Predicting the Malignancy Grade of Soft Tissue Sarcomas on MRI Using Conventional Image Reading and Radiomics
Abstract
1. Introduction
2. Materials and Methods
2.1. Study Design
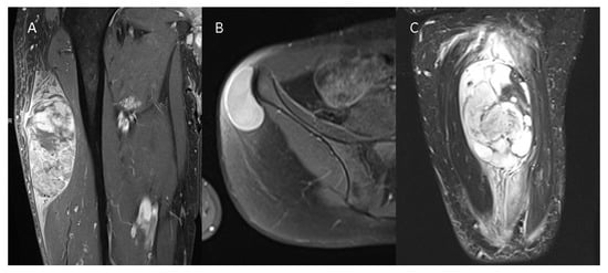
2.2. Image Analysis
2.3. Statistical Analysis
2.4. Machine Learning Model
3. Results
3.1. Baseline Characteristics
3.2. Conventional Imaging Features
3.3. Radiomics
3.4. Machine Learning
3.5. Upgraded STS Subgroup Analysis
4. Discussion
4.1. Tumor Size and Configuration
4.2. Tumor Diffusion/Cellularity
4.3. Peritumoral Environment and Tumor Margin
4.4. Hemorrhage and Necrosis
4.5. Tumor Heterogeneity
4.6. Machine Learning
4.7. Upgrade
4.8. Limitations
5. Conclusions
Author Contributions
Funding
Institutional Review Board Statement
Informed Consent Statement
Data Availability Statement
Conflicts of Interest
References
- Wibmer, C.; Leithner, A.; Zielonke, N.; Sperl, M.; Windhager, R. Increasing incidence rates of soft tissue sarcomas? A population-based epidemiologic study and literature review. Ann. Oncol. 2010, 21, 1106–1111. [Google Scholar] [CrossRef] [PubMed]
- Pizzato, M.; Collatuzzo, G.; Santucci, C.; Malvezzi, M.; Boffetta, P.; Comandone, A.; Levi, F.; La Vecchia, C.; Bertuccio, P.; Negri, E. Mortality patterns of soft-tissue sarcomas worldwide up to 2018, with predictions for 2025. Eur. J. Cancer Prev. 2023, 32, 71–80. [Google Scholar] [CrossRef] [PubMed]
- Gronchi, A.; Miah, A.B.; Tos, A.P.D.; Abecassis, N.; Bajpai, J.; Bauer, S.; Biagini, R.; Bielack, S.; Blay, J.Y.; Bolle, S.; et al. Soft tissue and visceral sarcomas: ESMO-EURACAN-GENTURIS Clinical Practice Guidelines for diagnosis, treatment and follow-up. Ann. Oncol. 2021, 32, 1348–1365. [Google Scholar] [CrossRef] [PubMed]
- Guillou, L.; Coindre, J.M.; Bonichon, F.; Nguyen, B.B.; Terrier, P.; Collin, F.; Vilain, M.O.; Mandard, A.M.; Le Doussal, V.; Leroux, A.; et al. Comparative study of the National Cancer Institute and French Federation of Cancer Centers Sarcoma Group grading systems in a population of 410 adult patients with soft tissue sarcoma. J. Clin. Oncol. 1997, 15, 350–362. [Google Scholar] [CrossRef] [PubMed]
- Yang, J.; Frassica, F.J.; Fayad, L.; Clark, D.P.; Weber, K.L. Analysis of nondiagnostic results after image-guided needle biopsies of musculoskeletal lesions. Clin. Orthop. Relat. Res. 2010, 468, 3103–3111. [Google Scholar] [CrossRef] [PubMed]
- Zhao, F.; Ahlawat, S.; Farahani, S.J.; Weber, K.L.; Montgomery, E.A.; Carrino, J.A.; Fayad, L.M. Can MR imaging be used to predict tumor grade in soft-tissue sarcoma? Radiology 2014, 272, 192–201. [Google Scholar] [CrossRef]
- Sedaghat, S.; Ravesh, M.S.; Sedaghat, M.; Both, M.; Jansen, O. Configuration of soft-tissue sarcoma on MRI correlates with grade of malignancy. Radiol. Oncol. 2021, 55, 158–163. [Google Scholar] [CrossRef]
- Boudabbous, S.; Hamard, M.; Saiji, E.; Gorican, K.; Poletti, P.A.; Becker, M.; Neroladaki, A. What morphological MRI features enable differentiation of low-grade from high-grade soft tissue sarcoma? BJR Open 2022, 4, 20210081. [Google Scholar] [CrossRef]
- Li, X.; Wang, Q.; Dou, Y.; Zhang, Y.; Tao, J.; Yang, L.; Wang, S. Soft tissue sarcoma: Can dynamic contrast-enhanced (DCE) MRI be used to predict the histological grade? Skeletal Radiol. 2020, 49, 1829–1838. [Google Scholar] [CrossRef]
- Chhabra, A.; Ashikyan, O.; Slepicka, C.; Dettori, N.; Hwang, H.; Callan, A.; Sharma, R.R.; Xi, Y. Conventional MR and diffusion-weighted imaging of musculoskeletal soft tissue malignancy: Correlation with histologic grading. Eur. Radiol. 2019, 29, 4485–4494. [Google Scholar] [CrossRef]
