Adrenal Lesions: A Review of Imaging
Abstract
1. Introduction
2. Benign Lesions
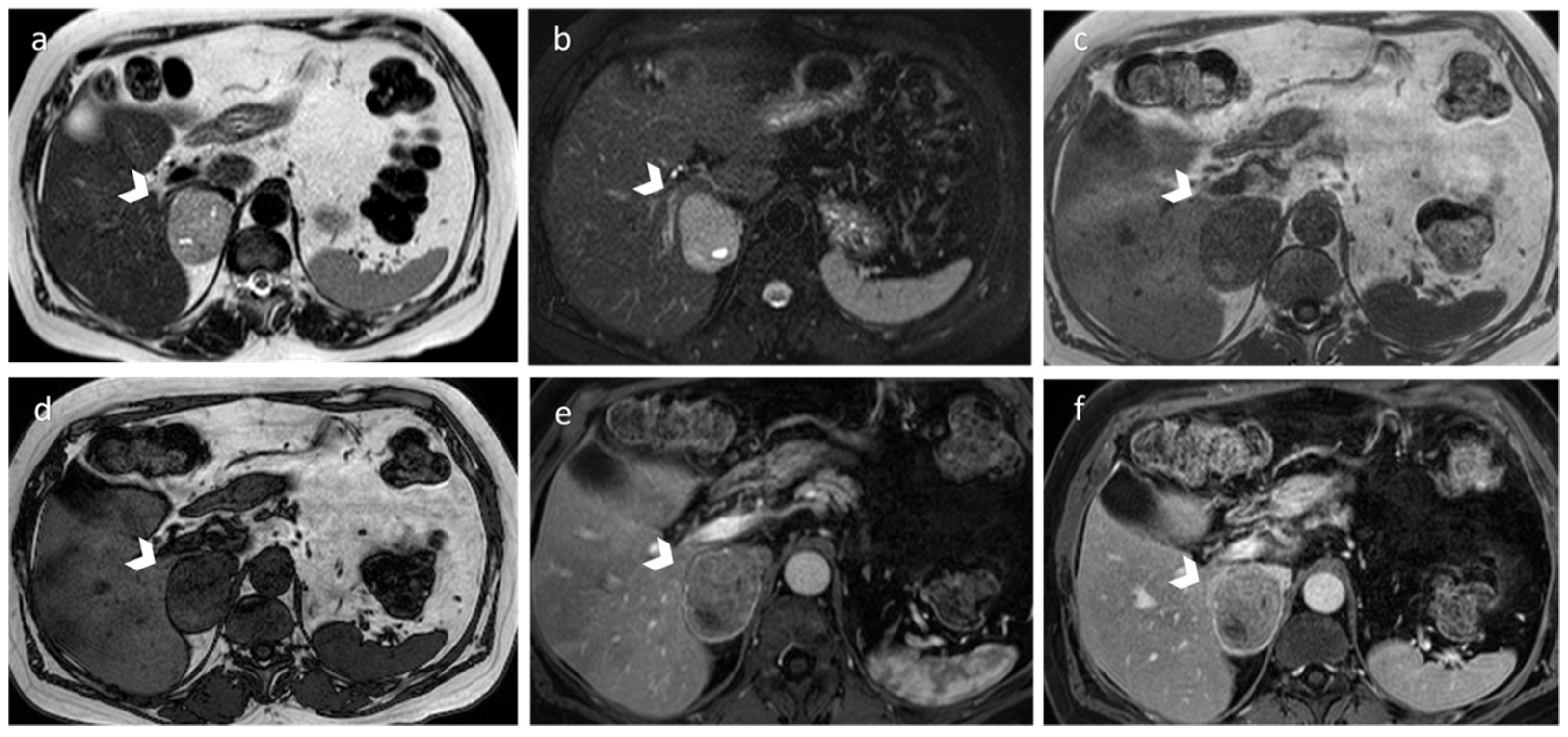
2.1. Adenoma
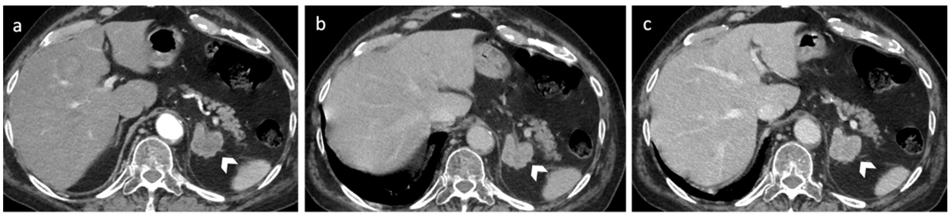
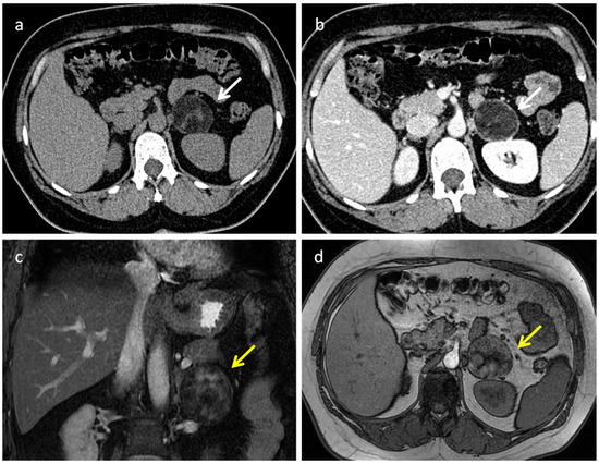
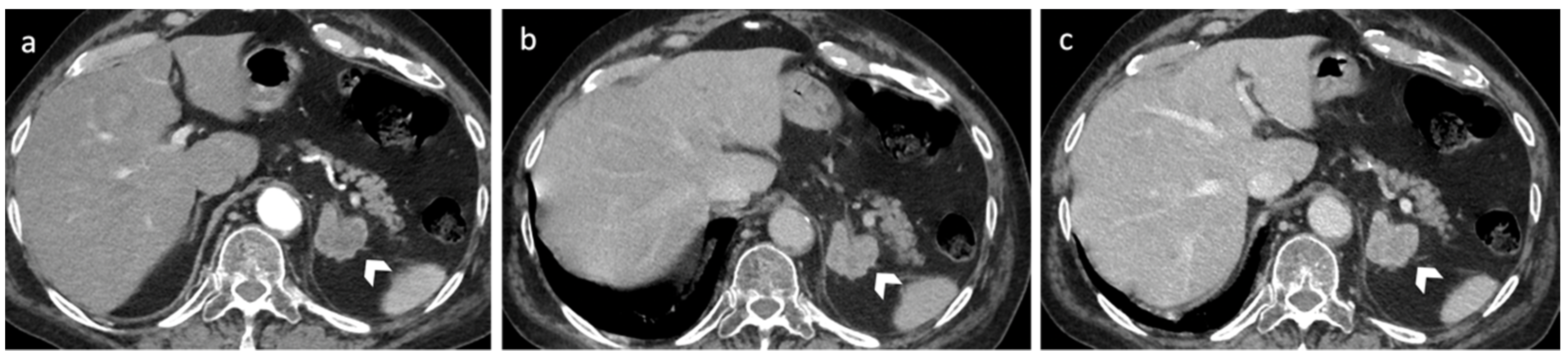
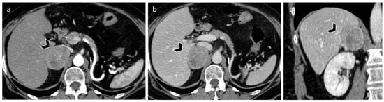
2.2. Myelolipoma
- Homogeneous, distinctive of lesions predominantly composed of fat;
- Heterogeneous, distinctive of lesions composed of mixed fatty and myeloid elements;
- Nodules, mass-like areas primarily composed of myeloid cells.
