Next Article in Journal
New Onset Diabetes After Organ Transplantation: Risk Factors, Treatment, and Consequences
Previous Article in Journal
Artificial Intelligence-Empowered Radiology—Current Status and Critical Review
Previous Article in Special Issue
Predicting the Malignancy Grade of Soft Tissue Sarcomas on MRI Using Conventional Image Reading and Radiomics
 
 
Font Type:
Arial Georgia Verdana
Font Size:
Aa Aa Aa
Line Spacing:
Column Width:
Background:
Case Report

Pulmonary Valve Fibroelastoma, Still a Very Rare Cardiac Tumor: Case Report and Literature Review

by
Emanuel-David Anitei
1,2,
Marius Mihai Harpa
1,2,3,*,
Hussam Al Hussein
1,2,
Claudiu Ghiragosian
1,2,
Valentin Ionut Stroe
2,
Paul Calburean
1,2,
Simona Gurzu
1,2,4,5,6 and
Horatiu Suciu
1,2,6
1
Department of Surgery IV, George Emil Palade University of Medicine, Pharmacy, Science and Technology of Targu Mures, 540139 Targu Mures, Romania
2
Department of Cardiovascular Surgery, Emergency Institute for Cardiovascular Diseases and Transplantation Targu Mures, 540136 Targu Mures, Romania
3
Department of Regenerative Medicine Laboratory, George Emil Palade University of Medicine, Pharmacy, Science and Technology of Targu Mures, 540139 Targu Mures, Romania
4
Research Center of Oncopathology and Translational Medicine (CCOMT), George Emil Palade University of Medicine, Pharmacy, Science and Technology of Targu Mures, 540139 Targu Mures, Romania
5
Department of Pathology, Clinical County Emergency Hospital, 540136 Targu Mures, Romania
6
Department of Medical Research, Romanian Academy of Medical Sciences, 030167 Bucharest, Romania
*
Author to whom correspondence should be addressed.
Diagnostics 2025, 15(3), 283; https://doi.org/10.3390/diagnostics15030283
Submission received: 30 December 2024 / Revised: 20 January 2025 / Accepted: 23 January 2025 / Published: 25 January 2025
(This article belongs to the Special Issue Soft Tissue Sarcoma: From Diagnosis to Prognosis)

Abstract

Background and Clinical Significance: Primary cardiac tumors are among the rarest types of tumor, and until the mid-20th century, they were diagnosed only post-mortem or during other surgical interventions. With the rapid evolution of cardiovascular imaging and the widespread use of echocardiography, the incidence of cardiac fibroelastoma has increased, though it remains one of the rarest primary cardiac tumors. Papillary fibroelastoma is a benign primary cardiac tumor that develops from endocardial tissue, is usually solitary, and can have multiple locations, with the pulmonary valve being one of the rarest sites. The symptoms and complications depend on the tumor’s location, ranging from asymptomatic patients to cerebral ischemic embolism or pulmonary embolism. We analyzed the electronic databases PubMed, Web of Science, and Cochrane and conducted a systematic review of pulmonary valve papillary fibroelastoma (PVPF). Additionally, we included a case from the Adult and Pediatric Cardiovascular Surgery Clinic in Targu Mures. Case Presentation: We present the case of a 58-year-old patient who complained of exertional dyspnea. A transthoracic echocardiography (TTE) revealed a tumor mass attached to the pulmonary valve and coronary angiography identified severe coronary lesions. Following discussions within the Heart Team, surgical myocardial revascularization and tumor excision were decided upon due to the thromboembolic risk. Histopathological examination confirmed the diagnosis of papillary fibroelastoma. The postoperative course was uneventful, with an improvement in dyspnea. The mean age of the patients was 60 years, with half being men (n = 26, 50%). Regarding symptoms, 34% (n = 18) of cases were incidentally identified, while over 30% (n = 17) presented with dyspnea. Pulmonary embolism (PE) was reported in only two patients, and the most common associated comorbidities included high blood pressure (HBP) in 33% (n = 16) and dyslipidemia in 18%. Tumor size ranged from 0.7 cm to 3 cm with the initial benign cardiac tumor; its occurrence in the pulmonary valve remains exceedingly rare. Due to its frequent overlap with other cardiac pathologies, the clinical presentation is often a nonspecific diagnosis or suspicion of a tumor predominantly established via transthoracic echocardiography in 62% of patients. From a surgical perspective, 63% (n = 33) underwent tumor resection with valve sparing, 25% (n = 12) required pulmonary valve repair, and three patients necessitated pulmonary valve replacement. Conclusions: Although the incidence of papillary fibroelastoma is increasing, making it the most common, there is a need to highlight the indispensable role of echocardiography in diagnosis. Although papillary fibroelastoma is benign, surgical intervention is recommended, particularly in symptomatic patients, or if the tumor exceeds 1 cm in size, exhibits increased mobility, or is present alongside other cardiac surgical procedures.

1. Introduction

Primary cardiac tumors are rare, with an incidence of 0.02% in adults, similar to that in the pediatric population [1,2,3]. Advances in the medical field have led to changes in our understanding. Until recently, papillary fibroelastoma was considered the third most common primary cardiac tumor after myxoma and lipoma [4]. However, a comprehensive study in the United States has now identified papillary fibroelastoma as the most frequent benign primary cardiac tumor. Its incidence has increased from 0.019% to 0.089%, with the median age of onset between 60 and 70 years, peaking in the eighth decade. Gender predominance remains difficult to ascertain due to inconsistent findings across studies. It is the most prevalent valvular tumor (88%), with 59% located on the aortic valve, 13% on the mitral valve, 4% on the tricuspid valve, and only 2% on the pulmonary valve [5,6]. The concept that cardiac fibroelastoma is a true neoplasm is not universally accepted, leading to its classification as a non-neoplastic tumor in the 2015 WHO Classification of Tumors of the Heart. In recent years, however, evidence has emerged suggesting that fibroelastoma may indeed be a genuine neoplasm, driven by a KRAS gene mutation, a finding that opens new avenues for research [7,8,9]. We present the case of a 58-year-old male with multiple cardiovascular risk factors and a relevant family history, who presented with exertional dyspnea. Transthoracic echocardiography revealed a tumor measuring approximately 11 mm attached to the pulmonary valve, with an estimated ejection fraction of 55% and no significant wall motion abnormalities. Further investigations, including cardiac MRI, provided precise characterization of the tumor, and coronary angiography identified severe coronary artery disease. The patient subsequently underwent coronary artery bypass grafting and excision of the papillary fibroelastoma, with the histopathological examination confirming the diagnosis. The postoperative course was uneventful.

