CT-Guided Drainage of Fluid Collections Following Liver Resection: Technical and Clinical Outcome of 143 Patients during a 14-Year Period
Abstract
1. Introduction
2. Materials and Methods
2.1. Study Subjects
2.2. CT Imaging Protocol
2.3. Analysis of Pre- and Peri-Interventional Period
2.4. Analysis of Post-Interventional Period
2.5. Statistical Analysis
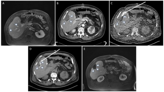
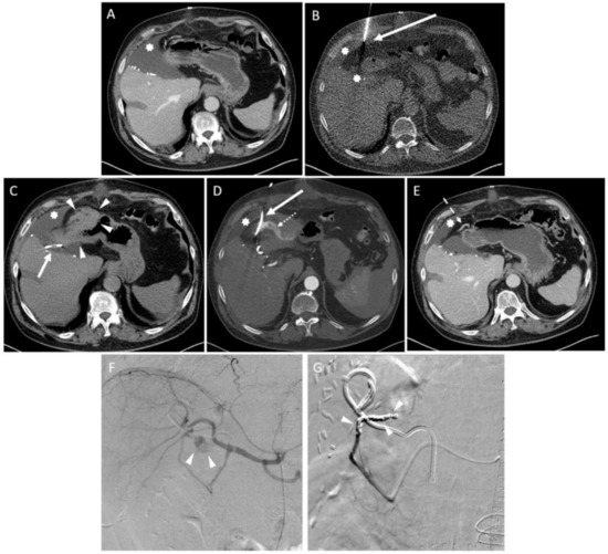
3. Results
3.1. Pre- and Peri-Interventional Analysis
3.2. Post-Interventional Analysis
4. Discussion
5. Conclusions
Supplementary Materials
Author Contributions
Funding
Institutional Review Board Statement
Informed Consent Statement
Data Availability Statement
Conflicts of Interest
References
- Gnannt, R.; Fischer, M.A.; Baechler, T.; Clavien, P.-A.; Karlo, C.; Seifert, B.; Lesurtel, M.; Alkadhi, H. Distinguishing Infected From Noninfected Abdominal Fluid Collections After Surgery. Investig. Radiol. 2015, 50, 17–23. [Google Scholar] [CrossRef]
- Camacho, J.C.; Coursey-Moreno, C.; Telleria, J.C.; Aguirre, D.A.; Torres, W.E.; Mittal, P.K. Nonvascular Post–Liver Transplantation Complications: From US Screening to Cross-sectional and Interventional Imaging. Radiographics 2015, 35, 87–104. [Google Scholar] [CrossRef] [PubMed]
- O’Farrell, N.; Collins, C.; McEntee, G. Pyogenic liver abscesses: Diminished role for operative treatment. Surgeon 2010, 8, 192–196. [Google Scholar] [CrossRef] [PubMed]
- Sirinek, K.R. Diagnosis and Treatment of Intra-Abdominal Abscesses. Surg. Infect. 2000, 1, 31–38. [Google Scholar] [CrossRef] [PubMed]
- Asai, N.; Ohkuni, Y.; Yamazaki, I.; Kaneko, N.; Aoshima, M.; Kawamura, Y. Therapeutic impact of CT-guided percutaneous catheter drainage in treatment of deep tissue abscesses. Braz. J. Infect. Dis. 2013, 17, 483–486. [Google Scholar] [CrossRef] [PubMed]
- Vansonnenberg, M.E.; Wittich, M.G.R.; Goodacre, M.B.W.; Casola, M.G.; D’Agostino, M.H.B. Percutaneous Abscess Drainage: Update. World J. Surg. 2001, 25, 362–369. [Google Scholar] [CrossRef] [PubMed]
- Wallace, M.J.; Chin, K.W.; Fletcher, T.B.; Bakal, C.W.; Cardella, J.F.; Grassi, C.J.; Grizzard, J.D.; Kaye, A.D.; Kushner, D.C.; Larson, P.A.; et al. Quality Improvement Guidelines for Percutaneous Drainage/Aspiration of Abscess and Fluid Collections. J. Vasc. Interv. Radiol. 2010, 21, 431–435. [Google Scholar] [CrossRef]
- Men, S.; Akhan, O.; Köroğlu, M. Percutaneous drainage of abdominal abcess. Eur. J. Radiol. 2002, 43, 204–218. [Google Scholar] [CrossRef]
- Roberts, B.W. CT-guided Intra-abdominal Abscess Drainage. Radiol. Technol. 2015, 87, 187. [Google Scholar]