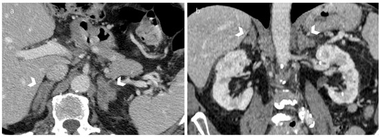
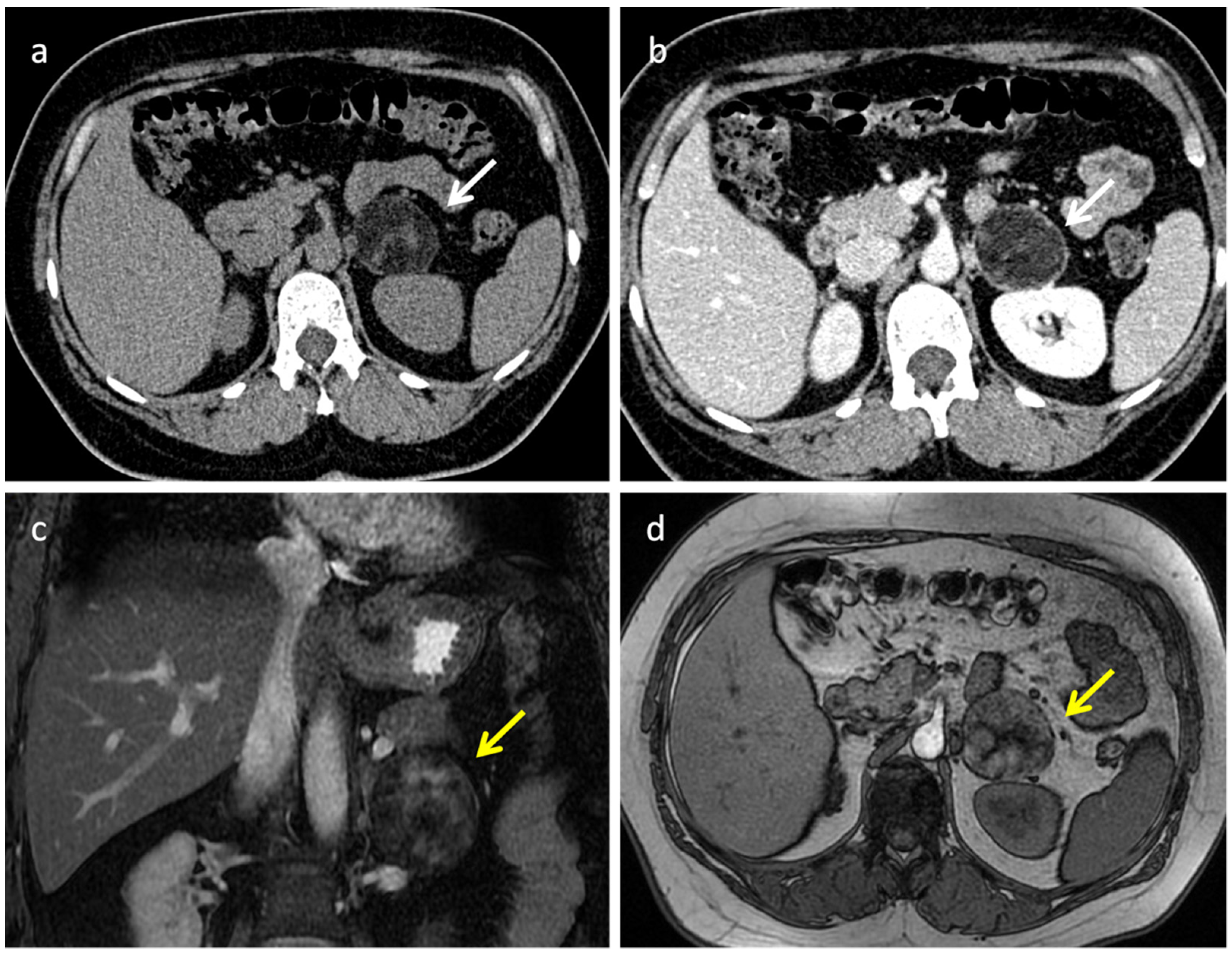
2.3. Adrenal Hyperplasia
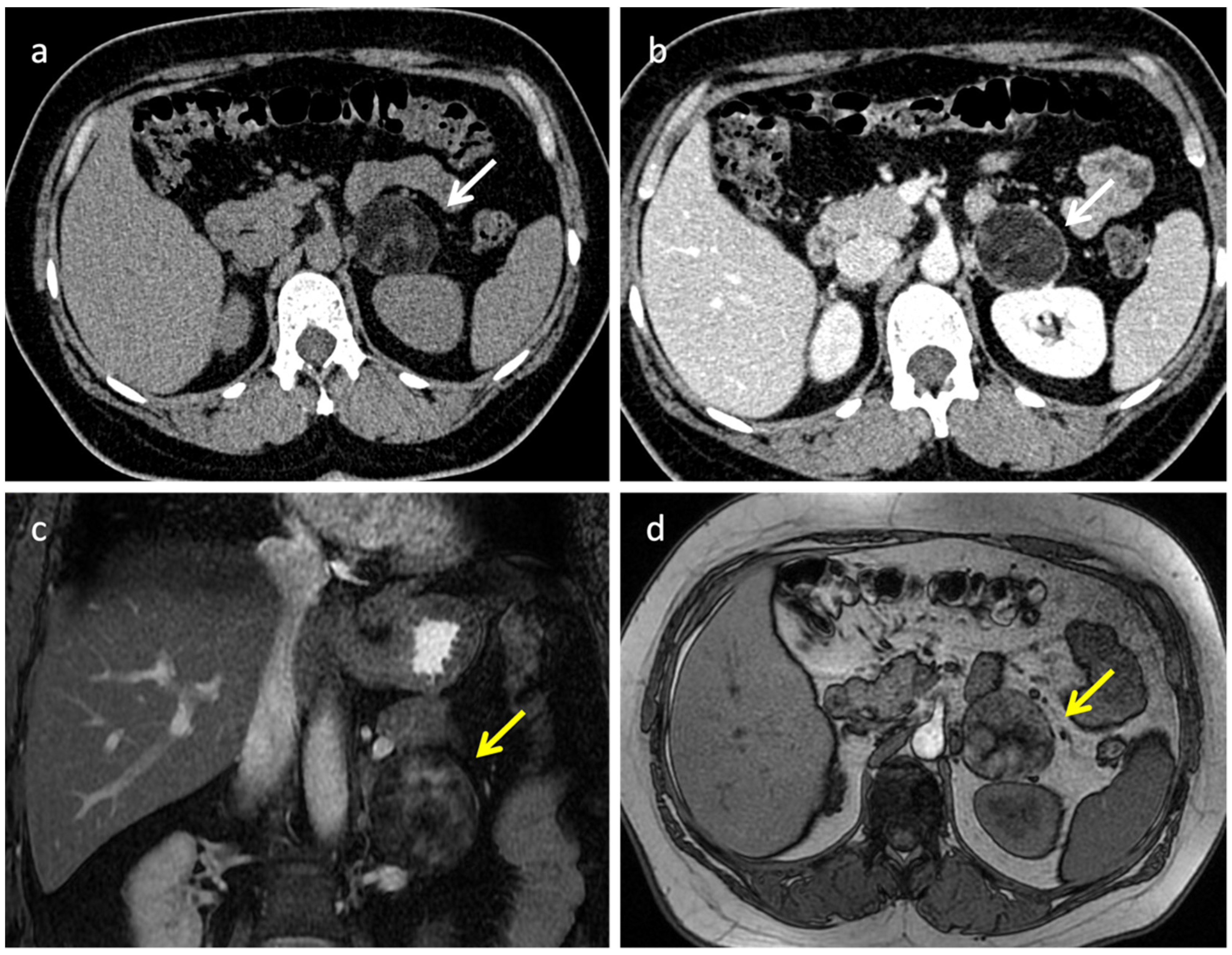
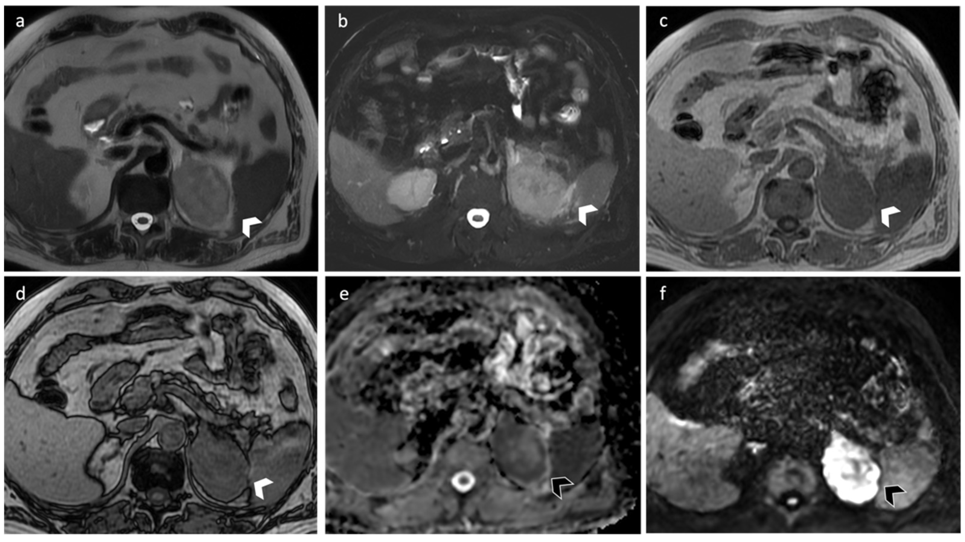
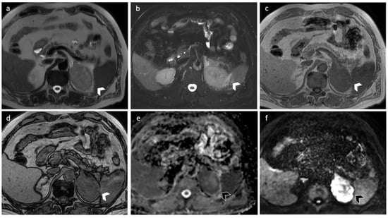
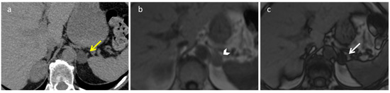
2.4. Cyst
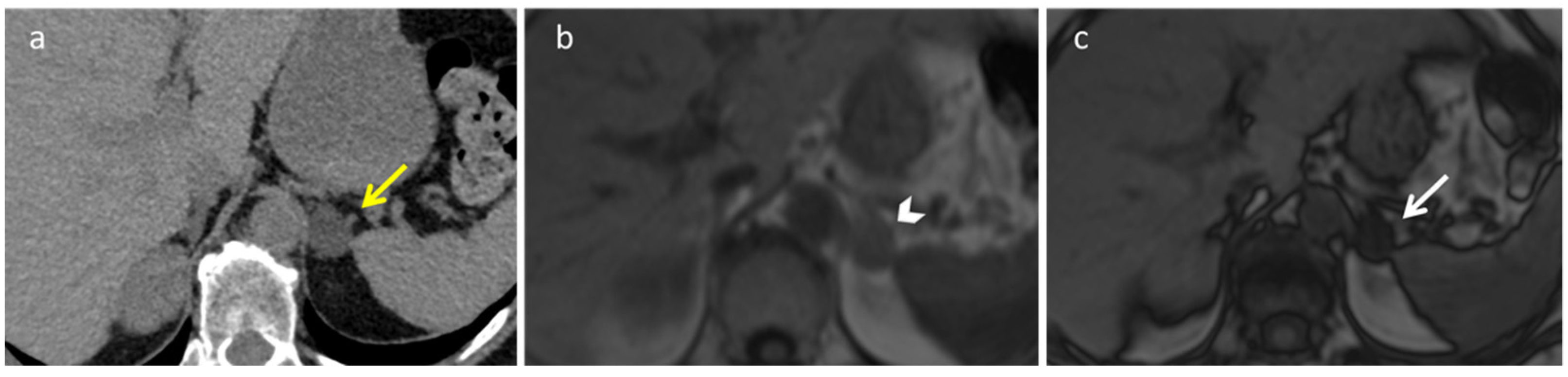
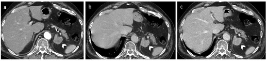
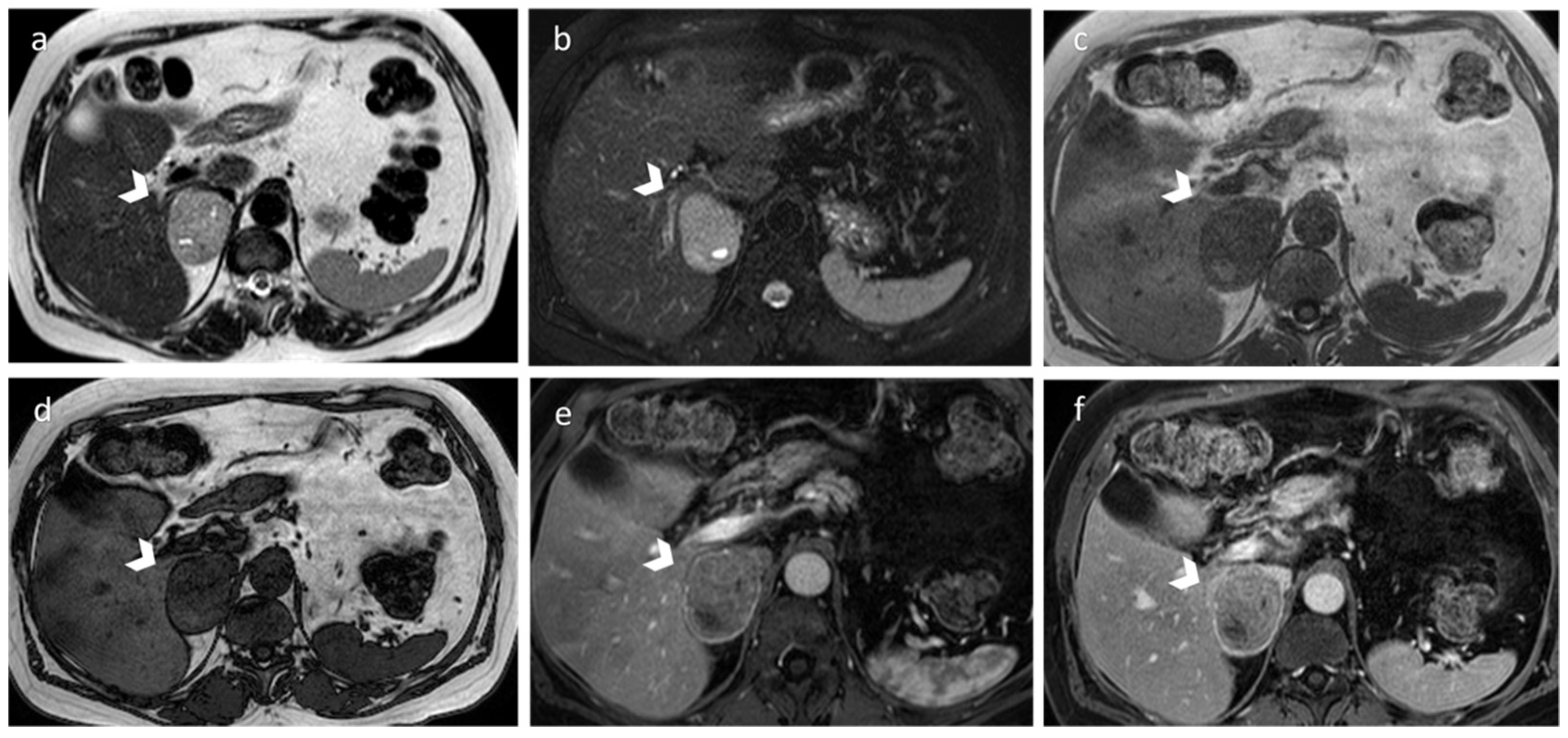
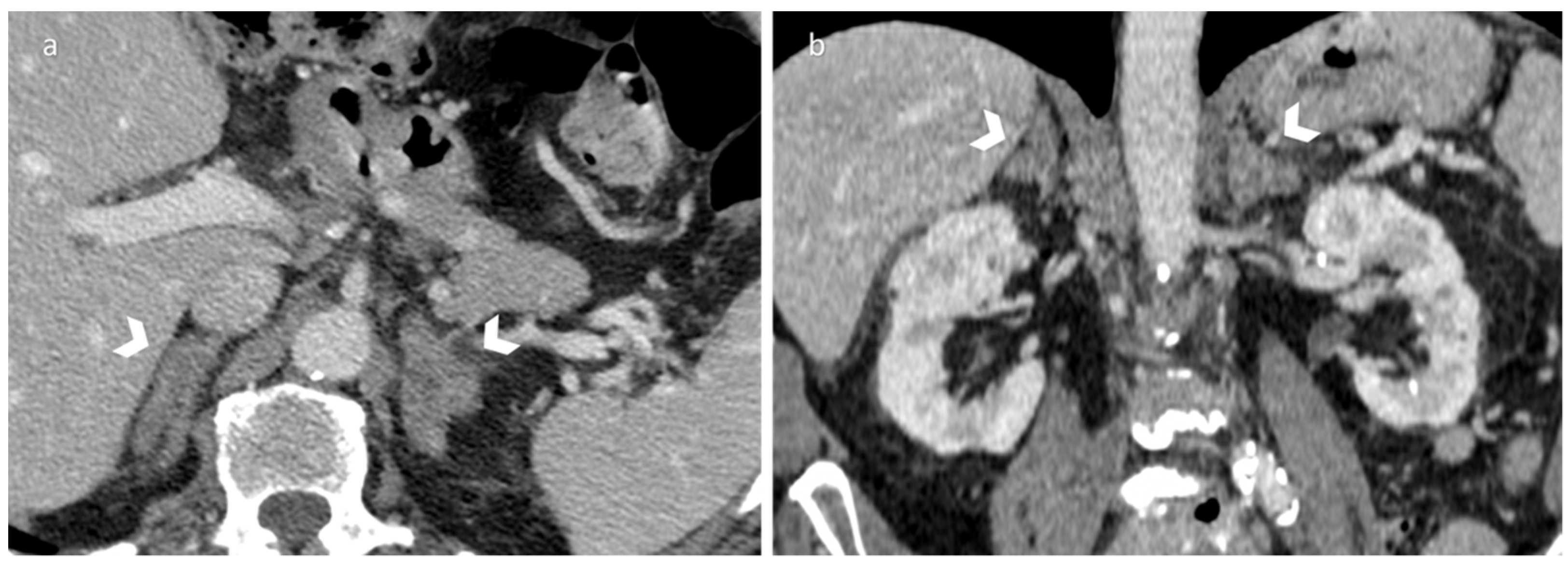
2.5. Schwannoma
3. Malignant Lesions
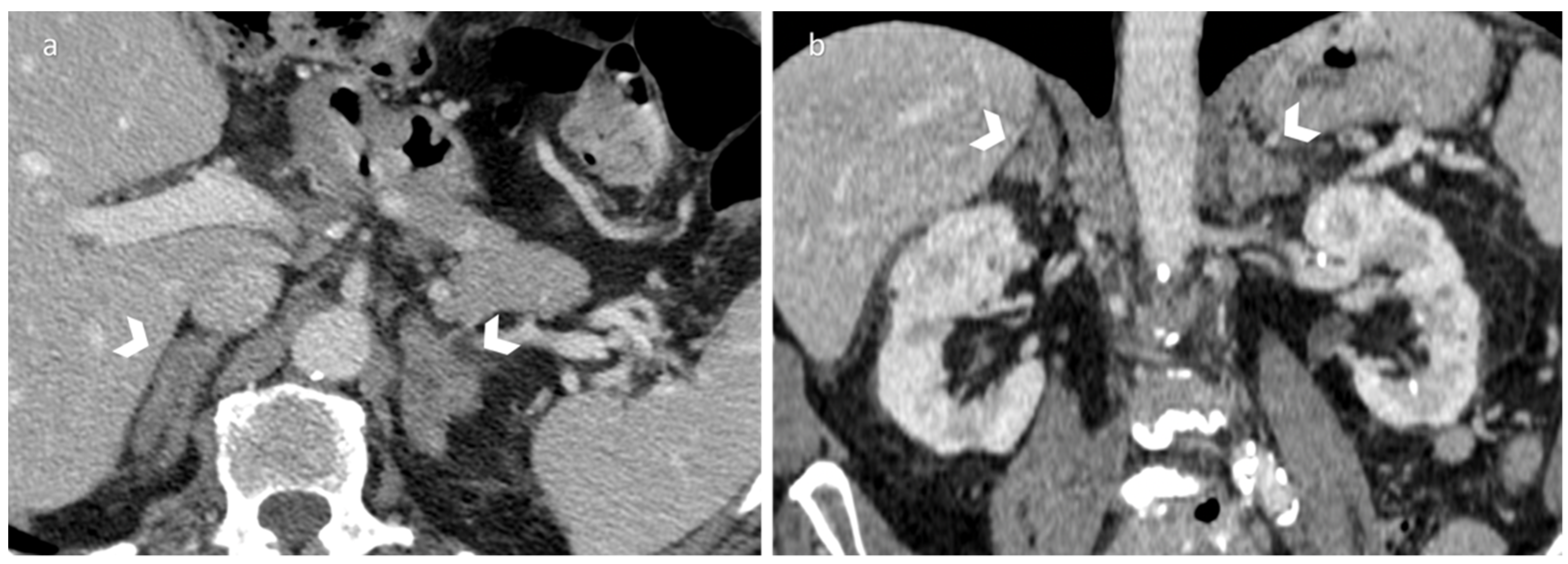
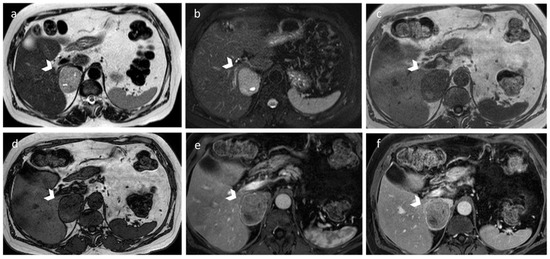
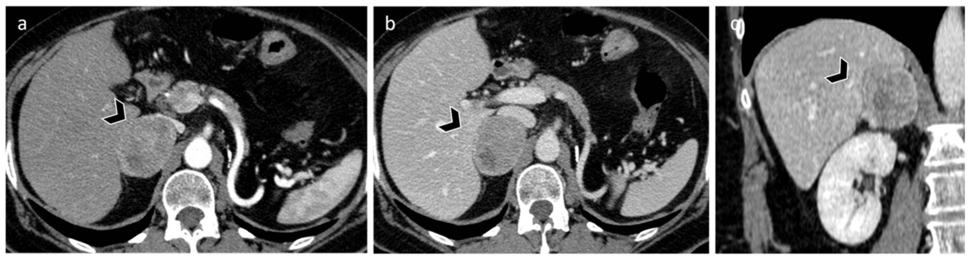
3.1. Pheochromocytoma
3.2. Metastasis
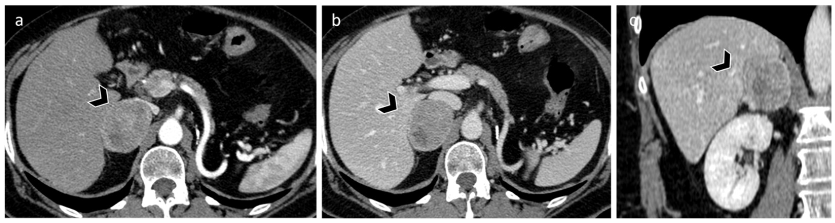
3.3. Carcinoma
4. Conclusions
Author Contributions
Funding
Institutional Review Board Statement
Informed Consent Statement
Data Availability Statement
Conflicts of Interest
References
- Pedullà, G.; Crocetti, D.; Paliotta, A.; Tarallo, M.R.; De Gori, A.; Cavallaro, G.; De Toma, G. Surgical Treatment of Pheochromocytoma in MEN 2. Ann. Ital. Chir. 2014, 85, 443–447. [Google Scholar] [PubMed]
- Tarallo, M.; Crocetti, D.; Fiori, E.; Sapienza, P.; Letizia, C.; De Toma, G.; Cavallaro, G. Criticism of Learning Curve in Laparoscopic Adrenalectomy: A Systematic Review. Clin. Ter. 2020, 171, e178–e182. [Google Scholar] [CrossRef] [PubMed]
- Di Dalmazi, G.; Fanelli, F.; Zavatta, G.; Ricci Bitti, S.; Mezzullo, M.; Repaci, A.; Pelusi, C.; Gambineri, A.; Altieri, P.; Mosconi, C.; et al. The Steroid Profile of Adrenal Incidentalomas: Subtyping Subjects with High Cardiovascular Risk. J. Clin. Endocrinol. Metab. 2019, 104, 5519–5528. [Google Scholar] [CrossRef] [PubMed]
- Suzuki, Y.; Sasagawa, I.; Suzuki, H.; Izumi, T.; Kaneko, H.; Nakada, T. The Role of Ultrasonography in the Detection of Adrenal Masses: Comparison with Computed Tomography and Magnetic Resonance Imaging. Int. Urol. Nephrol. 2001, 32, 303–306. [Google Scholar] [CrossRef] [PubMed]
- Okada, M.; Shimono, T.; Komeya, Y.; Ando, R.; Kagawa, Y.; Katsube, T.; Kuwabara, M.; Yagyu, Y.; Kumano, S.; Imaoka, I.; et al. Adrenal Masses: The Value of Additional Fluorodeoxyglucose-Positron Emission Tomography/Computed Tomography (FDG-PET/CT) in Differentiating between Benign and Malignant Lesions. Ann. Nucl. Med. 2009, 23, 349–354. [Google Scholar] [CrossRef] [PubMed]
