Comments and Illustrations of the European Federation of Societies for Ultrasound in Medicine (EFSUMB) Guidelines: Rare Malignant Pulmonal and Pleural Tumors: Primary Pulmonary Sarcoma and Mesothelioma, Imaging Features on Transthoracic Ultrasound
Abstract
1. Introduction
Contrast-Enhanced Ultrasound (CEUS) of the Lung and Pleura
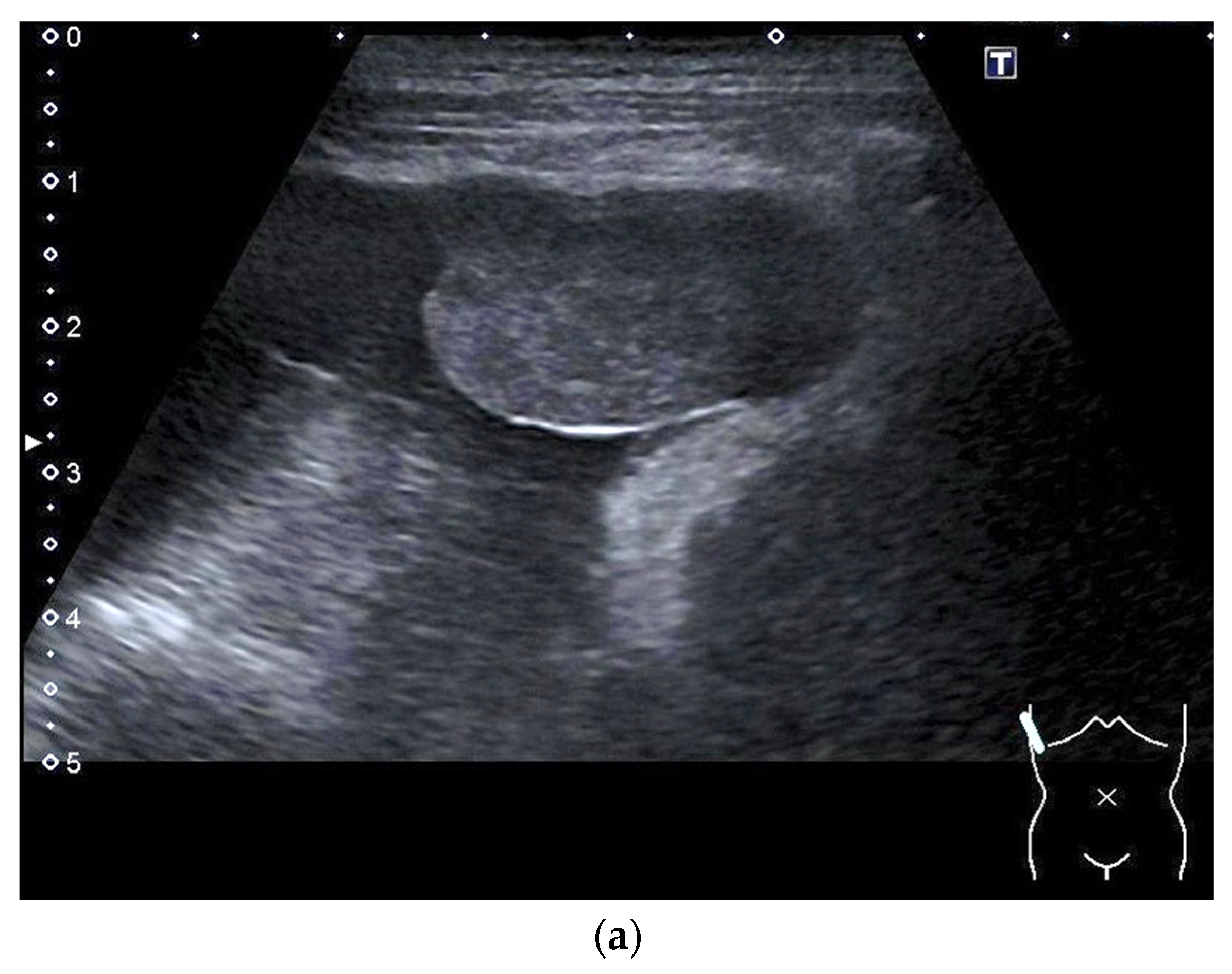
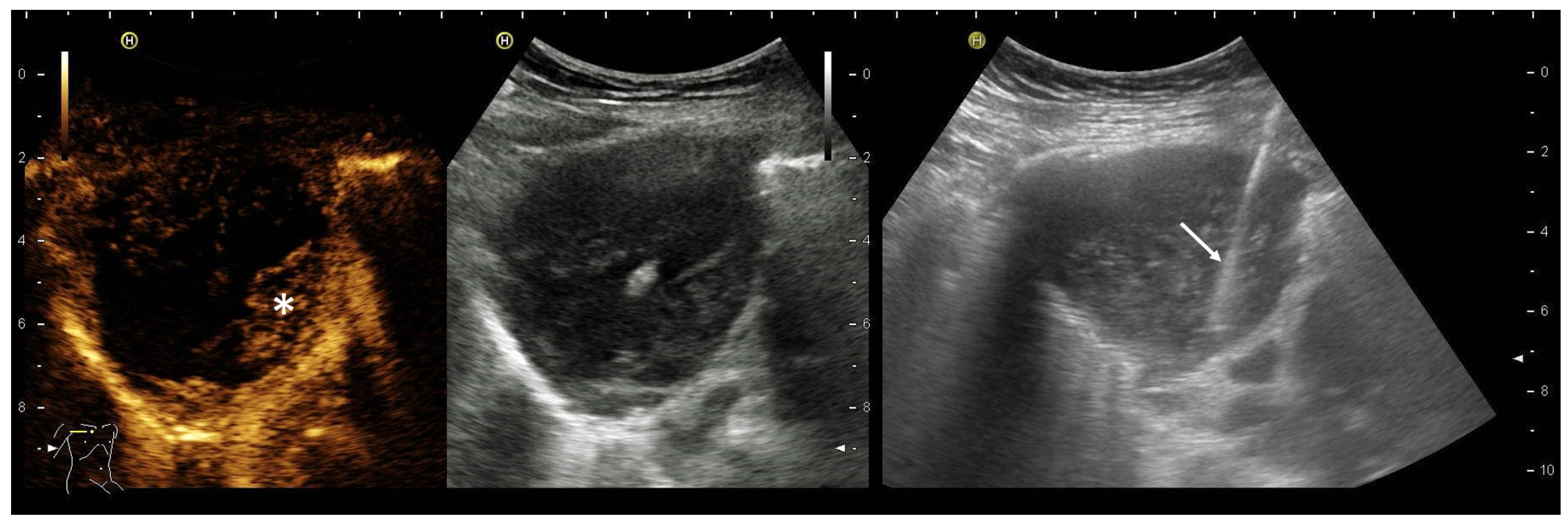
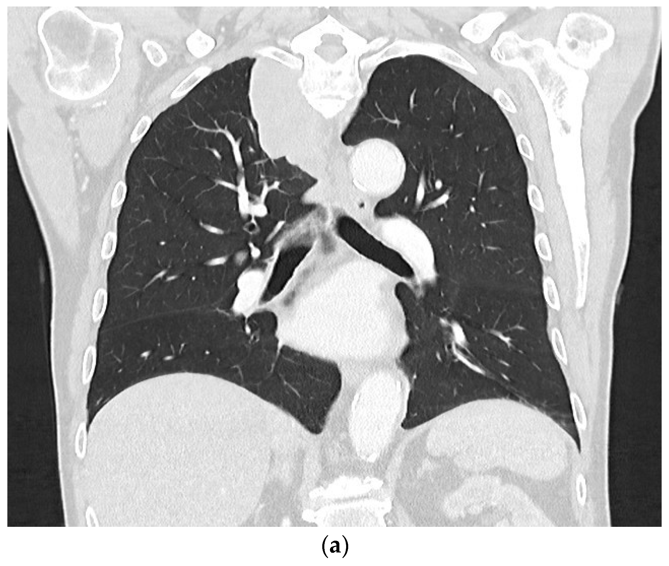
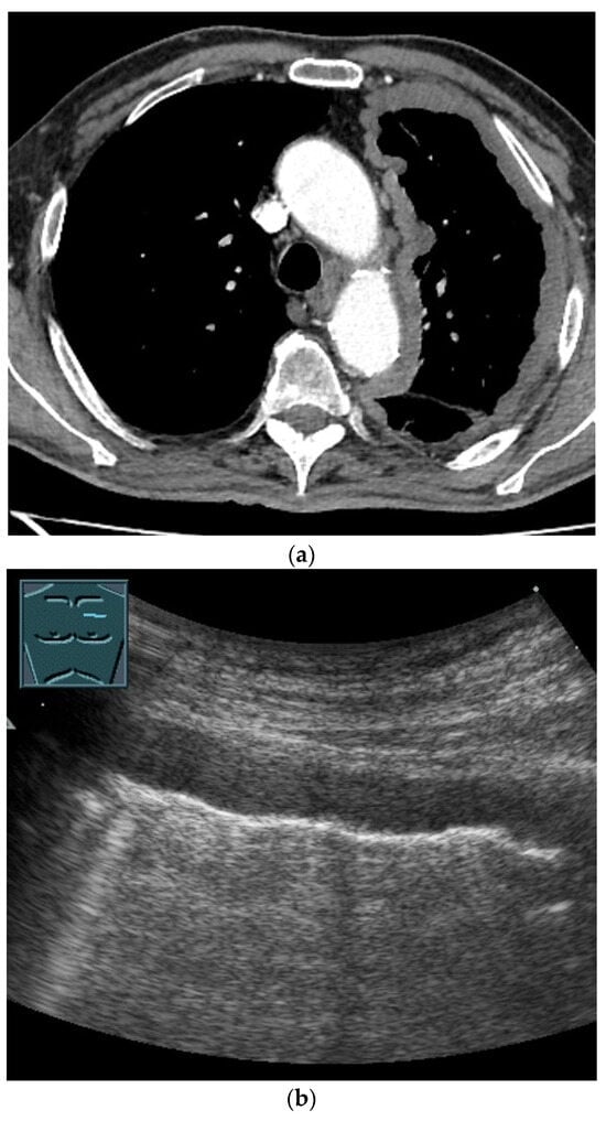
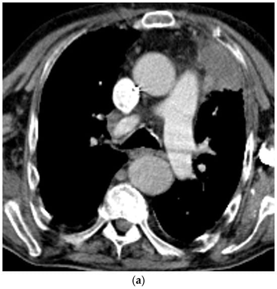
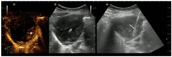
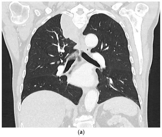
2. Primary Pulmonary Sarcomas
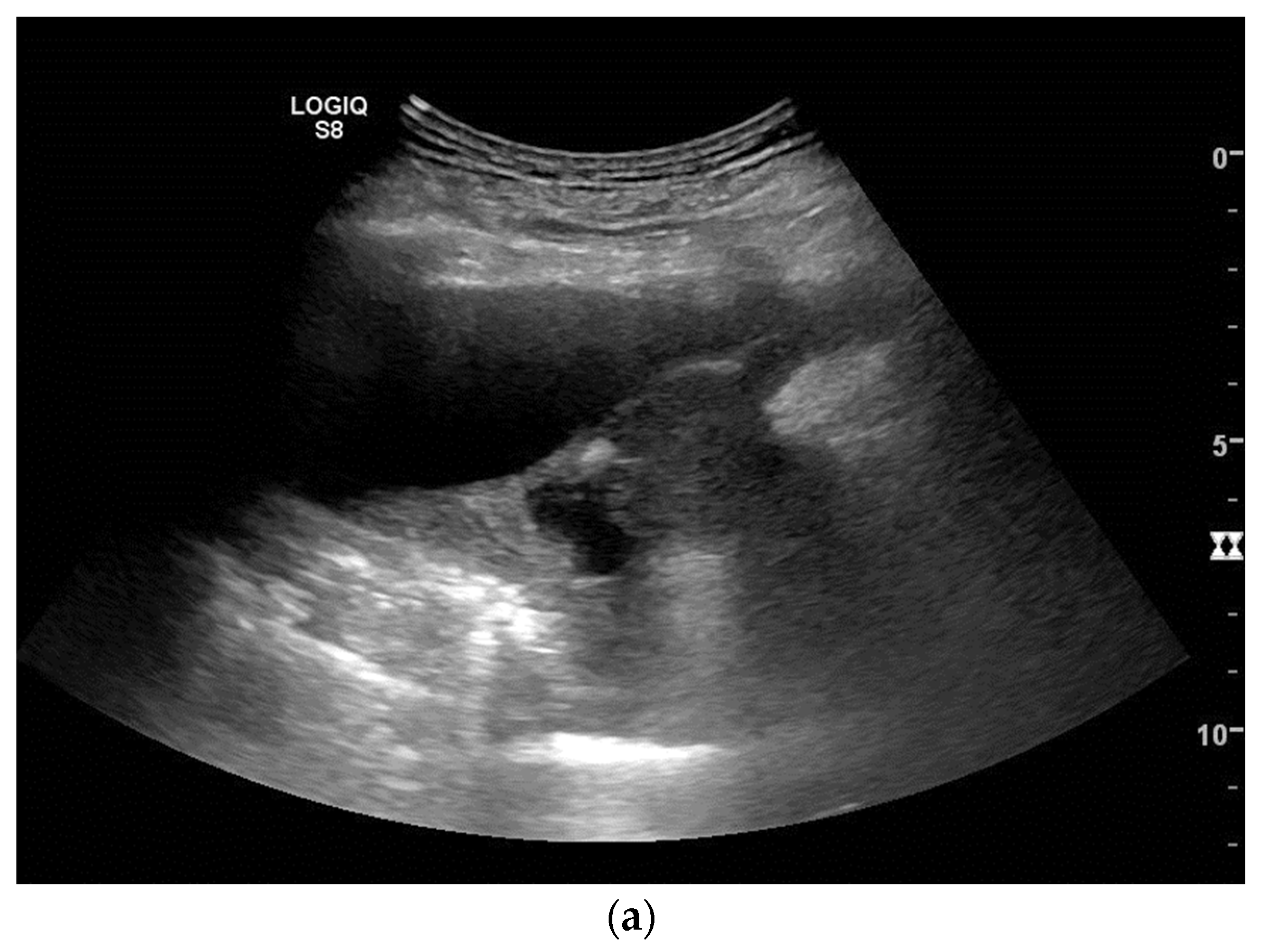
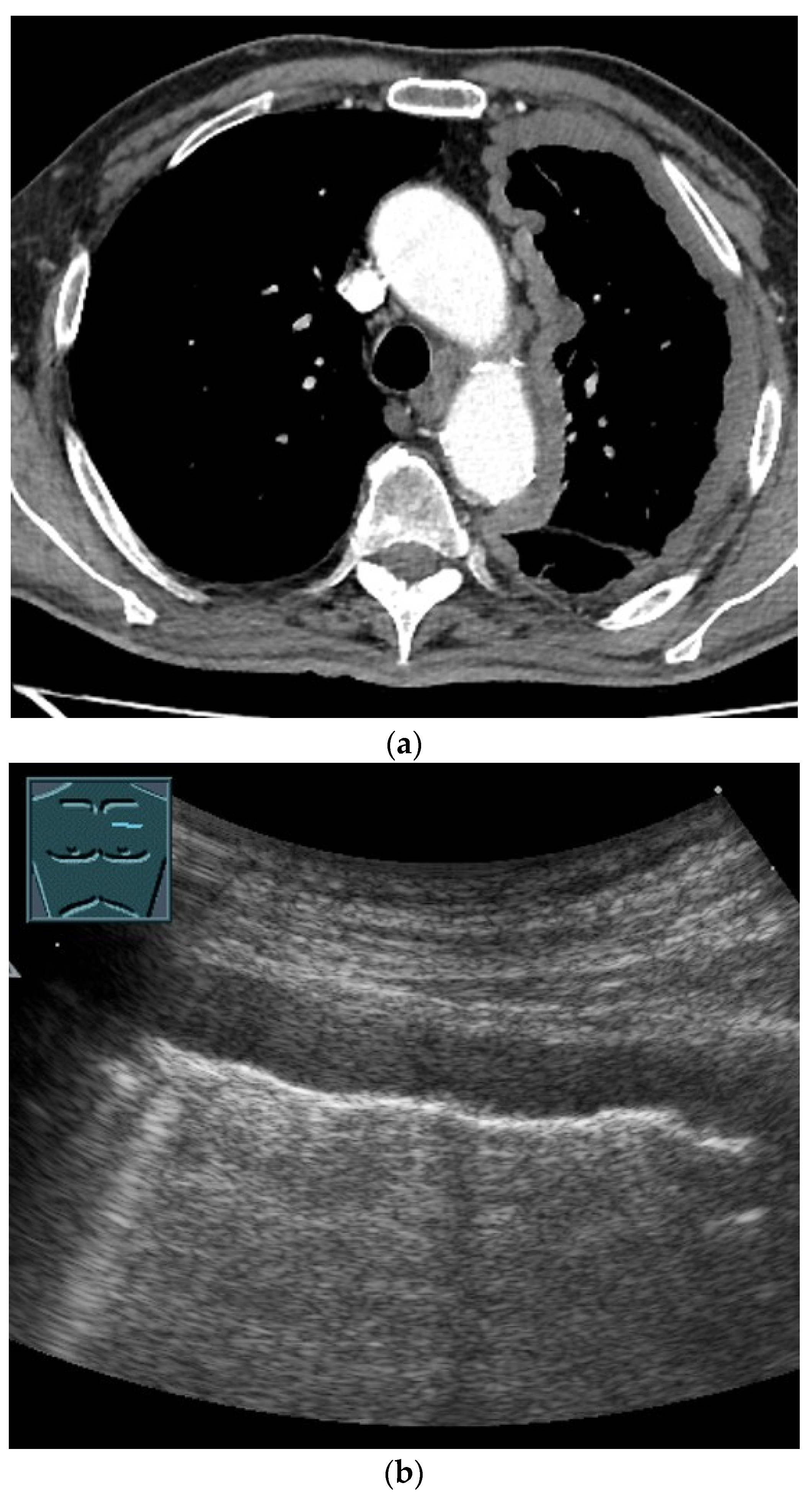
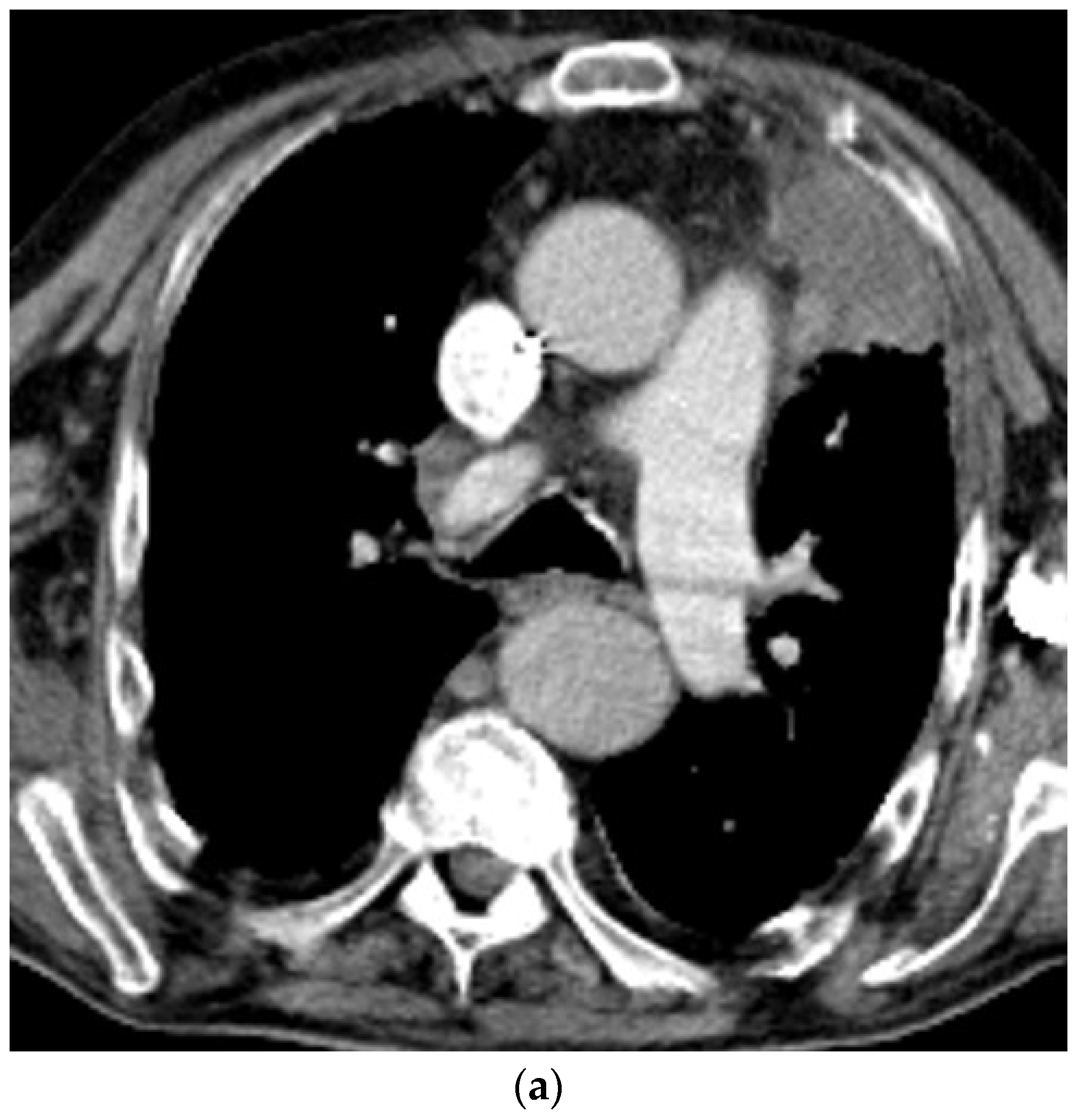
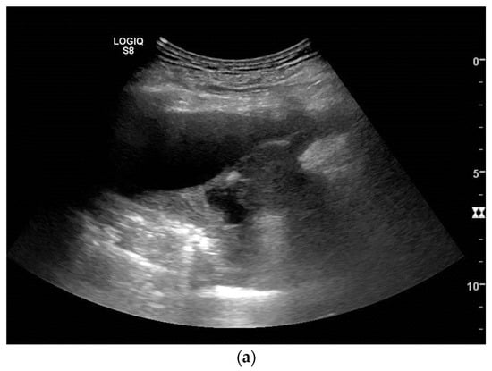
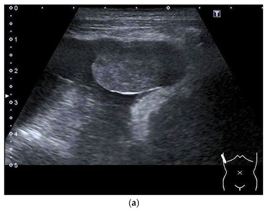
3. Pleural Mesothelioma
4. Conclusions
Author Contributions
Funding
Data Availability Statement
Conflicts of Interest
References
- Dietrich, C.F.; Gorg, C.; Horn, R.; Prosch, H.; Safai Zadeh, E.; Jenssen, C. Ultrasound of the lung. Ultraschall Med. 2023, 44, 582–599. [Google Scholar] [CrossRef] [PubMed]
- Safai Zadeh, E.; Gorg, C.; Prosch, H.; Horn, R.; Jenssen, C.; Dietrich, C.F. The Role of Thoracic Ultrasound for Diagnosis of Diseases of the Chest Wall, the Mediastinum, and the Diaphragm-Narrative Review and Pictorial Essay. Diagnostics 2023, 13, 767. [Google Scholar] [CrossRef] [PubMed]
- Horn, R.; Gorg, C.; Prosch, H.; Safai Zadeh, E.; Jenssen, C.; Dietrich, C.F. Sonography of the pleura. Ultraschall Med. 2024, 45, 118–146. [Google Scholar] [CrossRef]
- Beshara, M.; Bittner, E.A.; Goffi, A.; Berra, L.; Chang, M.G. Nuts and bolts of lung ultrasound: Utility, scanning techniques, protocols, and findings in common pathologies. Crit. Care 2024, 28, 328. [Google Scholar] [CrossRef]
- Fang, C.; Jaworska, J.; Buda, N.; Ciuca, I.M.; Dong, Y.; Feldkamp, A.; Jungert, J.; Kosiak, W.; Mentzel, H.J.; Pienar, C.; et al. Ultrasound of the chest and mediastinum in children, interventions and artefacts. WFUMB review paper (part 3). Med. Ultrason. 2022, 24, 65–67. [Google Scholar] [CrossRef] [PubMed]
- Jaworska, J.; Buda, N.; Ciuca, I.M.; Dong, Y.; Fang, C.; Feldkamp, A.; Jungert, J.; Kosiak, W.; Mentzel, H.J.; Pienar, C.; et al. Ultrasound of the pleura in children, WFUMB review paper. Med. Ultrason. 2021, 23, 339–347. [Google Scholar] [CrossRef]
- Rafailidis, V.; Andronikou, S.; Mentzel, H.J.; Piskunowicz, M.; Squires, J.H.; Barnewolt, C.E. Contrast-enhanced ultrasound of pediatric lungs. Pediatr. Radiol. 2021, 51, 2340–2350. [Google Scholar] [CrossRef]
- Safai Zadeh, E.; Alhyari, A.; Kroenig, J.; Gorg, C.; Trenker, C.; Dietrich, C.F.; Findeisen, H. B-mode ultrasound and contrast-enhanced ultrasound for evaluation of pneumonia: A pictorial essay. Australas. J. Ultrasound Med. 2023, 26, 100–114. [Google Scholar] [CrossRef]
