Poorly Differentiated Cutaneous Squamous Cell Carcinoma (cSCC) or Lymphoepithelioma-like Carcinoma of the Skin (LELCS) with Squamous Pearls: A Case Presentation with Emphasis on Histomorphological Features and Classification Debates
Abstract
:1. Introduction
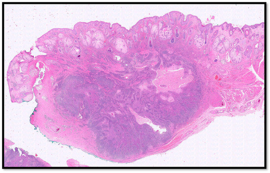
2. Case Presentation
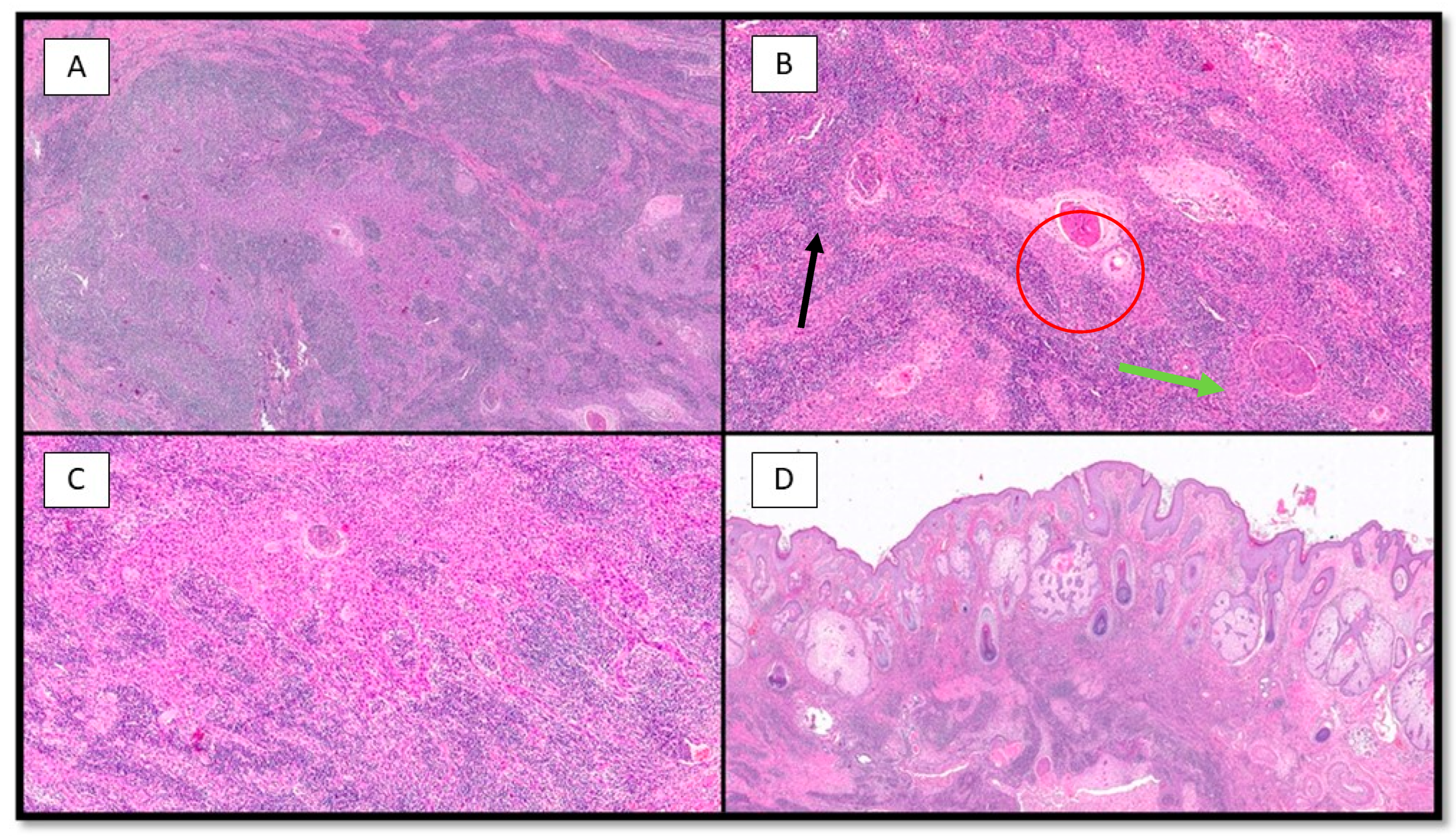
