Differential Diagnosis of Endometriosis by Ultrasound: A Rising Challenge
Abstract
1. Introduction
2. What a Comprehensive Ultrasound for Endometriosis Should Investigate
3. Sonographic Differential Diagnosis
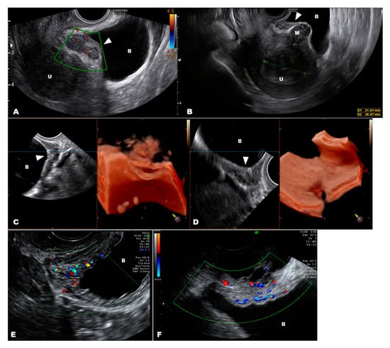
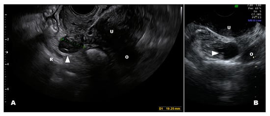
3.1. Internal Genitalia
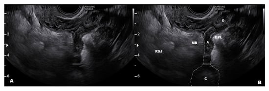
3.2. Peritoneal and Retroperitoneal Endometriosis Lesions
3.3. The Bowels
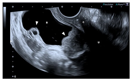
3.4. The Bladder and Ureter
3.5. Uncommon Endometriosis Locations
4. Conclusions
Author Contributions
Funding
Conflicts of Interest
References
- Zondervan, K.T.; Becker, C.M.; Missmer, S.A. Endometriosis. N. Engl. J. Med. 2020, 382, 1244–1256. [Google Scholar] [CrossRef] [PubMed]
- Nnoaham, K.E.; Hummelshoj, L.; Webster, P.; d’Hooghe, T.; de Cicco Nardone, F.; de Cicco Nardone, C.; Jenkinson, C.; Kennedy, S.H.; Zondervan, K.T. World Endometriosis Research Foundation Global Study of Women’s Health consortium Impact of endometriosis on quality of life and work productivity: A multicenter study across ten countries. Fertil. Steril. 2011, 96, 366373.e8. [Google Scholar] [CrossRef]
- Burney, R.O.; Giudice, L.C. Pathogenesis and pathophysiology of endometriosis. Fertil. Steril. 2012, 98, 511–519. [Google Scholar] [CrossRef] [PubMed]
- Dunselman, G.A.J.; Vermeulen, N.; Becker, C.; Calhaz-Jorge, C.; D’Hooghe, T.; De Bie, B.; Heikinheimo, O.; Horne, A.W.; Kiesel, L.; Nap, A.; et al. ESHRE guideline: Management of women with endometriosis. Hum. Reprod. 2014, 29, 400–412. [Google Scholar] [CrossRef] [PubMed]
- Schliep, K.; Chen, Z.; Stanford, J.; Xie, Y.; Mumford, S.; Hammoud, A.; Boiman Johnstone, E.; Dorais, J.; Varner, M.; Buck Louis, G.; et al. Endometriosis diagnosis and staging by operating surgeon and expert review using multiple diagnostic tools: An inter-rater agreement study. BJOG Int. J. Obstet. Gynecol. 2017, 124, 220–229. [Google Scholar] [CrossRef] [PubMed]
- Chapron, C.; Marcellin, L.; Borghese, B.; Santulli, P. Rethinking mechanisms, diagnosis and management of endometriosis. Nat. Rev. Endocrinol. 2019, 15, 666–682. [Google Scholar] [CrossRef] [PubMed]
- Collins, B.G.; Ankola, A.; Gola, S.; McGillen, K.L. Transvaginal US of Endometriosis: Looking Beyond the Endometrioma with a Dedicated Protocol. Radiographics 2019, 39, 1549–1568. [Google Scholar] [CrossRef]
- Piessens, S.; Edwards, A. Sonographic Evaluation for Endometriosis in Routine Pelvic Ultrasound. J. Minim. Invasive Gynecol. 2020, 27, 265–266. [Google Scholar] [CrossRef] [PubMed]
- Fraser, M.A.; Agarwal, S.; Chen, I.; Singh, S.S. Routine vs. expert-guided transvaginal ultrasound in the diagnosis of endometriosis: A retrospective review. Abdom. Imaging 2015, 40, 587–594. [Google Scholar] [CrossRef]
- Fratelli, N.; Scioscia, M.; Bassi, E.; Musola, M.; Minelli, L.; Trivella, G. Transvaginal sonography for preoperative assessment of deep endometriosis. J. Clin. Ultrasound 2013, 41, 69–75. [Google Scholar] [CrossRef]
