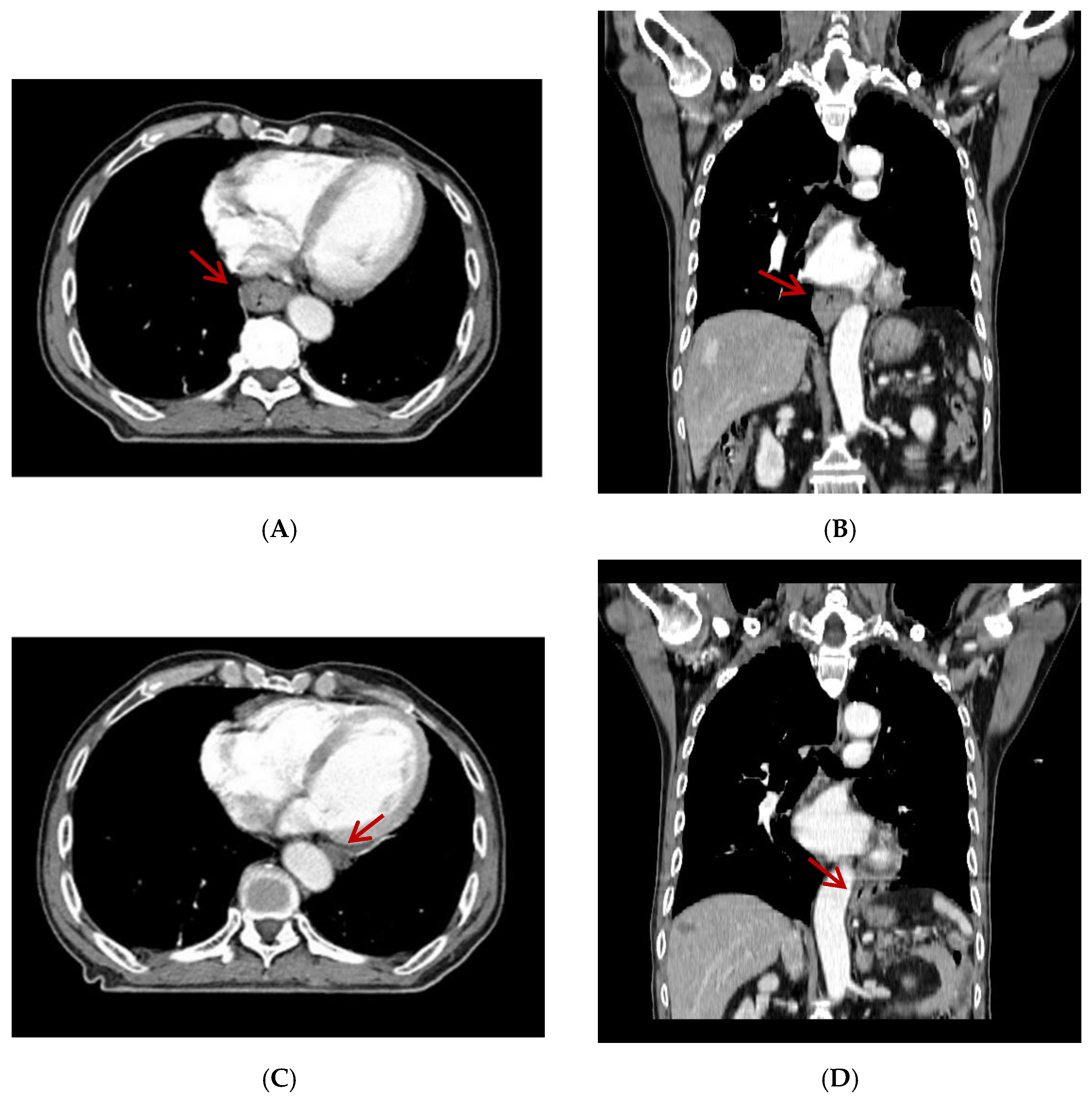
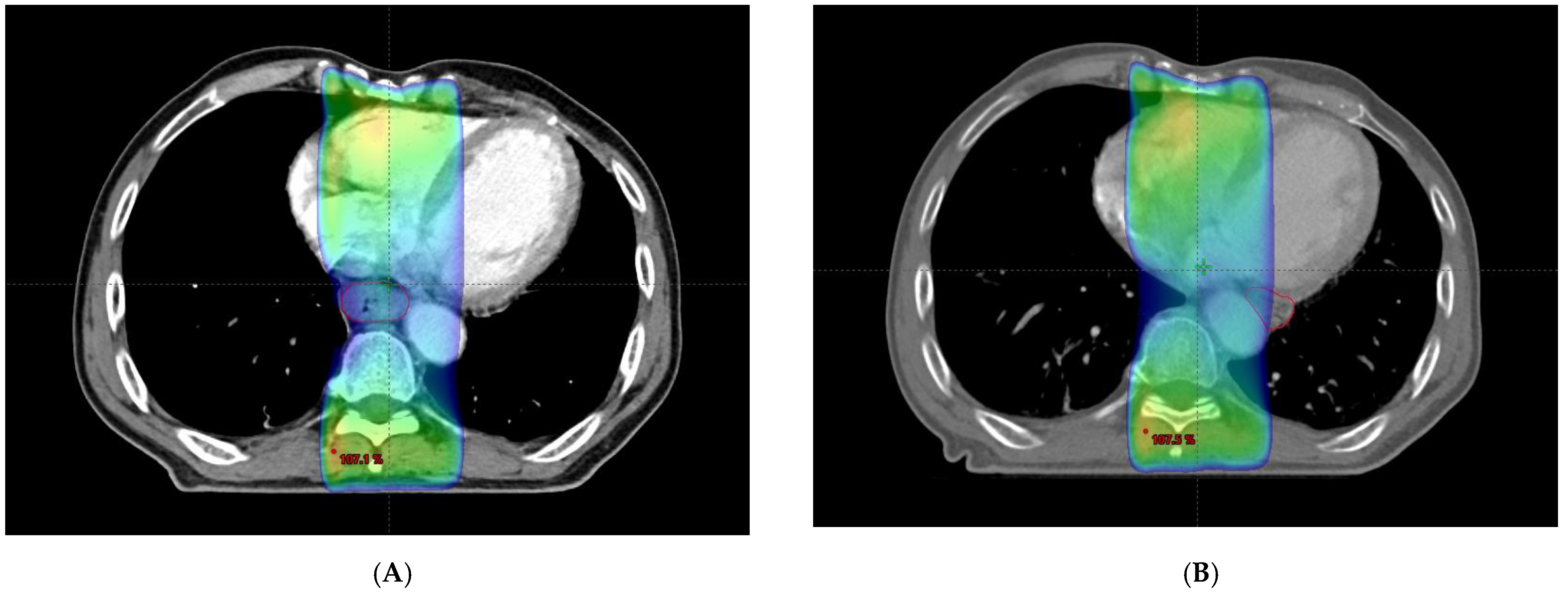
Unexpected Movement of the Esophagus across the Aorta
Abstract
:Author Contributions
Funding
Institutional Review Board Statement
Informed Consent Statement
Data Availability Statement
Conflicts of Interest
References
- Yamashita, H.; Takenaka, R.; Sakumi, A.; Haga, A.; Otomo, K.; Nakagawa, K. Analysis of motion of the rectum during preoperative intensity modulated radiation therapy for rectal cancer using cone-beam computed tomography. Radiat. Oncol. 2015, 10, 2. [Google Scholar] [CrossRef] [PubMed] [Green Version]
- Herrera, F.G.; Callaway, S.; Delikgoz-Soykut, E.; Coskun, M.; Porta, L.; Meuwly, J.Y.; Soares-Rodrigues, J.; Heym, L.; Moeckli, R.; Ozsahin, M. Retrospective feasibility study of simultaneous integrated boost in cervical cancer using Tomotherapy: The impact of organ motion and tumor regression. Radiat. Oncol. 2013, 8, 5. [Google Scholar] [CrossRef] [PubMed] [Green Version]
- Lim, G.; Bezjak, A.; Higgins, J.; Moseley, D.; Hope, A.J.; Sun, A.; Cho, J.B.; Brade, A.M.; Ma, C.; Bissonnette, J.P. Tumor regression and positional changes in non-small cell lung cancer during radical radiotherapy. J. Thorac. Oncol. 2011, 6, 531–536. [Google Scholar] [CrossRef] [PubMed] [Green Version]
- Gao, X.; Tsai, P.-C.; Chuang, K.-H.; Pai, C.-P.; Hsu, P.-K.; Li, S.-H.; Lu, H.-I.; van Lanschot, J.J.-B.; Chao, Y.-K. Neoadjuvant Carboplatin/Paclitaxel versus 5-Fluorouracil/Cisplatin in Combination with Radiotherapy for Locally Advanced Esophageal Squamous Cell Carcinoma: A Multicenter Comparative Study. Cancers 2022, 14, 2610. [Google Scholar] [CrossRef] [PubMed]
