Is Sentinel Lymph Node Biopsy Feasible in Multicentric Breast Cancer? A Case Report and Literature Review
Abstract
1. Introduction
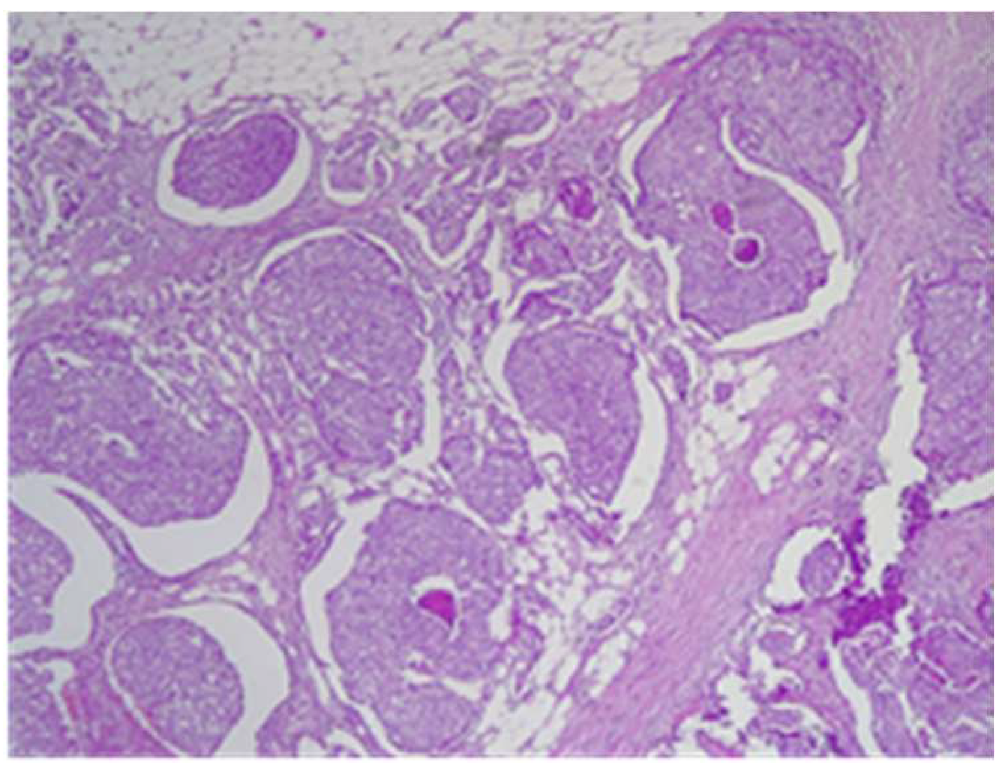
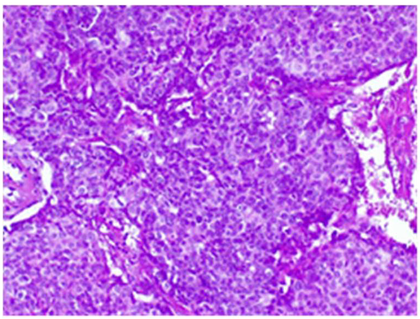
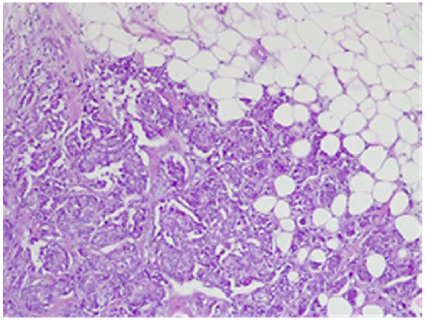
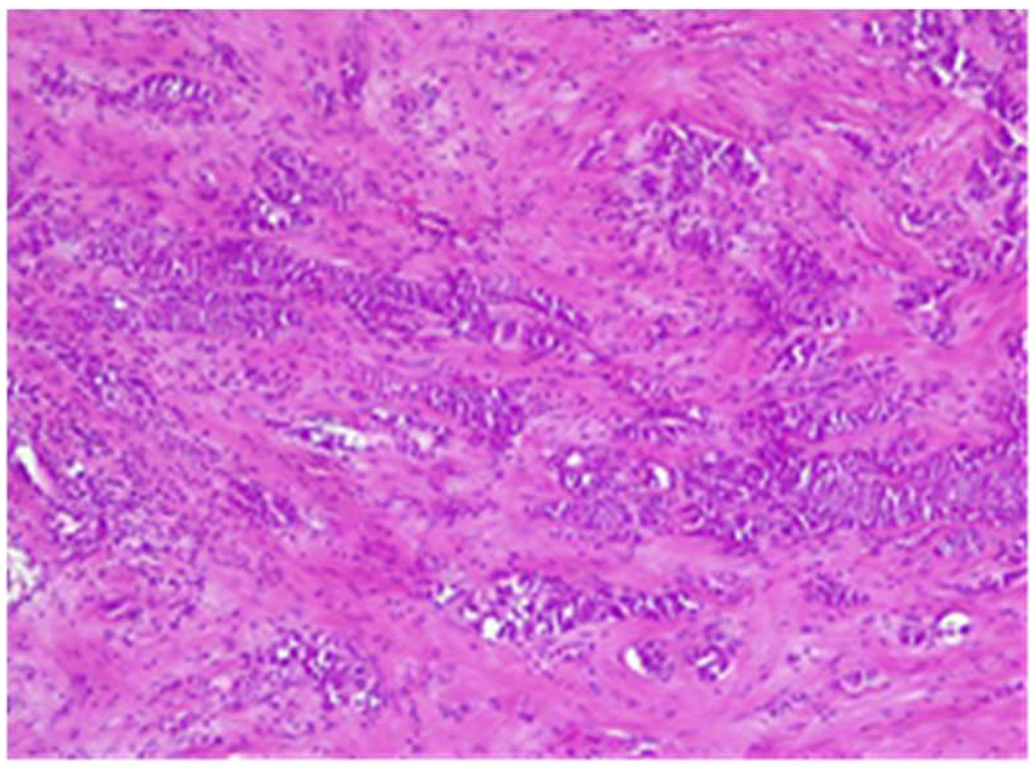
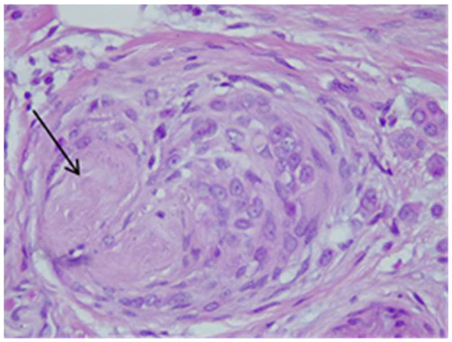
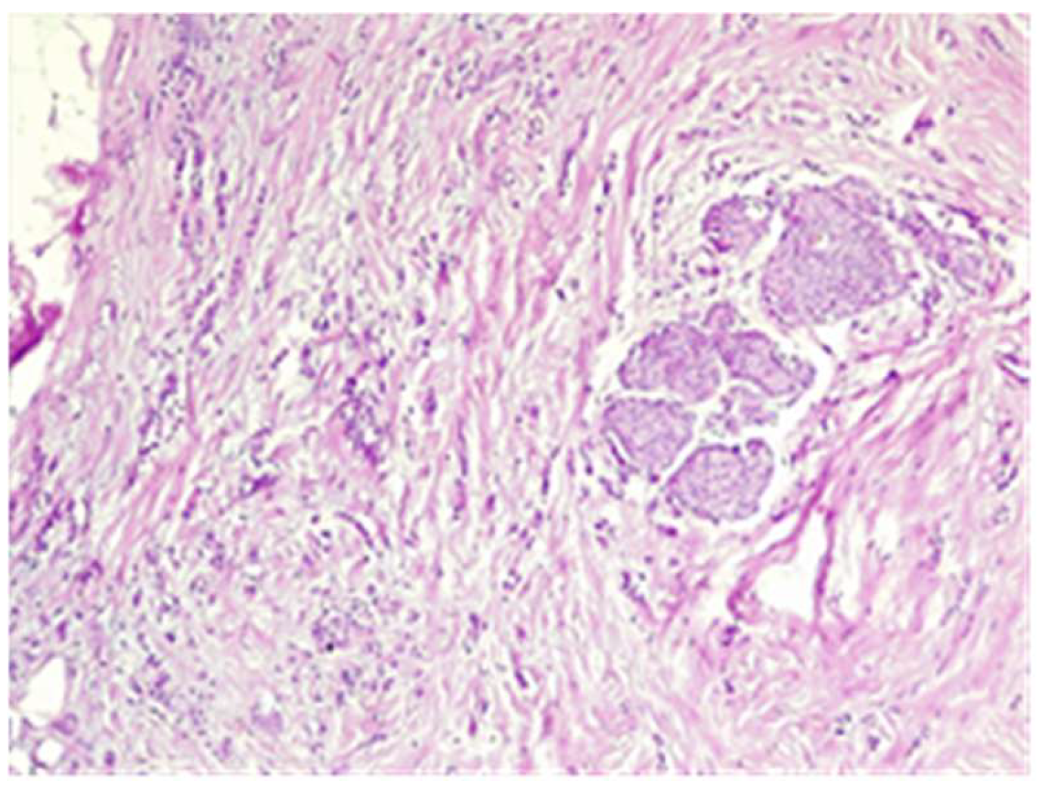
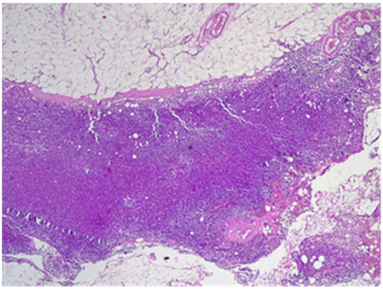
2. Case Report
3. Discussion
4. Conclusions
Author Contributions
Funding
Institutional Review Board Statement
Informed Consent Statement
Data Availability Statement
Conflicts of Interest
References
- Zirruda, S.; Veronesi, U. Milestones in Breast Cancer Treatment. Breast J. 2015, 21, 3–12. [Google Scholar] [CrossRef] [PubMed]
- Beek, M.A.; Verheuvel, N.C.; Luiten, E.J.T.; Klompenhouwer, E.G.; Rutten, H.J.T.; Roumen, R.M.H.; Voogd, A.C. Two decades of axillary management in breast cancer. Br. J. Surg. 2015, 102, 1658–1664. [Google Scholar] [CrossRef]
- Krag, D.N.; Anderson, S.J.; Julian, T.B.; Brown, A.M.; Harlow, S.P.; Ashikaga, T.; Weaver, D.L.; Miller, B.J.; Jalovec, L.M.; Frazier, T.G.; et al. Technical outcomes of sentinel-lymph-node resection and conventional axillary-lymph-node dissection in patients with clinically node-negative breast cancer: Results from the NSABP B-32 randomised phase III trial. Lancet Oncol. 2007, 8, 881–888. [Google Scholar] [CrossRef]
- Antes, G.; von Elm, E. The PRISMA Statement—What should be reported about systematic reviews? Dtsch. Med. Wochenschr. 2009, 134, 1619. [Google Scholar] [CrossRef]
- Straver, M.E.; Meijnen, P.; van Tienhoven, G.; van de Velde, C.J.H.; Mansel, R.E.; Bogaerts, J.; Duez, N.; Cataliotti, L.; Klinkenbijl, J.H.G.; Westenberg, H.A.; et al. Sentinel node identification rate and nodal involvement in the EORTC 10981-22023 AMAROS trial. Ann. Surg. Oncol. 2010, 17, 1854–1861. [Google Scholar] [CrossRef]
- Giammarile, F.; Alazraki, N.; Aarsvold, J.N.; Audisio, R.A.; Glass, E.; Grant, S.F.; Kunikowska, J.; Leidenius, M.; Moncayo, V.M.; Uren, R.F.; et al. The EANM and SNMMI practice guideline for lymphoscintigraphy and sentinel node localization in breast cancer. Eur. J. Nucl. Med. Mol. Imaging 2013, 40, 1932–1947. [Google Scholar] [CrossRef]
- Chatterjee, A.; Serniak, N.; Czerniecki, B.J. Sentinel lymph node biopsy in breast cancer: A work in progress. Cancer J. 2015, 21, 7–10. [Google Scholar] [CrossRef] [PubMed] [PubMed Central]
