Zika Virus Envelope Protein Domain III Produced in K. phaffii Has the Potential for Diagnostic Applications
Abstract
1. Introduction
2. Materials and Methods
2.1. ZIKV-EDIII Gene and Constructing pPICZαA-ZIKV-EDIII
2.2. Generation of Recombinant K. phaffii
2.3. Expression of ZIKV-EDIII
2.4. Purification of ZIKV-EDIII
2.5. Serum Samples
2.6. Protein Analyzes
2.7. ELISA
2.8. Statistical Analysis
3. Results
3.1. Generation of pPICZαA-ZIKV-EDIII Vector and K. phaffii Transformation
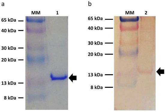
3.2. Expression, Purification, and Characterization of ZIKV-EDIII
3.3. IgM and IgG ELISA
4. Discussion
5. Conclusions
Supplementary Materials
Author Contributions
Funding
Informed Consent Statement
Data Availability Statement
Acknowledgments
Conflicts of Interest
References
- International Committee on Taxonomy of Viruses (ICTV). Virus Taxonomy. Available online: https://talk.ictvonline.org/taxonomy/p/taxonomy-history?taxnode_id=201903123 (accessed on 25 October 2020).
- Dick, G.W.A.; Kitchen, S.F.; Haddow, A.J. Zika Virus (I). Isolations and serological specificity. Trans. R. Soc. Trop. Med. Hyg. 1952, 46, 509–520. [Google Scholar] [CrossRef]
- Marcondes, C.B.; Ximenes, M.D.F.F.D.M. Zika virus in Brazil and the danger of infestation by Aedes (Stegomyia) mosquitoes. Rev. Soc. Bras. Med. Trop. 2016, 49, 4–10. [Google Scholar] [CrossRef] [PubMed]
- Foy, B.D.; Kobylinski, K.; Foy, J.L.C.; Blitvich, B.J.; Da Rosa, A.T.; Haddow, A.; Lanciotti, R.S.; Tesh, R.B. Probable Non–Vector-borne Transmission of Zika Virus, Colorado, USA. Emerg. Infect. Dis. 2011, 17, 880–882. [Google Scholar] [CrossRef] [PubMed]
- De Carvalho, N.S.; De Carvalho, B.F.; Fugaça, C.A.; Dóris, B.; Biscaia, E.S. Zika virus infection during pregnancy and microcephaly occurrence: A review of literature and Brazilian data. Braz. J. Infect. Dis. 2016, 20, 282–289. [Google Scholar] [CrossRef]
- Marano, G.; Pupella, S.; Vaglio, S.; Liumbruno, G.M.; Grazzini, G. Zika virus and the never-ending story of emerging pathogens and transfusion medicine. Blood Transfus 2016, 14, 95–100. [Google Scholar] [CrossRef]
- Duffy, M.R.; Chen, T.-H.; Hancock, W.T.; Powers, A.M.; Kool, J.L.; Lanciotti, R.S.; Pretrick, M.; Marfel, M.; Holzbauer, S.; DuBray, C.; et al. Zika Virus Outbreak on Yap Island, Federated States of Micronesia. N. Engl. J. Med. 2009, 360, 2536–2543. [Google Scholar] [CrossRef]
- Moore, C.A.; Staples, J.E.; Dobyns, W.B.; Pessoa, A.; Ventura, C.V.; Da Fonseca, E.B.; Ribeiro, E.M.; Ventura, L.O.; Neto, N.N.; Arena, J.F.; et al. Characterizing the Pattern of Anomalies in Congenital Zika Syndrome for Pediatric Clinicians. JAMA Pediatr. 2017, 171, 288–295. [Google Scholar] [CrossRef]
- Cao-Lormeau, V.-M.; Blake, A.; Mons, S.; Lastère, S.; Roche, C.; Vanhomwegen, J.; Dub, T.; Baudouin, L.; Teissier, A.; Larre, P.; et al. Guillain-Barré Syndrome outbreak associated with Zika virus infection in French Polynesia: A case-control study. Lancet 2016, 387, 1531–1539. [Google Scholar] [CrossRef]
- Gulland, A. Zika virus is a global public health emergency, declares WHO. BMJ 2016, 352, i657. [Google Scholar] [CrossRef]
