Giant Myxofibrosarcoma in the Lower Limb: An Overview of Diagnostic and Clinical Management
Abstract
1. Introduction
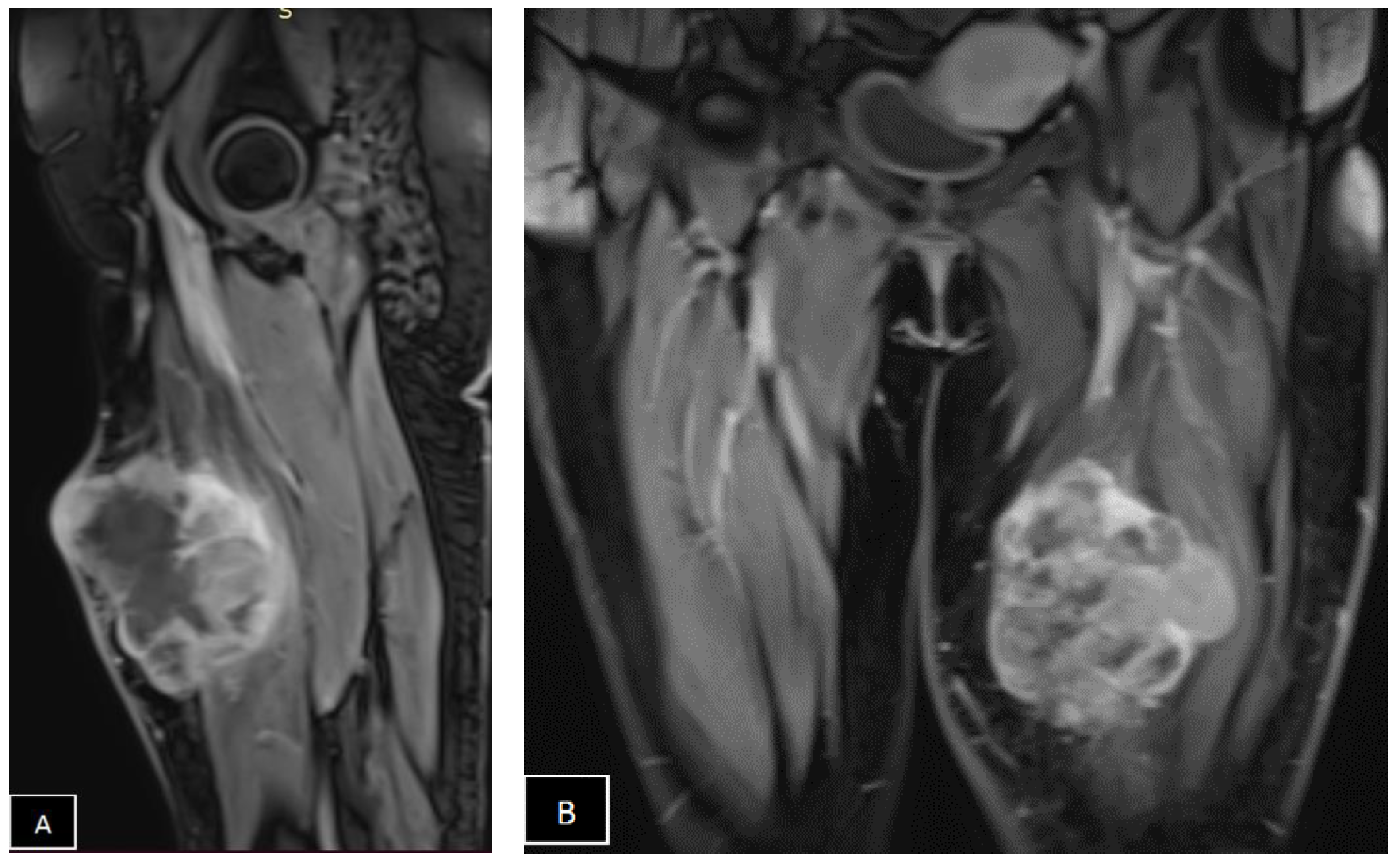
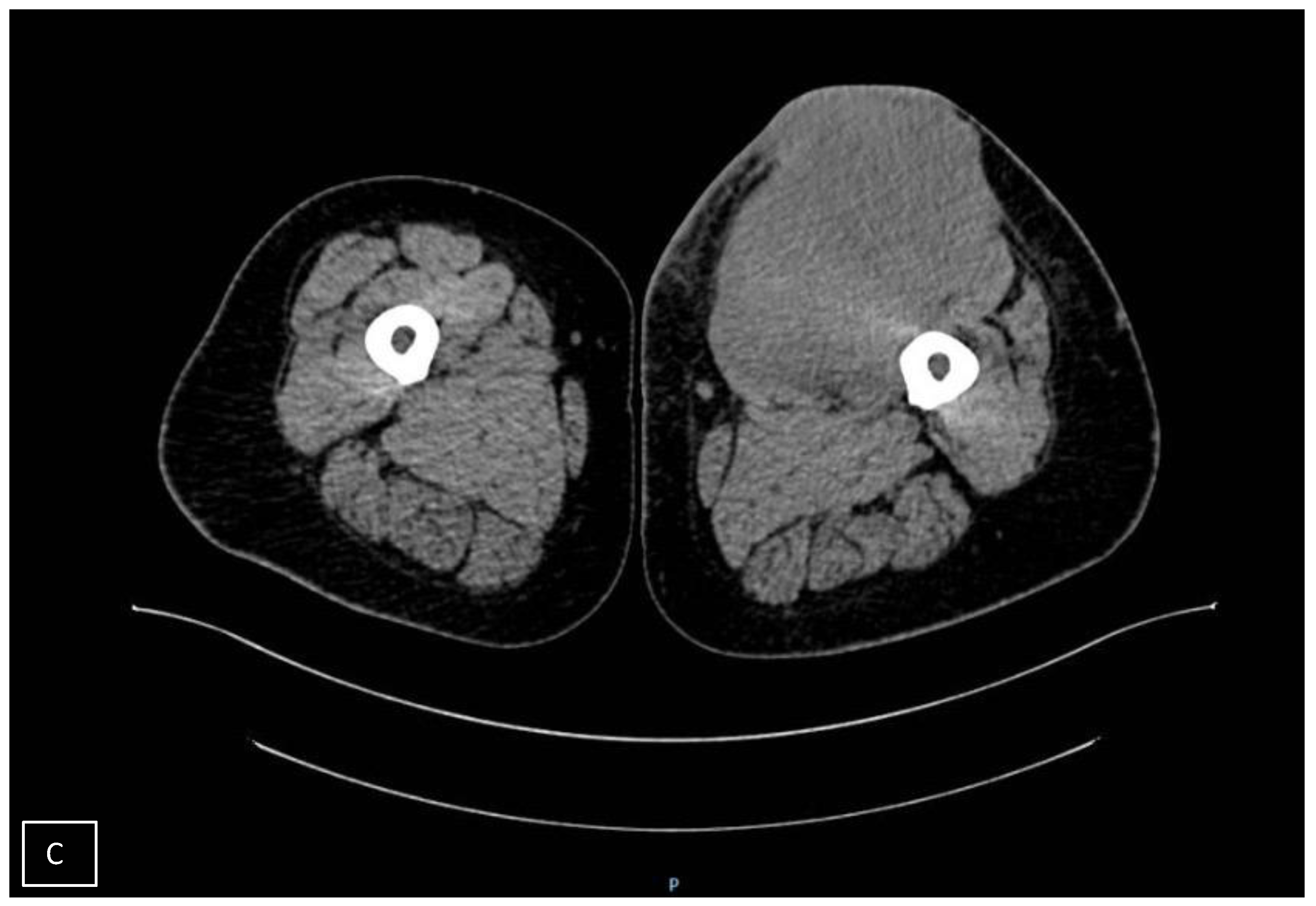
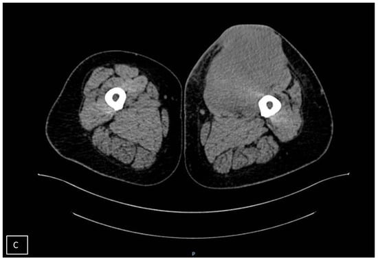
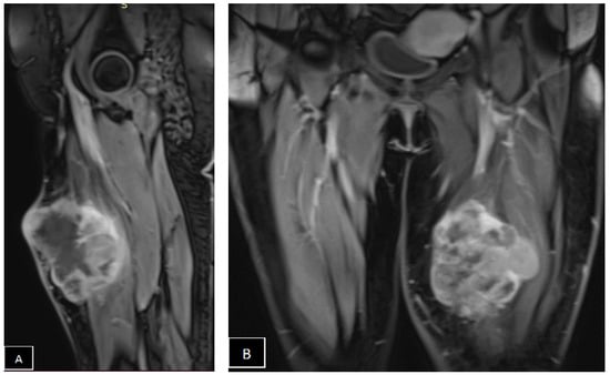
2. Case Presentation
3. Discussion
3.1. Clinical Presentation
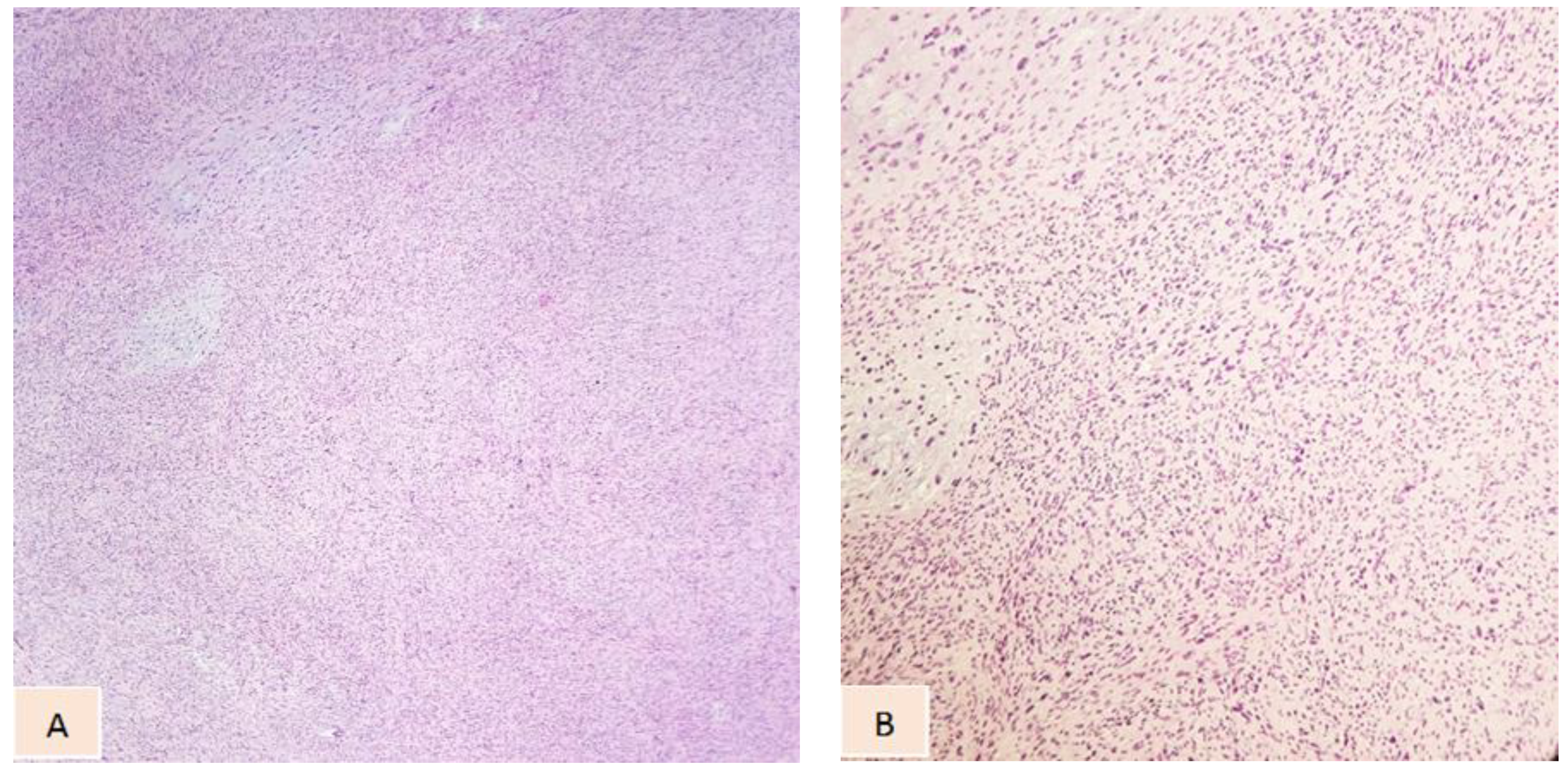
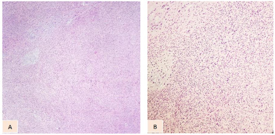
3.2. Diagnosis and Classification
- ▪
- Superficial—lesions that affect the dermal and subcutaneous layers of the skin; these have an infiltrative pattern and are more frequent.
- ▪
- Deep—lesions that affect the intramuscular or subfascial tissues, usually presenting as a single, nodular mass with a longitudinal pattern of spread.
- ▪
- Low-grade MFS (grade 1)—a low number of atypical spindle cells, variable myxoid matrix with hyperchromatic nuclei, rare mitotic activity, and no tumor necrosis.
- ▪
- Intermediate-grade MFS (grade 2)—moderate cellularity and pleomorphism, rare solid areas, mild mitotic activity, and no tumor necrosis.
- ▪
- High-grade MFS (grade 3)—high cellularity with intense pleomorphism, intense mitotic activity, atypical mitosis, prominent myxoid stroma, and tumor necrosis.
3.3. Surgical and Adjuvant Management
3.4. Prognostic Factors, Tumor-Associated Morbidity, and Mortality
4. Conclusions
Author Contributions
Funding
Informed Consent Statement
Acknowledgments
Conflicts of Interest
References
- Mentzel, T.; Calonje, E.; Wadden, C.; Camplejohn, R.S.; Beham, A.; Smith, M.A.; Fletcher, C.D. Myxofibrosarcoma. Clinicopathologic analysis of 75 cases with emphasis on the low-grade variant. Am. J. Surg. Pathol. 1996, 20, 391–405. [Google Scholar] [CrossRef] [PubMed]
- Siegel, R.L.; Miller, K.D.; Jemal, A. Cancer statistics, 2015. CA Cancer J. Clin. 2015, 65, 5–29. [Google Scholar] [CrossRef] [PubMed]
- Huang, H.Y.; Mentzel, T.D.W.; Shibata, T. Myxofibrosarcoma. In World Health Organization (WHO) Classification of Soft Tissue and Bone Tumours, 5th ed.; International Agency for Research on Cancer (IARC): Lyon, France, 2020; pp. 124–126. [Google Scholar]
- Stiller, C.A.; Trama, A.; Serraino, D.; Rossi, S.; Navarro, C.; Chirlaque, M.D.; Casali, P.G.; RARECARE Working Group. Descriptive epidemiology of sarcomas in Europe: Report from RARECARE project. Eur. J. Cancer 2013, 49, 684–695. [Google Scholar] [CrossRef] [PubMed]
- Jo, V.Y.; Fletcher, C.D. WHO classification of soft tissue tumours: An update based on the 2013 (4th) edition. Pathology 2014, 46, 95–104. [Google Scholar] [CrossRef]
- Nishio, J.; Nakayama, S. Biology and Management of High-Grade Myxofibrosarcoma: State of the Art and Future Perspectives. Diagnostics 2023, 13, 3022. [Google Scholar] [CrossRef] [PubMed]
- Sanfilippo, R.; Miceli, R.; Grosso, F.; Fiore, M.; Puma, E.; Pennacchioli, E.; Barisella, M.; Sangalli, C.; Mariani, L.; Casali, P.G.; et al. Myxofibrosarcoma: Prognostic factors and survival in a series of patients treated at a single institution. Ann. Surg. Oncol. 2011, 18, 720–725. [Google Scholar] [CrossRef] [PubMed]
