Pediatric Brain Maturation and Migration Disorders
Abstract
:1. Introduction
2. Brain Development
2.1. Basic Embryology
2.2. Cortical Development and Neuronal Migration
2.3. Commissure Formation
2.4. Fetal Brain Development
2.5. Postnatal Brain Development
2.6. Pituitary Development
3. Migration Disorders
- Not migrate and remain at their site of origin (adjacent to the lateral ventricles);
- Incompletely migrate and remain within the white matter;
- Migrate to the cortex but fail to organize correctly; or
- Over-migrate beyond the cortex.
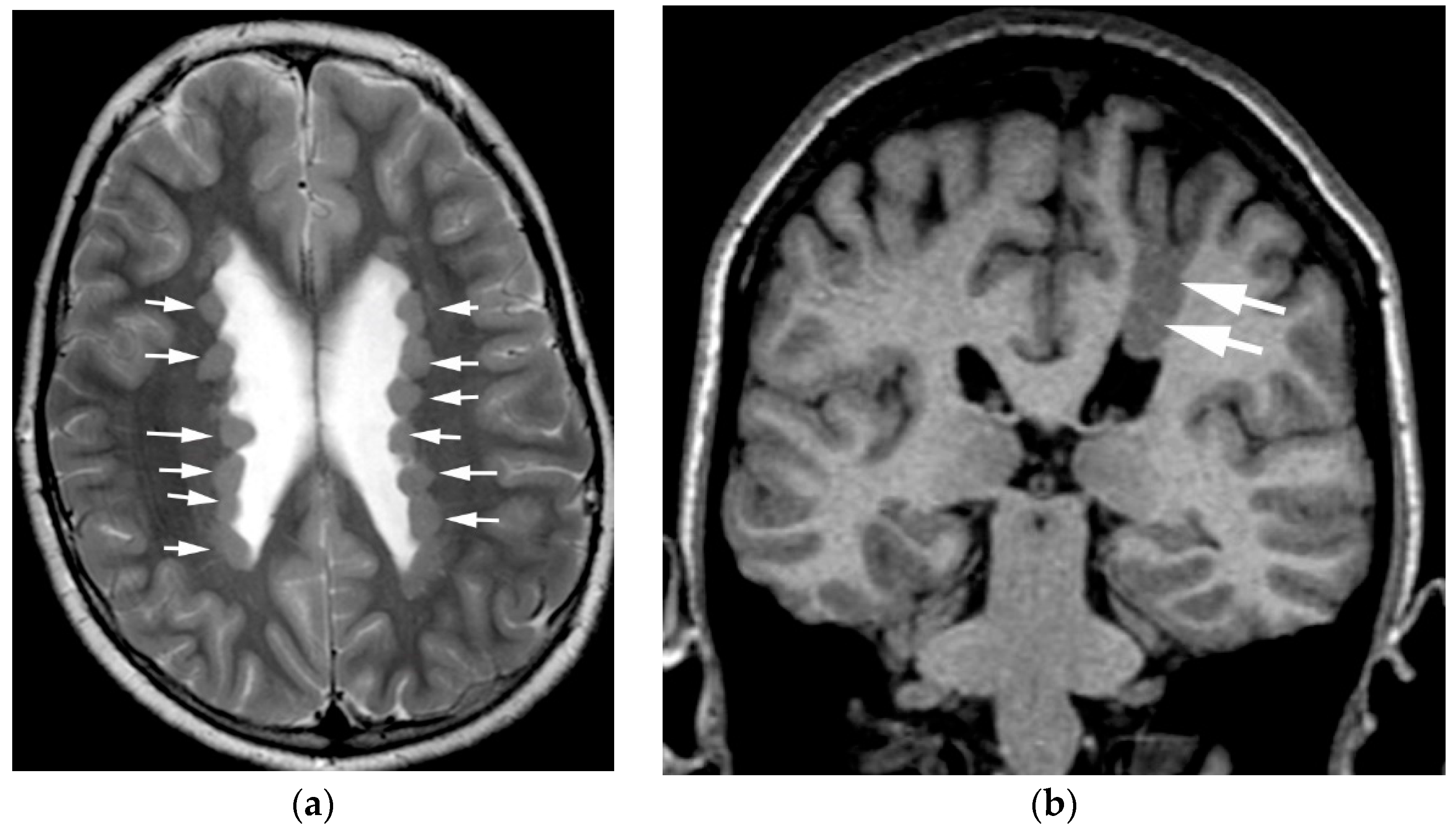
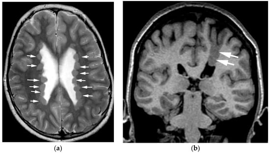
3.1. Heterotopia
3.2. Cobblestone Cortex
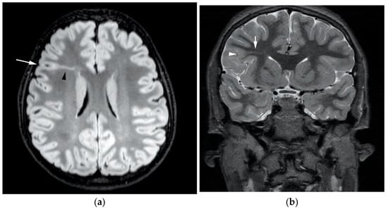
3.3. Cortical Dysplasia
3.4. Commissural Abnormalities
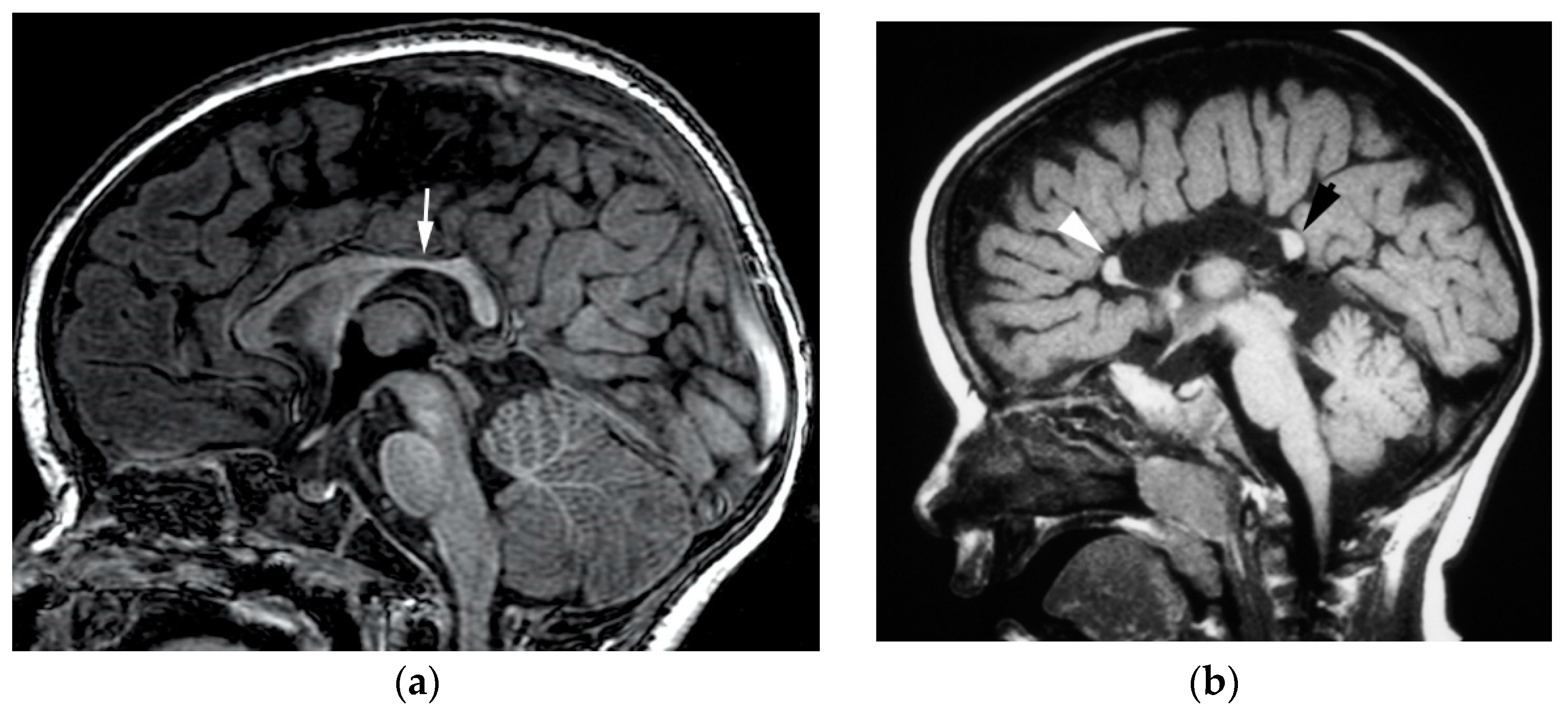
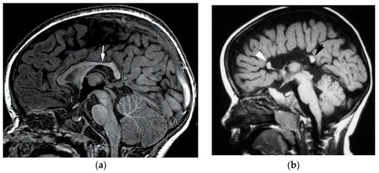
3.5. Agenesis of the Corpus Callosum
3.6. Hypogenesis of the Corpus Callosum
4. Conclusions
Funding
Institutional Review Board Statement
Informed Consent Statement
Data Availability Statement
Conflicts of Interest
References
- Schoenwolf, G.C.; Bleyl, S.B.; Brauer, P.R.; Francis-West, P.H. Larsen’s Human Embryology; Elsevier: Amsterdam, The Netherlands, 2021. [Google Scholar]
- Finnell, R.H.; Caiaffa, C.D.; Kim, S.-E.; Lei, Y.; Steele, J.; Cao, X.; Tukeman, G.; Lin, Y.L.; Cabrera, R.M.; Wlodarczyk, B.J. Gene Environment Interactions in the Etiology of Neural Tube Defects. Front. Genet. 2021, 12, 659612. [Google Scholar] [CrossRef]
- Casingal, C.R.; Descant, K.D.; Anton, E. Coordinating cerebral cortical construction and connectivity: Unifying influence of radial progenitors. Neuron 2022, 110, 1100–1115. [Google Scholar] [CrossRef]
- Barkovich, A.J.; Raybaud, C.A. Congenital Malformations of the Brain and skull. In Pediatric Neuroimaging; Barkovich, A.J., Ed.; Wolters Kluwer: Alphen aan den Rijn, The Netherlands, 2019; pp. 405–632. [Google Scholar]
- Warm, D.; Schroer, J.; Sinning, A. Gabaergic Interneurons in Early Brain Development: Conducting and Orchestrated by Cortical Network Activity. Front. Mol. Neurosci. 2022, 14, 807969. [Google Scholar] [CrossRef]
