Granulomatous Prostatitis, the Great Mimicker of Prostate Cancer: Can Multiparametric MRI Features Help in This Challenging Differential Diagnosis?
Abstract
:1. Introduction
2. Materials and Methods
2.1. Population
2.2. mpMRI
2.3. Image Analysis
2.4. Targeted Biopsy
3. Results
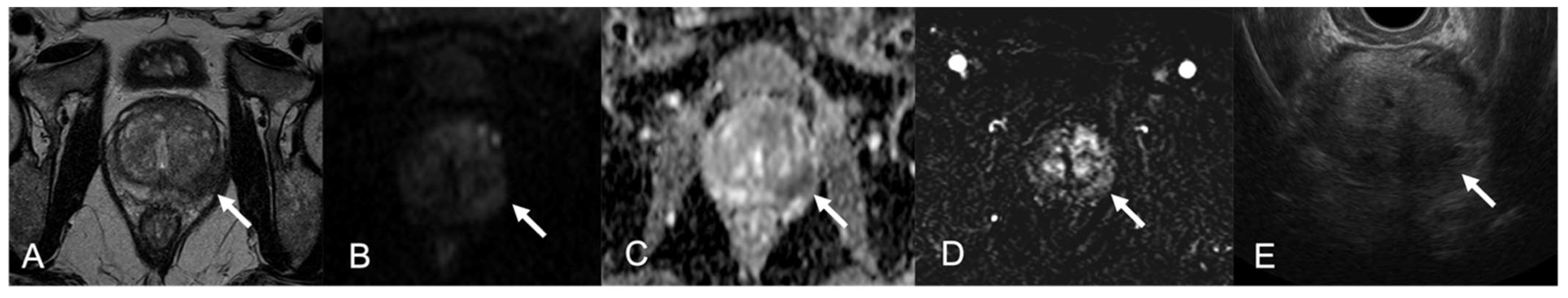
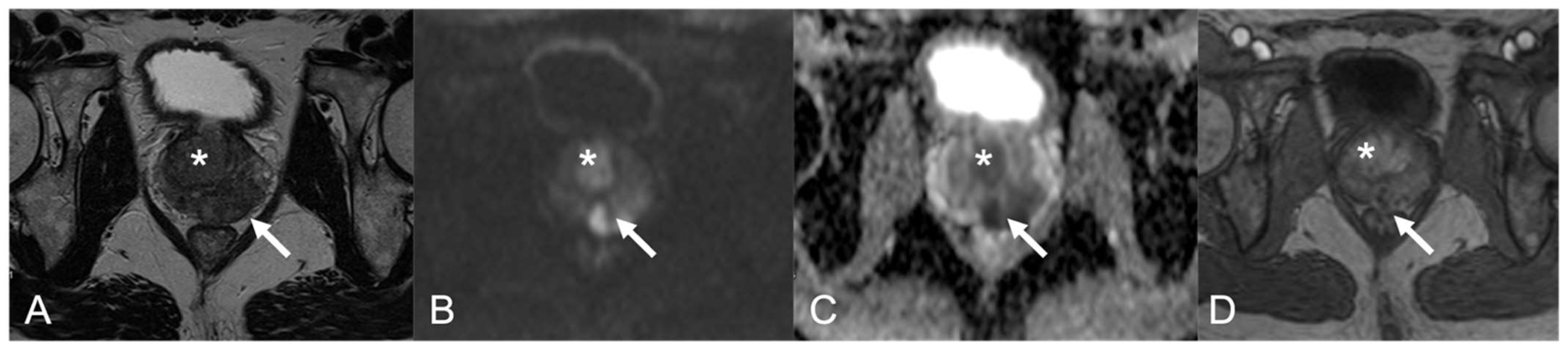
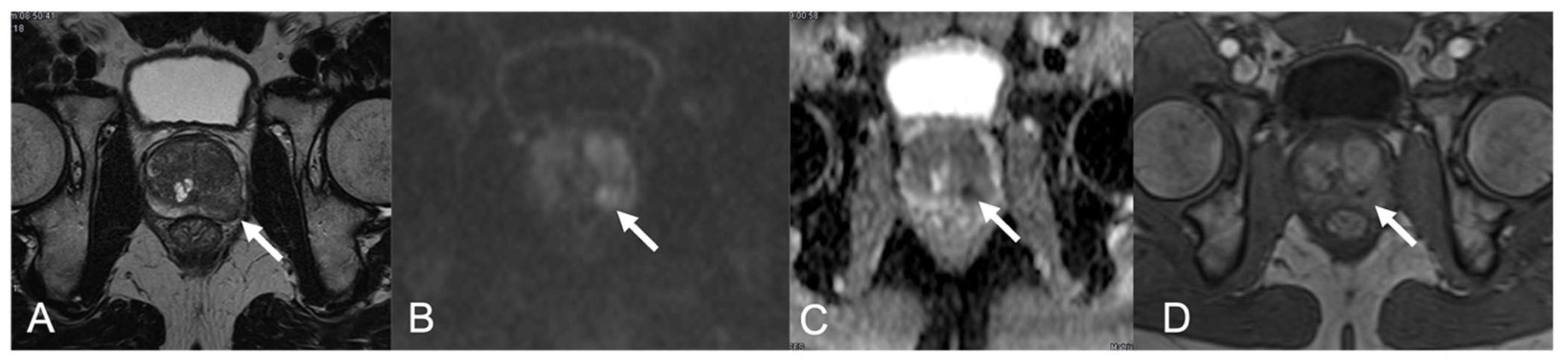
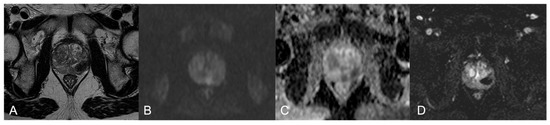
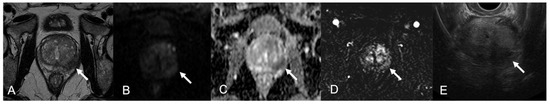
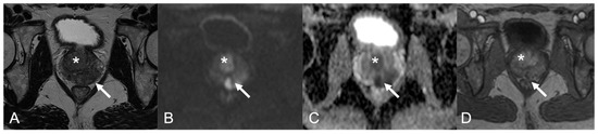
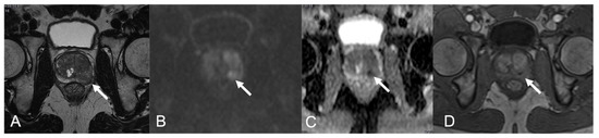
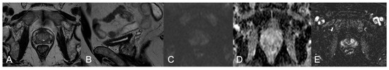
mpMRI Findings
4. Discussion
5. Conclusions
Author Contributions
Funding
Institutional Review Board Statement
Informed Consent Statement
Data Availability Statement
Acknowledgments
Conflicts of Interest
References
- Kitzing, Y.X.; Prando, A.; Varol, C.; Karczmar, G.S.; Maclean, F.; Oto, A. Benign Conditions That Mimic Prostate Carcinoma: MR Imaging Features with Histopathologic Correlation. Radiographics 2016, 36, 162–175. [Google Scholar] [CrossRef] [PubMed]
- Lee, S.M.; Wolfe, K.; Acher, P.; Liyanage, S.H. Multiparametric MRI appearances of primary granulomatous prostatitis. Br. J. Radiol. 2019, 92, 20180075. [Google Scholar] [CrossRef] [PubMed]
- Kumbar, R.; Dravid, N.; Nikumbh, D.; Patil, A.; Nagappa, K.G. Granulomatous Prostatitis: An appraisal. J. Clin. Diagn. Res. 2016, 10, EC20–EC23. [Google Scholar] [CrossRef] [PubMed]
- Mohan, H.; Bal, A.; Punia, R.P.S.; Bawa, A.S. Granulomatous prostatitis–an infrequent diagnosis. Int. J. Urol. 2005, 12, 474–478. [Google Scholar] [CrossRef] [PubMed]