- Kim, Y.J.; Han, J.K.; Lee, J.M.; Kim, S.H.; Lee, K.H.; Park, S.H.; An, S.K.; Lee, J.Y.; Choi, B.I. Percutaneous Drainage of Postoperative Abdominal Abscess with Limited Accessibility: Preexisting Surgical Drains as Alternative Access Route. Radiology 2006, 239, 591–598. [Google Scholar] [CrossRef] [PubMed]
- Laganà, D.; Carrafiello, G.; Mangini, M.; Ianniello, A.; Giorgianni, A.; Nicotera, P.; Fontana, F.; Dionigi, G.; Fugazzola, C. Image-guided percutaneous treatment of abdominal-pelvic abscesses: A 5-year experience. La Radiol. Med. 2008, 113, 999–1007. [Google Scholar] [CrossRef] [PubMed]
- Gee, M.S.; Kim, J.Y.; Gervais, D.A.; Hahn, P.F.; Mueller, P.R. Management of Abdominal and Pelvic Abscesses That Persist Despite Satisfactory Percutaneous Drainage Catheter Placement. Am. J. Roentgenol. 2010, 194, 815–820. [Google Scholar] [CrossRef] [PubMed]
- Gervais, D.A.; Ho, C.-H.; O’Neill, M.J.; Arellano, R.S.; Hahn, P.F.; Mueller, P.R. Recurrent Abdominal and Pelvic Abscesses:Incidence, Results of Repeated Percutaneous Drainage, and Underlying Causes in 956 Drainages. Am. J. Roentgenol. 2004, 182, 463–466. [Google Scholar] [CrossRef] [PubMed]
- Maher, M.M.; Gervais, D.A.; Kalra, M.K.; Lucey, B.; Sahani, D.V.; Arellano, R.; Hahn, P.F.; Mueller, P.R. The Inaccessible or Undrainable Abscess: How to Drain It. Radiographics 2004, 24, 717–735. [Google Scholar] [CrossRef]
- Nattenmüller, J.; Filsinger, M.; Bryant, M.; Stiller, W.; Radeleff, B.; Grenacher, L.; Kauczor, H.-U.; Hosch, W. Complications in CT-guided Procedures: Do We Really Need Postinterventional CT Control Scans? Cardiovasc. Interv. Radiol. 2013, 37, 241–246. [Google Scholar] [CrossRef]
- Gupta, S.; Wallace, M.J.; Cardella, J.F.; Kundu, S.; Miller, D.L.; Rose, S.C. Quality Improvement Guidelines for Percutaneous Needle Biopsy. J. Vasc. Interv. Radiol. 2010, 21, 969–975. [Google Scholar] [CrossRef]
- Serraino, C.; Elia, C.; Bracco, C.; Rinaldi, G.; Pomero, F.; Silvestri, A.; Melchio, R.; Fenoglio, L.M. Characteristics and management of pyogenic liver abscess. Medicine (Baltimore) 2018, 97, e0628. [Google Scholar] [CrossRef]
- Dulku, G.; Mohan, G.; Samuelson, S.; Ferguson, J.; Tibballs, J. Percutaneous aspiration versus catheter drainage of liver abscess: A retrospective review. Australas. Med. J. 2015, 8, 7–18. [Google Scholar] [CrossRef] [PubMed]
- Jin, S.; Fu, Q.; Wuyun, G.; Wuyun, T. Management of post-hepatectomy complications. World J. Gastroenterol. 2013, 19, 7983–7991. [Google Scholar] [CrossRef]
