18F-Fluorocholine PET and 4D-CT in Patients with Persistent and Recurrent Primary Hyperparathyroidism
Abstract
:1. Introduction
2. Materials and Methods
2.1. Patient Population
2.2. 18F-FCH PET/4D-CT Technical Procedures and Interpretation
2.3. Gold Standard
2.4. Statistical Analysis
3. Results
3.1. Patient Population
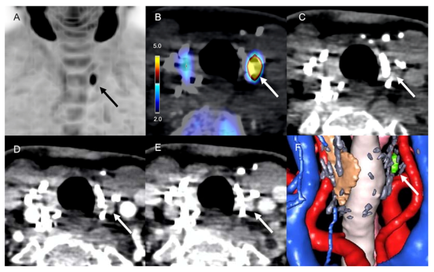
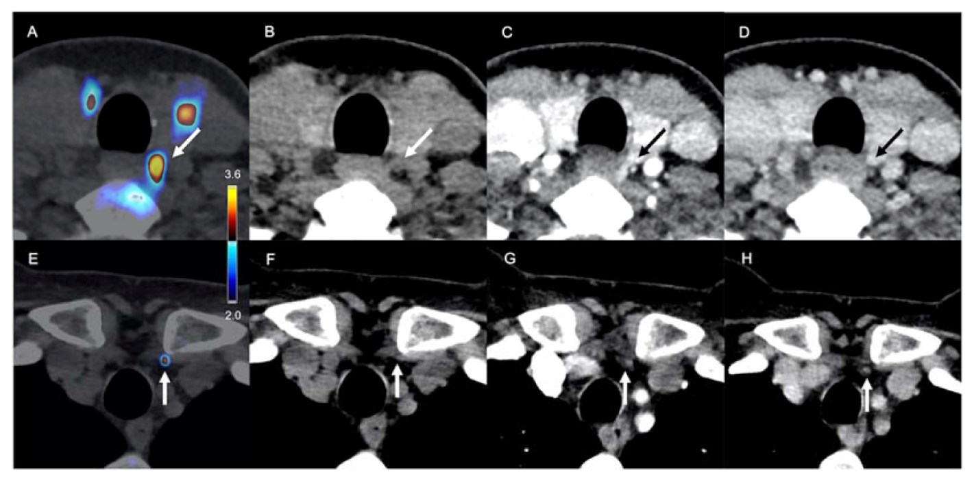
3.2. 18F-FCH PET/CT Results
3.3. 4D-CT Results
3.4. 18F-FCH PET/CT versus 4D-CT
4. Discussion
5. Conclusions
Author Contributions
Funding
Institutional Review Board Statement
Informed Consent Statement
Data Availability Statement
Conflicts of Interest
References
- Bilezikian, J.P.; Bandeira, L.; Khan, A.; Cusano, N.E. Hyperparathyroidism. Lancet 2018, 391, 168–178. [Google Scholar] [CrossRef]
- Bilezikian, J.P.; Brandi, M.L.; Eastell, R.; Silverberg, S.J.; Udelsman, R.; Marcocci, C.; Potts, J.T., Jr. Guidelines for the Management of Asymptomatic Primary Hyperparathyroidism: Summary Statement from the Fourth International Workshop. J. Clin. Endocrinol. Metab. 2014, 99, 3561–3569. [Google Scholar] [CrossRef] [PubMed]
- Hindié, E.; Schwartz, P.; Avram, A.M.; Imperiale, A.; Sebag, F.; Taïeb, D. Primary Hyperparathyroidism: Defining the Appropriate Preoperative Imaging Algorithm. J. Nucl. Med. 2021, 62 (Suppl. 2), 3S–12S. [Google Scholar] [CrossRef] [PubMed]
- Bagul, A.; Patel, H.P.; Chadwick, D.; Harrison, B.J.; Balasubramanian, S.P. Primary Hyperparathyroidism: An Analysis of Failure of Parathyroidectomy. World. J. Surg. 2014, 38, 534–541. [Google Scholar] [CrossRef]
- Parikh, A.M.; Grogan, R.H.; Morón, F.E. Localization of Parathyroid Disease in Reoperative Patients with Primary Hyperparathyroidism. Int. J. Endocrinol. 2020, 2020, 9649564. [Google Scholar] [CrossRef]
- McIntyre, C.J.; Allen JL, Y.; Constantinides, V.A.; Jackson, J.E.; Tolley, N.S.; Palazzo, F.F. Patterns of disease in patients at a tertiary referral centre requiring reoperative parathyroidectomy. Ann. R. Coll. Surg. Engl. 2015, 97, 598–602. [Google Scholar] [CrossRef] [Green Version]
- Wilhelm, S.M.; Wang, T.S.; Ruan, D.T.; Lee, J.A.; Asa, S.L.; Duh, Q.Y.; Doherty, G.M.; Herrera, M.F.; Pasieka, J.L.; Perrier, N.D.; et al. The American Association of Endocrine Surgeons Guidelines for Definitive Management of Primary Hyperparathyroidism. JAMA Surg. 2016, 151, 959. [Google Scholar] [CrossRef]
- Guerin, C.; Paladino, N.C.; Lowery, A.; Castinetti, F.; Taieb, D.; Sebag, F. Persistent and recurrent hyperparathyroidism. Update Surg. 2017, 69, 161–169. [Google Scholar] [CrossRef]