- Bryan, R.L.; Newman, J.; Campbell, A.; Fitzgerald, G.; Kadow, C.; O’brien, J.M. Granulomatous prostatitis: A clinicopathological study. Histopathology 1991, 19, 453–457. [Google Scholar] [CrossRef]
- Lopez-Plaza, I.; Bostwick, D.G. Granulomatous prostatitis. In Contemporary Issues in Surgical Pathology, 1st ed.; Bostwick, D.G., Ed.; Pathology of the Prostate; Churchill Livingstone: Edinburgh, UK, 1990; pp. 19–28. [Google Scholar]
- Young, H.R.; Srigley, R.J.; Amin, B.M.; Ulbright, T.M.; Cubilla, A.L. Tumour–like lesions of the prostate. In Tumours of the Prostate Gland, Seminal Vesicles, Male Urethra and Penis: Atlas of Tumour Pathology; Armed Forces Institute of Pathology (AFIP-28): Washington, DC, USA, 1998; pp. 289–345. [Google Scholar]
- Bertelli, E.; Mercatelli, L.; Marzi, C.; Pachetti, E.; Baccini, M.; Barucci, A.; Colantonio, S.; Gherardini, L.; Lattavo, L.; Pascali, M.A.; et al. Machine and Deep Learning Prediction of Prostate Cancer Aggressiveness Using Multiparametric MRI. Front. Oncol. 2022, 11, 802964. [Google Scholar] [CrossRef] [PubMed]
- Turkbey, B.; Rosenkrantz, A.B.; Haider, M.A.; Padhani, A.R.; Villeirs, G.; Macura, K.J.; Tempany, C.M.; Choyke, P.L.; Cornud, F.; Margolis, D.J.; et al. Prostate Imaging Reporting and Data System Version 2.1: 2019 Update of Prostate Imaging Reporting and Data System Version 2. Eur. Urol. 2019, 76, 340–351. [Google Scholar] [CrossRef]
- Kawada, H.; Kanematsu, M.; Goshima, S.; Kondo, H.; Watanabe, H.; Noda, Y.; Tanahashi, Y.; Kawai, N.; Hoshi, H. Multiphase contrast- enhanced magnetic resonance imaging features of Bacillus Calmette- Guerin-induced granulomatous prostatitis in five patients. Kor. J. Radiol. 2015, 16, 342e8. [Google Scholar] [CrossRef]
