The Role of High-Resolution Lung Computed Tomography to Distinguish Between Fibrosing Hypersensitivity Pneumonitis and Usual Interstitial Pneumonia
Abstract
1. Introduction
2. Materials and Methods
3. Results
3.1. Patients
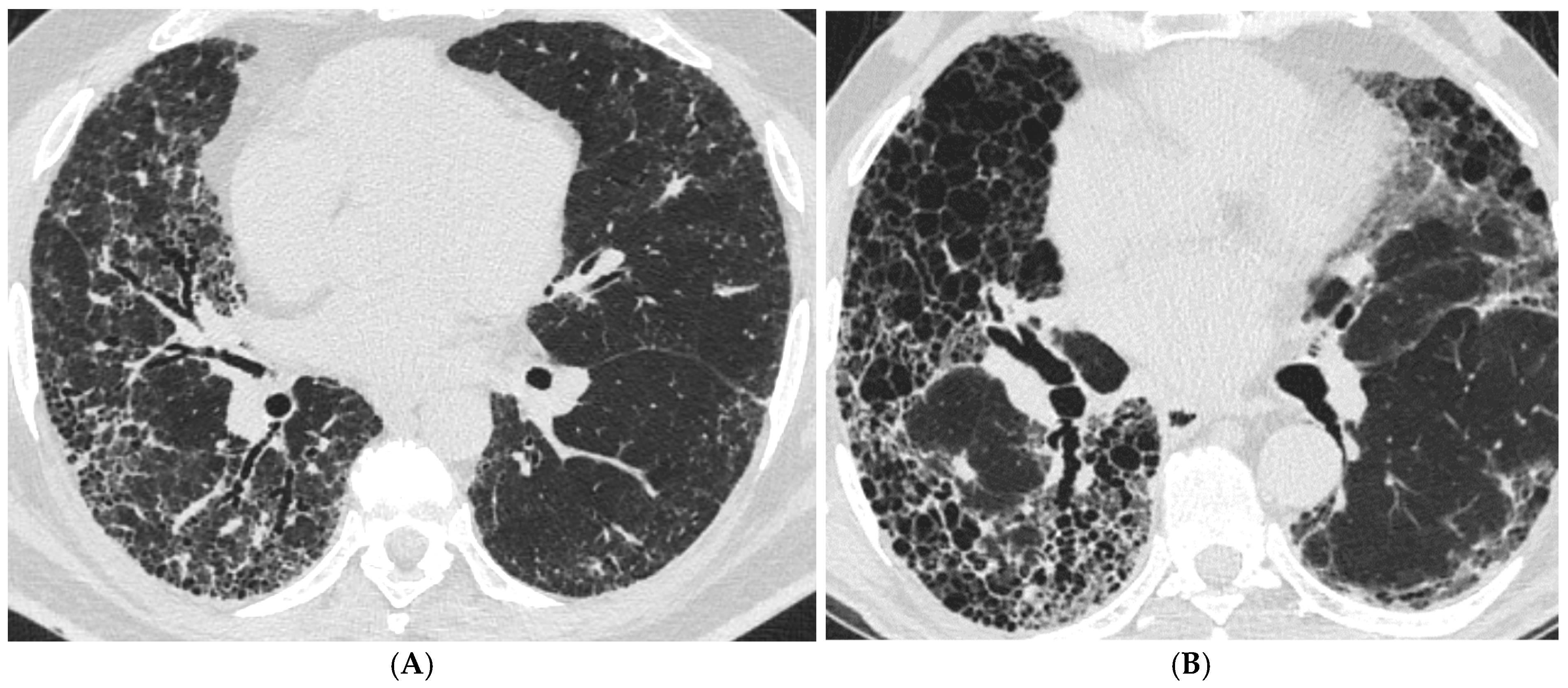
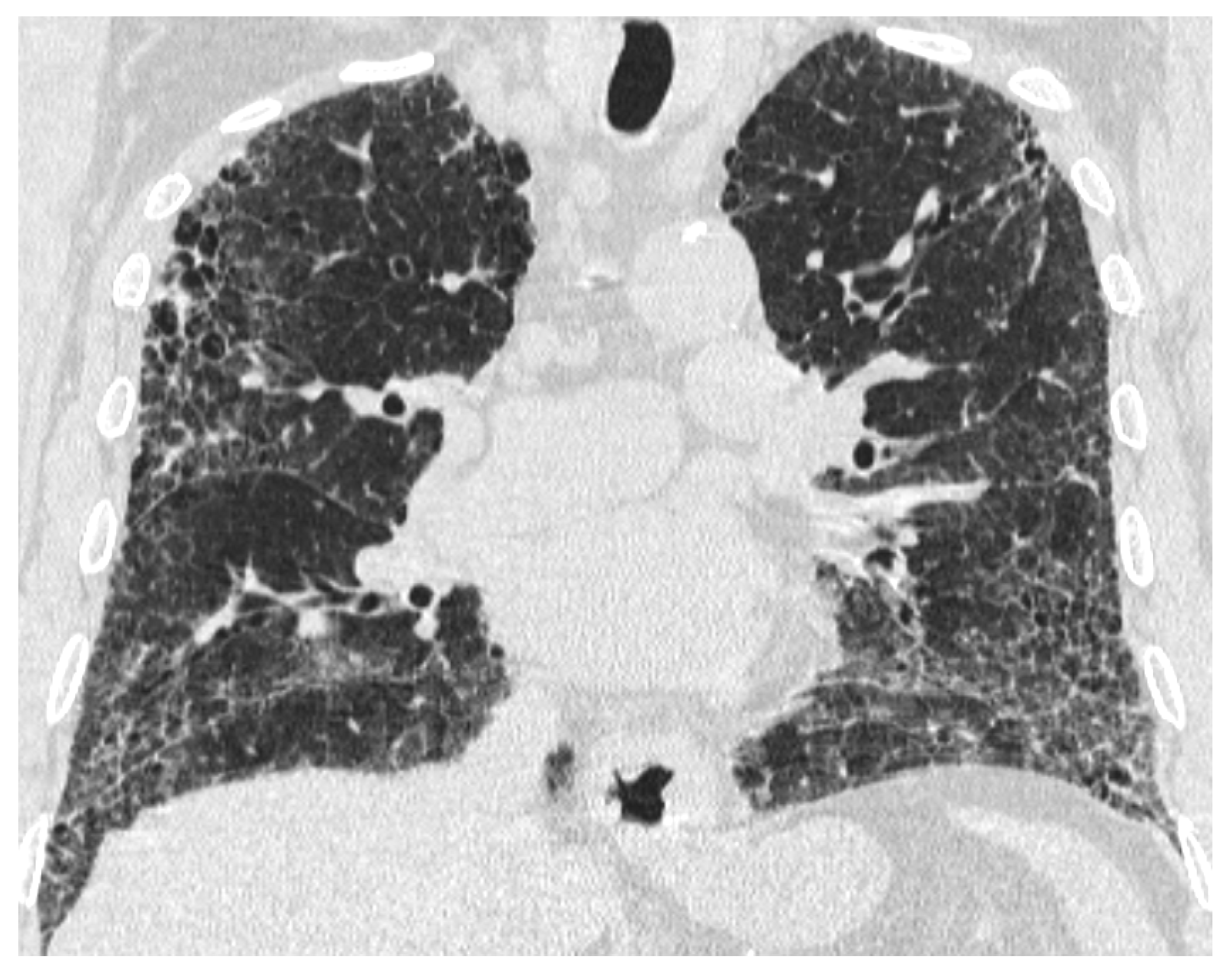
3.2. HRCT Patterns in the Groups
3.3. Logistic Regression Analysis
3.4. ROC-Analysis
4. Discussion
Author Contributions
Funding
Institutional Review Board Statement
Informed Consent Statement
Data Availability Statement
Conflicts of Interest
Abbreviations
| HP | Hypersensitivity pneumonitis |
| HRCT | High-resolution computed tomography |
| fHP | Fibrotic hypersensitivity pneumonitis |
| UIP | Usual interstitial pneumonia |
| IPF | Idiopathic pulmonary fibrosis |
| ILD | Interstitial lung disease |
| AUC | Area under curve |
| ATS | American Thorascic Society |
| JRS | Japanese Respiratory Society |
| ALAT | Asociacion Latinoamericana de Torax |
| IQR | Interquartile range |
| MPR | Multiplanar reconstruction |
| MIP | Maximal intensity projection |
| MinIP | Minimal intensity projection |
| GGO | Ground glass opacity |
References
- Bourke, S.J.; Dalphin, J.C.; Boyd, G.; McSharry, C.; Baldwin, C.I.; Calvert, J.E. Hypersensitivity pneumonitis: Current concepts. Eur. Respir. J. 2001, 32, 81s–92s. [Google Scholar] [CrossRef]
- Costabel, U.; Bonella, F.; Guzman, J. Chronic hypersensitivity pneumonitis. Clin. Chest Med. 2012, 33, 151–163. [Google Scholar] [CrossRef] [PubMed]
- Dias, O.M.; Baldi, B.G.; Pennati, F.; Aliverti, A.; Chate, R.C.; Sawamura, M.V.Y.; de Carvalho, C.R.R.; de Albuquerque, A.L.P. Computed tomography in hypersensitivity pneumonitis: Main findings, differential diagnosis and pitfalls. Expert. Rev. Respir. Med. 2018, 12, 5–13. [Google Scholar] [CrossRef] [PubMed]
- Raghu, G.; Remy-Jardin, M.; Ryerson, C.J.; Myers, J.L.; Kreuter, M.; Vasakova, M.; Bargagli, E.; Chung, J.H.; Collins, B.F.; Bendstrup, E.; et al. Diagnosis of Hypersensitivity Pneumonitis in Adults. An Official ATS/JRS/ALAT Clinical Practice Guideline. Am. J. Respir. Crit. Care Med. 2020, 202, e36–e69. [Google Scholar] [CrossRef]
