Molecular Investigation of Eimeria Species in Broiler Farms in the Province of Vojvodina, Serbia
Abstract
1. Introduction
2. Materials and Methods
2.1. Studying Flocks and Sample Collection
2.2. Processing of Faecal Samples
2.3. Methodology for Determination of Subclinical and Clinical Coccidiosis
2.4. Preparation of Reaction Mixture for PCR
2.5. Molecular Characterisation of Eimeria Species Using PCR Method
2.6. Data Collection Using a Questionnaire
2.7. Statistical Analysis
3. Results
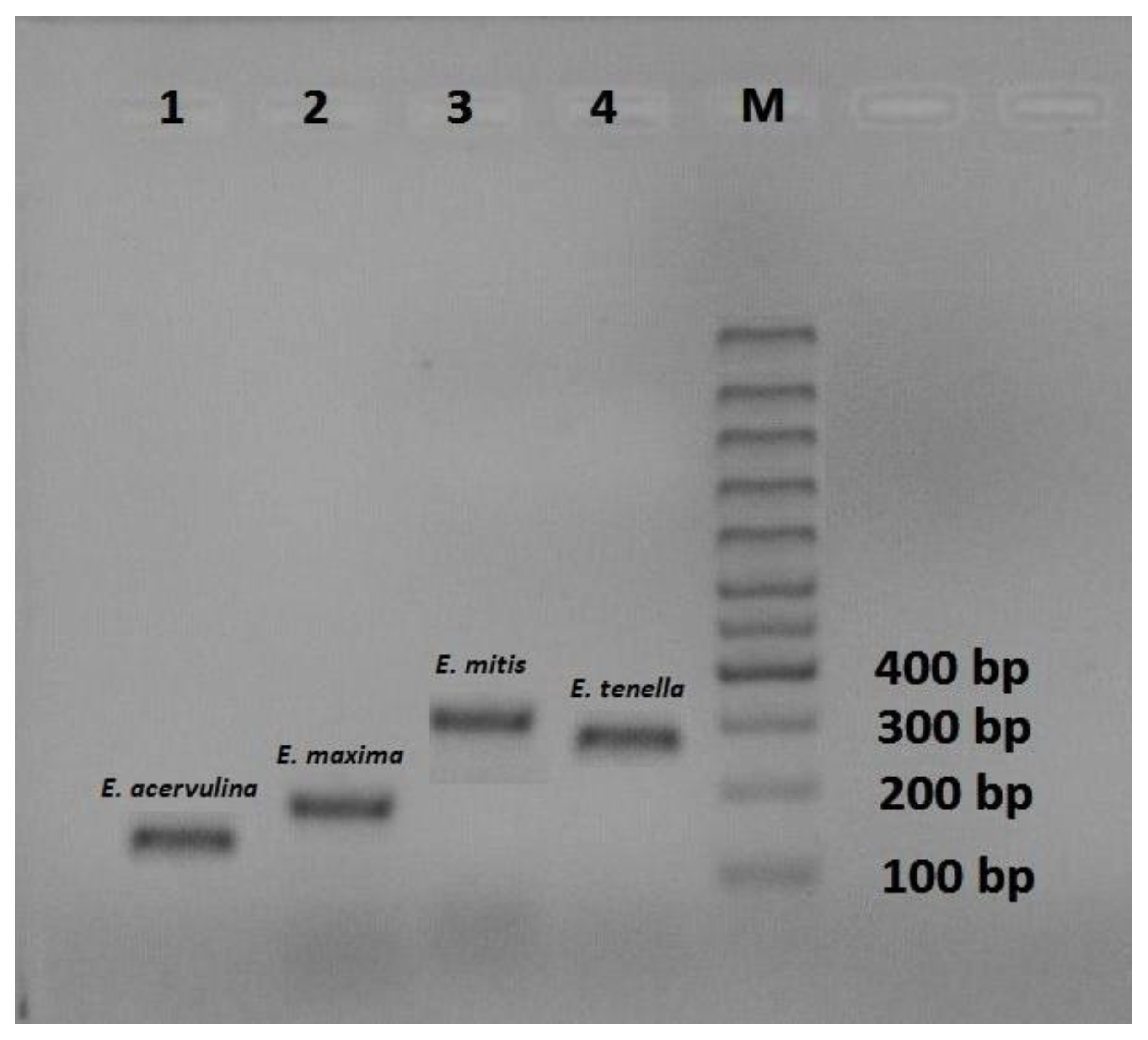
3.1. Determination of Eimeria Species
3.2. Prevalence of Subclinical and Clinical Coccidiosis
3.3. Data from the Survey on the Implemented Biosecurity Measured on the Farms
4. Discussion
5. Conclusions
Author Contributions
Funding
Institutional Review Board Statement
Informed Consent Statement
Data Availability Statement
Acknowledgments
Conflicts of Interest
References
- Blake, D.P. Eimeria genomics: Where are we now and where are we going? Vet. Parasitol. 2015, 212, 68–74. [Google Scholar] [CrossRef] [PubMed]
- Clark, E.L.; Macdonald, S.E.; Thenmozhi, V.; Kundu, K.; Garg, R.; Kumar, S.; Blake, D.P. Cryptic Eimeria genotypes are common across the southern but not northern hemisphere. Int. J. Parasitol. 2016, 46, 537–544. [Google Scholar] [CrossRef] [PubMed]
- Chapman, H.D. Milestones in avian coccidiosis research: A review. Poult. Sci. 2014, 93, 501–511. [Google Scholar] [CrossRef] [PubMed]
- Reid, A.J.; Blake, D.P.; Ansari, H.R.; Billington, K.; Browne, H.P.; Bryant, J.; Pain, A. Genomic analysis of the causative agents of coccidiosis in domestic chickens. Genome Res. 2014, 24, 1676–1685. [Google Scholar] [CrossRef]
- Blake, D.P.; Marugan-Hernandez, V.; Tomley, F.M. Spotlight on avian pathology: Eimeria and the disease coccidiosis. Avian Pathol. 2021, 50, 209–213. [Google Scholar] [CrossRef]
