Knee Muscles Composition Using Electrical Impedance Myography and Magnetic Resonance Imaging
Abstract
:1. Introduction
2. Materials and Methods
2.1. Patients Enrollment
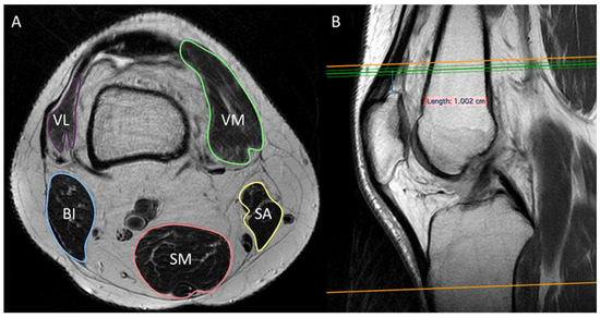
2.2. Knee MRI Protocol and Images Analysis
2.3. EIM
2.4. Statistical Analysis
3. Results
4. Discussion
5. Conclusions
Author Contributions
Funding
Institutional Review Board Statement
Informed Consent Statement
Data Availability Statement
Acknowledgments
Conflicts of Interest
References
- Cruz-Jentoft, A.J.; Bahat, G.; Bauer, J.; Boirie, Y.; Bruyère, O.; Cederholm, T.; Cooper, C.; Landi, F.; Rolland, Y.; Sayer, A.A.; et al. Sarcopenia: Revised European consensus on definition and diagnosis. Age Ageing 2019, 48, 16–31. [Google Scholar] [CrossRef] [PubMed]
- Pamoukdjian, F.; Bouillet, T.; Lévy, V.; Soussan, M.; Zelek, L.; Paillaud, E. Prevalence and predictive value of pre-therapeutic sarcopenia in cancer patients: A systematic review. Clin. Nutr. 2018, 37, 1101–1113. [Google Scholar] [CrossRef] [PubMed]
- Friedman, J.; Lussiez, A.; Sullivan, J.; Wang, S.; Englesbe, M. Implications of sarcopenia in major surgery. Nutr. Clin. Pract. 2015, 30, 175–179. [Google Scholar] [CrossRef] [PubMed]
- Messina, C.; Vitale, J.A.; Pedone, L.; Chianca, V.; Vicentin, I.; Albano, D.; Gitto, S.; Sconfienza, L.M. Critical appraisal of papers reporting recommendation on sarcopenia using the AGREE II tool: A EuroAIM initiative. Eur. J. Clin. Nutr. 2020, 74, 1164–1172. [Google Scholar] [CrossRef]
- Schiaffino, S.; Albano, D.; Cozzi, A.; Messina, C.; Arioli, R.; Bnà, C.; Bruno, A.; Carbonaro, L.A.; Carriero, A.; Carriero, S.; et al. CT-derived Chest Muscle Metrics for Outcome Prediction in Patients with COVID-19. Radiology 2021, 300, E328–E336. [Google Scholar] [CrossRef]
- Kortman, H.G.J.; Wilder, S.C.; Geisbush, T.R.; Narayanaswami, P.; Rutkove, S.B. Age- and gender-associated differences in electrical impedance values of skeletal muscle. Physiol. Meas. 2013, 34, 1611–1622. [Google Scholar] [CrossRef]
- Abe, T.; Loenneke, J.P.; Thiebaud, R.S.; Fukunaga, T. Age-related site-specific muscle wasting of upper and lower extremities and trunk in Japanese men and women. Age 2014, 36, 813–821. [Google Scholar] [CrossRef]
- Tanaka, S.; Kamiya, K.; Hamazaki, N.; Matsuzawa, R.; Nozaki, K.; Maekawa, E.; Noda, C.; Yamaoka-Tojo, M.; Matsunaga, A.; Masuda, T.; et al. Utility of SARC-F for Assessing Physical Function in Elderly Patients With Cardiovascular Disease. J. Am. Med. Dir. Assoc. 2017, 18, 176–181. [Google Scholar] [CrossRef]
- Woo, J.; Leung, J.; Morley, J.E. Defining sarcopenia in terms of incident adverse outcomes. J. Am. Med. Dir. Assoc. 2015, 16, 247–252. [Google Scholar] [CrossRef]
- Malmstrom, T.K.; Miller, D.K.; Simonsick, E.M.; Ferrucci, L.; Morley, J.E. SARC-F: A symptom score to predict persons with sarcopenia at risk for poor functional outcomes. J. Cachexia. Sarcopenia Muscle 2016, 7, 28–36. [Google Scholar] [CrossRef]
- Albano, D.; Messina, C.; Vitale, J.; Sconfienza, L.M. Imaging of sarcopenia: Old evidence and new insights. Eur. Radiol. 2020, 30, 2199–2208. [Google Scholar] [CrossRef] [PubMed]
- Khalil, S.F.; Mohktar, M.S.; Ibrahim, F. The theory and fundamentals of bioimpedance analysis in clinical status monitoring and diagnosis of diseases. Sensors 2014, 14, 10895–10928. [Google Scholar] [CrossRef] [PubMed]