2. Case Report

A 58-year-old male patient with multiple cardiovascular risk factors (high blood pressure, dyslipidemia, peripheral arterial disease, smoker) and a relevant family history (father had a myocardial infarction at age 56) with a history of pituitary adenoma surgery presented with persistent exertional dyspnea. TTE revealed a round, oval tumor attached to the pulmonary valve. The ejection fraction was estimated visually at 55%, with no segmental or global kinetic abnormalities and no signs of pulmonary thromboembolism (PE). The dyspnea persisted; therefore, the patient underwent coronary angiography, which revealed chronic occlusion of the circumflex artery, severe distal stenosis of the right coronary artery, and severe stenosis of the intermediate branch (Figure 1A,B). To accurately assess the tumor formation, the patient underwent cardiac MRI, which described a tumor formation (1.1 × 0.8 cm) as iso-/hypointense on T1-weighted sequences, mildly hyperintense on T2-weighted sequences, with no central enhancement but peripheral enhancement with gadolinium on delayed post-contrast sequences. These tissue characteristics supported the diagnosis of a papillary fibroelastoma (Figure 2A,B). Additionally, no other cardiac tumor structures were identified, and no signs of acute or chronic pulmonary embolism were detected. After obtaining the patient’s written consent and following discussions within the Heart Team, the patient underwent excision of the tumor formation from the pulmonary valve and coronary artery bypass grafting. Intraoperative transesophageal echocardiography (TEE) revealed a round, oval, mobile, well-defined tumor approximately 1.1 × 0.8 cm in diameter, attached to the surface of the right cusp of the pulmonary valve (Figure 1C,D). The tumor did not exert a hemodynamic impact on the valve, was not associated with pulmonary stenosis, and was accompanied by only mild pulmonary regurgitation. No other significant valvular pathologies were observed, and there was no echocardiographic evidence of PE. The surgical intervention was performed via sternotomy, under cardiopulmonary bypass with central cannulation: arterial in the ascending aorta and venous in the right atrium. Cardiac arrest was achieved using Calafiore cardioplegia. Initially, the distal coronary anastomoses were completed, followed by a longitudinal incision of approximately 4 cm in the pulmonary trunk to access the tumor. The tumor was friable, mobile, measuring approximately 1.1 × 1.0 cm, and attached to the pulmonary artery side of the right cusp of the pulmonary valve (Figure 3A). It was completely resected along with a small portion of the right pulmonary cusp that included its implantation base. Since only a small amount of valvular tissue was resected, valve repair was successfully performed using a continuous suture with 5.0 Prolene, Ethicon Inc., Cornelia, GE, USA, without the need for autologous pericardium or other biological materials (Figure 3B–D). Subsequently, the proximal coronary anastomoses were completed. No residual pulmonary regurgitation was detected. No other tumor formations were detected intraoperatively. The macroscopic appearance of the tumor was similar to a sea anemone when placed in serum (Figure 4A). The diagnosis of papillary fibroelastoma was confirmed by histopathological analysis (Figure 4B,C). The postoperative course was favorable and without complications, and the patient was discharged without further complaints of dyspnea.

3. Materials and Methods

We conducted a systematic review using the PRISMA 2020 guidelines (Figure 5). To identify and select articles, we utilized the electronic databases PubMed, Web of Science, and Cochrane. We included only human studies, and English-language articles with no publication date restriction. The search terms used were “pulmonary valve fibroelastoma”, “pulmonary papillary fibroelastoma”, and “pulmonic valve fibroelastoma AND cardiac valves fibroelastoma”. We excluded articles not in English, other reviews to avoid duplication of articles, and non-pulmonary valve fibroelastomas. Finally, the selected articles were analyzed and summarized (Table 1).

4. Results

We identified n = 229 articles in English from the PubMed, Cochrane, and Web of Science databases, with no publication time restrictions. A total of n = 57 articles were automatically excluded, and n = 4 were manually excluded based on references. Additionally, n = 7 articles were excluded based on study design and settings, and one article (n = 1) was excluded after careful analysis because the tumor was not located on the pulmonary valve but adjacent to it. In the end, n = 51 articles were included and thoroughly analyzed, summarized in the table above, to which the case from our clinic was also added. All 51 articles are case reports, with two of them including two cases each. In total, n = 54 cases of pulmonary valve fibroelastoma were summarized.
The mean age of the patients was 60 years, with a range between 30 and 85 years. Half were men, n = 26 (50%), while women, n = 23, represented 45%, and in three cases, n = 3, the sex was unknown. Regarding symptoms, 34% (n = 18) were incidentally identified, with 11% of them having other cardiac pathologies for which they underwent concomitant surgery. In over 30% of cases (n = 17), patients presented with dyspnea, while atypical chest pain was present in 17% of the patients; syncope and palpitations were also present in 7% and 5% of cases, respectively. The most common associated pathologies were HBP, present in 33% (n = 16) of patients, followed by dyslipidemia (18%), diabetes (12%), PAD (8%), and PE (4%). Tumor size ranged from 0.7 cm to 3 cm. The initial diagnosis or suspicion of a tumor formation was made through transthoracic echocardiography in the majority of patients (62%). In 20% of patients, the initial diagnosis was made through CT, noting that most of these diagnoses were made in symptomatic patients. The fibroelastoma was initially detected through MRI in a single case. The diagnosis of papillary fibroelastoma was made through histopathological examination. No cases of pulmonary valve stenosis were recorded; however, one case presented with severe pulmonary insufficiency due to the tumor involving all three cusps, which led to pulmonary valve replacement. Three cases of moderate insufficiency were also recorded. As for the outcome, 98% of patients had an uneventful postoperative course. Two patients had pulmonary thromboembolism, and n = 6 patients were treated with anticoagulants. In n = 25 patients (56%), the surgical indication was tumor mobility, while in 27% of patients, the indication was concomitant surgery. Two other cases had surgery at the patient’s request, and two cases did not have a surgical indication due to the high surgical risk, so they received anticoagulant treatment. Regarding the surgical strategy, 63% (n = 33) of patients underwent tumor resection with valve sparing, 25% (n = 12) required pulmonary valve repair, and three patients needed pulmonary valve replacement. One patient underwent aspiration of the tumor formation using the AngioVac system, AngioDynamics, New York, USA. Two patients underwent minimally invasive surgery through left anterolateral thoracotomy for the removal of the fibroelastoma, with valve preservation in both cases. One patient had the tumor removed on a beating heart, with the valve also spared in this case. In some cases requiring repair, bovine pericardium was used, while in others, autologous pericardium was utilized.
In 31% of cases, the location of the fibroelastoma is either unknown or not clearly identified. The most affected cusp is the right cusp, present in 26% of cases (Figure 6). Additionally, the most common location of the fibroelastoma is on the ventricular surface, found in n = 29 (54%) of cases, as you can see in Figure 7.