- Pattnaik, A.; Sahoo, B.R.; Pattnaik, A.K. Current Status of Zika Virus Vaccines: Successes and Challenges. Vaccines 2020, 8, 266. [Google Scholar] [CrossRef]
- Lindenbach, B.D.; Rice, C.M. Molecular biology of flaviviruses. Adv. Virus Res. 2003, 59, 23–61. [Google Scholar] [CrossRef]
- Rey, F.A.; Heinz, F.X.; Mandl, C.; Kunz, C.; Harrison, S.C. The envelope glycoprotein from tick-borne encephalitis virus at 2 Å resolution. Nature 1995, 375, 291–298. [Google Scholar] [CrossRef]
- Modis, Y.; Ogata, S.; Clements, D.; Harrison, S.C. Structure of the dengue virus envelope protein after membrane fusion. Nature 2004, 427, 313–319. [Google Scholar] [CrossRef] [PubMed]
- Zhang, X.; Jia, R.; Shen, H.; Wang, M.; Yin, Z.; Cheng, A. Structures and Functions of the Envelope Glycoprotein in Flavivirus Infections. Viruses 2017, 9, 338. [Google Scholar] [CrossRef] [PubMed]
- Denis, J.; Attoumani, S.; Gravier, P.; Tenebray, B.; Garnier, A.; Briolant, S.; De Laval, F.; Chastres, V.; Grard, G.; Leparc-Goffart, I.; et al. High specificity and sensitivity of Zika EDIII-based ELISA diagnosis highlighted by a large human reference panel. PLoS Negl. Trop. Dis. 2019, 13, e0007747. [Google Scholar] [CrossRef] [PubMed]
- Sapparapu, G.; Fernandez, E.P.-A.; Kose, N.; Cao, B.; Fox, J.; Bombardi, R.G.; Zhao, H.; Nelson, C.A.; Bryan, A.L.; Barnes, T.; et al. Neutralizing human antibodies prevent Zika virus replication and fetal disease in mice. Nature 2016, 540, 443–447. [Google Scholar] [CrossRef] [PubMed]
- Campos, J.L.S.; Poggianella, M.; Marchese, S.; Mossenta, M.; Rana, J.; Arnoldi, F.; Bestagno, M.; Burrone, O.R. DNA-immunisation with dengue virus E protein domains I/II, but not domain III, enhances Zika, West Nile and Yellow Fever virus infection. PLoS ONE 2017, 12, e0181734. [Google Scholar] [CrossRef]
- Silva, I.B.B.; Da Silva, A.S.; Cunha, M.S.; Cabral, A.D.; De Oliveira, K.C.A.; De Gaspari, E.; Prudencio, C.R. Zika virus serological diagnosis: Commercial tests and monoclonal antibodies as tools. J. Venom. Anim. Toxins Incl. Trop. Dis. 2020, 26, e20000019. [Google Scholar] [CrossRef]
- Reusken, C.; Pas, S.; Van Kessel, C.G.; Mögling, R.; Van Kampen, J.; Langerak, T.; Koopmans, M.; Van Der Eijk, A.; Van Gorp, E. Longitudinal follow-up of Zika virus RNA in semen of a traveller returning from Barbados to the Netherlands with Zika virus disease, March 2016. Eurosurveillance 2016, 21, 30251. [Google Scholar] [CrossRef]
- Koishi, A.C.; Suzukawa, A.A.; Zanluca, C.; Camacho, D.E.; Comach, G.; Dos Santos, C.N.D. Development and evaluation of a novel high-throughput image-based fluorescent neutralization test for detection of Zika virus infection. PLoS Negl. Trop. Dis. 2018, 12, e0006342. [Google Scholar] [CrossRef]
- Lanciotti, R.S.; Kosoy, O.L.; Laven, J.J.; Velez, J.O.; Lambert, A.J.; Johnson, A.J.; Stanfield, S.M.; Duffy, M.R. Genetic and Serologic Properties of Zika Virus Associated with an Epidemic, Yap State, Micronesia, 2007. Emerg. Infect. Dis. 2008, 14, 1232–1239. [Google Scholar] [CrossRef] [PubMed]
- ZIKA Virus IgM—ELISA | Dia.Pro n.d. Available online: https://www.diapro.it/products/zika-virus-igm-elisa/ (accessed on 19 April 2022).