- Crombe, A.; Marcellin, P.J.; Buy, X.; Stoeckle, E.; Brouste, V.; Italiano, A.; Le Loarer, F.; Kind, M. Soft-Tissue Sarcomas: Assessment of MRI Features Correlating with Histologic Grade and Patient Outcome. Radiology 2019, 291, 710–721. [Google Scholar] [CrossRef] [PubMed]
- Sedaghat, S.; Schmitz, F.; Grozinger, M.; Sedaghat, M. Malignant peripheral nerve sheath tumours in magnetic resonance imaging: Primary and recurrent tumour appearance, post-treatment changes, and metastases. Pol. J. Radiol. 2020, 85, e196–e201. [Google Scholar] [CrossRef] [PubMed]
- Sedaghat, S.; Schmitz, F.; Meschede, J.; Sedaghat, M. Systematic analysis of post-treatment soft-tissue edema and seroma on MRI in 177 sarcoma patients. Surg. Oncol. 2020, 35, 218–223. [Google Scholar] [CrossRef] [PubMed]
- Sedaghat, S.; Schmitz, F.; Sedaghat, M.; Nicolas, V. Appearance of recurrent dermatofibrosarcoma protuberans in postoperative MRI follow-up. J. Plast. Reconstr. Aesthet. Surg. 2020, 73, 1960–1965. [Google Scholar] [CrossRef]
- Sedaghat, S.; Sedaghat, M.; Krohn, S.; Jansen, O.; Freund, K.; Streitburger, A.; Reichardt, B. Long-term diagnostic value of MRI in detecting recurrent aggressive fibromatosis at two multidisciplinary sarcoma centers. Eur. J. Radiol. 2021, 134, 109406. [Google Scholar] [CrossRef]
- Peeken, J.C.; Spraker, M.B.; Knebel, C.; Dapper, H.; Pfeiffer, D.; Devecka, M.; Thamer, A.; Shouman, M.A.; Ott, A.; von Eisenhart-Rothe, R.; et al. Tumor grading of soft tissue sarcomas using MRI-based radiomics. eBioMedicine 2019, 48, 332–340. [Google Scholar] [CrossRef]
- Yan, R.; Hao, D.; Li, J.; Liu, J.; Hou, F.; Chen, H.; Duan, L.; Huang, C.; Wang, H.; Yu, T. Magnetic Resonance Imaging-Based Radiomics Nomogram for Prediction of the Histopathological Grade of Soft Tissue Sarcomas: A Two-Center Study. J. Magn. Reson. Imaging 2021, 53, 1683–1696. [Google Scholar] [CrossRef]
- Yao, Y.; Zhao, Y.; Lu, L.; Zhao, Y.; Lin, X.; Xia, J.; Zheng, X.; Shen, Y.; Cai, Z.; Li, Y.; et al. Prediction of histopathologic grades of myxofibrosarcoma with radiomics based on magnetic resonance imaging. J. Cancer Res. Clin. Oncol. 2023, 149, 10169–10179. [Google Scholar] [CrossRef] [PubMed]
- Navarro, F.; Dapper, H.; Asadpour, R.; Knebel, C.; Spraker, M.B.; Schwarze, V.; Schaub, S.K.; Mayr, N.A.; Specht, K.; Woodruff, H.C.; et al. Development and External Validation of Deep-Learning-Based Tumor Grading Models in Soft-Tissue Sarcoma Patients Using MR Imaging. Cancers 2021, 13, 2866. [Google Scholar] [CrossRef]
- Yang, Y.; Zhou, Y.; Zhou, C.; Zhang, X.; Ma, X. MRI-Based Computer-Aided Diagnostic Model to Predict Tumor Grading and Clinical Outcomes in Patients With Soft Tissue Sarcoma. J. Magn. Reson. Imaging 2022, 56, 1733–1745. [Google Scholar] [CrossRef]
- Xu, W.; Hao, D.; Hou, F.; Zhang, D.; Wang, H. Soft Tissue Sarcoma: Preoperative MRI-Based Radiomics and Machine Learning May Be Accurate Predictors of Histopathologic Grade. AJR Am. J. Roentgenol. 2020, 215, 963–969. [Google Scholar] [CrossRef] [PubMed]
- Corino, V.D.A.; Montin, E.; Messina, A.; Casali, P.G.; Gronchi, A.; Marchiano, A.; Mainardi, L.T. Radiomic analysis of soft tissues sarcomas can distinguish intermediate from high-grade lesions. J. Magn. Reson. Imaging 2018, 47, 829–840. [Google Scholar] [CrossRef] [PubMed]
- German Guideline Program in Oncology (GGPO). Evidence-Based Guidlines: Soft Tissue Sarcoma. Available online: https://www.leitlinienprogramm-onkologie.de/fileadmin/user_upload/Downloads/Leitlinien/Adulte_Weichgewebesarkome/GGPO_Soft_Tissue_Sarcoma_1.1.pdf (accessed on 4 October 2024).