5. Discussion

From Historical to New Perspectives

Papillary fibroelastoma, a type of benign cardiac tumor, has been extensively studied over the decades, with several significant medical discoveries. In 1931, Yaters described valvular tumors for the first time, and in 1934, Campbell and Carling associated sudden death with a valvular tumor. The term “papillary fibroelastoma” was first used by Cheitlin and colleagues in 1975, and in the same year, Fishbein and colleagues analyzed and described fibroelastoma using electron microscopy. In 1977, Hugh A. McAllister and colleagues identified papillary fibroelastoma as the third most common benign primary cardiac tumor, and Anderson and colleagues described the first case of congenital papillary fibroelastoma [6]. In 1979, Lichtenstein and colleagues incidentally discovered fibroelastoma during surgery for the closure of a ventricular septal defect. Flotte and colleagues echocardiographically described fibroelastoma for the first time in 1980 [61]. In 1998, Speights and colleagues published the first cytogenetic studies of papillary fibroelastoma [62]. In 2003, Ramesh M. Gowda and colleagues recognized papillary fibroelastoma as the second most common benign primary cardiac tumor [6]. In 2015, fibroelastoma was classified as a non-neoplastic tumor by the WHO Classification of Tumors of the Heart, but in the same year, according to Syahidah S. Tamin, it became the most common benign primary cardiac tumor [5,9]. Between 2017 and 2020, the first evidence of the oncogenic etiology (mutations in the KRAS gene) of papillary fibroelastoma was presented by Maike Wittersheime and Melanie C. Bois and their colleagues [7,8]. In 2021, papillary fibroelastoma was officially designated as a neoplastic tumor (ICD-O 8898/0) in the WHO Classification of Tumors of the Heart (2021) [63].
Primary cardiac tumors are rare, with a meta-analysis of 731,309 autopsies revealing an incidence of 0.02%, a rate similar to that observed in the pediatric population [1,2,3]. In the past, papillary fibroelastoma was discovered incidentally during autopsy or intraoperatively during other cardiac surgeries. Its incidence has been increasing, from 0.019% to 0.089%, primarily due to the widespread use of imaging modalities such as echocardiography, CT, and MRI. Papillary fibroelastoma is the most common primary cardiac tumor, surpassing myxoma and lipoma. It is the most frequent valvular tumor, with 88% of cases located on valves, and the majority (59%) found on the aortic valve. The pulmonary valve remains the least affected, with only 2% of cases [5]. The average age of onset is between 60 and 70 years, with the highest risk at 80 years of age, predominantly affecting males, although some studies show a female predominance. In our study, the distribution was approximately equal [5,6,64]. Fibroelastomas can occur anywhere in the heart, with symptoms and complications closely related to their location. Those on the left side of the heart can lead to devastating complications such as ischemic stroke, angina, myocardial infarction, peripheral infarcts and emboli, and even sudden death. Those on the right side of the heart are often asymptomatic but can cause pulmonary thromboembolism, which may lead to pulmonary hypertension or paradoxical emboli in the case of intracardiac communications. In our study, 34% of patients with pulmonary valve fibroelastomas were asymptomatic. The majority of patients (62%) were diagnosed through transthoracic echocardiography, which is an indispensable and widely used investigation [65]. Dyspnea is a common symptom in cardiac pathology, appearing in 32% of patients in our study. In the context of cardiac tumors such as papillary fibroelastoma, it is associated with the size of the tumor and its impact on valvular function or hemodynamics. Considering that the tumor does not interfere with valvular function and does not cause hemodynamic alterations in the right ventricular outflow tract, it is less likely that the dyspnea was caused by the tumor. However, due to its overlap with coronary artery disease, it is difficult to draw a definitive conclusion, as dyspnea could potentially result from both pathologies. Notably, following tumor excision and surgical revascularization, the dyspnea resolved [60]. Other atypical symptoms may include fever and thrombocytopenia [2]. While the infectious risk associated with cardiac myxoma is well-documented, there is limited information regarding the infectious risk of papillary fibroelastoma. However, a recent case report describes an infected papillary fibroelastoma that resulted in pulmonary embolization [66,67]. In the effort to determine the etiology of papillary fibroelastoma, its potential association with a true syndrome has been considered. In our patient’s case, this possibility is plausible given the history of surgical excision of a pituitary adenoma, though more extensive studies are required to validate this theory [68]. Previous studies have suggested that papillary fibroelastoma may be a stress-induced tumor, as it most commonly occurs in areas of increased hemodynamic stress or following endocardial injury from cardiac interventions or radiation. A viral etiology, particularly Cytomegalovirus, has also been proposed, along with associations with rheumatic disease and the aging process, as the highest incidence occurs around 80 years of age [69]. Despite the 2015 WHO Classification of Tumors of the Heart categorizing papillary fibroelastoma as a non-neoplastic entity, a study by Mike W. et al. demonstrated that 79% of the analyzed specimens exhibited a KRAS gene mutation [7,9]. Similarly, another study involving 50 cases of papillary fibroelastoma confirmed this finding, with a KRAS mutation present in over 30% of cases [8]. These studies provide substantial evidence supporting the oncogenic origin of papillary fibroelastoma, at least in certain subtypes. As a result, the 2021 WHO Classification of Tumors of the Heart reclassified it as a genuine neoplastic tumor driven by an oncogenic driver mutation [63]. The thromboembolic potential of papillary fibroelastoma is attributed to its histological architecture, where fibrillar extensions facilitate thrombus formation, and the inherent fragility of these structures predisposes them to fragmentation and subsequent embolization [69]. The mobility and embolic potential of papillary fibroelastoma are significant risk factors, with the incidence of embolic events being 53% higher compared to atrial myxomas [70]. Tumor mobility was the only independent factor significantly associated with papillary fibroelastoma-related death or nonfatal embolization (p = 0.001) [5,17,37]. Given that papillary fibroelastoma does not infiltrate or destroy valvular tissue, surgical treatment should be performed in centers experienced in valve repair. Indications for surgical intervention include symptomatic patients, those requiring concomitant cardiac procedures, asymptomatic individuals with tumors larger than 1 cm or exhibiting significant mobility, and tumors located on the left side of the heart or the right side with associated congenital heart defects (e.g., atrial septal defect, ventricular septal defect) [5,6,32,71,72]. In the present study, pulmonary valve sparing, either through shave resection or repair, represents the primary surgical strategy, although cases are described where the valve is so severely affected that sparing is not feasible. Given that the tumor was greater than 1 cm, exhibited mobility with an elevated risk of embolization, and the patient was scheduled for coronary artery bypass grafting, surgical excision was deemed necessary. For patients who are not suitable candidates for surgical removal, antiplatelet or anticoagulant therapy is recommended. A tumor aspiration procedure using a percutaneous system is described, which was used in some patients. However, larger studies are needed to ensure the safety and effectiveness of this procedure [5,59,66,70]. While previous studies have not documented recurrence of papillary fibroelastoma, research by Syahidah S. Tamin et al. from the Mayo Clinic (Rochester, Minnesota) reports a postoperative recurrence rate of 1.6%. Most tumors were initially diagnosed via echocardiography, which has limitations in detecting small-sized formations and depends on the examiner’s experience and skill. A possible explanation for recurrence could be the initial failure to identify small, concomitant tumors that have since grown and become visible over time [5,18,73]. The differential diagnosis includes both benign tumors, such as atrial myxoma, Lambl’s excrescences, infectious endocarditis vegetations, lipoma, rhabdomyoma, leiomyoma, and lymphangioma, as well as malignant tumors, including angiosarcoma, mesenchymoma, leiomyosarcoma, fibromyxosarcoma, and metastatic lesions. All these entities were excluded through imaging studies and histopathological examination [18,60,74,75].

6. Conclusions

Papillary fibroelastoma has surpassed both myxomas and lipomas, making it the most common primary cardiac tumor. Due to advances in genetic research, it is now classified as a true tumor, associated with mutations in the KRAS gene. Patients with pulmonary valve papillary fibroelastoma are typically asymptomatic, with the tumor most often discovered incidentally. Echocardiography should be considered an essential diagnostic tool for its detection. Surgical intervention is considered the treatment of choice for symptomatic patients, for tumors larger than 1 cm with high mobility and an increased risk of thromboembolism, and for asymptomatic patients undergoing concomitant surgical procedures. As an alternative, anticoagulant therapy is recommended for isolated cases not amenable to surgical treatment. Additionally, certain percutaneous aspiration systems have shown promise in selected cases.

Author Contributions

Conceptualization, E.-D.A. and H.S.; methodology, M.M.H.; validation, P.C., H.A.H. and C.G.; investigation, V.I.S.; writing—original draft preparation, E.-D.A.; histopathology, S.G.; writing—review and editing, M.M.H.; supervision, H.S. All authors have read and agreed to the published version of the manuscript.

Funding

This research received no external funding.

Institutional Review Board Statement

The study was conducted in accordance with the Declaration of Helsinki, and approved by the Ethics Committee of Emergency Institute for Cardiovascular Diseases and Transplantation Targu Mures, Romania, (protocol no. 06/3 October 2024).

Informed Consent Statement

Written informed consent has been obtained from the patient to publish this paper.