- ZIKV DetectTM IgM 2.0 Capture ELISA Kit (USA)—InBios International, Inc.n.d. Available online: https://inbios.com/zikv-detecttm-igm-capture-elisa-kit-usa/ (accessed on 19 April 2022).
- Rodrigues, N.C.P.; Daumas, R.P.; De Almeida, A.S.; Dos Santos, R.S.; Koster, I.; Rodrigues, P.P.; Gomes, M.D.F.; Macedo, A.D.F.; Gerardi, A.; Leite, I.D.C. Risk factors for arbovirus infections in a low-income community of Rio de Janeiro, Brazil, 2015–2016. PLoS ONE 2018, 13, e0198357. [Google Scholar] [CrossRef] [PubMed]
- Rathore, A.P.S.; St John, A.L. Cross-Reactive Immunity Among Flaviviruses. Front. Immunol. 2020, 11, 334. [Google Scholar] [CrossRef] [PubMed]
- Rabe, I.B.; Staples, J.E.; Villanueva, J.; Hummel, K.B.; Johnson, J.A.; Rose, L.; Hills, S.; Wasley, A.; Fischer, M.; Powers, A.M. Interim Guidance for Interpretation of Zika Virus Antibody Test Results. MMWR. Morb. Mortal. Wkly. Rep. 2016, 65, 543–546. [Google Scholar] [CrossRef]
- Ahmad, M.; Hirz, M.; Pichler, H.; Schwab, H. Protein expression in Pichia pastoris: Recent achievements and perspectives for heterologous protein production. Appl. Microbiol. Biotechnol. 2014, 98, 5301–5317. [Google Scholar] [CrossRef]
- Karbalaei, M.; Rezaee, S.A.; Farsiani, H. Pichia pastoris: A highly successful expression system for optimal synthesis of heterologous proteins. J. Cell. Physiol. 2020, 235, 5867–5881. [Google Scholar] [CrossRef]
- Invitrogen. For Expression of Recombinant Proteins Using pPICZ and pPICZα in Pichia pastoris. EasySelectTM Pichia Expr Kit; Invitrogen: Waltham, MA, USA, 2010; pp. 37–42. [Google Scholar]
- Lõoke, M.; Kristjuhan, K.; Kristjuhan, A. Extraction of genomic DNA from yeasts for PCR-based applications. BioTechniques 2011, 50, 325–328. [Google Scholar] [CrossRef]
- Kaushik, N.; Rohila, D.; Arora, U.; Raut, R.; Lamminmäki, U.; Khanna, N.; Batra, G. Casamino acids facilitate the secretion of recombinant dengue virus serotype-3 envelope domain III in Pichia pastoris. BMC Biotechnol. 2016, 16, 12. [Google Scholar] [CrossRef]
- Schägger, H. Tricine–SDS-PAGE. Nat. Protoc. 2006, 1, 16–22. [Google Scholar] [CrossRef]
- Jorge, F.A.; Thomazella, M.V.; Moreira, D.D.C.; Lopes, L.D.G.; Teixeira, J.J.V.; Bertolini, D.A. Evolutions and upcoming on Zika virus diagnosis through an outbreak: A systematic review. Rev. Med Virol. 2020, 30, e2105. [Google Scholar] [CrossRef]
- Wang, J.-R.; Li, Y.-Y.; Liu, D.-N.; Liu, J.-S.; Li, P.; Chen, L.-Z.; Xu, S.-D. Codon Optimization Significantly Improves the Expression Level of α-Amylase Gene from Bacillus licheniformis in Pichia pastoris. BioMed Res. Int. 2015, 2015, 248680. [Google Scholar] [CrossRef] [PubMed]
- Vogl, T.; Glieder, A. Regulation of Pichia pastoris promoters and its consequences for protein production. New Biotechnol. 2012, 30, 385–404. [Google Scholar] [CrossRef] [PubMed]
