Severe Course of COVID-19 and Long-COVID-19 in Children: Difficulties in Diagnosis
Abstract
1. Introduction
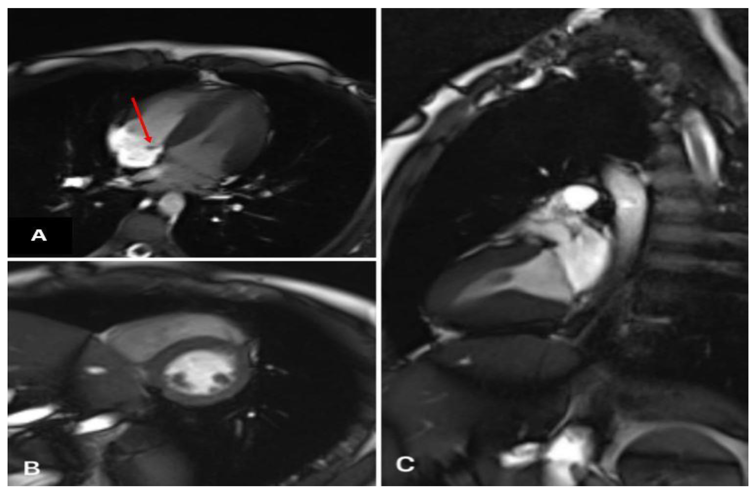
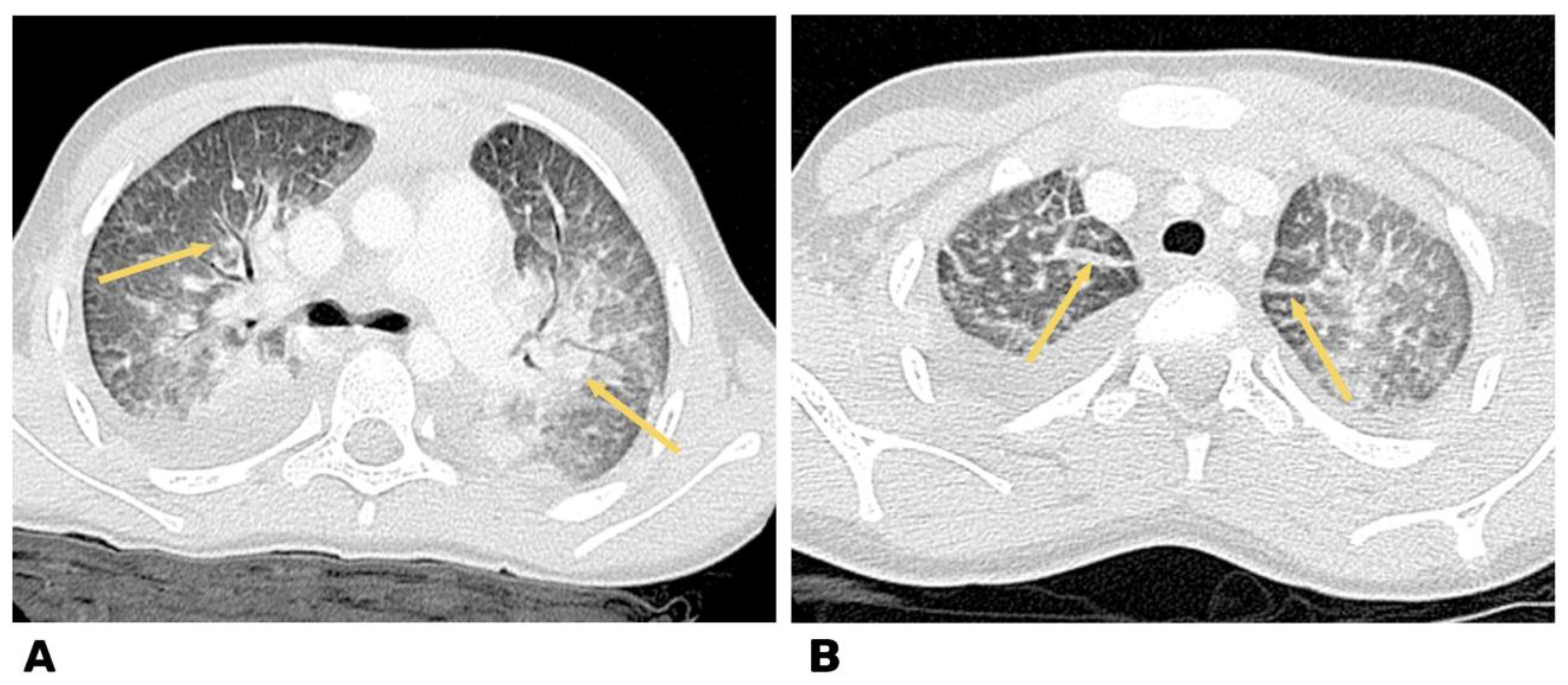
2. Case 1
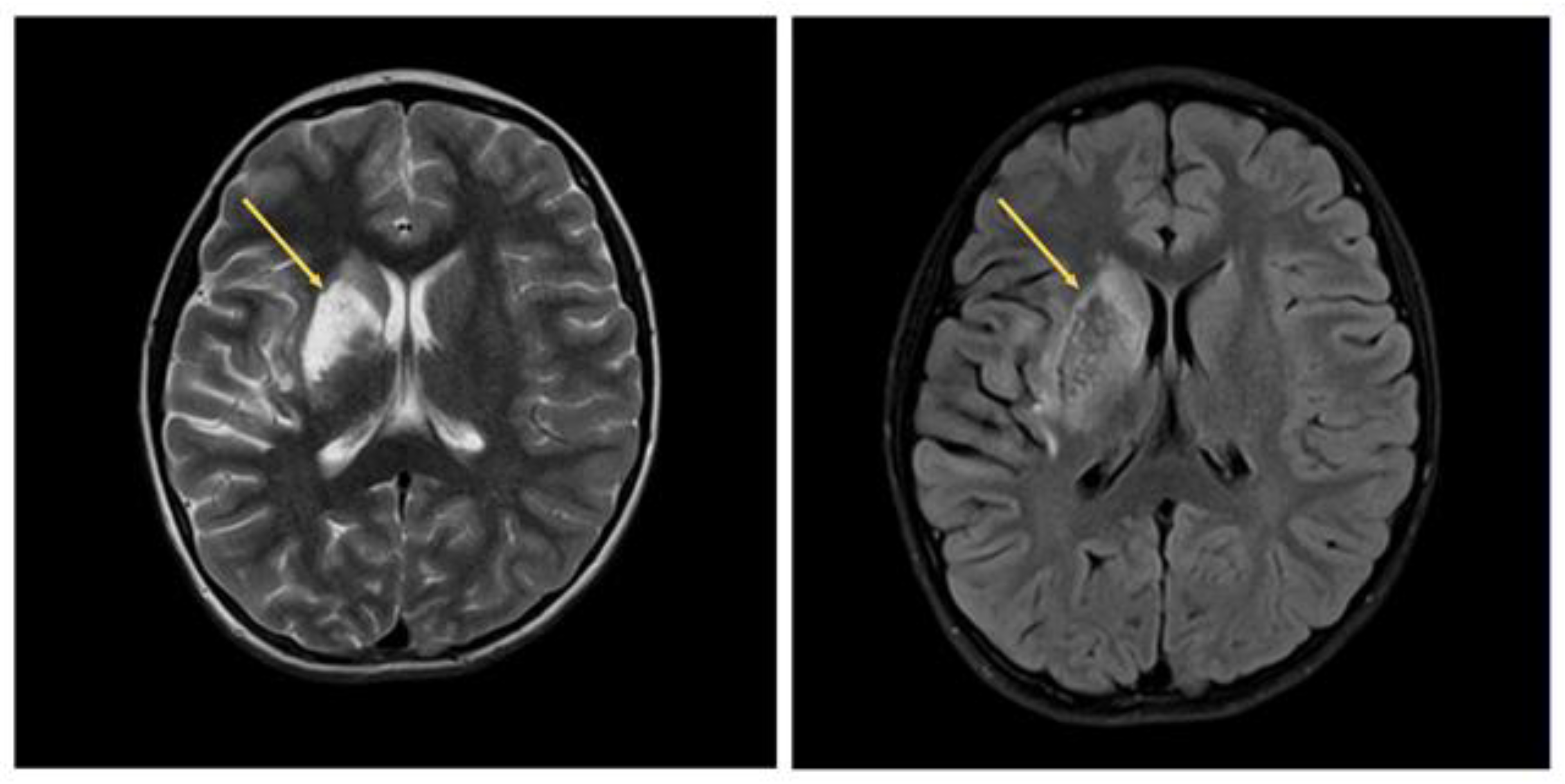
2.1. Examination Data
2.2. Substantiation of Diagnosis