- Roland, C.L.; Wang, W.L.; Lazar, A.J.; Torres, K.E. Myxofibrosarcoma. Surg. Oncol. Clin. N. Am. 2016, 25, 775–788. [Google Scholar] [CrossRef] [PubMed]
- Colak, C.; Kilpatrick, S.E.; Mesko, N.W.; Winalski, C.S. Upper extremity myxofibrosarcoma mimicking an erosive inflammatory arthritis: A case report. Skeletal Radiol. 2019, 48, 1643–1649. [Google Scholar] [CrossRef]
- Huang, H.Y.; Lal, P.; Qin, J.; Brennan, M.F.; Antonescu, C.R. Low-grade myxofibrosarcoma: A clinicopathologic analysis of 49 cases treated at a single institution with simultaneous assessment of the efficacy of 3-tier and 4-tier grading systems. Hum. Pathol. 2004, 35, 612–621. [Google Scholar] [CrossRef]
- Mentzel, T.; Dry, S.; Katenkamp, D.; Fletcher, C.D. Low-grade myofibroblastic sarcoma: Analysis of 18 cases in the spectrum of myofibroblastic tumors. Am. J. Surg. Pathol. 1998, 22, 1228–1238. [Google Scholar] [CrossRef]
- Ottaiano, A.; De Chiara, A.; Fazioli, F.; Talamanca, A.A.; Mori, S.; Botti, G.; Milano, A.; Apice, G. Biological prognostic factors in adult soft tissue sarcomas. Anticancer Res. 2005, 25, 4519–4526. [Google Scholar] [PubMed]
- Gronchi, A.; Lo Vullo, S.; Colombo, C.; Collini, P.; Stacchiotti, S.; Mariani, L.; Fiore, M.; Casali, P.G. Extremity soft tissue sarcoma in a series of patients treated at a single institution: Local control directly impacts survival. Ann. Surg. 2010, 251, 506–511. [Google Scholar] [CrossRef] [PubMed]
- Angervall, L.; Kindblom, L.G.; Merck, C. Myxofibrosarcoma. A study of 30 cases. Acta Pathol. Microbiol. Scand. A 1977, 85A, 127–140. [Google Scholar]
- Sambri, A.; De Paolis, M.; Spinnato, P.; Donati, D.M.; Bianchi, G. The Biology of Myxofibrosarcoma: State of the Art and Future Perspectives. Oncol. Res. Treat. 2020, 43, 314–322. [Google Scholar] [CrossRef] [PubMed]
- de Gooyer, J.M.; Versleijen-Jonkers, Y.M.H.; Hillebrandt-Roeffen, M.H.S.; Frielink, C.; Desar, I.M.E.; de Wilt, J.H.W.; Flucke, U.; Rijpkema, M. Immunohistochemical selection of biomarkers for tumor-targeted image-guided surgery of myxofibrosarcoma. Sci. Rep. 2020, 10, 2915. [Google Scholar] [CrossRef]
- Fu, X.; Rivera, A.; Tao, L.; Zhang, X. Genetically modified T cells targeting neovasculature efficiently destroy tumor blood vessels, shrink established solid tumors and increase nanoparticle delivery. Int. J. Cancer 2013, 133, 2483–2492. [Google Scholar] [CrossRef] [PubMed]
- Ma, S.; Fan, L.; Liu, Y.; Wang, Y.; Yu, K.; Wang, L.; Fang, N.; Liu, F.; Guo, S.; Wang, Z. MET-overexpressing myxofibrosarcoma frequently exhibit polysomy of chromosome 7 but not MET amplification, especially in high-grade cases: Clinical and pathological review of 30 myxofibrosarcoma cases. Diagn. Pathol. 2018, 13, 56. [Google Scholar] [CrossRef] [PubMed]
- Ding, L.; Getz, G.; Wheeler, D.A.; Mardis, E.R.; McLellan, M.D.; Cibulskis, K.; Sougnez, C.; Greulich, H.; Muzny, D.M.; Morgan, M.B.; et al. Somatic mutations affect key pathways in lung adenocarcinoma. Nature 2008, 455, 1069–1075. [Google Scholar] [CrossRef]