- Wells, A.D.; Bellovary, B.N.; Houck, J.M.; Ducharme, J.B.; Masoud, A.A.; Gibson, A.L.; Mermier, C.M. New Multisite Bioelectrical Impedance Device Compared to Hydrostatic Weighing and Skinfold Body Fat Methods. Int. J. Exerc. Sci. 2020, 13, 1718. [Google Scholar] [PubMed]
- Longo, S.; Coratella, G.; Rampichini, S.; Borrelli, M.; Scurati, R.; Limonta, E.; Cè, E.; Esposito, F. Local fat content and muscle quality measured by a new electrical impedance myography device: Correlations with ultrasound variables. Eur. J. Sport Sci. 2021, 21, 388–399. [Google Scholar] [CrossRef] [PubMed]
- Messina, C.; Maffi, G.; Vitale, J.A.; Ulivieri, F.M.; Guglielmi, G.; Sconfenza, L.M. Diagnostic imaging of osteoporosis and sarcopenia: A narrative review. Quant. Imaging Med. Surg. 2018, 8, 86–99. [Google Scholar] [CrossRef]
- Wang, Y.; Freedman, L.; Buck, M.; Bohorquez, J.; Rutkove, S.B.; Keel, J. Electrical Impedance Myography for Assessing Paraspinal Muscles of Patients with Low Back Pain. J. Electr. Bioimpedance 2019, 10, 103–109. [Google Scholar] [CrossRef]
- McLester, C.N.; Dewitt, A.D.; Rooks, R.; McLester, J.R. An investigation of the accuracy and reliability of body composition assessed with a handheld electrical impedance myography device. Eur. J. Sport Sci. 2018, 18, 763–771. [Google Scholar] [CrossRef]
- Li, J.; Sanchez, B.; Rutkove, S.B. The effect of profound dehydration on electrical impedance of mouseskeletal muscle. In Proceedings of the Annual International Conference of the IEEE Engineering in Medicine and Biology Society, Chicago, IL, USA, 26–30 August 2014; Volume 2014, pp. 514–517. [Google Scholar] [CrossRef]
- Berneis, K.; Keller, U. Bioelectrical impedance analysis during acute changes of extracellular osmolality in man. Clin. Nutr. 2000, 19, 361–366. [Google Scholar] [CrossRef]
- Czeck, M.A.; Raymond-Pope, C.J.; Prescott, E.; Bisch, K.L.; Dengel, D.R. Body fat percent assessment between electrical impedance myography and dual X-ray absorptiometry. Am. J. Hum. Biol. 2020, 32, e23330. [Google Scholar] [CrossRef]
- Graybeal, A.J.; Moore, M.L.; Cruz, M.R.; Tinsley, G.M. Body Composition Assessment in Male and Female Bodybuilders: A 4-Compartment Model Comparison of Dual-Energy X-Ray Absorptiometry and Impedance-Based Devices. J. Strength Cond. Res. 2020, 34, 1676–1689. [Google Scholar] [CrossRef]
- Mitsiopoulos, N.; Baumgartner, R.N.; Heymsfield, S.B.; Lyons, W.; Gallagher, D.; Ross, R. Cadaver validation of skeletal muscle measurement by magnetic resonance imaging and computerized tomography. J. Appl. Physiol. 1998, 85, 115–122. [Google Scholar] [CrossRef] [PubMed]
- Shen, W.; Punyanitya, M.; Wang, Z.M.; Gallagher, D.; St-Onge, M.P.; Albu, J.; Heymsfield, S.B.; Heshka, S. Total body skeletal muscle and adipose tissue volumes: Estimation from a single abdominal cross-sectional image. J. Appl. Physiol. 2004, 97, 2333–2338. [Google Scholar] [CrossRef]
- Amini, B.; Boyle, S.P.; Boutin, R.D.; Lenchik, L. Approaches to Assessment of Muscle Mass and Myosteatosis on Computed Tomography: A Systematic Review. J. Gerontol. A. Biol. Sci. Med. Sci. 2019, 74, 1671–1678. [Google Scholar] [CrossRef]
- Boutin, R.D.; Yao, L.; Canter, R.J.; Lenchik, L. Sarcopenia: Current Concepts and Imaging Implications. AJR. Am. J. Roentgenol. 2015, 205, W255–W266. [Google Scholar] [CrossRef]