- Sedaghat, S.; Sedaghat, M.; Meschede, J.; Jansen, O.; Both, M. Diagnostic value of MRI for detecting recurrent soft-tissue sarcoma in a long-term analysis at a multidisciplinary sarcoma center. BMC Cancer 2021, 21, 398. [Google Scholar] [CrossRef]
- Sedaghat, S.; Surov, A.; Krohn, S.; Sedaghat, M.; Reichardt, B.; Nicolas, V. Configuration of Primary and Recurrent Aggressive Fibromatosis on Contrast-Enhanced MRI with an Evaluation of Potential Risk Factors for Recurrences in MRI Follow-Up. Rofo 2020, 192, 448–457. [Google Scholar] [CrossRef] [PubMed]
- Schnapauff, D.; Zeile, M.; Niederhagen, M.B.; Fleige, B.; Tunn, P.U.; Hamm, B.; Dudeck, O. Diffusion-weighted echo-planar magnetic resonance imaging for the assessment of tumor cellularity in patients with soft-tissue sarcomas. J. Magn. Reson. Imaging 2009, 29, 1355–1359. [Google Scholar] [CrossRef]
- Kim, B.R.; Kang, Y.; Lee, J.; Choi, D.; Lee, K.J.; Ahn, J.M.; Lee, E.; Lee, J.W.; Kang, H.S. Tumor grading of soft tissue sarcomas: Assessment with whole-tumor histogram analysis of apparent diffusion coefficient. Eur. J. Radiol. 2022, 151, 110319. [Google Scholar] [CrossRef]
- Tobajas, V.M.E.; Gonzalez, C.A.; Marcilla, D.; Vallejo, M.; Rodriguez, A.C.; de Movellan, J.I.R.S.; Perez, J.M.M. Myxoid liposarcoma: MRI features with histological correlation. Radiologia (Engl. Ed.) 2023, 65 (Suppl. S2), S23–S32. [Google Scholar] [CrossRef]
- Li, X.; Tao, J.; Zhu, Y.; Yin, Z.; Zhang, Y.; Wang, S. Soft tissue sarcoma: Intravoxel incoherent motion and diffusion kurtosis imaging parameters correlate with the histological grade and Ki-67 expression. Acta Radiol. 2023, 64, 1546–1555. [Google Scholar] [CrossRef] [PubMed]
- White, L.M.; Wunder, J.S.; Bell, R.S.; O’Sullivan, B.; Catton, C.; Ferguson, P.; Blackstein, M.; Kandel, R.A. Histologic assessment of peritumoral edema in soft tissue sarcoma. Int. J. Radiat. Oncol. Biol. Phys. 2005, 61, 1439–1445. [Google Scholar] [CrossRef]
- Zhang, S.; Regan, K.; Najera, J.; Grinstaff, M.W.; Datta, M.; Nia, H.T. The peritumor microenvironment: Physics and immunity. Trends Cancer 2023, 9, 609–623. [Google Scholar] [CrossRef]
- Hu, H.T.; Shen, S.L.; Wang, Z.; Shan, Q.Y.; Huang, X.W.; Zheng, Q.; Xie, X.Y.; Lu, M.D.; Wang, W.; Kuang, M. Peritumoral tissue on preoperative imaging reveals microvascular invasion in hepatocellular carcinoma: A systematic review and meta-analysis. Abdom. Radiol. 2018, 43, 3324–3330. [Google Scholar] [CrossRef] [PubMed]
- Jiang, W.; Meng, R.; Cheng, Y.; Wang, H.; Han, T.; Qu, N.; Yu, T.; Hou, Y.; Xu, S. Intra- and Peritumoral Based Radiomics for Assessment of Lymphovascular Invasion in Invasive Breast Cancer. J. Magn. Reson. Imaging 2024, 59, 613–625. [Google Scholar] [CrossRef] [PubMed]
- Gimber, L.H.; Montgomery, E.A.; Morris, C.D.; Krupinski, E.A.; Fayad, L.M. MRI characteristics associated with high-grade myxoid liposarcoma. Clin. Radiol. 2017, 72, 613.e1–613.e6. [Google Scholar] [CrossRef] [PubMed]
- Lowenthal, D.; Zeile, M.; Niederhagen, M.; Fehlberg, S.; Schnapauff, D.; Pink, D.; Tunn, P.U.; Reichardt, P.; Hamm, B.; Dudeck, O. Differentiation of myxoid liposarcoma by magnetic resonance imaging: A histopathologic correlation. Acta Radiol. 2014, 55, 952–960. [Google Scholar] [CrossRef]
- Yang, X.; Tridandapani, S.; Beitler, J.J.; Yu, D.S.; Yoshida, E.J.; Curran, W.J.; Liu, T. Ultrasound GLCM texture analysis of radiation-induced parotid-gland injury in head-and-neck cancer radiotherapy: An in vivo study of late toxicity. Med. Phys. 2012, 39, 5732–5739. [Google Scholar] [CrossRef]