- Mathelin, C.; Lodi, M. Narrative review of sentinel lymph node biopsy in breast cancer: A technique in constant evolution with still numerous unresolved questions. Chin. Clin. Oncol. 2021, 10, 20. [Google Scholar] [CrossRef]
- Lyman, G.H.; Somerfield, M.R.; Bosserman, L.D.; Perkins, C.L.; Weaver, D.L.; Giuliano, A.E. Sentinel Lymph Node Biopsy for Patients With Early-Stage Breast Cancer: American Society of Clinical Oncology Clinical Practice Guideline Update. J. Clin. Oncol. 2017, 35, 561–564. [Google Scholar] [CrossRef]
- Spillane, A.J.; Brennan, M.E. Accuracy of sentinel lymph node biopsy in large and multifocal/multicentric breast carcinoma—A systematic review. Eur. J. Surg. Oncol. 2011, 37, 371–385. [Google Scholar] [CrossRef]
- Cserni, G.; Bori, R.; Sejben, I.; Voros, A.; Kaiser, L.; Hamar, S.; Csorgo, E.; Kulka, J. Unifocal, multifocal and diffuse carcinomas: A reproducibility study of breast cancer distribution. Breast 2013, 22, 34–38. [Google Scholar] [CrossRef] [PubMed]
- Jain, S.; Rezo, A.; Shadbolt, B.; Dahlstrom, J.E. Synchronous multiple ipsilateral breast cancers: Implications for patient management. Pathology 2009, 41, 57–67. [Google Scholar] [CrossRef] [PubMed]
- Țarcă, V.; Țarcă, E.; Moscalu, M. Social and Economic Determinants of Life Expectancy at Birth in Eastern Europe. Healthcare 2024, 12, 1148. [Google Scholar] [CrossRef] [PubMed] [PubMed Central]
- Coombs, N.J.; Boyages, J. Multifocal and multicentric breast cancer: Does each focus matter? J. Clin. Oncol. 2005, 23, 7497–7502. [Google Scholar] [CrossRef]
- Fisher, B. Role of science in the treatment of breast cancer when tumor multicentricity is present. J. Natl. Cancer Inst. 2011, 103, 1292–1298. [Google Scholar] [CrossRef]
- Leidenius, M.H.; Leppanen, E.A.; Krogerus, L.A.; Smitten, K.A. The impact of radiopharmaceutical particle size on the visualization and identification of sentinel nodes in breast cancer. Nucl. Med. Commun. 2004, 25, 233–238. [Google Scholar] [CrossRef]
- Mariani, G.; Moresco, L.; Viale, G.; Villa, G.; Bagnasco, M.; Canavese, G.; Buscombe, J.; Strauss, H.W.; Paganelli, G. Radioguided sentinel lymph node biopsy in breast cancer surgery. J. Nucl. Med. 2001, 42, 1198–1215. [Google Scholar]