- Caoili, E.M.; Korobkin, M.; Brown, R.K.J.; Mackie, G.; Shulkin, B.L. Differentiating Adrenal Adenomas from Nonadenomas Using (18)F-FDG PET/CT: Quantitative and Qualitative Evaluation. Acad. Radiol. 2007, 14, 468–475. [Google Scholar] [CrossRef]
- Blake, M.A.; Cronin, C.G.; Boland, G.W. Adrenal Imaging. AJR Am. J. Roentgenol. 2010, 194, 1450–1460. [Google Scholar] [CrossRef] [PubMed]
- Ctvrtlik, F.; Koranda, P.; Tichy, T. Adrenal Disease: A Clinical Update and Overview of Imaging. A Review. Biomed. Pap. Med. Fac. Univ. Palacky Olomouc Czech Repub. 2014, 158, 23–34. [Google Scholar] [CrossRef] [PubMed]
- Dunnick, N.R.; Korobkin, M.; Francis, I. Adrenal Radiology: Distinguishing Benign from Malignant Adrenal Masses. AJR Am. J. Roentgenol. 1996, 167, 861–867. [Google Scholar] [CrossRef]
- Willatt, J.M.; Francis, I.R. Radiologic Evaluation of Incidentally Discovered Adrenal Masses. Am. Fam. Physician 2010, 81, 1361–1366. [Google Scholar]
- Song, J.H.; Chaudhry, F.S.; Mayo-Smith, W.W. The Incidental Adrenal Mass on CT: Prevalence of Adrenal Disease in 1049 Consecutive Adrenal Masses in Patients with No Known Malignancy. AJR Am. J. Roentgenol. 2008, 190, 1163–1168. [Google Scholar] [CrossRef]
- Johnson, P.T.; Horton, K.M.; Fishman, E.K. Adrenal Imaging with Multidetector CT: Evidence-Based Protocol Optimization and Interpretative Practice. Radiographics 2009, 29, 1319–1331. [Google Scholar] [CrossRef] [PubMed]
- Pasternak, J.D.; Seib, C.D.; Seiser, N.; Tyrell, J.B.; Liu, C.; Cisco, R.M.; Gosnell, J.E.; Shen, W.T.; Suh, I.; Duh, Q.-Y. Differences Between Bilateral Adrenal Incidentalomas and Unilateral Lesions. JAMA Surg. 2015, 150, 974–978. [Google Scholar] [CrossRef] [PubMed]
- Alshahrani, M.A.; Bin Saeedan, M.; Alkhunaizan, T.; Aljohani, I.M.; Azzumeea, F.M. Bilateral Adrenal Abnormalities: Imaging Review of Different Entities. Abdom. Radiol. 2019, 44, 154–179. [Google Scholar] [CrossRef] [PubMed]
- Crimì, F.; Quaia, E.; Cabrelle, G.; Zanon, C.; Pepe, A.; Regazzo, D.; Tizianel, I.; Scaroni, C.; Ceccato, F. Diagnostic Accuracy of CT Texture Analysis in Adrenal Masses: A Systematic Review. Int. J. Mol. Sci. 2022, 23, 637. [Google Scholar] [CrossRef]