- Ramon, Y.C.S.; Sese, M.; Capdevila, C.; Aasen, T.; De Mattos-Arruda, L.; Diaz-Cano, S.J.; Hernandez-Losa, J.; Castellvi, J. Clinical implications of intratumor heterogeneity: Challenges and opportunities. J. Mol. Med. 2020, 98, 161–177. [Google Scholar] [CrossRef]
- Wang, H.; Chen, H.; Duan, S.; Hao, D.; Liu, J. Radiomics and Machine Learning with Multiparametric Preoperative MRI May Accurately Predict the Histopathological Grades of Soft Tissue Sarcomas. J. Magn. Reson. Imaging 2020, 51, 791–797. [Google Scholar] [CrossRef]
- Zhang, L.; Yang, Y.; Wang, T.; Chen, X.; Tang, M.; Deng, J.; Cai, Z.; Cui, W. Intratumoral and peritumoral MRI-based radiomics prediction of histopathological grade in soft tissue sarcomas: A two-center study. Cancer Imaging 2023, 23, 103. [Google Scholar] [CrossRef]
- Zhang, L.; Ren, Z. Comparison of CT and MRI images for the prediction of soft-tissue sarcoma grading and lung metastasis via a convolutional neural networks model. Clin. Radiol. 2020, 75, 64–69. [Google Scholar] [CrossRef]
- Du, X.H.; Wei, H.; Zhagn, P.; Yao, W.T.; Cai, Q.Q. Heterogeneity of soft tissue sarcomas and its implications in targeted therapy. Front. Oncol. 2020, 10, 564852. [Google Scholar] [CrossRef]
- Skubitz, K.M.; Skubitz, A.P.; Xu, W.W.; Luo, X.; Lagarde, P.; Coindre, J.M.; Chibon, F. Gene expression identifies heterogeneity of metastatic behavior among high-grade non-translocation associated soft tissue sarcomas. J. Transl. Med. 2014, 12, 176. [Google Scholar] [CrossRef] [PubMed]
- Trojani, M.M.; Contesso, G.; Coindre, J.M.; Rouesse, J.; Bui, N.B.; de Mascarel, A.; Goussot, J.F.; David, M.; Bonichon, F.; Lagarde, C. Soft-tissue sarcomas of adults; study of pathological prognostic variables and definition of a histopathological grading system. Int. J. Cancer 1984, 33, 37–42. [Google Scholar] [CrossRef] [PubMed]
- Crombé, A.; Spinnato, P.; Righi, A.; Leopardi, M.P.; Carpenzano, M.; Izzo, F.; Parmeggiani, A.; Linck, P.A.; Perret, R.; Cesari, M.; et al. Imaging presentation of extraskeletal osteosarcomas on CT and MRI and correlation with patients outcome: A two-center retrospective study of 54 patients. Diagn. Interv. Imag. 2023, 104, 297–306. [Google Scholar] [CrossRef] [PubMed]
- Sbaraglia, M.; Bellan, E.; Tos, A.P.D. The 2020 WHO Classification of Soft Tissue Tumours: News and perspectives. Pathologica 2021, 113, 70–84. [Google Scholar] [CrossRef] [PubMed]
- Hesni, S.; Lindsay, D.; O’Donnell, P.; Saifuddin, A. Extra-skeletal osteosarcoma: A review. Skeletal Radiol. 2023, 52, 633–648. [Google Scholar] [CrossRef]
- Thway, K. Pathology of soft tissue sarcomas. Clin. Oncol. 2009, 21, 695–705. [Google Scholar] [CrossRef]


| n = 139 | G1 Total Amount (Percent)/Mean (SD) n = 40 | G2/G3 Total Amount (Percent)/Mean (SD) n = 99 (of Them in Biopsy Initially G1: n = 6) |
|---|---|---|
| Sex | Male: 28 (70%) Female: 12 (30%) | Male: 60 (60.61%) Female: 39 (39.39%) |
| Entity | Myxoid liposarcoma 9 (22.50%) Myxofibrosarcoma 8 (20.00%) Extraskeletal Chondrosarcoma 2 (5.00%) Synovial sarcoma 1 (2.50%) Leiomyosarcoma (extrauterine) 1 (2.50%) Spindle cell sarcoma 2 (5.00%) Myofibroblastic sarcoma/ Evans tumor 3 (7.50%) Extraskeletal Osteosarcoma 2 (5.00%) Liposarcoma NOS 2 (5.00%) Solitary fibrous tumor 2 (5.00%) Other soft tissue sarcoma 2 (5.00%) Dermatofibrosarcoma protuberans 3 (7.50%) Fibrosarcoma 3 (7.50%) | Pleomorphic sarcoma 13 (13.13%) Myxoid liposarcoma 5 (5.05%) Myxofibrosarcoma 18 (18.18%) Rhabdomyosarcoma 3 (3.03%) Pleomorphic liposarcoma 6 (6.06%) Extraskeletal Chondrosarcoma 4 (4.04%) Synovial sarcoma 11 (11.11%) Leiomyosarcoma (extrauterine) 9 (9.09%) Undifferentiated sarcoma 3 (3.03%) dedifferentiated liposarcoma 13 (13.13%) FDC-Sarcoma 1 (1.01%) MPNST 3 (3.03%) Spindle cell sarcoma 1 (1.01%) Extraskeletal Osteosarcoma 2 (2.02%) Sarcoma NOS 6 (6.06%) Other soft tissue sarcoma 1 (1.01%) |