- Penisson, M.; Ladewig, J.; Belvindrah, R.; Francis, F. Genes and Mechanisms Involved in the Generation and Amplification of Basal Radial Glial Cells. Front. Cell. Neurosci. 2019, 13, 381. [Google Scholar] [CrossRef]
- Buscaglia, G.; Northington, K.R.; Aiken, J.; Hoff, K.J.; Bates, E.A. Bridging the Gap: The Importance of TUBA1A α-Tubulin in Forming Midline Commissures. Front. Cell Dev. Biol. 2022, 9, 789438. [Google Scholar] [CrossRef]
- Tole, S.; Gutin, G.; Bhatnagar, L.; Remedios, R.; Hébert, J.M. Development of midline cell types and commissural axon tracts requires Fgfr1 in the cerebrum. Dev. Biol. 2006, 289, 141–151. [Google Scholar] [CrossRef] [Green Version]
- Shu, T.; Puche, A.C.; Richards, L.J. Development of midline glial populations at the corticoseptal boundary. J. Neurobiol. 2003, 57, 81–94. [Google Scholar] [CrossRef]
- Stewart, C.E.; Corella, K.M.; Samberg, B.D.; Jones, P.T.; Linscott, M.L.; Chung, W.C. Perinatal midline astrocyte development is impaired in fibroblast growth factor 8 hypomorphic mice. Brain Res. 2016, 1646, 287–296. [Google Scholar] [CrossRef]
- Gobius, I.; Morcom, L.; Suárez, R.; Bunt, J.; Bukshpun, P.; Reardon, W.; Dobyns, W.; Rubenstein, J.L.; Barkovich, A.J.; Sherr, E.H.; et al. Astroglial-Mediated Remodeling of the Interhemispheric Midline Is Required for the Formation of the Corpus Callosum. Cell Rep. 2016, 17, 735–747. [Google Scholar] [CrossRef] [Green Version]
- Garel, C. Fetal cerebral biometry: Normal parenchymal findings and ventricular size. Eur. Radiol. 2005, 15, 809–813. [Google Scholar] [CrossRef]
- Conte, G.; Milani, S.; Palumbo, G.; Talenti, G.; Boito, S.; Rustico, M.; Triulzi, F.; Righini, A.; Izzo, G.; Doneda, C.; et al. Prenatal Brain MR Imaging: Reference Linear Biometric Centiles between 20 and 24 Gestational Weeks. AJNR Am. J. Neuroradiol. 2018, 39, 963–967. [Google Scholar] [CrossRef] [Green Version]
- Tepper, R.; Leibovitz, Z.; Garel, C.; Sukenik-Halevy, R. A new method for evaluating short fetal corpus callosum. Prenat. Diagn. 2019, 39, 1283–1290. [Google Scholar] [CrossRef]
