Advancements in Interventional Pulmonology: Harnessing Ultrasound Techniques for Precision Diagnosis and Treatment
Abstract
1. Introduction
2. Relevant Sections
2.1. Ultrasound Physics
2.2. Neck Ultrasound
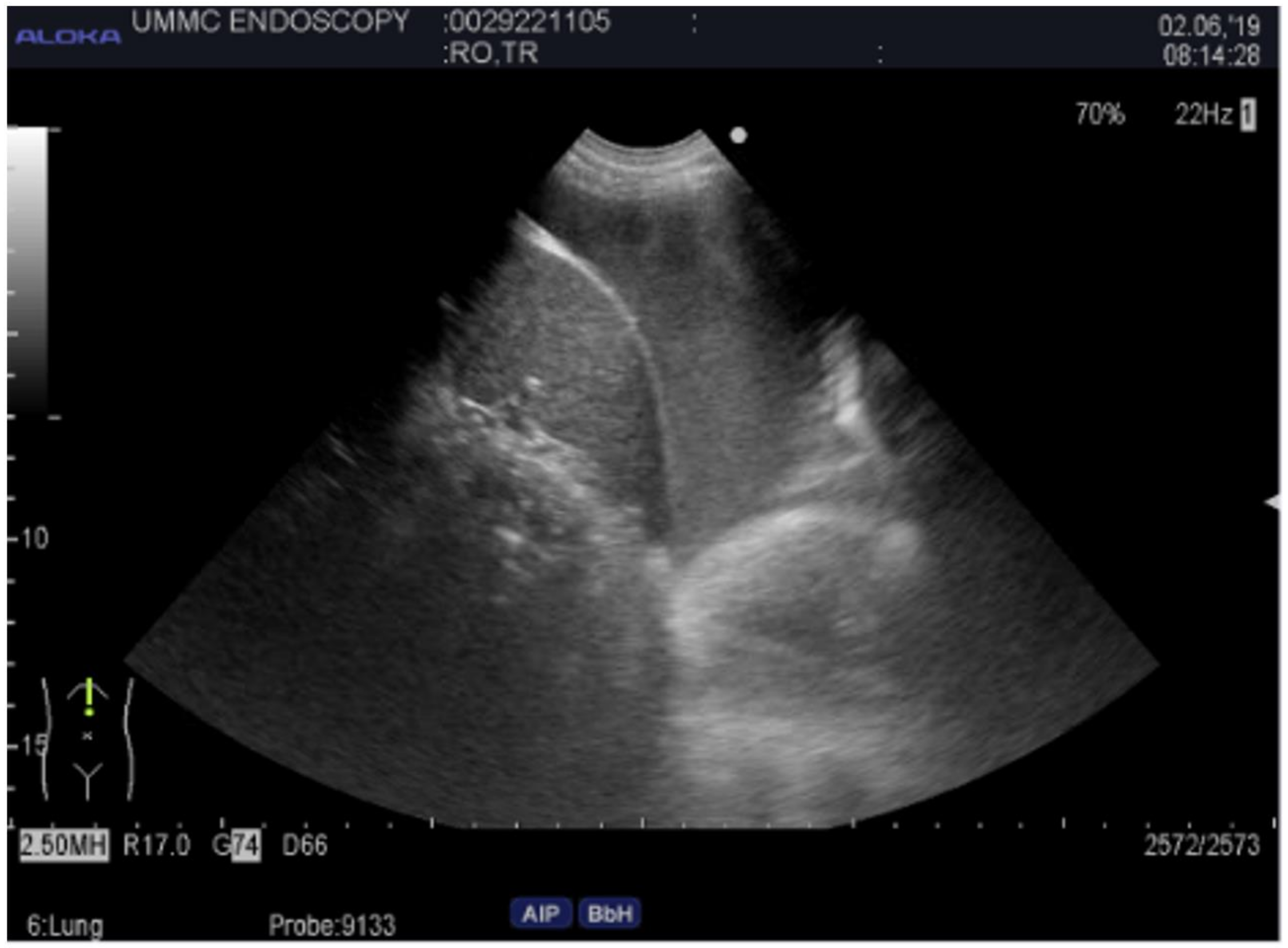
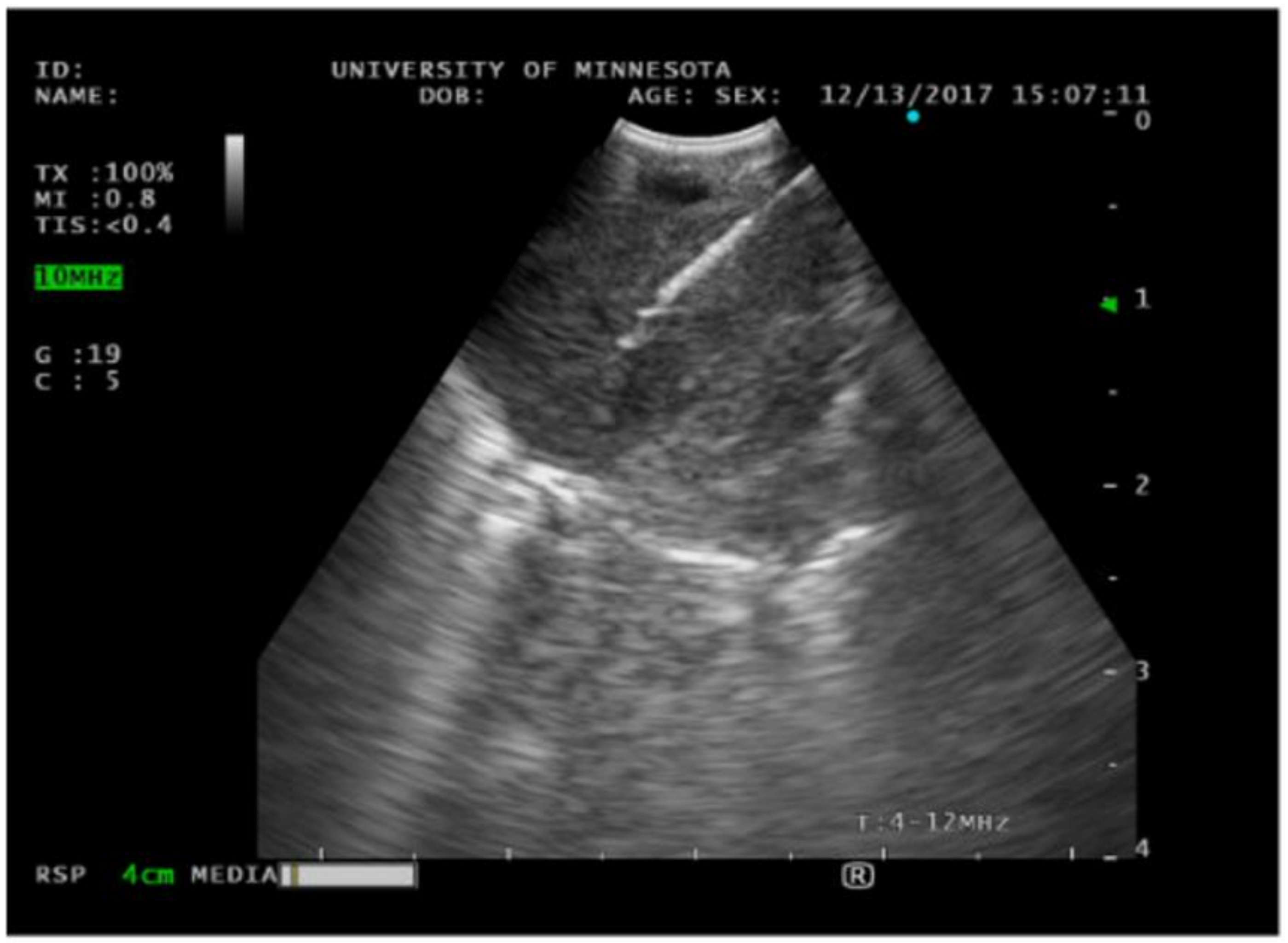
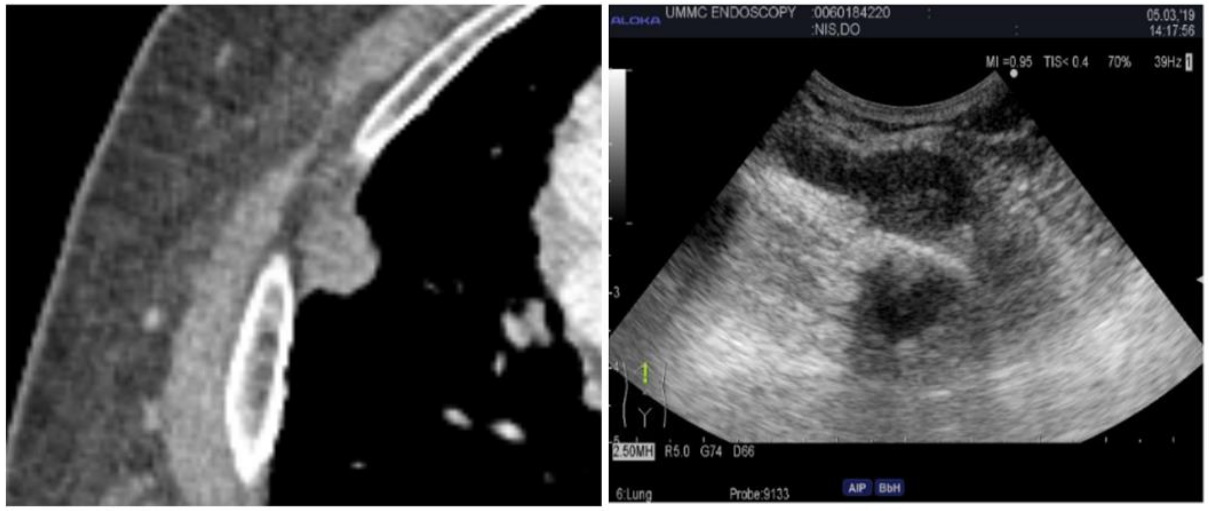
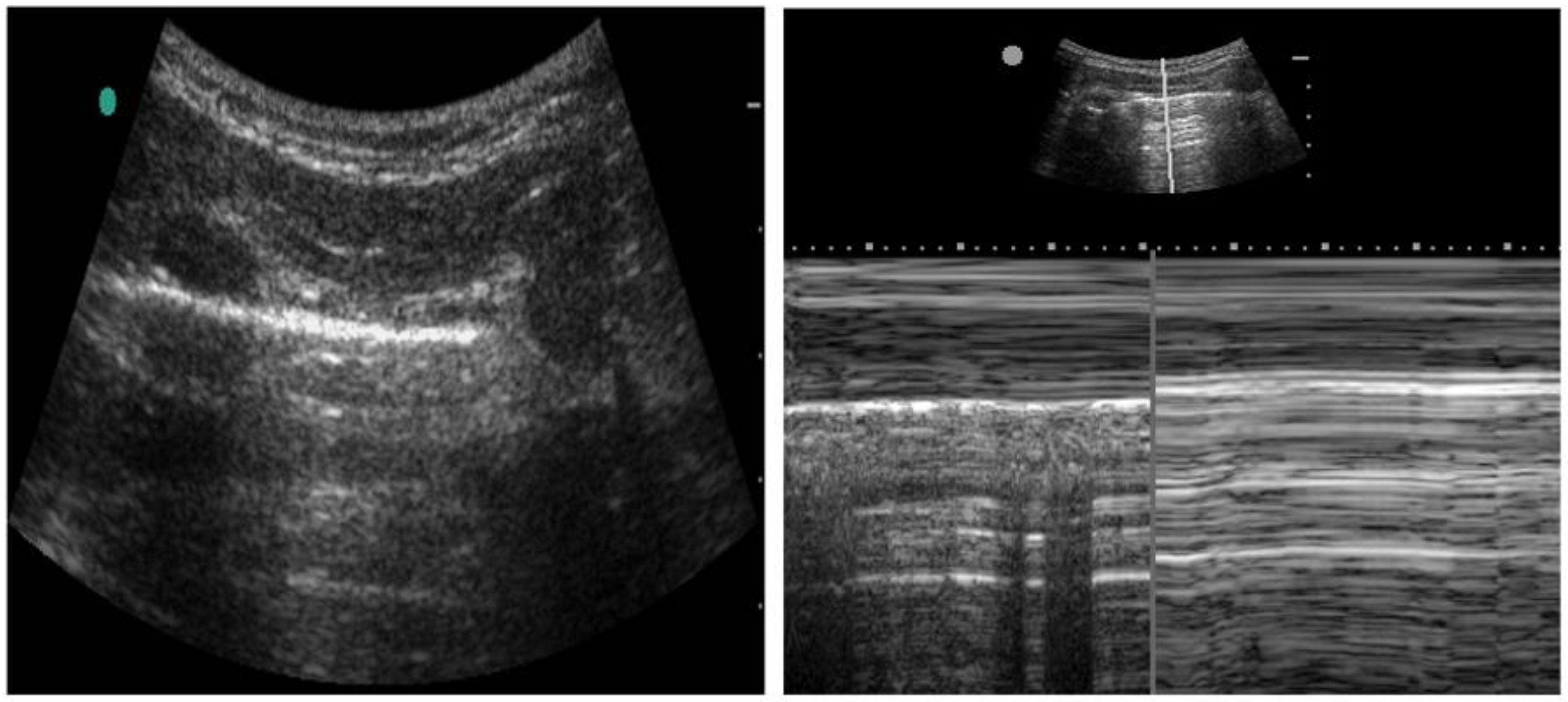
2.3. Thoracic Ultrasound
2.4. Endobronchial Ultrasound
2.5. Peripheral Ultrasound
3. Future Directions
4. Conclusions
Author Contributions
Funding
Conflicts of Interest
References
- Lichtenstein, D.A. Lung ultrasound in the critically ill. Ann. Intensive Care 2014, 4, 1–13. [Google Scholar] [CrossRef] [PubMed]
- Herth, F.J.F.; Ernst, A. (Eds.) EBUS Bronchoscopy; Springer: Berlin/Heidelberg, Germany, 2009. [Google Scholar]
- Llamas-Álvarez, A.M.; Tenza-Lozano, E.M.; Latour-Pérez, J. Diagnosing pneumothorax by lung ultrasound: Implementation of simple criteria in medical residents. Respir. Med. 2013, 107, 761–766. [Google Scholar]
- Rajajee, V.; Fletcher, J.J.; Rochlen, L.R.; Jacobs, T. Real-time ultrasound-guided percutaneous dilatational tracheostomy: A feasibility study. Critical Care 2011, 15, 1–9. [Google Scholar] [CrossRef] [PubMed]
- Kim, Y.H. Artificial intelligence in medical ultrasound imaging: Driving on an inpaved road. Ultrasonography 2021, 40, 313–317. [Google Scholar] [CrossRef]
- Zhou, Y.; Guo, L.; Bo, X.; Sun, L.; Zhang, Y.; Chai, H.; Ye, R.; Peng, C.; Qin, C.; Xu, H. Tele-mentored handheld ultrasound system for general practitioners: A prospective, descriptive study in remote and rural communities. Diagnostics 2023, 13, 2932. [Google Scholar] [CrossRef]
- Xirouchaki, N.; Magkanas, E.; Vaporidi, K.; Kondili, E.; Plataki, M.; Patrianakos, A.; Akoumianaki, E.; Georgopoulos, D. Lung ultrasound in critically ill patients: Comparison with bedside chest radiography. Intensive Care Med. 2011, 37, 1488–1493. [Google Scholar] [CrossRef] [PubMed]