- Barrigon, J.M.; Valero, F.; Montesinos, J.L. A macrokinetic model-based comparative meta-analysis of recombinant protein production by Pichia pastoris under AOX1 promoter. Biotechnol. Bioeng. 2015, 112, 1132–1145. [Google Scholar] [CrossRef] [PubMed]
- Macauley-Patrick, S.; Fazenda, M.; McNeil, B.; Harvey, L.M. Heterologous protein production using the Pichia pastoris expression system. Yeast 2005, 22, 249–270. [Google Scholar] [CrossRef] [PubMed]
- Krainer, F.W.; Dietzsch, C.; Hajek, T.; Herwig, C.; Spadiut, O.; Glieder, A. Recombinant protein expression in Pichia pastoris strains with an engineered methanol utilization pathway. Microb. Cell Factories 2012, 11, 22. [Google Scholar] [CrossRef] [PubMed]
- Singh, A.; Narang, A. The Mut+ strain of Komagataella phaffii (Pichia pastoris) expresses PAOX1 5 and 10 times faster than Muts and Mut− strains: Evidence that formaldehyde or/and formate are true inducers of PAOX1. Appl. Microbiol. Biotechnol. 2020, 104, 7801–7814. [Google Scholar] [CrossRef]
- Sunil, L.; Vasu, P. Cloning and expression of in silico modeled protein enriched with branched chain amino acids in Pichia pastoris. Int. J. Biol. Macromol. 2019, 146, 739–745. [Google Scholar] [CrossRef]
- Allonso, D.; Pereira, I.B.; Alves, A.M.; Kurtenbach, E.; Mohana-Borges, R. Expression of soluble, glycosylated and correctly folded dengue virus NS1 protein in Pichia pastoris. Protein Expr. Purif. 2019, 162, 9–17. [Google Scholar] [CrossRef]
- Liu, W.; Xiang, H.; Zhang, T.; Pang, X.; Su, J.; Liu, H.; Ma, B.; Yu, L. Development of a New High-Cell Density Fermentation Strategy for Enhanced Production of a Fungus β-Glucosidase in Pichia pastoris. Front. Microbiol. 2020, 11, 1988. [Google Scholar] [CrossRef]
- Argentinian AntiCovid Consortium. Structural and functional comparison of SARS-CoV-2-spike receptor binding domain produced in Pichia pastoris and mammalian cells. Sci. Rep. 2020, 10, 21779. [Google Scholar] [CrossRef]
- Tachioka, M.; Sugimoto, N.; Nakamura, A.; Sunagawa, N.; Ishida, T.; Uchiyama, T.; Igarashi, K.; Samejima, M. Development of simple random mutagenesis protocol for the protein expression system in Pichia pastoris. Biotechnol. Biofuels 2016, 9, 199. [Google Scholar] [CrossRef] [PubMed]
- Cibulski, S.; Varela, A.P.M.; Teixeira, T.F.; Cancela, M.P.; Sesterheim, P.; Souza, D.O.; Roehe, P.M.; Silveira, F. Zika Virus Envelope Domain III Recombinant Protein Delivered with Saponin-Based Nanoadjuvant From Quillaja brasiliensis Enhances Anti-Zika Immune Responses, Including Neutralizing Antibodies and Splenocyte Proliferation. Front. Immunol. 2021, 12, 515. [Google Scholar] [CrossRef] [PubMed]