| Localization | Extremity 28 (70.00%) Abdomen 4 (10.00%) Thorax 5 (12.50%) Head/Neck 3 (7.50%) | Extremity 75 (75.75%) Abdomen 19 (19.19%) Thorax 5 (5.05%) |
| Age | 42.98 (±20.64) | 57.54 (±28.51) |
| Presence of metastasis | (5.00%) | 29 (29.29%) |
| Site of metastasis | Pulmonary: 2 (5.00%) | Pulmonary: 10 (10.10%) Hepatic: 8 (8.08%) Lymphatic: 1 (1.01%) Other: 2 (2.02%) Multiple 15 (15.15%) |
| G1 STS Mean (SD)/Amount (Percentage) | G2/G3 STS Mean (SD)/Amount (Percentage) | p-Value (q-Value) | Upgraded to G2 Amount (Percentage/Mean (SD)) | p-Value (q-Value) | |
|---|---|---|---|---|---|
| Volume (n = 138) | 99.11 mL (±68.82) | 127.83 mL (±65.73) | 0.023 (0.097) | 95.33 mL (±55.45 mL) | 0.899 (0.693) |
| Configuration (n = 138) | Ovoid: 25 (64.10%) Fusiform: 0 (0%) Multilobulated/polycyclic: 13 (33.33%) Streaky: 1 (2.56%)) | Ovoid: 20 (20.20%) Fusiform: 4 (4.04%) Multilobulated/polycyclic: 72 (72.72%) Streaky: 3 (3.03%) | <0.001 (0.013) | Ovoid: 2 (33.3%) Fusiform: 1 (16.67%) Multilobulated/polycyclic: 3 (50%) Streaky: 0 (0%) | 0.112 (0.243) |
| T1w Heterogeneity (reader, n = 138) | 13.95% (±18.44%) | 22.98% (±20.06%) | 0.015 (0.073) | 7.17% (±7.68%) | 0.133 (0.271) |
| T2w Heterogeneity (reader, n = 136) | 31.65% (±28.62%) | 64.56% (±22.92%) | <0.001 (0.013) | 62.00% (±8.37%) | <0.001 (0.013) |
| T1-CEw Heterogeneity (reader, n = 134) | 36.11% (±26.33%) | 62.39% (±23.94%) | <0.001 (0.013) | 58.33% (±7.53%) | <0.001 (0.013) |
| T1w blurry tumor margin (n = 138) | 14.98% (±20.29%) | 25.36% (±19.07%) | 0.005 (0.036) | 27.67% (±18.62%) | 0.156 (0.294) |
| T2w blurry tumor margin (n = 136) | 11.50% (±11.69%) | 20.81% (±17.30%) | 0.002 (0.019) | 23.00% (±12.04%) | 0.045 (0.139) |
| T1w-CE blurry tumor margin (n = 134) | 14.95% (±16.95%) | 23.30% (±16.27%) | 0.009 (0.049) | 27.50% (±17.82%) | 0.101 (0.238) |
| ADC mean (n = 72) | 1715.79 (±555.13) | 1250.10 (±402.90) | 0.001 (0.013) | 555.13 (-) | 0.549 (0.569) |
| ADC mean ratio (n = 72) | 1.24 (±0.51) | 0.79 (±0.26) | 0.005 (0.036) | 0.77 (-) | 0.272 (0.395) |
| Necrosis (n = 134) | 21.32% (±25.32%) | 28.74% (±23.35%) | 0.108 (0.240) | 40.00% (±17.89%) | 0.054 (0.154) |
| Ratio necrosis/volume (n = 134) | 0.00302 (±0.00627) | 0.00301 (±0.00398) | 0.993 (0.714) | 0.00386 | 0.440 (0.520) |
| Extent of hemorrhage (n = 138) | 4.05% (±14.42%) | 7.10% (±13.81%) | 0.247 (0.372) | 1.00% (±0%) | 0.610 (0.600) |
| Cystic degeneration (n = 138) | 3.68% (±12.81%) | 7.80% (±15.15%) | 0.107 (0.240) | 1.00% (±0%) | 0.615 (0.600) |
| Intensity intratumoral contrast enhancement (n = 134) | Mild: 2 (5.26%) Moderate: 7 (18.42%) Intense: 29 (76.32) | Mild: 1 (1.04%) Moderate: 12 (12.50%) Intense: 83 (86.46%) | 0.169 (0.307) | Mild: 0 (0%) Moderate: 0 (0%) Intense: 6 (100%) | 0.678 (0.626) |
| Peritumoral contrast enhancement (n = 134) | Absent: 27 (71.05%) Mild: 8 (21.05%) Moderate: 3 (7.89%) Extensive: 0 (0%) | Absent: 14 (14.58%) Mild: 41 (42.70%) Moderate: 26 (27.08%) Extensive: 15 (15.63%) | <0.001 (0.013) | Absent: 0 (0%) Mild: 3 (50.00%) Moderate: 2 (33.33%) Extensive: 1 (16.67%) | <0.001 (0.013) |