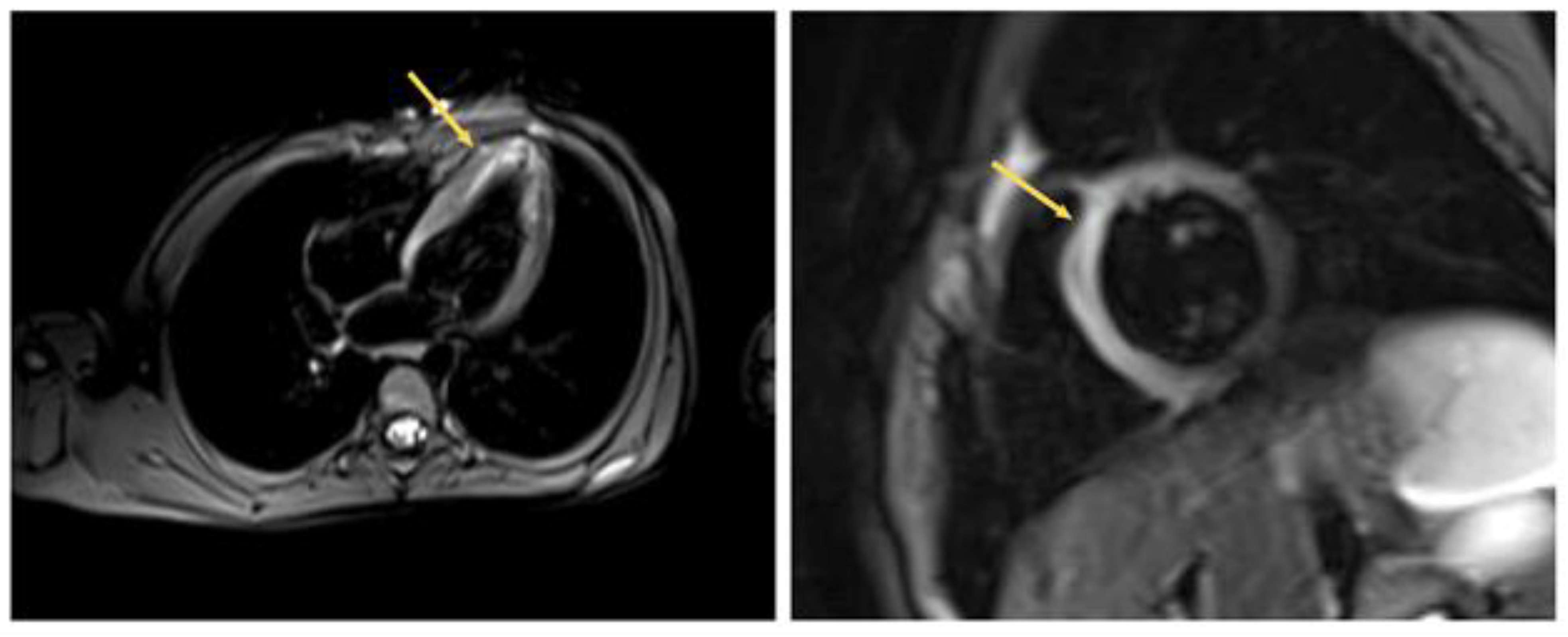
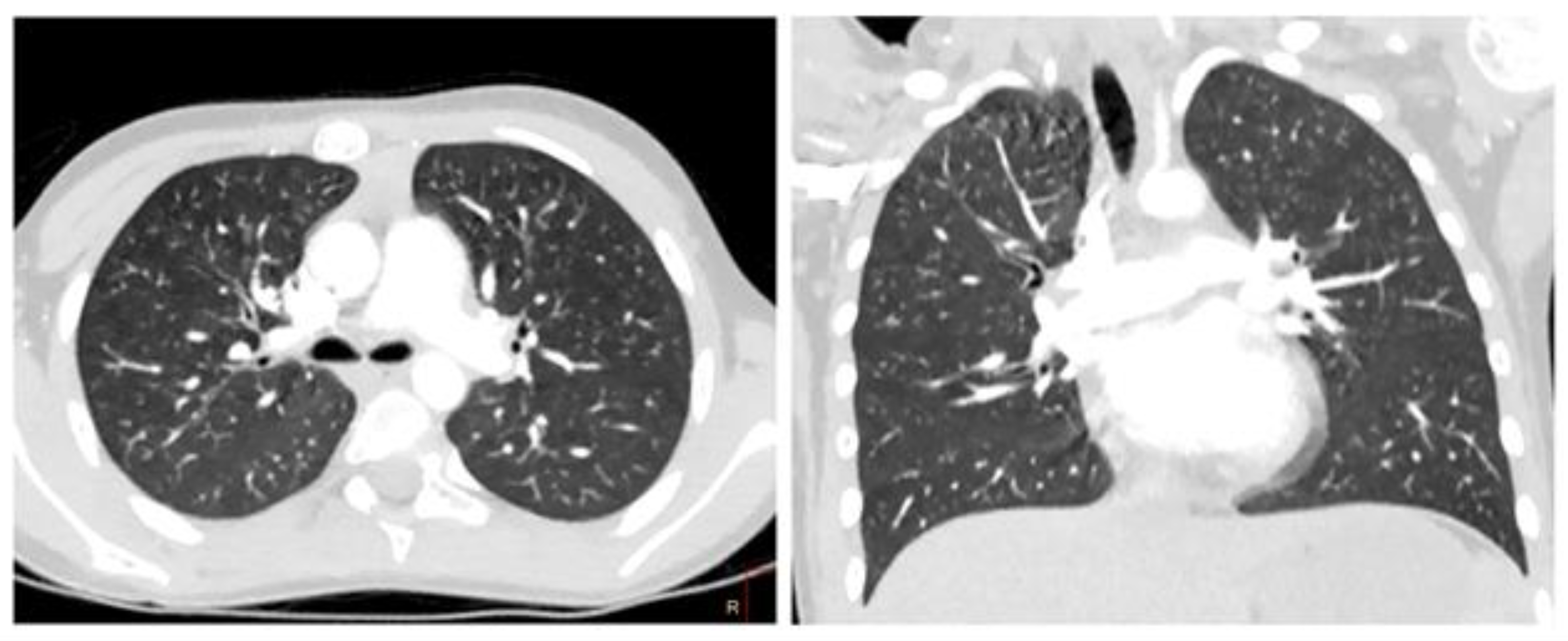
3. Case 2
4. Discussion
5. Conclusions
Author Contributions
Funding
Informed Consent Statement
Data Availability Statement
Conflicts of Interest
References
- Huang, C.; Wang, Y.; Li, X.; Ren, L.; Zhao, J.; Hu, Y.; Zhang, L.; Fan, G.; Xu, J.; Gu, X.; et al. Clinical features of patients infected with 2019 novel coronavirus in Wuhan, China. Lancet 2020, 395, 497–506. [Google Scholar] [CrossRef] [PubMed]
- Starshinova, A.A.; Kushnareva, E.A.; Malkova, A.M.; Dovgalyuk, I.F.; Kudlay, D.A. New coronavirus infection: Features of the clinical course, the possibilities of diagnosis, treatment and prevention of infection in adults and children. Quest. Mod. Pediatr. 2020, 19, 42–50. [Google Scholar]
- WHO. Coronavirus Disease (COVID-19) Pandemic; WHO: Geneva, Switzerland, 2020; Available online: https://www.who.int/emergencies/diseases/novel-coronavirus-2019 (accessed on 1 March 2020).