Data Availability Statement

Data Availability Statements are available in the Emergency Institute for Cardiovascular Diseases and Transplantation Targu Mures database and can be requested from the corresponding author.

Conflicts of Interest

The authors declare no conflicts of interest.

References

  1. Uzun, O.; Wilson, D.G.; Vujanic, G.M.; Parsons, J.M.; De Giovanni, J.V. Cardiac Tumours in Children. Orphanet J. Rare Dis. 2007, 2, 11. [Google Scholar] [CrossRef]
  2. Maleszewski, J.J.; Bois, M.C.; Bois, J.P.; Young, P.M.; Stulak, J.M.; Klarich, K.W. Neoplasia and the Heart. J. Am. Coll. Cardiol. 2018, 72, 202–227. [Google Scholar] [CrossRef] [PubMed]
  3. Klaus, R. Frequency of Primary Tumors of the Heart. Am. J. Cardiol. 1995, 77, 1. [Google Scholar] [CrossRef]
  4. McAllister, H.A.; Fenoglio, J.J. Tumors of the cardiovascular system. In Atlas of Tumor Pathology; Second Series; Hartmann, W.H., Cowan, W.R., Eds.; Armed Forces Institute of Pathology: Washington, DC, USA, 1978; pp. 1–3+22–25, Fascicle 15. [Google Scholar]
  5. Tamin, S.S.; Maleszewski, J.J.; Scott, C.G.; Khan, S.K.; Edwards, W.D.; Bruce, C.J.; Oh, J.K.; Pellikka, P.A.; Klarich, K.W. Prognostic and Bioepidemiologic Implications of Papillary Fibroelastomas. J. Am. Coll. Cardiol. 2015, 65, 2420–2429. [Google Scholar] [CrossRef]
  6. Gowda, R.M.; Khan, I.A.; Nair, C.K.; Mehta, N.J.; Vasavada, B.C.; Sacchi, T.J. Cardiac Papillary Fibroelastoma: A Comprehensive Analysis of 725 Cases. Am. Heart J. 2003, 146, 404–410. [Google Scholar] [CrossRef]
  7. Wittersheim, M.; Heydt, C.; Hoffmann, F.; Büttner, R. KRAS Mutation in Papillary Fibroelastoma: A True Cardiac Neoplasm? J. Pathol. Clin. Res. 2017, 3, 100–104. [Google Scholar] [CrossRef] [PubMed]
  8. Bois, M.C.; Milosevic, D.; Kipp, B.R.; Maleszewski, J.J. KRAS Mutations in Papillary Fibroelastomas: A Study of 50 Cases With Etiologic and Diagnostic Implications. Am. J. Surg. Pathol. 2020, 44, 626–632. [Google Scholar] [CrossRef] [PubMed]
  9. Burke, A.; Tavora, F. The 2015 WHO Classification of Tumors of the Heart and Pericardium. J. Thorac. Oncol. 2016, 11, 441–452. [Google Scholar] [CrossRef] [PubMed]
  10. Singh, A.; Miller, A.P.; Nanda, N.C.; Rajdev, S.; Mehmood, F.; Duncan, K. Papillary Fibroelastoma of the Pulmonary Valve: Assessment by Live/Real Time Three-Dimensional Transthoracic Echocardiography. Echocardiography 2006, 23, 880–883. [Google Scholar] [CrossRef]
  11. Tomas, G.; Petr, K.; Tomas, P.; Ladislav, H.; Tomas, U.; Lukas, L. Papillary fibroelastoma on pulmonary valve—Valve-sparing surgery of a cardiac tumor in a rare location. Cardiovasc. Pathol. 2020, 46, 107195. [Google Scholar] [CrossRef]
  12. George, J.C.; Tang, A.; Markowitz, A.; Gilkeson, R.; Hoit, B.D. Papillary Fibroelastoma of the Pulmonic Valve: Evaluation by Echocardiography and Magnetic Resonance Imaging. Echocardiography 2008, 25, 433–435. [Google Scholar] [CrossRef] [PubMed]
  13. Yamashita, A.; Uchida, T.; Toyama, S.; Maekawa, Y.; Yoshimura, Y.; Kim, C.; Minagawa, T.; Mizumoto, M.; Ooba, E.; Nakamura, K.; et al. Papillary fibroelastoma on the pulmonary valve: Report of a case. Kyobu Geka 2012, 65, 249–251. (In Japanese) [Google Scholar] [PubMed]
  14. Lopes, J.L.; Freitas, A.; Augusto, J.B. Fibroelastoma, an Incidentaloma Disease?—Image Cases of Fibroelastomas as Incidental Findings in Four Patients, Four Different Valves. Arq. Bras. Cardiol. 2024, 121, e20230222. [Google Scholar] [CrossRef]
  15. Jonathan, M.; Tomasko, J.; Scott Rankin, S. Chris Malaisrie, Single leaflet reconstruction of pulmonic valve with decellurized bovine pericardium. Interact. Cardiovasc. Thorac. Surg. 2017, 24, 969–971. [Google Scholar] [CrossRef][Green Version]
  16. Singireddy, S.; Kesiena, O.; Chaparala, S.; Murrow, J.R. Symptomatic pulmonary valve fibroelastoma. J. Am. Coll. Cardiol. 2022, 79 (Suppl. S9), 2226. [Google Scholar] [CrossRef]
  17. Uehara, H.; Uchiyama, M.; Hori, T.; Iida, M.; Imazuru, T.; Shimokawa, T. Surgical Treatment of Papillary Fibroelastoma of the Pulmonary Valve: A Case Report. J. Cardiothorac. Surg. 2022, 17, 149. [Google Scholar] [CrossRef] [PubMed]
  18. Molnar, A.; Encică, S.; Kovács, E.; Manole, S.; Săcui, D.; Mureşan, I.; Scridon, T. Papillary fibroelastoma of the pulmonary valve: A case report. Rom. J. Morphol. Embryol. 2014, 55, 463–467. [Google Scholar] [PubMed]
  19. Costa, M.J.; Makaryus, A.N.; Rosman, D.R. A rare case of a cardiac papillary fibroelastoma of the pulmonary valve diagnosed by echocardiography. Int. J. Cardiovasc. Imaging 2006, 22, 199–203. [Google Scholar] [CrossRef]
  20. Guo, D.; Yang, Y.; Liu, Y.; Sun, L.; Zhu, W.; Lu, X.; Li, Y. Incidental finding of an asymptomatic pulmonary valve papillary fibroelastoma: A case report. J. Clin. Ultrasound. 2019, 47, 568–571. [Google Scholar] [CrossRef] [PubMed]
  21. Val-Bernal, J.F.; Neira, C.; Nistal, J.F.; González-Vilchez, F.J.; González-Gay, J.M.; Val, D. Simultaneous papillary fibroelastomas of the pulmonary and aortic valves. Pathol.—Res. Pract. 2012, 208, 315–317. [Google Scholar] [CrossRef]
  22. Lee, S.; Song, S. Excision of a papillary fibroelastoma on the pulmonary valve via left anterior thoracotomy with a beating heart. Asian J. Surg. 2024; epub ahead of print. [Google Scholar] [CrossRef]
  23. Hajouli, S.; Belcher, A.M.; Mitulescu, L.; Annie, F.H.; Bafakih, F.F.; Grigore, A.M.; Alwair, H. Pulmonic valve fibroelastoma—A rare incidental finding. Radiol. Case Rep. 2024, 19, 1571–1574. [Google Scholar] [CrossRef]
  24. Biočić, S.; Pukšić, S.; Vincelj, J.; Đurašević, Ž.; Sutlić, Ž.; Manojlović, S. Pulmonary valve papillary fibroelastoma diagnosed by echocardiography: A case report. Eur. J. Echocardiogr. 2009, 10, 726–728. [Google Scholar] [CrossRef][Green Version]
  25. Bhagwandien, N.S.; Shah, N.; Costello, J.M., Jr.; Gilbert, C.L.; Blankenship, J.C. Echocardiographic detection of pulmonary valve papillary fibroelastoma. J. Cardiovasc. Surg. 1998, 39, 351–354. [Google Scholar] [PubMed]
  26. Kovačević, M.; Šimić, O.; Matana, A.; Lučin, K.; Štifter, S. Pulmonary Valve Papillary Fibroelastoma. A Case Report. Tumori J. 2005, 91, 364–365. [Google Scholar] [CrossRef] [PubMed]
  27. Yopp, A.C.; Vaynblat, M.; Cunningham, J.N., Jr.; Lazzaro, R.S. Cardiac valve papillary fibroelastoma: Surgical excision for revealed or potential embolization. J. Card. Surg. 2007, 22, 72–73. [Google Scholar] [CrossRef] [PubMed]