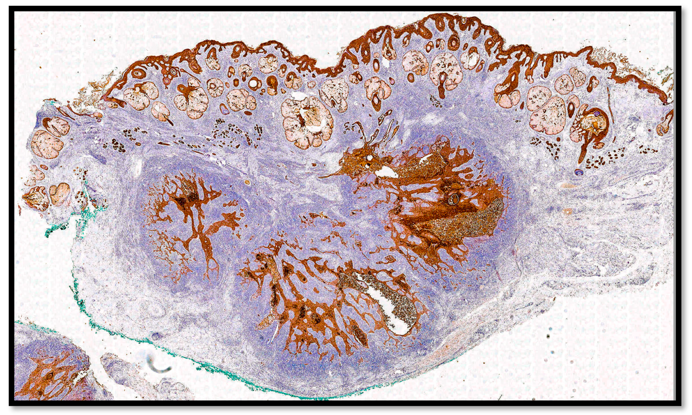
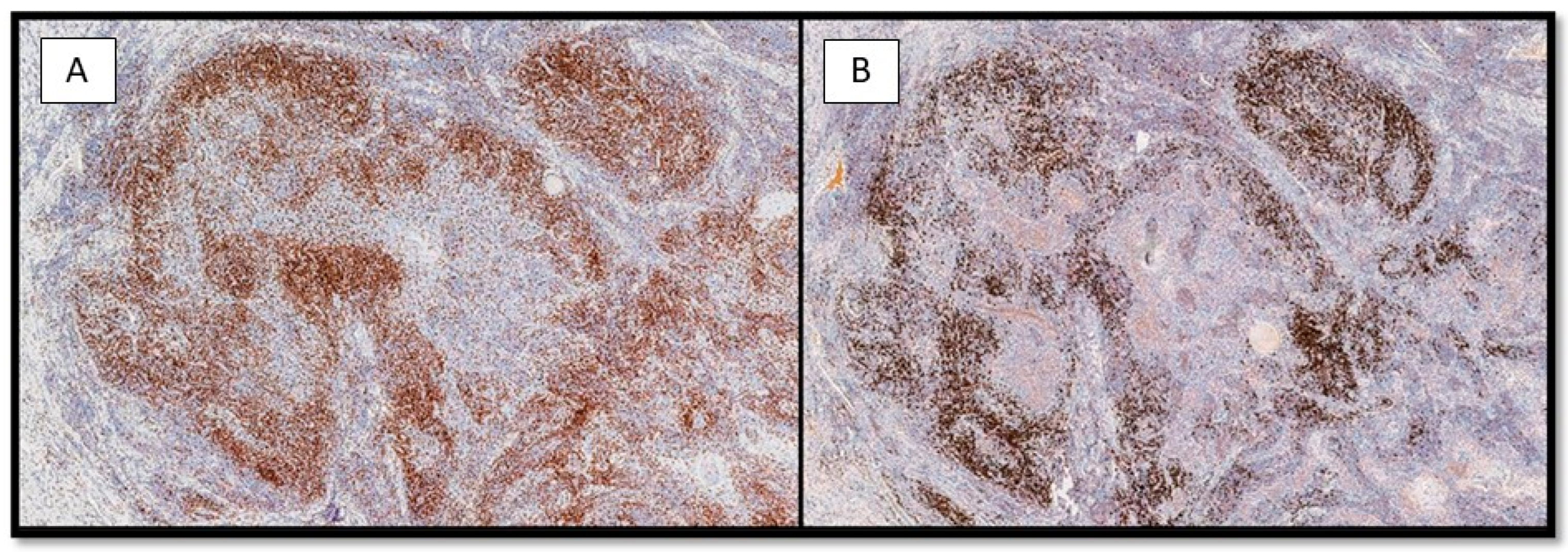
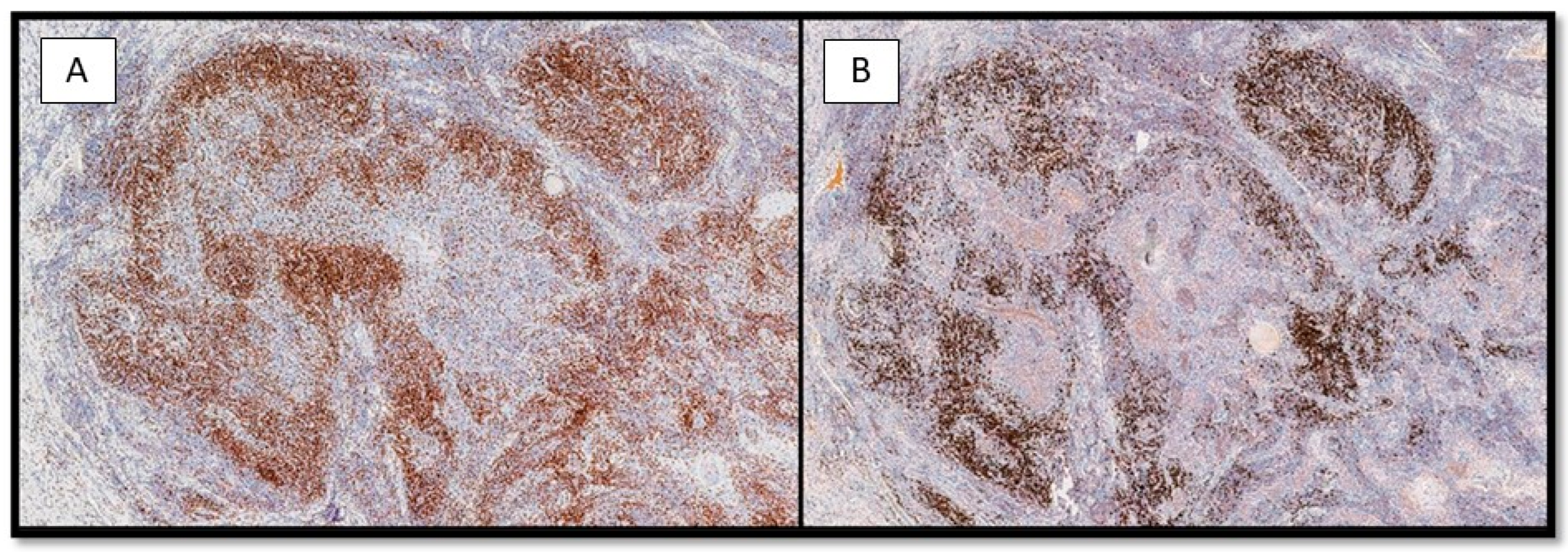
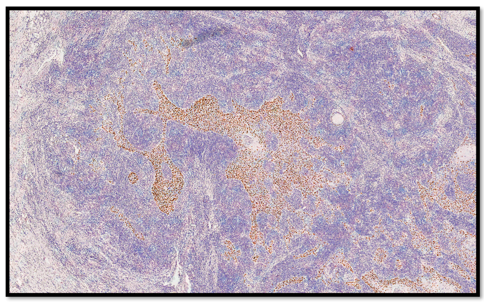
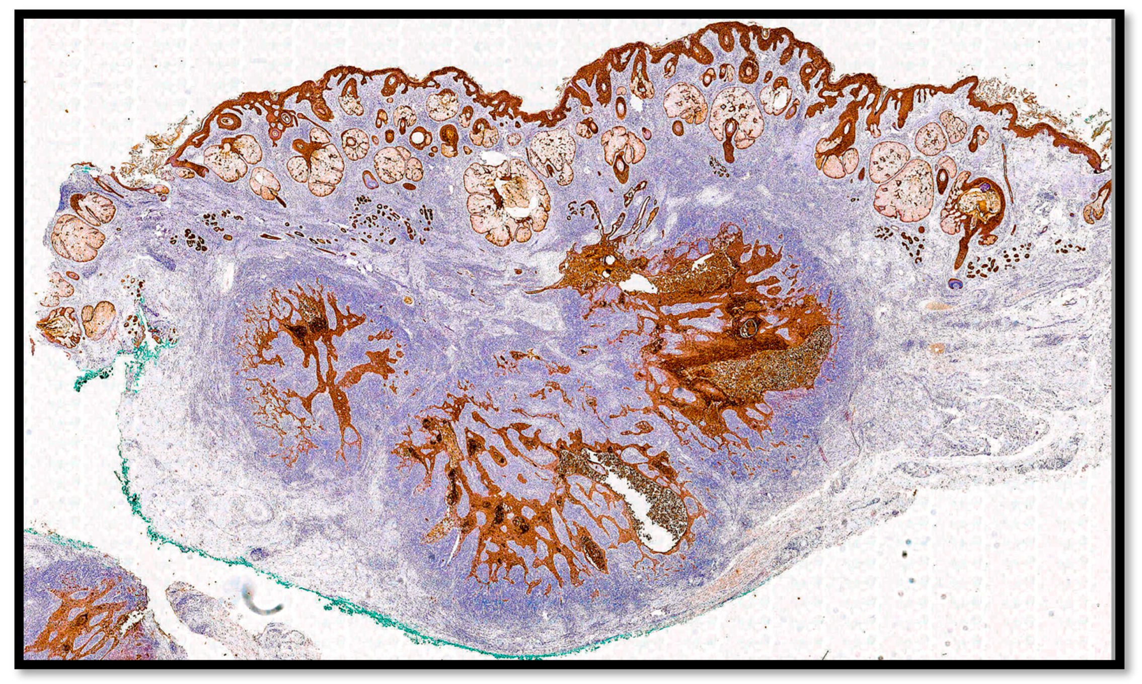
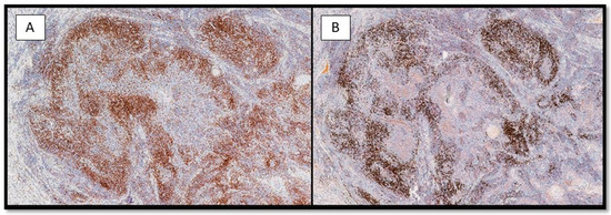
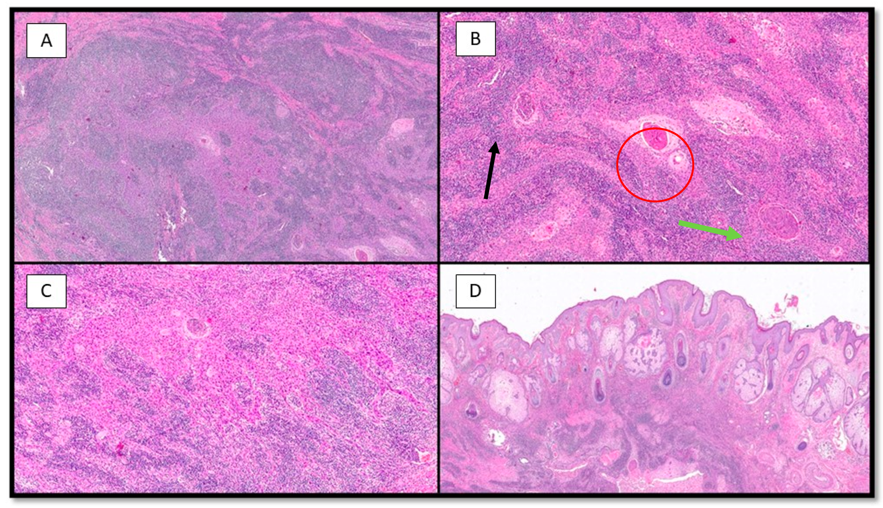
3. Results
4. Discussion
5. Conclusions
Author Contributions
Funding
Institutional Review Board Statement
Informed Consent Statement
Data Availability Statement
Acknowledgments
Conflicts of Interest
References
- Wick, M.R.; Swanson, P.E.; LeBoit, P.E.; Strickler, J.G.; Cooper, P.H. Lymphoepithelioma-like carcinoma of the skin with adnexal differentiation. J. Cutan. Pathol. 1991, 18, 93–102. [Google Scholar] [CrossRef]
- WHO. WHO Classification of Skin Tumours. In WHO Classification of Tumours, 4th ed.; Elder, D.E., Massi, D., Scolyer, R.A., Willemze, R., Eds.; WHO: Geneva, Switzerland, 2018; Volume 11. [Google Scholar]
- Nonmelanocytic Tumors of the Skin (AFIP) Atlas of Tumor and Non-Tumor Pathology, Series 5; American Registry of Pathology: Arlington, VA, USA, 2021.