- Guerriero, S.; Condous, G.; van den Bosch, T.; Valentin, L.; Leone, F.P.G.; Van Schoubroeck, D.; Exacoustos, C.; Installé, A.J.F.; Martins, W.P.; Abrao, M.S.; et al. Systematic approach to sonographic evaluation of the pelvis in women with suspected endometriosis, including terms, definitions and measurements: A consensus opinion from the International Deep Endometriosis Analysis (IDEA) group. Ultrasound Obstet. Gynecol. 2016, 48, 318–332. [Google Scholar] [CrossRef] [PubMed]
- Van den Bosch, T.; Van Schoubroeck, D. Ultrasound diagnosis of endometriosis and adenomyosis: State of the art. Best Pract. Res. Clin. Obstet. Gynaecol. 2018, 51, 16–24. [Google Scholar] [CrossRef] [PubMed]
- Deslandes, A.; Parange, N.; Childs, J.T.; Osborne, B.; Bezak, E. Current Status of Transvaginal Ultrasound Accuracy in the Diagnosis of Deep Infiltrating Endometriosis Before Surgery: A Systematic Review of the Literature. J. Ultrasound Med. 2020. [Google Scholar] [CrossRef] [PubMed]
- Guerriero, S.; Ajossa, S. Transvaginal ultrasonography in superficial endometriosis. Aust. N. Z. J. Obstet. Gynaecol. 2020, 60, E5. [Google Scholar] [CrossRef] [PubMed]
- Noventa, M.; Scioscia, M.; Schincariol, M.; Cavallin, F.; Pontrelli, G.; Virgilio, B.; Vitale, S.G.; Laganà, A.S.; Dessole, F.; Cosmi, E.; et al. Imaging Modalities for Diagnosis of Deep Pelvic Endometriosis: Comparison between Trans-Vaginal Sonography, Rectal Endoscopy Sonography and Magnetic Resonance Imaging. A Head-to-Head Meta-Analysis. Diagnostics 2019, 9, 225. [Google Scholar] [CrossRef]
- Guerriero, S.; Saba, L.; Pascual, M.A.; Ajossa, S.; Rodriguez, I.; Mais, V.; Alcazar, J.L. Transvaginal ultrasound vs magnetic resonance imaging for diagnosing deep infiltrating endometriosis: Systematic review and meta-analysis. Ultrasound Obstet. Gynecol. 2018, 51, 586–595. [Google Scholar] [CrossRef]
- Scioscia, M.; Bruni, F.; Ceccaroni, M.; Steinkasserer, M.; Stepniewska, A.; Minelli, L. Distribution of endometriotic lesions in endometriosis stage IV supports the menstrual reflux theory and requires specific preoperative assessment and therapy. Acta Obstet. Gynecol. Scand. 2011, 90, 136–139. [Google Scholar] [CrossRef]
- Chamié, L.P.; Ribeiro, D.M.F.R.; Tiferes, D.A.; de Macedo Neto, A.C.; Serafini, P.C. Atypical Sites of Deeply Infiltrative Endometriosis: Clinical Characteristics and Imaging Findings. RadioGraphics 2018, 38, 309–328. [Google Scholar] [CrossRef]
- Van den Bosch, T.; Dueholm, M.; Leone, F.P.G.; Valentin, L.; Rasmussen, C.K.; Votino, A.; Van Schoubroeck, D.; Landolfo, C.; Installé, A.J.F.; Guerriero, S.; et al. Terms, definitions and measurements to describe sonographic features of myometrium and uterine masses: A consensus opinion from the Morphological Uterus Sonographic Assessment (MUSA) group. Ultrasound Obstet. Gynecol. 2015, 46, 284–298. [Google Scholar] [CrossRef]