- Findeisen, H.; Gorg, C.; Hartbrich, R.; Dietrich, C.F.; Gorg, K.; Trenker, C.; Safai Zadeh, E. Contrast-enhanced ultrasound is helpful for differentiating benign from malignant parietal pleural lesions. J. Clin. Ultrasound 2022, 50, 90–98. [Google Scholar] [CrossRef]
- Safai Zadeh, E.; Dietrich, C.F.; Kmoth, L.; Trenker, C.; Alhyari, A.; Ludwig, M.; Gorg, C. Peripheral Pulmonary Lesions in Confirmed Pulmonary Arterial Embolism: Follow-up Study of B-Mode Ultrasound and of Perfusion Patterns Using Contrast-Enhanced Ultrasound (CEUS). J. Ultrasound Med. 2022, 41, 1713–1721. [Google Scholar] [CrossRef]
- Safai Zadeh, E.; Gorg, C.; Dietrich, C.F.; Gorlach, J.; Alhyari, A.; Trenker, C. Contrast-Enhanced Ultrasound for Evaluation of Pleural Effusion: A Pictorial Essay. J. Ultrasound Med. 2022, 41, 485–503. [Google Scholar] [CrossRef] [PubMed]
- Safai Zadeh, E.; Gorg, C.; Prosch, H.; Jenssen, C.; Blaivas, M.; Laursen, C.B.; Jacobsen, N.; Dietrich, C.F. WFUMB Technological Review: How to Perform Contrast-Enhanced Ultrasound of the Lung. Ultrasound Med. Biol. 2022, 48, 598–616. [Google Scholar] [CrossRef] [PubMed]
- Safai Zadeh, E.; Keber, C.U.; Dietrich, C.F.; Westhoff, C.C.; Gunter, C.; Beutel, B.; Alhyari, A.; Trenker, C.; Gorg, C. Perfusion Patterns of Peripheral Pulmonary Granulomatous Lesions Using Contrast-Enhanced Ultrasound (CEUS) and Their Correlation with Immunohistochemically Detected Vascularization Patterns. J. Ultrasound Med. 2022, 41, 565–574. [Google Scholar] [CrossRef] [PubMed]
- Safai Zadeh, E.; Beutel, B.; Dietrich, C.F.; Keber, C.U.; Huber, K.P.; Gorg, C.; Trenker, C. Perfusion Patterns of Peripheral Pulmonary Lesions in COVID-19 Patients Using Contrast-Enhanced Ultrasound (CEUS): A Case Series. J. Ultrasound Med. 2021, 40, 2403–2411. [Google Scholar] [CrossRef] [PubMed]
- Safai Zadeh, E.; Weide, J.; Dietrich, C.F.; Trenker, C.; Koczulla, A.R.; Görg, C. Diagnostic Accuracy of B-Mode- and Contrast-Enhanced Ultrasound in Differentiating Malignant from Benign Pleural Effusions. Diagnostics 2021, 11, 1293. [Google Scholar] [CrossRef]
- Safai Zadeh, E.; Dietrich, C.F.; Trenker, C.; Alhayri, A.; Gorg, C. Transcutaneous B-mode ultrasound (TUS) and contrast-enhanced ultrasound (CEUS) pattern of mediastinal tumors: A pictorial essay. J. Ultrason. 2021, 21, e340–e347. [Google Scholar] [CrossRef]
- Lichtenstein, D.A. BLUE-protocol and FALLS-protocol: Two applications of lung ultrasound in the critically ill. Chest 2015, 147, 1659–1670. [Google Scholar] [CrossRef]
- Demi, L.; Wolfram, F.; Klersy, C.; De Silvestri, A.; Ferretti, V.V.; Muller, M.; Miller, D.; Feletti, F.; Wełnicki, M.; Buda, N.; et al. New International Guidelines and Consensus on the Use of Lung Ultrasound. J. Ultrasound Med. 2023, 42, 309–344. [Google Scholar] [CrossRef]
- Bhoil, R.; Ahluwalia, A.; Chopra, R.; Surya, M.; Bhoil, S. Signs and lines in lung ultrasound. J. Ultrason. 2021, 21, e225–e233. [Google Scholar] [CrossRef]
