Percutaneous CT Fluoroscopy-Guided Core Needle Biopsy of Mediastinal Masses: Technical Outcome and Complications of 155 Procedures during a 10-Year Period
Abstract
1. Introduction
2. Materials and Methods
2.1. Study Population
2.2. Peri-Interventional Imaging and Image Guidance
2.3. Procedure
2.4. Assessment of Technical Outcome and Complications
2.5. Patient Radiation Dose
2.6. Statistical Analysis
3. Results
3.1. Patient Characteristics
3.2. Intervention Characteristics
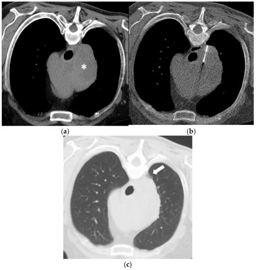
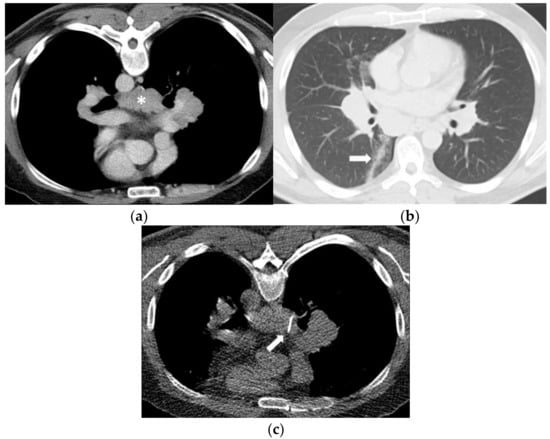
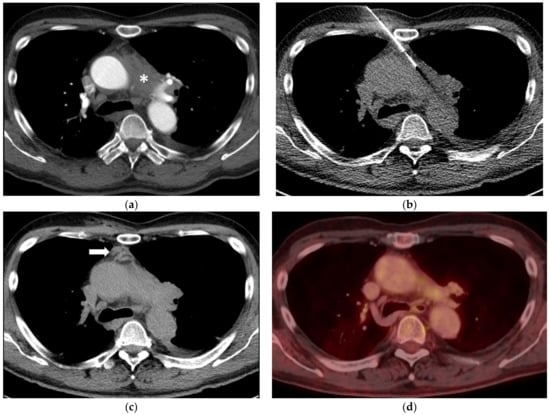
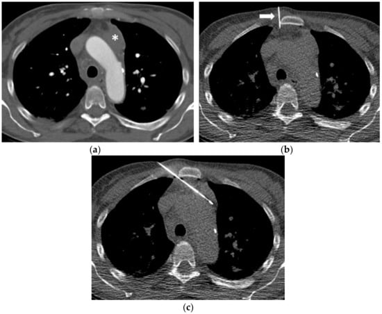
3.3. Technical Outcome and Complications
3.4. Post-Procedural Morbidity and Mortality
4. Discussion
5. Conclusions
Author Contributions
Funding
Institutional Review Board Statement
Informed Consent Statement
Data Availability Statement
Conflicts of Interest
References
- Detterbeck, F.C.; Zeeshan, A. Thymoma: Current diagnosis and treatment. Chin. Med. J. 2013, 126, 2186–2191. [Google Scholar]
- Date, H. Diagnostic Strategies for Mediastinal Tumors and Cysts. Thorac. Surg. Clin. 2009, 19, 29–35. [Google Scholar] [CrossRef]
- Garnon, J.; Ramamurthy, N.; Caudrelie J, J.; Erceg, G.; Breton, E.; Tsoumakidou, G.; Rao, P.; Gangi, A. MRI-Guided Percutaneous Biopsy of Mediastinal Masses Using a Large Bore Magnet: Technical Feasibility. Cardiovasc. Interv. Radiol. 2015, 39, 761–767. [Google Scholar] [CrossRef] [PubMed]
- Gupta, S.; Seaberg, K.; Wallace, M.J.; Madoff, D.C.; Morello, F.A.; Ahrar, K.; Murthy, R.; Hicks, M.E. Imaging-guided Percutaneous Biopsy of Mediastinal Lesions: Different Approaches and Anatomic Considerations. Radiographics 2005, 25, 763–786. [Google Scholar] [CrossRef] [PubMed]
- Roy, D.; Thakur, M.H.; Kulkarni, S.; Kulkarni, A. Percutaneous computed tomography-guided core biopsy for the diagnosis of mediastinal masses. Ann. Thorac. Med. 2008, 3, 13–7. [Google Scholar] [CrossRef] [PubMed]
- Petranovic, M.; Gilman, M.D.; Muniappan, A.; Hasserjian, R.P.; Digumarthy, S.R.; Muse, V.V.; Sharma, A.; Shepard, J.-A.O.; Wu, C.C. Diagnostic Yield of CT-Guided Percutaneous Transthoracic Needle Biopsy for Diagnosis of Anterior Mediastinal Masses. Am. J. Roentgenol. 2015, 205, 774–779. [Google Scholar] [CrossRef] [PubMed]
- Protopapas, Z.; Westcott, J.L. Transthoracic hilar and mediastinal biopsy. Radiol. Clin. N. Am. 2000, 38, 281–91. [Google Scholar] [CrossRef]