- Jaskowiak, N.; Norton, J.A.; Alexander, H.R.; Doppman, J.L.; Shawker, T.; Skarulis, M.; Marx, S.; Spiegel, A.; Fraker, D.L. A Prospective Trial Evaluating a Standard Approach to Reoperation for Missed Parathyroid Adenoma. Ann. Surg. 1996, 224, 308–322. [Google Scholar] [CrossRef]
- Kazaure, H.S.; Thomas, S.; Scheri, R.P.; Stang, M.T.; Roman, S.A.; Sosa, J.A. The devil is in the details: Assessing treatment and outcomes of 6795 patients undergoing remedial parathyroidectomy in the Collaborative Endocrine Surgery Quality Improvement Program. Surgery 2019, 165, 242–249. [Google Scholar] [CrossRef]
- Karakas, E.; Müller, H.H.; Schlosshauer, T.; Rothmund, M.; Bartsch, D.K. Reoperations for primary hyperparathyroidism—improvement of outcome over two decades. Langenbecks Arch. Surg. 2013, 398, 99–106. [Google Scholar] [CrossRef]
- Gough, I. Reoperative parathyroid surgery: The importance of ectopic location and multigland disease. ANZ J. Surg. 2006, 76, 1048–1050. [Google Scholar] [CrossRef]
- Bergenfelz, A.O.; Wallin, G.; Jansson, S.; Eriksson, H.; Mårtensson, H.; Christiansen, P.; Reihnér, E. Results of surgery for sporadic primary hyperparathyroidism in patients with preoperatively negative sestamibi scintigraphy and ultrasound. Langenbecks Arch. Surg. 2011, 396, 83–90. [Google Scholar] [CrossRef]
- Schalin-Jäntti, C.; Ryhänen, E.; Heiskanen, I.; Seppänen, M.; Arola, J.; Schildt, J.; Väisänen, M.; Lassi Nelimarkka, L.; Irina Lisinen, I.; Välimäki, M.J.; et al. Planar Scintigraphy with 123 I/ 99m Tc-Sestamibi, 99m Tc-Sestamibi SPECT/CT, 11 C-Methionine PET/CT, or Selective Venous Sampling Before Reoperation of Primary Hyperparathyroidism? J. Nucl. Med. 2013, 54, 739–747. [Google Scholar] [CrossRef] [Green Version]
- Treglia, G.; Trimboli, P.; Huellner, M.; Giovanella, L. Imaging in primary hyperparathyroidism: Focus on the evidence-based diagnostic performance of different methods. Minerva Endocrinol. 2018, 43, 133–143. [Google Scholar] [CrossRef]
- Sun, L.; Yao, J.; Hao, P.; Yang, Y.; Liu, Z.; Peng, R. Diagnostic Role of Four-Dimensional Computed Tomography for Preoperative Parathyroid Localization in Patients with Primary Hyperparathyroidism: A Systematic Review and Meta-Analysis. Diagnostics 2021, 11, 664. [Google Scholar] [CrossRef]
- Ginsburg, M.; Christoforidis, G.A.; Zivin, S.P.; Obara, P.; Wroblewski, K.; Angelos, P.; Grogan, R.H.; Kaplan, E.L. Adenoma Localization for Recurrent or Persistent Primary Hyperparathyroidism Using Dynamic Four-Dimensional CT and Venous Sampling. J. Vasc. Interv. Radiol. 2015, 26, 79–86. [Google Scholar] [CrossRef]