- Thenmozhi, V.; Veerakumari, L.; Raman, M. Preliminary genetic diversity study on different isolates of Eimeria tenella from South India. Int. J. Adv. Vet. Sci. Technol. 2014, 3, 114–118. [Google Scholar] [CrossRef]
- Andreopoulou, M.; Chaligiannis, I.; Sotiraki, S.; Daugschies, A.; Bangoura, B. Prevalence and molecular detection of Eimeria species in different types of poultry in Greece and associated risk factors. Parasitol. Res. 2022, 121, 2051–2063. [Google Scholar] [CrossRef]
- Godwin, R.M.; Morgan, J.A. A molecular survey of Eimeria in chickens across Australia. Vet. Parasitol. 2015, 214, 16–21. [Google Scholar] [CrossRef]
- Fatoba, A.J.; Adeleke, M.A. Diagnosis and control of chicken coccidiosis: A recent update. J. Parasit. Dis. 2018, 42, 483–493. [Google Scholar] [CrossRef]
- Flores, R.A.; Nguyen, B.T.; Cammayo, P.L.T.; Võ, T.C.; Naw, H.; Kim, S.; Kim, W.H.; Na, B.K.; Min, W. Epidemiological investigation and drug resistance of Eimeria species in Korean chicken farms. BMC Vet. Res. 2022, 18, 277. [Google Scholar] [CrossRef]
- Blake, D.P.; Knox, J.; Dehaeck, B.; Huntington, B.; Rathinam, T.; Ravipati, V.; Ayoade, S.; Gilbert, W.; Adebambo, A.O.; Jatau, I.D.; et al. Re-calculating the cost of coccidiosis in chickens. Vet. Res. 2020, 51, 115. [Google Scholar] [CrossRef] [PubMed]
- Habibi, H.; Firouzi, S.; Nili, H.; Razavi, M.; Asadi, S.L.; Daneshi, S. Anticoccidial effects of herbal extracts on Eimeria tenella infection in broiler chickens: In vitro and in vivo study. J. Parasit. Dis. 2016, 40, 401–407. [Google Scholar] [CrossRef] [PubMed]
- Pajić, M.; Aleksić, N.; Vejnović, B.; Polaček, V.; Novakov, N.; Ostojić Andrić, D.; Stanimirović, Z. Influence of anticoccidials on oxidative stress, production performance and faecal oocyst counts in broiler chickens infected with Eimeria species. Kafkas Univ. Vet. Fak. Derg. 2019, 25, 379–385. [Google Scholar] [CrossRef]