- Capalbo, E.; Peli, M.; Lovisatti, M.; Cosentino, M.; Mariani, P.; Berti, E.; Cariati, M. Trans-thoracic biopsy of lung lesions: FNAB or CNB? Our experience and review of the literature. La Radiol. Med. 2014, 119, 572–594. [Google Scholar] [CrossRef] [PubMed]
- Priola, A.M.; Cataldi, A.; Ferrero, B.; Garofalo, G.; Errico, L.; Marci, V.; Fava, C. CT-guided percutaneous transthoracic biopsy in the diagnosis of mediastinal masses: evaluation of 73 procedures. La Radiol. Med. 2008, 113, 3–15. [Google Scholar] [CrossRef] [PubMed]
- Sarti, M.; Brehmer, W.P.; Gay, S.B. Low-Dose Techniques in CT-guided Interventions. Radiographics 2012, 32, 1109–1119. [Google Scholar] [CrossRef]
- de Margerie-Mellon, C.; de Bazelaire, C.; Amorim, S.; Brice, P.; Tazi, A.; Brière, J.; Frija, J.; de Kerviler, E. Diagnostic Yield and Safety of Computed Tomography–guided Mediastinal Core Needle Biopsies. J. Thorac. Imaging 2015, 30, 319–327. [Google Scholar] [CrossRef]
- Floridi, C.; Reginelli, A.; Capasso, R.; Fumarola, E.; Pesapane, F.; Barile, A.; Zappia, M.; Caranci, F.; Brunese, L. Percutaneous needle biopsy of mediastinal masses under C-arm conebeam CT guidance: diagnostic performance and safety. Med. Oncol. 2017, 34, 77. [Google Scholar] [CrossRef]
- Kim, H.; Park, C.M.; Lee, S.M.; Goo, J.M. C-Arm Cone-Beam CT Virtual Navigation-Guided Percutaneous Mediastinal Mass Biopsy: Diagnostic Accuracy and Complications. Eur. Radiol. 2015, 25, 3508–3517. [Google Scholar] [CrossRef] [PubMed]
- Sklair-Levy, M.; Polliack, A.; Shaham, D.; Applbaum, Y.H.; Gillis, S.; Ben-Yehuda, D.; Sherman, Y.; Libson, E. CT-guided core-needle biopsy in the diagnosis of mediastinal lymphoma. Eur. Radiol. 2000, 10, 714–718. [Google Scholar] [CrossRef] [PubMed]
- Zinzani, P.L.; Corneli, G.; Cancellieri, A.; Magagnoli, M.; Lacava, N.; Gherlinzoni, F.; Bendandi, M.; Albertini, P.; Baruzzi, G.; Tura, S.; et al. Core needle biopsy is effective in the initial diagnosis of mediastinal lymphoma. Haematologica 1999, 84, 600–603. [Google Scholar]
- Veltri, A.; Bargellini, I.; Giorgi, L.; Almeida, P.A.M.S.; Akhan, O. CIRSE Guidelines on Percutaneous Needle Biopsy (PNB). Cardiovasc. Interv. Radiol. 2017, 40, 1501–1513. [Google Scholar] [CrossRef]
- Gupta, S.; Wallace, M.J.; Cardella, J.F.; Kundu, S.; Miller, D.L.; Rose, S.C. Quality Improvement Guidelines for Percutaneous Needle Biopsy. J. Vasc. Interv. Radiol. 2010, 21, 969–975. [Google Scholar] [CrossRef]
- Kloeckner, R.; dos Santos, D.P.; Schneider, J.; Kara, L.; Dueber, C.; Pitton, M.B. Radiation exposure in CT-guided interventions. Eur. J. Radiol. 2013, 82, 2253–2257. [Google Scholar] [CrossRef] [PubMed]