- Wu, J.; Awate, S.P.; Licht, D.J.; Clouchoux, C.; du Plessis, A.J.; Avants, B.B.; Vossough, A.; Gee, J.C.; Limperopoulos, C. Assessment of MRI-Based Automated Fetal Cerebral Cortical Folding Measures in Prediction of Gestational Age in the Third Trimester. AJNR Am. J. Neuroradiol. 2015, 36, 1369–1374. [Google Scholar] [CrossRef] [Green Version]
- Deipolyi, A.; Mukherjee, P.; Gill, K.; Henry, R.G.; Partridge, S.C.; Veeraraghavan, S.; Jin, H.; Lu, Y.; Miller, S.; Ferriero, D.M.; et al. Comparing microstructural and macrostructural development of the cerebral cortex in premature newborns: Diffusion tensor imaging versus cortical gyration. NeuroImage 2005, 27, 579–586. [Google Scholar] [CrossRef]
- Barkovich, A.J.; Kjos, B.O.; Jackson, D.E.; Norman, D. Normal maturation of the neonatal and infant brain: MR imaging at 1.5 T. Radiology 1988, 166 Pt 1, 173–180. [Google Scholar] [CrossRef] [Green Version]
- Parazzini, C.; Baldoli, C.; Scotti, G.; Triulzi, F. Terminal Zones of Myelination: MR Evaluation of Children Aged 20–40 Months. AJNR Am. J. Neuroradiol. 2002, 23, 1669–1673. [Google Scholar]
- Luo, Z.; Adluru, N.; Dean, D.C.; Alexander, A.L.; Goldsmith, H.H. Genetic and environmental influences of variation in diffusion MRI measures of white matter microstructure. Brain Struct. Funct. 2022, 227, 131–144. [Google Scholar] [CrossRef]
- Wang, W.; Yu, Q.; Liang, W.; Xu, F.; Li, Z.; Tang, Y.; Liu, S. Altered cortical microstructure in preterm infants at term-equivalent age relative to term-born neonates. Cereb. Cortex 2022. [Google Scholar] [CrossRef]
- Yuan, S.; Liu, M.; Kim, S.; Yang, J.; Barkovich, A.J.; Xu, D.; Kim, H. Cyto/myeloarchitecture of cortical gray matter and superficial white matter in early neurodevelopment: Multimodal MRI study in preterm neonates. Cereb. Cortex 2022. [Google Scholar] [CrossRef]
- McAllister, A.; Leach, J.; West, H.; Jones, B.; Zhang, B.; Serai, S. Quantitative Synthetic MRI in Children: Normative Intracranial Tissue Segmentation Values during Development. AJNR Am. J. Neuroradiol. 2017, 38, 2364–2372. [Google Scholar] [CrossRef] [Green Version]