| Peritumoral edema (n = 137) | Absent: 30 (75.00%) Mild: 7 (17.50%) Moderate: 2 (5.00%) Extensive: 1 (2.50%) | Absent: 13 (13.40%) Mild: 16 (16.49%) Moderate: 36 (37.11%) Extensive: 32 (32.99%) | <0.001 (0.013) | Absent: 0 (0%) Mild: 1 (16.67%) Moderate: 3 (50.00%) Extensive: 2 (33.33%) | <0.001 (0.013) |
| G1 STS Mean (SD) | G2/G3 STS Mean (SD) | p-Value (q-Value) | |
|---|---|---|---|
| T1W Intensity Mean absolute deviation | 232,006.33 (±176,002.64) | 348,255.22 (±246,093.36) | 0.003 (0.025) |
| T1W Intensity Variation | 0.15 (±0.11) | 0.20 (±0.10) | 0.014 (0.0689 |
| T1W Intensity Quartile coefficient dispersion | 0.09 (±0.07) | 0.12 (±0.07) | 0.018 (0.081) |
| T1W Intensity Range | 408.08 (±344.90) | 671.86 (±780.01) | 0.045 (0.139) |
| T1W Histogram Mean | 74,133.13 (±77,912.44) | 104,991.91 (±81,674.33) | 0.048 (0.147) |
| T1W Histogram Uniformity | 0.29 (±0.13) | 0.16 (±0.12) | 0.012 (0.063) |
| T1W Histogram Mean abs deviation | 13,940.32 (±18,186.12) | 25,217.65 (±31,537.92) | 0.039 (0.135) |
| T1W Histogram Range | 20 (±17.29) | 33.15 (±38.97) | 0.045 (0.139) |
| T1W Histogram Max | 21 (±17.30) | 34.15 (±38.97) | 0.045 (0.139) |
| T1W GLCM Joint average | 76,530.08 (±77,926.61) | 118,705.84 (±76,443.85) | 0.005 (0.036) |
| T1W GLCM Sum of averages | 150,443.26 (±157,500.23) | 232,491.27(±154,724.18) | 0.007 (0.041) |
| T1W GLCM Sum of variance | 135,382.24 (±144,996.82) | 234,756.22 (±253,140.28) | 0.006 (0.037) |
| T1W GLCM Inverse difference normalized | 0.96 (±0.02) | 0.98 (±0.01) | 0.002 (0.019) |
| T1W GLCM Inverse difference moment normalized | 0.99 (±0.01) | 1.00 (±0.00) | 0.002 (0.019) |
| T1W GLCM Correlation | 0.73 (±0.21) | 0.83 (±0.12) | 0.008 (0.045) |
| T1W GLCM Cluster tendency | 135,382.24 (±144,996.82) | 234,756.22 (±253,140.28) | 0.006 (0.037) |
| T1W GLCM Information correlation 1 | −0.31 (±0.16) | −0.38 (±0.12) | 0.04 (0.031) |
| T1W GLCM Information correlation 2 | 0.82 (±0.18) | 0.92 (±0.08) | 0.002 (0.019) |
| T2W Intensity Max | 837.69 (±436.32) | 1051.30 (±512.71) | 0.025 (0.102) |
| T2W Intensity SD | 5876.32 (±15,216.56) | 658.37 (±4748.20) | 0.042 (0.139) |
| T2W Intensity Robust mean absolute deviation | 332,199.23 (±268,074.29) | 445,604.28 (±302,050.45) | 0.045 (0.139 |
| T2W Intensity Median absolute deviation | 79,668,561,945.33 (±170,234,845,600.41) | 221,361,856,761.84 (±339,151,562,662.48) | 0.002 (0.019) |
| T2W Intensity Variation | 0.26 (±0.16) | 0.34 (±0.13) | 0.004 (0.031) |
| T2W Intensity Quartile coefficient dispersion | 0.16 (±0.13) | 0.22 (±0.09) | 0.021 (0.090) |
| T2W Histogram Mean | 157,639.13 (±118,809.64) | 206,597.23 (±126,990.36) | 0.042 (0.139) |
| T2W Histogram Variance | 200,934.11 (±218,055.95) | 345,067.15 (±276,205.08) | 0.002 (0.019) |
| T2W Histogram Entropy | 32,943.59 (±15,466.43) | 43,530.46 (±13,066.41) | <0.001 (0.013) |
| T2W Histogram Uniformity | 0.10 (±0.07) | 0.06 (±0.05) | 0.001 (0.013) |
| T2W Histogram Mean abs deviation | 36,103.35 (±30,195.74) | 55,749.42 (±39,606.16) | 0.007 (0.041) |
| T2W Histogram Median abs deviation | 35,049.40 (±27,708.07) | 58,908.94 (±38,318.72) | 0.001 (0.013) |
| T2W Histogram Range | 31.67 (±19.99) | 49.87 (±25.71) | <0.001 (0.013) |
| T2W Histogram Interquartile range | 6.64 (±4.77) | 9.91 (±6.85) | 0.008 (0.046) |
| T2W Histogram 10th percentile | 9.64 (±6.94) | 12.82 (±8.11) | 0.035 (0.129) |
| T2W Histogram 50th percentile | 16.69 (±12.28) | 21.52 (±12.35) | 0.043 (0.139) |