- Deak, P.D.; Smal, Y.; Kalender, W.A. Multisection CT Protocols: Sex- and Age-specific Conversion Factors Used to Determine Effective Dose from Dose-Length Product. Radiology 2010, 257, 158–166. [Google Scholar] [CrossRef]
- Leng, S.; Christner, J.A.; Carlson, S.K.; Jacobsen, M.; Vrieze, T.J.; Atwell, T.D.; McCollough, C.H. Radiation Dose Levels for Interventional CT Procedures. Am. J. Roentgenol. 2011, 197, W97–W103. [Google Scholar] [CrossRef]
- Azrumelashvili, T.; Mizandari, M.; Magalashvili, D.; Dundua, T. Imaging guided mediastinal percutaneal core biopsy--technique and complications. Georgian Med. News 2015, 242, 24–34. [Google Scholar]
- Bressler, E.L.; A Kirkham, J. Mediastinal masses: alternative approaches to CT-guided needle biopsy. Radiology 1994, 191, 391–396. [Google Scholar] [CrossRef]
- De Farias, A.P.; Deheinzelin, D.; Younes, R.N.; Chojniak, R. Computed tomography-guided biopsy of mediastinal lesions: fine versus cutting needles. Revista Hospital Clínicas 2003, 58, 69–74. [Google Scholar] [CrossRef] [PubMed][Green Version]
- Greif, J.; Staroselsky, A.N.; Gernjac, M.; Schwarz, Y.; Marmur, S.; Perlsman, M.; Yellin, A. Percutaneous core needle biopsy in the diagnosis of mediastinal tumors. Lung Cancer 1999, 25, 169–173. [Google Scholar] [CrossRef]
- Iguchi, T.; Hiraki, T.; Matsui, Y.; Fujiwara, H.; Sakurai, J.; Masaoka, Y.; Uka, M.; Tanaka, T.; Gobara, H.; Kanazawa, S. CT fluoroscopy-guided core needle biopsy of anterior mediastinal masses. Diagn. Interv. Imaging 2018, 99, 91–97. [Google Scholar] [CrossRef]
- Jiao, D.; Huang, K.; Wu, G.; Wang, Y.; Han, X. Flat detector cone-beam CT-guided percutaneous needle biopsy of mediastinal lesions: preliminary experience. La Radiol. Med. 2016, 121, 769–779. [Google Scholar] [CrossRef]
- Na Lee, H.; Yun, S.J.; Kim, J.I.; Ryu, C.-W. Diagnostic outcome and safety of CT-guided core needle biopsy for mediastinal masses: a systematic review and meta-analysis. Eur. Radiol. 2019, 30, 588–599. [Google Scholar] [CrossRef] [PubMed]
- Neyaz, Z.; Lal, H.; Thakral, A.; Nath, A.; Rao, R.N.; Verma, R. Percutaneous computed tomography-guided aspiration and biopsy of intrathoracic lesions: Results of 265 procedures. Lung India 2016, 33, 620–625. [Google Scholar] [CrossRef] [PubMed]
- Rabbani, M.; Sarrami, A.H. Computed tomography-guided percutaneous core needle biopsy for diagnosis of mediastinal mass lesions: Experience with 110 cases in two university hospitals in Isfahan, Iran. Adv. Biomed. Res. 2016, 5, 152. [Google Scholar] [CrossRef]