- Wang, W.; Wei, F. A Novel Pathogenic Variant of ARMC5 in a Patient with Primary Bilateral Macronodular Adrenal Hyperplasia: A Case Report. BMC Endocr. Disord. 2022, 22, 211. [Google Scholar] [CrossRef]
- Mendiratta-Lala, M.; Avram, A.; Turcu, A.F.; Dunnick, N.R. Adrenal Imaging. Endocrinol. Metab. Clin. N. Am. 2017, 46, 741–759. [Google Scholar] [CrossRef]
- Nandra, G.; Duxbury, O.; Patel, P.; Patel, J.H.; Patel, N.; Vlahos, I. Technical and Interpretive Pitfalls in Adrenal Imaging. Radiographics 2020, 40, 1041–1060. [Google Scholar] [CrossRef]
- Ceccato, F.; Tizianel, I.; Voltan, G.; Maggetto, G.; Merante Boschin, I.; Quaia, E.; Crimì, F.; Scaroni, C. Attenuation Value in Adrenal Incidentalomas: A Longitudinal Study. Front. Endocrinol. 2021, 12, 794197. [Google Scholar] [CrossRef]
- Lanoix, J.; Djelouah, M.; Chocardelle, L.; Deguelte, S.; Delemer, B.; Dohan, A.; Soyer, P.; Barat, M.; Hoeffel, C. Differentiation between Heterogeneous Adrenal Adenoma and Non-Adenoma Adrenal Lesion with CT and MRI. Abdom. Radiol. 2022, 47, 1098–1111. [Google Scholar] [CrossRef]
- Schieda, N.; Siegelman, E.S. Update on CT and MRI of Adrenal Nodules. AJR Am. J. Roentgenol. 2017, 208, 1206–1217. [Google Scholar] [CrossRef] [PubMed]
- Reginelli, A.; Vacca, G.; Belfiore, M.; Sangiovanni, A.; Nardone, V.; Vanzulli, A.; Grassi, R.; Cappabianca, S. Pitfalls and Differential Diagnosis on Adrenal Lesions: Current Concepts in CT/MR Imaging: A Narrative Review. Gland Surg. 2020, 9, 2331–2342. [Google Scholar] [CrossRef]
- Caoili, E.M.; Korobkin, M.; Francis, I.R.; Cohan, R.H.; Platt, J.F.; Dunnick, N.R.; Raghupathi, K.I. Adrenal Masses: Characterization with Combined Unenhanced and Delayed Enhanced CT. Radiology 2002, 222, 629–633. [Google Scholar] [CrossRef] [PubMed]
- Liu, T.; Sun, H.; Zhang, H.; Duan, J.; Hu, Y.; Xie, S. Distinguishing Adrenal Adenomas from Non-Adenomas with Multidetector CT: Evaluation of Percentage Washout Values at a Short Time Delay Triphasic Enhanced CT. Br. J. Radiol. 2019, 92, 20180429. [Google Scholar] [CrossRef] [PubMed]
- Israel, G.M.; Korobkin, M.; Wang, C.; Hecht, E.N.; Krinsky, G.A. Comparison of Unenhanced CT and Chemical Shift MRI in Evaluating Lipid-Rich Adrenal Adenomas. AJR Am. J. Roentgenol. 2004, 183, 215–219. [Google Scholar] [CrossRef] [PubMed]