- Vera, D.R.; Wallace, A.M.; Hoh, C.K.; Mattrey, R.F. A synthetic macromolecule for sentinel node detection: (99m)Tc-DTPA-mannosyl-dextran. J. Nucl. Med. 2001, 42, 951–959. [Google Scholar]
- Vidal-Sicart, S.; Rioja, M.E.; Prieto, A.; Goñi, E.; Gómez, I.; Albala, M.D.; Lumbreras, L.; León, L.F.; Gómez, J.R.; Campos, F. Sentinel Lymph Node Biopsy in Breast Cancer with (99m)Tc-Tilmanocept: A Multicenter Study on Real-Life Use of a Novel Tracer. J. Nucl. Med. 2021, 62, 620–627. [Google Scholar] [CrossRef]
- Turner-Warwick, R.T. The lymphatics of the breast. Br. J. Surg. 1959, 46, 574–582. [Google Scholar] [CrossRef]
- Giammarile, F.; Vidal-Sicart, S.; Paez, D.; Pellet, O.; Enrique, E.-L.; Mikhail-Lette, M.; Morozova, O.; Camila, N.M.M.; Ivonne, R.S.D.; Bolton, R.C.D.; et al. Sentinel Lymph Node Methods in Breast Cancer. Semin. Nucl. Med. 2022, 52, 551–560. [Google Scholar] [CrossRef] [PubMed]
- Jimenez-Heffernan, A.; Ellmann, A.; Sado, H.; Huić, D.; Bal, C.; Parameswaran, R.; Giammarile, F.; Pruzzo, R.; Kostadinova, I.; Vorster, M.; et al. Results of a Prospective Multicenter International Atomic Energy Agency Sentinel Node Trial on the Value of SPECT/CT Over Planar Imaging in Various Malignancies. J. Nucl. Med. 2015, 56, 1338–1344. [Google Scholar] [CrossRef] [PubMed]
- Goonawardena, J.; Yong, C.; Law, M. Use of indocyanine green fluorescence compared to radioisotope for sentinel lymph node biopsy in early-stage breast cancer: Systematic review and meta-analysis. Am. J. Surg. 2020, 220, 665–676. [Google Scholar] [CrossRef]
- Agrawal, S.K.; Hashlamoun, I.; Karki, B.; Sharma, A.; Arun, I.; Ahmed, R. Diagnostic Performance of Indocyanine Green Plus Methylene Blue Versus Radioisotope Plus Methylene Blue Dye Method for Sentinel Lymph Node Biopsy in Node-Negative Early Breast Cancer. JCO Glob. Oncol. 2020, 6, 1225–1231. [Google Scholar] [CrossRef]
- Karakatsanis, A.; Christiansen, P.M.; Fischer, L.; Hedin, C.; Pistioli, L.; Sund, M.; Rasmussen, N.R.; Jørnsgård, H.; Tegnelius, D.; Eriksson, S.; et al. The Nordic SentiMag trial: A comparison of super paramagnetic iron oxide (SPIO) nanoparticles versus Tc(99) and patent blue in the detection of sentinel node (SN) in patients with breast cancer and a meta-analysis of earlier studies. Breast Cancer Res. Treat. 2016, 157, 281–294. [Google Scholar] [CrossRef]