  28. Yao, G.H.; Rousou, J.A.; Kuperman, M.; Jiang, L. An Incidentally Detected Large Papillary Fibroelastoma on Pulmonary Valve. Echocardiography 2010, 27, E75–E76. [Google Scholar] [CrossRef]
  29. Okada, K.; Sueda, T.; Orihashi, K.; Watari, M.; Matsuura, Y. Cardiac Papillary Fibroelastoma on the Pulmonary Valve: A Rare Cardiac Tumor. Ann. Thorac. Surg. 2001, 71, 1677–1679. [Google Scholar] [CrossRef]
  30. van Werkum, M.H.; Swaans, M.J.; van Es, H.W.; Rensing, B.; van Heesewijk, J.P.M. Case 190: Papillary Fibroelastoma of the Pulmonary Valve. Radiology 2013, 266, 680–684. [Google Scholar] [CrossRef] [PubMed]
  31. Karimi Hosseini, D.; Ahmed, N.; Shkolnik, E.; Philip, L.; Sandhu, P.; Yildiz, A.; Patel, R.; Villegas, D. Abstract P172: Pulmonary Valve Papillary Fibroelastoma in A Patient with Chronic Chest Pain. Arterioscler. Thromb. Vasc. Biol. 2021, 41, AP172. [Google Scholar] [CrossRef]
  32. Park, M.Y.; Shin, J.S.; Park, H.R.; Lim, H.E.; Ahn, J.C.; Song, W.H. Papillary Fibroelastoma of the Pulmonary Valve. Heart Vessel. 2007, 22, 284–286. [Google Scholar] [CrossRef]
  33. Ngaage, D.L.; Mullany, C.J.; Daly, R.C.; Dearani, J.A.; Edwards, W.D.; Tazelaar, H.D.; McGregor, C.G.A.; Orszulak, T.A.; Puga, F.J.; Schaff, H.V.; et al. Surgical Treatment of Cardiac Papillary Fibroelastoma: A Single Center Experience with Eighty-Eight Patients. Ann. Thorac. Surg. 2005, 80, 1712–1718. [Google Scholar] [CrossRef] [PubMed]
  34. Jilani, D.; Abuzahra, M.; Ali, M.B. Cardiac Papillary Fibroelastoma: Pulmonic Valve Involvement with Pulmonary Embolism and Pulmonary Hypertension. Cureus 2022, 14, e26302. [Google Scholar] [CrossRef] [PubMed]
  35. Siddiqui, O.; Labedi, M.; Lawrance, C.; Hegde, S. Papillary fibroelastoma of pulmonary valve—A rare cause of hemoptysis. J. Am. Coll. Cardiol. 2021, 77, 2885. [Google Scholar] [CrossRef]
  36. Uchino, M.; Yoshikai, M.; Miho, T.; Amamoto, S. Papillary Fibroelastoma of the Pulmonary Valve: Report of a Case. Kyobu Geka 2018, 71, 965–968. (In Japanese) [Google Scholar] [PubMed]
  37. Generali, T.; Tessitore, G.; Mushtaq, S.; Alamanni, F. Pulmonary Valve Papillary Fibroelastoma: Management of an Unusual, Tricky Pathology. Interact. Cardiovasc. Thorac. Surg. 2013, 16, 88–90. [Google Scholar] [CrossRef]
  38. Tobe, S.; Yoshida, K.; Yamaguchi, M.; Nishimura, H.; Kawata, M. Primary pulmonary valve papillary fibroelastoma. Jpn. J. Thorac. Caridovasc. Surg. 2006, 54, 308–310. [Google Scholar] [CrossRef] [PubMed]
  39. Cecconi, M.; Cacitti, V.; Manfrin, M.; Perna, G.P.; Di Eusanio, G. Papillary fibroelastoma on the pulmonary valve. Ital. Heart J. 2002, 3, 540–541. [Google Scholar] [PubMed]
  40. Vittala, S.S.; Click, R.L.; Challa, S.; Najib, M.Q.; Khandheria, B.K.; Edwards, W.D.; Maleszewski, J.J.; Chaliki, H.P. Multiple Papillary Fibroelastomas. Circulation 2012, 126, 242–243. [Google Scholar] [CrossRef] [PubMed]
  41. Fletcher-Sanfeliu, D.; Vidal Bonet, L.; Ventosa Fernández, G.; Hidalgo Torrico, I.; Sáez de Ibarra Sánchez, J.I. Papillary Fibroelastoma on the Pulmonary Valve in a Young Woman. Cirugía Cardiovasc. 2018, 25, 277–279. [Google Scholar] [CrossRef]
  42. Nellis, J.R.; Wojnarski, C.M.; Fitch, Z.W.; Andersen, N.A.; Turek, J.W. Minimally Invasive Pulmonary Fibroelastoma Resection. Innovations 2019, 14, 577–580. [Google Scholar] [CrossRef] [PubMed]
  43. Rahsepar, A.A.; Ghasemiesfe, A.; Sawlani, R.N.; Ferreira Botelho, M.P.; Paintal, A.S.; Tumer, Y.; Malaisrie, S.C.; Freed, B.H.; Collins, J.D.; Carr, J.C. A Papillary Fibroelastoma Involving Aortic and Pulmonary Valves: Findings on Multimodality Imaging. Ann. Thorac. Surg. 2017, 103, e73–e75. [Google Scholar] [CrossRef][Green Version]
  44. Banuls, L.; Iglesias, R.J.O.; de Vasconcelos Papa, F.; Deng, M.X.; Latter, D.A. Decision-Making in a Pulmonary Valve Fibroelastoma: The Role of Intraoperative Transesophageal Echocardiography. CASE 2023, 7, 288–291. [Google Scholar] [CrossRef] [PubMed]
  45. Iosifescu, A.G.; Enache, R.; Văleanu, L.; Timisescu, A.T.; Iliescu, V.A. Ten Tumors in the Heart: Papillary Fibroelastoma with Triple Valve Involvement. Ann. Thorac. Surg. 2022, 114, e269–e272. [Google Scholar] [CrossRef] [PubMed]
  46. Ahern, S.; Khan, M.E.A.; McLoughlin, J.; Mellerick, L.; Burke, L.; Hinchion, J. A rare case of a pulmonary valve papillary fibroelastoma. J. Card. Surg. 2020, 35, 3208–3210. [Google Scholar] [CrossRef] [PubMed]
  47. Daccarett, M.; Burke, P.; Saba, S. Incidental finding of a large pulmonary valve fibroelastoma: A case report. Eur. J. Echocardiogr. 2006, 7, 253–256. [Google Scholar] [CrossRef]
  48. Gustafson, C.; Balaram, S.; Swistel, D.G.; Anca, D.; Hillel, Z.; Wasnick, J.D. Expected and Unexpected Pulmonic Valve Masses: Transesophageal Echocardiographic Diagnosis and Individualized Management. J. Cardiothorac. Vasc. Anesth. 2009, 23, 358–359. [Google Scholar] [CrossRef] [PubMed]
  49. Fonseca, P.; Neves, P.; Ribeiro, J.; Gonçalves, H.; Couceiro, A.; Gama, V. Papillary Fibroelastoma of the Pulmonary Valve. Rev. Port. Cardiol. 2014, 33, 57–58. [Google Scholar] [CrossRef]
  50. Mete, A.; Erbasan, O.; Kemaloglu, C.; Ozbudak, I.H.; Turkay, C. Pulmonary artery obstruction due to papillary fibroelastoma on the pulmonary valve: A rare cardiac tumor. Thorac. Cardiovasc. Surg. 2009, 57, 116–118. [Google Scholar] [CrossRef] [PubMed]
  51. Kirk, F.; Yong, M.S.; Williams, P.; Stroebel, A. Pulmonary valve papillary fibroelastoma: To PE or not to PE. J. Surg. Case Rep. 2023, 2023, rjad526. [Google Scholar] [CrossRef] [PubMed]
  52. Annie, F.; Yasin, M.; Nanjundappa, A. Delve for the valve mass: A case of pulmonary fibroelastoma mimicking endocarditis. J. Am. Coll. Cardiol. 2020, 75 (Suppl. S1), 3384. [Google Scholar] [CrossRef]
  53. Jellis, C.; MacIsaac, A.; Opeskin, K.; Schlicht, S. Pulmonary Valve Papillary Fibroelastoma. Heart Lung Circ. 2009, 18, 360–361. [Google Scholar] [CrossRef] [PubMed]
  54. Di Lorenzo, W.R.; Donohue, T.J.; Ghantous, A.E. Papillary fibroelastoma arising from the pulmonary valve associated with pulmonary embolization. Conn. Med. 2008, 72, 143–146. [Google Scholar] [PubMed]
  55. Ibrahim, M.; Masters, R.G.; Hynes, M.; Veinot, J.P.; Davies, R.A. Papillary Fibroelastoma of the Pulmonary Valve. Can. J. Cardiol. 2006, 22, 509–510. [Google Scholar] [CrossRef]
  56. Teis, A.; Saenz-Sardà, X.; Ruyra, X. Multimodality Imaging for Pulmonary Valve Papillary Fibroelastoma. Rev. Española De Cardiol. (Engl. Ed.) 2018, 71, 112. [Google Scholar] [CrossRef]