- Shukla, P.; Gulwani, H.V.; Kaur, S. Granulomatous prostatitis: Clinical and histomorphologic survey of the disease in a tertiary care hospital. Prostate Int. 2017, 5, 29–34. [Google Scholar] [CrossRef] [PubMed]
- Epstein, J.I.; Hutchins, G.M. Granulomatous prostatitis; distinction among allergic, nonspecific, and post-transurethral resection lesions. Hum. Pathol. 1984, 15, 818e25. [Google Scholar] [CrossRef]
- Tanner, F.H.; McDonald, J.R. Granulomatous prostatitis: A histologic study of a group of granulomatous lesions collected from prostate glands. Arch. Pathol. Lab Med. 1943, 36, 358e70. [Google Scholar]
- Oppenheimer, J.R.; Kahane, H.; Epstein, J.I. Granulomatous prostatitis on needle biopsy. Arch. Pathol. Lab Med. 1997, 121, 724–729. [Google Scholar] [PubMed]
- Ahmed, H.U.; El-Shater Bosaily, A.; Brown, L.C.; Gabe, R.; Kaplan, R.; Parmar, M.K.; Collaco-Moraes, Y.; Ward, K.; Hindley, R.G.; Freeman, A.; et al. Diagnostic accuracy of multi-parametric MRI and TRUS biopsy in prostate cancer (PROMIS): A paired validating confirmatory study. Lancet 2017, 389, 815–822. [Google Scholar] [CrossRef]
- Kasivisvanathan, V.; Rannikko, A.S.; Borghi, M.; Panebianco, V.; Mynderse, L.A.; Vaarala, M.H.; Briganti, A.; Budäus, L.; Hellawell, G.; Hindley, R.G.; et al. MRI-Targeted or Standard Biopsy for Prostate-Cancer Diagnosis. N. Engl. J. Med. 2018, 378, 1767–1777. [Google Scholar] [CrossRef] [PubMed]
- EAU Guidelines. Presented at the EAU Annual Congress Amsterdam. 2022. ISBN 978-94-92671-16-5. Available online: https://uroweb.org/guidelines (accessed on 21 September 2022).