- Raghu, G.; Remy-Jardin, M.; Myers, J.L.; Richeldi, L.; Ryerson, C.J.; Lederer, D.J.; Behr, J.; Cottin, V.; Danoff, S.K.; Morell, F.; et al. Diagnosis of Idiopathic Pulmonary Fibrosis. An Official ATS/ERS/JRS/ALAT Clinical Practice Guideline. Am. J. Respir. Crit. Care Med. 2018, 198, e44–e68. [Google Scholar] [CrossRef]
- Raghu, G.; Remy-Jardin, M.; Richeldi, L.; Thomson, C.C.; Inoue, Y.; Johkoh, T.; Kreuter, M.; Lynch, D.A.; Maher, T.M.; Martinez, F.J.; et al. Idiopathic Pulmonary Fibrosis (an Update) and Progressive Pulmonary Fibrosis in Adults: An Official ATS/ERS/JRS/ALAT Clinical Practice Guideline. Am. J. Respir. Crit. Care Med. 2022, 205, e18–e47. [Google Scholar] [CrossRef]
- Tateishi, T.; Johkoh, T.; Sakai, F.; Miyazaki, Y.; Ogura, T.; Ichikado, K.; Suda, T.; Taguchi, Y.; Inoue, Y.; Takemura, T.; et al. High-resolution CT features distinguishing usual interstitial pneumonia pattern in chronic hypersensitivity pneumonitis from those with idiopathic pulmonary fibrosis. Jpn. J. Radiol. 2020, 38, 524–532. [Google Scholar] [CrossRef]
- Hansell, D.M.; Bankier, A.A.; MacMahon, H.; McLoud, T.C.; Müller, N.L.; Remy, J. Fleischner Society: Glossary of terms for thoracic imaging. Radiology 2008, 246, 697–722. [Google Scholar] [CrossRef]
- Choe, J.; Chae, E.J.; Kim, Y.J.; Do, K.-H.; Song, J.S.; Song, J.W. Serial changes of CT findings in patients with chronic hypersensitivity pneumonitis: Imaging trajectories and predictors of fibrotic progression and acute exacerbation. Eur. Radiol. 2021, 31, 3993–4003. [Google Scholar] [CrossRef]
- Marinescu, D.-C.; Hague, C.J.; Muller, N.L.; Murphy, D.; Churg, A.; Wright, J.L.; Al-Arnawoot, A.; Bilawich, A.-M.; Bourgouin, P.; Cox, G.; et al. Integration and Application of Radiologic Patterns From Clinical Practice Guidelines on Idiopathic Pulmonary Fibrosis and Fibrotic Hypersensitivity Pneumonitis. Chest 2023, 164, 1466–1475. [Google Scholar] [CrossRef]
- Sumikawa, H.; Komiya, K.; Egashira, R.; Tominaga, J.; Ueno, M.; Fukuda, T.; Yamada, D.; Takei, R.; Kataoka, K.; Kimura, T.; et al. Validation of a computed tomography diagnostic model for differentiating fibrotic hypersensitivity pneumonitis from idiopathic pulmonary fibrosis. Respir. Investig. 2024, 62, 798–803. [Google Scholar] [CrossRef]
