Kugel’s Artery in Coronary Computed Tomography Angiography in a Patient with Left Main Subtotal Stenosis
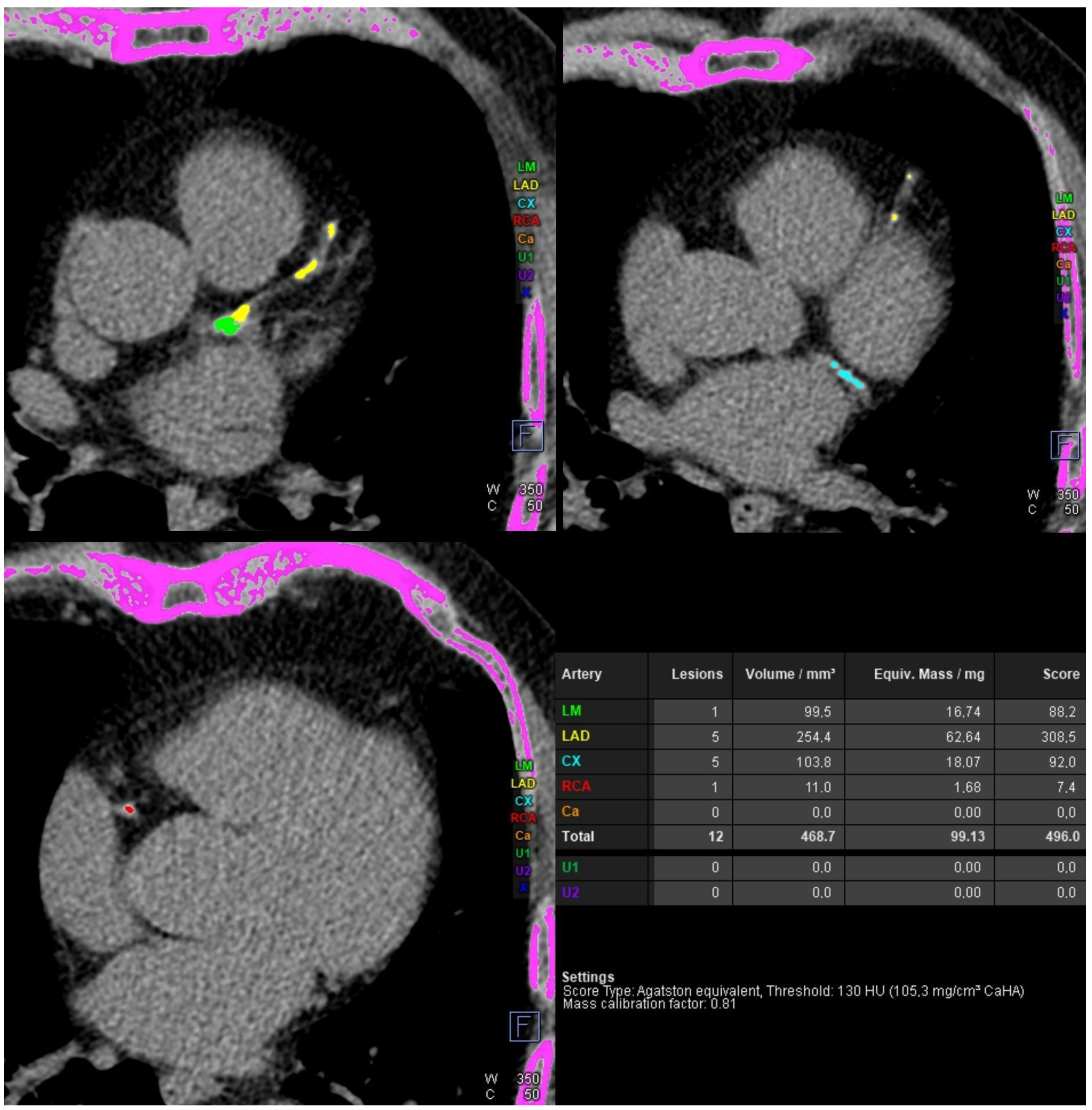
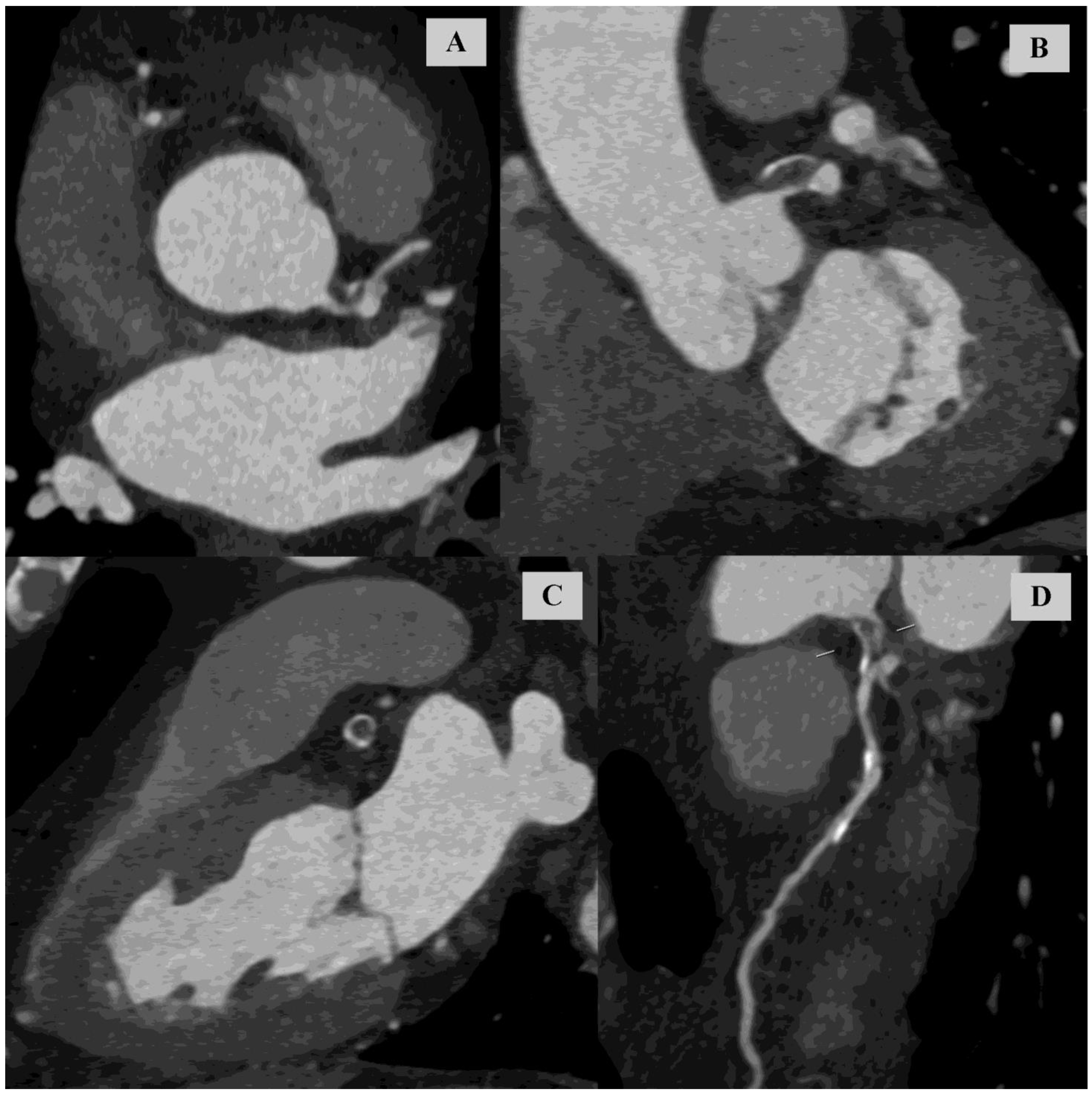
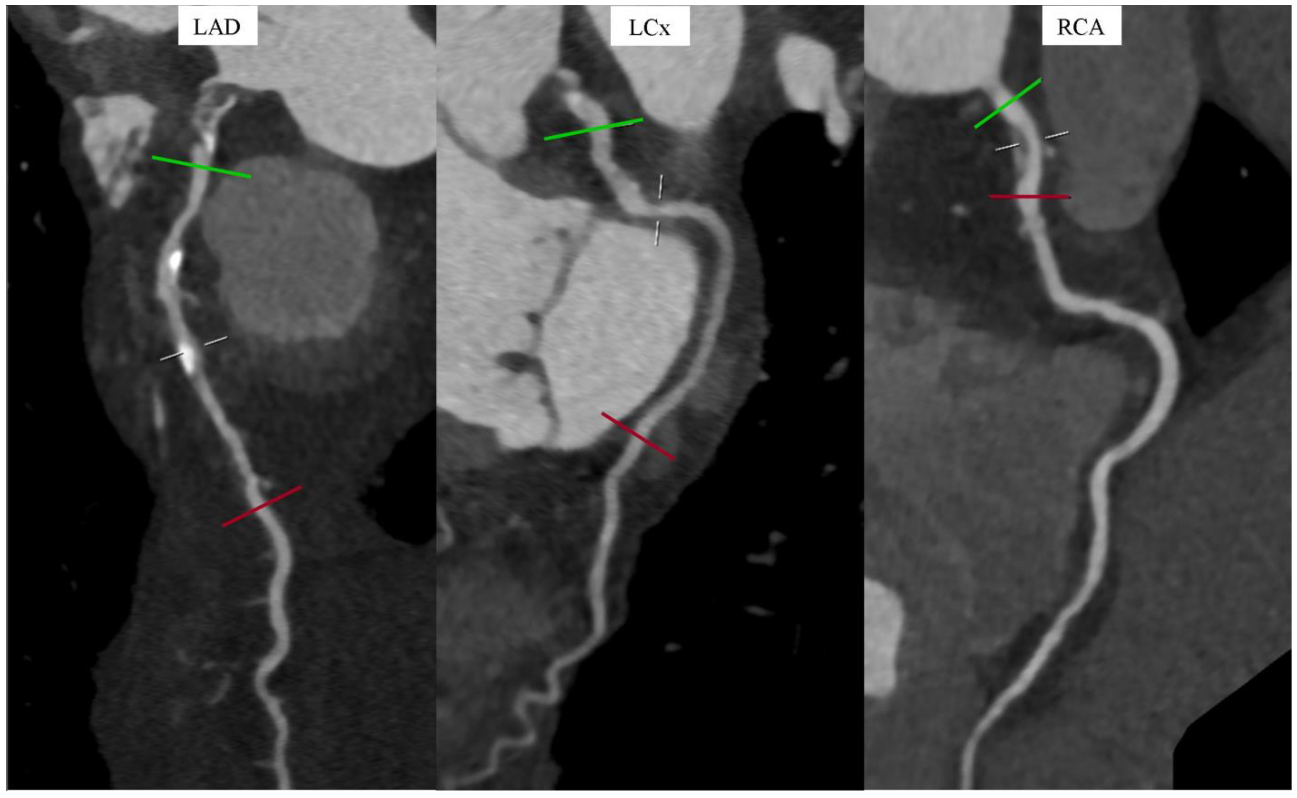
Abstract
Author Contributions
Funding
Institutional Review Board Statement
Informed Consent Statement
Data Availability Statement
Conflicts of Interest
References
- Nerantzis, C.E.; Marianou, S.K.; Koulouris, S.N.; Agapitos, E.B.; Papaioannou, J.A.; Vlahos, L.J. Kugel’s artery: An anatomical and angiographic study using a new technique. Tex. Heart Inst. J. 2004, 31, 267–270. [Google Scholar] [PubMed]
- Kugel, M. Anatomical studies on the coronary arteries and their branches. Arteria anastomotica auricularis magna. Am. Heart J. 1928, 3, 260–270. [Google Scholar] [CrossRef]
- Soto, B.; Jochem, W.; Karp, R.B.; Barcia, A. Angiographic anatomy of the Kugel’s artery. Am. J. Roentgenol. 1973, 119, 503–507. [Google Scholar] [CrossRef] [PubMed]
- Saremi, F.; Goodman, G.; Wilcox, A.; Salibian, R.; Vorobiof, G. Coronary artery ostial atresia: Diagnosis of conotruncal anastomotic collateral rings using CT angiography. JACC Cardiovasc. Imaging 2011, 4, 1320–1323. [Google Scholar] [CrossRef] [PubMed]