- Brustia, R.; Fleres, F.; Tamby, E.; Rhaiem, R.; Piardi, T.; Kianmanesh, R.; Sommacale, D. Postoperative collections after liver surgery: Risk factors and impact on long-term outcomes. J. Visc. Surg. 2020, 157, 199–209. [Google Scholar] [CrossRef]
- Benzoni, E.; Cojutti, A.; Lorenzin, D.; Adani, G.L.; Baccarani, U.; Favero, A.; Zompicchiati, A.; Bresadola, F.; Uzzau, A. Liver resective surgery: A multivariate analysis of postoperative outcome and complication. Langenbeck’s Arch. Surg. 2006, 392, 45–54. [Google Scholar] [CrossRef] [PubMed]
- Turan, H.G.; Özdemir, M.; Acu, R.; Küçükay, F.; Özdemir, F.A.E.; Hekimoğlu, B.; Yıldırım, U.M. Comparison of seldinger and trocar techniques in the percutaneous treatment of hydatid cysts. World J. Radiol. 2017, 9, 405–412. [Google Scholar] [CrossRef] [PubMed]
- Akinci, D.; Akhan, O.; Ozmen, M.N.; Karabulut, N.; Ozkan, O.; Cil, B.E.; Karcaaltıncaba, M.; Karcaaltincaba, M. Percutaneous Drainage of 300 Intraperitoneal Abscesses with Long-Term Follow-Up. Cardiovasc. Interv. Radiol. 2005, 28, 744–750. [Google Scholar] [CrossRef] [PubMed]
- Carlson, S.K.; Bender, C.E.; Classic, K.L.; Zink, F.E.; Quam, J.P.; Ward, E.M.; Oberg, A.L. Benefits and Safety of CT Fluoroscopy in Interventional Radiologic Procedures. Radiology 2001, 219, 515–520. [Google Scholar] [CrossRef] [PubMed]
- Grosser, O.S.; Kupitz, D.; Mohnike, K.; Pech, M.; Amthauer, H.; Wybranski, C.; Powerski, M.; Ricke, J. Improvement of image quality and dose management in CT fluoroscopy by iterative 3D image reconstruction. Eur. Radiol. 2017, 27, 3625–3634. [Google Scholar] [CrossRef]
- Paprottka, P.; Helmberger, T.; Reiser, M.; Trumm, C.G. CT-Steuerung: Fluoroskopie und mehr [Computed tomography guidance: Fluoroscopy and more]. Der Radiol. 2013, 53, 974–985. [Google Scholar] [CrossRef]
- Rathmann, N.; Haeusler, U.; Diezler, P.; Weiss, C.; Kostrzewa, M.; Sadick, M.; Schoenberg, S.O.; Diehl, S.J. Evaluation of Radiation Exposure of Medical Staff During CT-Guided Interventions. J. Am. Coll. Radiol. 2015, 12, 82–89. [Google Scholar] [CrossRef]
- Brook, I. Microbiology and Management of Abdominal Infections. Dig. Dis. Sci. 2008, 53, 2585–2591. [Google Scholar] [CrossRef]
- Santos, S. Microbiologic profile of intra-abdominal infections at Belo Horizonte, Brazil. Am. J. Infect. Control. 2003, 31, 135–143. [Google Scholar] [CrossRef] [PubMed]





| Variable | |
|---|---|
| Age (years) | 59.8 ± 14.1 (16–83) 1 |
| Sex | |
| Female | 56 (39.2) 2 |
| Male | 87 (60.8) 2 |
| Max. Diameter of the fluid collection (cm) | 8.7 ± 3.3 (3.0–20.0) 1 |
| Indications for Liver Resection | |
| Malignant disease: | 125 (87.4%)2 |
| Liver metastases | 70 (49.0%) 2 |
| Hepatocellular carcinoma | 30 (21.0%) 2 |