- Brusasco, C.; Santori, G.; Bruzzo, E.; Trò, R.; Robba, C.; Tavazzi, G.; Guarracino, F.; Forfori, F.; Boccacci, P.; Corradi, F. Quantitative lung ultrasonography: A putative new algorithm for automatic detection and quantification of B-lines. Crit. Care 2019, 23, 288. [Google Scholar] [CrossRef]
- Haaksma, M.E.; Smit, J.M.; Heldeweg, M.L.A.; Pisani, L.; Elbers, P.; Tuinman, P.R. Lung ultrasound and B-lines: B careful! Intensive Care Med. 2020, 46, 544–545. [Google Scholar] [CrossRef] [PubMed]
- Liu, J. Lung Ultrasonography Does Not Distinguish between Interstitial and Alveolar Pulmonary Edema. Diagnostics 2024, 14, 324. [Google Scholar] [CrossRef] [PubMed]
- Soldati, G.; Demi, M. The use of lung ultrasound images for the differential diagnosis of pulmonary and cardiac interstitial pathology. J. Ultrasound 2017, 20, 91–96. [Google Scholar] [CrossRef]
- Li, Q.; Yang, K.; Ji, Y.; Liu, H.; Fei, X.; Zhang, Y.; Li, J.; Luo, Y. Safety Analysis of Adverse Events of Ultrasound Contrast Agent Lumason/SonoVue in 49,100 Patients. Ultrasound Med. Biol. 2023, 49, 454–459. [Google Scholar] [CrossRef]
- Shang, Y.; Xie, X.; Luo, Y.; Nie, F.; Luo, Y.; Jing, X.; Liao, J.; Zheng, R.; Wu, R.; Luo, X.; et al. Safety findings after intravenous administration of sulfur hexafluoride microbubbles to 463,434 examinations at 24 centers. Eur. Radiol. 2023, 33, 988–995. [Google Scholar] [CrossRef] [PubMed]
- Li, D.; Zhang, R.; Lan, H.; Chen, M.; Huang, Z.; Zhao, H.; Guo, S.; Xu, M.; Lei, Y. A retrospective study on adverse events of intravenous administration of sulfur hexafluoride microbubbles in abdominal and superficial applications in 83,778 patients. Insights Imaging 2024, 15, 65. [Google Scholar] [CrossRef]
- Filippone, A.; Kirchin, M.A.; Monteith, J.; Storto, M.L.; Spinazzi, A. Safety of Lumason(R) (SonoVue(R)) in special populations and critically ill patients. Front. Cardiovasc. Med. 2023, 10, 1225654. [Google Scholar] [CrossRef]
- Senior, R.; Lindner, J.R.; Edvardsen, T.; Cosyns, B. Ultrasound contrast agent hypersensitivity in patients allergic to polyethylene glycol: Position statement by the European Association of Cardiovascular Imaging. Eur. Heart J. Cardiovasc. Imaging 2021, 22, 959–960. [Google Scholar] [CrossRef]
- Lindner, J.R.; Belcik, T.; Main, M.L.; Montanaro, A.; Mulvagh, S.L.; Olson, J.; Olyaei, A.; Porter, T.R.; Senior, R. Expert Consensus Statement from the American Society of Echocardiography on Hypersensitivity Reactions to Ultrasound Enhancing Agents in Patients with Allergy to Polyethylene Glycol. J. Am. Soc. Echocardiogr. 2021, 34, 707–708. [Google Scholar] [CrossRef]
- Sidhu, P.S.; Cantisani, V.; Dietrich, C.F.; Gilja, O.H.; Saftoiu, A.; Bartels, E.; Bertolotto, M.; Calliada, F.; Clevert, D.A.; Cosgrove, D.; et al. The EFSUMB Guidelines and Recommendations for the Clinical Practice of Contrast-Enhanced Ultrasound (CEUS) in Non-Hepatic Applications: Update 2017 (Short Version). Ultraschall Med. 2018, 39, 154–180. [Google Scholar] [CrossRef]
