (51.7) | 34 (64.2) | 35 (63.6) | |
| Persistent | 98 (30.1) | 14 (48.3) | 19 (35.8) | 20 (36.4) | |
| AADs use | |||||
| Pre-ablation | 236 (72.4) ab | 15 (51.7) a | 34 (64.2) ab | 47 (85.5) b | 0.006 |
| Post-ablation | 208 (63.8) | 19 (65.5) | 36 (67.9) | 42 (76.4) | 0.332 |
| LAA structure | |||||
| LAA orifice size (mm) | 18.6 ± 4.9 a | 20.8 ±5.0 ab | 18.8 ±6.5 ab | 21.3 ± 5.6 b | 0.001 |
| LAA length (mm) | 35.6 ± 17.7 a | 37.4 ± 7.3 ab | 29.4 ± 7.8 b | 32.6 ± 8.2 ab | 0.028 |
| LAA lobe number | <0.001 | ||||
| 0 lobe | 89 (27.3) | 21 (72.4) | 16 (30.2) | 24 (43.6) | |
| 1 lobe | 70 (21.5) | 1 (3.4) | 8 (15.1) | 20 (36.4) | |
| 2 lobes | 121 (37.1) | 6 (20.7) | 17 (32.1) | 8 (14.5) | |
| ≥3 lobes | 46 (14.1) | 1 (3.4) | 12 (22.6) | 3 (5.5) | |
| LAA to LSPV distance (mm) | 23.9 ± 4.4 | 25.4 ± 5.2 | 24.3 ± 5.9 | 24.8 ± 4.6 | 0.257 |
| LAA volume (mL) | 13.7 ± 6.6 | 13.8 ± 6.6 | 11.9 ± 7.0 | 13.2 ± 6.6 | 0.299 |
| LA volume (mL) | 127.7 ± 44.2 a | 133.6 ± 53.8 ab | 142.7 ± 71.1 ab | 151.0 ± 56.4 b | 0.006 |
| Variables | Recurrence (n = 117) | No Recurrence (n = 346) | p-Value |
|---|---|---|---|
| Age (years) | 61.4 ± 10.2 | 60.2 ± 10.9 | 0.305 |
| Men | 66 (56.4) | 222 (64.2) | 0.135 |
| Hypertension | 62 (53) | 188 (54.3) | 0.801 |
| Diabetes mellitus | 26 (22.2) | 73 (21.1) | 0.798 |
| Congestive heart failure | 16 (13.7) | 48 (13.9) | 1.000 |
| Stroke | 8 (6.8) | 40 (11.6) | 0.164 |
| AF type | 0.001 | ||
| Paroxysmal | 64 (54.7) | 248 (71.7) | |
| Persistent | 53 (45.3) | 98 (28.3) | |
| Antiarrhythmic drug use | |||
| Pre-ablation | 80 (68.4) | 252 (72.8) | 0.355 |
| Post-ablation | 95 (81.2) | 210 (60.7) | <0.001 |
| LAA structure | |||
| LAA morphology | 0.017 | ||
| Chicken wing | 82 (70.1) | 244 (70.5) | |
| Windsock | 14 (12.0) | 15 (4.3) | |
| Cauliflower | 11 (9.4) | 42 (12.1) | |
| Cactus | 10 (8.5) | 45 (13.0) | |
| LAA orifice size (mm) | 20.0 ± 5.1 | 18.7 ±5.3 | 0.011 |
| LAA length (mm) | 34.9 ± 6.7 | 34.5 ± 17.6 | 0.417 |
| LAA lobe number | 0.197 | ||
| 0 lobe | 39 (33.3) | 111 (32.1) | |
| 1 lobe | 17 (14.5) | 82 (23.7) | |
| 2 lobes | 43 (36.8) | 109 (31.5) | |
| ≥3 lobes | 18 (15.4) | 44 (12.7) | |
| LAA to LSPV distance (mm) | 24.9 ± 4.6 | 23.9 ± 4.7 | 0.029 |
| LAA volume (mL) | 14.5 ± 6.4 | 13.1 ± 6.7 | 0.024 |
| LA volume (mL) | 143.3 ± 51.9 | 128.9 ± 49.7 | 0.004 |
| Variables | Univariable | Multivariable | ||
|---|---|---|---|---|
| ORs (95% CIs) | p Value | ORs (95% CIs) | p Value | |
| Age | 1.010 (0.991–1.031) | 0.304 | ||
| Men | 0.723 (0.472–1.107) | 0.136 | ||
| Hypertension | 0.947 (0.622–1.442) | 0.801 | ||
| Diabetes mellitus | 1.068 (0.644–1.773) | 0.798 | ||
| CHF | 0.983 (0.535–1.808) | 0.957 | ||
| Stroke | 0.561 (0.255–1.237) | 0.152 | ||
| AF type | ||||
