Artificial Intelligence and Image Analysis-Assisted Diagnosis for Fibrosis Stage of Metabolic Dysfunction-Associated Steatotic Liver Disease Using Ultrasonography: A Pilot Study
Abstract
1. Introduction
2. Patients and Methods
2.1. Patients and Data Collection
2.2. Abdominal Ultrasonography
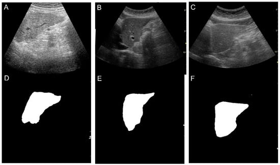
2.3. Image Pre-Processing and Machine Learning for Liver Segmentation
2.4. Subjective Assessment
2.5. Image Pre-Processing and Classification of the Liver Surface Roughness via Deep Learning
2.6. Image Analysis
2.7. Statistical Analysis
3. Results
3.1. Accuracy of Liver Segmentation
3.2. Results of the Classification of the Liver Surface Roughness via Deep Learning
3.3. Comparison Between Ultrasound Image Analysis Features and Fibrosis Stage
4. Discussion
4.1. Application of AI in Liver B-Mode Imaging
4.2. Morphological Features and Liver Fibrosis Assessment
4.3. Discussion of Features of Image Analysis and Liver Fibrosis
4.4. Diagnosis of Liver Steatosis and Cirrhosis in Ultrasound Images Using Artificial Intelligence and Image Analysis
4.5. Limitations
4.6. Future Prospects
5. Conclusions and Future Work
Author Contributions
Funding
Institutional Review Board Statement
Informed Consent Statement
Data Availability Statement
Conflicts of Interest
References
- Parikh, N.S.; VanWagner, L.B.; Elkind, M.S.V.; Gutierrez, J. Association between nonalcoholic fatty liver disease with advanced fibrosis and stroke. J. Neurol. Sci. 2019, 407, 116524. [Google Scholar] [CrossRef] [PubMed]
- Kawamura, Y.; Arase, Y.; Ikeda, K.; Seko, Y.; Imai, N.; Hosaka, T.; Kobayashi, M.; Saitoh, S.; Sezaki, H.; Akuta, N.; et al. Large-scale long-term follow-up study of Japanese patients with non-alcoholic Fatty liver disease for the onset of hepatocellular carcinoma. Am. J. Gastroenterol. 2012, 107, 253–261. [Google Scholar] [CrossRef] [PubMed]
- Akuta, N.; Kawamura, Y.; Arase, Y.; Saitoh, S.; Fujiyama, S.; Sezaki, H.; Hosaka, T.; Kobayashi, M.; Kobayashi, M.; Suzuki, Y.; et al. PNPLA3 genotype and fibrosis-4 index predict cardiovascular diseases of Japanese patients with histopathologically-confirmed NAFLD. BMC Gastroenterol. 2021, 21, 434. [Google Scholar] [CrossRef] [PubMed] [PubMed Central]
- Wang, Z.; Zhao, X.; Chen, S.; Wang, Y.; Cao, L.; Liao, W.; Sun, Y.; Wang, X.; Zheng, Y.; Wu, S.; et al. Associations Between Nonalcoholic Fatty Liver Disease and Cancers in a Large Cohort in China. Clin. Gastroenterol. Hepatol. 2021, 19, 788–796.e4. [Google Scholar] [CrossRef] [PubMed]
- Angulo, P.; Kleiner, D.E.; Dam-Larsen, S.; Adams, L.A.; Björnsson, E.S.; Charatcharoenwitthaya, P.; Mills, P.R.; Keach, J.C.; Lafferty, H.D.; Stahler, A.; et al. Liver Fibrosis, but No Other Histologic Features, Is Associated With Long-term Outcomes of Patients With Nonalcoholic Fatty Liver Disease. Gastroenterology 2015, 149, 389–397. [Google Scholar] [CrossRef]
- Hosseini Shabanan, S.; Martins, V.F.; Wolfson, T.; Weeks, J.T.; Ceriani, L.; Behling, C.; Chernyak, V.; El Kaffas, A.; Borhani, A.A.; Han, A.; et al. MASLD: What We Have Learned and Where We Need to Go-A Call to Action. Radiographics 2024, 44, e240048. [Google Scholar] [CrossRef] [PubMed]
- Yoneda, M.; Yoneda, M.; Fujita, K.; Inamori, M.; Tamano, M.; Hiriishi, H.; Nakajima, A. Transient elastography in patients with non-alcoholic fatty liver disease (NAFLD). Gut 2007, 56, 1330–1331. [Google Scholar] [CrossRef]