- Liu, K.; Fang, Y.Y.; Deng, Y.; Liu, W.; Wang, M.F.; Ma, J.P.; Xiao, W.; Wang, Y.N.; Zhong, M.H.; Li, C.H.; et al. Clinical characteristics of novel coronavirus cases in tertiary hospitals in Hubei Province. Chin. Med. J. 2020, 133, 1025–1031. [Google Scholar] [CrossRef] [PubMed]
- Kompaniyets, L.; Bull-Otterson, L.; Boehmer, K.T.; Sarah Baca, S.; Alvarez, P.; Hong, K.; Hsu, J.; Harris, A.M.; Gundlapalli, A.V.; Saydah, S. Post–COVID-19 Symptoms and Conditions Among Children and Adolescents—United States, 1 March 2020–31 January 2022. MMWR 2022, 71, 993–999. [Google Scholar] [CrossRef] [PubMed]
- Yong, S.J. Long COVID or post-COVID-19 syndrome: Putative pathophysiology, risk factors, and treatments. Infect. Dis. 2021, 53, 737–754. [Google Scholar] [CrossRef] [PubMed]
- Malkova, A.M.; Kudlay, D.A.; Kudryavtsev, I.V.; Starshinova, A.A.; Yablonsky, P.K.; Shoenfeld, Y. Immunogenetic predictors of severe COVID-19. Vaccines 2021, 9, 211. [Google Scholar] [CrossRef]
- Wang, L.; Berger, N.A.; Kaelber, D.C.; Pamela BDavis, P.B.; Volkow, N.D.; Xu, R. Comparison of outcomes from COVID infection in pediatric and adult patients before and after the emergence of Omicron. medRxiv 2022. [Google Scholar] [CrossRef]
- Price, A.M.; Olson, S.M.; Newhams, M.M.; Halasa, N.B.; Boom, J.A.; Sahni, L.C.; Pannaraj, P.S.; Irby, K.; Bline, K.E.; Maddux, A.B.; et al. BNT162b2 Protection against the Omicron Variant in Children and Adolescents. N. Engl. J. Med. 2022, 386, 1899–1909. [Google Scholar] [CrossRef]
- Starshinova, A.A.; Malkova, A.M.; Zinchenko, Y.u.S.; Kudlay, D.A.; Glushkova, A.V.; Dovgalyk, I.; Yablonskiy, P.; Shoenfeld, Y. Efficacy of different types of therapy for covid-19: A comprehensive review. Life 2021, 11, 753. [Google Scholar] [CrossRef]
- Melekhina, E.V.; Gorelov, A.V.; Muzyka, A.D. Clinical features of the course of COVID-19 in children of different age groups. Literature review by early April 2020. Quest. Pract. Pediatr. 2020, 15, 7–20. [Google Scholar] [CrossRef]
- Tagarro, A.; Epalza, C.; Santos, M.; Sanz-Santaeufemia, F.J.; Otheo, E.; Moraleda, C.; Calvo, C. Screening and severity of Coronavirus disease 2019 (COVID-19) in children in Madrid, Spain. JAMA Pediatr. 2021, 175, 316–317. [Google Scholar] [CrossRef] [PubMed]
- Radia, T.; Williams, N.; Agrawal, P.; Harman, K.; Weale, J.; Cook, J.; Gupta, A. Multi-system inflammatory syndrome in children & adolescents (MIS-C): A systematic review of clinical features and presentation. Paediatr. Respir. Rev. 2021, 38, 51–57. [Google Scholar] [CrossRef] [PubMed]
- Hoste, L.; Van Paemel, R.; Haerynck, F. Multisystem inflammatory syndrome in children related to COVID-19: A systematic review. Eur. J. Pediatr. 2021, 180, 2019–2034. [Google Scholar] [CrossRef] [PubMed]
- Jiang, L.; Tang, K.; Irfan, O.; Li, X.; Zhang, E.; Bhutta, Z. Epidemiology, Clinical Features, and Outcomes of Multisystem Inflammatory Syndrome in Children (MIS-C) and Adolescents-a Live Systematic Review and Meta-analysis. Curr. Pediatr. Rep. 2022, 10, 19–30. [Google Scholar] [CrossRef]
- Irfan, O.; Muttalib, F.; Tang, K.; Jiang, L.; Lassi, Z.S.; Bhutta, Z. Clinical characteristics, treatment and outcomes of pediatric COVID-19: A systematic review and meta-analysis. Arch. Dis. Child. 2021, 106, 440–448. [Google Scholar] [CrossRef] [PubMed]
- Dolinger, M.T.; Person, H.; Smith, R.; Jarchin, L.; Pittman, N.; Dubinsky, M.C.; Lai, J. Pediatric Crohn Disease and Multisystem Inflammatory Syndrome in Children (MIS-C) and COVID-19 Treated with Infliximab. J. Pediatr. Gastroenterol. Nutr. 2020, 71, 153–155. [Google Scholar] [CrossRef]
- Center for Disease Control and Prevention. Multisystem Inflammatory Syndrome in Children (MIS-C). 2021. Available online: https://www.cdc.gov/mis-c/cases (accessed on 18 March 2022).