- Hong-xia, Z.; Wen, H.; Ling-gang, C.; Wen-Jia, C.; Shuo, L.; Li-Juan, D.; Hai-Man, S.; Yang, Z. A New Method for Discriminating between Bronchial and Pulmonary Arterial Phases using Contrast-Enhanced Ultrasound. Ultrasound Med. Biol. 2016, 42, 1441–1449. [Google Scholar] [CrossRef] [PubMed]
- Safai Zadeh, E.; Huber, K.P.; Gorg, C.; Prosch, H.; Findeisen, H. The Value of Contrast-Enhanced Ultrasound (CEUS) in the Evaluation of Central Lung Cancer with Obstructive Atelectasis. Diagnostics 2024, 14, 1051. [Google Scholar] [CrossRef] [PubMed]
- Dong, Y.; Mao, F.; Wang, W.P.; Ji, Z.B.; Fan, P.L. Value of Contrast-Enhanced Ultrasound in Guidance of Percutaneous Biopsy in Peripheral Pulmonary Lesions. Biomed. Res. Int. 2015, 2015, 531507. [Google Scholar] [CrossRef]
- Boccatonda, A.; Guagnano, M.T.; D’Ardes, D.; Cipollone, F.; Vetrugno, L.; Schiavone, C.; Piscaglia, F.; Serra, C. The Role of Contrast-Enhanced Ultrasound in the Differential Diagnosis of Malignant and Benign Subpleural Lung Lesions. J. Clin. Med. 2024, 13, 2302. [Google Scholar] [CrossRef]
- Wang, Y.; Xu, Z.; Huang, H.; Zhou, X.; Xian, M. Application of quantitative contrast-enhanced ultrasound for evaluation and guiding biopsy of peripheral pulmonary lesions: A preliminary study. Clin. Radiol. 2020, 75, 79.e19–79.e24. [Google Scholar] [CrossRef]
- Gorg, C.; Bert, T.; Kring, R.; Dempfle, A. Transcutaneous contrast enhanced sonography of the chest for evaluation of pleural based pulmonary lesions: Experience in 137 patients. Ultraschall Med. 2006, 27, 437–444. [Google Scholar] [CrossRef] [PubMed]
- Sperandeo, M.; Rea, G.; Grimaldi, M.A.; Trovato, F.; Dimitri, L.M.; Carnevale, V. Contrast-enhanced ultrasound does not discriminate between community acquired pneumonia and lung cancer. Thorax 2017, 72, 178–180. [Google Scholar] [CrossRef]
- Di Vece, F.; Tombesi, P.; Ermili, F.; Sartori, S. Contrast-enhanced ultrasound (CEUS) and CEUS-guided biopsy in the diagnosis of lung abscess in a patient with achalasia: Case report. Interv. Med. Appl. Sci. 2013, 5, 31–33. [Google Scholar] [CrossRef]
- Chen, Y.; Chen, J.; Zheng, N.; Chen, Y. Contrast-enhanced ultrasound (CEUS) guided drainage in the treatment of a patient with lung abscess secondary to hypervirulent Klebsiella pneumoniae (hvKP) infection: A case report. Respir. Med. Case Rep. 2021, 32, 101343. [Google Scholar] [CrossRef] [PubMed]
- Trenker, C.; Apitzsch, J.C.; Pastor, S.; Bartelt, S.; Neesse, A.; Goerg, C. Detection of peripheral embolic consolidations using contrast-enhanced ultrasonography in patients with no evidence of pulmonary embolism on computed tomography: A pilot study. J. Clin. Ultrasound 2017, 45, 575–579. [Google Scholar] [CrossRef]
- Jiang, X.; Chen, J.; Gu, F.F.; Li, Z.R.; Song, Y.S.; Long, J.J.; Zhang, S.Z.; Xu, T.T.; Tang, Y.J.; Gu, J.Y.; et al. Evaluating the efficacy of percutaneous puncture biopsy guided by contrast-enhanced ultrasound for peripheral pulmonary lesions. World J. Clin. Cases 2024, 12, 3791–3799. [Google Scholar] [CrossRef] [PubMed]