- Vitale, J.A.; Messina, C.; Albano, D.; Fascio, E.; Galbusera, F.; Corbetta, S.; Sconfienza, L.M.; Banfi, G. Appendicular Muscle Mass, Thigh Intermuscular Fat Infiltration, and Risk of Fall in Postmenopausal Osteoporotic Elder Women. Gerontology 2021, 67, 415–424. [Google Scholar] [CrossRef]
- Malmstrom, T.K.; Morley, J.E. SARC-F: A simple questionnaire to rapidly diagnose sarcopenia. J. Am. Med. Dir. Assoc. 2013, 14, 531–532. [Google Scholar] [CrossRef] [PubMed]
- Imamura, K.; Yamamoto, S.; Suzuki, Y.; Matsuzawa, R.; Harada, M.; Yoshikoshi, S.; Yoshida, A.; Matsunaga, A. Limitations of SARC-F as a Screening Tool for Sarcopenia in Patients on Hemodialysis. Nephron 2022, 146, 32–39. [Google Scholar] [CrossRef]
- Battaglia, P.J.; Maeda, Y.; Welk, A.; Hough, B.; Kettner, N. Reliability of the Goutallier classification in quantifying muscle fatty degeneration in the lumbar multifidus using magnetic resonance imaging. J. Manip. Physiol. Ther. 2014, 37, 190–197. [Google Scholar] [CrossRef]
- Hobson-Webb, L.D.; Zwelling, P.J.; Pifer, A.N.; Killelea, C.M.; Faherty, M.S.; Sell, T.C.; Pastva, A.M. Point of Care Quantitative Assessment of Muscle Health in Older Individuals: An Investigation of Quantitative Muscle Ultrasound and Electrical Impedance Myography Techniques. Geriatrics 2018, 3, 92. [Google Scholar] [CrossRef] [PubMed] [Green Version]
- Chianca, V.; Albano, D.; Messina, C.; Gitto, S.; Ruffo, G.; Guarino, S.; Del Grande, F.; Sconfienza, L.M. Sarcopenia: Imaging assessment and clinical application. Abdom. Radiol. 2022, 47. [Google Scholar] [CrossRef]
- Messina, C.; Albano, D.; Gitto, S.; Tofanelli, L.; Bazzocchi, A.; Ulivieri, F.M.; Guglielmi, G.; Sconfienza, L.M. Body composition with dual energy X-ray absorptiometry: From basics to new tools. Quant. Imaging Med. Surg. 2020, 10, 1687–1698. [Google Scholar] [CrossRef] [PubMed]
- Vitale, J.A.; Bonato, M.; Borghi, S.; Messina, C.; Albano, D.; Corbetta, S.; Sconfienza, L.M.; Banfi, G. Home-Based Resistance Training for Older Subjects during the COVID-19 Outbreak in Italy: Preliminary Results of a Six-Months RCT. Int. J. Environ. Res. Public Health 2020, 17, 9533. [Google Scholar] [CrossRef] [PubMed]


| Feature | Question | Answer |
|---|---|---|
| Strength | How much difficulty do you have in lifting and carrying 10 lb? | None = 0 Some = 1 A lot or unable = 2 |
| Assistance in walking | How much difficulty do you have walking across a room? | None = 0 Some = 1 A lot, use aids, or unable = 2 |
| Rise from a chair | How much difficulty do you have transferring from a chair or bed? | None = 0 Some = 1 A lot, or unable without help = 2 |
| Climb stairs | How much difficulty do you have climbing a flight of 10 stairs? | None = 0 Some = 1 A lot, or unable = 2 |
| Falls | How many times have you fallen in the past year? | None = 0 1–3 falls = 1 ≥4 falls = 2 |
| Age | 52 ± 21 years (range 18–89) |
| Weight | 76 ± 18 kg (range 51–180) |
| Height | 169.2 ± 10.1 cm (range 145–195) |
| BMI | 26.5 ± 5.8 (range 15.8–62.3) |
| SMI | 894 ± 284.3 (range 491.5–1623.7) |
| Muscle quality | 50.9 ± 21.3 (range 10–96) |
| BF% | 23.9 ± 8.8% (range 8.3–51.6) |
| SARC-F | 1 (IQR = 0–3, range 0–10) |
| BF% | M.quality | SARC-F | CSA | SMI | VM | VL | Biceps | SM | ||
|---|---|---|---|---|---|---|---|---|---|---|
| BF% | r | 1 | −0.396 ** | 0.283 ** | −0.445 ** | −0.430 ** | −0.337 ** | −0.135 | −0.479 ** | −0.357 ** |
