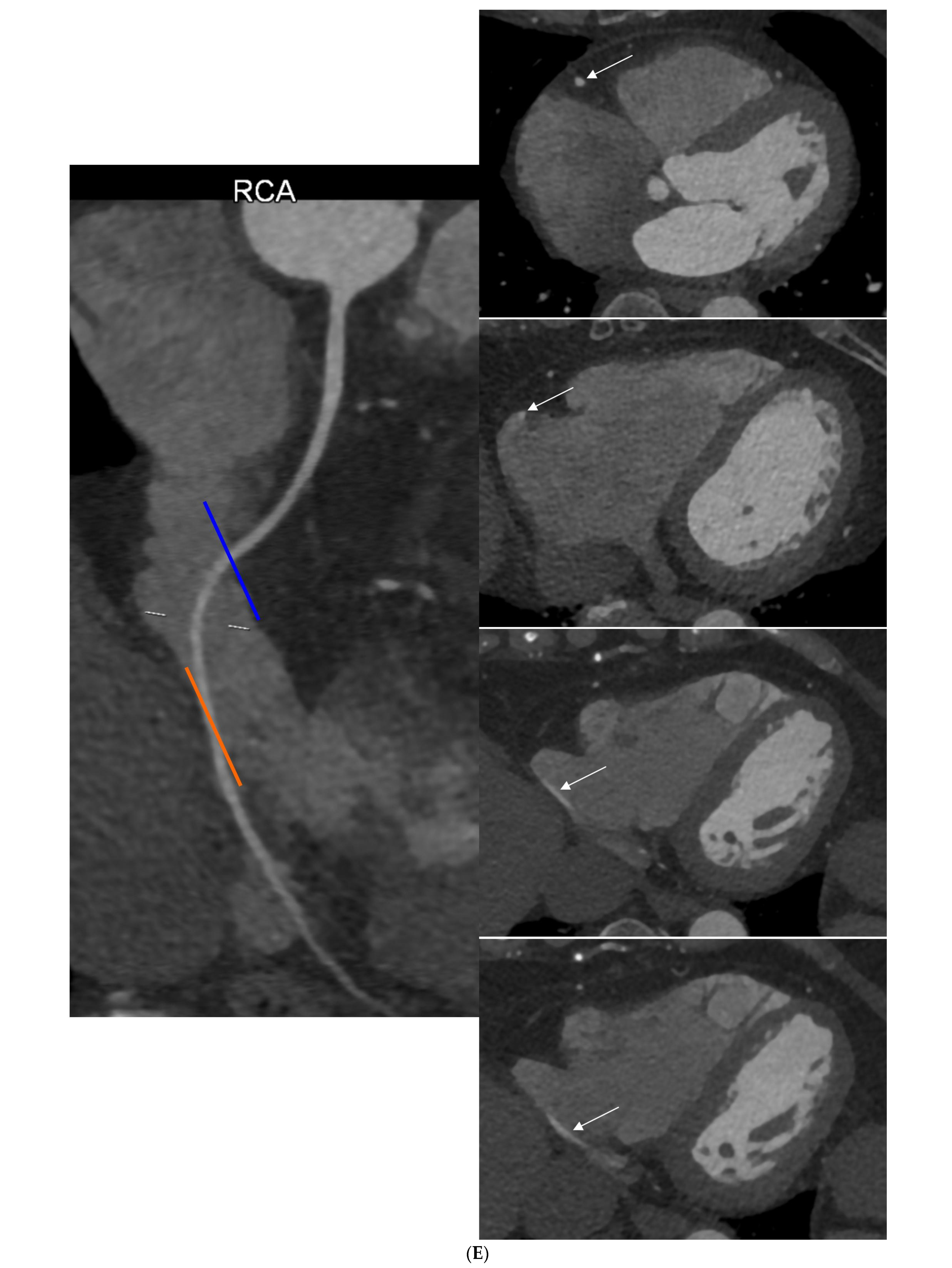
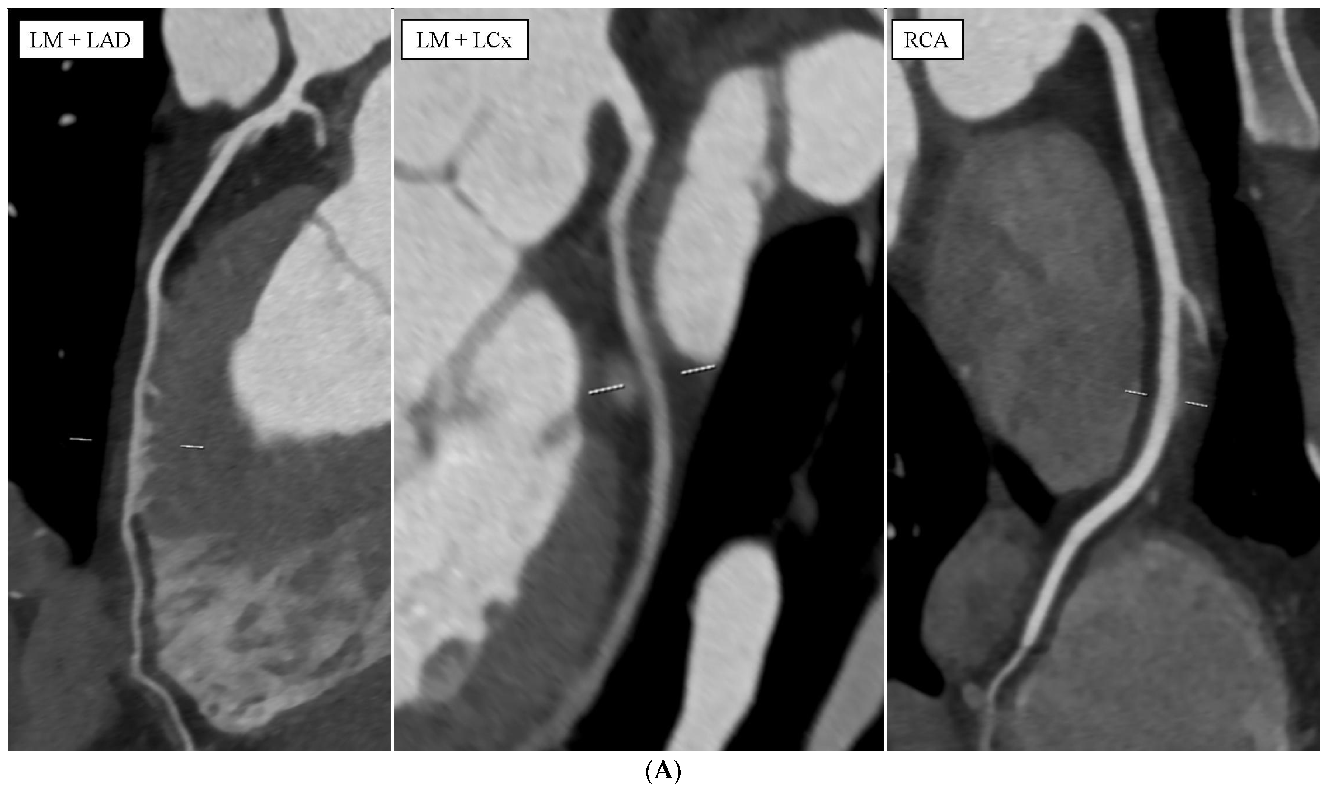
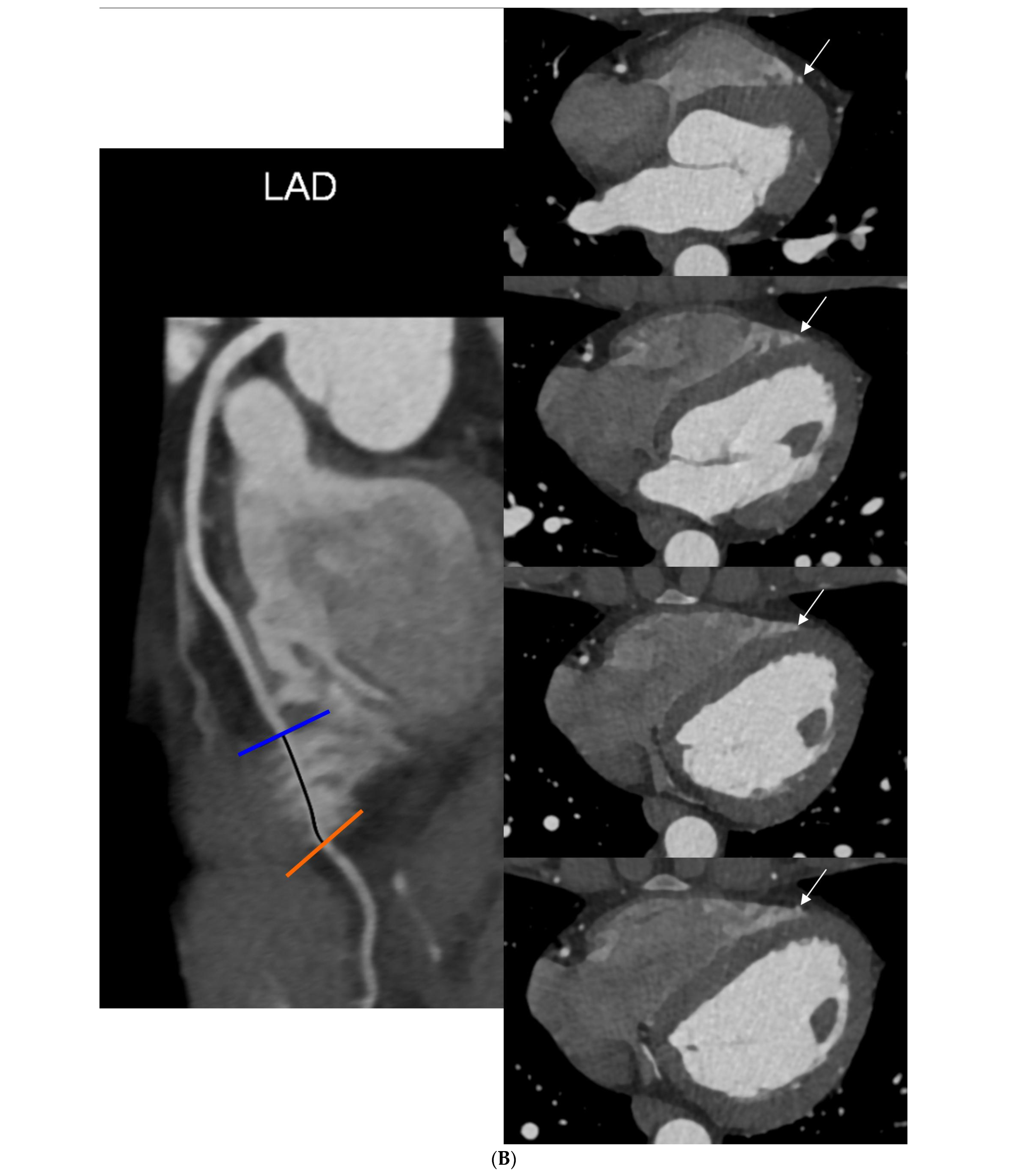
Computed Tomography Angiography as a Method for Diagnosing Intracavitary Coronary Arteries
Abstract








Author Contributions
Funding
Institutional Review Board Statement
Informed Consent Statement
Conflicts of Interest
References
- Buckley, C.M.; Rosamond, T.; Hegde, S.R.; Wetzel, L. The Intracavitary Coronary Artery: A Rare Anomaly with Implications for Invasive Cardiac Procedures—Demonstration by Coronary Computed Tomography Angiography. J. Am. Coll. Cardiol. 2017, 69 (Suppl. S11), 1437. [Google Scholar] [CrossRef]
- Hossain, R.; Chelala, L.; Amin, S.B.; Bergquist, P.J.; Vairavamurthy, J.; Jeudy, J.; White, C.S. Intracavitary Coronary Artery: An Unusual Coronary Anomaly. J. Thorac. Imaging 2019, 34, W121–W124. [Google Scholar] [CrossRef] [PubMed]
- Ganga, K.P.; Ojha, V.; Shaw, M.; Kumar, S. Intra-atrial course of the right coronary artery: Depiction of a potentially hazardous entity on dual-source CT. BMJ Case Rep. 2019, 12, e228345. [Google Scholar] [CrossRef] [PubMed] [PubMed Central]
- Bunkiewicz, L.; Niklas, A.A.; Juszkat, R.; Niklas, K.; Tykarski, A. Intra-atrial course of the right coronary artery: An uncommon anomaly diagnosed by coronary computed tomography angiography. Kardiol. Pol. 2015, 73, 61. [Google Scholar] [CrossRef] [PubMed]