- Kelly, H.R.; Hamberg, L.M.; Hunter, G.J. 4D-CT for Preoperative Localization of Abnormal Parathyroid Glands in Patients with Hyperparathyroidism: Accuracy and Ability to Stratify Patients by Unilateral versus Bilateral Disease in Surgery-Naïve and Re-Exploration Patients. Am. J. Neuroradiol. 2014, 35, 176–181. [Google Scholar] [CrossRef] [Green Version]
- Treglia, G.; Piccardo, A.; Imperiale, A.; Strobel, K.; Kaufmann, P.A.; Prior, J.O.; Giovanella, L. Diagnostic performance of choline PET for detection of hyperfunctioning parathyroid glands in hyperparathyroidism: A systematic review and meta-analysis. Eur. J. Nucl. Med. Mol. Imaging 2019, 46, 751–765. [Google Scholar] [CrossRef]
- Giovanella, L.; Bacigalupo, L.; Treglia, G.; Piccardo, A. Will 18F-fluorocholine PET/CT replace other methods of preoperative parathyroid imaging? Endocrine 2021, 71, 285–297. [Google Scholar] [CrossRef]
- Amadou, C.; Bera, G.; Ezziane, M.; Chami, L.; Delbot, T.; Rouxel, A.; Leban, M.; Herve, G.; Menegaux, F.; Lussey-Lepoutre, C.; et al. 18F-Fluorocholine PET/CT and Parathyroid 4D Computed Tomography for Primary Hyperparathyroidism: The Challenge of Reoperative Patients. World. J. Surg. 2019, 43, 1232–1242. [Google Scholar] [CrossRef]
- Christakis, I.; Khan, S.; Sadler, G.P.; Gleeson, F.V.; Bradley, K.M.; Mihai, R. 18Fluorocholine PET/CT scanning with arterial phase-enhanced CT is useful for persistent/recurrent primary hyperparathyroidism: First UK case series results. Ann. R. Coll. Surg. Engl. 2019, 101, 501–507. [Google Scholar] [CrossRef]
- Hoang, J.K.; Sung, W.K.; Bahl, M.; Phillips, C.D. How to Perform Parathyroid 4D CT: Tips and Traps for Technique and Interpretation. Radiology 2014, 270, 15–24. [Google Scholar] [CrossRef] [Green Version]
- Evangelista, L.; Ravelli, I.; Magnani, F.; Iacobone, M.; Giraudo, C.; Camozzi, V.; Spimpolo, A.; Cecchin, D. 18F-choline PET/CT and PET/MRI in primary and recurrent hyperparathyroidism: A systematic review of the literature. Ann. Nucl. Med. 2020, 34, 601–619. [Google Scholar] [CrossRef]
- Silberfein, E.J. Reoperative Parathyroidectomy: Location of Missed Glands Based on a Contemporary Nomenclature System. Arch. Surg. 2010, 145, 1065. [Google Scholar] [CrossRef]
- Mazotas, I.G.; Yen, T.W.; Doffek, K.; Shaker, J.L.; Carr, A.A.; Evans, D.B.; Wang, T.S. Persistent/Recurrent Primary Hyperparathyroidism: Does the Number of Abnormal Glands Play a Role? J. Surg. Res. 2020, 246, 335–341. [Google Scholar] [CrossRef]
- Alhefdhi, A.; Schneider, D.F.; Sippel, R.; Chen, H. Recurrent and persistence primary hyperparathyroidism occurs more frequently in patients with double adenomas. J. Surg. Res. 2014, 190, 198–202. [Google Scholar] [CrossRef]