- Mayo-Smith, W.W.; Boland, G.W.; Noto, R.B.; Lee, M.J. State-of-the-Art Adrenal Imaging. Radiographics 2001, 21, 995–1012. [Google Scholar] [CrossRef]
- Adam, S.Z.; Nikolaidis, P.; Horowitz, J.M.; Gabriel, H.; Hammond, N.A.; Patel, T.; Yaghmai, V.; Miller, F.H. Chemical Shift MR Imaging of the Adrenal Gland: Principles, Pitfalls, and Applications. Radiographics 2016, 36, 414–432. [Google Scholar] [CrossRef]
- Wang, F.; Liu, J.; Zhang, R.; Bai, Y.; Li, C.; Li, B.; Liu, H.; Zhang, T. CT and MRI of Adrenal Gland Pathologies. Quant. Imaging Med. Surg. 2018, 8, 853–875. [Google Scholar] [CrossRef]
- Shetty, A.S.; Sipe, A.L.; Zulfiqar, M.; Tsai, R.; Raptis, D.A.; Raptis, C.A.; Bhalla, S. In-Phase and Opposed-Phase Imaging: Applications of Chemical Shift and Magnetic Susceptibility in the Chest and Abdomen. Radiographics 2019, 39, 115–135. [Google Scholar] [CrossRef]
- Ream, J.M.; Gaing, B.; Mussi, T.C.; Rosenkrantz, A.B. Characterization of Adrenal Lesions at Chemical-Shift MRI: A Direct Intraindividual Comparison of in- and Opposed-Phase Imaging at 1.5 T and 3 T. AJR Am. J. Roentgenol 2015, 204, 536–541. [Google Scholar] [CrossRef]
- Merkle, E.M.; Schindera, S.T. MR Imaging of the Adrenal Glands: 1.5T versus 3T. Magn. Reson. Imaging Clin. N. Am. 2007, 15, 365–372. [Google Scholar] [CrossRef] [PubMed]
- Bokhari, M.R.; Zulfiqar, H.; Garla, V.V. Adrenal Myelolipoma . In StatPearls; StatPearls Publishing: Treasure Island, FL, USA, 2022. [Google Scholar]
- Rao, P.; Kenney, P.J.; Wagner, B.J.; Davidson, A.J. Imaging and Pathologic Features of Myelolipoma. Radiographics 1997, 17, 1373–1385. [Google Scholar] [CrossRef] [PubMed]
- Lattin, G.E.; Sturgill, E.D.; Tujo, C.A.; Marko, J.; Sanchez-Maldonado, K.W.; Craig, W.D.; Lack, E.E. From the Radiologic Pathology Archives: Adrenal Tumors and Tumor-like Conditions in the Adult: Radiologic-Pathologic Correlation. Radiographics 2014, 34, 805–829. [Google Scholar] [CrossRef] [PubMed]
- Rowe, S.P.; Javadi, M.S.; Solnes, L.B.; Fishman, E.K. Appearance of Adrenal Myelolipomas on 2-Deoxy-2-(18F) Fluoro-D-Glucose Positron Emission Tomography-Computed Tomography. World J. Nucl. Med. 2017, 16, 271–274. [Google Scholar] [CrossRef]