- Claudon, M.; Dietrich, C.F.; Choi, B.I.; Cosgrove, D.O.; Kudo, M.; Nolsøe, C.P.; Piscaglia, F.; Wilson, S.R.; Barr, R.G.; Chammas, M.C.; et al. Guidelines and good clinical practice recommendations for contrast-enhanced ultrasound (CEUS) in the liver-update 2012: A WFUMB-EFSUMB initiative in cooperation with representatives of AFSUMB, AIUM, ASUM, FLAUS and ICUS. Ultrasound Med. Biol. 2013, 39, 187–210. [Google Scholar] [CrossRef] [PubMed]
- Moore, C.L.; Copel, J.A. Point-of-care ultrasonography. N. Engl. J. Med. 2011, 364, 749–757. [Google Scholar] [CrossRef]
- Bushberg, J.T.; Seibert, J.A.; Leidholdt, E.M., Jr.; Boone, J.M. The Essential Physics of Medical Imaging; Lippincott Williams & Wilkins: Davis, CA, USA, 2011. [Google Scholar]
- Hagen-Ansert, S.L. Textbook of Diagnostic Sonography: 2-Volume Set; Elsevier Health Sciences: Amsterdam, The Netherlands, 2013. [Google Scholar]
- Shung, K.K. Piezoelectric Materials and Devices for High Frequency Ultrasound Imaging Applications. J. Electroceramics 2015, 34, 1–14. [Google Scholar]
- Maev, R.; Maeva, E. Acoustic Microscopy: Fundamentals and Applications; John Wiley & Sons: Hoboken, NJ, USA, 2015. [Google Scholar]
- Hoskins, P.R. Ultrasound Physics; Elsevier Health Sciences: Amsterdam, The Netherlands, 2010. [Google Scholar]
- Rumack, C.M.; Wilson, S.R.; Charboneau, J.W. Diagnostic Ultrasound; Elsevier Health Sciences: Amsterdam, The Netherlands, 2011. [Google Scholar]
- Bowe, E.A.; Schell, R.M.; DiLorenzo, A.N. (Eds.) Education in Anesthesia: How to Deliver the Best Learning Experience; Cambridge University Press: Cambridge, UK, 2018. [Google Scholar]
- Wells, P.N.T. Biomedical Ultrasonics; Academic Press: Cambridge, MA, USA, 2006. [Google Scholar]
- Ihnatsenka, B.; Boezaart, A.P. Ultrasound: Basic understanding and learning the language. Int. J. Shoulder Surg. 2010, 4, 55–62. [Google Scholar] [PubMed]