| p | <0.001 | 0.001 | <0.001 | <0.001 | <0.001 | 0.12 | <0.001 | <0.001 | ||
| M.quality | r | −0.396 ** | 1 | −0.132 | 0.302 ** | 0.283 ** | 0.245 ** | 0.014 | 0.234 ** | 0.282 ** |
| p | <0.001 | 0.121 | <0.001 | 0.002 | 0.003 | 0.873 | 0.006 | 0.001 | ||
| SARC-F | r | 0.283 ** | −0.132 | 1 | −0.241 ** | −0.208 * | −0.288 ** | −0.198 * | −0.225 ** | −0.122 |
| p | 0.001 | 0.121 | 0.004 | 0.021 | 0.001 | 0.022 | 0.008 | 0.152 | ||
| CSA | r | −0.445 ** | 0.302 ** | −0.241 ** | 1 | 0.952 ** | 0.862 ** | 0.528 ** | 0.806 ** | 0.884 ** |
| p | <0.001 | <0.001 | 0.004 | <0.001 | <0.001 | <0.001 | <0.001 | <0.001 | ||
| SMI | r | −0.430 ** | 0.283 ** | −0.208 * | 0.952 ** | 1 | 0.807 ** | 0.509 ** | 0.763 ** | 0.871 ** |
| p | <0.001 | 0.002 | 0.021 | <0.001 | <0.001 | <0.001 | <0.001 | <0.001 | ||
| VM | r | −0.337 ** | 0.245 ** | −0.288 ** | 0.862 ** | 0.807 ** | 1 | 0.466 ** | 0.564 ** | 0.612 ** |
| p | <0.001 | 0.003 | 0.001 | <0.001 | <0.001 | <0.001 | <0.001 | <0.001 | ||
| VL | r | −0.135 | 0.014 | −0.198 * | 0.528 ** | 0.509 ** | 0.466 ** | 1 | 0.382 ** | 0.414 ** |
| p | 0.12 | 0.873 | 0.022 | <0.001 | <0.001 | <0.001 | <0.001 | <0.001 | ||
| Biceps | r | −0.479 ** | 0.234 ** | −0.225 ** | 0.806 ** | 0.763 ** | 0.564 ** | 0.382 ** | 1 | 0.629 ** |
| p | <0.001 | 0.006 | 0.008 | <0.001 | <0.001 | <0.001 | <0.001 | <0.001 | ||
| SM | r | −0.357 ** | 0.282 ** | −0.122 | 0.884 ** | 0.871 ** | 0.612 ** | 0.414 ** | 0.629 ** | 1 |
| p | <0.001 | 0.001 | 0.152 | <0.001 | <0.001 | <0.001 | <0.001 | <0.001 | ||
| Sartorius | r | −0.440 ** | 0.306 ** | −0.086 | 0.757 ** | 0.707 ** | 0.543 ** | 0.275 ** | 0.683 ** | 0.649 ** |
| p | <0.001 | <0.001 | 0.313 | <0.001 | <0.001 | <0.001 | 0.001 | <0.001 | <0.001 |
Publisher’s Note: MDPI stays neutral with regard to jurisdictional claims in published maps and institutional affiliations. |
© 2022 by the authors. Licensee MDPI, Basel, Switzerland. This article is an open access article distributed under the terms and conditions of the Creative Commons Attribution (CC BY) license (https://creativecommons.org/licenses/by/4.0/).
Share and Cite
Albano, D.; Gitto, S.; Vitale, J.; Bernareggi, S.; Lamorte, S.; Aliprandi, A.; Sconfienza, L.M.; Messina, C. Knee Muscles Composition Using Electrical Impedance Myography and Magnetic Resonance Imaging. Diagnostics 2022, 12, 2217. https://doi.org/10.3390/diagnostics12092217
Albano D, Gitto S, Vitale J, Bernareggi S, Lamorte S, Aliprandi A, Sconfienza LM, Messina C. Knee Muscles Composition Using Electrical Impedance Myography and Magnetic Resonance Imaging. Diagnostics. 2022; 12(9):2217. https://doi.org/10.3390/diagnostics12092217
Chicago/Turabian StyleAlbano, Domenico, Salvatore Gitto, Jacopo Vitale, Susan Bernareggi, Sveva Lamorte, Alberto Aliprandi, Luca Maria Sconfienza, and Carmelo Messina. 2022. "Knee Muscles Composition Using Electrical Impedance Myography and Magnetic Resonance Imaging" Diagnostics 12, no. 9: 2217. https://doi.org/10.3390/diagnostics12092217
APA StyleAlbano, D., Gitto, S., Vitale, J., Bernareggi, S., Lamorte, S., Aliprandi, A., Sconfienza, L. M., & Messina, C. (2022). Knee Muscles Composition Using Electrical Impedance Myography and Magnetic Resonance Imaging. Diagnostics, 12(9), 2217. https://doi.org/10.3390/diagnostics12092217