- Huang, H.Y.; Li, C.F.; Fang, F.M.; Tsai, J.W.; Li, S.H.; Lee, Y.T.; Wei, H.M. Prognostic implication of ezrin overexpression in myxofibrosarcomas. Ann. Surg. Oncol. 2010, 17, 3212–3219. [Google Scholar] [CrossRef]
- Conley, A.P.; Wang, W.L.; Livingston, J.A.; Ravi, V.; Tsai, J.W.; Ali, A.; Ingram, D.R.; Lowery, C.D.; Roland, C.L.; Somaiah, N.; et al. MAGE-A3 is a Clinically Relevant Target in Undifferentiated Pleomorphic Sarcoma/Myxofibrosarcoma. Cancers 2019, 11, 677. [Google Scholar] [CrossRef]
- Singer, S.; Demetri, G.D.; Baldini, E.H.; Fletcher, C.D. Management of soft-tissue sarcomas: An overview and update. Lancet Oncol. 2000, 1, 75–85. [Google Scholar] [CrossRef] [PubMed]
- Kaushal, A.; Citrin, D. The role of radiation therapy in the management of sarcomas. Surg. Clin. N. Am. 2008, 88, 629–646. [Google Scholar] [CrossRef]
- Kwok, H.C.; Pinto, C.H.; Doyle, A.J. The pitfalls of ultrasonography in the evaluation of soft tissue masses. J. Med. Imaging Radiat. Oncol. 2012, 56, 519–524. [Google Scholar] [CrossRef] [PubMed]
- Willems, S.M.; Debiec-Rychter, M.; Szuhai, K.; Hogendoorn, P.C.; Sciot, R. Local recurrence of myxofibrosarcoma is associated with increase in tumour grade and cytogenetic aberrations, suggesting a multistep tumour progression model. Mod. Pathol. 2006, 19, 407–416. [Google Scholar] [CrossRef]
- Charnock, M. Soft-Tissue Sarcoma Masquerading as a Haematoma. J. Med. Ultrasound 2019, 27, 50–53. [Google Scholar] [CrossRef]
- Taïeb, S.; Penel, N.; Vanseymortier, L.; Ceugnart, L. Soft tissue sarcomas or intramuscular haematomas? Eur. J. Radiol. 2009, 72, 44–49. [Google Scholar] [CrossRef] [PubMed]
- Carra, B.J.; Bui-Mansfield, L.T.; O’Brien, S.D.; Chen, D.C. Sonography of musculoskeletal soft-tissue masses: Techniques, pearls, and pitfalls. AJR Am. J. Roentgenol. 2014, 202, 1281–1290. [Google Scholar] [CrossRef]
- Taljanovic, M.S.; Gimber, L.H.; Klauser, A.S.; Porrino, J.A.; Chadaz, T.S.; Omar, I.M. Ultrasound in the Evaluation of Musculoskeletal Soft-Tissue Masses. Semin. Roentgenol. 2017, 52, 241–254. [Google Scholar] [CrossRef]
- Noebauer-Huhmann, I.M.; Weber, M.A.; Lalam, R.K.; Trattnig, S.; Bohndorf, K.; Vanhoenacker, F.; Tagliafico, A.; van Rijswijk, C.; Vilanova, J.C.; Afonso, P.D.; et al. Soft Tissue Tumors in Adults: ESSR-Approved Guidelines for Diagnostic Imaging. Semin. Musculoskelet. Radiol. 2015, 19, 475–482. [Google Scholar]
- Klingbeil, K.D.; Vangara, S.S.; Fertig, R.M.; Radick, J.L. Acute Trauma Precipitating the Onset of Chest Wall Myxofibrosarcoma. Indian. J. Surg. Oncol. 2018, 9, 411–413. [Google Scholar] [CrossRef]
- Buccoliero, A.M.; Castiglione, F.; Garbini, F.; Rossi Degl’Innocenti, D.; Moncini, D.; Franchi, A.; Paglierani, M.; Simoni, A.; Baroni, G.; Daniele, D.; et al. Primary cerebral myxofibrosarcoma: Clinical, morphologic, immunohistochemical, molecular, and ultrastructural study of an infrequent tumor in an extraordinary localization. J. Pediatr. Hematol. Oncol. 2011, 33, e279–e283. [Google Scholar] [CrossRef] [PubMed]