- Soni, N.J.; Dreyfuss, Z.S.; Ali, S.; Enenmoh, A.; Proud, K.C.; Mader, M.J.; Velez, M.I.; Smith, S.B.; Peters, J.I.; Restrepo, M.I. Pleural Fluid Echogenicity Measured by Ultrasound Image Pixel Density to Differentiate Transudative versus Exudative Pleural Effusions. Ann. Am. Thorac. Soc. 2022, 19, 857–860. [Google Scholar] [CrossRef] [PubMed]
- Salamonsen, M.; Ellis, S.; Paul, E.; Steinke, K.; Fielding, D. Thoracic Ultrasound Demonstrates Variable Location of the Intercostal Artery. Respiration 2012, 83, 323–329. [Google Scholar] [CrossRef] [PubMed]
- Sharma, A.; Subramani, S. Point-of-Care Ultrasound of the Lungs. A Practical Guide to Point of Care Ultrasound (POCUS); Springer: Singapore, 2022. [Google Scholar]
- Zhang, H.; Guang, Y.; He, W.; Cheng, L.; Yu, T.; Tang, Y.; Song, H.; Liu, X.; Zhang, Y. Ultrasound-guided percutaneous needle biopsy skill for peripheral lung lesions and complications prevention. J. Thorac. Dis. 2020, 12, 3697–3705. [Google Scholar] [CrossRef] [PubMed]
- Moon, W.J. Thyroid ultrasound. Korean J. Radiol. 2017, 18, 541–559. [Google Scholar]
- Ahuja, A.T.; Ying, M.; Yuen, H.Y.; Metreweli, C. Power Doppler sonography of neck lymphadenopathy. Clin. Radiol. 2001, 56, 879–884. [Google Scholar] [CrossRef] [PubMed]
- Grant, E.G.; Benson, C.B.; Moneta, G.L.; Alexandrov, A.V.; Baker, J.D.; Bluth, E.I.; Carroll, B.A.; Eliasziw, M.; Gocke, J.; Hertzberg, B.S.; et al. Carotid artery stenosis: Grayscale and Doppler ultrasound diagnosis--Society of Radiologists in Ultrasound consensus conference. Ultrasound Q. 2003, 19, 190–198. [Google Scholar] [CrossRef] [PubMed]
- Werner, L.; Keller, F.A.; Bhure, U.; Roos, J.E.; Tornquist, K.; Pèrez-Lago, M.d.S.; Gautschi, O.; Strobel, K. The value of ultrasound-guided biopsy of fluorodeoxy-glucose positron emission tomography (FDG-PET)-positive supraclavicular lymph nodes in patients with suspected lung cancer. BMC Med. Imaging 2017, 17, 41. [Google Scholar] [CrossRef] [PubMed][Green Version]
