The Usefulness of Magnetic Resonance Imaging in the Management of Acute Phlegmonous Esophagitis
Abstract




Author Contributions
Funding
Institutional Review Board Statement
Informed Consent Statement
Data Availability Statement
Conflicts of Interest
References
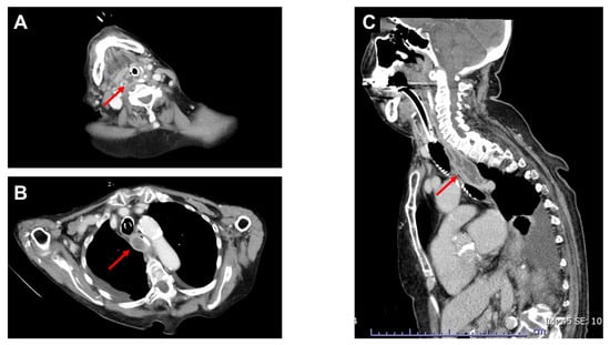
- Yun, S.M.; Jeong, Y.J.; Hwang, M.; Lee, G.; Lee, J.W.; Kim, G.H.; Yeom, J.A. Usefulness of contrast-enhanced CT in a patient with acute phlegmonous esophagitis: A case report and literature review. Medicina 2022, 58, 864. [Google Scholar] [CrossRef] [PubMed]
- Huang, Y.C.; Cheng, C.Y.; Liao, C.Y.; Hsueh, C.; Tyan, Y.S.; Ho, S.Y. A rare case of acute phlegmonous esophagogastritis complicated with hypopharyngeal abscess and esophageal perforation. Am. J. Case Rep. 2017, 18, 125–130. [Google Scholar] [CrossRef] [PubMed]
- Ko, R.; Baby, J.; Valsalan, K.P. Acute phlegmonous esophagogastritis causing respiratory distress. ACG Case Rep. J. 2019, 6, e00042. [Google Scholar] [CrossRef] [PubMed]
- Heikkinen, J.; Nurminen, J.; Velhonoja, J.; Irjala, H.; Happonen, T.; Soukka, T.; Mattila, K.; Hirvonen, J. Clinical and prognostic significance of emergency MRI findings in neck infections. Eur. Radiol. 2022, 32, 1078–1086. [Google Scholar] [CrossRef] [PubMed]
- Nurminen, J.; Velhonoja, J.; Heikkinen, J.; Happonen, T.; Nyman, M.; Irjala, H.; Soukka, T.; Mattila, K.; Hirvonen, J. Emergency neck MRI: Feasibility and diagnostic accuracy in cases of neck infection. Acta Radiol. 2021, 62, 735–742. [Google Scholar] [CrossRef] [PubMed]
- Hirvonen, J.; Heikkinen, J.; Nyman, M.; Happonen, T.; Velhonoja, J.; Irjala, H.; Soukka, T.; Mattila, K.; Nurminen, J. MRI of acute neck infections: Evidence summary and pictorial review. Insights Imaging 2023, 14, 5. [Google Scholar] [CrossRef] [PubMed]
- Sepahdari, A.R.; Aakalu, V.K.; Kapur, R.; Michals, E.A.; Saran, N.; French, A.; Mafee, M.F. MRI of orbital cellulitis and orbital abscess: The role of diffusion-weighted imaging. AJR Am. J. Roentgenol. 2009, 193, W244–W250. [Google Scholar] [CrossRef] [PubMed]
- Spinnato, P.; Patel, D.B.; Di Carlo, M.; Bartoloni, A.; Cevolani, L.; Matcuk, G.R.; Crombé, A. Imaging of musculoskeletal soft-tissue infections in clinical practice: A comprehensive updated review. Microorganisms 2022, 10, 2329. [Google Scholar] [CrossRef] [PubMed]
- Tonouchi, A.; Kuwabara, S.; Furukawa, K.; Matsuzawa, N.; Kobayashi, K. Phlegmonous esophagitis treated by endoscopic drainage. Esophagus 2017, 14, 183–187. [Google Scholar] [CrossRef]
Disclaimer/Publisher’s Note: The statements, opinions and data contained in all publications are solely those of the individual author(s) and contributor(s) and not of MDPI and/or the editor(s). MDPI and/or the editor(s) disclaim responsibility for any injury to people or property resulting from any ideas, methods, instructions or products referred to in the content. |
© 2023 by the authors. Licensee MDPI, Basel, Switzerland. This article is an open access article distributed under the terms and conditions of the Creative Commons Attribution (CC BY) license (https://creativecommons.org/licenses/by/4.0/).
Share and Cite
Shimizu, M.; Adachi, H.; Sai, K. The Usefulness of Magnetic Resonance Imaging in the Management of Acute Phlegmonous Esophagitis. Diagnostics 2023, 13, 2600. https://doi.org/10.3390/diagnostics13152600
Shimizu M, Adachi H, Sai K. The Usefulness of Magnetic Resonance Imaging in the Management of Acute Phlegmonous Esophagitis. Diagnostics. 2023; 13(15):2600. https://doi.org/10.3390/diagnostics13152600
Chicago/Turabian StyleShimizu, Motohiro, Hiroshi Adachi, and Kenichi Sai. 2023. "The Usefulness of Magnetic Resonance Imaging in the Management of Acute Phlegmonous Esophagitis" Diagnostics 13, no. 15: 2600. https://doi.org/10.3390/diagnostics13152600
APA StyleShimizu, M., Adachi, H., & Sai, K. (2023). The Usefulness of Magnetic Resonance Imaging in the Management of Acute Phlegmonous Esophagitis. Diagnostics, 13(15), 2600. https://doi.org/10.3390/diagnostics13152600