- Zhuo, Y.; Shan, F.; Yang, S.; Zhan, Y.; Shi, Y.; Zhang, Z. Advances in differential diagnosis of pulmonary ground glass opacity on high resolution computed tomography and histopathology. Radiol. Infect. Dis. 2020, 7, 7–11. [Google Scholar] [CrossRef]
- Kaburaki, S.; Okuda, R.; Takemura, T.; Hagiwara, E.; Seike, M.; Gemma, A.; Ogura, T. Compatible with fibrotic hypersensitivity pneumonitis on high-resolution computed tomography: From the ATS/JRS/ALAT 2020 hypersensitivity pneumonitis guidelines. J. Thorac. Dis. 2024, 16, 2353–2364. [Google Scholar] [CrossRef]
- Chae, K.J.; Hwang, H.J.; Duarte Achcar, R.; Cooley, J.C.; Humphries, S.M.; Kligerman, S.; Lynch, D.A. Central Role of CT in Management of Pulmonary Fibrosis. Radiographics 2024, 44, e230165. [Google Scholar] [CrossRef] [PubMed]
- Chelala, L.; Adegunsoye, A.; Strek, M.; Lee, C.T.; Jablonski, R.; Husain, A.N.; Udofia, I.; Chung, J.H. Hypersensitivity Pneumonitis on Thin-Section Chest CT Scans: Diagnostic Performance of the ATS/JRS/ALAT versus ACCP Imaging Guidelines. Radiol. Cardiothorac. Imaging 2024, 6, e230068. [Google Scholar] [CrossRef] [PubMed]
- Kuleshov, D.A.; Tyurin, I.E. High-resolution computed tomography in the diagnosis of fibrotic hypersensitivity pneumonitis: A review. Cons. Medicum. 2022, 24, 160–165. [Google Scholar] [CrossRef]
- Bhattacharyya, P.; Dasgupta, S.; Paul, M.; Saha, D.; Sengupta, S. High-resolution computerized tomography changes in diffuse parenchymal lung disease from chronic hypersensitivity pneumonitis related to bird antigen. Lung India 2018, 35, 215–219. [Google Scholar] [CrossRef]
- Combet, M.; Pavot, A.; Savale, L.; Humbert, M.; Monnet, X. Rapid onset honeycombing fibrosis in spontaneously breathing patient with COVID-19. Eur. Respir. J. 2020, 56, 2001808. [Google Scholar] [CrossRef]
- Fabbri, L.; Moss, S.; Khan, F.A.; Chi, W.; Xia, J.; Robinson, K.; Smyth, A.R.; Jenkins, G.; Stewart, I. Parenchymal lung abnormalities following hospitalisation for COVID-19 and viral pneumonitis: A systematic review and meta-analysis. Thorax 2023, 78, 191–201. [Google Scholar] [CrossRef]