- Galia, M.; Albano, D.; Bruno, A.; Agrusa, A.; Romano, G.; Di Buono, G.; Agnello, F.; Salvaggio, G.; La Grutta, L.; Midiri, M.; et al. Imaging Features of Solid Renal Masses. Br. J. Radiol. 2017, 90, 20170077. [Google Scholar] [CrossRef]
- d’Amuri, F.V.; Maestroni, U.; Pagnini, F.; Russo, U.; Melani, E.; Ziglioli, F.; Negrini, G.; Cella, S.; Cappabianca, S.; Reginelli, A.; et al. Magnetic Resonance Imaging of Adrenal Gland: State of the Art. Gland Surg. 2019, 8, S223–S232. [Google Scholar] [CrossRef]
- Albano, D.; Agnello, F.; Midiri, F.; Pecoraro, G.; Bruno, A.; Alongi, P.; Toia, P.; Di Buono, G.; Agrusa, A.; Sconfienza, L.M.; et al. Imaging Features of Adrenal Masses. Insights Imaging 2019, 10, 1. [Google Scholar] [CrossRef]
- Zeiger, M.A.; Thompson, G.B.; Duh, Q.-Y.; Hamrahian, A.H.; Angelos, P.; Elaraj, D.; Fishman, E.; Kharlip, J. American Association of Clinical Endocrinologists; American Association of Endocrine Surgeons American Association of Clinical Endocrinologists and American Association of Endocrine Surgeons Medical Guidelines for the Management of Adrenal Incidentalomas: Executive Summary of Recommendations. Endocr. Pract. 2009, 15, 450–453. [Google Scholar] [CrossRef]
- McCarthy, C.J.; McDermott, S.; Blake, M.A. Adrenal Imaging: Magnetic Resonance Imaging and Computed Tomography. Front. Horm. Res. 2016, 45, 55–69. [Google Scholar] [CrossRef]
- Michelle, M.A.; Jensen, C.T.; Habra, M.A.; Menias, C.O.; Shaaban, A.M.; Wagner-Bartak, N.A.; Roman-Colon, A.M.; Elsayes, K.M. Adrenal Cortical Hyperplasia: Diagnostic Workup, Subtypes, Imaging Features and Mimics. Br. J. Radiol. 2017, 90, 20170330. [Google Scholar] [CrossRef]
- Sahdev, A.; Reznek, R.H.; Evanson, J.; Grossman, A.B. Imaging in Cushing’s Syndrome. Arq. Bras. Endocrinol. Metabol. 2007, 51, 1319–1328. [Google Scholar] [CrossRef] [PubMed][Green Version]
- Rockall, A.G.; Babar, S.A.; Sohaib, S.A.A.; Isidori, A.M.; Diaz-Cano, S.; Monson, J.P.; Grossman, A.B.; Reznek, R.H. CT and MR Imaging of the Adrena.al Glands in ACTH-Independent Cushing Syndrome. Radiographics 2004, 24, 435–452. [Google Scholar] [CrossRef] [PubMed]
- Adrenal Mass Characterization in the Era of Quantitative Imaging: State of the Art—PubMed. Available online: https://pubmed.ncbi.nlm.nih.gov/35158836/ (accessed on 2 September 2022).