- Nagai, K.; Nagai, K.; Iwaki, M.; Kobayashi, T.; Nogami, A.; Oka, M.; Saito, S.; Yoneda, M. Frontiers of Collaboration between Primary Care and Specialists in the Management of Metabolic Dysfunction-Associated Steatotic Liver Disease: A Review. Life 2023, 13, 2144. [Google Scholar] [CrossRef] [PubMed] [PubMed Central]
- Yoshioka, K.; Kawabe, N.; Hashimoto, S. Transient elastography: Applications and limitations. Hepatol. Res. 2008, 38, 1063–1068. [Google Scholar] [CrossRef]
- Arena, U.; Vizzutti, F.; Corti, G.; Ambu, S.; Stasi, C.; Bresci, S.; Moscarella, S.; Boddi, V.; Petrarca, A.; Laffi, G.; et al. Acute viral hepatitis increases liver stiffness values measured by transient elastography. Hepatology 2008, 47, 380–384. [Google Scholar] [CrossRef] [PubMed]
- Zeng, M.; Chen, Y.; Zhao, B. Higher liver stiffness in patients with chronic congestive heart failure: Data from NHANES with liver ultrasound transient elastography. Ann. Palliat. Med. 2021, 10, 6859–6866. [Google Scholar] [CrossRef] [PubMed]
- Millonig, G.; Reimann, F.M.; Friedrich, S.; Fonouni, H.; Mehrabi, A.; Büchler, M.W.; Seitz, H.K.; Mueller, S. Extrahepatic cholestasis increases liver stiffness (FibroScan) irrespective of fibrosis. Hepatology 2008, 48, 1718–1723. [Google Scholar] [CrossRef] [PubMed]
- Naganuma, H.; Ishida, H. Factors other than fibrosis that increase measured shear wave velocity. World J. Gastroenterol. 2022, 28, 6512–6521. [Google Scholar] [CrossRef] [PubMed] [PubMed Central]
- Saverymuttu, S.H.; Joseph, A.E.; Maxwell, J.D. Ultrasound scanning in the detection of hepatic fibrosis and steatosis. Br. Med. J. 1986, 292, 13–15. [Google Scholar] [CrossRef]
- Choong, C.C.; Venkatesh, S.K.; Siew, E.P. Accuracy of routine clinical ultrasound for staging of liver fibrosis. J. Clin. Imaging Sci. 2012, 2, 58. [Google Scholar] [CrossRef]
- Joseph, A.E.; Saverymuttu, S.H.; al-Sam, S.; Cook, M.G.; Maxwell, J.D. Comparison of liver histology with ultrasonography in assessing diffuse parenchymal liver disease. Clin. Radiol. 1991, 43, 26–31. [Google Scholar] [CrossRef]
- Vessal, S.; Naidoo, S.; Hodson, J.; Stella, D.L.; Gibson, R.N. Hepatic vein morphology: A new sonographic diagnostic parameter in the investigation of cirrhosis? J. Ultrasound Med. 2009, 28, 1219–1227. [Google Scholar] [CrossRef]
- Shen, L.; Li, J.Q.; Zeng, M.D.; Lu, L.G.; Fan, S.T.; Bao, H. Correlation between ultrasonographic and pathologic diagnosis of liver fibrosis due to chronic virus hepatitis. World J. Gastroenterol. 2006, 12, 1292–1295. [Google Scholar] [CrossRef]
- Giorgio, A.; Amoroso, P.; Lettieri, G.; Fico, P.; de Stefano, G.; Finelli, L.; Scala, V.; Tarantino, L.; Pierri, P.; Pesce, G. Cirrhosis: Value of caudate to right lobe ratio in diagnosis with US. Radiology 1986, 161, 443–445. [Google Scholar] [CrossRef]
- Ogura, S.; Saitoh, S.; Kawamura, Y.; Sezaki, H.; Hosaka, T.; Akuta, N.; Kobayashi, M.; Suzuki, F.; Suzuki, Y.; Arase, Y.; et al. Magnetic resonance laparoscopy: A new non-invasive technique for the assessment of chronic viral liver disease. Hepatol. Res. 2013, 43, 836–845. [Google Scholar] [CrossRef] [PubMed]
- Matsumoto, N.; Kumagawa, M.; Ogawa, M.; Kaneko, M.; Watanabe, Y.; Nakagawara, H.; Masuzaki, R.; Kanda, T.; Moriyama, M.; Sugitani, M. Ultrasonographic grayscale findings related to fibrosis in patients with non-alcoholic fatty liver disease: Comparison with transient elastography and Fib-4 index. J. Med. Ultrason. (2001) 2021, 48, 323–333. [Google Scholar] [CrossRef] [PubMed]