- Piccardo, A.; Trimboli, P.; Rutigliani, M.; Puntoni, M.; Foppiani, L.; Bacigalupo, L.; Crescenzi, A.; Bottoni, G.; GTreglia, G.; Giovanella, L.; et al. Additional value of integrated 18F-choline PET/4D contrast-enhanced CT in the localization of hyperfunctioning parathyroid glands and correlation with molecular profile. Eur. J. Nucl. Med. Mol. Imaging 2019, 46, 766–775. [Google Scholar] [CrossRef]
- Pretet, V.; Rotania, M.; Helali, M.; Ignat, M.; Vix, M.; Imperiale, A. 18F-Fluorocholine PET and Multiphase CT Integrated in Dual Modality PET/4D-CT for Preoperative Evaluation of Primary Hyperparathyroidism. J. Clin. Med. 2020, 9, 2005. [Google Scholar] [CrossRef] [PubMed]
- Piccardo, A.; Bottoni, G.; Boccalatte, L.A.; Camponovo, C.; Musumeci, M.; Bacigalupo, L.; Collaud, C.; Ugolini, M.; Fiz, F.; Trimboli, P. Head-to-head comparison among 18F-choline PET/CT, 4D contrast-enhanced CT, and 18F-choline PET/4D contrast-enhanced CT in the detection of hyperfunctioning parathyroid glands: A systematic review and meta-analysis. Endocrine 2021, 74, 404–412. [Google Scholar] [CrossRef] [PubMed]
- Kluijfhout, W.P.; Pasternak, J.D.; Gosnell, J.E.; Shen, W.T.; Duh, Q.Y.; Vriens, M.R.; de Keizer, B.; Hope, T.A.; Glastonbury, C.M.; Suh, I.; et al. 18F Fluorocholine PET/MR Imaging in Patients with Primary Hyperparathyroidism and Inconclusive Conventional Imaging: A Prospective Pilot Study. Radiology 2017, 284, 460–467. [Google Scholar] [CrossRef] [PubMed] [Green Version]
- Araz, M.; Nak, D.; Soydal, Ç.; Peker, E.; Erden, İ.; Küçük, N.Ö. Detectability of 18F-choline PET/MR in primary hyperparathyroidism. Eur. Arch. Oto-Rhino-Laryngol. 2021. [Google Scholar] [CrossRef] [PubMed]


| Criteria | Number |
|---|---|
| Sex (%) | n = 42 |
| Female/Male | 38 (90.5%)/4 (9.5%) |
| Age (years, mean) | 58.4 |
| Localization of parathyroid gland removed during prior surgery (%) | n = 55 |
| Upper right/Lower right | 15 (27.3%)/15 (27.3%) |
| Upper left/Lower left | 13 (23.6%)/10 (18.2%) |
| Unknown localization | 2 (3.6%) |
| Number of removed glands per patient during prior surgery (%) | n = 42 |
| 1 gland | 23 (54.8%) |
| 2 glands | 11 (26.2%) |
| 3 glands | 2 (4.7%) |
| Subtotal parathyroidectomy | 1 (2.4%) |
| No glands removed | 5 (11.9%) |
| Pathology after first surgery | n = 55 |
| Adenoma | 34 (61.8%) |
| Hyperplasia | 13 (23.6%) |
| Hypercellular (adenoma or hyperplasia) | 3 (5.5%) |
| Normal gland | 4 (7.3%) |
| Unknown | 1 (1.8%) |
| Type of pHPT (%) | n = 42 |