- Paul, P.G.; Gulati, G.; Shintre, H.; Mannur, S.; Paul, G.; Mehta, S. Extrauterine adenomyoma: A review of the literature. Eur. J. Obstet. Gynecol. Reprod. Biol. 2018, 228, 130–136. [Google Scholar] [CrossRef]
- Testa, A.C.; Di Legge, A.; Bonatti, M.; Manfredi, R.; Scambia, G. Imaging techniques for evaluation of uterine myomas. Best Pract. Res. Clin. Obstet. Gynaecol. 2016, 34, 37–53. [Google Scholar] [CrossRef] [PubMed]
- Exacoustos, C.; Zupi, E.; Piccione, E. Ultrasound Imaging for Ovarian and Deep Infiltrating Endometriosis. Semin. Reprod. Med. 2017, 35, 005–024. [Google Scholar] [CrossRef]
- Na, K.; Park, S.Y.; Kim, H.-S. Clinicopathological Characteristics of Primary Ovarian Adenomyoma: A Single-institutional Experience. Anticancer Res. 2017, 37, 2565–2574. [Google Scholar] [CrossRef] [PubMed]
- Sokalska, A.; Timmerman, D.; Testa, A.C.; Van Holsbeke, C.; Lissoni, A.A.; Leone, F.P.G.; Jurkovic, D.; Valentin, L. Diagnostic accuracy of transvaginal ultrasound examination for assigning a specific diagnosis to adnexal masses. Ultrasound Obstet. Gynecol. 2009, 34, 462–470. [Google Scholar] [CrossRef]
- Valentin, L. Characterising acute gynaecological pathology with ultrasound: An overview and case examples. Best Pract. Res. Clin. Obstet. Gynaecol. 2009, 23, 577–593. [Google Scholar] [CrossRef]
- Sayasneh, A.; Ekechi, C.; Ferrara, L.; Kaijser, J.; Stalder, C.; Sur, S.; Timmerman, D.; Bourne, T. The characteristic ultrasound features of specific types of ovarian pathology (review). Int. J. Oncol. 2015, 46, 445–458. [Google Scholar] [CrossRef]
- Moro, F.; Zannoni, G.F.; Arciuolo, D.; Pasciuto, T.; Amoroso, S.; Mascilini, F.; Mainenti, S.; Scambia, G.; Testa, A.C. Imaging in gynecological disease (11): Clinical and ultrasound features of mucinous ovarian tumors. Ultrasound Obstet. Gynecol. 2017, 50, 261–270. [Google Scholar] [CrossRef]
- Van Holsbeke, C.; Van Calster, B.; Guerriero, S.; Savelli, L.; Paladini, D.; Lissoni, A.A.; Czekierdowski, A.; Fischerova, D.; Zhang, J.; Mestdagh, G.; et al. Endometriomas: Their ultrasound characteristics. Ultrasound Obstet. Gynecol. 2010, 35, 730–740. [Google Scholar] [CrossRef]
- Timmerman, D.; Valentin, L.; Bourne, T.H.; Collins, W.P.; Verrelst, H.; Vergote, I. International Ovarian Tumor Analysis (IOTA) Group Terms, definitions and measurements to describe the sonographic features of adnexal tumors: A consensus opinion from the International Ovarian Tumor Analysis (IOTA) Group. Ultrasound Obstet. Gynecol. 2000, 16, 500–505. [Google Scholar] [CrossRef]
- Van Holsbeke, C.; Van Calster, B.; Guerriero, S.; Savelli, L.; Leone, F.; Fischerova, D.; Czekierdowski, A.; Fruscio, R.; Veldman, J.; Van de Putte, G.; et al. Imaging in gynaecology: How good are we in identifying endometriomas? Facts Views Vis. ObGyn 2009, 1, 7–17. [Google Scholar]