- Saremi, F.; Abolhoda, A.; Ashikyan, O.; Milliken, J.C.; Narula, J.; Gurudevan, S.V.; Kaushal, K.; Raney, A. Arterial supply to sinuatrial and atrioventricular nodes: Imaging with multidetector CT. Radiology 2008, 246, 99–109. [Google Scholar] [CrossRef] [PubMed]
- Vrints, C.; Andreotti, F.; Koskinas, K.C.; Rossello, X.; Adamo, M.; Ainslie, J.; Banning, A.P.; Budaj, A.; Buechel, R.R.; Chiariello, G.A.; et al. 2024 ESC Guidelines for the management of chronic coronary syndromes. Eur. Heart J. 2024; ahead of print. [Google Scholar] [CrossRef]
- Xie, Q.; Zhou, L.; Li, Y.; Zhang, R.; Wei, H.; Ma, G.; Tang, Y.; Xiao, P. Comparison of prognosis between coronary computed tomography angiography versus invasive coronary angiography for stable coronary artery disease: A systematic review and meta-analysis. Front. Cardiovasc. Med. 2023, 10, 1010536. [Google Scholar] [CrossRef] [PubMed]
- Xie, Q.; Zhou, L.; Li, Y.; Zhang, R.; Wei, H.; Ma, G.; Tang, Y.; Xiao, P. The ability of computed tomography angiography to predict 5-year mortality in the SYNTAX III REVOLUTION trial. J. Cardiovasc. Comput. Tomogr. 2023, 17, 318–325. [Google Scholar] [CrossRef]
- Masuda, S.; Revaiah, P.C.; Kageyama, S.; Tsai, T.-Y.; Miyashita, K.; Tobe, A.; Puskas, J.D.; Teichgräber, U.; Schneider, U.; Doenst, T.; et al. Quantitative coronary computed tomography assessment for differentiating between total occlusions and severe stenoses. J. Cardiovasc. Comput. Tomogr. 2024, 18, 450–456. [Google Scholar] [CrossRef] [PubMed]