| Persistent pHPT/Reccurent p-HPT | 25 (59.5%)/17 (40.5%) |
| Biological features (mean ± SD) | |
| PTH (pg/mL) | 118 ± 114 |
| Calcemia (mmol/L) | 2.54 ± 0.18 |
| Phosphatemia (mmol/L) | 0.95 ± 0.18 |
| 25-OH Vitamin D (ng/mL) | 30.4 ± 11.2 |
| Patient clinical symptomatology (%) | n = 42 |
| None or undocumented | 27 (64.3%) |
| Osteroporosis/osteopenia | 4 (9.5%) |
| Urinary lithiasis/renal colic | 9 (21.4%) |
| Pancreatitis | 2 (4.8%) |
| Genetical status (%) | n = 42 |
| No mutation or undocumented | 37 (88.1%) |
| MEN-1 | 4 (9.5%) |
| FHH | 1 (2.4%) |
| Cinacalcet treatment (%) | n = 42 |
| Yes/No | 6 (14.3%)/36 (85.7%) |
| Patient | Sex | Age (Years) | HPT Type | Genetic Status | Cinacalcet | US | 99mTc-Sestamibi | 18F-FCH PET/CT | 4D-CT | Gland(s) Localization(s) | Histology (From PET Target) | Volume (cm3) | Weight (g) | Surgical Technique | Pre-Operative PTH (pg/mL) | Post-Operative PTH (pg/mL) | Patient Cured |
|---|---|---|---|---|---|---|---|---|---|---|---|---|---|---|---|---|---|
| 1 | F | 61 | P | No | +/−/+ | +/+/+ | −/+/+ | UR/LR/LL | 3 Hpl | 2.0/0.8/0.8 | nc | CE | 80.5 | 8.3 | Yes | ||
| 2 | F | 73 | R | Yes | − | − | + | − | UL | Ad | 0.4 | 0.3 | CE | 145.8 | 6.2 | Yes | |
| 3 | F | 52 | R | No | + | − | + | + | UL | Ad | 0.1 | <0.1 | MIP | 100.9 | 10.8 | Yes | |
| 4 | M | 65 | R | Yes | + | ectopic | Hpl | 0.7 | nc | MIP | 155.5 | 110.2 | No | ||||
| 5 | F | 78 | R | No | − | + | − | LR | Hpl | 0.3 | <0.1 | CE | 90.2 | 11.7 | Yes | ||
| 6 | F | 15 | P | MEN-1 | No | + | + | UR | Ad or Hpl | 0.5 | 0.3 | CE | 127.1 | 14.7 | Yes | ||
| 7 | F | 71 | P | Yes | − | + | + | LL | Ad | 0.8 | nc | CE | 80 | 47 | Yes | ||
| 8 | F | 68 | R | No | + | − | + | + | UR | Ganglioneuroma | nc | nc | CE | 112 | 55.9 | No | |
| 9 | F | 28 | P | MEN-1 | No | −/+ | +/−/+ | +/−/+ | LR/UL/UL | 3 Hpl | nc | nc | CE | nc | nc | Yes | |
| 10 | F | 54 | R | Yes | + | − | + | + | UR | Ad | 1.1 | 0.6 | CE | 146.3 | 8.7 | Yes | |
| 11 | F | 69 | P | No | + | + | + | LL | Ad | 0.4 | 0.2 | CE | 69.9 | 11.3 | Yes | ||
| 12 | F | 69 | P | No | − | − | Lymph node | nc | nc | CE | 80 | 131 | No | ||||
| 13 | F | 64 | P | No | + | + | LL | Hpl | 0.2 | <0.1 | CE | 75.4 | 23.3 | No | |||
| 14 | F | 60 | P | No | +/+ | −/+ | LR/UL | 2 Ad | 0.4/1.0 | 0.2/0.5 | CE | 158 | 43 | Yes | |||
| 15 | F | 28 | R | MEN-1 | No | + | + | + | LR | Ad | fragmented | 0.4 | CE | 330.4 | 31.4 | No * | |
| 16 | M | 41 | R | MEN-1 | No | − | + | + | LR | Ad or Hpl | 0.8 | 0.2 | MIP | 68.7 | 15.7 | No | |
| 17 | F | 56 | R | No | + | + | + | UL | Hpl | 0.3 | nc | CE | 73.5 | 68.9 | No | ||