- Zada, A.; Peek, M.C.; Ahmed, M.; Anninga, B.; Baker, R.; Kusakabe, M.; Sekino, M.; Klaase, J.M.; Haken, B.T.; Douek, M. Meta-analysis of sentinel lymph node biopsy in breast cancer using the magnetic technique. Br. J. Surg. 2016, 103, 1409–1419. [Google Scholar] [CrossRef]
- Cox, K.; Sever, A.; Jones, S.; Weeks, J.; Mills, P.; Devalia, H.; Fish, D.; Jones, P. Validation of a technique using microbubbles and contrast enhanced ultrasound (CEUS) to biopsy sentinel lymph nodes (SLN) in pre operative breast cancer patients with a normal grey-scale axillary ultrasound. Eur. J. Surg. Oncol. 2013, 39, 760–765. [Google Scholar] [CrossRef]
- Huang, X.; Liu, J.Q.; Zhou, Y.D.; Xu, Y.; Chen, C.; Wang, X.; Cao, X.; Yao, R.; Sun, Q. Sentinel lymph node biopsy should be considered for clinically node-negative breast cancer regardless of BRCA1/2 mutation status. Ann. Transl. Med. 2020, 8, 1183. [Google Scholar] [CrossRef] [PubMed] [PubMed Central]
- Gentilini, O.; Veronesi, P.; Botteri, E.; Soggiu, F.; Trifirò, G.; Lissidini, G.; Luini, A. Sentinel lymph node biopsy in multicentric breast cancer: Five-year results in a large series from a single institution. Ann. Surg. Oncol. 2011, 18, 2879–2884. [Google Scholar] [CrossRef]
- Knauer, M.; Konstantiniuk, P.; Haid, A.; Wenzl, E.; Riegler-Keil, M.; Pöstlberger, S.; Reitsamer, R.; Schrenk, P. Multicentric breast cancer: A new indication for sentinel node biopsy—A multi-institutional validation study. J. Clin. Oncol. 2006, 24, 3374–3380. [Google Scholar] [CrossRef]
- Giuliano, A.E.; Ballman, K.V.; McCall, L.; Beitsch, P.D.; Brennan, M.B.; Kelemen, P.R.; Ollila, D.W.; Hansen, N.M.; Whitworth, P.W.; Blumencranz, P.W.; et al. Effect of Axillary Dissection vs No Axillary Dissection on 10-Year Overall Survival Among Women with Invasive Breast Cancer and Sentinel Node Metastasis: The ACOSOG Z0011 (Alliance) Randomized Clinical Trial. JAMA 2017, 318, 918–926. [Google Scholar] [CrossRef] [PubMed] [PubMed Central]
- van la Parra, R.F.D.; de Roos, W.K.; Contant, C.M.E.; Bavelaar-Croon, C.D.L.; Barneveld, P.C.; Bosscha, K. A prospective validation study of sentinel lymph node biopsy in multicentric breast cancer: SMMaC trial. Eur. J. Surg. Oncol. 2014, 40, 1250–1255. [Google Scholar] [CrossRef] [PubMed]
- Park, K.U.; Somerfield, M.R.; Anne, N.; Brackstone, M.; Conlin, A.K.; Couto, H.L.; Dengel, L.T.; Eisen, A.; Harvey, B.E.; Hawley, J.; et al. Sentinel Lymph Node Biopsy in Early-Stage Breast Cancer: ASCO Guideline Update. J. Clin. Oncol. 2025, 43, 1720–1741. [Google Scholar] [CrossRef] [PubMed]