- Timor-Tritsch, I.E.; Lerner, J.P.; Monteagudo, A.; Murphy, K.E.; Heller, D.S. Transvaginal sonographic markers of tubal inflammatory disease. Ultrasound Obstet. Gynecol. 1998, 12, 56–66. [Google Scholar] [CrossRef] [PubMed]
- Van den Bosch, T.; de Bruijn, A.M.; de Leeuw, R.A.; Dueholm, M.; Exacoustos, C.; Valentin, L.; Bourne, T.; Timmerman, D.; Huirne, J.A.F. Sonographic classification and reporting system for diagnosing adenomyosis. Ultrasound Obstet. Gynecol. 2019, 53, 576–582. [Google Scholar] [CrossRef] [PubMed]
- Gründker, C.; Günthert, A.R.; Emons, G. Hormonal heterogeneity of endometrial cancer. Adv. Exp. Med. Biol. 2008, 630, 166–188. [Google Scholar] [CrossRef] [PubMed]
- Yu, O.; Schulze-Rath, R.; Grafton, J.; Hansen, K.; Scholes, D.; Reed, S.D. Adenomyosis incidence, prevalence and treatment: United States population-based study 2006–2015. Am. J. Obstet. Gynecol. 2020, 223, 94.e1–94.e10. [Google Scholar] [CrossRef] [PubMed]
- Chapron, C.; Vannuccini, S.; Santulli, P.; Abrão, M.S.; Carmona, F.; Fraser, I.S.; Gordts, S.; Guo, S.-W.; Just, P.-A.; Noël, J.-C.; et al. Diagnosing adenomyosis: An integrated clinical and imaging approach. Hum. Reprod. Update 2020, 26, 392–411. [Google Scholar] [CrossRef]
- Scioscia, M.; Noventa, M.; Laganà, A.S. Abnormal uterine bleeding and the risk of endometrial cancer: Can subendometrial vascular ultrasound be of help to discriminate cancer from adenomyosis? Am. J. Obstet. Gynecol. 2020, 223, 605–606. [Google Scholar] [CrossRef]
- Guerriero, S.; Ajossa, S.; Gerada, M.; D’Aquila, M.; Piras, B.; Melis, G.B. “Tenderness-guided” transvaginal ultrasonography: A new method for the detection of deep endometriosis in patients with chronic pelvic pain. Fertil. Steril. 2007, 88, 1293–1297. [Google Scholar] [CrossRef]
- Shobeiri, S.A.; Rostaminia, G.; White, D.; Quiroz, L.H.; Nihira, M.A. Evaluation of Vaginal Cysts and Masses by 3-Dimensional Endovaginal and Endoanal Sonography. J. Ultrasound Med. 2013, 32, 1499–1507. [Google Scholar] [CrossRef]
- Testa, A.C.; Ludovisi, M.; Mascilini, F.; Di Legge, A.; Malaggese, M.; Fagotti, A.; Fanfani, F.; Salerno, M.G.; Ercoli, A.; Scambia, G.; et al. Ultrasound evaluation of intra-abdominal sites of disease to predict likelihood of suboptimal cytoreduction in advanced ovarian cancer: A prospective study. Ultrasound Obstet. Gynecol. 2012, 39, 99–105. [Google Scholar] [CrossRef]
- Savelli, L.; Manuzzi, L.; Pollastri, P.; Mabrouk, M.; Seracchioli, R.; Venturoli, S. Diagnostic accuracy and potential limitations of transvaginal sonography for bladder endometriosis. Ultrasound Obstet. Gynecol. 2009, 34, 595–600. [Google Scholar] [CrossRef]
- Chiantera, V.; Petrillo, M.; Abesadze, E.; Sozzi, G.; Dessole, M.; Catello Di Donna, M.; Scambia, G.; Sehouli, J.; Mechsner, S. Laparoscopic Neuronavigation for Deep Lateral Pelvic Endometriosis: Clinical and Surgical Implications. J. Minim. Invasive Gynecol. 2018, 25, 1217–1223. [Google Scholar] [CrossRef] [PubMed]