- Centers for Disease Control and Prevention. MIS-C and COVID-19. Available online: https://www.cdc.gov/mis-c/ (accessed on 15 January 2022).
- Royal College of Pediatrics and Child Health Guidance: Pediatric Multisystem Inflammatory Syndrome Temporally Associated with COVID-19. Available online: https://www.rcpch.ac.uk/resources/paediatric-multisystem-inflammatory-syndrome-temporally-associated-covid-19-pims-guidance (accessed on 15 January 2022).
- Novikova, Y.Y.; Ovsyannikov, D.Y.; Glazyrina, A.A.; Zhdanova, O.I.; Zvereva, N.N.; Karpenko, M.A.; Kryshova, E.S.; Kurbanova, S.K.; Rtishchev, A.Y.; Sayfullin, R.F.; et al. Pediatric multisystem inflammatory syndrome associated with novel coronavirus infection COVID-19: Results of a multicenter study. Pediatrics 2021, 100, 23–31. [Google Scholar] [CrossRef]
- Belozerov, K.E.; Kupreeva, A.D.; Avrusin, I.S.; Masalova, V.V.; Kornishina, T.L.; Isupova, E.A.; Snegireva, L.S.; Kalashnikova, O.V.; Malekov, D.A.; Pozdnyakov, A.V.; et al. Cardiac involvement in patients with SARS-CoV-2-associated multisystem inflammatory syndrome: A description of a clinical case series. Pediatrics 2021, 100, 35–45. [Google Scholar] [CrossRef]
- Ermolaeva, Y.A.; Samoilova, Y.G.; Oleinik, O.A.; Yun, V.E.; Kudlay, D.A. COVID-19 in children: Generalization of world experience. Pediatrics 2022, 101, 80–87. [Google Scholar] [CrossRef]
- Whittaker, E.; Bamford, A.; Kenny, J.; Kaforou, M.; Jones, C.; Shah, P.; Ramnarayan, P.; Fraisse, A.; Miller, O.; Davies, P.; et al. Clinical characteristics of 58 children with a pediatric inflammatory multisystem syndrome temporally associated with SARS-CoV-2. JAMA 2020, 324, 259. [Google Scholar] [CrossRef]
- Wangu, Z.; Swartz, H.; Doherty, M. Multisystem inflammatory syndrome in children (MIS-C) possibly secondary to COVID-19 mRNA vaccination. BMJ Case Rep. 2022, 15, e247176. [Google Scholar] [CrossRef]
- Kozlov, V.A.; Tikhonova, E.P.; Savchenko, A.A.; Kudryavtsev, I.V.; Andronova, N.V.; Anisimova, E.N.; Golovkin, A.S.; Demina, D.V.; Zdzitovetsky, D.E.; Kalinina, Y.U.S.; et al. Clinical Immunology. A Practical Guide for Infectious Disease Specialists; Polikor: Krasnoyarsk, Russia, 2021; 563p. [Google Scholar]
- Kudlay, D.A.; Shirobokov, Y.A.E.; Gladunova, E.P.; Borodulina, E.A. Diagnosis of COVID-19. Methods and problems of detecting the SARS-COV-2 virus in a pandemic. Doctor 2020, 31, 5–10. [Google Scholar] [CrossRef]
- Holm, M.; Hartling, U.B.; Schmidt, L.S.; Glenthøj, J.P.; Kruse, A.; Rytter, M.H.; Lindhard, M.S.; Lawaetz, M.C.; Zaharov, T.; Petersen, J.J.; et al. Multisystem inflammatory syndrome in children occurred in one of four thousand children with severe acute respiratory syndrome coronavirus 2. Acta Paediatr. 2021, 110, 2581–2583. [Google Scholar] [CrossRef] [PubMed]
- Valverde, I.; Singh, Y.; Sanchez-de-Toledo, J.; Theocharis, P.; Chikermane, A.; Di Filippo, S.; Kuciñska, B.; Mannarino, S.; Tamariz-Martel, A.; Gutierrez-Larraya, F.; et al. AEPC COVID-19 Rapid Response Team*. Acute Cardiovascular Manifestations in 286 Children with Multisystem Inflammatory Syndrome Associated with COVID-19 Infection in Europe. Circulation 2021, 143, 21–32. [Google Scholar] [CrossRef] [PubMed]
- Valderas, C.; Méndez, G.; Echeverría, A.; Suarez, N.; Julio, K.; Sandoval, F. COVID-19 and neurological manifestations: A synthesis from the child neurologist’s corner. World J. Pediatr. 2022, 18, 373–382. [Google Scholar] [CrossRef] [PubMed]