| T2W Histogram 75th percentile | 19.9 (±13.47) | 26.77 (±15.10) | 0.016 (0.073) |
| T2W Histogram 90th percentile | 22.74 (±14.73) | 32.32 (±17.82) | 0.004 (0.031) |
| T2W Histogram Minimum histogram gradient intensity | 19.77 (±13.08) | 25.9 (±16.56) | 0.042 (0.139) |
| T2W Histogram Max | 32.67 (±19.99) | 50.87 (±25.71) | <0.001 (0.013) |
| T2W GLCM Joint maximum | 0.08 (±0.07) | 0.04 (±0.05) | 0.006 (0.038) |
| T2W GLCM Joint average | 155,746.41 (±116,364.6) | 214,500.28 (±126,269.28) | 0.014 (0.069) |
| T2W GLCM Standard deviation | 49,485.64 (±36,590.67) | 73,024.97 (±49,559.75) | 0.009 (0.049) |
| T2W GLCM Joint variance | 231,870.78 (±247,452.02) | 338,838.07 (±270,710.90) | 0.036 (0.129) |
| T2W GLCM Joint entropy | 55,763.15 (±25,922.20) | 70,230.2 (±25,447.05) | 0.004 (0.031) |
| T2W GLCM Difference entropy | 21,272.38 (±9788.63) | 25,060.96 (±8890.21) | 0.033 (0.128) |
| T2W GLCM Sum of entropy | 44,016.21 (±15,352.58) | 50,422.99 (±17,480.11) | 0.05 (0.151) |
| T2W GLCM Angular second moment | 0.03 (±0.04) | 0.01 (±0.02) | 0.006 (0.037) |
| T2W GLCM Contrast | 95,453.54 (±132,557.64) | 140,697.38 (±137,282.48) | 0.085 (0.216) |
| T2W GLCM Inverse difference | 0.56 (±0.15) | 0.51 (±0.13) | 0.034 (0.129) |
| T2W GLCM Inverse difference normalized | 0.95 (±0.03) | 0.96 (±0.01) | 0.024 (0.100) |
| T2W GLCM Inverse difference moment | 0.51 (±0.18) | 0.45 (±0.15) | 0.036 (0.129) |
| T2W GLCM Inverse difference moment normalized | 0.99 (±0.01) | 1.00 (±0.00) | 0.031 (0.122) |
| T2W GLCM Correlation | 0.81 (±0.15) | 0.88 (±0.08) | 0.016 (0.073) |
| T2W GLCM Information correlation 2 | 0.92 (±0.07) | 0.96 (±0.04) | 0.014 (0.069) |
| CE-T1W Intensity Kurtosis | 12,195.40 (±23,543.41) | 956.35 (±6613.62) | 0.006 (0.037) |
| CE-T1W Intensity Mean absolute deviation | 436,541.92 (±301,950.17) | 302,990.06(±276,416.66) | 0.016 (0.073) |
| CE-T1W Intensity Variation | 0.20 (±0.12) | 0.27 (±0.09) | <0.001 (0.013) |
| CE-T1W Intensity Quartile coefficient dispersion | 0.13 (±0.10) | 0.20 (±0.08) | <0.001 (0.013) |
| CE-T1W Histogram Kurtosis | 11,587.48 (±21,912.76) | 1867.67 (±7245.20) | 0.011 (0.060) |
| CE-T1W Histogram Uniformity | 0.11 (±0.09) | 0.07 (±0.06) | 0.006 (0.037) |
| CE-T1W Histogram Mean abs deviation | 38,465.63 (±33,889.41) | 56,711.25 (±39,580.20) | 0.014 (0.069) |
| CE-T1W Histogram Median abs deviation | 38,449.87 (±33,050.33) | 54,259.02 (±38,224.02) | 0.028 (0.113) |
| CE-T1W Histogram Range | 32.61 (±24.58) | 44.68 (±27.20) | 0.02 (0.087) |
| CE-T1W Histogram Interquartile range | 6.79 (±5.30) | 10.49 (±6.80) | 0.003 (0.025) |
| CE-T1W Histogram 90th percentile | 24.16 (±17.32) | 31.69 (±19.09) | 0.038 (0.133) |
| CE-T1W Histogram Max | 33.61 (±24.58) | 45.68 (±27.20) | 0.02 (0.087) |
| CE-T1W GLCM Joint maximum | 0.09 (±0.11) | 0.05 (±0.07) | 0.03 (0.119) |
| CE-T1W GLCM Joint entropy | 57,339.84 (±26,233.56) | 67,869.59 (±27,043.40) | 0.044 (0.139) |
| CE-T1W GLCM Sum of averages | 284,722.84 (±201,650.17) | 375,143.27 (±228,733.99) | 0.036 (0.129) |
| CE-T1W GLCM Inverse difference normalized | 0.95 (±0.03) | 0.96 (±0.01) | 0.037 (0.131) |
| CE-T1W GLCM Inverse difference moment normalized | 0.990474 (±0.0111258) | 0.994911 (±0.0026472) | 0.02 (0.087) |
| CE-T1W GLCM Correlation | 0.78 (±0.21) | 0.89 (±0.06) | 0.003 (0.025) |
| CE-T1W GLCM Information correlation 2 | 0.93 (±0.07) | 0.96 (±0.03) | 0.016 (0.073) |
| G1 STS Mean (SD) | Upgraded STSs | p-Value (q-Value) | |