- Tobari, M.; Hashimoto, E.; Yatsuji, S.; Torii, N.; Shiratori, K. Imaging of nonalcoholic steatohepatitis: Advantages and pitfalls of ultrasonography and computed tomography. Intern. Med. 2009, 48, 739–746. [Google Scholar] [CrossRef] [PubMed]
- Okaniwa, S.; Hirai, T.; Ogawa, M.; Tanaka, S.; Inui, K.; Wada, T.; Matsumoto, N.; Nishimura, S.; Chiba, Y.; Onodera, H.; et al. Manual for abdominal ultrasound in cancer screening and health checkups, revised edition (2021). J. Med. Ultrason. (2001) 2023, 50, 5–49. [Google Scholar] [CrossRef] [PubMed]
- Rickmann, A.M.; Senapati, J.; Kovalenko, O.; Peters, A.; Bamberg, F.; Wachinger, C. AbdomenNet: Deep neural network for abdominal organ segmentation in epidemiologic imaging studies. BMC Med. Imaging 2022, 22, 168. [Google Scholar] [CrossRef] [PubMed] [PubMed Central]
- Ryu, H.; Shin, S.Y.; Lee, J.Y.; Lee, K.M.; Kang, H.J.; Yi, J. Joint segmentation and classification of hepatic lesions in ultrasound images using deep learning. Eur. Radiol. 2021, 31, 8733–8742. [Google Scholar] [CrossRef] [PubMed] [PubMed Central]
- Saito, R.; Koizumi, N.; Nishiyama, Y.; Imaizumi, T.; Kusahara, K.; Yagasaki, S.; Matsumoto, N.; Masuzaki, R.; Takahashi, T.; Ogawa, M. Evaluation of ultrasonic fibrosis diagnostic system using convolutional network for ordinal regression. Int. J. Comput. Assist. Radiol. Surg. 2021, 16, 1969–1975. [Google Scholar] [CrossRef] [PubMed]
- Acharya, U.R.; Raghavendra, U.; Fujita, H.; Hagiwara, Y.; Koh, J.E.; Jen Hong, T.; Sudarshan, V.K.; Vijayananthan, A.; Yeong, C.H.; Gudigar, A.; et al. Automated characterization of fatty liver disease and cirrhosis using curvelet transform and entropy features extracted from ultrasound images. Comput. Biol. Med. 2016, 79, 250–258. [Google Scholar] [CrossRef] [PubMed]
- Brunt, E.M.; Janney, C.G.; Di Bisceglie, A.M.; Neuschwander-Tetri, B.A.; Bacon, B.R. Nonalcoholic steatohepatitis: A proposal for grading and staging the histological lesions. Am. J. Gastroenterol. 1999, 94, 2467–2474. [Google Scholar] [CrossRef]
- Chang, P.E.; Lui, H.F.; Chau, Y.P.; Lim, K.H.; Yap, W.M.; Tan, C.K.; Chow, W.C. Prospective evaluation of transient elastography for the diagnosis of hepatic fibrosis in Asians: Comparison with liver biopsy and aspartate transaminase platelet ratio index. Aliment. Pharmacol. Ther. 2008, 28, 51–61. [Google Scholar] [CrossRef] [PubMed]
- Ronneberger, O.; Fischer, P.; Brox, T. U-net: Convolutional networks for biomedical image segmentation. In Medical Image Computing and Computer-Assisted Intervention–MICCAI 2015: 18th International Conference, Munich, Germany, October 5–9, 2015, Proceedings, Part III 18; Springer International Publishing: Berlin/Heidelberg, Germany, 2015. [Google Scholar]
- Lin, T.-Y.; Goyal, P.; Girshick, R.; He, K.; Dollár, P. Focal loss for dense object detection. In Proceedings of the IEEE International Conference Computer Vision (ICCV), Venice, Italy, 22–29 October 2017; pp. 2980–2988. [Google Scholar]
- Matsumoto, N.; Ogawa, M.; Takayasu, K.; Hirayama, M.; Miura, T.; Shiozawa, K.; Abe, M.; Nakagawara, H.; Moriyama, M.; Udagawa, S. Quantitative sonographic image analysis for hepatic nodules: A pilot study. J. Med. Ultrason. (2001) 2015, 42, 505–512. [Google Scholar] [CrossRef] [PubMed]
