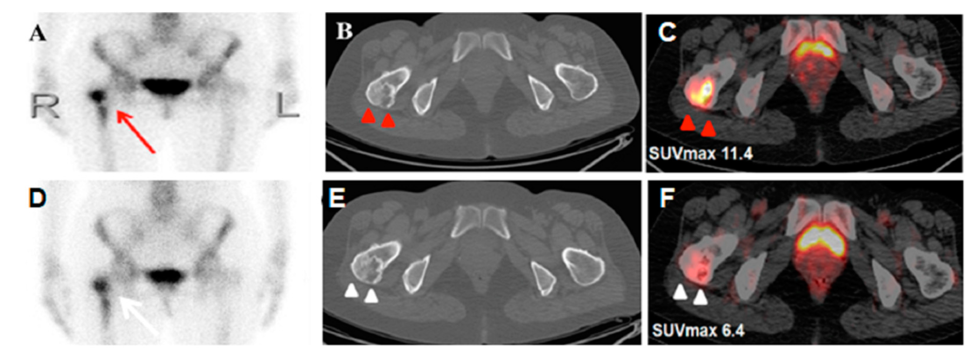
Monostotic Fibrous Dysplasia Mimicking Metastasis in the Femoral Neck on Bone Scintigraphy and 18F-FDG PET/CT
Abstract

Author Contributions
Funding
Conflicts of Interest
Consent for Publication
References
- Zhao, Z.; Li, L.; Li, F.L. Radiography, bone scintigraphy, SPECT/CT and MRI of fibrous dysplasia of the third lumbar vertebra. Clin. Nucl. Med. 2009, 34, 898–901. [Google Scholar] [CrossRef]
 - Berrebi, O.; Steiner, C.; Keller, A.; Rougemont, A.L.; Ratib, O. F-18 fluorodeoxyglucose (FDG) PET in the diagnosis of malignant transformation of fibrous dysplasia in the pelvic bones. Clin. Nucl. Med. 2008, 33, 469–471. [Google Scholar] [CrossRef] [PubMed]
 - Sasikumar, A.; Joy, A.; Pillai, M.R.A.; Alex, T.M.; Narayanan, G. 68Ga-PSMA PET/CT in Osteosarcoma in Fibrous Dysplasia. Clin. Nucl. Med. 2017, 42, 446–447. [Google Scholar] [CrossRef] [PubMed]
 - Papadakis, G.Z.; Millo, C.; Sadowski, S.M.; Karantanas, A.H.; Bagci, U.; Patronas, N.J. Fibrous Dysplasia Mimicking Malignancy on 68Ga-DOTATATE PET/CT. Clin. Nucl. Med. 2017, 42, 209–210. [Google Scholar] [CrossRef] [PubMed]
 - Hennessy, G.; Shetty, D.; Loh, H.; Bui, C.; Le, K.; Mansberg, R. Polyostotic Fibrous Dysplasia in McCune-Albright Syndrome Demonstrated on 68Ga-DOTATATE PET/CT. Clin. Nucl. Med. 2016, 41, 982–985. [Google Scholar] [CrossRef] [PubMed]
 - Kao, C.H.; Sun, S.S.; Shen, Y.Y.; Chen, Y.K. Misdiagnosis of multiple bone metastases due to increased FDG uptake in polyostotic fibrous dysplasia. Clin. Nucl. Med. 2007, 32, 409–410. [Google Scholar] [CrossRef] [PubMed]
 - Lee, H.; Lee, K.S.; Lee, W.W. 18F-NaF PET/CT Findings in Fibrous Dysplasia. Clin. Nucl. Med. 2015, 40, 912–914. [Google Scholar] [CrossRef] [PubMed]
 - Dimitrakopoulou-Strauss, A.; Strauss, L.G.; Heichel, T.; Wu, H.; Burger, C.; Bernd, L.; Ewerbeck, V. The role of quantitative (18)F-FDG PET studies for the differentiation of malignant and benign bone lesions. J. Nucl. Med. 2002, 43, 510–518. [Google Scholar] [PubMed]
 
© 2020 by the authors. Licensee MDPI, Basel, Switzerland. This article is an open access article distributed under the terms and conditions of the Creative Commons Attribution (CC BY) license (http://creativecommons.org/licenses/by/4.0/).
Share and Cite
Hung, W.-L.; Chan, H.-Y.; Kuo, N.-C.; Chan, H.-P. Monostotic Fibrous Dysplasia Mimicking Metastasis in the Femoral Neck on Bone Scintigraphy and 18F-FDG PET/CT. Diagnostics 2020, 10, 682. https://doi.org/10.3390/diagnostics10090682
Hung W-L, Chan H-Y, Kuo N-C, Chan H-P. Monostotic Fibrous Dysplasia Mimicking Metastasis in the Femoral Neck on Bone Scintigraphy and 18F-FDG PET/CT. Diagnostics. 2020; 10(9):682. https://doi.org/10.3390/diagnostics10090682
Chicago/Turabian StyleHung, Wei-Liang, Hung-Yen Chan, Ni-Chun Kuo, and Hung-Pin Chan. 2020. "Monostotic Fibrous Dysplasia Mimicking Metastasis in the Femoral Neck on Bone Scintigraphy and 18F-FDG PET/CT" Diagnostics 10, no. 9: 682. https://doi.org/10.3390/diagnostics10090682
APA StyleHung, W.-L., Chan, H.-Y., Kuo, N.-C., & Chan, H.-P. (2020). Monostotic Fibrous Dysplasia Mimicking Metastasis in the Femoral Neck on Bone Scintigraphy and 18F-FDG PET/CT. Diagnostics, 10(9), 682. https://doi.org/10.3390/diagnostics10090682
        