- Cabral-Miranda, G.; Lim, S.M.; Mohsen, M.O.; Pobelov, I.V.; Roesti, E.S.; Heath, M.D.; Skinner, M.A.; Kramer, M.F.; Martina, B.E.E.; Bachmann, M.F. Zika Virus-Derived E-DIII Protein Displayed on Immunologically Optimized VLPs Induces Neutralizing Antibodies without Causing Enhancement of Dengue Virus Infection. Vaccines 2019, 7, 72. [Google Scholar] [CrossRef] [PubMed]
- Yang, M.; Dent, M.; Lai, H.; Sun, H.; Chen, Q. Immunization of Zika virus envelope protein domain III induces specific and neutralizing immune responses against Zika virus. Vaccine 2017, 35, 4287–4294. [Google Scholar] [CrossRef]
- Qu, P.; Zhang, W.; Li, D.; Zhang, C.; Liu, Q.; Zhang, X.; Wang, X.; Dai, W.; Xu, Y.; Leng, Q.; et al. Insect cell-produced recombinant protein subunit vaccines protect against Zika virus infection. Antivir. Res. 2018, 154, 97–103. [Google Scholar] [CrossRef]
- Tai, W.; He, L.; Wang, Y.; Sun, S.; Zhao, G.; Luo, C.; Li, P.; Zhao, H.; Fremont, D.H.; Li, F.; et al. Critical Neutralizing Fragment of Zika Virus EDIII Elicits Cross-Neutralization and Protection against Divergent Zika Viruses. Emerg. Microbes Infect. 2018, 7, 1–8. [Google Scholar] [CrossRef]
- Arya, R.; Bhattacharya, A.; Saini, K.S. Dictyostelium discoideum—A promising expression system for the production of eukaryotic proteins. FASEB J. 2008, 22, 4055–4066. [Google Scholar] [CrossRef]
- Dalton, A.C.; Barton, W.A. Over-expression of secreted proteins from mammalian cell lines. Protein Sci. 2014, 23, 517–525. [Google Scholar] [CrossRef]
- Yang, M.; Lai, H.; Sun, H.; Chen, Q. Virus-like particles that display Zika virus envelope protein domain III induce potent neutralizing immune responses in mice. Sci. Rep. 2017, 7, 7679. [Google Scholar] [CrossRef]
- Schillberg, S.; Raven, N.; Spiegel, H.; Rasche, S.; Buntru, M. Critical Analysis of the Commercial Potential of Plants for the Production of Recombinant Proteins. Front. Plant Sci. 2019, 10, 720. [Google Scholar] [CrossRef]
- Zhang, W.; Qu, P.; Li, D.; Zhang, C.; Liu, Q.; Zou, G.; Dupont-Rouzeyrol, M.; Lavillette, D.; Jin, X.; Yin, F.; et al. Yeast-produced subunit protein vaccine elicits broadly neutralizing antibodies that protect mice against Zika virus lethal infection. Antivir. Res. 2019, 170, 104578. [Google Scholar] [CrossRef] [PubMed]
- Xisto, M.F.; Prates, J.W.O.; Dias, I.M.; Dias, R.S.; Da Silva, C.C.; De Paula, S.O. NS1 Recombinant Proteins Are Efficiently Produced in Pichia pastoris and Have Great Potential for Use in Diagnostic Kits for Dengue Virus Infections. Diagnostics 2020, 10, 379. [Google Scholar] [CrossRef] [PubMed]
- Life Technologies. PichiaPink TM Expression System for High-Level and Large-Scale Expression and Secretion of Bioactive Recombinant Proteins in Pichia pastoris and Centriprep® are Registered Trademarks of Merck KGaA. Zymolyase TM is a Trademark of Kirin Beer Kabushiki Kaisha. 2014. Available online: https://tools.thermofisher.com/content/sfs/manuals/pichiapink_expression_system_man.pdf (accessed on 3 January 2022).