- Sun, W.; Zhou, Y.; Li, W.; Wang, Y.; Xiong, K.; Zhang, Z.; Fan, L. Diagnostic yield of Xpert MTB/RIF on contrast-enhanced ultrasound-guided pleural biopsy specimens for pleural tuberculosis. Int. J. Infect. Dis. 2021, 108, 89–95. [Google Scholar] [CrossRef]
- Sperandeo, M.; Sperandeo, G.; Varriale, A.; Filabozzi, P.; Decuzzi, M.; Dimitri, L.; Vendemiale, G. Contrast-enhanced ultrasound (CEUS) for the study of peripheral lung lesions: A preliminary study. Ultrasound Med. Biol. 2006, 32, 1467–1472. [Google Scholar] [CrossRef]
- Yang, H.; Zhang, Y.; Wei, D.; Chen, W.; Zhang, S.; He, L.; Liao, H.; Tang, Q.; Liu, J. Utility of high-frequency B-mode and contrast-enhanced ultrasound for the differential diagnosis of benign and malignant pleural diseases: A prospective study. J. Thorac. Dis. 2022, 14, 3695–3705. [Google Scholar] [CrossRef]
- Gladish, G.W.; Sabloff, B.M.; Munden, R.F.; Truong, M.T.; Erasmus, J.J.; Chasen, M.H. Primary thoracic sarcomas. Radiographics 2002, 22, 621–637. [Google Scholar] [CrossRef] [PubMed]
- Foran, P.; Colleran, G.; Madewell, J.; O’Sullivan, P.J. Imaging of thoracic sarcomas of the chest wall, pleura, and lung. Semin. Ultrasound CT MR 2011, 32, 365–376. [Google Scholar] [CrossRef]
- Berzenji, L.; Van Schil, P.E. Commentary: Primary pulmonary sarcomas and pulmonary carcinosarcomas, challenging and enigmatic, but treatable! J. Thorac. Cardiovasc. Surg. 2021, 162, 286–287. [Google Scholar] [CrossRef]
- Panigrahi, M.K.; Pradhan, G.; Sahoo, N.; Mishra, P.; Patra, S.; Mohapatra, P.R. Primary pulmonary synovial sarcoma: A reappraisal. J. Cancer Res. Ther. 2018, 14, 481–489. [Google Scholar] [CrossRef] [PubMed]
- Keel, S.B.; Bacha, E.; Mark, E.J.; Nielsen, G.P.; Rosenberg, A.E. Primary pulmonary sarcoma: A clinicopathologic study of 26 cases. Mod. Pathol. 1999, 12, 1124–1131. [Google Scholar]
- Travis, W.D.; Brambilla, E.; Nicholson, A.G.; Yatabe, Y.; Austin, J.H.M.; Beasley, M.B.; Chirieac, L.R.; Dacic, S.; Duhig, E.; Flieder, D.B.; et al. The 2015 World Health Organization Classification of Lung Tumors: Impact of Genetic, Clinical and Radiologic Advances Since the 2004 Classification. J. Thorac. Oncol. 2015, 10, 1243–1260. [Google Scholar] [CrossRef]
- Nicholson, A.G.; Tsao, M.S.; Beasley, M.B.; Borczuk, A.C.; Brambilla, E.; Cooper, W.A.; Dacic, S.; Jain, D.; Kerr, K.M.; Lantuejoul, S.; et al. The 2021 WHO Classification of Lung Tumors: Impact of Advances Since 2015. J. Thorac. Oncol. 2022, 17, 362–387. [Google Scholar] [CrossRef] [PubMed]
- Sbaraglia, M.; Bellan, E.; Dei Tos, A.P. The 2020 WHO Classification of Soft Tissue Tumours: News and perspectives. Pathologica 2021, 113, 70–84. [Google Scholar] [CrossRef]
- Hashimoto, H.; Tsugeno, Y.; Sugita, K.; Inamura, K. Mesenchymal tumors of the lung: Diagnostic pathology, molecular pathogenesis, and identified biomarkers. J. Thorac. Dis. 2019, 11, S9–S24. [Google Scholar] [CrossRef]
- Frazier, A.A.; Franks, T.J.; Pugatch, R.D.; Galvin, J.R. From the archives of the AFIP: Pleuropulmonary synovial sarcoma. Radiographics 2006, 26, 923–940. [Google Scholar] [CrossRef] [PubMed]