- Barbiero, G.; Maiolino, G.; Argiolas, A.; Testolin, L.; De Conti, G. Intra-atrial course of right coronary artery: A case report. World J. Cardiol. 2022, 14, 514–521. [Google Scholar] [CrossRef] [PubMed] [PubMed Central]
- Opolski, M.P.; Pregowski, J.; Kruk, M.; Staruch, A.D.; Witkowski, A.; Demkow, M.; Hryniewiecki, T.; Michalek, P.; Ruzyllo, W.; Kepka, C. The prevalence and characteristics of intra-atrial right coronary artery anomaly in 9284 patients referred for coronary computed tomography angiography. Eur. J. Radiol. 2014, 83, 1129–1134. [Google Scholar] [CrossRef] [PubMed]
- Oz, M.C.; Cooper, M.M.; Hickey, T.J.; Rose, E.A. Exposure of the intramyocardial left anterior descending artery. Ann. Thorac. Surg. 1994, 58, 1194–1195. [Google Scholar] [CrossRef] [PubMed]
- Tyczyński, P.; Skowroński, J.; Opolski, M.P.; Pręgowski, J.; Kępka, C.; Kruk, M.; Orczykowski, M.; Łazarczyk, H.; Witkowski, A.; Michałowska, I. Intra-Right Ventricle Course of the Coronary Arteries on Computed Tomography Angiography. J. Comput. Assist. Tomogr. 2020, 44, 586–590. [Google Scholar] [CrossRef] [PubMed]
- La Mura, L.; Fassano, N.J. 627 intracavitary coronary arteries: Is it really a rare finding? A coronary CT study. Eur. Heart J. Suppl. 2022, 24 (Supplement_K), suac121.200. [Google Scholar] [CrossRef]
- Hussein, H.; Elshall, A.; Youssef, A.; Hekal, S.; Shaaban, M. Combined intracavitary course of left anterior descending artery and myocardial bridge of right coronary artery in right ventricle hypertrophy; A case report. Eur. Heart J. Case Rep. 2023, 7, ytad524. [Google Scholar] [CrossRef] [PubMed]