- Qiubei, Z.; Cheng, L.; Yaping, X.; Shunzhang, L.; Jingping, F. Myxofibrosarcoma of the sinus piriformis: Case report and literature review. World J. Surg. Oncol. 2012, 10, 245. [Google Scholar] [CrossRef]
- Val-Bernal, J.F.; García-González, M.R.; Mayorga, M.; Marrero, R.H.; Jorge-Pérez, N. Primary renal myxofibrosarcoma. Pathol. Res. Pract. 2015, 211, 619–624. [Google Scholar] [CrossRef]
- Erdogan, K.; Karabağ, S.; Deveci, M.A.; Gamli, A.; Gönlüşen, G.; Özbarlas, H.S. Clinicalopathological evaluation of soft tissue myxofibrosarcoma. Cukurova Med. J. 2021, 46, 116–124. [Google Scholar]
- Bethel, J.A.; McCarthy, D.P.; Weisman, P.S.; Glazer, T.A.; Hanna, A.S. A combined, supraclavicular, infraclavicular, transaxillary, and posterior subscapular approaches for en bloc resection of giant myxofibrosarcoma. Surg. Neurol. Int. 2023, 14, 144. [Google Scholar] [CrossRef]
- Jevremovic, V.; Yousuf, A.; Hussain, Z.; Abboud, A.; Chedrawy, E.G. A rare presentation of myxofibrosarcoma as a Pancoast tumor: A case report. J. Med. Case Rep. 2017, 11, 61. [Google Scholar] [CrossRef] [PubMed]
- Hughes, T.; Fraiser, R.; Eastman, A. An Unexpected Myxofibrosarcoma Seen on Ultrasound of the Knee. Pain. Med. 2021, 22, 1445–1447. [Google Scholar] [CrossRef] [PubMed]
- Picardo, N.E.; Mann, B.; Whittingham-Jones, P.; Shaerf, D.; Skinner, J.A.; Saifuddin, A. Bilateral symmetrical metachronous myxofibrosarcoma: A case report and review of the literature. Skeletal Radiol. 2011, 40, 1085–1088. [Google Scholar] [CrossRef]
- Fernebro, J.; Carneiro, A.; Rydholm, A.; Domanski, H.A.; Karlsson, A.; Borg, A.; Nilbert, M. Genetic profiling differentiates second primary tumors from metastases in adult metachronous soft tissue sarcoma. Sarcoma 2008, 2008, 431019. [Google Scholar] [CrossRef]
- Afacan, M.Y.; Ayoglu, N.; Ozsahin, M.K.; Botanlioglu, H. A Case of Malignant Myxofibrosarcoma With Hypoglycemia Attacks. Cureus 2023, 15, e38387. [Google Scholar] [CrossRef]
- Jannin, A.; Espiard, S.; Benomar, K.; Do Cao, C.; Mycinski, B.; Porte, H.; D’Herbomez, M.; Penel, N.; Vantyghem, M.C. Non-islet-cell tumour hypoglycaemia (NICTH): About a series of 6 cases. Ann. Endocrinol. 2019, 80, 21–25. [Google Scholar] [CrossRef]
- Morag, Y.; Lucas, D.R. Ultrasound of myxofibrosarcoma. Skeletal Radiol. 2022, 51, 691–700. [Google Scholar] [CrossRef] [PubMed]
- Hain, S.F.; O’Doherty, M.J.; Bingham, J.; Chinyama, C.; Smith, M.A. Can FDG PET be used to successfully direct preoperative biopsy of soft tissue tumours? Nucl. Med. Commun. 2003, 24, 1139–1143. [Google Scholar] [CrossRef] [PubMed]
- Annovazzi, A.; Rea, S.; Zoccali, C.; Sciuto, R.; Baldi, J.; Anelli, V.; Petrongari, M.G.; Pescarmona, E.; Biagini, R.; Ferraresi, V. Diagnostic and Clinical Impact of 18F-FDG PET/CT in Staging and Restaging Soft-Tissue Sarcomas of the Extremities and Trunk: Mono-Institutional Retrospective Study of a Sarcoma Referral Center. J. Clin. Med. 2020, 9, 2549. [Google Scholar] [CrossRef] [PubMed]