- Tsetsou, I.; Moschouris, H.; Spanomanolis, N.; Soumpourou, E. Ewing Sarcoma of the Lung: Imaging of a Rare Tumor. Cureus 2022, 14, e32395. [Google Scholar] [CrossRef] [PubMed]
- Li, R.; Teng, X.; Han, W.H.; Li, Y.; Liu, Q.W. Imaging findings of primary pulmonary synovial sarcoma with secondary distant metastases: A case report. World J. Clin. Cases 2021, 9, 1893–1900. [Google Scholar] [CrossRef]
- Linta, N.; Baron Toaldo, M.; Bettini, G.; Cordella, A.; Quinci, M.; Pey, P.; Galli, V.; Cipone, M.; Diana, A. The feasibility of contrast enhanced ultrasonography (CEUS) in the diagnosis of non-cardiac thoracic disorders of dogs and cats. BMC Vet. Res. 2017, 13, 141. [Google Scholar] [CrossRef]
- Rick, T.; Kleiter, M.; Schwendenwein, I.; Ludewig, E.; Reifinger, M.; Hittmair, K.M. Contrast-enhanced ultrasonography characteristics of intrathoracic mass lesions in 36 dogs and 24 cats. Vet. Radiol. Ultrasound 2019, 60, 56–64. [Google Scholar] [CrossRef]
- Robinson, B.M. Malignant pleural mesothelioma: An epidemiological perspective. Ann. Cardiothorac. Surg. 2012, 1, 491–496. [Google Scholar] [CrossRef]
- Alpert, N.; van Gerwen, M.; Taioli, E. Epidemiology of mesothelioma in the 21(st) century in Europe and the United States, 40 years after restricted/banned asbestos use. Transl. Lung Cancer Res. 2020, 9, S28–S38. [Google Scholar] [CrossRef]
- Scherpereel, A.; Opitz, I.; Berghmans, T.; Psallidas, I.; Glatzer, M.; Rigau, D.; Astoul, P.; Bolukbas, S.; Boyd, J.; Coolen, J.; et al. ERS/ESTS/EACTS/ESTRO guidelines for the management of malignant pleural mesothelioma. Eur. Respir. J. 2020, 55, 1900953. [Google Scholar] [CrossRef] [PubMed]
- Farioli, A.; Ottone, M.; Morganti, A.G.; Compagnone, G.; Romani, F.; Cammelli, S.; Mattioli, S.; Violante, F.S. Radiation-induced mesothelioma among long-term solid cancer survivors: A longitudinal analysis of SEER database. Cancer Med. 2016, 5, 950–959. [Google Scholar] [CrossRef] [PubMed]
- Sauter, J.L.; Dacic, S.; Galateau-Salle, F.; Attanoos, R.L.; Butnor, K.J.; Churg, A.; Husain, A.N.; Kadota, K.; Khoor, A.; Nicholson, A.G.; et al. The 2021 WHO Classification of Tumors of the Pleura: Advances Since the 2015 Classification. J. Thorac. Oncol. 2022, 17, 608–622. [Google Scholar] [CrossRef] [PubMed]
- Reuss, J. Sonography of the pleura. Ultraschall Med. 2010, 31, 8–22, quiz 23–25. [Google Scholar] [CrossRef]
- Cardinale, L.; Ardissone, F.; Asteggiano, F.; Laugelli, E.M.; Penna, D.; Fava, C. Diffuse neoplasms of the pleural serosa. Radiol. Med. 2013, 118, 366–378. [Google Scholar] [CrossRef]
- Szczyrek, M.; Bitkowska, P.; Jutrzenka, M.; Szudy-Szczyrek, A.; Drelich-Zbroja, A.; Milanowski, J. Pleural Neoplasms-What Could MRI Change? Cancers 2023, 15, 3261. [Google Scholar] [CrossRef]
- Qureshi, N.R.; Rahman, N.M.; Gleeson, F.V. Thoracic ultrasound in the diagnosis of malignant pleural effusion. Thorax 2009, 64, 139–143. [Google Scholar] [CrossRef] [PubMed]