- Stewart, I.; Jacob, J.; George, P.M.; Molyneaux, P.L.; Porter, J.C.; Allen, R.J.; Aslani, S.; Baillie, J.K.; Barratt, S.L.; Beirne, P.; et al. Residual Lung Abnormalities after COVID-19 Hospitalization: Interim Analysis of the UKILD Post-COVID-19 Study. Am. J. Respir. Crit. Care Med. 2023, 207, 693–703. [Google Scholar] [CrossRef]
- Rahman, M.T.; Nahar, N.U.; Ibrahim, M.; Islam, I.; Bhowmik, B.; Shirin, M.; Khan, M.M.R.; Akkas, N.; Molla, M.M.A. Early Prediction and HRCT Evaluation of Post COVID-19 Related Lung Fibrosis. Microbiol. Insights 2023, 16, 11786361231190334. [Google Scholar] [CrossRef]
- Floridi, C.; Fogante, M.; Agostini, A.; Borgheresi, A.; Cellina, M.; Natella, R.; Bruno, F.; Cozzi, D.; Maggialetti, N.; Palumbo, P.; et al. Radiological diagnosis of Coronavirus Disease 2019 (COVID-19): A Practical Guide. Acta Biomed. 2020, 91, 51–59. [Google Scholar] [CrossRef]
- Johnston, J.; Dorrian, D.; Linden, D.; Stanel, S.C.; Rivera-Ortega, P.; Chaudhuri, N. Pulmonary Sequelae of COVID-19: Focus on Interstitial Lung Disease. Cells 2023, 12, 2238. [Google Scholar] [CrossRef]



| Parameter | fHP (n = 51) | IPF/UIP (n = 24) | p |
|---|---|---|---|
| Age, years (Me, IQR) | 55 (42–60) | 67 (63, 5–73) | <0.001 |
| Gender (M/F), n | 27/24 | 22/2 | <0.001 |
| Smoking history, pack-years | 20 (13–32) | 30 (25–45) | 0.241 |
| BMI, kg/m2 | 28.0 (24.9–31.6) | 29 (25.5–31.4) | 0.192 |
| HRCT Findings, n (%) | fHP, n = 51 | IPF/UIP, n = 24 | p |
|---|---|---|---|
| Centrilobular nodules | 24 (47.1%) | 1/24 (4.2%) | 0.003 |
| Mosaic attenuation | 27 (52.9%) | 5 (20.8%) | 0.009 |
| Emphysema | 22 (43.1%) | 16 (66.7%) | 0.048 |
| GGO | 46 (90.2%) | 24 (100%) | 0.168 |
| Consolidation | 6 (11.8%) | 1 (4.2%) | 0.421 |
| Reticulation | 50 (98.0%) | 24 (100%) | 1.000 |
| Honeycombing | 12 (23.5%) | 24 (100%) | 0.000 |
| Traction bronchiectasis | 34 (66.6%) | 24 (100.0%) | 0.001 |
| Types of Spatial Distribution | fHP, n = 51 | IPF/UIP, n = 24 | p | |
|---|---|---|---|---|
| Craniocaudal distribution, n (%) | upper lung areas | 4 (7.8%) | 0 (0.0%) | 0.299 |
| lower lung areas | 22 (43.1%) | 4 (16.7%) | <0.001 | |
| diffuse | 25 (49.0%) | 20 (83.3%) | 0.006 | |
| Axial distribution, n (%) | peribronchovascular | 2 (3.9%) | 0 (0.0%) | 1.000 |
| subpleural | 15 (29.4%) | 18 (75.0%) | <0.001 | |
| diffuse | 34 (66.7%) | 6 (25.0%) | <0.001 | |