- Lefkowitz, R.A.; Landa, J.; Hwang, S.; Zabor, E.C.; Moskowitz, C.S.; Agaram, N.P.; Panicek, D.M. Myxofibrosarcoma: Prevalence and diagnostic value of the “tail sign” on magnetic resonance imaging. Skeletal Radiol. 2013, 42, 809–818. [Google Scholar] [CrossRef] [PubMed]
- Spinnato, P.; Clinca, R.; Vara, G.; Cesari, M.; Ponti, F.; Facchini, G.; Longhi, A.; Donati, D.M.; Bianchi, G.; Sambri, A. MRI Features as Prognostic Factors in Myxofibrosarcoma: Proposal of MRI Grading System. Acad. Radiol. 2021, 28, 1524–1529. [Google Scholar] [CrossRef] [PubMed]
- Dewan, V.; Darbyshire, A.; Sumathi, V.; Jeys, L.; Grimer, R. Prognostic and survival factors in myxofibrosarcomas. Sarcoma 2012, 2012, 830879. [Google Scholar] [CrossRef] [PubMed]
- Fletcher, C.D.; Gustafson, P.; Rydholm, A.; Willén, H.; Akerman, M. Clinicopathologic re-evaluation of 100 malignant fibrous histiocytomas: Prognostic relevance of subclassification. J. Clin. Oncol. 2001, 19, 3045–3050. [Google Scholar] [CrossRef] [PubMed]
- Yoshimoto, M.; Yamada, Y.; Ishihara, S.; Kohashi, K.; Toda, Y.; Ito, Y.; Yamamoto, H.; Furue, M.; Nakashima, Y.; Oda, Y. Comparative Study of Myxofibrosarcoma With Undifferentiated Pleomorphic Sarcoma: Histopathologic and Clinicopathologic Review. Am. J. Surg. Pathol. 2020, 44, 87–97. [Google Scholar] [CrossRef] [PubMed]
- Widemann, B.C.; Italiano, A. Biology and Management of Undifferentiated Pleomorphic Sarcoma, Myxofibrosarcoma, and Malignant Peripheral Nerve Sheath Tumors: State of the Art and Perspectives. J. Clin. Oncol. 2018, 36, 160–167. [Google Scholar] [CrossRef]
- Sambri, A.; Bianchi, G.; Righi, A.; Ferrari, C.; Donati, D. Surgical margins do not affect prognosis in high grade myxofibrosarcoma. Eur. J. Surg. Oncol. 2016, 42, 1042–1048. [Google Scholar] [CrossRef]
- Odei, B.; Rwigema, J.C.; Eilber, F.R.; Eilber, F.C.; Selch, M.; Singh, A.; Chmielowski, B.; Nelson, S.D.; Wang, P.C.; Steinberg, M.; et al. Predictors of Local Recurrence in Patients With Myxofibrosarcoma. Am. J. Clin. Oncol. 2018, 41, 827–831. [Google Scholar] [CrossRef]
- Mühlhofer, H.M.L.; Lenze, U.; Gersing, A.; Lallinger, V.; Burgkart, R.; Obermeier, A.; von Eisenhart-Rothe, R.; Knebel, C. Prognostic Factors and Outcomes for Patients With Myxofibrosarcoma: A 13-Year Retrospective Evaluation. Anticancer Res. 2019, 39, 2985–2992. [Google Scholar] [CrossRef]
- Billings, S.D.; Giblen, G.; Fanburg-Smith, J.C. Superficial low-grade fibromyxoid sarcoma (Evans tumor): A clinicopathologic analysis of 19 cases with a unique observation in the pediatric population. Am. J. Surg. Pathol. 2005, 29, 204–210. [Google Scholar] [CrossRef] [PubMed]
- Blay, J.Y.; Soibinet, P.; Penel, N.; Bompas, E.; Duffaud, F.; Stoeckle, E.; Mir, O.; Adam, J.; Chevreau, C.; Bonvalot, S.; et al. Improved survival using specialized multidisciplinary board in sarcoma patients. Ann. Oncol. 2017, 28, 2852–2859. [Google Scholar] [CrossRef]