- Guerriero, S.; Ajossa, S.; Minguez, J.A.; Jurado, M.; Mais, V.; Melis, G.B.; Alcazar, J.L. Accuracy of transvaginal ultrasound for diagnosis of deep endometriosis in uterosacral ligaments, rectovaginal septum, vagina and bladder: Systematic review and meta-analysis. Ultrasound Obstet. Gynecol. 2015, 46, 534–545. [Google Scholar] [CrossRef] [PubMed]
- Mabrouk, M.; Raimondo, D.; Arena, A.; Iodice, R.; Altieri, M.; Sutherland, N.; Salucci, P.; Moro, E.; Seracchioli, R. Parametrial Endometriosis: The Occult Condition that Makes the Hard Harder. J. Minim. Invasive Gynecol. 2019, 26, 871–876. [Google Scholar] [CrossRef] [PubMed]
- Scioscia, M.; Virgilio, B.A.; Scardapane, A.; Pontrelli, G. Fusion Imaging: A Novel Diagnostic Tool for Nerve-sparing Surgery for Deep Infiltrating Endometriosis. J. Minim. Invasive Gynecol. 2020, 27, 246–247. [Google Scholar] [CrossRef]
- Leonardi, M.; Martins, W.P.; Espada, M.; Arianayagam, M.; Condous, G. Proposed technique to visualize and classify uterosacral ligament deep endometriosis with and without infiltration into parametrium or torus uterinus. Ultrasound Obstet. Gynecol. 2020, 55, 137–139. [Google Scholar] [CrossRef]
- Alcazar, J.L.; García, E.; Machuca, M.; Quintana, R.; Escrig, J.; Chacón, E.; Mínguez, J.A.; Chiva, L. Magnetic resonance imaging and ultrasound for assessing parametrial infiltration in cervical cancer. A systematic review and meta-analysis. Med. Ultrason. 2020, 22, 85–91. [Google Scholar] [CrossRef]
- Scioscia, M. Ureteral endometriosis: Correlation between ultrasonography and laparoscopy: Ureteral endometriosis. Ultrasound Obstet. Gynecol. 2019, 53, 706–708. [Google Scholar] [CrossRef]
- Virgilio, B.A.; Pontrelli, G.; Trevisan, P.; Sacchi, D.; Bernardini, T.; Scioscia, M. Incidental diagnosis on transvaginal ultrasound of appendiceal mucocele arising on low-grade appendiceal mucinous neoplasm. Ultrasound Obstet. Gynecol. 2019, 54, 412–414. [Google Scholar] [CrossRef]
- Sima, R.-M.; Radosa, J.C.; Zamfir, R.; Ionescu, C.-A.; Carp, D.; Iordache, I.-I.; Stănescu, A.-D.; Pleş, L. Novel diagnosis of mesenteric endometrioma: Case report. Medicine (Baltimore) 2019, 98, e16432. [Google Scholar] [CrossRef]
- Scioscia, M.; Zanetti, I.; Raspanti, X.; Spoto, E.; Portuese, A.; Noventa, M.; Pontrelli, G.; Greco, P.; Virgilio, B.A. Ultrasound Differential Diagnosis in Deep Infiltrating Endometriosis of the Urinary Tract. J. Ultrasound Med. 2020. [Google Scholar] [CrossRef]
- Scardapane, A.; Lorusso, F.; Francavilla, M.; Bettocchi, S.; Fascilla, F.D.; Angelelli, G.; Scioscia, M. Magnetic Resonance Colonography May Predict the Need for Bowel Resection in Colorectal Endometriosis. BioMed Res. Int. 2017, 2017, 1–7. [Google Scholar] [CrossRef] [PubMed]