- Oegema, R.; Barkovich, A.J.; Mancini, G.M.; Guerrini, R.; Dobyns, W.B. Subcortical heterotopic gray matter brain malformations: Classification study of 107 individuals. Neurology 2019, 93, e1360–e1373. [Google Scholar] [CrossRef] [Green Version]
- Barkovich, A.J.; Kuzniecky, R.I. Gray matter heterotopia. Neurology 2000, 55, 1603–1608. [Google Scholar] [CrossRef]
- Vriend, I.; Oegema, R. Genetic causes underlying grey matter heterotopia. Eur. J. Paediatr. Neurol. 2021, 35, 82–92. [Google Scholar] [CrossRef]
- Feig, S.L.; Haberly, L.B. Surface-associated astrocytes, not endfeet, form the glia limitans in posterior piriform cortex and have a spatially distributed, not a domain, organization. J. Comp. Neurol. 2011, 519, 1952–1969. [Google Scholar] [CrossRef]
- Myshrall, T.D.; Moore, S.A.; Ostendorf, A.P.; Satz, J.S.; Kowalczyk, T.; Nguyen, H.; Daza, R.A.; Lau, C.; Campbell, K.P.; Hevner, R.F. Dystroglycan on Radial Glia End Feet Is Required for Pial Basement Membrane Integrity and Columnar Organization of the Developing Cerebral Cortex. J. Neuropathol. Exp. Neurol. 2012, 71, 1047–1063. [Google Scholar] [CrossRef] [Green Version]
- Devisme, L.; Bouchet, C.; Gonzalès, M.; Alanio, E.; Bazin, A.; Bessières, B.; Bigi, N.; Blanchet, P.; Bonneau, D.; Bonnières, M.; et al. Cobblestone lissencephaly: Neuropathological subtypes and correlations with genes of dystroglycanopathies. Brain 2012, 135 Pt 2, 469–482. [Google Scholar] [CrossRef]
- Hu, P.; Yuan, L.; Deng, H. Molecular genetics of the POMT1-related muscular dystrophy-dystroglycanopathies. Mutat. Res. Rev. Mutat. Res. 2018, 778, 45–50. [Google Scholar] [CrossRef]
- Severino, M.; Geraldo, A.F.; Utz, N.; Tortora, D.; Pogledic, I.; Klonowski, W.; Triulzi, F.; Arrigoni, F.; Mankad, K.; Leventer, R.J.; et al. Definitions and classification of malformations of cortical development: Practical guidelines. Brain 2020, 143, 2874–2894. [Google Scholar] [CrossRef]
- Lee, W.S.; Baldassari, S.; Stephenson, S.E.M.; Lockhart, P.J.; Baulac, S.; Leventer, R.J. Cortical Dysplasia and the mTOR Pathway: How the Study of Human Brain Tissue Has Led to Insights into Epileptogenesis. Int. J. Mol. Sci. 2022, 23, 1344. [Google Scholar] [CrossRef]