- Sonmez, G.; Tombul, S.T.; Demirtas, T.; Demirtas, A. Clinical factors for predicting malignancy in patients with PSA < 10 ng/mL and PI-RADS 3 lesions. Asia Pac. J. Clin. Oncol. 2021, 17, e94–e99. [Google Scholar] [CrossRef] [PubMed]
- Val-Bernal, J.F.; Zaldumbide, L.; Garijo, F.M.; CarmenGonzález-Vela, M. Nonspecific (idiopathic) Granulomatous prostatitis associated with low grade prostatic adenocarcinoma. Ann. Diagn. Pathol. 2004, 8, 242–246. [Google Scholar] [CrossRef]
- Srigley, J.R. Benign mimickers of prostatic adenocarcinoma. Mod. Pathol. 2004, 17, 328–348. [Google Scholar] [CrossRef]
- Bour, L.; Schull, A.; Delongchamps, N.B.; Beuvon, F.; Muradyan, N.; Legmann, P.; Cornud, F. Multiparametric MRI features of granulomatous prostatitis and tubercular prostate abscess. Diagn. Interv. Imaging 2013, 94, 84–90. [Google Scholar] [CrossRef] [PubMed]
- Santone, A.; Brunese, M.C.; Donnarumma, F.; Guerriero, P.; Mercaldo, F.; Reginelli, A.; Miele, V.; Giovagnoni, A.; Brunese, L. Radiomic features for prostate cancer grade detection through formal verification. Radiol. Med. 2021, 126, 688–697. [Google Scholar] [CrossRef] [PubMed]






| Case | Age (years) | PSA Levels (ng/mL) | PSA Density (ng/mL/cc) | Volume (cc) | Location | T2WI Score | DWI Score | DCE Score | PIRADS v2.1 | Hystology |
|---|---|---|---|---|---|---|---|---|---|---|
| 1 | 62 | 10 | 0.19 | 54 | PZ; TZ | 4; 5 | 4; 3 | +; + | 4; 5 | BCG-GP |
| 2 | 72 | 7.96 | 0.08 | 95 | PZ | 4 | 4 | + | 4 | BCG-GP |
| 3 | 70 | 2 | 0.03 | 58 | PZ diffuse | 5 | 5 | + | 5 | NGP |
| 4 | 69 | 17.29 | 0.16 | 110 | TZ | 5 | 5 | + | 5 | NGP |
| 5 | 67 | 11.4 | 0.09 | 121 | PZ; TZ | 5; 5 | 5; 5 | +; + | 5; 5 | NGP |
| 6 | 52 | 22.9 | 0.41 | 55 | PZ diffuse; TZ | 5; 5 | 5; 5 | +; + | 5; 5 | BCG-GP |
| 7 | 79 | 2.79 | 0.07 | 40 | PZ | 3 | 3 | + | 4 | NGP |
| 8 | 62 | 7 | 0.11 | 65 | PZ | 4 | 5 | + | 5 | BCG-GP |
| 9 | 78 | 1.5 | 0.04 | 38 | PZ diffuse | 3 | 4 | - | 4 | NGP |
| 10 | 68 | 10.09 | 0.13 | 80 | PZ | 4 | 4 | + | 4 | NGP |
| 11 | 67 | 3.3 | 0.03 | 96 | PZ | 4 | 3 | + | 4 | NGP |
| Case n. | Location | T2 | DWI | ADC | DCE | PIRADS |
|---|---|---|---|---|---|---|
| 1 | PZpm mid-left; TZa mid-base right | 2-cm hypointense PZ nodule; 1.5-cm marker hypointense irregular TZ lesion | Isointense nodule; Slightly hyperintense | Marked low ADC value; Low ADC value | Peripheral rim enhancement and avascular core; Inhomogeneous, early and prolonged hyperenhancement | 4; 5 |
| 2 | PZpl mid-left | 2.5-cm hypointense nodule, capsular bulging | Hyperintense | Low ADC value | Thick peripheral rim enhancement, avascular core | 4 |
| 6 | PZ diffuse (index lesion PZpm mid-base left; TZa base right | Confluent pseudonodular hypointense areas, capsular bulging; 2-cm marked hypointense irregular TZ lesion | Marked hyperintense; hyperintense | Marked low ADC value; Marked low ADC value | Peripheral rim enhancement and avascular core in the index lesion; inhomogeneous, intense and prolonged enhancement | 5; 5 |