- Bozkurt, M.; Ege, G.; Aysul, N.; Akşit, H.; Tüzün, A.E.; Küçükyılmaz, K.; Borum, A.E.; Uygun, M.; Aksit, D.; Aypak, S.; et al. Effect of anticoccidial monensin with oregano essential oil on broilers experimentally challenged with mixed Eimeria spp. Poult. Sci. 2016, 95, 1858–1868. [Google Scholar] [CrossRef] [PubMed]
- Long, P.L.; Joyner, L.P. Problems in the identification of species of Eimeria. J. Protozool. 1984, 31, 535–541. [Google Scholar] [CrossRef]
- Matsubayashi, M.; Shibahara, T.; Matsuo, T.; Hatabu, T.; Yamagishi, J.; Sasai, K.; Isobe, T. Morphological and molecular identification of Eimeria spp. in breeding chicken farms of Japan. J. Vet. Med. Sci. 2020, 82, 516–519. [Google Scholar] [CrossRef]
- Kawahara, F.; Zhang, G.; Mingala, C.N.; Tamura, Y.; Koiwa, M.; Onuma, M.; Nunoya, T. Genetic analysis and development of species-specific PCR assays based on ITS-1 region of rRNA in bovine Eimeria parasites. Vet. Parasitol. 2010, 174, 49–57. [Google Scholar] [CrossRef]
- Sivaseelan, S.; Vijayakumar, S.; Malmarugan, S.; Balachandran, P.; Balasubramaniam, G.A. Assessment of predisposing effect of coccidiosis to necrotic enteritis in broiler chickens. Vet. Arh. 2013, 83, 653–665. [Google Scholar]
- Kumar, S.; Garg, R.; Moftah, A.; Clark, E.L.; Macdonald, S.E.; Chaudhry, A.S.; Sparagano, O.; Banerjee, P.S.; Kundu, K.; Tomley, F.M.; et al. An optimised protocol for molecular identification of Eimeria from chickens. Vet. Parasitol. 2014, 199, 24–31. [Google Scholar] [CrossRef]
- Haug, A.; Thebo, P.; Mattsson, J.G. A simplified protocol for molecular identification of Eimeria species in field samples. Vet. Parasitol. 2007, 146, 35–45. [Google Scholar] [CrossRef]
- Zakon o Dobrobiti Životinja: Službeni Glasnik Republike Srbije, 41/2009. 2 June 2009. Available online: https://www.pravno-informacioni-sistem.rs/SlGlasnikPortal/eli/rep/sgrs/skupstina/zakon/2009/41/16/reg (accessed on 21 February 2019).