- Benitah, N.; Yeh, B.M.; Qayyum, A.; Williams, G.; Breiman, R.S.; Coakley, F.V. Minor Morphologic Abnormalities of Adrenal Glands at CT: Prognostic Importance in Patients with Lung Cancer. Radiology 2005, 235, 517–522. [Google Scholar] [CrossRef] [PubMed]
- Gupta, P.; Aggarwal, R.; Sarangi, R. Solitary Neurofibroma of the Adrenal Gland Not Associated with Type-1 Neurofibromatosis. Urol. Ann. 2015, 7, 124–126. [Google Scholar] [CrossRef]
- Zulfiqar, M.; Lin, M.; Ratkowski, K.; Gagnon, M.-H.; Menias, C.; Siegel, C.L. Imaging Features of Neurofibromatosis Type 1 in the Abdomen and Pelvis. AJR Am. J. Roentgenol. 2021, 216, 241–251. [Google Scholar] [CrossRef]
- Leite, N.P.; Kased, N.; Hanna, R.F.; Brown, M.A.; Pereira, J.M.; Cunha, R.; Sirlin, C.B. Cross-Sectional Imaging of Extranodal Involvement in Abdominopelvic Lymphoproliferative Malignancies. Radiographics 2007, 27, 1613–1634. [Google Scholar] [CrossRef]
- Chevalier, B.; Vantyghem, M.-C.; Espiard, S. Bilateral Adrenal Hyperplasia: Pathogenesis and Treatment. Biomedicines 2021, 9, 1397. [Google Scholar] [CrossRef]
- Boland, G.W.L.; Blake, M.A.; Hahn, P.F.; Mayo-Smith, W.W. Incidental Adrenal Lesions: Principles, Techniques, and Algorithms for Imaging Characterization. Radiology 2008, 249, 756–775. [Google Scholar] [CrossRef]
- Dogra, P.; Rivera, M.; McKenzie, T.J.; Foster, T.R.; Dy, B.M.; Lyden, M.L.; Young, W.F.; Bancos, I. Clinical Course and Imaging Characteristics of Benign Adrenal Cysts: A Single-Center Study of 92 Patients. Eur. J. Endocrinol. 2022, 187, 429–437. [Google Scholar] [CrossRef]
- Mohiuddin, Y.; Gilliland, M.G.F. Adrenal Schwannoma: A Rare Type of Adrenal Incidentaloma. Arch. Pathol. Lab. Med. 2013, 137, 1009–1014. [Google Scholar] [CrossRef]
- Elsayes, K.M.; Narra, V.R.; Leyendecker, J.R.; Francis, I.R.; Lewis, J.S.; Brown, J.J. MRI of Adrenal and Extraadrenal Pheochromocytoma. AJR Am. J. Roentgenol. 2005, 184, 860–867. [Google Scholar] [CrossRef] [PubMed]
- Witteles, R.M.; Kaplan, E.L.; Roizen, M.F. Sensitivity of Diagnostic and Localization Tests for Pheochromocytoma in Clinical Practice. Arch. Intern. Med. 2000, 160, 2521–2524. [Google Scholar] [CrossRef] [PubMed]
- Friedrich-Rust, M.; Glasemann, T.; Polta, A.; Eichler, K.; Holzer, K.; Kriener, S.; Herrmann, E.; Nierhoff, J.; Bon, D.; Bechstein, W.O.; et al. Differentiation between Benign and Malignant Adrenal Mass Using Contrast-Enhanced Ultrasound. Ultraschall Med. 2011, 32, 460–471. [Google Scholar] [CrossRef] [PubMed]
- Johnson, P.T.; Horton, K.M.; Fishman, E.K. Adrenal Mass Imaging with Multidetector CT: Pathologic Conditions, Pearls, and Pitfalls. Radiographics 2009, 29, 1333–1351. [Google Scholar] [CrossRef]
- Altinmakas, E.; Perrier, N.D.; Grubbs, E.G.; Lee, J.E.; Prieto, V.G.; Ng, C.S. Diagnostic Performance of Adrenal CT in the Differentiation of Adenoma and Pheochromocytoma. Acta Radiol. 2020, 61, 1080–1086. [Google Scholar] [CrossRef] [PubMed]
- Allen, B.C.; Francis, I.R. Adrenal Imaging and Intervention. Radiol. Clin. North. Am. 2015, 53, 1021–1035. [Google Scholar] [CrossRef]
- Shulkin, B.L.; Thompson, N.W.; Shapiro, B.; Francis, I.R.; Sisson, J.C. Pheochromocytomas: Imaging with 2-[Fluorine-18]Fluoro-2-Deoxy-D-Glucose PET. Radiology 1999, 212, 35–41. [Google Scholar] [CrossRef]
- Bombardieri, E.; Giammarile, F.; Aktolun, C.; Baum, R.P.; Bischof Delaloye, A.; Maffioli, L.; Moncayo, R.; Mortelmans, L.; Pepe, G.; Reske, S.N.; et al. 131I/123I-Metaiodobenzylguanidine (MIBG) Scintigraphy: Procedure Guidelines for Tumour Imaging. Eur J. Nucl. Med. Mol. Imaging 2010, 37, 2436–2446. [Google Scholar] [CrossRef]
- Naruse, M.; Satoh, F.; Tanabe, A.; Okamoto, T.; Ichihara, A.; Tsuiki, M.; Katabami, T.; Nomura, M.; Tanaka, T.; Matsuda, T.; et al. Efficacy and Safety of Metyrosine in Pheochromocytoma/Paraganglioma: A Multi-Center Trial in Japan. Endocr. J. 2018, 65, 359–371. [Google Scholar] [CrossRef]
- Cingam, S.R.; Mukkamalla, S.K.R.; Karanchi, H. Adrenal Metastasis. In StatPearls; StatPearls Publishing: Treasure Island, FL, USA, 2022. [Google Scholar]
- Goujon, A.; Schoentgen, N.; Betari, R.; Thoulouzan, M.; Vanalderwerelt, V.; Oumakhlouf, S.; Brichart, N.; Pradere, B.; Roumiguie, M.; Rammal, A.; et al. Prognostic Factors after Adrenalectomy for Adrenal Metastasis. Int. Urol. Nephrol. 2020, 52, 1869–1876. [Google Scholar] [CrossRef]
- Boland, G.W.L. Adrenal Imaging. Abdom. Imaging 2011, 36, 472–482. [Google Scholar] [CrossRef] [PubMed]