- Kammann, S.; Menias, C.; Hara, A.; Moshiri, M.; Siegel, C.; Safar, B.; Brandes, S.; Shaaban, A.; Sandrasegaran, K. Genital and reproductive organ complications of Crohn disease: Technical considerations as it relates to perianal disease, imaging features, and implications on management. Abdom. Radiol. 2017, 42, 1752–1761. [Google Scholar] [CrossRef] [PubMed]
- Nezhat, C.; Li, A.; Falik, R.; Copeland, D.; Razavi, G.; Shakib, A.; Mihailide, C.; Bamford, H.; DiFrancesco, L.; Tazuke, S.; et al. Bowel endometriosis: Diagnosis and management. Am. J. Obstet. Gynecol. 2018, 218, 549–562. [Google Scholar] [CrossRef] [PubMed]
- Scioscia, M.; Orlandi, S.; Trivella, G.; Portuese, A.; Bettocchi, S.; Pontrelli, G.; Bocus, P.; Anna Virgilio, B. Sonographic Differential Diagnosis in Deep Infiltrating Endometriosis: The Bowel. BioMed Res. Int. 2019, 2019, 1–9. [Google Scholar] [CrossRef] [PubMed]
- Fujita, M.; Manabe, N.; Honda, K.; Murao, T.; Osawa, M.; Kawai, R.; Akiyama, T.; Shiotani, A.; Haruma, K.; Hata, J. Usefulness of Ultrasonography for Diagnosis of Small Bowel Tumors: A Comparison Between Ultrasonography and Endoscopic Modalities. Medicine 2015, 94, e1464. [Google Scholar] [CrossRef] [PubMed]
- Kołodziej, A.; Krajewski, W.; Dołowy, Ł.; Hirnle, L. Urinary Tract Endometriosis. Urol. J. 2015, 12, 2213–2217. [Google Scholar]
- Pateman, K.; Holland, T.K.; Knez, J.; Derdelis, G.; Cutner, A.; Saridogan, E.; Jurkovic, D. Should a detailed ultrasound examination of the complete urinary tract be routinely performed in women with suspected pelvic endometriosis? Hum. Reprod. 2015, 30, 2802–2807. [Google Scholar] [CrossRef]
- Testa, A.C.; Di Legge, A.; De Blasis, I.; Cristina Moruzzi, M.; Bonatti, M.; Collarino, A.; Rufini, V.; Manfredi, R. Imaging techniques for the evaluation of cervical cancer. Best Pract. Res. Clin. Obstet. Gynaecol. 2014, 28, 741–768. [Google Scholar] [CrossRef] [PubMed]
- Smereczyński, A.; Szopiński, T.; Gołąbek, T.; Ostasz, O.; Bojko, S. Sonography of tumors and tumor-like lesions that mimic carcinoma of the urinary bladder. J. Ultrason. 2014, 14, 36–48. [Google Scholar] [CrossRef]
- Pavlica, P.; Gaudiano, C.; Barozzi, L. Sonography of the bladder. World J. Urol. 2004, 22, 328–334. [Google Scholar] [CrossRef]
- Barra, F.; Scala, C.; Biscaldi, E.; Vellone, V.G.; Ceccaroni, M.; Terrone, C.; Ferrero, S. Ureteral endometriosis: A systematic review of epidemiology, pathogenesis, diagnosis, treatment, risk of malignant transformation and fertility. Hum. Reprod. Update 2018, 24, 710–730. [Google Scholar] [CrossRef] [PubMed]
- Guerriero, S.; Conway, F.; Pascual, M.A.; Graupera, B.; Ajossa, S.; Neri, M.; Musa, E.; Pedrassani, M.; Alcazar, J.L. Ultrasonography and Atypical Sites of Endometriosis. Diagnostics (Basel) 2020, 10, 345. [Google Scholar] [CrossRef] [PubMed]
- Mascilini, F.; Moruzzi, C.; Giansiracusa, C.; Guastafierro, F.; Savelli, L.; De Meis, L.; Epstein, E.; Timor-Tritsch, I.E.; Mailath-Pokorny, M.; Ercoli, A.; et al. Imaging in gynecological disease. 10: Clinical and ultrasound characteristics of decidualized endometriomas surgically removed during pregnancy. Ultrasound Obstet. Gynecol. 2014, 44, 354–360. [Google Scholar] [CrossRef] [PubMed]