| Klatskin Tumor | 11 (7.7%) 2 |
| Cholangiocellular carcinoma | 9 (6.3%) 2 |
| Other | 5 (3.5%) 2 |
| Benign disease: | 13 (9.1%)2 |
| Echinococcus cyst | 6 (4.2%) 2 |
| Focal nodular hyperplasia | 4 (2.8%) 2 |
| Liver adenoma | 2 (1.4%) 2 |
| Hemangioma | 1 (0.7%) 2 |
| Inflammatory | 5 (3.5%)2 |
| Surgery Techniques | |
| Extended hemihepatectomy | 36 (25.2%) 2 |
| Hemihepatectomy | 44 (30.8%) 2 |
| Minor resection | 63 (44.0%) 2 |
| Drainages per Intervention (n) | Quantity (n, %) |
|---|---|
| 1 | 157 (83.1%) |
| 2 | 31 (16.4%) |
| 3 | 1 (0.5%) |
| Diameter (French) | Drainages (n, %) |
| 8 | 77 (39.3%) |
| 9 | 1 (0.5%) |
| 10 | 94 (48.0%) |
| 11 | 1 (0.5%) |
| 12 | 20 (10.2%) |
| 14 | 3 (1.5%) |
| Technique | Interventions (n, %) |
| Trocar | 174 (92.1%) |
| Seldinger | 15 (7.9%) |
| Access path | Drainages (n, %) |
| Direct | 131 (67.5%) |
| Transhepatic | 62 (32.0%) |
| Transpleural | 1 (0.5%) |
| Type of Complication | Interventions (n, %) |
|---|---|
| Minor complications: | 3 (1.6%) |
| Small pneumothorax | 3 |
| Major complications: | 4 (2.1%) |
| Severe pneumothorax (requiring surgical management) | 1 |
| Hemorrhage | 1 |
| Laceration (colon, liver) | 2 |
| CRP | Leukocyte Count | Interleukin-6 | Total Serum Bilirubin | |||||||||
|---|---|---|---|---|---|---|---|---|---|---|---|---|
| Predictors | Estimates | CI | p | Estimates | CI | p | Estimates | CI | p | Estimates | CI | p |
| (Intercept) | 0.77 | 0.70–0.84 | <0.001 | 0.96 | 0.92–0.99 | <0.001 | 1.99 | 1.73–2.24 | <0.001 | −0.02 | −0.10–0.06 | 0.656 |
| Time (days) | −0.02 | −0.02–−0.01 | <0.001 | −0.00 | −0.01–−0.00 | <0.001 | −0.01 | −0.02–0.00 | 0.132 | −0.01 | −0.01–−0.00 | <0.001 |
| Random Effects: | ||||||||||||
| σ2 | 0.10 | 0.02 | 0.11 | 0.02 | ||||||||
| τ00 | 0.12 Subject ID | 0.02 Subject ID | 0.18 Subject ID | 0.16 Subject ID | ||||||||
| ICC | 0.54 | 0.51 | 0.61 | 0.88 | ||||||||
| N | 112 Subject ID | 88 Subject ID | 14 Subject ID | 108 Subject ID | ||||||||
| Observations | 835 | 609 | 112 | 635 | ||||||||
| Marginal R2/ Conditional R2 | 0.076/0.572 | 0.041/0.526 | 0.013/0.615 | 0.013/0.884 | ||||||||
| C-Reactive Protein | Leukocytes | Total Serum Bilirubin | |||||||
|---|---|---|---|---|---|---|---|---|---|
| Operation Technique | Elevated (n) | Success (n, %) | No Success (n, %) | Elevated (n) | Success (n, %) | No Success (n, %) | Elevated (n) | Success (n, %) | No Success (n, %) |
| Extended Hemihepatectomy | 29 | 20 (69.0) | 9 (31.0) | 16 | 11 (68.8) | 5 (31.2) | 17 | 14 (82.4) | 3 (17.6) |
| Left Hemihepatectomy | 14 | 9 (64.3) | 5 (35.7) | 6 | 5 (83.3) | 1 (16.7) | 7 | 5 (71.4) | 2 (28.6) |