- Swanson, S.A.; Cooper, P.H.; Mills, S.E.; Wick, M.R. Lymphoepithelioma-like carcinoma of the skin. Mod. Pathol. 1988, 1, 359–365. [Google Scholar] [PubMed]
- Gille, T.M.; Miles, E.F.; Mitchell, A.O. Lymphoepithelioma-like carcinoma of the skin treated with wide local excision and chemoradiation therapy: A case report and review of the literature. Case Rep. Oncol. Med. 2012, 2012, 241816. [Google Scholar] [CrossRef] [PubMed]
- Aoki, R.; Mitsui, H.; Harada, K.; Kawamura, T.; Shibagaki, N.; Tsukamoto, K.; Murata, S.; Shimada, S. A case of lymphoepithelioma-like carcinoma of the skin associated with Epstein-Barr virus infection. J. Am. Acad. Dermatol. 2010, 62, 644–681. [Google Scholar] [CrossRef] [PubMed]
- Hinz, T.; Wiechert, A.; Bieber, T.; Bauer, R.; Schmid-Wendtner, M.H. Lymphoepitheliomalike carcinoma of the skin mimicking a basal cell carcinoma. Eur. J. Dermatol. 2009, 19, 179–180. [Google Scholar] [PubMed]
- Cassarino, D.S.; Derienzo, D.P.; Barr, R.J. Cutaneous squamous cell carcinoma: A comprehensive clinicopathologic classification. Part one. J. Cutan. Pathol. 2006, 33, 191–206. [Google Scholar] [CrossRef] [PubMed]
- Ho, W.; Taylor, A.; Kemp, E.; Roberts, F. Lymphoepithelioma-like carcinoma of the eyelid: A report of two cases. Br. J. Ophthalmol. 2005, 89, 1222–1223. [Google Scholar] [CrossRef]
- Ferlicot, S.; Plantier, F.; Rethers, L.; Bui, A.D.; Wechsler, J. Lymphoepithelioma-like carcinoma of the skin: A report of 3 Epstein-Barr virus (EBV)-negative additional cases. Immunohistochemical study of the stroma reaction. J. Cutan. Pathol. 2000, 27, 306–311. [Google Scholar] [CrossRef]
- Fenniche, S.; Zidi, Y.; Tekaya, N.B.; Ammar, F.B.; Yaacoub, K.; Mokni, M.; Mokhtar, I.; Osman, A.B.; Zitouna, M.M.; Haouet, S. Lymphoepithelioma-like carcinoma of the skin in a tunisian patient. Am. J. Dermatopathol. 2006, 28, 40–44. [Google Scholar] [CrossRef]
- Kazakov, D.V.; Nemcova, J.; Mikyskova, I.; Michal, M. Absence of Epstein-Barr virus, human papillomavirus, and simian virus 40 in patients of central european origin with lymphoepithelioma-like carcinoma of the skin. Am. J. Dermatopathol. 2007, 29, 365–369. [Google Scholar] [CrossRef]
- Naito, R.; Tasaki, Y.; Koga, M.; Imafuku, S. Lymphoepithelioma-like carcinoma of the skin: A possible culprit when biopsy indicates a benign inflammatory reaction. Int. J. Dermatol. 2019, 58, e4–e6. [Google Scholar] [CrossRef] [PubMed]
- Rios-Martin, J.J.; Solorzano-Amoreti, A.; Gonzalez-Campora, R.; Galera-Davidson, H. Neuroendocrine carcinoma of the skin with a lymphoepithelioma-like histological pattern. Br. J. Dermatol. 2008, 143, 460–462. [Google Scholar] [CrossRef]
- Hall, G.; Duncan, A.; Azurdia, R.; Leonard, N. Lymphoepithelioma-like carcinoma of the skin: A case with lymph node metastases at presentation. Am. J. Dermatopathol. 2006, 28, 211–215. [Google Scholar] [CrossRef] [PubMed]
- Oliveira, C.C.; Nóbrega, V.C.; Marques, M.E.A. Lymphoepithelioma-like carcinoma of the skin. An. Bras. Dermatol. 2018, 93, 256–258. [Google Scholar] [CrossRef] [PubMed]
- Morteza Abedi, S.; Salama, S.; Alowami, S. Lymphoepithelioma-like carcinoma of the skin: Case report and approach to surgical pathology sign out. Rare Tumors 2013, 5, e47. [Google Scholar] [CrossRef]
- Requena, L.; Sánchez Yus, E.; Jiménez, E.; Roo, E. Lymphoepithelioma-like carcinoma of the skin: A light-microscopic and immunohistochemical study. J. Cutan. Pathol. 1994, 21, 541–548. [Google Scholar] [CrossRef] [PubMed]
- Kushwaha, R.K.; Jain, S.K.; Abhinandan, H.B.; Baheti, D. Lymphoepithelioma-like carcinoma of the skin: An exceedingly rare primary skin tumor. Indian J. Dermatol. 2015, 60, 217. [Google Scholar]
- Otsuki, T.; Watanabe, D.; Yano, K.; Tamada, Y.; Matsumoto, Y.; Yokoo, K. Lymphoepithelioma-like carcinoma of the skin with potential for sweat glandular differentiation. J. Dermatol. 2005, 32, 393–396. [Google Scholar] [CrossRef]