- Strönisch, A.; Märdian, S.; Flörcken, A. Centralized and Interdisciplinary Therapy Management in the Treatment of Sarcomas. Life 2023, 13, 979. [Google Scholar] [CrossRef] [PubMed]
- Lohman, R.F.; Nabawi, A.S.; Reece, G.P.; Pollock, R.E.; Evans, G.R. Soft tissue sarcoma of the upper extremity: A 5-year experience at two institutions emphasizing the role of soft tissue flap reconstruction. Cancer 2002, 94, 2256–2264. [Google Scholar] [CrossRef] [PubMed]
- Fujiwara, T.; Stevenson, J.; Parry, M.; Tsuda, Y.; Tsoi, K.; Jeys, L. What is an adequate margin for infiltrative soft-tissue sarcomas? Eur. J. Surg. Oncol. 2020, 46, 277–281. [Google Scholar] [CrossRef] [PubMed]
- Rhee, I.; Spazzoli, B.; Stevens, J.; Hansa, A.; Spelman, T.; Pang, G.; Guiney, M.; Powell, G.; Choong, P.; Di Bella, C. Oncologic outcomes in myxofibrosarcomas: The role of a multidisciplinary approach and surgical resection margins. ANZ J. Surg. 2023, 93, 577–584. [Google Scholar] [CrossRef]
- Gopalratnam, K.; Rodriguez, J.A.; Woodson, K.A.; Folman, R. A Case of Myxofibrosarcoma in an Unusual Thoracic Location. Case Rep. Oncol. 2016, 9, 39–44. [Google Scholar] [CrossRef]
- Teurneau, H.; Engellau, J.; Ghanei, I.; Vult von Steyern, F.; Styring, E. High Recurrence Rate of Myxofibrosarcoma: The Effect of Radiotherapy Is Not Clear. Sarcoma 2019, 2019, 8517371. [Google Scholar] [CrossRef] [PubMed]
- Look Hong, N.J.; Hornicek, F.J.; Raskin, K.A.; Yoon, S.S.; Szymonifka, J.; Yeap, B.; Chen, Y.L.; DeLaney, T.F.; Nielsen, G.P.; Mullen, J.T. Prognostic factors and outcomes of patients with myxofibrosarcoma. Ann. Surg. Oncol. 2013, 20, 80–86. [Google Scholar] [CrossRef] [PubMed]
- Cante, D.; Franco, P.; Sciacero, P.; Girelli, G.F.; Casanova Borca, V.; Pasquino, M.; Tofani, S.; Bombaci, S.; Migliaccio, F.; Marra, A.; et al. Combined chemoradiation for head and neck region myxofibrosarcoma of the maxillary sinus. Tumori 2013, 99, e80–e83. [Google Scholar] [CrossRef] [PubMed]
- Dell’Aversana Orabona, G.; Iaconetta, G.; Abbate, V.; Piombino, P.; Romano, A.; Maglitto, F.; Salzano, G.; Califano, L. Head and neck myxofibrosarcoma: A case report and review of the literature. J. Med. Case Rep. 2014, 8, 468. [Google Scholar] [CrossRef]
- You, Y.; Guo, X.; Zhuang, R.; Zhang, C.; Wang, Z.; Shen, F.; Wang, Y.; Liu, W.; Zhang, Y.; Lu, W.; et al. Activity of PD-1 Inhibitor Combined with Anti-Angiogenic Therapy in Advanced Sarcoma: A Single-Center Retrospective Analysis. Front. Mol. Biosci. 2021, 8, 747650. [Google Scholar] [CrossRef]
- Song, L.; Pan, D.; Zhou, R. Combination nivolumab and bevacizumab for metastatic myxofibrosarcoma: A case report and review of the literature. Mol. Clin. Oncol. 2020, 13, 54. [Google Scholar] [CrossRef]
- Luo, Y.; Min, L.; Zhou, Y.; Tang, F.; Lu, M.; Xie, H.; Wang, Y.; Duan, H.; Zhang, W.; Tu, C. Remarkable response to anti-PD1 immunotherapy in refractory metastatic high-grade myxofibrosarcoma patient: A case report. Medicine 2021, 100, e25262. [Google Scholar] [CrossRef] [PubMed]