- Charalampoudis, P.; Markopoulos, C.; Kovacs, T. Controversies and recommendations regarding sentinel lymph node biopsy in primary breast cancer: A comprehensive review of current data. Eur. J. Surg. Oncol. 2018, 44, 5–14. [Google Scholar] [CrossRef]
- Ho, C.; Argáez, C. Sentinel Lymph Node Biopsy for the Management of Breast Cancer: A Review of Guidelines CADTH Rapid Response Reports; Canadian Agency for Drugs and Technologies in Health: Ottawa, ON, Canada, 2019. [Google Scholar]
- Gradishar, W.J.; Anderson, B.O.; Abraham, J.; Aft, R.; Agnese, D.; Allison, K.H.; Blair, S.L.; Burstein, H.J.; Dang, C.; Elias, A.D.; et al. Breast Cancer, Version 3.2020, NCCN Clinical Practice Guidelines in Oncology. J. Natl. Compr. Cancer Netw. 2020, 18, 452–478. [Google Scholar] [CrossRef]
- Fisher, C.S.; Margenthaler, J.A.; Hunt, K.K.; Schwartz, T. The landmark series: Axillary management in breast cancer. Ann. Surg. Oncol. 2020, 27, 724–729. [Google Scholar] [CrossRef]
- Freebody, J.; Fernando, S.; Rossleigh, M.A. Triple-site radiotracer application in breast lymphoscintigraphy and sentinel node discordance. World J. Nucl. Med. 2019, 18, 127–131. [Google Scholar] [CrossRef]
- Moody, L.C.; Chao, C. Indications for Sentinel Lymph Node Biopsy in Multifocal and Multicentric Breast Cancer. J. Surg. Res. 2012, 172, 227–228. [Google Scholar] [CrossRef]
- Han, C.; Yang, L.; Zuo, W. A mini-review on factors and countermeasures associated with false-negative sentinel lymph node biopsies in breast cancer. Chin. J. Cancer Res. 2016, 28, 370–376. [Google Scholar] [CrossRef] [PubMed] [PubMed Central]
- Andea, A.A.; Wallis, T.; Newman, L.A.; Bouwman, D.; Dey, J.; Visscher, D.W. Pathologic analysis of tumor size and lymph node status in multifocal/multicentric breast carcinoma. Cancer 2002, 94, 1383–1390. [Google Scholar] [CrossRef]
- Lang, Z.; Wu, Y.; Li, C.; Li, X.; Wang, X.; Qu, G. Multifocal and Multicentric Breast Carcinoma: A Significantly More Aggressive Tumor than Unifocal Breast Cancer. Anticancer Res. 2017, 37, 4593–4598. [Google Scholar] [CrossRef] [PubMed]
- Baranwal, S.; Alahari, S.K. Molecular mechanisms controlling E-cadherin expression in breast cancer. Biochem. Biophys. Res. Commun. 2009, 384, 6–11. [Google Scholar] [CrossRef] [PubMed]