  57. Papasaikas, D.; Theodoropoulos, K.C.; Zaheer, A.; Baghai, M.; Monaghan, M.J.; Papachristidis, A. Pulmonary valve papillary fibroelastoma. Echocardiography 2020, 37, 363–365. [Google Scholar] [CrossRef] [PubMed]
  58. Yagoub, H.; Abdullah, S.; Ibrahim, A.; Meany, B.; Faul, P.; Kiernan, T.J. Pulmonary Valve Papillary Fibroelastoma: A Rare Tumor and Rare Location. Rev. Cardiovasc. Med. 2015, 16, 90–93. [Google Scholar] [CrossRef]
  59. Joseph-Alexis, J.; Jaffe, A.; Jacinto, J.P.; Akel, R. AngioVac Removal of an Isolated Infected Pulmonary Valve Papillary Fibroelastoma. JACC Case Rep. 2020, 2, 2213–2216. [Google Scholar] [CrossRef]
  60. Taylor, J.; Assaf, A.; Assaf, M.; Assaf, S.; Shepple, B.; Kassira, A. Pulmonary Fibroelastoma: A Rare Cardiac Mass Presenting With Dyspnea. CASE 2023, 7, 81–85. [Google Scholar] [CrossRef]
  61. Flotte, T.; Pinar, H.; Feiner, H. Papillary elastofibroma of the left ventricular septum. Am. J. Surg. Pathol. 1980, 4, 585–588. [Google Scholar] [CrossRef]
  62. Speights, V.O.; Dobin, S.M.; Truss, L.M. A Cytogenetic Study of a Cardiac Papillary Fibroelastoma. Cancer Genet. Cytogenet. 1998, 103, 167–169. [Google Scholar] [CrossRef]
  63. Maleszewski, J.J.; Basso, C.; Bois, M.C.; Glass, C.; Klarich, K.W.; Leduc, C.; Padera, R.F.; Tavora, F. The 2021 WHO Classification of Tumors of the Heart. J. Thorac. Oncol. 2022, 17, 510–518. [Google Scholar] [CrossRef] [PubMed]
  64. Steger, C.M.; Hager, T.; Ruttmann, E. Primary cardiac tumours: A single-center 41-year experience. ISRN Cardiol. 2012, 2012, 906109. [Google Scholar] [CrossRef] [PubMed]
  65. Howard, R.A.; Aldea, G.S.; Shapira, O.M.; Kasznica, J.M.; Davidoff, R. Papillary Fibroelastoma: Increasing Recognition of a Surgical Disease. Ann. Thorac. Surg. 1999, 68, 1881–1885. [Google Scholar] [CrossRef] [PubMed]
  66. Jones, D.H.; Lin, B.; Brabham, D.; Trinidad, B. Removal of an Infected Pulmonary Artery Fibroelastoma Disguised as a Presentation of Pulmonary Embolism Using a Percutaneous Suction Thrombectomy Device. J. Vasc. Surg. Cases Innov. Tech. 2023, 9, 101346. [Google Scholar] [CrossRef]
  67. Reynen, K. Cardiac myxomas. N. Engl. J. Med. 1995, 333, 1610–1617. [Google Scholar] [CrossRef] [PubMed]
  68. Ozkan, M.; Astarcioglu, M.A.; Gunduz, S.; Tuncer, A. Papillary Fibroelastoma Associated with Congenital Heart Disease: A Coincidental Association or a Potential New Syndrome? Anatol. J. Cardiol. 2015, 15, 951–952. [Google Scholar] [CrossRef]
  69. Grandmougin, D.; Fayad, G.; Moukassa, D.; Decoene, C.; Abolmaali, K.; Bodart, J.C.; Limousin, M.; Warembourg, H. Cardiac Valve Papillary Fibroelastomas: Clinical, Histological and Immunohistochemical Studies and a Physiopathogenic Hypothesis. J. Heart Valve Dis. 2000, 9, 832–841. [Google Scholar] [PubMed]
  70. Palaskas, N.; Thompson, K.; Gladish, G.; Agha, A.M.; Hassan, S.; Iliescu, C.; Kim, P.; Durand, J.B.; Lopez-Mattei, J.C. Evaluation and Management of Cardiac Tumors. Curr. Treat. Options Cardiovasc. Med. 2018, 20, 29. [Google Scholar] [CrossRef] [PubMed]
  71. Hakim, F.A.; Aryal, M.R.; Pandit, A.; Pandit, A.A.; Alegria, J.R.; Kendall, C.B.; Click, R.L. Papillary Fibroelastoma of the Pulmonary Valve—A Systematic Review. Echocardiography 2014, 31, 234–240. [Google Scholar] [CrossRef] [PubMed]
  72. Făgărășan, A.; Săsăran, M.; Gozar, L.; Crauciuc, A.; Bănescu, C. The Role of Galectin-3 in Predicting Congenital Heart Disease Outcome: A Review of the Literature. Int. J. Mol. Sci. 2023, 24, 10511. [Google Scholar] [CrossRef] [PubMed]
  73. Sorour, A.A.; Kurmann, R.D.; El-Am, E.A.; Bois, M.C.; Scott, C.G.; Lee, A.T.; Dearani, J.A.; Maleszewski, J.J.; Klarich, K.W. Recurrence of Pathologically Proven Papillary Fibroelastoma. Ann. Thorac. Surg. 2022, 113, 1208–1214. [Google Scholar] [CrossRef] [PubMed]
  74. Stoica, A.I.; Harpa, M.M.; Banceu, C.M.; Ghiragosian, C.; Opris, C.E.; Al-Hussein, H.; Al-Hussein, H.; Flamind Oltean, S.; Mezei, T.; Mares, R.G.; et al. A Rare Case of Undifferentiated Pleomorphic Cardiac Sarcoma with Inflammatory Pattern. Medicina 2022, 58, 1009. [Google Scholar] [CrossRef]
  75. Raicea, V.C.; Suciu, H.; Raicea, A.D.; Macarie, G.C.; Mezei, T.; Maier, M.S. Giant left atrial myxoma—Literature review and case presentation. Rom. J. Morphol. Embryol. 2022, 62, 361–368. [Google Scholar] [CrossRef]
Figure 1. (A)—severe stenosis of right coronary artery; (B)—chronic occlusion of circumflex artery and severe stenosis of intermedius branch; (C,D)—transesophageal echocardiography, showing papillary fibroelastoma attached to the right cusp of the pulmonary valve.
Figure 1. (A)—severe stenosis of right coronary artery; (B)—chronic occlusion of circumflex artery and severe stenosis of intermedius branch; (C,D)—transesophageal echocardiography, showing papillary fibroelastoma attached to the right cusp of the pulmonary valve.
Diagnostics 15 00283 g001
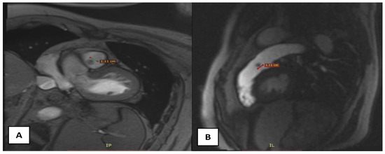
Figure 2. (A)—transversal section on IRM demonstrating a 1.1 × 0.8 cm spherical structure attached to the pulmonary valve; (B)—sagittal section on IRM.
Figure 2. (A)—transversal section on IRM demonstrating a 1.1 × 0.8 cm spherical structure attached to the pulmonary valve; (B)—sagittal section on IRM.
Diagnostics 15 00283 g002
Figure 3. (A)—intraoperative aspect of the papillary fibroelastoma; (B)—repair of the right cusp of the pulmonary valve; (C,D)—transesophageal echocardiography, postoperative aspect with no residual regurgitation.
Figure 3. (A)—intraoperative aspect of the papillary fibroelastoma; (B)—repair of the right cusp of the pulmonary valve; (C,D)—transesophageal echocardiography, postoperative aspect with no residual regurgitation.
Diagnostics 15 00283 g003
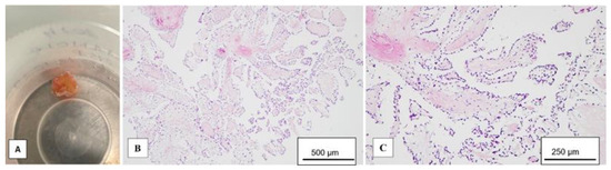
Figure 4. The postoperative characteristics of the papillary fibroelastoma. (A)—the “sea anemone” macroscopic aspect; (B,C)—microscopic examination reveals multiple avascular villous projections (B) covered by endothelial cells (C).
Figure 4. The postoperative characteristics of the papillary fibroelastoma. (A)—the “sea anemone” macroscopic aspect; (B,C)—microscopic examination reveals multiple avascular villous projections (B) covered by endothelial cells (C).
Diagnostics 15 00283 g004
Figure 5. PRISMA flow diagram.
Figure 5. PRISMA flow diagram.
Diagnostics 15 00283 g005
Figure 6. Tumor localization. NA—not available.
Figure 6. Tumor localization. NA—not available.
Diagnostics 15 00283 g006
Figure 7. Tumor localization on PV. NA—not available.
Figure 7. Tumor localization on PV. NA—not available.