- Colombo, N.; Salamon, N.; Raybaud, C.; Ozkara, Ç.; Barkovich, A.J. Imaging of malformations of cortical development. Epileptic Disord. 2009, 11, 194–205. [Google Scholar] [CrossRef] [Green Version]
- D’Gama, A.M.; Woodworth, M.; Hossain, A.A.; Bizzotto, S.; Hatem, N.E.; LaCoursiere, C.M.; Najm, I.; Ying, Z.; Yang, E.; Barkovich, A.J.; et al. Somatic Mutations Activating the mTOR Pathway in Dorsal Telencephalic Progenitors Cause a Continuum of Cortical Dysplasias. Cell Rep. 2017, 21, 3754–3766. [Google Scholar] [CrossRef] [Green Version]
- Di Pasquo, E.; Kuleva, M.; Arthuis, C.; Morganelli, G.; Ormitti, F.; Millischer, A.; Grevent, D.; Ville, Y.; Ghi, T.; Salomon, L.J. Prenatal diagnosis and outcome of fetuses with isolated agenesis of septum pellucidum: Cohort study and meta-analysis. Ultrasound Obstet. Gynecol. 2022, 59, 153–161. [Google Scholar] [CrossRef]
- Santo, S.; D’Antonio, F.; Homfray, T.; Rich, P.; Pilu, G.; Bhide, A.; Thilaganathan, B.; Papageorghiou, A.T. Counseling in fetal medicine: Agenesis of the corpus callosum. Ultrasound Obstet. Gynecol. 2012, 40, 513–521. [Google Scholar] [CrossRef]
- Rangasami, R.; Manor, C.; Suresh, I.; Suresh, S. Magnetic resonance imaging findings in fetal corpus callosal developmental abnormalities: A pictorial essay. J. Pediatr. Neurosci. 2020, 15, 352–357. [Google Scholar] [CrossRef]
- Raybaud, C. Corpus Callosum: Molecular Pathways in Mice and Human Dysgeneses. Neuroimaging Clin. N. Am. 2019, 29, 445–459. [Google Scholar] [CrossRef]
- Marcorelles, P.; Laquerriere, A. Neuropathology of holoprosencephaly. Am. J. Med Genet. Part C Semin. Med. Genet. 2010, 154C, 109–119. [Google Scholar] [CrossRef]






| Sulcus | Gestation Age Seen on Fetal MRI |
|---|---|
| Sylvian | 16 wk |
| Hippocampal | 16–23 wk |
| Calcarine | 20–22 wk |
| Parieto-occipital | 20–22 wk |
| Cingulate | 20–22 wk |
| Collateral | 23–26 wk |
| Rolandic | 25 wk |
| Interparietal | 25 wk |
| Superior temporal | 25 wk |