- Taffel, M.; Haji-Momenian, S.; Nikolaidis, P.; Miller, F.H. Adrenal Imaging: A Comprehensive Review. Radiol. Clin. N. Am. 2012, 50, 219–243. [Google Scholar] [CrossRef] [PubMed]
- Ng, L.; Libertino, J.M. Adrenocortical Carcinoma: Diagnosis, Evaluation and Treatment. J. Urol. 2003, 169, 5–11. [Google Scholar] [CrossRef]
- Fishman, E.K.; Deutch, B.M.; Hartman, D.S.; Goldman, S.M.; Zerhouni, E.A.; Siegelman, S.S. Primary Adrenocortical Carcinoma: CT Evaluation with Clinical Correlation. AJR Am. J. Roentgenol. 1987, 148, 531–535. [Google Scholar] [CrossRef]
- Fan, J.; Tang, J.; Fang, J.; Li, Q.; He, E.; Li, J.; Wang, Y. Ultrasound Imaging in the Diagnosis of Benign and Suspicious Adrenal Lesions. Med. Sci. Monit. 2014, 20, 2132–2141. [Google Scholar] [CrossRef]
- Panda, A.; Das, C.J.; Dhamija, E.; Kumar, R.; Gupta, A.K. Adrenal Imaging (Part 1): Imaging Techniques and Primary Cortical Lesions. Indian J. Endocrinol. Metab. 2015, 19, 8–15. [Google Scholar] [CrossRef]
- Slattery, J.M.A.; Blake, M.A.; Kalra, M.K.; Misdraji, J.; Sweeney, A.T.; Copeland, P.M.; Mueller, P.R.; Boland, G.W. Adrenocortical Carcinoma: Contrast Washout Characteristics on CT. AJR Am. J. Roentgenol. 2006, 187, W21–W24. [Google Scholar] [CrossRef]
- Elsayes, K.M.; Mukundan, G.; Narra, V.R.; Lewis, J.S.; Shirkhoda, A.; Farooki, A.; Brown, J.J. Adrenal Masses: Mr Imaging Features with Pathologic Correlation. Radiographics 2004, 24 (Suppl. S1), S73–S86. [Google Scholar] [CrossRef]
- Bharwani, N.; Rockall, A.G.; Sahdev, A.; Gueorguiev, M.; Drake, W.; Grossman, A.B.; Reznek, R.H. Adrenocortical Carcinoma: The Range of Appearances on CT and MRI. AJR Am. J. Roentgenol. 2011, 196, W706–W714. [Google Scholar] [CrossRef]
- Takeuchi, S.; Balachandran, A.; Habra, M.A.; Phan, A.T.; Bassett, R.L.; Macapinlac, H.A.; Chuang, H.H. Impact of 18F-FDG PET/CT on the Management of Adrenocortical Carcinoma: Analysis of 106 Patients. Eur. J. Nucl. Med. Mol. Imaging 2014, 41, 2066–2073. [Google Scholar] [CrossRef]
- Miller, B.S.; Gauger, P.G.; Hammer, G.D.; Doherty, G.M. Resection of Adrenocortical Carcinoma Is Less Complete and Local Recurrence Occurs Sooner and More Often after Laparoscopic Adrenalectomy than after Open Adrenalectomy. Surgery 2012, 152, 1150–1157. [Google Scholar] [CrossRef] [PubMed]








| Lesion | NCCT | MRI | Enhancement | Calcification | Hemorrhage | Necrosis |
|---|---|---|---|---|---|---|
| Adenoma | <10 HU | Loss of signal OP | RPW/APW ≥ 40/60% | − | − | − |
| Myelolipoma | <−30 HU | Loss of hyperintensity on T1-w fs | +/− | − | − | − |
| Hyperplasia | Depends on etiology | Depends on etiology | +/− | +/− | +/− | − |
| Cyst | Fluid | Hyper on T2-w Hypo on T1-w | − | − | +/− | − |
| Schwannomas | Hypodense | Iso on T1-w Iso/Hyper on T2-w | Inhomogeneous | +/− | +/− | − |
| Pheochromocytoma | 40–50 HU | Iso/Hypo on T1-w Hyper on T2-w | ++ | + | + | + |
| Metastasis | >10 HU | Hypo on T1-w Iso/Hype on T2w | +/− | + | + | + |
| Carcinoma | Heterogeneous | Hypo on T1-w Hyper on T2-w | Inhomogeneous, slow wash-out; RPW/APW < 40/60% | + | + | + |
Publisher’s Note: MDPI stays neutral with regard to jurisdictional claims in published maps and institutional affiliations. |
© 2022 by the authors. Licensee MDPI, Basel, Switzerland. This article is an open access article distributed under the terms and conditions of the Creative Commons Attribution (CC BY) license (https://creativecommons.org/licenses/by/4.0/).
Share and Cite
Bracci, B.; De Santis, D.; Del Gaudio, A.; Faugno, M.C.; Romano, A.; Tarallo, M.; Zerunian, M.; Guido, G.; Polici, M.; Polidori, T.; et al. Adrenal Lesions: A Review of Imaging. Diagnostics 2022, 12, 2171. https://doi.org/10.3390/diagnostics12092171
Bracci B, De Santis D, Del Gaudio A, Faugno MC, Romano A, Tarallo M, Zerunian M, Guido G, Polici M, Polidori T, et al. Adrenal Lesions: A Review of Imaging. Diagnostics. 2022; 12(9):2171. https://doi.org/10.3390/diagnostics12092171
Chicago/Turabian StyleBracci, Benedetta, Domenico De Santis, Antonella Del Gaudio, Maria Carla Faugno, Allegra Romano, Mariarita Tarallo, Marta Zerunian, Gisella Guido, Michela Polici, Tiziano Polidori, and et al. 2022. "Adrenal Lesions: A Review of Imaging" Diagnostics 12, no. 9: 2171. https://doi.org/10.3390/diagnostics12092171
APA StyleBracci, B., De Santis, D., Del Gaudio, A., Faugno, M. C., Romano, A., Tarallo, M., Zerunian, M., Guido, G., Polici, M., Polidori, T., Pucciarelli, F., Matarazzo, I., Laghi, A., & Caruso, D. (2022). Adrenal Lesions: A Review of Imaging. Diagnostics, 12(9), 2171. https://doi.org/10.3390/diagnostics12092171