- Klopp, A.H.; Lacerda, L.; Gupta, A.; Debeb, B.G.; Solley, T.; Li, L.; Spaeth, E.; Xu, W.; Zhang, X.; Lewis, M.T.; et al. Mesenchymal stem cells promote mammosphere formation and decrease E-cadherin in normal and malignant breast cells. PLoS ONE 2010, 5, e12180. [Google Scholar] [CrossRef]
- Stătescu, L.; Trandafir, L.M.; Țarcă, E.; Moscalu, M.; Leon Constantin, M.M.; Butnariu, L.I.; Trandafirescu, M.F.; Tîrnovanu, M.C.; Heredea, R.; Pătrașcu, A.V.; et al. Advancing Cancer Research: Current Knowledge on Cutaneous Neoplasia. Int. J. Mol. Sci. 2023, 24, 11176. [Google Scholar] [CrossRef] [PubMed] [PubMed Central]
- Weissenbacher, T.; Hirte, E.; Kuhn, C.; Janni, W.; Mayr, D.; Karsten, U.; Rack, B.; Friese, K.; Jeschke, U.; Heublein, S.; et al. Multicentric and multifocal versus unifocal breast cancer: Differences in the expression of E-cadherin suggest differences in tumor biology. BMC Cancer 2013, 13, 361. [Google Scholar] [CrossRef]
- Hashmi, A.A.; Aijaz, S.; Khan, S.M.; Mahboob, R.; Irfan, M.; Zafar, N.I.; Nisar, M.; Siddiqui, M.; Edhi, M.M.; Faridi, N.; et al. Prognostic parameters of luminal A and luminal B intrinsic breast cancer subtypes of Pakistani patients. World J. Surg. Oncol. 2018, 16, 1. [Google Scholar] [CrossRef]
- Tsoutsou, P.G.; Vozenin, M.C.; Durham, A.D.; Bourhis, J. How could breast cancer molecular features contribute to locoregional treatment decision making? Crit. Rev. Oncol. Hematol. 2017, 110, 43–48. [Google Scholar] [CrossRef]
- Fragomeni, S.M.; Sciallis, A.; Jeruss, J.S. Molecular Subtypes and Local-Regional Control of Breast Cancer. Surg. Oncol. Clin. N. Am. 2018, 27, 95–120. [Google Scholar] [CrossRef]
- Pulido, C.; Vendrell, I.; Ferreira, A.R.; Casimiro, S.; Mansinho, A.; Alho, I.; Costa, L. Bone metastasis risk factors in breast cancer. Ecancermedicalscience 2017, 11, 715. [Google Scholar] [CrossRef]
- Pan, Y.; Lin, Y.; Mi, C. Clinicopathological characteristics and prognostic risk factors of breast cancer patients with bone metastasis. Ann. Transl. Med. 2021, 9, 1340. Available online: https://atm.amegroups.org/article/view/77448 (accessed on 27 January 2025). [CrossRef]
- Hernandez, R.K.; Wade, S.W.; Reich, A.; Pirolli, M.; Liede, A.; Lyman, G.H. Incidence of bone metastases in patients with solid tumors: Analysis of oncology electronic medical records in the United States. BMC Cancer 2018, 18, 44. [Google Scholar] [CrossRef] [PubMed]