- Cardinale, L.; Ardissone, F.; Gned, D.; Sverzellati, N.; Piacibello, E.; Veltri, A. Diagnostic Imaging and workup of Malignant Pleural Mesothelioma. Acta Biomed. 2017, 88, 134–142. [Google Scholar] [CrossRef]
- Bibby, A.C.; Tsim, S.; Kanellakis, N.; Ball, H.; Talbot, D.C.; Blyth, K.G.; Maskell, N.A.; Psallidas, I. Malignant pleural mesothelioma: An update on investigation, diagnosis and treatment. Eur. Respir. Rev. 2016, 25, 472–486. [Google Scholar] [CrossRef]
- Popic Ramac, J.; Hebrang, A.; Ivanovi-Herceg, Z.; Vidjak, V.; Brnic, Z.; Novacic, K.; Fistonic, I. The possibilities and limitations of direct digital radiography, ultrasound and computed tomography in diagnosing pleural mesotelioma. Coll. Antropol. 2010, 34, 1263–1271. [Google Scholar]
- You, Q.Q.; Peng, S.Y.; Zhou, Z.Y.; Tan, X.L.; Miao, X.S. Comparison of the Value of Conventional Ultrasound and Contrast-Enhanced Ultrasound-Guided Puncture Biopsy in Different Sizes of Peripheral Pulmonary Lesions. Contrast Media Mol. Imaging 2022, 2022, 6425145. [Google Scholar] [CrossRef] [PubMed]
- Yusuf, G.T.; Fang, C.; Tran, S.; Rao, D.; Bartlett-Pestell, S.; Stefanidis, K.; Huang, D.Y.; Sidhu, P.S. A pictorial review of the utility of CEUS in thoracic biopsies. Insights Imaging 2021, 12, 9. [Google Scholar] [CrossRef]
- Iadevaia, C.; D’Agnano, V.; Pagliaro, R.; Nappi, F.; Lucci, R.; Massa, S.; Bianco, A.; Perrotta, F. Diagnostic Accuracy of Ultrasound Guided Percutaneous Pleural Needle Biopsy for Malignant Pleural Mesothelioma. J. Clin. Med. 2024, 13, 2600. [Google Scholar] [CrossRef]
- Quarato, C.M.I.; Feragalli, B.; Lacedonia, D.; Rea, G.; Scioscia, G.; Maiello, E.; Di Micco, C.; Borelli, C.; Mirijello, A.; Graziano, P.; et al. Contrast-Enhanced Ultrasound in Distinguishing between Malignant and Benign Peripheral Pulmonary Consolidations: The Debated Utility of the Contrast Enhancement Arrival Time. Diagnostics 2023, 13, 666. [Google Scholar] [CrossRef]
- Guo, Z.; Shi, H.; Li, W.; Lin, D.; Wang, C.; Liu, C.; Yuan, M.; Wu, X.; Xiong, B.; He, X.; et al. Chinese multidisciplinary expert consensus: Guidelines on percutaneous transthoracic needle biopsy. Thorac. Cancer 2018, 9, 1530–1543. [Google Scholar] [CrossRef] [PubMed]
- Bai, Z.; Liu, T.; Liu, W.; Li, Z.; Zheng, H.; Li, X. Application value of contrast-enhanced ultrasound in the diagnosis of peripheral pulmonary focal lesions. Medicine 2022, 101, e29605. [Google Scholar] [CrossRef]
- Fu, Y.; Zhang, Y.Y.; Cui, L.G.; Tan, S.; Sun, Y. Ultrasound-Guided Biopsy of Pleural-Based Pulmonary Lesions by Injection of Contrast-Enhancing Drugs. Front. Pharmacol. 2019, 10, 960. [Google Scholar] [CrossRef] [PubMed]
- Cao, B.S.; Wu, J.H.; Li, X.L.; Deng, J.; Liao, G.Q. Sonographically guided transthoracic biopsy of peripheral lung and mediastinal lesions: Role of contrast-enhanced sonography. J. Ultrasound Med. 2011, 30, 1479–1490. [Google Scholar] [CrossRef]