| 18 | F | 67 | R | No | + | − | LL | Ad | 0.3 | nc | nc | 67 | 41 | Yes | |||
| 19 | F | 61 | P | No | + | + | UL | Ad | 0.1 | <0.1 | CE | 254.1 | 9.6 | Yes | |||
| 20 | F | 37 | R | No | + | − | - | ectopic | Lymph node | nc | nc | CE | 132.8 | 96.5 | No |
| Analysis Results | 18F-FCH PET/CT | 4D-CT | p Value |
|---|---|---|---|
| Detection rate | |||
| Lesion based | 21/24 (87.5%) | 15/24 (62.5%) | 0.04 |
| Patient based | 26/37 (70.3%) | 15/37 (40.5%) | <0.01 |
| Sensitivity | |||
| Lesion based | 21/23 (91.3%) | 15/23 (65.2%) | 0.04 |
| 18F-FCH PET/CT | US | p value | |
| Detection rate | |||
| Lesion based | 7/7 (100%) | 4/7 (57.1%) | 0.25 |
| Patient based | 11/16 (68.7%) | 4/16 (25%) | <0.05 |
| Sensitivity | |||
| Lesion based | 6/6 (100%) | 3/6 (50%) | 0.25 |
| 18F-FCH PET/CT | Parathyroid scintigraphy | p value | |
| Detection rate | |||
| Lesion based | 13/15 (86.7%) | 7/15 (46.7%) | 0.08 |
| Patient based | 11/14 (78.6%) | 7/14 (50%) | 0.13 |
| Sensitivity | |||
| Lesion based | 12/13 (92.3%) | 6/13 (46.1%) | 0.04 |
Publisher’s Note: MDPI stays neutral with regard to jurisdictional claims in published maps and institutional affiliations. |
© 2021 by the authors. Licensee MDPI, Basel, Switzerland. This article is an open access article distributed under the terms and conditions of the Creative Commons Attribution (CC BY) license (https://creativecommons.org/licenses/by/4.0/).
Share and Cite
Latge, A.; Riehm, S.; Vix, M.; Bani, J.; Ignat, M.; Pretet, V.; Helali, M.; Treglia, G.; Imperiale, A. 18F-Fluorocholine PET and 4D-CT in Patients with Persistent and Recurrent Primary Hyperparathyroidism. Diagnostics 2021, 11, 2384. https://doi.org/10.3390/diagnostics11122384
Latge A, Riehm S, Vix M, Bani J, Ignat M, Pretet V, Helali M, Treglia G, Imperiale A. 18F-Fluorocholine PET and 4D-CT in Patients with Persistent and Recurrent Primary Hyperparathyroidism. Diagnostics. 2021; 11(12):2384. https://doi.org/10.3390/diagnostics11122384
Chicago/Turabian StyleLatge, Adrien, Sophie Riehm, Michel Vix, Jacob Bani, Mihaela Ignat, Valentin Pretet, Mehdi Helali, Giorgio Treglia, and Alessio Imperiale. 2021. "18F-Fluorocholine PET and 4D-CT in Patients with Persistent and Recurrent Primary Hyperparathyroidism" Diagnostics 11, no. 12: 2384. https://doi.org/10.3390/diagnostics11122384
APA StyleLatge, A., Riehm, S., Vix, M., Bani, J., Ignat, M., Pretet, V., Helali, M., Treglia, G., & Imperiale, A. (2021). 18F-Fluorocholine PET and 4D-CT in Patients with Persistent and Recurrent Primary Hyperparathyroidism. Diagnostics, 11(12), 2384. https://doi.org/10.3390/diagnostics11122384