- Du, M.; Battles, M.B.; Nett, J.H. A color-based stable multi-copy integrant selection system for Pichia pastoris using the attenuated ADE1 and ADE2 genes as auxotrophic markers. Bioengineered 2012, 3, 32–37. [Google Scholar] [CrossRef]
- Portilho, M.M.; De Moraes, L.; Kikuti, M.; Nascimento, L.C.J.; Reis, M.G.; Boaventura, V.S.; Khouri, R.; Ribeiro, G.S. Accuracy of the Zika IgM Antibody Capture Enzyme-Linked Immunosorbent Assay from the Centers for Disease Control and Prevention (CDC Zika MAC-ELISA) for Diagnosis of Zika Virus Infection. Diagnostics 2020, 10, 835. [Google Scholar] [CrossRef]
- Basile, A.J.; Ao, J.; Horiuchi, K.; Semenova, V.; Steward-Clark, E.; Schiffer, J. Performance of InBios ZIKV Detect™ 2.0 IgM Capture ELISA in two reference laboratories compared to the original ZIKV Detect™ IgM Capture ELISA. J. Virol. Methods 2019, 271, 113671. [Google Scholar] [CrossRef] [PubMed]
- Matheus, S.; Talla, C.; LaBeau, B.; De Laval, F.; Briolant, S.; Berthelot, L.; Vray, M.; Rousset, D. Performance of 2 Commercial Serologic Tests for Diagnosing Zika Virus Infection. Emerg. Infect. Dis. 2019, 25, 1153–1160. [Google Scholar] [CrossRef] [PubMed]




| Densitometry | [ ] µg/mL | Volume (mL) | Yield (mg/L) | |
|---|---|---|---|---|
| ZIKV-EDIII | 8.070 | 129.3341 | 10 | 2.586682 |
| % Sensitivity | % Specificity | Cut-Off | p-Value | |
|---|---|---|---|---|
| Anti-IgM | 90.00 | 87.50 | 0.3593 | <0.0001 |
| Anti-IgG | 93.33 | 82.76 | 0.5234 | <0.0001 |
Publisher’s Note: MDPI stays neutral with regard to jurisdictional claims in published maps and institutional affiliations. |
© 2022 by the authors. Licensee MDPI, Basel, Switzerland. This article is an open access article distributed under the terms and conditions of the Creative Commons Attribution (CC BY) license (https://creativecommons.org/licenses/by/4.0/).
Share and Cite
Prates, J.W.O.; Xisto, M.F.; Rodrigues, J.S.; Colombari, J.P.C.; Meira, J.M.A.; Dias, R.S.; Silva, C.C.d.; de Paula, e.S.O. Zika Virus Envelope Protein Domain III Produced in K. phaffii Has the Potential for Diagnostic Applications. Diagnostics 2022, 12, 1198. https://doi.org/10.3390/diagnostics12051198
Prates JWO, Xisto MF, Rodrigues JS, Colombari JPC, Meira JMA, Dias RS, Silva CCd, de Paula eSO. Zika Virus Envelope Protein Domain III Produced in K. phaffii Has the Potential for Diagnostic Applications. Diagnostics. 2022; 12(5):1198. https://doi.org/10.3390/diagnostics12051198
Chicago/Turabian StylePrates, John Willians Oliveira, Mariana Fonseca Xisto, Jojo Silva Rodrigues, João Pedro Cruz Colombari, Júlia Maria Alves Meira, Roberto Sousa Dias, Cynthia Canedo da Silva, and e Sérgio Oliveira de Paula. 2022. "Zika Virus Envelope Protein Domain III Produced in K. phaffii Has the Potential for Diagnostic Applications" Diagnostics 12, no. 5: 1198. https://doi.org/10.3390/diagnostics12051198
APA StylePrates, J. W. O., Xisto, M. F., Rodrigues, J. S., Colombari, J. P. C., Meira, J. M. A., Dias, R. S., Silva, C. C. d., & de Paula, e. S. O. (2022). Zika Virus Envelope Protein Domain III Produced in K. phaffii Has the Potential for Diagnostic Applications. Diagnostics, 12(5), 1198. https://doi.org/10.3390/diagnostics12051198

