Challenges and Strategies to Optimising the Quality of Small Bowel Magnetic Resonance Imaging in Crohn’s Disease
Abstract
1. Introduction
2. Components of Magnetic Resonance Enterography/Enteroclysis
2.1. Choice of MRI Machine/Software/Imaging Protocol
2.2. Fasting
2.3. Oral Contrast
2.4. Intravenous Contrast
2.5. Antiperistalsis Agents
2.6. Challenges with MRE Preparation
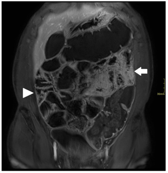
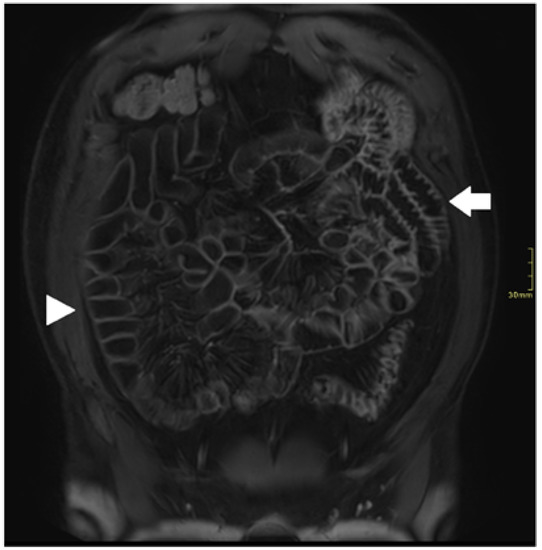
3. Motion Artifact
3.1. Current and Potential Strategies for Reducing Motion Artifact
3.1.1. Impact of Contrast Delivery Mechanism on Motion Artifact (MRE vs. MR Enteroclysis)
3.1.2. Antispasmodics
3.1.3. Breath Holding
3.1.4. Positioning—Prone vs. Supine
4. Definition and Grading of Motion Artifact in MRE Performed for Small Bowel and/or Crohn’s Disease Activity Assessment
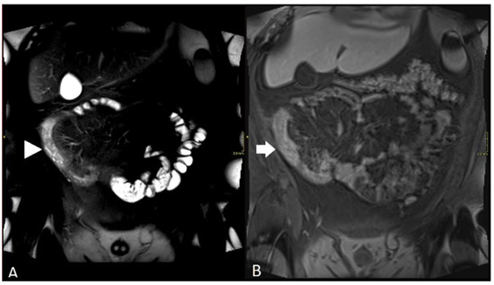
5. Bowel Distention
5.1. Current and Potential Strategies for Improving Bowel Distention
5.1.1. Impact of Contrast Delivery on Bowel Distension (MRE vs. MR Enteroclysis)
5.1.2. Type of Oral Contrast Used
5.1.3. Volume of Oral Contrast Used
5.1.4. Timing of Oral Contrast
5.1.5. Rectal Filling
5.1.6. Prokinetic Agents
6. Definition and Grading of Bowel Distention in MRE Performed for Small Bowel and/or Crohn’s Disease Activity Assessment
7. Discussion
8. Take Home Messages
- Adequate bowel distension and minimal motion artifacts are a critical prerequisite for high-quality MRE images;
- Optimal bowel distension can be achieved with 1000 mL of oral contrast given 45 to 60 min prior to image acquisition;
- Reduction of motion artifacts can be achieved through coaching patients with breath-holding strategies and through the timed use of antispasmodics;
- Antispasmodic properties can be manipulated to achieve minimal motion artifacts by utilising both IV and IM routes of delivery;
- Description of grading of both bowel distension and motion artifacts are poorly described in the literature but are a critical part of MRE reporting in CD;
- Consensus definitions of both bowel distension and motion artifacts in MRE are needed.
Author Contributions
Funding
Institutional Review Board Statement
Informed Consent Statement
Data Availability Statement
Conflicts of Interest
References
- Dulai, P.S.; Singh, S.; Vande Casteele, N.; Boland, B.S.; Rivera-Nieves, J.; Ernst, P.B.; Eckmann, L.; Barrett, K.E.; Chang, J.T.; Sandborn, W.J. Should We Divide Crohn’s Disease Into Ileum-Dominant and Isolated Colonic Diseases? Clin. Gastroenterol. Hepatol. 2019, 17, 2634–2643. [Google Scholar] [CrossRef] [PubMed]
- Maaser, C.; Sturm, A.; Vavricka, S.R.; Kucharzik, T.; Fiorino, G.; Annese, V.; Calabrese, E.; Baumgart, D.C.; Bettenworth, D.; Borralho Nunes, P.; et al. ECCO-ESGAR Guideline for Diagnostic Assessment in IBD Part 1: Initial diagnosis, monitoring of known IBD, detection of complications. J. Crohns Colitis 2019, 13, 144–164. [Google Scholar] [CrossRef] [PubMed]
- Panes, J.; Bouhnik, Y.; Reinisch, W.; Stoker, J.; Taylor, S.A.; Baumgart, D.C.; Danese, S.; Halligan, S.; Marincek, B.; Matos, C.; et al. Imaging techniques for assessment of inflammatory bowel disease: Joint ECCO and ESGAR evidence-based consensus guidelines. J. Crohns Colitis 2013, 7, 556–585. [Google Scholar] [CrossRef] [PubMed]
- Peyrin-Biroulet, L.; Sandborn, W.; Sands, B.E.; Reinisch, W.; Bemelman, W.; Bryant, R.V.; D’Haens, G.; Dotan, I.; Dubinsky, M.; Feagan, B.; et al. Selecting Therapeutic Targets in Inflammatory Bowel Disease (STRIDE): Determining Therapeutic Goals for Treat-to-Target. Am. J. Gastroenterol. 2015, 110, 1324–1338. [Google Scholar] [CrossRef]
- Ordás, I.; Rimola, J.; Rodríguez, S.; Paredes, J.M.; Martínez-Pérez, M.J.; Blanc, E.; Arévalo, J.A.; Aduna, M.; Andreu, M.; Radosevic, A.; et al. Accuracy of magnetic resonance enterography in assessing response to therapy and mucosal healing in patients with Crohn’s disease. Gastroenterology 2014, 146, 374–382.e1. [Google Scholar] [CrossRef] [PubMed]
- Sato, H.; Tamura, C.; Narimatsu, K.; Shimizu, M.; Takajyo, T.; Yamashita, M.; Inoue, Y.; Ozaki, H.; Furuhashi, H.; Maruta, K.; et al. Magnetic resonance enterocolonography in detecting erosion and redness in intestinal mucosa of patients with Crohn’s disease. J. Gastroenterol. Hepatol. 2015, 30, 667–673. [Google Scholar] [CrossRef] [PubMed]
- Rimola, J.; Rodriguez, S.; Garcia-Bosch, O.; Ordas, I.; Ayala, E.; Aceituno, M.; Pellise, M.; Ayuso, C.; Ricart, E.; Donoso, L.; et al. Magnetic resonance for assessment of disease activity and severity in ileocolonic Crohn’s disease. Gut 2009, 58, 1113–1120. [Google Scholar] [CrossRef]
- Ordás, I.; Rimola, J.; Alfaro, I.; Rodríguez, S.; Castro-Poceiro, J.; Ramírez-Morros, A.; Gallego, M.; Giner, À.; Barastegui, R.; Fernández-Clotet, A.; et al. Development and Validation of a Simplified Magnetic Resonance Index of Activity for Crohn’s Disease. Gastroenterology 2019, 157, 432–439.e1. [Google Scholar] [CrossRef]
- Steward, M.J.; Punwani, S.; Proctor, I.; Adjei-Gyamfi, Y.; Chatterjee, F.; Bloom, S.; Novelli, M.; Halligan, S.; Rodriguez-Justo, M.; Taylor, S.A. Non-perforating small bowel Crohn’s disease assessed by MRI enterography: Derivation and histopathological validation of an MR-based activity index. Eur. J. Radiol. 2012, 81, 2080–2088. [Google Scholar] [CrossRef]