- Balykova, L.A.; Vladimirov, D.O.; Krasnopolskaya, A.V.; Soldatov, O.M.; Ivyanskaya, N.V.; Shchekina, N.V. Cardiovascular system damage in children with COVID-19. Pediatrics 2021, 100, 90–98. [Google Scholar] [CrossRef]
- Noval Rivas, M.; Porritt, R.A.; Cheng, M.H.; Bahar, I.; Arditi, M. Multisystem InflammatorySyndrome in Children and Long COVID: The SARS-CoV-2 Viral Superantigen Hypothesis. Front. Immunol. 2022, 13, 941009. [Google Scholar] [CrossRef]
- Ho, J.S.; Sia, C.H.; Chan, M.Y.; Lin, W.; Wong, R.C. Coronavirus induced myocarditis: A meta-summary of cases. Heart Lung 2020, 49, 681–685. [Google Scholar] [CrossRef]
- Gram, M.A.; Emborg, H.D.; Schelde, A.B.; Friis, N.U.; Nielsen, K.F.; Moustsen-Helms, I.R.; Legarth, R.; Lam, J.U.H.; Chaine, M.; Malik, A.Z.; et al. Vaccine effectiveness against SARS-CoV-2 infection or COVID-19 hospitalization with the Alpha, Delta, or Omicron SARS-CoV-2 variant: A nationwide Danish cohort study. PLoS Med. 2022, 19, e1003992. [Google Scholar] [CrossRef]
- Sokunbi, O.; Akinbolagbe, Y.; Akintan, P.; Oyeleke, G.; Kusimo, O.; Owowo, U.; Olonade, E.; Ojo, O.; Ikhazobor, E.; Amund, O.; et al. Clinical presentation and short-term outcomes of multisystemic inflammatory syndrome in children in Lagos, Nigeria during the COVID-19 pandemic: A case series. EClinicalMedicine 2022, 49, 101475. [Google Scholar] [CrossRef]
- Mazankova, L.; Molochkova, O.V.; Kovalev, O.; Shamsheva, O.; Ilyina, N.; Sakharova, A.; Galeeva, E.; Korsunsky, A.; Luzan, P. On the issue of differential diagnosis of bacterial infections and pediatric multisystem inflammatory syndrome during the COVID-19 pandemic. Pediatrics 2021, 100, 162–167. [Google Scholar] [CrossRef]
- Vasichkina, E.; Alekseeva, D.; Kudryavtsev, I.; Glushkova, A.; Starshinova, A.Y.; Malkova, A.; Kudlay, D.; Starshinova, A. COVID-19 Heart Lesions in Children: Clinical, Diagnostic and Immunological Changes. Int. J. Mol. Sci. 2023, 24, 1147. [Google Scholar] [CrossRef] [PubMed]







| WHO Criteria for MIS-C | Whittaker E, 2020 [24] | Kaushik, 2020 [30] | Feldstein, 2020 [31] | Clinical Case 1 | Clinical Case 2 |
|---|---|---|---|---|---|
| (%, Number of Patients with Symptom/Total Number of Patients) | |||||
| 1. Age 0–19 years | 100% (58/58) | 100% (33/33) | no data | + | + |
| 2. Fever ≥ 3 days | 100% (58/58) | 93.9% (31/33) | no data | + | - |
| 3. Clinical signs of a multisystem involvement (at least 2): | 100% (58/58) | 100% (33/33) | no data | + | + |
| Rash, bilateral nonpurulent conjunctivitis, or signs of inflammation of the skin or mucous membranes (mouth, hands, or feet) | rash—51.7% (30/58) conjunctivitis—44.8% (26/58) lesion of mucous membranes—29.3% (17/58) | 100% (33/33) | bilateral non-purulent conjunctivitis—55.3% (103/186) rash—59.2% (110/186) | + | + |
| Hypotension or shock | 50% (29/58) | 63.6% 21/33 | no data | - | - |
| Cardiac dysfunction, pericarditis, valvulitis, or coronary abnormalities (include ECHO signs or elevated levels of troponin/BNP) | coronary artery’s aneurysm 13.7% (8/58) dysfunction LV—62% (18/29) elevation of troponin—68% (34/50) elevation of BNP —82.7% (24/29) | elevation of BNP—50% (16/32) NT-proBNP 16 pericarditis—45.5% (15/33) decrease EF LV < 30%—12.5% (4/32) EF LV 30–50% —53.1% (17/32)ectasia of the coronary artery—6.7% (2/32) | cardiac dysfunction, pericarditis—80.1% (149/186) elevation of troponin—50.3% (77/153) elevation of BNP—73.4% (94/128)coronary artery dilatation—8.1% (15/186) | - | + |