- Yokoyama, K.; Ikeda, O.; Kawanaka, K.; Nakasone, Y.; Tamura, Y.; Inoue, S.; Sakamoto, F.; Yoshida, M.; Shiraishi, S.; Yamashita, Y. Comparison of CT-Guided Percutaneous Biopsy with and Without Registration of Prior PET/CT Images to Diagnose Mediastinal Tumors. Cardiovasc. Interv. Radiol. 2013, 37, 1306–1311. [Google Scholar] [CrossRef] [PubMed]
- Toloza, E.M.; Harpole, L.; Detterbeck, F.; McCrory, D.C. Invasive Staging of Non-small Cell Lung Cancer: A review of the current evidence. Chest 2003, 123, 157S–166S. [Google Scholar] [CrossRef] [PubMed]
- Hegde, P.V.; Liberman, M. Mediastinal Staging. Thorac. Surg. Clin. 2016, 26, 243–249. [Google Scholar] [CrossRef] [PubMed]
- Carlson, S.K.; Bender, C.E.; Classic, K.L.; Zink, F.E.; Quam, J.P.; Ward, E.M.; Oberg, A.L. Benefits and Safety of CT Fluoroscopy in Interventional Radiologic Procedures. Radiology 2001, 219, 515–520. [Google Scholar] [CrossRef] [PubMed]
- Paprottka, P.; Helmberger, T.; Reiser, M.; Trumm, C. CT-Steuerung. Der Radiol. 2013, 53, 974–985. [Google Scholar] [CrossRef] [PubMed]




| Variable | Numbers (Percentage) | Mean Value ± SD (Range) |
|---|---|---|
| Age (years) | 54.7 ± 18.2 (20–89) | |
| Sex | ||
| Female | 63 (42.6) | |
| Male | 85 (57.4) | |
| Lesion size (cm) | 6.0 ± 3.3 (0.6–18.1) | |
| Mediastinal localization | ||
| Anterior | 114 (73.5) | |
| Middle | 17 (11) | |
| Posterior | 24 (15.5) |
| Variable | Numbers (Percentage) | Mean Value ± SD (Range) |
|---|---|---|
| Access path | ||
| Parasternal | 82 (52.9) | |
| Paravertebral | 36 (23.2) | |
| In the thoracic anterior midline | 17 (11) | |
| Intercostal lateral | 20 (12.9) | |
| Needle diameter (G) | ||
| 16 | 33 (21.3) | |
| 18 | 86 (55.5) | |
| Not specified | 36 (23.2) | |
| Number of samples | ||
| 1 | 41 (26.5) | |
| 2 | 51 (32.9) | |
| More than 2 * | 21 (13.5) | |
| 3 | 22 (14.2) | |
| 4 | 3 (1.9) | |
| 5 | 1 (0.6) | |
| Not specified | 16 (10.4) | |
| Total effective radiation dose (Total DLP, mGy*cm) | 575.7 ± 488.8 (183–3811) |
| Histopathology | Number | Percentage |
|---|---|---|
| Definite histopathologic diagnosis | 136/152 | 89.5 |
| Malignant lesions | 115 | 75.7 |
| Non-Hodgkin lymphoma | 38 | 25 |
| Bronchial carcinoma/metastasis | 22 | 14.4 |
| Hodgkin lymphoma | 13 | 8.6 |
| Sarcoma/metastasis | 9 | 5.9 |
| Malignant Thymoma | 5 | 3.2 |
| Extramedullary manifestation of AML/ALL/chloroma | 5 | 3.2 |
| Neuroendocrine tumor/metastasis | 4 | 2.6 |
| Breast cancer/metastasis | 4 | 2.6 |
| Carcinoma of unknown primary (CUP)/metastasis | 4 | 2.6 |
| Renal cell carcinoma/metastasis | 3 | 2.0 |