- Buisson, A.; Joubert, A.; Montoriol, P.F.; Da Ines, D.; Ines, D.D.; Hordonneau, C.; Pereira, B.; Garcier, J.M.; Bommelaer, G.; Petitcolin, V. Diffusion-weighted magnetic resonance imaging for detecting and assessing ileal inflammation in Crohn’s disease. Aliment. Pharmacol. Ther. 2013, 37, 537–545. [Google Scholar] [CrossRef] [PubMed]
- Gandhi, N.S.; Dillman, J.R.; Grand, D.J.; Huang, C.; Fletcher, J.G.; Al-Hawary, M.M.; Anupindi, S.A.; Baker, M.E.; Bruining, D.H.; Chatterji, M.; et al. Computed tomography and magnetic resonance enterography protocols and techniques: Survey of the Society of Abdominal Radiology Crohn’s Disease Disease-Focused Panel. Abdom. Radiol. 2020, 45, 1011–1017. [Google Scholar] [CrossRef] [PubMed]
- Berry, S.K.; Melmed, G.Y. Quality indicators in inflammatory bowel disease. Intest. Res. 2018, 16, 43–47. [Google Scholar] [CrossRef] [PubMed]
- Weissman, S.; Goldowsky, A.; Mehta, T.I.; Sciarra, M.A.; Feuerstein, J.D. Are Quality Metrics in Inflammatory Bowel Disease Rooted on Substantial Quality Evidence? A Systematic Review. J. Crohn′s Colitis 2020, 15, 326–334. [Google Scholar] [CrossRef] [PubMed]
- Calderwood, A.H.; Jacobson, B.C. Comprehensive validation of the Boston Bowel Preparation Scale. Gastrointest. Endosc. 2010, 72, 686–692. [Google Scholar] [CrossRef] [PubMed]
- Lai, E.J.; Calderwood, A.H.; Doros, G.; Fix, O.K.; Jacobson, B.C. The Boston bowel preparation scale: A valid and reliable instrument for colonoscopy-oriented research. Gastrointest. Endosc. 2009, 69, 620–625. [Google Scholar] [CrossRef]
- Hidalgo, L.H.; Moreno, E.A.; Arranz, J.C.; Alonso, R.C.; de Vega Fernández, V.M. Magnetic resonance enterography: Review of the technique for the study of Crohn’s disease. Radiologia 2011, 53, 421–433. [Google Scholar] [CrossRef]
- Guglielmo, F.F.; Roth, C.G.; Mitchell, D.G. MR and CT Imaging Techniques of the Bowel. In Cross-Sectional Imaging in Crohn’s Disease; Rimola, J., Ed.; Springer International Publishing: Cham, Switzerland, 2019; pp. 49–75. [Google Scholar]
- Griffin, N.; Grant, L.A.; Anderson, S.; Irving, P.; Sanderson, J. Small bowel MR enterography: Problem solving in Crohn’s disease. Insights Imaging 2012, 3, 251–263. [Google Scholar] [CrossRef]
- Taylor, S.A.; Avni, F.; Cronin, C.G.; Hoeffel, C.; Kim, S.H.; Laghi, A.; Napolitano, M.; Petit, P.; Rimola, J.; Tolan, D.J.; et al. The first joint ESGAR/ESPR consensus statement on the technical performance of cross-sectional small bowel and colonic imaging. Eur. Radiol. 2017, 27, 2570–2582. [Google Scholar] [CrossRef]
- Fiorino, G.; Bonifacio, C.; Padrenostro, M.; Sposta, F.M.; Spinelli, A.; Malesci, A.; Balzarini, L.; Peyrin-Biroulet, L.; Danese, S. Comparison between 1.5 and 3.0 Tesla magnetic resonance enterography for the assessment of disease activity and complications in ileo-colonic Crohn’s disease. Dig. Dis. Sci. 2013, 58, 3246–3255. [Google Scholar] [CrossRef] [PubMed]
- Jiang, X.; Asbach, P.; Hamm, B.; Xu, K.; Banzer, J. MR imaging of distal ileal and colorectal chronic inflammatory bowel disease--diagnostic accuracy of 1.5 T and 3 T MRI compared to colonoscopy. Int. J. Color. Dis. 2014, 29, 1541–1550. [Google Scholar] [CrossRef]
- Hahnemann, M.L.; Kraff, O.; Orzada, S.; Umutlu, L.; Kinner, S.; Ladd, M.E.; Quick, H.H.; Lauenstein, T.C. T1-Weighted Contrast-Enhanced Magnetic Resonance Imaging of the Small Bowel: Comparison Between 1.5 and 7 T. Investig. Radiol. 2015, 50, 539–547. [Google Scholar] [CrossRef]
- Bartlett, D.J.; Ramos, G.P.; Fletcher, J.G.; Bruining, D.H. Imaging Evaluation of Inflammatory Bowel Disease Complications. Gastrointest. Endosc. Clin. 2022, 32, 651–673. [Google Scholar] [CrossRef] [PubMed]
- Choi, S.H.; Kim, K.W.; Lee, J.Y.; Kim, K.J.; Park, S.H. Diffusion-weighted Magnetic Resonance Enterography for Evaluating Bowel Inflammation in Crohn’s Disease: A Systematic Review and Meta-analysis. Inflamm. Bowel. Dis. 2016, 22, 669–679. [Google Scholar] [CrossRef]
- Dohan, A.; Taylor, S.; Hoeffel, C.; Barret, M.; Allez, M.; Dautry, R.; Zappa, M.; Savoye-Collet, C.; Dray, X.; Boudiaf, M.; et al. Diffusion-weighted MRI in Crohn’s disease: Current status and recommendations. J. Magn. Reson. Imaging 2016, 44, 1381–1396. [Google Scholar] [CrossRef]
- Pendsé, D.A.; Makanyanga, J.C.; Plumb, A.A.; Bhatnagar, G.; Atkinson, D.; Rodriguez-Justo, M.; Halligan, S.; Taylor, S.A. Diffusion-weighted imaging for evaluating inflammatory activity in Crohn’s disease: Comparison with histopathology, conventional MRI activity scores, and faecal calprotectin. Abdom. Radiol. 2017, 42, 115–123. [Google Scholar] [CrossRef]
- Chatterji, M.; Fidler, J.L.; Taylor, S.A.; Anupindi, S.A.; Yeh, B.M.; Guglielmo, F.F. State of the Art MR Enterography Technique. Top. Magn. Reson. Imaging 2021, 30, 3–11. [Google Scholar] [CrossRef]
- Frøkjaer, J.B.; Larsen, E.; Steffensen, E.; Nielsen, A.H.; Drewes, A.M. Magnetic resonance imaging of the small bowel in Crohn’s disease. Scand. J. Gastroenterol. 2005, 40, 832–842. [Google Scholar] [CrossRef] [PubMed]
- Mantarro, A.; Scalise, P.; Guidi, E.; Neri, E. Magnetic resonance enterography in Crohn’s disease: How we do it and common imaging findings. World J. Radiol. 2017, 9, 46–54. [Google Scholar] [CrossRef] [PubMed]