|---|---|---|---|
| T1W Intensity Variance | 170,486.80 (±248,368.90) | 3983.23 (±2114.30) | <0.001 (0.013) |
| T1W Intensity SD | 16,220.97 (±21,863.11) | 61.38 (±16.04) | <0.001 (0.013) |
| T1W Histogram Uniformity | 0.29 (±0.13) | 0.11 (±0.03) | <0.001 (0.013) |
| T1W GLCM Inverse difference moment normalized | 0.99 (±0.01) | 1.00 (±0.00) | <0.001 (0.013) |
| T1W GLCM Correlation | 0.73 (±0.21) | 0.89 (±0.09) | 0.006 (0.037) |
| T1W GLCM Information correlation 2 | 0.82 (±0.18) | 0.95 (±0.07) | 0.007 (0.041) |
| T2W Intensity Robust mean absolute deviation | 332,199.23 (±268,074.29) | 737,888.40 (±227,377.83) | 0.002 (0.019) |
| T2W Histogram Uniformity | 0.10 (±0.07) | 0.05 (±0.02) | <0.001 (0.013) |
| T2W GLCM Joint maximum | 0.08 (±0.07) | 0.02 (±0.01) | <0.001 (0.013) |
| T2W GLCM Joint entropy | 55,763.15 (±25,922.20) | 81,473.60 (±7811.03) | 0.035 (0.129) |
| T2W GLCM Angular second moment | 0.03 (±0.04) | 0.01 (±0.00) | <0.001 (0.013) |
| T2W GLCM Inverse difference | 0.56 (±0.15) | 0.44 (±0.05) | 0.002 (0.019) |
| T2W GLCM Inverse difference moment | 0.51 (±0.18) | 0.37 (±0.05) | 0.001 (0.013) |
| T2W GLCM Information correlation 1 | −0.32 (±0.12) | −0.25 (±0.02) | 0.003 (0.025) |
| CE-T1W Intensity Mean absolute deviation | 436,541.92 (±301,950.17) | 97,663.99 (±80,401.06) | <0.001 (0.013) |
| CE-T1W Histogram Variance | 232,433.75 (±233,366.82) | 468,538.11 (±328,997.28) | 0.035 (0.129) |
| CE-T1W Histogram Kurtosis | 11,587.48 (±21,912.76) | 0.05 (±0.6) | 0.002 (0.087) |
| CE-T1W GLCM Joint variance | 244,104.18(±221,467.32) | 458,702.61 (±318,022.91) | 0.044 (0.139) |
| CE-T1W GLCM Cluster shade | 3010.86 (±330,596.43) | −343,308.54 (±387,962.95) | 0.025 (0.102) |
Disclaimer/Publisher’s Note: The statements, opinions and data contained in all publications are solely those of the individual author(s) and contributor(s) and not of MDPI and/or the editor(s). MDPI and/or the editor(s) disclaim responsibility for any injury to people or property resulting from any ideas, methods, instructions or products referred to in the content. |
© 2024 by the authors. Licensee MDPI, Basel, Switzerland. This article is an open access article distributed under the terms and conditions of the Creative Commons Attribution (CC BY) license (https://creativecommons.org/licenses/by/4.0/).
Share and Cite
Schmitz, F.; Voigtländer, H.; Jang, H.; Schlemmer, H.-P.; Kauczor, H.-U.; Sedaghat, S. Predicting the Malignancy Grade of Soft Tissue Sarcomas on MRI Using Conventional Image Reading and Radiomics. Diagnostics 2024, 14, 2220. https://doi.org/10.3390/diagnostics14192220
Schmitz F, Voigtländer H, Jang H, Schlemmer H-P, Kauczor H-U, Sedaghat S. Predicting the Malignancy Grade of Soft Tissue Sarcomas on MRI Using Conventional Image Reading and Radiomics. Diagnostics. 2024; 14(19):2220. https://doi.org/10.3390/diagnostics14192220
Chicago/Turabian StyleSchmitz, Fabian, Hendrik Voigtländer, Hyungseok Jang, Heinz-Peter Schlemmer, Hans-Ulrich Kauczor, and Sam Sedaghat. 2024. "Predicting the Malignancy Grade of Soft Tissue Sarcomas on MRI Using Conventional Image Reading and Radiomics" Diagnostics 14, no. 19: 2220. https://doi.org/10.3390/diagnostics14192220
APA StyleSchmitz, F., Voigtländer, H., Jang, H., Schlemmer, H.-P., Kauczor, H.-U., & Sedaghat, S. (2024). Predicting the Malignancy Grade of Soft Tissue Sarcomas on MRI Using Conventional Image Reading and Radiomics. Diagnostics, 14(19), 2220. https://doi.org/10.3390/diagnostics14192220