- Scano, V.; Fois, A.G.; Manca, A.; Balata, F.; Zinellu, A.; Chessa, C.; Pirina, P.; Paliogiannis, P. Role of EBUS-TBNA in Non-Neoplastic Mediastinal Lymphadenopathy: Review of Literature. Diagnostics 2022, 12, 512. [Google Scholar] [CrossRef] [PubMed]
- He, R.X.; Hylton, D.A.; Bédard, E.L.; Johnson, S.; Laing, B.; Valji, A.; Hanna, W.C.; Turner, S.R. Clinical Validation of the Canada Lymph Node Score for Endobronchial Ultrasound. Ann. Thorac. Surg. 2023, 115, 1456–1462. [Google Scholar] [CrossRef] [PubMed]
- Silvestri, G.A.; Gonzalez, A.V.; Jantz, M.A.; Margolis, M.L.; Gould, M.K.; Tanoue, L.T.; Harris, L.J.; Detterbeck, F.C. Methods for staging non-small cell lung cancer: Diagnosis and management of lung cancer: American College of Chest Physicians evidence-based clinical practice guidelines. Chest 2013, 143, e211S–e250S. [Google Scholar] [CrossRef] [PubMed]
- Ng, J.; Chan, H.P.; Kee, A.; Khoo, K.L.; See, K.C. Transitioning to Combined EBUS EUS-B FNA for Experienced EBUS Bronchoscopist. Diagnostics 2021, 11, 1021. [Google Scholar] [CrossRef] [PubMed]
- Herth, F.J.; Annema, J.T.; Eberhardt, R.; Yasufuku, K.; Ernst, A.; Krasnik, M.; Rintoul, R.C. Endobronchial ultrasound with transbronchial needle aspiration for restaging the mediastinum in lung cancer. J. Clin. Oncol. 2008, 26, 3346–3350. [Google Scholar] [CrossRef] [PubMed]
- Anar, C.; Erer, O.; Erol, S.; Aydoğdu, Z.; Özkan, S. Diagnostic yield of EBUS-TBNA for lymphoma and review of the literature. Endosc. Ultrasound 2017, 6, 317–322. [Google Scholar] [CrossRef] [PubMed]