- Wu, Q.; Li, J.; Zhu, S.; Wu, J.; Chen, C.; Liu, Q.; Wei, W.; Zhang, Y.; Sun, S. Breast cancer subtypes predict the preferential site of distant metastases: A SEER based study. Oncotarget 2017, 8, 27990. [Google Scholar] [CrossRef] [PubMed]
- Molnár, I.A.; Molnár, B.Á.; Vízkeleti, L.; Fekete, K.; Tamás, J.; Deák, P.; Szundi, C.; Székely, B.; Moldvay, J.; Vári-Kakas, S. Breast carcinoma subtypes show different patterns of metastatic behavior. Virchows Arch. 2017, 470, 275–283. [Google Scholar] [CrossRef] [PubMed]
- Diessner, J.; Wischnewsky, M.; Stüber, T.; Stein, R.; Krockenberger, M.; Häusler, S.; Janni, W.; Kreienberg, R.; Blettner, M.; Schwentner, L.; et al. Evaluation of clinical parameters influencing the development of bone metastasis in breast cancer. BMC Cancer 2016, 16, 307. [Google Scholar] [CrossRef]
- Purushotham, A.; Shamil, E.; Cariati, M.; Agbaje, O.; Muhidin, A.; Gillett, C.; Mera, A.; Sivanadiyan, K.; Harries, M.; Sullivan, R.; et al. Age at diagnosis and distant metastasis in breast cancer—A surprising inverse relationship. Eur. J. Cancer 2014, 50, 1697–1705. [Google Scholar] [CrossRef]
- Ali, M.K.; Mubarak, A. Identification of Risk Factors of Bone Metastasis Among Iraqi Breast Cancer Women. Int. J. Health Med. 2024, 1, 165–178. [Google Scholar] [CrossRef]
- Du, Y.; Cullum, I.; Illidge, T.M.; Ell, P.J. Fusion of metabolic function and morphology: Sequential [18F] fluorodeoxyglucose positron-emission tomography/computed tomography studies yield new insights into the natural history of bone metastases in breast cancer. J. Clin. Oncol. 2007, 25, 3440–3447. [Google Scholar] [CrossRef]
- Yin, J.J.; Mohammad, K.S.; Käkönen, S.M.; Harris, S.; Wu-Wong, J.R.; Wessale, J.L.; Padley, R.J.; Garrett, I.R.; Chirgwin, J.M.; Guise, T.A. A causal role for endothelin-1 in the pathogenesis of osteoblastic bone metastases. Proc. Natl. Acad. Sci. USA 2003, 100, 10954–10959. [Google Scholar] [CrossRef]
- D’Oronzo, S.; Coleman, R.; Brown, J.; Silvestris, F. Metastatic bone disease: Pathogenesis and therapeutic options. J. Bone Oncol. 2019, 15, 100205. [Google Scholar] [CrossRef]
- Vakaet, L.A.L.; Boterberg, T. Pain control by ionizing radiation of bone metastasis. Int. J. Dev. Biol. 2004, 48, 599–606. [Google Scholar] [CrossRef]