- Rosamond, T.; Wetzel, L.H.; Lakkireddy, D.; Ferrell, R.; Tadros, P. IntraCameral right coronary artery: Detection by 64 slice coronary computed tomographic angiography and implications for radiofrequency ablation of atrial dysrhythmias. Pacing Clin. Electrophysiol. 2007, 30, 1571–1574. [Google Scholar] [CrossRef] [PubMed]
- Scheffel, H.; Vetter, W.; Alkadhi, H. Intra-atrial course of the right coronary artery: A previously missed anomaly. Eur. Heart J. 2007, 28, 1919. [Google Scholar] [CrossRef] [PubMed]
- Chou, H.P.; Chen, C.K.; Sheu, M.H.; Wu, M.H. Anomaly of right coronary artery with intra-atrial course. Eur. J. Cardiothorac. Surg. 2011, 40, e67. [Google Scholar] [CrossRef] [PubMed]
- Zalamea, R.M.; Entrikin, D.W.; Wannenburg, T.; Carr, J.J. Anomalous intracavitary right coronary artery shown by cardiac CT: A potential hazard to be aware of before various interventions. J. Cardiovasc. Comput. Tomogr. 2009, 3, 57–61. [Google Scholar] [CrossRef] [PubMed]
- Sanders, L.H.; Soliman, H.M.; van Straten, B.H. Management of right ventricular injury after localization of the left anterior descending coronary artery. Ann. Thorac. Surg. 2009, 88, 665–667. [Google Scholar] [CrossRef] [PubMed]