- Dubron, C.; Avni, F.; Boutry, N.; Turck, D.; Duhamel, A.; Amzallag-Bellenger, E. Prospective evaluation of free-breathing diffusion-weighted imaging for the detection of inflammatory bowel disease with MR enterography in childhood population. Br. J. Radiol. 2016, 89, 20150840. [Google Scholar] [CrossRef]
- Oussalah, A.; Laurent, V.; Bruot, O.; Bressenot, A.; Bigard, M.A.; Régent, D.; Peyrin-Biroulet, L. Diffusion-weighted magnetic resonance without bowel preparation for detecting colonic inflammation in inflammatory bowel disease. Gut 2010, 59, 1056–1065. [Google Scholar] [CrossRef]
- Capozzi, N.; Ordás, I.; Fernandez-Clotet, A.; Castro-Poceiro, J.; Rodríguez, S.; Alfaro, I.; Sapena, V.; Masamunt, M.C.; Ricart, E.; Panés, J.; et al. Validation of the Simplified Magnetic Resonance Index of Activity [sMARIA] Without Gadolinium-enhanced Sequences for Crohn’s Disease. J. Crohns. Colitis. 2020, 14, 1074–1081. [Google Scholar] [CrossRef] [PubMed]
- Dillman, J.R.; Smith, E.A.; Khalatbari, S.; Strouse, P.J.I.v. glucagon use in pediatric MR enterography: Effect on image quality, length of examination, and patient tolerance. AJR Am. J. Roentgenol. 2013, 201, 185–189. [Google Scholar] [CrossRef]
- Gutzeit, A.; Binkert, C.A.; Koh, D.M.; Hergan, K.; von Weymarn, C.; Graf, N.; Patak, M.A.; Roos, J.E.; Horstmann, M.; Kos, S.; et al. Evaluation of the anti-peristaltic effect of glucagon and hyoscine on the small bowel: Comparison of intravenous and intramuscular drug administration. Eur. Radiol. 2012, 22, 1186–1194. [Google Scholar] [CrossRef] [PubMed]
- Koplay, M.; Guneyli, S.; Cebeci, H.; Korkmaz, H.; Emiroglu, H.H.; Sekmenli, T.; Paksoy, Y. Magnetic resonance enterography with oral mannitol solution: Diagnostic efficacy and image quality in Crohn disease. Diagn. Interv. Imaging 2017, 98, 893–899. [Google Scholar] [CrossRef] [PubMed]
- Park, S.H. DWI at MR Enterography for Evaluating Bowel Inflammation in Crohn Disease. AJR Am. J. Roentgenol. 2016, 207, 40–48. [Google Scholar] [CrossRef]
- Bruining, D.H.; Zimmermann, E.M.; Loftus, E.V.; Sandborn, W.J.; Sauer, C.G.; Strong, S.A.; Panel, S.O.A.R.C.D.-F. Consensus Recommendations for Evaluation, Interpretation, and Utilization of Computed Tomography and Magnetic Resonance Enterography in Patients With Small Bowel Crohn’s Disease. Radiology 2018, 286, 776–799. [Google Scholar] [CrossRef]
- Zaitsev, M.; Maclaren, J.; Herbst, M. Motion artifacts in MRI: A complex problem with many partial solutions. J. Magn. Reson. Imaging 2015, 42, 887–901. [Google Scholar] [CrossRef]
- Havsteen, I.; Ohlhues, A.; Madsen, K.H.; Nybing, J.D.; Christensen, H.; Christensen, A. Are Movement Artifacts in Magnetic Resonance Imaging a Real Problem?-A Narrative Review. Front. Neurol. 2017, 8, 232. [Google Scholar] [CrossRef]
- Masselli, G.; Casciani, E.; Polettini, E.; Gualdi, G. Comparison of MR enteroclysis with MR enterography and conventional enteroclysis in patients with Crohn’s disease. Eur. Radiol. 2008, 18, 438–447. [Google Scholar] [CrossRef]
- Schreyer, A.G.; Geissler, A.; Albrich, H.; Schölmerich, J.; Feuerbach, S.; Rogler, G.; Völk, M.; Herfarth, H. Abdominal MRI after enteroclysis or with oral contrast in patients with suspected or proven Crohn’s disease. Clin. Gastroenterol. Hepatol. 2004, 2, 491–497. [Google Scholar] [CrossRef]
- Absah, I.; Bruining, D.H.; Matsumoto, J.M.; Weisbrod, A.J.; Fletcher, J.G.; Fidler, J.L.; Faubion, W.A. MR enterography in pediatric inflammatory bowel disease: Retrospective assessment of patient tolerance, image quality, and initial performance estimates. AJR Am. J. Roentgenol. 2012, 199, W367–W375. [Google Scholar] [CrossRef] [PubMed]
- Bosemani, T.; Ozturk, A.; Tekes, A.; Hemker, M.O.; Huisman, T.A. Feasibility of an optimized MR enterography protocol in the evaluation of pediatric inflammatory bowel disease. JBR-BTR 2013, 96, 196–202. [Google Scholar] [CrossRef] [PubMed][Green Version]
- Borthne, A.S.; Abdelnoor, M.; Rugtveit, J.; Perminow, G.; Reiseter, T.; Kløw, N.E. Bowel magnetic resonance imaging of pediatric patients with oral mannitol MRI compared to endoscopy and intestinal ultrasound. Eur. Radiol. 2006, 16, 207–214. [Google Scholar] [CrossRef]
- Lawrance, I.C.; Welman, C.J.; Shipman, P.; Murray, K. Small bowel MRI enteroclysis or follow through: Which is optimal? World J. Gastroenterol. 2009, 15, 5300–5306. [Google Scholar] [CrossRef]
- Rieber, A.; Aschoff, A.; Nüssle, K.; Wruk, D.; Tomczak, R.; Reinshagen, M.; Adler, G.; Brambs, H.J. MRI in the diagnosis of small bowel disease: Use of positive and negative oral contrast media in combination with enteroclysis. Eur. Radiol. 2000, 10, 1377–1382. [Google Scholar] [CrossRef] [PubMed]
- Grand, D.J.; Beland, M.D.; Machan, J.T.; Mayo-Smith, W.W. Detection of Crohn’s disease: Comparison of CT and MR enterography without anti-peristaltic agents performed on the same day. Eur. J. Radiol. 2012, 81, 1735–1741. [Google Scholar] [CrossRef]
- Dagia, C.; Ditchfield, M.; Kean, M.; Catto-Smith, A. Feasibility of 3-T MRI for the evaluation of Crohn disease in children. Pediatr. Radiol. 2010, 40, 1615–1624. [Google Scholar] [CrossRef]
- Siddiki, H.A.; Fidler, J.L.; Fletcher, J.G.; Burton, S.S.; Huprich, J.E.; Hough, D.M.; Johnson, C.D.; Bruining, D.H.; Loftus, E.V.; Sandborn, W.J.; et al. Prospective comparison of state-of-the-art MR enterography and CT enterography in small-bowel Crohn’s disease. AJR Am. J. Roentgenol. 2009, 193, 113–121. [Google Scholar] [CrossRef]