- Györke, A.; Pop, L.; Cozma, V. Prevalence and distribution of Eimeria species in broiler chicken farms of different capacities. Parasite 2013, 20, 50. [Google Scholar] [CrossRef] [PubMed]
- López-Osorio, S.; Chaparro-Gutiérrez, J.J.; Gómez-Osorio, L.M. Overview of poultry Eimeria life cycle and host-parasite interactions. Front. Vet. Sci. 2020, 7, 384. [Google Scholar] [CrossRef]
- Attree, E.; Sanchez-Arsuaga, G.; Jones, M.; Xia, D.; Marugan-Hernandez, V.; Blake, D.; Tomley, F. Controlling the causative agents of coccidiosis in domestic chickens; an eye on the past and considerations for the future. CABI Agric. Biosci. 2021, 2, 37. [Google Scholar] [CrossRef] [PubMed]
- McDougald, L.R.; Fuller, L.; Mattiello, R. A survey of coccidia on 43 poultry farms in Argentina. Avian Dis. 1997, 41, 923–929. [Google Scholar] [CrossRef]
- Johnson, J.; Reid, W.M. Anticoccidial drugs: Lesion scoring techniques in battery and floor-pen experiments with chickens. Exp. Parasitol. 1970, 28, 30–36. [Google Scholar] [CrossRef]
- Carvalho, F.S.; Wenceslau, A.A.; Teixeira, M.; Carneiro, J.A.M.; Melo, A.D.B.; Albuquerque, G.R. Diagnosis of Eimeria species using traditional and molecular methods in field studies. Vet. Parasitol. 2011, 176, 95–100. [Google Scholar] [CrossRef] [PubMed]
- Brown Jordan, A.; Blake, D.; Beard, J.; Beharry, A.; Serrette, L.; Soleyn, A.; Sookhoo, J.; Blake, L.; Brown, G.; Oura, C. Molecular identification of Eimeria species in broiler chickens in Trinidad, West Indies. Vet. Sci. 2018, 5, 12. [Google Scholar] [CrossRef]
- Prescott, J.F.; Smyth, J.A.; Shojadoost, B.; Vince, A. Experimental reproduction of necrotic enteritis in chickens: A review. Avian Pathol. 2016, 45, 317–322. [Google Scholar] [CrossRef]
- Adhikari, P.; Kiess, A.; Adhikari, R.; Jha, R. An approach to alternative strategies to control avian coccidiosis and necrotic enteritis. J. Appl. Poult. Res. 2020, 29, 515–534. [Google Scholar] [CrossRef]
- Shirzad, M.R.; Seifi, S.; Gheisari, H.R.; Hachesoo, B.A.; Habibi, H.; Bujmehrani, H. Prevalence and risk factors for subclinical coccidiosis in broiler chicken farms in Mazandaran province, Iran. Trop. Anim. Health Prod. 2011, 43, 1601–1604. [Google Scholar] [CrossRef]
- Cornell, K.A.; Smith, O.M.; Crespo, R.; Jones, M.S.; Crossley, M.S.; Snyder, W.E.; Owen, J.P. Prevalence patterns for enteric parasites of chickens managed in open environments of the Western United States. Avian Dis. 2022, 66, 60–68. [Google Scholar] [CrossRef]
- Geng, T.; Ye, C.; Lei, Z.; Shen, B.; Fang, R.; Hu, M.; Zhao, J.; Zhou, Y. Prevalence of Eimeria parasites in the Hubei and Henan provinces of China. Parasitol. Res. 2021, 120, 655–663. [Google Scholar] [CrossRef] [PubMed]
- Ogedengbe, J.D.; Hunter, D.B.; Barta, J.R. Molecular identification of Eimeria species infecting market-age meat chickens in commercial flocks in Ontario. Vet. Parasitol. 2011, 178, 350–354. [Google Scholar] [CrossRef] [PubMed]