- Talebian-Yazdi, M.; von Bartheld, B.; Waaijenborg, F.; Nabes, H.; Venmans, B.; Veselic-Charvat, M.; Jansen, P.; Marijt, E.; Annema, J.T. Endosonography for the diagnosis of malignant lymphoma presenting with mediastinal lymphadenopathy. J. Bronchol. Interv. Pulmonol. 2014, 21, 298–305. [Google Scholar] [CrossRef] [PubMed]
- Tremblay, A.; Stather, D.R.; MacEachern, P.; Khalil, M.; Field, S.K. A randomized controlled trial of standard vs endobronchial ultrasonography-guided transbronchial needle aspiration in patients with suspected sarcoidosis. Chest 2009, 136, 340–346. [Google Scholar] [CrossRef] [PubMed]
- Avasarala, S.K.; Aravena, C.; Almeida, F.A. Convex probe endobronchial ultrasound: Historical, contemporary, and cutting-edge applications. J. Thorac. Dis. 2020, 12, 1085–1099. [Google Scholar] [CrossRef] [PubMed]
- Jacomelli, M.; Demarzo, S.E.; Cardoso, P.F.; Palomino, A.L.; Figueiredo, V.R. Radial-probe EBUS for the diagnosis of peripheral pulmonary lesions. J. Bras. Pneumol. 2016, 42, 248–253. [Google Scholar] [CrossRef]
- Chen, A.; Chenna, P.; Loiselle, A.; Massoni, J.; Mayse, M.; Misselhorn, D. Radial probe endobronchial ultrasound for peripheral pulmonary lesions. A 5-year institutional experience. Ann. Am. Thorac. Soc. 2014, 11, 578–582. [Google Scholar] [CrossRef] [PubMed]
- Yang, J.; De Cardenas, J.; Nobari, M.; Miller, R.; Cheng, G. Narrative review of tools for endoscopic ultrasound-guided biopsy of mediastinal nodes. Mediastinum 2020, 4, 34. [Google Scholar] [CrossRef] [PubMed]
- Ravikumar, N.; Ho, E.; Wagh, A.; Murgu, S. The role of bronchoscopy in the multidisciplinary approach to benign tracheal stenosis. J. Thorac. Dis. 2023, 15, 3998–4015. [Google Scholar] [CrossRef]
- Haidar, Y.M.; Truwit, J.D.; Morris, P.E. Ultrasound-Guided Percutaneous Dilational Tracheostomy. Chest 2016, 150, 244–251. [Google Scholar]
- Drukker, L.; Noble, J.A.; Papageorghiou, A.T. Introduction to artificial intelligence in ultrasound imaging in obstetrics and gynecology. Ultrasound Obstet. Gyneco 2020, 56, 498–505. [Google Scholar] [CrossRef] [PubMed]