- Schreyer, A.G.; Rath, H.C.; Kikinis, R.; Völk, M.; Schölmerich, J.; Feuerbach, S.; Rogler, G.; Seitz, J.; Herfarth, H. Comparison of magnetic resonance imaging colonography with conventional colonoscopy for the assessment of intestinal inflammation in patients with inflammatory bowel disease: A feasibility study. Gut 2005, 54, 250–256. [Google Scholar] [CrossRef]
- Bekendam, M.I.J.; Puylaert, C.A.J.; Phoa, S.K.S.S.; Nio, C.Y.; Stoker, J. Shortened oral contrast preparation for improved small bowel distension at MR enterography. Abdom. Radiol. 2017, 42, 2225–2232. [Google Scholar] [CrossRef]
- Ajaj, W.; Goehde, S.C.; Schneemann, H.; Ruehm, S.G.; Debatin, J.F.; Lauenstein, T.C. Dose optimization of mannitol solution for small bowel distension in MRI. J. Magn. Reson. Imaging 2004, 20, 648–653. [Google Scholar] [CrossRef] [PubMed]
- Ajaj, W.; Goehde, S.C.; Schneemann, H.; Ruehm, S.G.; Debatin, J.F.; Lauenstein, T.C. Oral contrast agents for small bowel MRI: Comparison of different additives to optimize bowel distension. Eur. Radiol. 2004, 14, 458–464. [Google Scholar] [CrossRef] [PubMed]
- Bhatnagar, G.; Mallett, S.; Quinn, L.; Ilangovan, R.; Patel, U.; Jaffer, A.; Pawley, C.; Gupta, A.; Higginson, A.; Slater, A.; et al. Influence of oral contrast type and volume on patient experience and quality of luminal distension at MR Enterography in Crohn’s disease: An observational study of patients recruited to the METRIC trial. Eur. Radiol. 2022, 32, 5075–5085. [Google Scholar] [CrossRef] [PubMed]
- Schmidt, S.A.; Baumann, J.A.; Stanescu-Siegmund, N.; Froehlich, E.; Brambs, H.J.; Juchems, M.S. Oral distension methods for small bowel MRI: Comparison of different agents to optimize bowel distension. Acta Radiol. 2016, 57, 1460–1467. [Google Scholar] [CrossRef] [PubMed]
- Tkalčić, L.; Matana Kaštelan, Z.; Grubešić, T.; Mijandrušić Sinčić, B.; Milić, S.; Miletić, D. MR enterocolonography in patients with Crohn’s disease and healthy volunteers—Do we achieve diagnostic bowel distension? Eur. J. Radiol. 2020, 129, 109100. [Google Scholar] [CrossRef]
- American College of Radiology. ACR–SAR–SPR Practice Parameter for the Performance of Magnetic Resonance (Mr) Enterography; American College of Radiology: Reston, VA, USA, 2020. [Google Scholar]
- Park, S.H.; Huh, J.; Lee, S.S.; Kim, A.Y.; Yang, S.K. Diffusion-weighted MR enterography for evaluating Crohn’s disease: Effect of anti-peristaltic agent on the diagnosis of bowel inflammation. Eur. Radiol. 2017, 27, 2554–2562. [Google Scholar] [CrossRef]
- Rao, A.; Sitheeque, F.; Gustafson, S.; Lu, M.; Prior, M. MR enterography—Impact on image quality between single- versus split-dose Buscopan. J. Med. Imaging Radiat. Oncol. 2020, 64, 331–337. [Google Scholar] [CrossRef]
- Froehlich, J.M.; Daenzer, M.; von Weymarn, C.; Erturk, S.M.; Zollikofer, C.L.; Patak, M.A. Aperistaltic effect of hyoscine N-butylbromide versus glucagon on the small bowel assessed by magnetic resonance imaging. Eur. Radiol. 2009, 19, 1387–1393. [Google Scholar] [CrossRef]
- Vu, K.N.; Haldipur, A.G.; Roh, A.T.; Lindholm, P.; Loening, A.M. Comparison of End-Expiration Versus End-Inspiration Breath-Holds With Respect to Respiratory Motion Artifacts on T1-Weighted Abdominal MRI. AJR Am. J. Roentgenol. 2019, 212, 1024–1029. [Google Scholar] [CrossRef]
- Gourtsoyiannis, N.; Papanikolaou, N.; Grammatikakis, J.; Prassopoulos, P. MR enteroclysis: Technical considerations and clinical applications. Eur. Radiol. 2002, 12, 2651–2658. [Google Scholar] [CrossRef]
- Cronin, C.G.; Lohan, D.G.; Mhuircheartaigh, J.N.; McKenna, D.; Alhajeri, N.; Roche, C.; Murphy, J.M. MRI small-bowel follow-through: Prone versus supine patient positioning for best small-bowel distention and lesion detection. AJR Am. J. Roentgenol. 2008, 191, 502–506. [Google Scholar] [CrossRef] [PubMed]
- Negaard, A.; Sandvik, L.; Berstad, A.E.; Paulsen, V.; Lygren, I.; Borthne, A.; Klow, N.E. MRI of the small bowel with oral contrast or nasojejunal intubation in Crohn’s disease: Randomized comparison of patient acceptance. Scand. J. Gastroenterol. 2008, 43, 44–51. [Google Scholar] [CrossRef] [PubMed]
- Ajaj, W.; Lauenstein, T.C.; Langhorst, J.; Kuehle, C.; Goyen, M.; Zoepf, T.; Ruehm, S.G.; Gerken, G.; Debatin, J.F.; Goehde, S.C. Small bowel hydro-MR imaging for optimized ileocecal distension in Crohn’s disease: Should an additional rectal enema filling be performed? J. Magn. Reson. Imaging 2005, 22, 92–100. [Google Scholar] [CrossRef] [PubMed]
- Kuehle, C.A.; Ajaj, W.; Ladd, S.C.; Massing, S.; Barkhausen, J.; Lauenstein, T.C. Hydro-MRI of the small bowel: Effect of contrast volume, timing of contrast administration, and data acquisition on bowel distention. AJR Am. J. Roentgenol. 2006, 187, W375–W385. [Google Scholar] [CrossRef]
- Saini, S.; Colak, E.; Anthwal, S.; Vlachou, P.A.; Raikhlin, A.; Kirpalani, A. Comparison of 3% sorbitol vs psyllium fibre as oral contrast agents in MR enterography. Br. J. Radiol. 2014, 87, 20140100. [Google Scholar] [CrossRef]
- Gottumukkala, R.V.; LaPointe, A.; Sargent, D.; Gee, M.S. Comparison of three oral contrast preparations for magnetic resonance enterography in pediatric patients with known or suspected Crohn disease: A prospective randomized trial. Pediatr. Radiol. 2019, 49, 889–896. [Google Scholar] [CrossRef]