- Zhao, Y.X.; Hu, X.Y.; Zhong, X.; Shen, H.; Yuan, Y. High-intensity focused ultrasound treatment as an alternative regimen for myxofibrosarcoma. Dermatol. Ther. 2021, 34, e14816. [Google Scholar] [CrossRef]
- Haglund, K.E.; Raut, C.P.; Nascimento, A.F.; Wang, Q.; George, S.; Baldini, E.H. Recurrence patterns and survival for patients with intermediate- and high-grade myxofibrosarcoma. Int. J. Radiat. Oncol. Biol. Phys. 2012, 82, 361–367. [Google Scholar] [CrossRef]
- Waters, B.; Panicek, D.M.; Lefkowitz, R.A.; Antonescu, C.R.; Healey, J.H.; Athanasian, E.A.; Brennan, M.F. Low-grade myxofibrosarcoma: CT and MRI patterns in recurrent disease. AJR Am. J. Roentgenol. 2007, 188, W193–W198. [Google Scholar] [CrossRef]
- Kaya, M.; Wada, T.; Nagoya, S.; Sasaki, M.; Matsumura, T.; Yamaguchi, T.; Hasegawa, T.; Yamashita, T. MRI and histological evaluation of the infiltrative growth pattern of myxofibrosarcoma. Skelet. Radiol. 2008, 37, 1085–1090. [Google Scholar] [CrossRef]
- Sambri, A.; Zucchini, R.; Giannini, C.; Cevolani, L.; Fiore, M.; Spinnato, P.; Bianchi, G.; Donati, D.M.; De Paolis, M. Systemic Inflammation Is Associated with Oncological Outcome in Patients with High-Grade Myxofibrosarcoma of the Extremities: A Retrospective Analysis. Oncol. Res. Treat. 2020, 43, 531–538. [Google Scholar] [CrossRef] [PubMed]
- Gronchi, A.; Casali, P.G.; Mariani, L.; Miceli, R.; Fiore, M.; Lo Vullo, S.; Bertulli, R.; Collini, P.; Lozza, L.; Olmi, P.; et al. Status of surgical margins and prognosis in adult soft tissue sarcomas of the extremities: A series of patients treated at a single institution. J. Clin. Oncol. 2005, 23, 96–104. [Google Scholar] [CrossRef]
- Stojadinovic, A.; Leung, D.H.; Hoos, A.; Jaques, D.P.; Lewis, J.J.; Brennan, M.F. Analysis of the prognostic significance of microscopic margins in 2,084 localized primary adult soft tissue sarcomas. Ann. Surg. 2002, 235, 424–434. [Google Scholar] [CrossRef]
- Dadrass, F.; Gusho, C.; Yang, F.; Culvern, C.; Bloom, J.; Fillingham, Y.; Colman, M.; Gitelis, S.; Blank, A. A clinicopathologic examination of myxofibrosarcoma. Do surgical margins significantly affect local recurrence rates in this infiltrative sarcoma subtype? J. Surg. Oncol. 2021, 123, 489–496. [Google Scholar] [CrossRef]
- Lin, C.N.; Chou, S.C.; Li, C.F.; Tsai, K.B.; Chen, W.C.; Hsiung, C.Y.; Yen, C.F.; Huang, H.Y. Prognostic factors of myxofibrosarcomas: Implications of margin status, tumor necrosis, and mitotic rate on survival. J. Surg. Oncol. 2006, 93, 294–303. [Google Scholar] [CrossRef] [PubMed]
- Sambri, A.; Tuzzato, G.; Spinnato, P.; De Paolis, M.; Donati, D.M.; Bianchi, G. Grading in Myxofibrosarcoma of the Extremities Can Predict Survival and Local Control. Oncol. Res. Treat. 2020, 43, 189–195. [Google Scholar] [CrossRef]
- Muler, J.H.; Paulino, A.F.; Roulston, D.; Baker, L.H. Myxoid malignant fibrous histiocytoma with multiple primary sites. Sarcoma 2002, 6, 51–55. [Google Scholar] [CrossRef] [PubMed]