| Signs of coagulopathy (prolongation of prothrombin time, increased levels of D-dimer) | signs of coagulopathy 100% (58/58) | signs of coagulopathy 100% (58/58) | increased levels of D-dimer—66.9% (79/118) | + | + |
| Acute gastrointestinal symptoms (diarrhea, vomiting, or abdominal pain) | vomiting—44.8% (26/58), abdominal pain—53.4% (31/58) diarrhea—51.7% (30/58) | acute gastrointestinal symptoms 100% (33/33) | acute gastrointestinal symptoms—91.9% (171/186) | + | + |
| 4. Elevated levels of inflammatory markers (for example, ESR, CRP, or procalcitonin) | 100% (58/58) | 100% (33/33) | no data | + | + |
| 5. Absence of other known inflammatory reasons, including bacterial sepsis and staphylococcal/streptococcal toxic shock syndrome | 100% (58/58) | 100% (33/33) | no data | + | + |
| 6. Evidence of SARS-CoV-2 infection | 77.5% (45/58) | no data | no data | + | + |
| Positive SARS-CoV-2 PCR | 25.8% (15/58) | no data | no data | - | - |
| Positive serology tests | 86.9% (40/46) | no data | no data | + | + |
| Positive antigen test | no data | no data | no data | - | - |
| Epidemiological data (patient’s contact with COVID-19-positive subject) | n/a | no data | no data | + | + |
Disclaimer/Publisher’s Note: The statements, opinions and data contained in all publications are solely those of the individual author(s) and contributor(s) and not of MDPI and/or the editor(s). MDPI and/or the editor(s) disclaim responsibility for any injury to people or property resulting from any ideas, methods, instructions or products referred to in the content. |
© 2023 by the authors. Licensee MDPI, Basel, Switzerland. This article is an open access article distributed under the terms and conditions of the Creative Commons Attribution (CC BY) license (https://creativecommons.org/licenses/by/4.0/).
Share and Cite
Vasichkina, E.; Kofeynikova, O.; Fetisova, S.; Starshinova, A.Y.; Sheyanova, E.; Vershinina, T.; Ryzhkov, A.; Skripnik, A.; Alekseeva, D.; Nechaeva, E.; et al. Severe Course of COVID-19 and Long-COVID-19 in Children: Difficulties in Diagnosis. Life 2023, 13, 781. https://doi.org/10.3390/life13030781
Vasichkina E, Kofeynikova O, Fetisova S, Starshinova AY, Sheyanova E, Vershinina T, Ryzhkov A, Skripnik A, Alekseeva D, Nechaeva E, et al. Severe Course of COVID-19 and Long-COVID-19 in Children: Difficulties in Diagnosis. Life. 2023; 13(3):781. https://doi.org/10.3390/life13030781
Chicago/Turabian StyleVasichkina, Elena, Olga Kofeynikova, Svetlana Fetisova, Anastasia Y. Starshinova, Elizaveta Sheyanova, Tatiana Vershinina, Anton Ryzhkov, Aleksey Skripnik, Daria Alekseeva, Elizaveta Nechaeva, and et al. 2023. "Severe Course of COVID-19 and Long-COVID-19 in Children: Difficulties in Diagnosis" Life 13, no. 3: 781. https://doi.org/10.3390/life13030781
APA StyleVasichkina, E., Kofeynikova, O., Fetisova, S., Starshinova, A. Y., Sheyanova, E., Vershinina, T., Ryzhkov, A., Skripnik, A., Alekseeva, D., Nechaeva, E., Glushkova, A., Kudlay, D., Pervunina, T., & Starshinova, A. (2023). Severe Course of COVID-19 and Long-COVID-19 in Children: Difficulties in Diagnosis. Life, 13(3), 781. https://doi.org/10.3390/life13030781