- Kinner, S.; Kuehle, C.A.; Herbig, S.; Haag, S.; Ladd, S.C.; Barkhausen, J.; Lauenstein, T.C. MRI of the small bowel: Can sufficient bowel distension be achieved with small volumes of oral contrast? Eur. Radiol. 2008, 18, 2542–2548. [Google Scholar] [CrossRef]
- Friedrich, C.; Fajfar, A.; Pawlik, M.; Hoffstetter, P.; Rennert, J.; Agha, A.; Jung, E.M.; Ott, C.; Stroszczynski, C.; Schreyer, A.G. Magnetic resonance enterography with and without biphasic contrast agent enema compared to conventional ileocolonoscopy in patients with Crohn’s disease. Inflamm. Bowel. Dis. 2012, 18, 1842–1848. [Google Scholar] [CrossRef]
- Rimola, J.; Ordás, I.; Rodriguez, S.; García-Bosch, O.; Aceituno, M.; Llach, J.; Ayuso, C.; Ricart, E.; Panés, J. Magnetic resonance imaging for evaluation of Crohn’s disease: Validation of parameters of severity and quantitative index of activity. Inflamm. Bowel. Dis. 2011, 17, 1759–1768. [Google Scholar] [CrossRef]
- Bharucha, A.E.; Fidler, J.L.; Huprich, J.E.; Ratuapli, S.K.; Holmes, D.R.; Riederer, S.J.; Zinsmeister, A.R. A prospective randomized controlled study of erythromycin on gastric and small intestinal distention: Implications for MR enterography. Eur. J. Radiol. 2014, 83, 2001–2006. [Google Scholar] [CrossRef]



| Study | CD vs. Non-IBD | Adult vs. Paediatric Cohort | n | Aim(s) of Study | Type/Volume Ingestion (mL)/Time | Antiperistalsis Agent/Dose | Bowel Segment | MRI Strength | Description of Motion Artifact | Study Outcome Relevant to Motion Artifact |
|---|---|---|---|---|---|---|---|---|---|---|
| Absah et al. [42] | CD | P | 70 | Evaluate image quality, oral contrast administration and bowel distention, side effects, and performance estimates of MRE | Barium sulfate/600 mL/2 h Barium sulfate/1350 mL/2 h if weight > 27.2 kg If volume not tolerated, water and/or juice offered as well. | IV glucagon/0.006 mg/kg | J I AC TC DC RS | 1.5 T | Respiratory and peristalsis-related artifact grading: 1 = uninterpretable 2 = moderate to severe artifacts resulting in markedly decreased diagnostic confidence 3 = moderate artifacts resulting in moderately decreased diagnostic confidence 4 = minimal artifacts not affecting diagnostic confidence 5 = no artifacts with excellent image quality). >4 was acceptable | Mean image artifact quality score for unenhanced pulse sequences was 4.7 ± 0.5 which was significantly greater than gadolinium-enhanced sequences at 4.1 ± 0.8 (p < 0.0001; mean difference, 0.66; 95% CI, 0.51–0.81). Respiratory motion artifacts were highest in coronal 2D fast spoiled gradient-recalled echo sequences. |
| Bosemani et al. [43] | CD | P | 34 | Evaluate developed MRE protocol | Barium sulfate/10 mL per kg/60 min | IV glucagon/0.5 mg if <20 kg/1 mg if >20 kg | D J I TI C R AnalC | 1.5, 3 T | Overall bowel grading of study: 0 = nondiagnostic, extensive motion artifacts 1 = diagnostic, moderate motion artifacts 2 = highly diagnostic, no motion artifacts | Overall grading of study: 0 = 1/34 (2.9%) 1 = 7/34 (20.6%) 2 = 26/34 (76.5) 76.5% of assessed image sequences had no motion artifacts |
| Borthne et al. [44] | Suspected CD | P | 43 | Determine the diagnostic accuracy of small bowel MRI using mannitol as the contrast agent | Mannitol/weight based/60 min Median 300 mL (range 200–500 mL) | IV Buscopan/20 mg | D J I TI AC TC LC | 1.5 T | Grading: 0 = blurred bowel wall 1 = only portion of the bowel wall segment visible 2 = wall of the segment seen but not in its entire length 3 = wall clearly seen in its entire length 4 = excellent delineation of the wall | Median Score D = 3 J = 3 I = 4 TI = 4 AC = 4 TC = 2 LC = 0 Median image quality was evaluated as very good or excellent from the jejunum to the ascending colon |
| Lawrance et al. [45] | Mixed | A | 114 | Evaluation of MRE vs. MR enteroclysis | MRE: Polyethylene glycol/1000 mL/20 min MR enteroclysis: polyethylene glycol/1000–2000 mL/immediately prior to scan | IV Buscopan/10 mg | Prox. SB Distal SB | 1.5 T | Present if images diagnostically impaired on both sequence planes through a region | Outcome: Image artifacts were present more frequently in MR enteroclysis than in MRE (29.2% vs. 18.4%) but non-significant (p = 0.30) |
| Rieber et al. [46] | Inflammatory or tumorous bowel disease | A | 50 | Diagnostic capacity of MR enteroclysis with positive vs. negative contrast media | Barium suspension and methyl hydroxycellulose/1400 mL/immediately prior to scan Plus, positive, or negative contrast | IV Buscopan/20 mg | J PTI TI Ce | 1.5 T | Grading: 1 = differentiation of small bowel wall is impossible 2 = differentiation of small bowel wall is possible but accurate assessment of small bowel wall is impossible due to blurring 3 = clear differentiation of the small bowel wall with an accurate determination of the thickness of the small bowel wall. | Not assessed |
| Koplay et al. [35] | Known or presumed CD | A and P | 153 | Diagnostic accuracy and image quality of MRE using oral mannitol solution vs. colonoscopy | 3% mannitol/1300–1500 mL/60 min | IV Buscopan/20 mg or weight based if <50 kg | D J I TI | 1.5 T | Combined grading with bowel distension: 1 = excellent luminal distention, without artifacts 2 = good luminal distention, mildly artifacted 3 = artifacted, inadequate but assessable in terms of CD 4 = poor/nondiagnostic, cannot be assessed. | Mean quality score per segment D = 1.92 J = 1.6 I = 1.12 TI = 1.15 37% of assessed segments were affected by motion artifacts. Lowest quality seen in duodenum and jejunum. |