| Right Hemihepatectomy | 20 | 13 (65.0) | 7 (35.0) | 9 | 3 (33.3) | 6 (66.7) | 9 | 4 (44.4) | 5 (55.6) |
| Minor Resection | 43 | 34 (79.1) | 9 (20.9) | 21 | 16 (76.2) | 5 (23.8) | 15 | 11 (73.3) | 4 (26.7) |
| Total | 106 | 76 (71.7) | 30 (28.3) | 52 | 35 (67.3) | 17 (32.7) | 48 | 34 (70.8) | 14 (29.2) |
| C-Reactive Protein | Leukocytes | Total Serum Bilirubin | |||||||
|---|---|---|---|---|---|---|---|---|---|
| Fluid Collection Infection Status | Elevated (n) | Success (n, %) | No Success (n, %) | Elevated (n) | Success (n, %) | No Success (n, %) | Elevated (n) | Success (n, %) | No Success (n, %) |
| Infected | 79 | 61 (77.2) | 18 (22.8) | 41 | 34 (82.9) | 7 (17.1) | 33 | 22 (66.7) | 11 (33.3) |
| Non-infected | 31 | 23 (74.2) | 8 (25.8) | 11 | 6 (54.5) | 5 (45.5) | 15 | 9 (60.0) | 6 (40.0) |
| Total | 110 | 84 (76.4) | 26 (23.6) | 52 | 40 (76.9) | 12 (23.1) | 48 | 31 (64.6) | 17 (35.4) |
Publisher’s Note: MDPI stays neutral with regard to jurisdictional claims in published maps and institutional affiliations. |
© 2021 by the authors. Licensee MDPI, Basel, Switzerland. This article is an open access article distributed under the terms and conditions of the Creative Commons Attribution (CC BY) license (https://creativecommons.org/licenses/by/4.0/).
Share and Cite
Winter, K.S.; Greif, V.; Crispin, A.; Burgard, C.; Forbrig, R.; Liebig, T.; Trumm, C.G.; Stahl, R. CT-Guided Drainage of Fluid Collections Following Liver Resection: Technical and Clinical Outcome of 143 Patients during a 14-Year Period. Diagnostics 2021, 11, 826. https://doi.org/10.3390/diagnostics11050826
Winter KS, Greif V, Crispin A, Burgard C, Forbrig R, Liebig T, Trumm CG, Stahl R. CT-Guided Drainage of Fluid Collections Following Liver Resection: Technical and Clinical Outcome of 143 Patients during a 14-Year Period. Diagnostics. 2021; 11(5):826. https://doi.org/10.3390/diagnostics11050826
Chicago/Turabian StyleWinter, Katharina S., Veronika Greif, Alexander Crispin, Caroline Burgard, Robert Forbrig, Thomas Liebig, Christoph G. Trumm, and Robert Stahl. 2021. "CT-Guided Drainage of Fluid Collections Following Liver Resection: Technical and Clinical Outcome of 143 Patients during a 14-Year Period" Diagnostics 11, no. 5: 826. https://doi.org/10.3390/diagnostics11050826
APA StyleWinter, K. S., Greif, V., Crispin, A., Burgard, C., Forbrig, R., Liebig, T., Trumm, C. G., & Stahl, R. (2021). CT-Guided Drainage of Fluid Collections Following Liver Resection: Technical and Clinical Outcome of 143 Patients during a 14-Year Period. Diagnostics, 11(5), 826. https://doi.org/10.3390/diagnostics11050826