Diagnostics 15 00283 g007
Table 1. Summary of results.
Table 1. Summary of results.
AuthorAgeSexSymptomsOther Cardiac DiseasesAssociated ConditionsTTE (Mass cm)TEE (Mass cm)CT Scan (Mass cm)MRI (Mass cm)Surgery IndicationPV Repair/Replacement
A. Singh et al. [10]40MACP nono* 1.8 × 1.4nononosizeTU resection
T. Grus et al. [11]54MDOE noHodgkin lymphomayesyes* 16 mmnosize/mobilityrepair
J.C. George et al. [12]76Mdyspnea, fatigueMR, iCAD nono1.2 × 1.1noyes *concomitant surgeryrepair
A.Yamashita et al. [13]45Mpalpitationsnonoyes *nononoNArepair
J.L. Lopes et al. [14]NANAIF nonoyes * yesnonoNArepair
J.M. Tomasko et al. [15]49FIFaortic valve PF noyes *yesyesyesconcomitant surgeryrepair
S. Singireddy et al. [16]49FACP, dyspnea, postural hypotensionnoHBPyesnoyes *0.9 × 1.5mobility/symptomaticTU resection
H. Uehara et al. [17]70FIFAR HBP, Dyslipidemia* 1.9 × 1.5yes 1.61.7 × 1.4 × 0.8yesconcomitant surgeryTU resection
A. Molnar et al. [18]55FDOEnoHBP, Dyslipidemiayes* 1.0 × 1.0yes0.7mobility/risk of embolismTU resection
M.J. Costa et al. [19]75MdyspneaiCAD, PCI HBP, Dyslipidemia, PAD, hypothyroidismyes *1.3 × 1.9nonosizeTU resection
D. Guo et al. [20]51Mdyspnea, syncope, cough, sputumnoasthma, respiratory tract infection* 1.6 × 1.0yesyes1.3 × 1.0 × 0.9mobility/risk of embolismTU resection
J.F Val-Bernal et al. [21]60MIFaortic valve PFno* 2.5 × 1.5nononosize/mobilityTU resection
S. Lee et al. [22]43MACPnono* 1.4 × 1.3yesyesnoNA TU resection
S. Hajouli et al. [23]65MIFiCAD, PCI, SVT HBP, Dyslipidemia, PAD, COPDyesyes *nonoconcomitant surgeryTU resection
S. Biočić et al. [24]32Fpalpitationsnonoyes *1.1 × 1.0nonomobilityrepair
N.S Bhagwandien et al. [25]42FACPNANA* 1.0 × 0.5yesnonomobiltyTU resection
M. Kovacevic et al. [26]64FIFiCADno* 1.7 × 1.3yesnonoconcomitant surgeryTU resection
A.C. Yopp et al. [27]68Fdyspneanonoyes 2.8no* 3.0nosize/mobilityTU resection
G.H. Yao et al. [28]49Matypical symptomsnonoyes *2.5 × 2.0nonosize/mobilityTU resection
K. Okada et al. [29]71FDOE, fevernononoyes* 2.0nosize/mobilityTU resection
M.H. van Werkum et al. [30]64Mfatigue, bradicardianoHBP, Ménière’s diseaseyes *1 1.0 × 0.7mobilityTU resection
D.K. Hosseini [31]53Fdyspnea, ACPNAmediastinal tumoryesyes *yesyesNANA
M.Y. Park et al. [32]43MACPnoHBP, Dyslipidemia, diabetes* 1.3 × 0.7yesyesnomobility/risk of embolismTU resection
D.L. Ngaage et al. [33]NANANANANAyes *NANANANAvalve replacement
D.L. Ngaage et al. [33]NANANANANAyes *NANANANANA
D. Jilani et al. [34]83FDOEiCAD, AFIB, permanent pacemakerHBP, PHT, PE, sleep apnea* 1.5 × 1.4noyesno anticoagulationno
O. Siddiqui et al. [35]64F hemoptysis, acute respiratory failurenonephrolithiasisno1.21 × 1.07yes *yesmobility/risk of embolismTU resection
M. Uchino et al. [36]66FIFascending aorta and aortic valve diseaseNA* 1.3NANANAconcomitant surgeryvalve replacement
T. Generali et al. [37]56MIFnono* 1.3 × 0.9yesnoyesmobility/risk of embolismTU resection
S. Tobe et al. [38]73MIFnohepatocellular carcinoma* 2.6 × 2.1yes nonomobility/risk of embolismrepair
M. Cecconi et al. [39]75Feffort anginaiCADdiabetes* 1.5yesnonoconcomitant surgeryTU resection
S.S. Vittala et al. [40]53FIFAR, tricuspid and mitral PFnoyes *yesnonoconcomitant surgeryTU resection
D.F. Sanfeliu et al. [41]30FIFnonoyes 1.5yesnoyesmobilty/risk of embolismrepair
J.R. Nellis et al. [42]53Fpalpitations, angina, tahicardia, syncopenonoyes *yesNA1NArepair
A.A. Rahsepar et al. [43]48Fpre-syncopenono* 0.8 × 0.8yesyes1.6 × 1.0 × 0.8mobility/risk of embolismrepair
L. Banuls et al. [44]74MsyncopeiCADstroke, lung nodule, HBP, dyslipidemia, diabetes* 1.3 × 1.11.2 × 1.1nonoconcomitant surgeryTU resection
A. G. Iosifescu et al. [45]62Fnomitral, tricuspid PFstrokeyes * 0.7yesnonomobility/risk of embolismTU resection
S. Ahern et al. [46]67JACPnonoyes* 1.82 × 1.35noyessize/mobility/risk of embolismTU resection
M. Daccarett et al. [47]52MIFnoHBP, Dyslipidmiayes *1.5 × 1.4nonosize/mobility/risk of embolismTU resection
C. Gustafson et al. [48]81MIFiCADPAD, chronic emphysemano* 0.4nonoanticoagulationno
C. Gustafson et al. [48]81FdyspneaAFIBPEno* 1.0nonomobilty/risk of embolismTU resection
P. Fonseca et al. [49]42MIFnoHBP, diabetesyes *0.8 × 0.7yesnomobility/risk of embolismTU resection
A. Mete et al. [50]72MDOEnoHBP, Dyslipidemiayes *NANAyesmobility/risk of embolismrepair
F. Kirk et al. [51]52FACP, dyspneanoalcoholic pancreatitis, diabetesyes1.3 × 1.0yes *nomobility/risk of embolismTU resection
F. Annie et al. [52]70MIFiCADnono1.4 × 0.9yes *yesconcomitant surgeryTU resection
C. Jellis et al. [53]67FDOEiCADHBP, diabetes, nephropathy, retinopathyyesno* 1.0noNArepair
DiLorenzo WR et al. [54]85Msyncope, fatigueNANAyes *0.8 × 0.8nonopatient requestTU resection
M. Ibrahim et al. [55]60FIFnoHBP, leg melanoma1.4 × 1.0yesyesnopatient requestTU resection
A. Teis et al. [56]45MIFnoCrohn’s diseaseyesyesyes *1.2NATU resection
D. Papasaikas et al. [57]70MDOEnonoyes *2.2 × 1.6nonosize/mobility/risk of embolismTU resection
H. Yagoub et al. [58]74MIFiCADNA* 1 × 1nononoconcomitant surgeryTU resection
J.J. Alexis et al. [59]64MIFpermanent pacemakerHBP, diabetes, diabetes, sacral ulcer, sepsisyes0.8 × 0.7yes *noangiovacTU aspiration
J. Taylor et al. [60]67FDOE, ACP, bilateral lower extremity edemanoDyslipidemiayes1.3 × 1.3no1.1 × 1.0NAvalve replacement
Presented Case58MdyspneaiCADHBP, Dyslipidemia, PAD, pituitary adenomayes *1.1 × 0.8no1.1 × 0.8concomitant surgeryrepair
Legend: TTE—transthoracic echocardiography; TEE—transesophageal echocardiography; CT—computed tomography; MRI—magnetic resonance imaging; F—female; M—male; IF—incidental finding; DOE—dyspnea on exertion; ACP—atypical chest pain; AR—aortic regurgitation; MR—mitral regurgitation; iCAD—ischemic coronary artery disease; PAD—peripheral artery disease; HPB—high blood pressure; NA—not available; TU—tumor; AFIB—atrial fibrillation; PF—fibroelastoma; PV—pulmonary valve; SVT—supraventricular tachycardia; PCI—percutaneous coronary intervention; PE—pulmonary embolism; PHT—pulmonary hypertension; COPD—chronic obstructive pulmonary disease. * Indicates the investigation that initially detected the fibroelastoma.
Disclaimer/Publisher’s Note: The statements, opinions and data contained in all publications are solely those of the individual author(s) and contributor(s) and not of MDPI and/or the editor(s). MDPI and/or the editor(s) disclaim responsibility for any injury to people or property resulting from any ideas, methods, instructions or products referred to in the content.