- Williams, R.B. Quantification of the crowding effect during infections with the seven Eimeria species of the domesticated fowl: Its importance for experimental designs and the production of oocyst stocks. Int. J. Parasitol. 2001, 31, 1056–1069. [Google Scholar] [CrossRef] [PubMed]
- Ter Veen, C.; De Bruijn, N.D.; Dijkman, R.; De Wit, J.J. Prevalence of histopathological intestinal lesions and enteric pathogens in Dutch commercial broilers with time. Avian Pathol. 2017, 46, 95–105. [Google Scholar] [CrossRef]
- Haug, A.; Gjevre, A.G.; Thebo, P.; Mattsson, J.G.; Kaldhusdal, M. Coccidial infections in commercial broilers: Epidemiological aspects and comparison of Eimeria species identification by morphometric and polymerase chain reaction techniques. Avian Pathol. 2008, 37, 161–170. [Google Scholar] [CrossRef]
- Cicek, H.; Cicek, H.; Keleş, H.; Tandoğan, M.; Eser, M. The Prevalence of Clinical Coccidiosis and the Estimation of the Costs of Disease Control and Treatment in Broiler Production. Kafkas Univ. Vet. Fak. Derg. 2016, 22, 525–528. [Google Scholar] [CrossRef]
- Adamu, M. Evaluation of risk factors associated with coccidiosis in broiler farms of selected towns of Ethiopia. Afr. J. Basic. Appl. Sci. 2015, 7, 34–40. [Google Scholar]
- Ahad, S.; Tanveer, S.; Malik, T.A. Seasonal impact on the prevalence of coccidian infection in broiler chicks across poultry farms in the Kashmir valley. J. Parasit. Dis. 2015, 39, 736–740. [Google Scholar] [CrossRef]
- Al-Gawad, A.A.; Mahdy, O.A.; El-Massry, A.A.; Al-Aziz, M.S. Studies on coccidia of Egyptian Balady breed chickens. Life. Sci. J. 2012, 9, 568–576. [Google Scholar]
- Fatoba, A.J.; Zishiri, O.T.; Blake, D.P.; Peters, S.O.; Lebepe, J.; Mukaratirwa, S.; Adeleke, M.A. Study on the prevalence and genetic diversity of Eimeria species from broilers and free-range chickens in KwaZulu-Natal province, South Africa. Onderstepoort J. Vet. Res. 2020, 87, 1–10. [Google Scholar] [CrossRef] [PubMed]
- da Silva, J.T.; Alvares, F.B.V.; de Lima, E.F.; da Silva Filho, G.M.; da Silva, A.L.P.; Lima, B.A.; Feitosa, T.F.; Vilela, V.L.R. Prevalence and diversity of Eimeria spp. in free-range chickens in northeastern Brazil. Front. Vet. Sci. 2022, 9, 1031330. [Google Scholar] [CrossRef] [PubMed]
- Morgan, J.A.T.; Morris, G.M.; Wlodek, B.M.; Byrnes, R.; Jenner, M.; Constantinoiu, C.C.; Anderson, G.R.; Lew-Tabor, A.E.; Molloy, J.B.; Gasser, R.B.; et al. Real-time polymerase chain reaction (PCR) assays for the specific detection and quantification of seven Eimeria species that cause coccidiosis in chickens. Mol. Cell. Probes 2009, 23, 83–89. [Google Scholar] [CrossRef]
- Adeyemi, O.S.; Olatoye, I.O.; Oladele, D.O.; Adejimi, J.O.; Ogundipe, G.A.T. Morphometric and molecular identification of Eimeria species from commercial chickens in Nigeria. J. Dairy Vet. Anim. Res. 2020, 9, 104–108. [Google Scholar]
- Sharma, B. Poultry production, management and bio-security measures. J. Agric. Environ. 2010, 11, 120–125. [Google Scholar] [CrossRef]