- Kanda, Y. Investigation of the freely-available easy-to-use software “EZR” (Easy R) for medical statistics. Bone Marrow Transpl. 2013, 48, 452–458. [Google Scholar] [CrossRef] [PubMed]
- Shin, J.; Lee, S.; Yi, J. Real-Time Deep Recognition of Standardized Liver Ultrasound Scan Locations. Sensors 2023, 23, 4850. [Google Scholar] [CrossRef] [PubMed] [PubMed Central]
- Alshagathrh, F.M.; Househ, M.S. Artificial Intelligence for Detecting and Quantifying Fatty Liver in Ultrasound Images: A Systematic Review. Bioengineering 2022, 9, 748. [Google Scholar] [CrossRef] [PubMed] [PubMed Central]
- Zamanian, H.; Shalbaf, A.; Zali, M.R.; Khalaj, A.R.; Dehghan, P.; Tabesh, M.; Hatami, B.; Alizadehsani, R.; Tan, R.S.; Acharya, U.R. Application of artificial intelligence techniques for non-alcoholic fatty liver disease diagnosis: A systematic review (2005–2023). Comput. Methods Programs Biomed. 2024, 244, 107932. [Google Scholar] [CrossRef] [PubMed]
- Park, H.C.; Joo, Y.; Lee, O.J.; Lee, K.; Song, T.K.; Choi, C.; Choi, M.H.; Yoon, C. Automated classification of liver fibrosis stages using ultrasound imaging. BMC Med. Imaging 2024, 24, 36. [Google Scholar] [CrossRef] [PubMed] [PubMed Central]
- Kadah, Y.M.; Farag, A.A.; Zurada, J.M.; Badawi, A.M.; Youssef, A.M. Classification algorithms for quantitative tissue characterization of diffuse liver disease from ultrasound images. IEEE Trans. Med. Imaging 1996, 15, 466–478. [Google Scholar] [CrossRef] [PubMed]
- Pavlopoulos, S.; Kyriacou, E.; Koutsouris, D.; Blekas, K.; Stafylopatis, A.; Zoumpoulis, P. Fuzzy neural network-based texture analysis of ultrasonic images. IEEE Eng. Med. Biol. Mag. 2000, 19, 39–47. [Google Scholar] [CrossRef] [PubMed]
- Liu, Z.; Huang, B.; Wen, H.; Lu, Z.; Huang, Q.; Jiang, M.; Dong, C.; Liu, Y.; Chen, X.; Lin, H. Automatic Diagnosis of Significant Liver Fibrosis From Ultrasound B-Mode Images Using a Handcrafted-Feature-Assisted Deep Convolutional Neural Network. IEEE J. Biomed. Health Inf. 2023, 27, 4938–4949. [Google Scholar] [CrossRef] [PubMed]
- Badawi, A.M.; Derbala, A.S.; Youssef, A.M. Fuzzy logic algorithm for quantitative tissue characterization of diffuse liver diseases from ultrasound images. Int. J. Med. Inf. 1999, 55, 135–147. [Google Scholar] [CrossRef] [PubMed]








| N | 486 |
|---|---|
| Age | 63.4 ± 14.1 |
| Male/female | 220/266 |
| Skin–capsular distance [cm] | 1.5 ± 0.3 |
| Fibroscan [kPa] | 7.9 ± 7.7 |
| Etiology | |
| HBV | 83 |
| HCV | 93 |
| HBV + HCV | 2 |
| Alcohol | 42 |
| MASLD | 52 |
| Autoimmune hepatitis | 22 |
| Primary biliary cholangitis | 28 |
| Others | 167 |
| Condition of the liver | |
| Normal liver | 95 |
| Liver steatosis | 82 |
| Chronic liver damage | 218 |
| Liver cirrhosis | 54 |
| Chronic liver damage + steatosis | 32 |
| Liver cirrhosis + steatosis | 3 |
| Congestive liver | 4 |
| N | 43 |
|---|---|
| Age | 57 (20–79) |
| Male/female | 22/21 |
| Body mass index | 26.6 (19.9–36.9) |
| AST [IU/L] | 53 (24–170) |
| ALT [IU/L] | 64 (19–398) |
| Platelet [mm3] | 21.9 (8.3–37.9) |
| Fibrosis stage (0/1/2/3/4) | 5/11/13/11/3 |
| Steatosis grade (S0/S1/S2/S3) | 0/24/15/4 |
| Images with Roughness | Images with Smoothness | Augmentation | |
|---|---|---|---|
| Training | 22 (26.8%) | 60 (73.2%) | 22 |
| Validation | 8 (27.6%) | 21 (72.4%) | |
| Test | 9 (28.1%) | 23 (71.9%) |
| Diagnosis for ≥F3 | Diagnosis for F4 | |||||||
|---|---|---|---|---|---|---|---|---|