- Beadle, B.M.; Jhingran, A.; Salehpour, M.; Sam, M.; Iyer, R.B.; Eifel, P.J. Cervix regression and motion during the course of external beam chemoradiation for cervical cancer. Int. J. Radiat. Oncol. Biol. Phys. 2009, 73, 235–241. [Google Scholar] [CrossRef] [PubMed]



Publisher’s Note: MDPI stays neutral with regard to jurisdictional claims in published maps and institutional affiliations. |
© 2022 by the authors. Licensee MDPI, Basel, Switzerland. This article is an open access article distributed under the terms and conditions of the Creative Commons Attribution (CC BY) license (https://creativecommons.org/licenses/by/4.0/).
Share and Cite
Choi, H.H.; Sung, S.-Y.; Ko, Y.H. Unexpected Movement of the Esophagus across the Aorta. Diagnostics 2022, 12, 1758. https://doi.org/10.3390/diagnostics12071758
Choi HH, Sung S-Y, Ko YH. Unexpected Movement of the Esophagus across the Aorta. Diagnostics. 2022; 12(7):1758. https://doi.org/10.3390/diagnostics12071758
Chicago/Turabian StyleChoi, Hyun Ho, Soo-Yoon Sung, and Yoon Ho Ko. 2022. "Unexpected Movement of the Esophagus across the Aorta" Diagnostics 12, no. 7: 1758. https://doi.org/10.3390/diagnostics12071758
APA StyleChoi, H. H., Sung, S.-Y., & Ko, Y. H. (2022). Unexpected Movement of the Esophagus across the Aorta. Diagnostics, 12(7), 1758. https://doi.org/10.3390/diagnostics12071758