- Khan, M.Q.; Irshad, H.; Anjum, R.; Jahangir, M.; Nasir, U. Eimeriosis in poultry of Rawalpindi/Islamabad area. Pak. Vet. J. 2006, 26, 85–87. [Google Scholar]
- Davou, M.G.; Kumbish, P.R.; Barde, I.J.; Ahmed, J.S.; Olabode, H.O.K.; Wungak, Y.S. A Retrospective Study on Chicken Coccidiosis in Ilorin, Kwara State, Nigeria. Direct Res. J. Agric. Food Sci. 2015, 3, 93–97. [Google Scholar]
- Williams, R.B. Epidemiological studies of coccidiosis in the domesticated fowl (Gallus gallus): II. Physical condition and survival of Eimeria acervulina oocysts in poultry-house litter. Appl. Parasitol. 1995, 36, 90–96. [Google Scholar]
- Graat, E.A.M.; Van der Kooij, E.; Frankena, K.; Henken, A.M.; Smeets, J.F.M.; Hekerman, M.T.J. Quantifying risk factors of coccidiosis in broilers using on-farm data based on a veterinary practice. Prev. Vet. Med. 1998, 33, 297–308. [Google Scholar] [CrossRef]



| Eimeria Species | Primer Name | Primer Sequence | Expected Amplicon Size (bp) | Annealing Temperature (°C) |
|---|---|---|---|---|
| E. acervulina | EAF2 EAR3 | 5′-GGGCTTGGATGATGTTTGCTG-3′ 5′-GCAATGATGCTTGCACAGTCAGG-3′ | 145 | 65 |
| E. brunetti | EBF5 EBR3 | 5′-CTGGGGCTGCAGCGACAGGG-3′ 5′-ATCGATGGCCCCATCCCGCAT-3′ | 183 | 58 |
| E. maxima | EmaF EmaR | 5′-GTGGGACTGTGGTGATGGGG-3′ 5′-ACCAGCATGCGCTCACAACCC-3′ | 205 | 65 |
| E. mitis | EmiF2 EmiR3 | 5′-GTTTATTTCCTGTCGTCGTCTCGC-3′ 5′-GTATGCAAGAGAGAATCGGGATTCC-3′ | 330 | 65 |
| E. necatrix | ENF4 ENR3 | 5′-AGTATGGGCGTGAGCATGGAG-3′ 5′-GATCAGTCTCATCATAATTCTCGCG-3′ | 160 | 58 |
| E. praecox | EPF2 EPR3 | 5′-CATCGGAATGGCTTTTTGAAAGCG-3′ 5′-GCATGCGCTAACAACTCCCCTT-3′ | 215 | 65 |
| E. tenella | ETF2 ETR | 5′-AATTTAGTCCATCGCAACCCTTG-3′ 5′-CGAGCGCTCTGCATACGACA-3′ | 278 | 65 |
| Biosecurity Measures | |
|---|---|
| Application of the “all in all out” principle? | Is there a vestibule in the poultry house? |
| Is there a “rest” period for the facility lasting for at least 14 days? | Are disinfection, disinsection and deratisation measures implemented regularly? |
| Is the farm fenced? | Are carcasses properly disposed of? |
| Is the farm yard hygiene on a satisfactory level? | Is feeding, drinking and ventilation equipment properly washed and disinfected? |
| Are there disinfection barriers for vehicles? | |
| Are there disinfection barriers for people? | Is there a control of visitors who enter the farm? |
| Do farm workers change their clothes before entering the farm? | Is stocking density more than 15 chickens per square meter? |
| Farm Type | Positive Flocks | ||||||||
|---|---|---|---|---|---|---|---|---|---|
| Flock Mark | Age (Days) | McMaster Technique | Molecular Identification by PCR | Single Infection | Mixed Infection | ||||
| OPG | E. acervulina | E. maxima | E. mitis | E. tenella | |||||
| Small-sized farms (<5000 chickens) | MS | 21 | 142,100 | + | + | − | + | − | + |
| CA | 27 | 95,000 | − | − | − | + | + | − | |
| DB | 25 | 74,350 | − | − | − | + | + | − | |