| Variables | Sensitivity | Specificity | F-1 Score | AUROC | Sensitivity | Specificity | F-1 Score | AUROC |
| Aspect ratio | 0.714 | 0.586 | 0.556 | 0.600 | 1 | 0.575 | 0.261 | 0.758 |
| Area | 0.500 | 0.931 | 0.609 | 0.707 | 0.667 | 0.900 | 0.445 | 0.775 |
| Circularity | 0.500 | 0.828 | 0.499 | 0.596 | 1 | 0.775 | 0.401 | 0.817 |
| MinFeret | 0.786 | 0.621 | 0.612 | 0.723 | 1 | 0.550 | 0.250 | 0.767 |
| Minor | 0.571 | 0.862 | 0.615 | 0.722 | 1 | 0.600 | 0.273 | 0.825 |
| Height | 0.500 | 0.862 | 0.560 | 0.677 | 1 | 0.600 | 0.273 | 0.762 |
| Accuracy [%] | |||
|---|---|---|---|
| Image with Smoothness | Image with Roughness | Both Images with Smoothness and Roughness | |
| Dataset 1 | 100.0 | 0.0 | 73.1 |
| Dataset 1 + Aug. | 63.2 | 100.0 | 73.1 |
| Dataset 2 | 94.7 | 14.3 | 73.1 |
| Dataset 2 + Aug. (Proposed Dataset) | 69.5 | 88.9 | 75.0 |
| Variables | p |
|---|---|
| Angle | 0.922 |
| Aspect ratio | 0.190 |
| Area | 0.060 |
| Circularity | 0.190 |
| Feret | 0.190 |
| FeretAngle | 0.680 |
| FeretX | 0.052 |
| FeretY | 0.269 |
| Height | 0.124 |
| Major | 0.209 |
| MinFeret | 0.046 |
| Minor | 0.036 |
| Perimeter | 0.190 |
| Solidity | 0.657 |
| Width | 0.156 |
Disclaimer/Publisher’s Note: The statements, opinions and data contained in all publications are solely those of the individual author(s) and contributor(s) and not of MDPI and/or the editor(s). MDPI and/or the editor(s) disclaim responsibility for any injury to people or property resulting from any ideas, methods, instructions or products referred to in the content. |
© 2024 by the authors. Licensee MDPI, Basel, Switzerland. This article is an open access article distributed under the terms and conditions of the Creative Commons Attribution (CC BY) license (https://creativecommons.org/licenses/by/4.0/).
Share and Cite
Fujii, I.; Matsumoto, N.; Ogawa, M.; Konishi, A.; Kaneko, M.; Watanabe, Y.; Masuzaki, R.; Kogure, H.; Koizumi, N.; Sugitani, M. Artificial Intelligence and Image Analysis-Assisted Diagnosis for Fibrosis Stage of Metabolic Dysfunction-Associated Steatotic Liver Disease Using Ultrasonography: A Pilot Study. Diagnostics 2024, 14, 2585. https://doi.org/10.3390/diagnostics14222585
Fujii I, Matsumoto N, Ogawa M, Konishi A, Kaneko M, Watanabe Y, Masuzaki R, Kogure H, Koizumi N, Sugitani M. Artificial Intelligence and Image Analysis-Assisted Diagnosis for Fibrosis Stage of Metabolic Dysfunction-Associated Steatotic Liver Disease Using Ultrasonography: A Pilot Study. Diagnostics. 2024; 14(22):2585. https://doi.org/10.3390/diagnostics14222585
Chicago/Turabian StyleFujii, Itsuki, Naoki Matsumoto, Masahiro Ogawa, Aya Konishi, Masahiro Kaneko, Yukinobu Watanabe, Ryota Masuzaki, Hirofumi Kogure, Norihiro Koizumi, and Masahiko Sugitani. 2024. "Artificial Intelligence and Image Analysis-Assisted Diagnosis for Fibrosis Stage of Metabolic Dysfunction-Associated Steatotic Liver Disease Using Ultrasonography: A Pilot Study" Diagnostics 14, no. 22: 2585. https://doi.org/10.3390/diagnostics14222585
APA StyleFujii, I., Matsumoto, N., Ogawa, M., Konishi, A., Kaneko, M., Watanabe, Y., Masuzaki, R., Kogure, H., Koizumi, N., & Sugitani, M. (2024). Artificial Intelligence and Image Analysis-Assisted Diagnosis for Fibrosis Stage of Metabolic Dysfunction-Associated Steatotic Liver Disease Using Ultrasonography: A Pilot Study. Diagnostics, 14(22), 2585. https://doi.org/10.3390/diagnostics14222585