| Persistent (vs. paroxysmal) | 2.096 (1.360–3.230) | 0.006 | 1.748 (1.075–2.842) | 0.024 |
| AADs use | ||||
| Pre-ablation | 0.807 (0.511–1.273) | 0.355 | ||
| Post-ablation | 2.797 (1.677–4.664) | <0.001 | 2.862 (1.689–4.849) | <0.001 |
| LAA structure | ||||
| LAA orifice size | 1.047 (1.006–1.090) | 0.023 | 1.010 (0.950–1.073) | 0.756 |
| LAA length | 1.001 (0.989–1.014) | 0.835 | ||
| LAA lobe number (≥2 vs. 1) | 1.827(1.032–3.233) | 0.038 | 1.822(0.998–3.326) | 0.051 |
| LAA to LSPV distance (mm) | 1.043 (0.998–1.090) | 0.061 | 0.982 (0.925–1.042) | 0.546 |
| LAA volume (mL) | 1.031 (1.000–1.062) | 0.051 | 0.997 (0.953–1.043) | 0.997 |
| LAA morphology | ||||
| Chicken wing | 1 | - | ||
| Windsock | 2.722 (1.227–6.040) | 0.014 | ||
| Cauliflower | 1.017 (0.564–1.833) | 0.956 | ||
| Cactus | 1.194 (0.672–2.121) | 0.545 | ||
| Chicken wing (vs. non-chicken wing) | 1.332 (0.892–1.989) | 0.161 | ||
| Windsock (vs. non-windsock) | 2.722 (1.227–6.040) | 0.003 | 2.720 (1.209–6.118) | 0.016 |
| LA volume (mL) | 1.005 (1.001–1.009) | 0.009 | 1.004 (0.998–1.010) | 0.154 |
Disclaimer/Publisher’s Note: The statements, opinions and data contained in all publications are solely those of the individual author(s) and contributor(s) and not of MDPI and/or the editor(s). MDPI and/or the editor(s) disclaim responsibility for any injury to people or property resulting from any ideas, methods, instructions or products referred to in the content. |
© 2025 by the authors. Licensee MDPI, Basel, Switzerland. This article is an open access article distributed under the terms and conditions of the Creative Commons Attribution (CC BY) license (https://creativecommons.org/licenses/by/4.0/).
Share and Cite
Lin, Y.-S.; Wang, H.-T.; Fang, Y.-N.; Chen, H.-C.; Lee, Y.-W.; Chen, Y.-L. Left Atrial Appendage Morphology Predicts Atrial Fibrillation Recurrence: The Hidden Risks of Windsock Anatomy. Diagnostics 2025, 15, 2642. https://doi.org/10.3390/diagnostics15202642
Lin Y-S, Wang H-T, Fang Y-N, Chen H-C, Lee Y-W, Chen Y-L. Left Atrial Appendage Morphology Predicts Atrial Fibrillation Recurrence: The Hidden Risks of Windsock Anatomy. Diagnostics. 2025; 15(20):2642. https://doi.org/10.3390/diagnostics15202642
Chicago/Turabian StyleLin, Yu-Sheng, Hui-Ting Wang, Yen-Nan Fang, Huang-Chung Chen, Yi-Wei Lee, and Yung-Lung Chen. 2025. "Left Atrial Appendage Morphology Predicts Atrial Fibrillation Recurrence: The Hidden Risks of Windsock Anatomy" Diagnostics 15, no. 20: 2642. https://doi.org/10.3390/diagnostics15202642
APA StyleLin, Y.-S., Wang, H.-T., Fang, Y.-N., Chen, H.-C., Lee, Y.-W., & Chen, Y.-L. (2025). Left Atrial Appendage Morphology Predicts Atrial Fibrillation Recurrence: The Hidden Risks of Windsock Anatomy. Diagnostics, 15(20), 2642. https://doi.org/10.3390/diagnostics15202642