| EV | 24 | 68,750 | + | − | + | − | − | + | |
| CS | 30 | 112,400 | + | + | − | − | − | + | |
| JR | 35 | 121,550 | + | − | + | + | − | + | |
| ZK | 30 | 12,450 | + | + | − | + | − | + | |
| MN | 37 | 28,900 | + | − | + | − | − | + | |
| NN | 28 | 36,250 | − | − | − | + | + | − | |
| PV | 27 | 1750 | + | − | − | + | − | + | |
| SK | 28 | 11,200 | − | + | − | − | + | − | |
| TA | 34 | 24,650 | + | − | + | + | − | + | |
| HI | 22 | 17,700 | + | − | + | + | − | + | |
| PL | 24 | 42,100 | − | − | − | + | + | − | |
| RV | 26 | 22,300 | − | + | − | − | + | − | |
| TI | 29 | 6400 | + | − | − | + | − | + | |
| ZU | 32 | 31,200 | + | − | + | + | − | + | |
| FK | 26 | 29,450 | + | − | − | + | − | + | |
| Number of infected flocks Mean ± SD (%) | 18/28 (64.3%) | 12 ± 0.49 a (42.8%) | 5 ± 0.46 b (17.8%) | 6 ± 0.49 b (21.4%) | 13 ± 0.46 a (46.4%) | 6 (21.4%) | 12 (42.8%) | ||
| Farm Type | Positive Flocks | ||||||||
|---|---|---|---|---|---|---|---|---|---|
| Flock Mark | Age (Days) | McMaster Technique | Molecular Identification by PCR | Single Infection | Mixed Infection | ||||
| OPG | E. acervulina | E. maxima | E. mitis | E. tenella | |||||
| Medium-sized farms (5000–10,000 chickens) | RJ | 23 | 38,500 | + | + | − | + | − | + |
| LJ | 25 | 13,100 | + | − | + | + | − | + | |
| BD | 36 | 8750 | + | − | − | − | + | − | |
| BR | 21 | 23,200 | − | + | + | + | − | + | |
| CM | 37 | 60,150 | − | − | − | + | + | − | |
| BB | 28 | 12,550 | + | − | + | + | − | + | |
| FG | 30 | 7650 | + | + | − | + | − | + | |
| JN | 22 | 11,300 | + | − | + | + | − | + | |
| KN | 38 | 9350 | − | − | − | + | + | − | |
| LO | 21 | 31,900 | + | + | − | + | − | + | |
| MB | 29 | 14,100 | − | − | − | + | + | − | |
| SB | 34 | 16,950 | + | − | + | + | − | + | |
| SF | 33 | 34,000 | + | − | + | + | − | + | |
| VP | 34 | 26,150 | − | + | + | + | − | + | |
| ML | 36 | 2850 | − | − | − | + | + | − | |
| LN | 30 | 4750 | + | − | + | + | − | + | |
| LM | 29 | 8250 | + | − | − | + | − | + | |
| DL | 27 | 12,000 | − | + | − | + | − | + | |
| CV | 27 | 5450 | − | − | − | + | + | − | |
| NJ | 22 | 29,250 | + | − | + | + | − | + | |
| OM | 28 | 15,350 | + | − | − | + | − | + | |
| Number of infected flocks Mean ± SD (%) | 21/34 (61.8%) | 13 ± 0.50 b (38.2%) | 6 ± 0.46 c (17.6%) | 9 ± 0.51 bc (26.5%) | 20 ± 0.22 a (58.8%) | 6 (17.6%) | 15 (44.1%) | ||
| Farm Type | Positive Flocks | ||||||||
|---|---|---|---|---|---|---|---|---|---|
| Flock Mark | Age (Days) | McMaster Technique | Molecular Identification by PCR | Single Infection | Mixed Infection | ||||
| OPG | E. acervulina | E. maxima | E. mitis | E. tenella | |||||
| Large-sized farms (>10,000 chickens) | TF | 27 | 20,550 | + | + | − | + | − | + |
| PP | 25 | 6150 | − | − | − | + | + | − | |
| VF | 25 | 9600 | + | − | + | + | − | + | |
| OI | 29 | 74,200 | + | − | + | − | − | + | |
| PC | 34 | 41,000 | + | + | − | + | − | + | |
| MZ | 33 | 52,700 | − | − | − | + | + | − | |
| PK | 34 | 40,450 | + | + | − | + | − | + | |