- Gilg, M.M.; Sunitsch, S.; Leitner, L.; Bergovec, M.; Szkandera, J.; Leithner, A.; Liegl-Atzwanger, B. Tumor-associated mortality and prognostic factors in myxofibrosarcoma A retrospective review of 109 patients. Orthop. Traumatol. Surg. Res. 2020, 106, 1059–1065. [Google Scholar] [CrossRef] [PubMed]
- Tsuchie, H.; Kaya, M.; Nagasawa, H.; Emori, M.; Murahashi, Y.; Mizushima, E.; Miyakoshi, N.; Yamashita, T.; Shimada, Y. Distant metastasis in patients with myxofibrosarcoma. Ups. J. Med. Sci. 2017, 122, 190–193. [Google Scholar] [CrossRef]
- van der Horst, C.A.J.; Bongers, S.L.M.; Versleijen-Jonkers, Y.M.H.; Ho, V.K.Y.; Braam, P.M.; Flucke, U.E.; de Wilt, J.H.W.; Desar, I.M.E. Overall Survival of Patients with Myxofibrosarcomas: An Epidemiological Study. Cancers 2022, 14, 1102. [Google Scholar] [CrossRef] [PubMed]
- Cao, S.; Li, J.; Zhang, J.; Li, H. Development and validation of a prognostic nomogram for predicting the overall survival of myxofibrosarcoma patients: A large population-based study. Transl. Cancer Res. 2021, 10, 923–937. [Google Scholar] [CrossRef] [PubMed]




Disclaimer/Publisher’s Note: The statements, opinions and data contained in all publications are solely those of the individual author(s) and contributor(s) and not of MDPI and/or the editor(s). MDPI and/or the editor(s) disclaim responsibility for any injury to people or property resulting from any ideas, methods, instructions or products referred to in the content. |
© 2024 by the authors. Licensee MDPI, Basel, Switzerland. This article is an open access article distributed under the terms and conditions of the Creative Commons Attribution (CC BY) license (https://creativecommons.org/licenses/by/4.0/).
Share and Cite
Ene, R.; Dimitriu, A.L.; Peride, I.; Țigliș, M.; Popescu, E.G.; Georgescu, E.C.; Neagu, T.P.; Checherita, I.A.; Niculae, A. Giant Myxofibrosarcoma in the Lower Limb: An Overview of Diagnostic and Clinical Management. Diagnostics 2024, 14, 1298. https://doi.org/10.3390/diagnostics14121298
Ene R, Dimitriu AL, Peride I, Țigliș M, Popescu EG, Georgescu EC, Neagu TP, Checherita IA, Niculae A. Giant Myxofibrosarcoma in the Lower Limb: An Overview of Diagnostic and Clinical Management. Diagnostics. 2024; 14(12):1298. https://doi.org/10.3390/diagnostics14121298
Chicago/Turabian StyleEne, Răzvan, Alexandru Lisias Dimitriu, Ileana Peride, Mirela Țigliș, Elisa Georgiana Popescu, Eduard Cătălin Georgescu, Tiberiu Paul Neagu, Ionel Alexandru Checherita, and Andrei Niculae. 2024. "Giant Myxofibrosarcoma in the Lower Limb: An Overview of Diagnostic and Clinical Management" Diagnostics 14, no. 12: 1298. https://doi.org/10.3390/diagnostics14121298
APA StyleEne, R., Dimitriu, A. L., Peride, I., Țigliș, M., Popescu, E. G., Georgescu, E. C., Neagu, T. P., Checherita, I. A., & Niculae, A. (2024). Giant Myxofibrosarcoma in the Lower Limb: An Overview of Diagnostic and Clinical Management. Diagnostics, 14(12), 1298. https://doi.org/10.3390/diagnostics14121298