- Noventa, M.; Saccardi, C.; Litta, P.; Vitagliano, A.; D’Antona, D.; Abdulrahim, B.; Duncan, A.; Alexander-Sefre, F.; Aldrich, C.J.; Quaranta, M.; et al. Ultrasound techniques in the diagnosis of deep pelvic endometriosis: Algorithm based on a systematic review and meta-analysis. Fertil. Steril. 2015, 104, 366–383.e2. [Google Scholar] [CrossRef] [PubMed]
- Grigore, M.; Socolov, D.; Pavaleanu, I.; Scripcariu, I.; Grigore, A.M.; Micu, R. Abdominal wall endometriosis: An update in clinical, imagistic features, and management options. Med. Ultrason. 2017, 19, 430. [Google Scholar] [CrossRef]
- Morales Martínez, C.; Tejuca Somoano, S. Abdominal wall endometriosis. Am. J. Obstet. Gynecol. 2017, 217, 701–702. [Google Scholar] [CrossRef]
- Ecker, A.M.; Donnellan, N.M.; Shepherd, J.P.; Lee, T.T.M. Abdominal wall endometriosis: 12 years of experience at a large academic institution. Am. J. Obstet. Gynecol. 2014, 211, 363.e1–363.e5. [Google Scholar] [CrossRef]
- Bean, E.; Chaggar, P.; Thanatsis, N.; Dooley, W.; Bottomley, C.; Jurkovic, D. Intra- and interobserver reproducibility of pelvic ultrasound for the detection and measurement of endometriotic lesions. Hum. Reprod. Open 2020, 2020, hoaa001. [Google Scholar] [CrossRef]
- Guerriero, S.; Pascual, M.A.; Ajossa, S.; Rodriguez, I.; Zajicek, M.; Rolla, M.; Rams Llop, N.; Yulzari, V.; Bardin, R.; Buonomo, F.; et al. Learning curve for ultrasonographic diagnosis of deep infiltrating endometriosis using structured offline training program. Ultrasound Obstet. Gynecol. 2019, 54, 262–269. [Google Scholar] [CrossRef]
- Eisenberg, V.H.; Alcazar, J.L.; Arbib, N.; Schiff, E.; Achiron, R.; Goldenberg, M.; Soriano, D. Applying a statistical method in transvaginal ultrasound training: Lessons from the learning curve cumulative summation test (LC-CUSUM) for endometriosis mapping. Gynecol. Surg. 2017, 14, 19. [Google Scholar] [CrossRef]





| Anatomic Locations | Anatomical Aspect | Possible Differential Diagnosis |
|---|---|---|
| Internal genitalia | ||
| Ovary | Cystic | Hemorrhagic corpus luteus Hemorrhagic cyst Dermoid cyst Tubovarian abscess Mucinous cystoadenoma Ovarian cystic adenomyoma Malignancy |
| Tube | Cystic | Tubovarian abscess |
| Uterus (adenomyosis) | Focal, solid (buds) | Endometrial malignancy |
| Solid adenomyoma | Non-encapsulated myomas | |
| Cystic adenomyoma | Myomas with cystic degeneration/necrosis Suspected sarcoma/STUMP | |
| Vagina | Solid nodulus Cystic | Cervical malignancy Vaginal malignancy Benign vaginal cyst |
| Peritoneum | ||
| Broad anterior/posterior ligament | Solid | Peritoneal carcinomatosis |
| Douglas pouch | Solid | Peritoneal carcinomatosis Advanced cervical malignancy |