| 8 | PZpm mid-base left | Markedly hypointense nodule, focal capsular bulging | Marked hyperintense | Marked low ADC value | Peripheral rim enhancement, avascular core | 5 |
| Case n. | Location | T2 | DWI | ADC | DCE | PIRADS |
|---|---|---|---|---|---|---|
| 3 | PZ and TZ diffuse | Diffuse, inhomogeneous hypointensity, poor differentiation between PZ and TZ, glandular capsule preserved | Marked hyperintensity | Marked low ADC value | Inhomogeneous hyperenhancement, high peak | 5 |
| 4 | TZp mid-base right | 3.5-cm hypointense blurred nodule | Hyperintense | Marked low ADC value | Mild enhancement | 5 |
| 5 | PZpl mid-left; TZa mid-left | 2.8-cm hypointense area, capsular bulging; irregular, blurred marked hypointense TZ lesion | Hyperintense; hyperintense | Marked low ADC value; Marked low ADC value | Early and prolonged enhancement, high peak | 5; 5 |
| 7 | PZa right | 0.9-cm Hypointense nodule | Mild hyperintense | Low ADC value | Hyperenhancement | 4 |
| 9 | PZ diffuse | Blurred and confluent mild hypointense areas | Hyperintense | Low ADC value | Scarce enhancement | 4 |
| 10 | PZpm right | 1.3-cm mild hypointense nodule | Hyperintense | Low ADC value | Early enhancement, high peak | 4 |
| 11 | PZpm mid-left | Hypointense nodule | Mild hyperintense | Low ADC value | High and early enhancement, high peak, early wash-out | 4 |
Publisher’s Note: MDPI stays neutral with regard to jurisdictional claims in published maps and institutional affiliations. |
© 2022 by the authors. Licensee MDPI, Basel, Switzerland. This article is an open access article distributed under the terms and conditions of the Creative Commons Attribution (CC BY) license (https://creativecommons.org/licenses/by/4.0/).
Share and Cite
Bertelli, E.; Zantonelli, G.; Cinelli, A.; Pastacaldi, S.; Agostini, S.; Neri, E.; Miele, V. Granulomatous Prostatitis, the Great Mimicker of Prostate Cancer: Can Multiparametric MRI Features Help in This Challenging Differential Diagnosis? Diagnostics 2022, 12, 2302. https://doi.org/10.3390/diagnostics12102302
Bertelli E, Zantonelli G, Cinelli A, Pastacaldi S, Agostini S, Neri E, Miele V. Granulomatous Prostatitis, the Great Mimicker of Prostate Cancer: Can Multiparametric MRI Features Help in This Challenging Differential Diagnosis? Diagnostics. 2022; 12(10):2302. https://doi.org/10.3390/diagnostics12102302
Chicago/Turabian StyleBertelli, Elena, Giulia Zantonelli, Alberto Cinelli, Sandro Pastacaldi, Simone Agostini, Emanuele Neri, and Vittorio Miele. 2022. "Granulomatous Prostatitis, the Great Mimicker of Prostate Cancer: Can Multiparametric MRI Features Help in This Challenging Differential Diagnosis?" Diagnostics 12, no. 10: 2302. https://doi.org/10.3390/diagnostics12102302
APA StyleBertelli, E., Zantonelli, G., Cinelli, A., Pastacaldi, S., Agostini, S., Neri, E., & Miele, V. (2022). Granulomatous Prostatitis, the Great Mimicker of Prostate Cancer: Can Multiparametric MRI Features Help in This Challenging Differential Diagnosis? Diagnostics, 12(10), 2302. https://doi.org/10.3390/diagnostics12102302