| HRCT Findings | OR | 95% CI | p |
|---|---|---|---|
| Centrilobular nodules | 74.62 | 2.96–187.95 | 0.009 |
| Mosaic attenuation | 1.536 | 0.081–2.171 | 0.170 |
| Honeycombing | 0.54 | 0.33–0.89 | 0.005 |
| Traction bronchiectasis | 0.25 | −0.44–0.57 | 0.804 |
| Diffuse craniocaudal distribution | 0.15 | 0.03–0.86 | 0.033 |
| Diffuse axial distribution | 12.77 | 2.34–69.81 | 0.003 |
Disclaimer/Publisher’s Note: The statements, opinions and data contained in all publications are solely those of the individual author(s) and contributor(s) and not of MDPI and/or the editor(s). MDPI and/or the editor(s) disclaim responsibility for any injury to people or property resulting from any ideas, methods, instructions or products referred to in the content. |
© 2025 by the authors. Licensee MDPI, Basel, Switzerland. This article is an open access article distributed under the terms and conditions of the Creative Commons Attribution (CC BY) license (https://creativecommons.org/licenses/by/4.0/).
Share and Cite
Kuleshov, D.A.; Chikina, S.Y.; Nekludova, G.V.; Tyurin, I.E.; Avdeev, S.N. The Role of High-Resolution Lung Computed Tomography to Distinguish Between Fibrosing Hypersensitivity Pneumonitis and Usual Interstitial Pneumonia. Life 2025, 15, 1867. https://doi.org/10.3390/life15121867
Kuleshov DA, Chikina SY, Nekludova GV, Tyurin IE, Avdeev SN. The Role of High-Resolution Lung Computed Tomography to Distinguish Between Fibrosing Hypersensitivity Pneumonitis and Usual Interstitial Pneumonia. Life. 2025; 15(12):1867. https://doi.org/10.3390/life15121867
Chicago/Turabian StyleKuleshov, Dmitry A., Svetlana Yu. Chikina, Galina V. Nekludova, Igor E. Tyurin, and Sergey N. Avdeev. 2025. "The Role of High-Resolution Lung Computed Tomography to Distinguish Between Fibrosing Hypersensitivity Pneumonitis and Usual Interstitial Pneumonia" Life 15, no. 12: 1867. https://doi.org/10.3390/life15121867
APA StyleKuleshov, D. A., Chikina, S. Y., Nekludova, G. V., Tyurin, I. E., & Avdeev, S. N. (2025). The Role of High-Resolution Lung Computed Tomography to Distinguish Between Fibrosing Hypersensitivity Pneumonitis and Usual Interstitial Pneumonia. Life, 15(12), 1867. https://doi.org/10.3390/life15121867