| Tonsil cancer/metastasis | 1 | 0.7 |
| Choriocarcinoma/metastasis | 1 | 0.7 |
| Oropharyngeal carcinoma/metastasis | 1 | 0.7 |
| Pancreatic carcinoma/metastasis | 1 | 0.7 |
| Stomach cancer/metastasis | 1 | 0.7 |
| Colon cancer/metastasis | 1 | 0.7 |
| Seminoma/metastasis | 1 | 0.7 |
| Non-seminomatous tumor/metastasis | 1 | 0.7 |
| Benign lesions | 35 | 23 |
| Benign Thymoma | 11 | 7.2 |
| Hematoma | 7 | 4.5 |
| Pericardial cyst/effusion | 4 | 2.6 |
| Thymus | 4 | 2.6 |
| Mediastinal inflammatory pseudotumor | 2 | 1.3 |
| Lymphadenitis | 2 | 1.3 |
| Lipoma | 1 | 0.7 |
| Struma | 1 | 0.7 |
| Sclerosing mediastinitis | 1 | 0.7 |
| Scar tissue | 1 | 0.7 |
| Schwannoma | 1 | 0.7 |
| Miscellaneous | 2 | 1.3 |
| Teratoma | 2 | 1.3 |
Publisher’s Note: MDPI stays neutral with regard to jurisdictional claims in published maps and institutional affiliations. |
© 2021 by the authors. Licensee MDPI, Basel, Switzerland. This article is an open access article distributed under the terms and conditions of the Creative Commons Attribution (CC BY) license (https://creativecommons.org/licenses/by/4.0/).
Share and Cite
Burgard, C.; Stahl, R.; de Figueiredo, G.N.; Dinkel, J.; Liebig, T.; Cioni, D.; Neri, E.; Trumm, C.G. Percutaneous CT Fluoroscopy-Guided Core Needle Biopsy of Mediastinal Masses: Technical Outcome and Complications of 155 Procedures during a 10-Year Period. Diagnostics 2021, 11, 781. https://doi.org/10.3390/diagnostics11050781
Burgard C, Stahl R, de Figueiredo GN, Dinkel J, Liebig T, Cioni D, Neri E, Trumm CG. Percutaneous CT Fluoroscopy-Guided Core Needle Biopsy of Mediastinal Masses: Technical Outcome and Complications of 155 Procedures during a 10-Year Period. Diagnostics. 2021; 11(5):781. https://doi.org/10.3390/diagnostics11050781
Chicago/Turabian StyleBurgard, Caroline, Robert Stahl, Giovanna Negrao de Figueiredo, Julien Dinkel, Thomas Liebig, Dania Cioni, Emanuele Neri, and Christoph G. Trumm. 2021. "Percutaneous CT Fluoroscopy-Guided Core Needle Biopsy of Mediastinal Masses: Technical Outcome and Complications of 155 Procedures during a 10-Year Period" Diagnostics 11, no. 5: 781. https://doi.org/10.3390/diagnostics11050781
APA StyleBurgard, C., Stahl, R., de Figueiredo, G. N., Dinkel, J., Liebig, T., Cioni, D., Neri, E., & Trumm, C. G. (2021). Percutaneous CT Fluoroscopy-Guided Core Needle Biopsy of Mediastinal Masses: Technical Outcome and Complications of 155 Procedures during a 10-Year Period. Diagnostics, 11(5), 781. https://doi.org/10.3390/diagnostics11050781