| Precentral | 24–28 wk |
| Postcentral | 24–28 wk |
| Superior frontal | 24–28 wk |
| Middle temporal | 24–28 wk |
| Primary fissure of cerebellum | 25–28 wk |
| Anatomic Region | T1-Weighted Images | T2-Weighted Images |
|---|---|---|
| Superior cerebellar peduncle | 28 gest wk | 37 gest wk |
| Median longitudinal fasciculus | 25 gest wk | 29 gest wk |
| Medial lemnisci | 27 gest wk | 30 gest wk |
| Lateral lemnisci | 26 gest wk | 27 gest wk |
| Middle cerebellar peduncle | Birth | Birth to 2 mo |
| Cerebral white matter | Birth to 4 mo | 3–5 mo |
| Posterior limb internal capsule Anterior portion Posterior portion | First month 36 gest wk | 4–7 mo 40 gest wk |
| Anterior limb internal capsule | 2–3 mo | 7–11 mo |
| Genu corpus callosum | 4–6 mo | 5–8 mo |
| Splenium corpus callosum | 3–4 mo | 4–6 mo |
| Occipital white matter Deep Subcortical | 3–5 mo 4–7 mo | 9–14 mo 11–15 mo |
| Midfrontal white matter Deep Subcortical | 3–6 mo 7–11 mo | 11–16 mo 14–18 mo |
| Anterior frontal white matter Deep Subcortical | 5–8 mo 10–15 mo | 12–18 mo 24–30 mo |
| Centrum semiovale | 2–4 mo | 7–11 mo |
Publisher’s Note: MDPI stays neutral with regard to jurisdictional claims in published maps and institutional affiliations. |
© 2022 by the author. Licensee MDPI, Basel, Switzerland. This article is an open access article distributed under the terms and conditions of the Creative Commons Attribution (CC BY) license (https://creativecommons.org/licenses/by/4.0/).
Share and Cite
Barkovich, M.J. Pediatric Brain Maturation and Migration Disorders. Diagnostics 2022, 12, 1123. https://doi.org/10.3390/diagnostics12051123
Barkovich MJ. Pediatric Brain Maturation and Migration Disorders. Diagnostics. 2022; 12(5):1123. https://doi.org/10.3390/diagnostics12051123
Chicago/Turabian StyleBarkovich, Matthew J. 2022. "Pediatric Brain Maturation and Migration Disorders" Diagnostics 12, no. 5: 1123. https://doi.org/10.3390/diagnostics12051123
APA StyleBarkovich, M. J. (2022). Pediatric Brain Maturation and Migration Disorders. Diagnostics, 12(5), 1123. https://doi.org/10.3390/diagnostics12051123