| Grand et al. [47] | Mixed | A | 26 | Diagnostic capacity of CTE and MRE without antiperistalsis agents | Barium sulfate/900 mL/60 min | Nil | TI C | 1.5 T | Grading: 0–10 (10 highest) of exam quality (combining presence/absence of motion artifacts and adequacy of bowel distention) | Reader 1: MRE quality 9.0/10 (6–10) Reader 2: MRE quality 7.2/10 (6–10) Quality of MRE was lower compared to CTE but no difference in diagnostic accuracy |
| Dagia et al. [48] | CD | P | 42 | Diagnostic accuracy of 3 T MRE | Sorbitol/1000–1500 mL/60 min 36/42 MR enterography 6/42 MR enteroclysis | IV Buscopan/weight based up to 20 mg | J + PTI TI Ce + C | 3 T | Image quality affected by respiratory and motion artifacts vs. not affected, evaluated for each sequence | T2 sequences: 17 to 21% affected T1 post-contrast sequences: 42 to 59% affected |
| Frøkjær et al. [28] | Likely CD | A | 36 | Diagnostic accuracy of MRE compared to conventional enteroclysis | Plum juice plus psyllium husk/1000 mL/150 min | IV Buscopan/20 mg | TI Ce | 1.5 T | Grading by addition of score for artifacts and distension (max score of 6): 0 = no distension 3 = maximal distention 0 = severe artifacts 3 = no artifacts | Mean quality score: 4.49 ± 0.8 No sub-analysis of motion artifacts performed |
| Siddiki et al. [49] | CD | A | 33 | Diagnostic accuracy of MRE vs. CTE | Barium sulfate + water/1850 mL/60 min | IV glucagon/0.5 mg | D Proximal J Distal J PTI I TI | 1.5 T | Grading: 1 = uninterpretable 2 = moderately severe artifacts, markedly diminished confidence 3 = moderate artifacts, mild to moderate decrease in reader confidence 4 = minimum artifacts, no effect on confidence 5 = excellent quality | Mean MRE quality score of 4.7 (Mean CTE quality score of 5) MRE showed significantly lower quality vs. CTE (p = 0.005) |
| Schreyer et al. [50] | Known or presumed CD | A | 22 | Diagnostic accuracy of MR colonography vs. conventional colonoscopy | Nil Bowel preparation completed day prior/1.5 L of gadolinium and water mixture inserted per rectally | IV Buscopan/40 mg | TI Ce AC TC DC SC R | 1.5 T | Combined grading with bowel distension: 0: >50% of the segment was not adequately distended or image impression was disturbed by motion artifacts 1: segment distension from 50% to 80% without major motion artifacts air quality 2: segment distended more than 80% without any image artifacts | Colonic segments and TI assessed. Did not assess remainder of small bowel. Grading outcome: 0 = 2.6% of segments 1 = 20.1% of segments 2 = 77.3% of segments scanned MR colonography provided good quality scans from the TC to the rectum. |
| Schreyer et al. [41] | Known or presumed CD | A | 21 | Diagnostic accuracy of MR enteroclysis vs. MRE | MR enteroclysis: barium sulfate with methylcellulose/1990 mL/immediately pre-scan MRE: pineapple juice with methylcellulose/2000 mL/120 min | IV Buscopan/40 mg | Proximal SB TI | 1.5 T | Grading: 1 = nondiagnostic images 2 = images with numerous artifacts 3 = diagnostic images with few artifacts 4 = diagnostic images with good quality 5 = diagnostic images with excellent quality | MRE: Mean quality proximal SB: 4.68 ± 0.58, TI: 4.25 ± 0.91 MR enteroclysis Mean quality proximal SB: 4.35 ± 0.88, TI: 4.75 ± 0.64 No significant differences in motion artifacts between MRE and MR enteroclysis |
| Masselli et al. [40] | CD | A | 40 | Diagnostic accuracy of MR enteroclysis vs. MRE and CT enteroclysis | MR enteroclysis: polyethylene glycol/1600–2000 mL/immediately prior to scan MRE: polyethylene Glycol/1800 mL/50 min | IV Buscopan/20 mg | J PTI TI | 1.5 T | Grading: 1 = nondiagnostic images 2 = images with numerous artifacts 3 = diagnostic images with few artifacts 4 = diagnostic images with good quality 5 = diagnostic images with excellent quality | MRE: Mean quality score of 4.4 MR enteroclysis: Mean quality score of 4.5 No statistically significant differences between MRE and MR enteroclysis (p = 0.13) |
| Bekendam et al. [51] | CD | A | 100 | Comparison of bowel distension and image quality based upon time prior to scan in which oral contrast ingested | 2% mannitol/1600 mL/45 min vs. 60 min | IV Buscopan/20 mg | S D J I TI SB | 1.5 T | Grading: 0 = nondiagnostic quality 1 = diagnostic quality with numerous artifacts 2 = diagnostic with a few artifacts 3 = diagnostic with no artifacts | All scans considered diagnostic quality Mean quality scores for oral contrast over 45 min for two readers: 2.8 and 2.2 Mean quality scores for oral contrast over 60 min for two readers: 2.8 and 2.1 |
| Study | CD vs. Non IBD | Adult vs. Paediatric Cohort | n | Aim(s) of Study | Type/Volume Ingestion (mL)/Time (min) | Antiperistalsis Agent/Dose | Bowel Segment | MRI Strength | Description of Bowel Distension | Study Outcome Relevant to Bowel Distension |
|---|---|---|---|---|---|---|---|---|---|---|