- Scott, K.; Trainor, J.; McVeigh, G.; Jamison, J.; Loughrey, M.B.; Kelly, P.J.; McCluggage, W.G. Human Papillomavirus (HPV)-associated Lymphoepithelioma-like Carcinoma of the Vagina and Anal Canal: A Rare Variant of Squamous Cell Carcinoma. Int. J. Gynecol. Pathol. 2019, 38, 183–188. [Google Scholar] [CrossRef] [PubMed]
- Gebauer, N.; Merz, H.; Ottmann, K.W.; Tronnier, M. Lymphoepithelioma-like carcinoma and simultaneous marginal zone lymphoma of the skin: A case report. Am. J. Dermatopathol. 2014, 36, e26–e29. [Google Scholar] [CrossRef]
- Lee, J.; Park, J.; Chang, H. Lymphoepithelioma-like Carcinoma of the Skin in the Cheek with a Malignant Metastatic Cervical Lymph Node. Arch. Plast. Surg. 2015, 42, 668–671. [Google Scholar] [CrossRef] [PubMed]
- Tzanidakis, K.; Noy, M.L.; Calonje, E.; Perrett, C.M. Lymphoepithelioma-Like Carcinoma of the Skin-A Rare Tumor Treated by Slow Mohs Micrographic Surgery. Dermatol. Surg. 2017, 43, 595–597. [Google Scholar] [CrossRef] [PubMed]
- Shek, T.W.; Leung, E.Y.; Luk, I.S.; Loong, F.; Chan, A.C.; Yik, Y.H.; Lam, L.K. Lymphoepithelioma-like carcinoma of the skin. Am. J. Dermatopathol. 1996, 18, 637–644. [Google Scholar] [CrossRef] [PubMed]






Disclaimer/Publisher’s Note: The statements, opinions and data contained in all publications are solely those of the individual author(s) and contributor(s) and not of MDPI and/or the editor(s). MDPI and/or the editor(s) disclaim responsibility for any injury to people or property resulting from any ideas, methods, instructions or products referred to in the content. |
© 2023 by the authors. Licensee MDPI, Basel, Switzerland. This article is an open access article distributed under the terms and conditions of the Creative Commons Attribution (CC BY) license (https://creativecommons.org/licenses/by/4.0/).
Share and Cite
Maniglio, S.; Cazzato, G.; Caporusso, C.; Colagrande, A.; Nacchiero, E.; Maruccia, M.; Valerio, J.; Maiorano, E.; Resta, L.; Marzullo, A.; et al. Poorly Differentiated Cutaneous Squamous Cell Carcinoma (cSCC) or Lymphoepithelioma-like Carcinoma of the Skin (LELCS) with Squamous Pearls: A Case Presentation with Emphasis on Histomorphological Features and Classification Debates. Life 2023, 13, 2265. https://doi.org/10.3390/life13122265
Maniglio S, Cazzato G, Caporusso C, Colagrande A, Nacchiero E, Maruccia M, Valerio J, Maiorano E, Resta L, Marzullo A, et al. Poorly Differentiated Cutaneous Squamous Cell Carcinoma (cSCC) or Lymphoepithelioma-like Carcinoma of the Skin (LELCS) with Squamous Pearls: A Case Presentation with Emphasis on Histomorphological Features and Classification Debates. Life. 2023; 13(12):2265. https://doi.org/10.3390/life13122265
Chicago/Turabian StyleManiglio, Sonia, Gerardo Cazzato, Concetta Caporusso, Anna Colagrande, Eleonora Nacchiero, Michele Maruccia, Jacqueline Valerio, Eugenio Maiorano, Leonardo Resta, Andrea Marzullo, and et al. 2023. "Poorly Differentiated Cutaneous Squamous Cell Carcinoma (cSCC) or Lymphoepithelioma-like Carcinoma of the Skin (LELCS) with Squamous Pearls: A Case Presentation with Emphasis on Histomorphological Features and Classification Debates" Life 13, no. 12: 2265. https://doi.org/10.3390/life13122265
APA StyleManiglio, S., Cazzato, G., Caporusso, C., Colagrande, A., Nacchiero, E., Maruccia, M., Valerio, J., Maiorano, E., Resta, L., Marzullo, A., Giudice, G., & Ingravallo, G. (2023). Poorly Differentiated Cutaneous Squamous Cell Carcinoma (cSCC) or Lymphoepithelioma-like Carcinoma of the Skin (LELCS) with Squamous Pearls: A Case Presentation with Emphasis on Histomorphological Features and Classification Debates. Life, 13(12), 2265. https://doi.org/10.3390/life13122265