- O’Sullivan, G.J.; Carty, F.L.; Cronin, C.G. Imaging of bone metastasis: An update. World J. Radiol. 2015, 7, 202. [Google Scholar] [CrossRef]




























| Markers | Tumor A—Ductal Invasive Carcinoma | Tumor B—Lobular Invasive Carcinoma |
|---|---|---|
| ER | 90% positive | 90% positive |
| PR | 30% positive | 90% positive |
| HER2 | 2+ | Negative |
| Ki67 | 40% | 10–15% |
Disclaimer/Publisher’s Note: The statements, opinions and data contained in all publications are solely those of the individual author(s) and contributor(s) and not of MDPI and/or the editor(s). MDPI and/or the editor(s) disclaim responsibility for any injury to people or property resulting from any ideas, methods, instructions or products referred to in the content. |
© 2025 by the authors. Licensee MDPI, Basel, Switzerland. This article is an open access article distributed under the terms and conditions of the Creative Commons Attribution (CC BY) license (https://creativecommons.org/licenses/by/4.0/).
Share and Cite
Tîrnovanu, M.C.; Cojocaru, E.; Tîrnovanu, V.G.; Țarcă, E.; Toma, L.; Toma, B.F.; Anton, S.; Tîrnovanu, Ș.D.; Covali, R.A.; Ștefănescu, C.; et al. Is Sentinel Lymph Node Biopsy Feasible in Multicentric Breast Cancer? A Case Report and Literature Review. Life 2025, 15, 1018. https://doi.org/10.3390/life15071018
Tîrnovanu MC, Cojocaru E, Tîrnovanu VG, Țarcă E, Toma L, Toma BF, Anton S, Tîrnovanu ȘD, Covali RA, Ștefănescu C, et al. Is Sentinel Lymph Node Biopsy Feasible in Multicentric Breast Cancer? A Case Report and Literature Review. Life. 2025; 15(7):1018. https://doi.org/10.3390/life15071018
Chicago/Turabian StyleTîrnovanu, Mihaela Camelia, Elena Cojocaru, Vlad Gabriel Tîrnovanu, Elena Țarcă, Loredana Toma, Bogdan Florin Toma, Sorana Anton, Ștefan Dragoș Tîrnovanu, Roxana Ana Covali, Cipriana Ștefănescu, and et al. 2025. "Is Sentinel Lymph Node Biopsy Feasible in Multicentric Breast Cancer? A Case Report and Literature Review" Life 15, no. 7: 1018. https://doi.org/10.3390/life15071018
APA StyleTîrnovanu, M. C., Cojocaru, E., Tîrnovanu, V. G., Țarcă, E., Toma, L., Toma, B. F., Anton, S., Tîrnovanu, Ș. D., Covali, R. A., Ștefănescu, C., & Grierosu, I. C. (2025). Is Sentinel Lymph Node Biopsy Feasible in Multicentric Breast Cancer? A Case Report and Literature Review. Life, 15(7), 1018. https://doi.org/10.3390/life15071018