Share and Cite

MDPI and ACS Style

Anitei, E.-D.; Harpa, M.M.; Al Hussein, H.; Ghiragosian, C.; Stroe, V.I.; Calburean, P.; Gurzu, S.; Suciu, H. Pulmonary Valve Fibroelastoma, Still a Very Rare Cardiac Tumor: Case Report and Literature Review. Diagnostics 2025, 15, 283. https://doi.org/10.3390/diagnostics15030283

AMA Style

Anitei E-D, Harpa MM, Al Hussein H, Ghiragosian C, Stroe VI, Calburean P, Gurzu S, Suciu H. Pulmonary Valve Fibroelastoma, Still a Very Rare Cardiac Tumor: Case Report and Literature Review. Diagnostics. 2025; 15(3):283. https://doi.org/10.3390/diagnostics15030283

Chicago/Turabian Style

Anitei, Emanuel-David, Marius Mihai Harpa, Hussam Al Hussein, Claudiu Ghiragosian, Valentin Ionut Stroe, Paul Calburean, Simona Gurzu, and Horatiu Suciu. 2025. "Pulmonary Valve Fibroelastoma, Still a Very Rare Cardiac Tumor: Case Report and Literature Review" Diagnostics 15, no. 3: 283. https://doi.org/10.3390/diagnostics15030283

APA Style

Anitei, E.-D., Harpa, M. M., Al Hussein, H., Ghiragosian, C., Stroe, V. I., Calburean, P., Gurzu, S., & Suciu, H. (2025). Pulmonary Valve Fibroelastoma, Still a Very Rare Cardiac Tumor: Case Report and Literature Review. Diagnostics, 15(3), 283. https://doi.org/10.3390/diagnostics15030283

Note that from the first issue of 2016, this journal uses article numbers instead of page numbers. See further details here.

Article Metrics

Back to TopTop