- Liang, J.; Wang, D.; Li, H.; Zhao, S.; Chen, M.; Li, H.; Ding, Z.; Liu, J.; Liu, L. Contrast-enhanced ultrasound for needle biopsy of thoracic lesions. Oncol. Lett. 2020, 20, 75. [Google Scholar] [CrossRef]
- Zhang, H.; Guang, Y.; He, W.; Cheng, L.; Yu, T.; Tang, Y.; Song, H.; Liu, X.; Zhang, Y. Ultrasound-guided percutaneous needle biopsy skill for peripheral lung lesions and complications prevention. J. Thorac. Dis. 2020, 12, 3697–3705. [Google Scholar] [CrossRef]















Disclaimer/Publisher’s Note: The statements, opinions and data contained in all publications are solely those of the individual author(s) and contributor(s) and not of MDPI and/or the editor(s). MDPI and/or the editor(s) disclaim responsibility for any injury to people or property resulting from any ideas, methods, instructions or products referred to in the content. |
© 2024 by the authors. Licensee MDPI, Basel, Switzerland. This article is an open access article distributed under the terms and conditions of the Creative Commons Attribution (CC BY) license (https://creativecommons.org/licenses/by/4.0/).
Share and Cite
Möller, K.; Dietz, F.; Ludwig, M.; Eisenmann, S.; Görg, C.; Safai Zadeh, E.; Blank, W.; Jenssen, C.; Vetchy, V.; Möller, B.; et al. Comments and Illustrations of the European Federation of Societies for Ultrasound in Medicine (EFSUMB) Guidelines: Rare Malignant Pulmonal and Pleural Tumors: Primary Pulmonary Sarcoma and Mesothelioma, Imaging Features on Transthoracic Ultrasound. Diagnostics 2024, 14, 2339. https://doi.org/10.3390/diagnostics14202339
Möller K, Dietz F, Ludwig M, Eisenmann S, Görg C, Safai Zadeh E, Blank W, Jenssen C, Vetchy V, Möller B, et al. Comments and Illustrations of the European Federation of Societies for Ultrasound in Medicine (EFSUMB) Guidelines: Rare Malignant Pulmonal and Pleural Tumors: Primary Pulmonary Sarcoma and Mesothelioma, Imaging Features on Transthoracic Ultrasound. Diagnostics. 2024; 14(20):2339. https://doi.org/10.3390/diagnostics14202339
Chicago/Turabian StyleMöller, Kathleen, Florian Dietz, Michael Ludwig, Stephan Eisenmann, Christian Görg, Ehsan Safai Zadeh, Wolfgang Blank, Christian Jenssen, Veronika Vetchy, Burkhard Möller, and et al. 2024. "Comments and Illustrations of the European Federation of Societies for Ultrasound in Medicine (EFSUMB) Guidelines: Rare Malignant Pulmonal and Pleural Tumors: Primary Pulmonary Sarcoma and Mesothelioma, Imaging Features on Transthoracic Ultrasound" Diagnostics 14, no. 20: 2339. https://doi.org/10.3390/diagnostics14202339
APA StyleMöller, K., Dietz, F., Ludwig, M., Eisenmann, S., Görg, C., Safai Zadeh, E., Blank, W., Jenssen, C., Vetchy, V., Möller, B., & Dietrich, C. F. (2024). Comments and Illustrations of the European Federation of Societies for Ultrasound in Medicine (EFSUMB) Guidelines: Rare Malignant Pulmonal and Pleural Tumors: Primary Pulmonary Sarcoma and Mesothelioma, Imaging Features on Transthoracic Ultrasound. Diagnostics, 14(20), 2339. https://doi.org/10.3390/diagnostics14202339