| Prevesical peritoneum | Solid | Post-cesarean adhesions Peritoneal carcinomatosis Advanced cervical malignancy |
| Uterosacral ligaments | Solid | Peritoneal carcinomatosis Advanced cervical malignancy |
| Round ligaments | Solid | Peritoneal carcinomatosis Advanced endometrial malignancy |
| Retroperitoneal tissues | ||
| Paracervix/parametrium | Solid | Advanced cervical malignancy |
| Mesometrium | Solid Cystic | Pedunculated infraligamentary fibroid Ovarian malignancy Varicocele |
| Mesorectum | Solid Cystic | Colonic malignancy Downward dislocated appendix Retrorectal dermoid cyst |
| Presacral space | Cystic | Tarlov cyst Ganglioneuroma |
| Vesicovaginal septum | Solid | Bladder malignancy |
| Bowel | ||
| Rectosigmoid | Solid | Colonic polyp Diverticulosis Colonic malignancy |
| Caecum and appendix | Solid | Appendicitis Appendiceal tumors |
| Ileum | Solid | Malignancy |
| Urinary tract | ||
| Bladder | Solid Cystic | Bladder malignancy Cervical malignancy Uterine leiomyomas/adenomyomas Hypertrophic traumatic bladder Bladder malignancy Intravesical ureterocele Small bowel attached to the prevesical peritoneum |
| Ureter | Solid | Ureteric stone |
| External genitalia | ||
| Perineum | Solid | Postpatum scar Chron disease |
| Mons pubis | Solid | Abscess Hematoma Muscular strain |
| Abdominal wall | ||
| Umbilicus | Solid | Omphalitis Umbilical granuloma |
| Abdominal muscle | Solid Cystic | Strain Benign tumor (desmoid) Hematoma |
| Inguinal canal | Solid | Complete small hernia |
Publisher’s Note: MDPI stays neutral with regard to jurisdictional claims in published maps and institutional affiliations. |
© 2020 by the authors. Licensee MDPI, Basel, Switzerland. This article is an open access article distributed under the terms and conditions of the Creative Commons Attribution (CC BY) license (http://creativecommons.org/licenses/by/4.0/).
Share and Cite
Scioscia, M.; Virgilio, B.A.; Laganà, A.S.; Bernardini, T.; Fattizzi, N.; Neri, M.; Guerriero, S. Differential Diagnosis of Endometriosis by Ultrasound: A Rising Challenge. Diagnostics 2020, 10, 848. https://doi.org/10.3390/diagnostics10100848
Scioscia M, Virgilio BA, Laganà AS, Bernardini T, Fattizzi N, Neri M, Guerriero S. Differential Diagnosis of Endometriosis by Ultrasound: A Rising Challenge. Diagnostics. 2020; 10(10):848. https://doi.org/10.3390/diagnostics10100848
Chicago/Turabian StyleScioscia, Marco, Bruna A. Virgilio, Antonio Simone Laganà, Tommaso Bernardini, Nicola Fattizzi, Manuela Neri, and Stefano Guerriero. 2020. "Differential Diagnosis of Endometriosis by Ultrasound: A Rising Challenge" Diagnostics 10, no. 10: 848. https://doi.org/10.3390/diagnostics10100848
APA StyleScioscia, M., Virgilio, B. A., Laganà, A. S., Bernardini, T., Fattizzi, N., Neri, M., & Guerriero, S. (2020). Differential Diagnosis of Endometriosis by Ultrasound: A Rising Challenge. Diagnostics, 10(10), 848. https://doi.org/10.3390/diagnostics10100848