- Cosgrove, D.; Lassau, N.; Chaussy, C. Microbubble-enabled ultrasound therapy: A review of the principles, methods and applications. Ultraschall Med. 2011, 32, 7–18. [Google Scholar]
- Nixon, G.; Blattner, K.; Koroheke-Rogers, M.; Muirhead, J.; Finnie, W.L.; Lawrenson, R.; Kerse, N. Point-of-care ultrasound in rural New Zealand: Safety, quality and impact on patient management. Aust. J. Rural. Health 2018, 26, 342–349. [Google Scholar] [CrossRef] [PubMed]
- Frank, S.J.; Walter, W.R.; Latson, L.; Cohen, H.W.; Koenigsber, M. New dimensions in renal transplant sonography: Applications of 3D dimensional ultrasound. Transplantation 2018, 101, 1344–1352. [Google Scholar] [CrossRef] [PubMed]
- Sidhu, P.S.; Cantisani, V.; Dietrich, C.F.; Gilja, O.H.; Saftoiu, A.; Bartels, E.; Bertolotto, M.; Calliada, F.; Clevert, D.-A.; Cosgrove, D.; et al. The EFSUMB guidelines and recommendations for the clinical practice of contrast-enhanced ultrasound (CEUS) in non-hepatic applications. Ultraschall Med. 2018, 39, e2–e44. [Google Scholar] [PubMed]
- Tsung, J.W.; Blaivas, M. Emergency department diagnosis of pediatric hip effusion and guided arthrocentesis using point-of-care ultrasound. J. Emerg. Med. 2008, 35, 393–399. [Google Scholar] [CrossRef] [PubMed]
- Nightingale, K. Acoustic radiation force impulse (ARFI) imaging: A review. Curr. Med. Imaging Rev. 2011, 7, 328–339. [Google Scholar] [CrossRef] [PubMed]
- Lassandro, G.; Picchi, S.G.; Corvino, A.; Gurgitano, M.; Carrafiello, G.; Lassandro, F. Ablation of pulmonary neoplasms: Review of literature and future perspectives. Pol. J. Radiol. 2023, 88, e216–e224. [Google Scholar] [CrossRef] [PubMed]
- Morasso, C.; Faes, T.J.; Oei, G.; Haarman, A. Digital Beamforming for Ultrasound Imaging: A Review. IEEE Trans. Ultrason. Ferroelectr. Freq. Control 2018, 65, 1537–1552. [Google Scholar]