| MP | 26 | 66,650 | + | − | + | − | − | + | |
| FV | 22 | 28,250 | − | − | − | + | + | − | |
| SM | 28 | 49,200 | + | − | + | + | − | + | |
| IA | 21 | 11,050 | − | + | + | − | − | + | |
| DM | 26 | 19,400 | + | − | + | + | − | + | |
| ZV | 28 | 27,350 | + | + | − | + | − | + | |
| MT | 32 | 1950 | − | − | − | + | + | − | |
| VD | 35 | 8700 | + | − | + | + | − | + | |
| VA | 29 | 56,700 | − | − | − | + | + | − | |
| MD | 30 | 20,200 | + | − | − | − | + | − | |
| GK | 24 | 15,050 | − | − | + | + | − | + | |
| GK | 25 | 17,100 | − | + | + | − | − | + | |
| BF | 24 | 24,600 | + | − | + | + | − | + | |
| Number of infected flocks Mean ± SD (%) | 20/38 (52.6%) | 12 ± 0.50 ab (31.6%) | 6 ± 0.47 b (15.8%) | 10 ± 0.51 ab (26.3%) | 15 ± 0.44 a (39.5%) | 6 (15.8%) | 14 (36.8%) | ||
| Farm Type | OPG Mean ± SD |
|---|---|
| Small-sized farms | 4.49 ± 0.49 a |
| Medium-sized farms | 4.15 ± 0.33 b |
| Large-sized farms | 4.34 ± 0.39 ab |
| Eimeria Species | Number of Infected Flocks Mean ± SD | Prevalence (%) | Prevalence in Relation to the Total Number of Infected Flocks (%) |
|---|---|---|---|
| E. acervulina | 37 ± 0.49 ab | 37.0 | 62.71 |
| E. maxima | 17 ± 0.38 c | 17.0 | 28.81 |
| E. mitis | 25 ± 0.44 bc | 25.0 | 42.37 |
| E. tenella | 48 ± 0.50 a | 48.0 | 81.35 |
Disclaimer/Publisher’s Note: The statements, opinions and data contained in all publications are solely those of the individual author(s) and contributor(s) and not of MDPI and/or the editor(s). MDPI and/or the editor(s) disclaim responsibility for any injury to people or property resulting from any ideas, methods, instructions or products referred to in the content. |
© 2023 by the authors. Licensee MDPI, Basel, Switzerland. This article is an open access article distributed under the terms and conditions of the Creative Commons Attribution (CC BY) license (https://creativecommons.org/licenses/by/4.0/).
Share and Cite
Pajić, M.; Todorović, D.; Knežević, S.; Prunić, B.; Velhner, M.; Andrić, D.O.; Stanimirovic, Z. Molecular Investigation of Eimeria Species in Broiler Farms in the Province of Vojvodina, Serbia. Life 2023, 13, 1039. https://doi.org/10.3390/life13041039
Pajić M, Todorović D, Knežević S, Prunić B, Velhner M, Andrić DO, Stanimirovic Z. Molecular Investigation of Eimeria Species in Broiler Farms in the Province of Vojvodina, Serbia. Life. 2023; 13(4):1039. https://doi.org/10.3390/life13041039
Chicago/Turabian StylePajić, Marko, Dalibor Todorović, Slobodan Knežević, Bojana Prunić, Maja Velhner, Dušica Ostojić Andrić, and Zoran Stanimirovic. 2023. "Molecular Investigation of Eimeria Species in Broiler Farms in the Province of Vojvodina, Serbia" Life 13, no. 4: 1039. https://doi.org/10.3390/life13041039
APA StylePajić, M., Todorović, D., Knežević, S., Prunić, B., Velhner, M., Andrić, D. O., & Stanimirovic, Z. (2023). Molecular Investigation of Eimeria Species in Broiler Farms in the Province of Vojvodina, Serbia. Life, 13(4), 1039. https://doi.org/10.3390/life13041039