| Absah et al. [42] | CD | P | 70 | Evaluate image quality, oral contrast administration and bowel distention, side effects, and performance estimates of MRE | 600 mL/2 h 1350 mL/2 h if weight > 27.2 kg If volume not tolerated, water and/or juice offered as well. | IV glucagon/0.006 mg/kg | J I AC TC DC RS | 1.5 T | Grading: 1 = luminal collapse compromising diagnostic interpretation 2 = markedly suboptimal bowel distention resulting in markedly decreased diagnostic confidence 3 = moderately suboptimal distention resulting in moderately decreased diagnostic confidence 4 = good but suboptimal bowel distention not affecting diagnostic confidence 5 = excellent optimal bowel distention | Poor bowel distension resulting in reduction in image quality. Age was an independent predictor of volume of ingested contrast(p = 0.009) |
| Bosemani et al. [43] | CD | P | 34 | Evaluation of developed MRE protocol | Barium sulfate/60 min/10 mL per kg | IV glucagon/0.5 mg if <20 kg IV glucagon/1 mg if >20 kg | D J I TI C R AnalC | 1.5 and 3 T | Grading 0 = poor distension 1 = mild distension 2 = moderate distension 3 = excellent distension | Grading (3/excellent): D = 29/34 (85.3%) J = 29/34 (85.3%) I = 31/34 (91.2%) TI = 21/34 (61.8%) Caecum = 12/34 (44.4%) Colon = 17/34 (77.3%) Rectum = 7/34 (36.8%) |
| Borthne et al. [44] | Suspected | P | 43 | Determine the diagnostic accuracy of MRI of the small bowel using mannitol as the contrast agent | Mannitol/weight based/60 min Median 300 mL (range 200 to 500 mL) | IV Buscopan/20 mg | D J I TI AC TC LC | 1.5 T | Grading: 0 = poor 1 = moderate 2 = good 3 = very good 4 = excellent | Distension outcome (>grade 3): D 47.1% J 58.5% I 79.2% TI 77.3% |
| Lawrance et al. [45] | Mixed | A | 114 | Evaluation of MRE vs. MR enteroclysis | MRE: polyethylene glycol/1000 mL/20 min MR enteroclysis: polyethylene glycol/immediately prior to scan/1000–2000 mL | IV Buscopan/10 mg | Proximal SB Distal SB | 1.5 T | Good distension was defined as: luminal fluid present within the bowel lumen allowing clear visualisation of both endoluminal surfaces Any other was defined as poor | Grading outcome (good): Proximal SB: MRE 65.3%, MR enteroclysis 84.6% Distal SB: MRE 97.8% MR enteroclysis 95.4% Proximal SB distension was overall more likely to be suboptimal in MRE than in MR enteroclysis (OR = 4.365, 95% CI = 1.62–11.77, p = 0.0036) |
| Frøkjær et al. [28] | Likely CD | A | 36 | Diagnostic accuracy of MRE compared to conventional enteroclysis | Plum juice plus psyllium husk/1000 mL/150 min | IV Buscopan/20 mg | TI Ce | 1.5 T | Grading by addition of score for artifacts and distension (max score of 6): 0 = no distension 3 = maximal distention 0 = severe artifacts 3 = no artifacts | Mean quality score: 4.49 ± 0.8No sub-analysis of bowel distension performed |
| Schreyer et al. [50] | Known or presumed CD | A | 22 | Diagnostic accuracy of MR colonography compared to conventional colonoscopy | Nil Bowel preparation completed the day prior/1.5 L of gadolinium and water mixture was inserted per rectally | IV Buscopan/40 mg | TI Ce AC TC DC SC R | 1.5 T | Combined grading with bowel distension: 0: >50% of the segment was not adequately distended or image impression was disturbed by motion artifacts 1: segment distension from 50% to 80% without major motion artifacts air quality 2: segment distended more than 80% without any image artifacts | Colonic segments and TI assessed. Did not assess remainder of small bowel. Grading outcome: 0 = 2.6% of segments scanned 1 = 20.1% of segments scanned 2 = 77.3% of segments scanned MR colonography provided good quality scans from the TC to the Rectum. |
| Ajaj et al. [52] | Healthy volunteers | A | 10 | Comparison of 4 different volumes of oral contrast agent with 2.5% mannitol and 0.2% LBG volume | 2.5% mannitol and 0.2% LBG/1500 mL, 1200 mL, 1000 mL, 800 mL/45 min prior to scan with IV erythromycin | Nil | Eight small bowel loops spaced between the jejunum and ileum | 1.5 T | Grading: 0 = very poor 1 = poor 2 = fair 3 = good 4 = excellent | Mean grade of distension: 1500 mL: 3.4 1200 mL: 3.2 1000 mL: 3.1 800 mL: 2.0 800 mL was statistically inferior to higher volumes (p > 0.05) 1200 and 1500 mL had more side effects. |
| Ajaj et al. [53] | Healthy volunteers | A | 12 | Comparison of 4 different oral contrast agents combined with 0.2% LBG | Mannitol 2.5%, sorbitol 2.5%, sorbitol 2.0%, sorbitol 1.5%/1500 mL/40 min pre-scan with IV erythromycin | Nil | Eight small bowel loops spaced between the jejunum and ileum | 1.5 T | Grading: 0 = very poor 1 = poor 2 = fair 3 = good 4 = excellent | Quantitative small bowel distension was statistically significant for mannitol compared with sorbitol 2.5% and sorbitol 1.5%. The sorbitol 2.0% solution showed no statistically significant difference to mannitol. No statistically significant difference in loop diameter was found between ileum and jejunum for all four contrast solutions. |
| Bekendam et al. [51] | CD | A | 100 | Comparison of bowel distension and image quality based upon time prior to scan in which oral contrast ingested | 2% mannitol/1600 mL/45 vs. 60 min | IV Buscopan/20 mg | S D J I TI SB | 1.5 T | Grading: 0 = no distension or collapsed segment (<25% of segment adequately distended). 1 = insufficient distension (25–50% of segment adequately distended) 2 = sub-optimal distension (50–75% of segment adequately distended) 3 = optimal distension (>75% of segment adequately distended) | Statistically significant (p < 0.05) improvement in distension in the 45-min cohort within the stomach, jejunum, and total SB. No statistical differences for ileum and terminal ileum between two protocols. |