Disclaimer/Publisher’s Note: The statements, opinions and data contained in all publications are solely those of the individual author(s) and contributor(s) and not of MDPI and/or the editor(s). MDPI and/or the editor(s) disclaim responsibility for any injury to people or property resulting from any ideas, methods, instructions or products referred to in the content. |
© 2024 by the authors. Licensee MDPI, Basel, Switzerland. This article is an open access article distributed under the terms and conditions of the Creative Commons Attribution (CC BY) license (https://creativecommons.org/licenses/by/4.0/).
Share and Cite
Gać, P.; Siudek, B.; Głuszczyk, A.; Plizga, J.; Grajnert, F.; Poręba, R. Computed Tomography Angiography as a Method for Diagnosing Intracavitary Coronary Arteries. Diagnostics 2024, 14, 1798. https://doi.org/10.3390/diagnostics14161798
Gać P, Siudek B, Głuszczyk A, Plizga J, Grajnert F, Poręba R. Computed Tomography Angiography as a Method for Diagnosing Intracavitary Coronary Arteries. Diagnostics. 2024; 14(16):1798. https://doi.org/10.3390/diagnostics14161798
Chicago/Turabian StyleGać, Paweł, Bartosz Siudek, Agnieszka Głuszczyk, Jakub Plizga, Filip Grajnert, and Rafał Poręba. 2024. "Computed Tomography Angiography as a Method for Diagnosing Intracavitary Coronary Arteries" Diagnostics 14, no. 16: 1798. https://doi.org/10.3390/diagnostics14161798
APA StyleGać, P., Siudek, B., Głuszczyk, A., Plizga, J., Grajnert, F., & Poręba, R. (2024). Computed Tomography Angiography as a Method for Diagnosing Intracavitary Coronary Arteries. Diagnostics, 14(16), 1798. https://doi.org/10.3390/diagnostics14161798