- Gensini, G.G.; da Costa, B.C. The coronary collateral circulation in living man. Am. J. Cardiol. 1969, 24, 393–400. [Google Scholar] [CrossRef] [PubMed]
- Sheldon, W.C. On the significance of coronary collaterals. Am. J. Cardiol. 1969, 24, 303–304. [Google Scholar] [CrossRef] [PubMed]
- Vo, M.N.; Brilakis, E.S.; Kass, M.; Ravandi, A. Physiologic significance of coronary collaterals in chronic total occlusions. Can. J. Physiol. Pharmacol. 2015, 93, 867–871. [Google Scholar] [CrossRef] [PubMed]
- Di Mario, C.; Mashayekhi, K.A.; Garbo, R.; Pyxaras, S.A.; Ciardetti, N.; Werner, G.S. Recanalisation of coronary chronic total occlusions. EuroIntervention 2022, 18, 535–561. [Google Scholar] [CrossRef] [PubMed]





Disclaimer/Publisher’s Note: The statements, opinions and data contained in all publications are solely those of the individual author(s) and contributor(s) and not of MDPI and/or the editor(s). MDPI and/or the editor(s) disclaim responsibility for any injury to people or property resulting from any ideas, methods, instructions or products referred to in the content. |
© 2024 by the authors. Licensee MDPI, Basel, Switzerland. This article is an open access article distributed under the terms and conditions of the Creative Commons Attribution (CC BY) license (https://creativecommons.org/licenses/by/4.0/).
Share and Cite
Gać, P.; Głuszczyk, A.; Plizga, J.; Bińczyk, W.; Dróżdż, O.; Poręba, R. Kugel’s Artery in Coronary Computed Tomography Angiography in a Patient with Left Main Subtotal Stenosis. Diagnostics 2024, 14, 2142. https://doi.org/10.3390/diagnostics14192142
Gać P, Głuszczyk A, Plizga J, Bińczyk W, Dróżdż O, Poręba R. Kugel’s Artery in Coronary Computed Tomography Angiography in a Patient with Left Main Subtotal Stenosis. Diagnostics. 2024; 14(19):2142. https://doi.org/10.3390/diagnostics14192142
Chicago/Turabian StyleGać, Paweł, Agnieszka Głuszczyk, Jakub Plizga, Wiktoria Bińczyk, Olgierd Dróżdż, and Rafał Poręba. 2024. "Kugel’s Artery in Coronary Computed Tomography Angiography in a Patient with Left Main Subtotal Stenosis" Diagnostics 14, no. 19: 2142. https://doi.org/10.3390/diagnostics14192142
APA StyleGać, P., Głuszczyk, A., Plizga, J., Bińczyk, W., Dróżdż, O., & Poręba, R. (2024). Kugel’s Artery in Coronary Computed Tomography Angiography in a Patient with Left Main Subtotal Stenosis. Diagnostics, 14(19), 2142. https://doi.org/10.3390/diagnostics14192142