| Koplay et al. [35] | Known or presumed CD | A and P | 153 | Diagnostic accuracy and image quality of MRE using oral mannitol solution vs. colonoscopy | 3% mannitol/1300–1500 mL/60 min | IV Buscopan/20 mg or weight based if <50 kg | D J I TI | 1.5 T | Combined grading with bowel distension: 1 = excellent luminal distention, without artifacts 2 = good luminal distention, mildly artifacted 3 = artifacted, inadequate but assessable in terms of CD 4 = poor/nondiagnostic, cannot be assessed. | Mean quality score per segment D = 1.92 J = 1.6 I = 1.12 TI = 1.15 Best dilatation seen in ileal and terminal ileum |
| Schreyer et al. [41] | Known or presumed CD | A | 21 | Diagnostic accuracy of MR enterocylsis compared to MRE | MR enteroclysis: barium sulfate with methylcellulose/1990 mL/immediately prior to scan MRE: pineapple juice with methylcellulose/2000 mL/120 min | IV Buscopan/40 mg | Proximal SBTI | 1.5 T | Objective grading: 1 = 20% of the small bowel adequately distended 2 = 20–40% adequately distended 3 = 40–60% adequately distended 4 = 60–80% adequately distended 5 = excellent distention, 80% distended | MRE: Mean quality proximal SB: 4.68 ± 0.58, TI: 4.25 ± 0.91 MR enteroclysis Mean quality proximal SB: 4.35 ± 0.88, TI: 4.75 ± 0.64 No difference in distension in proximal SB and TI between MR enteroclysis and MRE. No significant difference in CD activity assessment across MR enteroclysis and MRE. |
| Bhatnagar et al. [54] | CD | A | 105 (68 mannitol cohort, 37 in PEG cohort) | PEG vs. mannitol for improved bowel distension | PEG, mannitol/1500–2000 mL/45–60 min prior to scan | Unknown | D J I TI RC | unknown | Grading: 0 = very poor distension 1 = poor distension 2 = fair distension 3 = good distension 4 = excellent distension | Per patient distension quality was similar between agents. Jejunal distension was significantly better with mannitol compared to PEG. No difference if <1 L or >1 L on ileum/terminal ileum distension but jejunum better if >1 L. |
| Schmidt et al. [55] | Non-IBD | A | 45 | Comparison of 3 contrast agents to determine which provides the best small bowel distension in MRE/MR enteroclysis | MR enteroclysis: pirenzepine day prior. tylose/1500 mL/immediately prior to scan MRE: LBG in mannitol/1500 mL/90 min MRE: psyllium in water/1500 mL/270 min | IV Buscopan/10 mg | D TI Ce | 1.5 T | Grading: 1 = very good 2 = good 3 = moderate 4 = poor 5 = impossible Diameter of small bowel also assessed | Tylose via MR enteroclysis was superior to psyllium in water and LBG in mannitol for image quality in the duodenum and proximal jejunum (p = 0.030) LBG in mannitol was superior to the other methods for distension of the ileum and terminal ileum(p = 0.031). |
| Tkalčić et al. [56] | Mixed | A | 164 CD 53 healthy subjects | Optimal time to start oral contrast ingestion prior to MR enterocolonography. Whether rectal water enema instillation and use of spasmolytics improves bowel distension | 0.25% mannitol/1000–1500 mL/60 min Starting 90, 75, 60, 45 and 30 min pre-MR enterocolonography. Also had bowel preparation with PEG day prior | IV Buscopan/20–40 mg | J I TI C LB | 1.5 T | Grading: 1 = several collapsed bowel segments or longer segment without luminal content 2 = isolated collapse of short bowel segment 3 = fair bowel distension with luminal content visible in all parts of dependent segment 4 = good bowel distension with a potential for maximal distension 5 = excellent bowel distension | Outcomes: 30–75 min ingestion time provided similar bowel distension with a significant(p <0.05) reduction in the 90 min cohort. Application of spasmolytics: all segments of the small bowel showed significantly better distension (p < 0.05). Application of water enema had significant influence on all segments of large and small bowel distension, (p < 0.05) except for the jejunum in the CD group. |
Publisher’s Note: MDPI stays neutral with regard to jurisdictional claims in published maps and institutional affiliations. |
© 2022 by the authors. Licensee MDPI, Basel, Switzerland. This article is an open access article distributed under the terms and conditions of the Creative Commons Attribution (CC BY) license (https://creativecommons.org/licenses/by/4.0/).
Share and Cite
Bohra, A.; Vasudevan, A.; Kutaiba, N.; Van Langenberg, D.R. Challenges and Strategies to Optimising the Quality of Small Bowel Magnetic Resonance Imaging in Crohn’s Disease. Diagnostics 2022, 12, 2533. https://doi.org/10.3390/diagnostics12102533
Bohra A, Vasudevan A, Kutaiba N, Van Langenberg DR. Challenges and Strategies to Optimising the Quality of Small Bowel Magnetic Resonance Imaging in Crohn’s Disease. Diagnostics. 2022; 12(10):2533. https://doi.org/10.3390/diagnostics12102533
Chicago/Turabian StyleBohra, Anuj, Abhinav Vasudevan, Numan Kutaiba, and Daniel R. Van Langenberg. 2022. "Challenges and Strategies to Optimising the Quality of Small Bowel Magnetic Resonance Imaging in Crohn’s Disease" Diagnostics 12, no. 10: 2533. https://doi.org/10.3390/diagnostics12102533
APA StyleBohra, A., Vasudevan, A., Kutaiba, N., & Van Langenberg, D. R. (2022). Challenges and Strategies to Optimising the Quality of Small Bowel Magnetic Resonance Imaging in Crohn’s Disease. Diagnostics, 12(10), 2533. https://doi.org/10.3390/diagnostics12102533