- Tortoli, P. Advances in Ultrasound Imaging. IEEE Trans. Ultrason. Ferroelectr. Freq. Control 2018, 65, 153–172. [Google Scholar]
- Siddiqui, S.; Siddiqui, K.H. Digital Ultrasound Transducers: An Overview. J. Med. Ultrasound 2021, 29, 67–72. [Google Scholar]







Disclaimer/Publisher’s Note: The statements, opinions and data contained in all publications are solely those of the individual author(s) and contributor(s) and not of MDPI and/or the editor(s). MDPI and/or the editor(s) disclaim responsibility for any injury to people or property resulting from any ideas, methods, instructions or products referred to in the content. |
© 2024 by the authors. Licensee MDPI, Basel, Switzerland. This article is an open access article distributed under the terms and conditions of the Creative Commons Attribution (CC BY) license (https://creativecommons.org/licenses/by/4.0/).
Share and Cite
Nathani, A.; Keshishyan, S.; Cho, R.J. Advancements in Interventional Pulmonology: Harnessing Ultrasound Techniques for Precision Diagnosis and Treatment. Diagnostics 2024, 14, 1604. https://doi.org/10.3390/diagnostics14151604
Nathani A, Keshishyan S, Cho RJ. Advancements in Interventional Pulmonology: Harnessing Ultrasound Techniques for Precision Diagnosis and Treatment. Diagnostics. 2024; 14(15):1604. https://doi.org/10.3390/diagnostics14151604
Chicago/Turabian StyleNathani, Alireza, Sevak Keshishyan, and Roy Joseph Cho. 2024. "Advancements in Interventional Pulmonology: Harnessing Ultrasound Techniques for Precision Diagnosis and Treatment" Diagnostics 14, no. 15: 1604. https://doi.org/10.3390/diagnostics14151604
APA StyleNathani, A., Keshishyan, S., & Cho, R. J. (2024). Advancements in Interventional Pulmonology: Harnessing Ultrasound Techniques for Precision Diagnosis and Treatment. Diagnostics, 14(15), 1604. https://doi.org/10.3390/diagnostics14151604

